#medx search results

What is happening? #MedX #MEDHM @IhabFathiSulima

An 18-year-old Filipino male with an unusual presentation. Likely diagnosis?

hemo_shk's tweet image. An 18-year-old Filipino male with an unusual presentation.

Likely diagnosis?


🎯Just Accept/The Innovation Nutrition Coffee and tea consumption in relation to chronic disease @HarvardHealth @Harvard @harvardmed @HarvardChanSPH Open Access doi.org/10.59717/j.xin… #Nutrition #Meded #Medx #Coffee #Tea #Science #Health #Academic #PhD #PrecisionNutrition

NutrioSci's tweet image. 🎯Just Accept/The Innovation Nutrition

Coffee and tea consumption in relation to chronic disease

@HarvardHealth @Harvard @harvardmed @HarvardChanSPH 

Open Access
doi.org/10.59717/j.xin…

#Nutrition #Meded #Medx #Coffee #Tea #Science #Health #Academic #PhD #PrecisionNutrition

KDIGO 2026: Injurial renal aguda y enfermedad renal aguda #MedEd #MedTwitter #MedX kdigo.org/guidelines/acu… medicina-interna.org

MHcsba's tweet image. KDIGO 2026: Injurial renal aguda y enfermedad renal aguda
#MedEd #MedTwitter #MedX 
kdigo.org/guidelines/acu…
medicina-interna.org
MHcsba's tweet image. KDIGO 2026: Injurial renal aguda y enfermedad renal aguda
#MedEd #MedTwitter #MedX 
kdigo.org/guidelines/acu…
medicina-interna.org
MHcsba's tweet image. KDIGO 2026: Injurial renal aguda y enfermedad renal aguda
#MedEd #MedTwitter #MedX 
kdigo.org/guidelines/acu…
medicina-interna.org

Patient presented with difficulty swallowing and weight loss and this feet👇. What is the diagnosis ? Management? #MedTwitter #MedX #FOAMed #GITwitter #CardioTwitter @albertoortegana @IhabFathiSulima @ChefKarim02 @daoo100 @MEmwanta @mendietaalex1 @elidyynwa @elidyynwa @esanum

PeterItebimien's tweet image. Patient presented with difficulty swallowing and weight loss and this feet👇. What is the diagnosis ? 
Management? 
#MedTwitter #MedX #FOAMed #GITwitter #CardioTwitter @albertoortegana @IhabFathiSulima @ChefKarim02 @daoo100 @MEmwanta @mendietaalex1 @elidyynwa @elidyynwa @esanum

New England Journal of Medicine (NEJM) 2026: Enfermedad celiaca DOI: 10.1056/NEJMcp2415548 #MedEd #MedTwitter #MedX medicina-interna.org

MHcsba's tweet image. New England Journal of Medicine (NEJM) 2026: Enfermedad celiaca
DOI: 10.1056/NEJMcp2415548
#MedEd #MedTwitter #MedX
medicina-interna.org
MHcsba's tweet image. New England Journal of Medicine (NEJM) 2026: Enfermedad celiaca
DOI: 10.1056/NEJMcp2415548
#MedEd #MedTwitter #MedX
medicina-interna.org
MHcsba's tweet image. New England Journal of Medicine (NEJM) 2026: Enfermedad celiaca
DOI: 10.1056/NEJMcp2415548
#MedEd #MedTwitter #MedX
medicina-interna.org
MHcsba's tweet image. New England Journal of Medicine (NEJM) 2026: Enfermedad celiaca
DOI: 10.1056/NEJMcp2415548
#MedEd #MedTwitter #MedX
medicina-interna.org

Vitamin C slows primate aging by targeting iron-driven lipid peroxidation #Nutrition #medx #VitaminC cell.com/cell-metabolis…

SciencNews's tweet image. Vitamin C slows primate aging by targeting iron-driven lipid peroxidation

#Nutrition #medx #VitaminC 

cell.com/cell-metabolis…

A 50yr old ♂️ with complaints of worsening dyspnea, cough with bilateral lower limb swelling. CXR done 👇 what is the likely diagnosis ? Management? #MedX #MedTwitter #CardioTwitter #MedEd @albertoortegana @ChefKarim02 @daoo100 @Doctors__squad @doctors_squad @drobiy12 @elidyynwa

PeterItebimien's tweet image. A 50yr old ♂️ with complaints of worsening dyspnea, cough with bilateral lower limb swelling. CXR done 👇 what is the likely diagnosis ? Management? 
#MedX #MedTwitter #CardioTwitter #MedEd @albertoortegana @ChefKarim02 @daoo100 @Doctors__squad @doctors_squad @drobiy12 @elidyynwa

A 72yr old♂️ presented with history of palpitations,dyspnea and bilateral leg swelling.ECG done👇 What is the diagnosis ? Complications? Treatment? #MedX #MedTwitter #FOAMed #CardioTwitter #GITwitter @ChefKarim02 @daoo100 @DrMedica_13 @drobiy12 @Dr_Shiv_kumar_ @elidyynwa @esanum

PeterItebimien's tweet image. A 72yr old♂️ presented with history of palpitations,dyspnea and bilateral leg swelling.ECG done👇
What is the diagnosis ? Complications? Treatment? 
#MedX #MedTwitter #FOAMed #CardioTwitter #GITwitter @ChefKarim02 @daoo100 @DrMedica_13 @drobiy12 @Dr_Shiv_kumar_ @elidyynwa @esanum

Don't be afraid to EXTEND a prior sphincterotomy if you feel it is inadequate. This pt had a 25mm stone and a decent prior sphincterotomy. Extended and completed and stone removed with a balloon sweep during ERCP. #gitwitter #surgery #medx #medtwitter

DouglasAdlerMD's tweet image. Don't be afraid to EXTEND a prior sphincterotomy if you feel it is inadequate. 

This pt had a 25mm stone and a decent prior sphincterotomy. Extended and completed and stone removed with a balloon sweep during ERCP. 

#gitwitter #surgery #medx #medtwitter
DouglasAdlerMD's tweet image. Don't be afraid to EXTEND a prior sphincterotomy if you feel it is inadequate. 

This pt had a 25mm stone and a decent prior sphincterotomy. Extended and completed and stone removed with a balloon sweep during ERCP. 

#gitwitter #surgery #medx #medtwitter
DouglasAdlerMD's tweet image. Don't be afraid to EXTEND a prior sphincterotomy if you feel it is inadequate. 

This pt had a 25mm stone and a decent prior sphincterotomy. Extended and completed and stone removed with a balloon sweep during ERCP. 

#gitwitter #surgery #medx #medtwitter
DouglasAdlerMD's tweet image. Don't be afraid to EXTEND a prior sphincterotomy if you feel it is inadequate. 

This pt had a 25mm stone and a decent prior sphincterotomy. Extended and completed and stone removed with a balloon sweep during ERCP. 

#gitwitter #surgery #medx #medtwitter

A 22 yr ♂️ presented to dental clinic with complaints of extra teeth growing behind.On further inspection hard painless lumps was seen in the jaw and scalp.What is the likely diagnosis? What investigation would you order next? Management? #MedTwitter #MedX #FOAMed #GITwitter

PeterItebimien's tweet image. A 22 yr ♂️ presented to dental clinic with complaints of extra teeth growing behind.On further inspection hard painless lumps was seen in the jaw and scalp.What is the likely diagnosis? 
What investigation would you order next? 
Management? 
#MedTwitter #MedX #FOAMed #GITwitter
PeterItebimien's tweet image. A 22 yr ♂️ presented to dental clinic with complaints of extra teeth growing behind.On further inspection hard painless lumps was seen in the jaw and scalp.What is the likely diagnosis? 
What investigation would you order next? 
Management? 
#MedTwitter #MedX #FOAMed #GITwitter

This is the treatment algorithm we’ve used during our discussion with @smitha42 for Colon/Colorectal Cancer! ✅ Early disease ✅ Biomarker & NGS driven approach ✅ Metastatic disease #OncTwitter #MedX @OncUpdates #gism

OncBrothers's tweet image. This is the treatment algorithm we’ve used during our discussion with @smitha42 for Colon/Colorectal Cancer!  

✅ Early disease 
✅ Biomarker & NGS driven approach 
✅ Metastatic disease 

#OncTwitter #MedX @OncUpdates #gism

Here is the link to our full discussion w/ @smitha42 on early stage colon and metastatic colo-rectal cancer Treatment Algorithm! @OncUpdates #OncTwitter #MedX #gism youtu.be/5VbaH2Jjvzo?si…

OncBrothers's tweet card. OncBrothers: Practice-Changing Cancer Discussions

youtube.com

YouTube

OncBrothers: Practice-Changing Cancer Discussions



What is the diagnosis ? What are the investigations test you would order and expected findings ? Other complications? How would you manage this condition? #MedTwitter #MedX #FOAMed #GITwitter #CardioTwitter @albertoortegana @Brobert572 @Brobert572 @ChefKarim02 @daoo100

PeterItebimien's tweet image. What is the diagnosis ? 
What are the investigations test you would order and expected findings ? 
Other complications?
How would you manage this condition? 
#MedTwitter #MedX #FOAMed #GITwitter #CardioTwitter @albertoortegana @Brobert572 @Brobert572 @ChefKarim02 @daoo100

🎯The Innovation Nutrtion Feeding the skin: The emerging role of nutritional intervention in dermatological disorders. Open Access doi.org/10.59717/j.xin… #Meded #Medx #Nutrition #Skin #dermatology #Science #HealthTips #Healthcare #Skincare

NutrioSci's tweet image. 🎯The Innovation Nutrtion

Feeding the skin: The emerging role of nutritional intervention in dermatological disorders. 

Open Access
doi.org/10.59717/j.xin…

#Meded #Medx #Nutrition #Skin #dermatology #Science #HealthTips #Healthcare #Skincare

JAMA 2026: Consejería preconcepcional doi:10.1001/jama.2026.2888 #MedEd #MedTwitter #MedX medicina-interna.org

MHcsba's tweet image. JAMA 2026: Consejería preconcepcional 
doi:10.1001/jama.2026.2888
#MedEd #MedTwitter #MedX 
medicina-interna.org
MHcsba's tweet image. JAMA 2026: Consejería preconcepcional 
doi:10.1001/jama.2026.2888
#MedEd #MedTwitter #MedX 
medicina-interna.org
MHcsba's tweet image. JAMA 2026: Consejería preconcepcional 
doi:10.1001/jama.2026.2888
#MedEd #MedTwitter #MedX 
medicina-interna.org

Revisiting computational immunogenicity prediction for novel food ingredients Open Access doi.org/10.59717/j.xin… #Meded #medx #Food #Science #NEWS #Health #AI #artificialintelligence #Immunity #immunogenicity #biology

NutrioSci's tweet image. Revisiting computational immunogenicity prediction for novel food ingredients

Open Access
doi.org/10.59717/j.xin…

#Meded #medx #Food #Science #NEWS #Health #AI #artificialintelligence #Immunity #immunogenicity #biology

New England Journal of Medicine (NEJM) 2026: Influencia de hormonas sexuales en el riesgo cardiovascular y trombótico DOI:10.1056/NEJMra2202438 #MedEd #MedTwitter #MedX medicina-interna.org

MHcsba's tweet image. New England Journal of Medicine (NEJM) 2026: Influencia de hormonas sexuales en el riesgo cardiovascular y trombótico

DOI:10.1056/NEJMra2202438
#MedEd #MedTwitter #MedX 
medicina-interna.org
MHcsba's tweet image. New England Journal of Medicine (NEJM) 2026: Influencia de hormonas sexuales en el riesgo cardiovascular y trombótico

DOI:10.1056/NEJMra2202438
#MedEd #MedTwitter #MedX 
medicina-interna.org
MHcsba's tweet image. New England Journal of Medicine (NEJM) 2026: Influencia de hormonas sexuales en el riesgo cardiovascular y trombótico

DOI:10.1056/NEJMra2202438
#MedEd #MedTwitter #MedX 
medicina-interna.org
MHcsba's tweet image. New England Journal of Medicine (NEJM) 2026: Influencia de hormonas sexuales en el riesgo cardiovascular y trombótico

DOI:10.1056/NEJMra2202438
#MedEd #MedTwitter #MedX 
medicina-interna.org

This is the treatment algorithm we’ve used during our discussion with @bergsa83 and @JoshMeeks on #BladderCancer ✅ NMIBC ✅ MIBC ✅ Metastatic Disease #OncTwitter #MedX @OncUpdates @OncoAlert #gusm

OncBrothers's tweet image. This is the treatment algorithm we’ve used during our discussion with @bergsa83 and @JoshMeeks on #BladderCancer

✅ NMIBC
✅ MIBC
✅ Metastatic Disease 

#OncTwitter #MedX @OncUpdates @OncoAlert #gusm

$MEDX 💊 just hit $2.3K MC on Pump.fun! Healthcare token on SOL Fair launch • Dev holds 35% • No team tokens CA: J8QyP3pevRYbk1efvQHGqMuqErCbDPf66gSUXLoUpump Next stop 10K 👀 Don’t fade the green pill. pump.fun/J8QyP3pevRYbk1… #MEDX #Solana

pump.fun

MDX $2.34K | Pump

MedX - Decentralized healthcare access on Solana. Pay medical bills, tip doctors, fund research. No middlemen. No banks. Just fast, borderless health. Fair launch. 100% community. 0% rug.


Q - 468. The cerebrospinal fluid (CSF) is produced mainly by :- #MedX #nolimit

DrNovinoTailor's tweet image. Q - 468. The cerebrospinal fluid (CSF) is produced mainly by :-
#MedX #nolimit

🚨 Nursing clinical tip: If you see tracheal deviation, it is ALREADY a Tension Pneumothorax emergency. 🫁Master Hemothorax vs. Pneumothorax with this high-yield guide.🔗 nurseseducator.com #MedX #Nursing #NCLEX

nurseseducator's tweet image. 🚨 Nursing clinical tip: If you see tracheal deviation, it is ALREADY a Tension Pneumothorax emergency. 🫁Master Hemothorax vs. Pneumothorax with this high-yield guide.🔗 nurseseducator.com

#MedX #Nursing #NCLEX

Q - 467. Anemia due to folate deficiency is called :- #MedX #nolimit

DrNovinoTailor's tweet image. Q - 467. Anemia due to folate deficiency is called :-
#MedX #nolimit

Teen with vague tremors & fatigue. copper quietly destroying his liver & brain⚕️ What's the possible disease❓️ How do you diagnose 🥼 it quickly, and what’s the main treatment❓️ #MedX #MedTwitter

Doctors of X: What is the one diagnosis that still haunts you?

DocPriyamMD's tweet image. Doctors of X: What is the one diagnosis that still haunts you?


What matters most is that no one was harmed. Tragically, if this had happened at a school or any ordinary unsecured event, the story might have ended very differently. All lives are precious — relieved beyond words that everyone made it home safely. #MedX


What matters most is that no one was harmed. Tragically, if this had happened at a school or any ordinary unsecured event, the story might have ended very differently. All lives are precious — relieved beyond words that everyone made it home safely. #MedX

The White House Correspondents’ Dinner shooter was within feet of the doors. Had he breached them, he could have fired in any direction and struck multiple government officials. People were scattered throughout the room. It could have been catastrophic.



We spend years training to save lives, yet we are fighting an uphill battle against gun violence. When I talk to parents who have lost children, the trauma is often something a physician can't fix. Hoping we all can do better. #MedX


This is "erectile dysfunction". #MedX

This is “trans:”

marycatedelvey's tweet image. This is “trans:”


A 51-year-old patient presented to the emergency room unconscious. How would you identify the rhythm? why? How would you treat it? #MedX #ECG #Cardiology

Dr_Shiv_kumar_'s tweet image. A 51-year-old patient presented to the emergency room unconscious. How would you identify the rhythm?  why? How would you treat it? 

#MedX #ECG #Cardiology

🚨 🫀 ECG case alert 38 year old patient with the history of smoking comes with the complaint of SOB & palpitation, ECG is obtained how would you analyse this rhythm? RR- 21 SPO2 - 95% BP- 120/90mmhg PR- 90 bpm #MedTwitter #ECG #MedX

Dr_Shiv_kumar_'s tweet image. 🚨 🫀 ECG case alert 

38 year old patient with the history of smoking comes with the complaint of SOB & palpitation, ECG is obtained how would you analyse this rhythm? 

RR- 21
SPO2 - 95% 
BP- 120/90mmhg 
PR- 90 bpm 

#MedTwitter #ECG #MedX


AI in healthcare doesn’t have to be complicated. Skip the bulky tools. Simplify your clinical documentation with something that’s fast, efficient, and actually affordable. All for $24.99/month. Ready to make the switch? #AIHealthcare #AIScribe #MedX #AI #AItool #AIForDoctors


Nurses are much better at this than physicians. #MedX #MedEd @DutchRojas

DrJasonBegalke's tweet image. Nurses are much better at this than physicians.  #MedX #MedEd 

@DutchRojas

Nurses are much better at this than physicians. #MedX


Q - 466. Which virus causes measles? #MedX #nolimit

DrNovinoTailor's tweet image. Q - 466. Which virus causes measles?
#MedX #nolimit

Three most important Metabolic Causes of this finding ? #MedX #MedEd


2x pe video chal raha h… samajh 0.5x pe aa rahi h 🫣 #NEETPG #medx #fmge #inicet2026 #Medtwitter


Q - 465. Which microorganism is used in the production of alcohol? #MedX #nolimit

DrNovinoTailor's tweet image. Q - 465. Which microorganism is used in the production of alcohol?
#MedX #nolimit

First-line drug for symptomatic Raynaud's?❓ A) Aspirin B) Nifedipine C) Warfarin D) Prednisolone #MedX ?

daoo100's tweet image. First-line drug for symptomatic Raynaud's?❓

A) Aspirin
B) Nifedipine
C) Warfarin
D) Prednisolone                             #MedX ?

🎯Just Accept/The Innovation Nutrition Coffee and tea consumption in relation to chronic disease @HarvardHealth @Harvard @harvardmed @HarvardChanSPH Open Access doi.org/10.59717/j.xin… #Nutrition #Meded #Medx #Coffee #Tea #Science #Health #Academic #PhD #PrecisionNutrition

NutrioSci's tweet image. 🎯Just Accept/The Innovation Nutrition

Coffee and tea consumption in relation to chronic disease

@HarvardHealth @Harvard @harvardmed @HarvardChanSPH 

Open Access
doi.org/10.59717/j.xin…

#Nutrition #Meded #Medx #Coffee #Tea #Science #Health #Academic #PhD #PrecisionNutrition

Nature PRIMER 2026: DIabetes Mellitus tipo 2 #MedEd #MedTwiter #MedX medicina-interna.org

MHcsba's tweet image. Nature PRIMER 2026: DIabetes Mellitus tipo 2
#MedEd #MedTwiter #MedX
medicina-interna.org
MHcsba's tweet image. Nature PRIMER 2026: DIabetes Mellitus tipo 2
#MedEd #MedTwiter #MedX
medicina-interna.org
MHcsba's tweet image. Nature PRIMER 2026: DIabetes Mellitus tipo 2
#MedEd #MedTwiter #MedX
medicina-interna.org
MHcsba's tweet image. Nature PRIMER 2026: DIabetes Mellitus tipo 2
#MedEd #MedTwiter #MedX
medicina-interna.org

New England Journal of Medicine (NEJM) 2026: Influencia de hormonas sexuales en el riesgo cardiovascular y trombótico DOI:10.1056/NEJMra2202438 #MedEd #MedTwitter #MedX medicina-interna.org

MHcsba's tweet image. New England Journal of Medicine (NEJM) 2026: Influencia de hormonas sexuales en el riesgo cardiovascular y trombótico

DOI:10.1056/NEJMra2202438
#MedEd #MedTwitter #MedX 
medicina-interna.org
MHcsba's tweet image. New England Journal of Medicine (NEJM) 2026: Influencia de hormonas sexuales en el riesgo cardiovascular y trombótico

DOI:10.1056/NEJMra2202438
#MedEd #MedTwitter #MedX 
medicina-interna.org
MHcsba's tweet image. New England Journal of Medicine (NEJM) 2026: Influencia de hormonas sexuales en el riesgo cardiovascular y trombótico

DOI:10.1056/NEJMra2202438
#MedEd #MedTwitter #MedX 
medicina-interna.org
MHcsba's tweet image. New England Journal of Medicine (NEJM) 2026: Influencia de hormonas sexuales en el riesgo cardiovascular y trombótico

DOI:10.1056/NEJMra2202438
#MedEd #MedTwitter #MedX 
medicina-interna.org

Vitamin C slows primate aging by targeting iron-driven lipid peroxidation #Nutrition #medx #VitaminC cell.com/cell-metabolis…

SciencNews's tweet image. Vitamin C slows primate aging by targeting iron-driven lipid peroxidation

#Nutrition #medx #VitaminC 

cell.com/cell-metabolis…

Vitamin K injection is mainly used to prevent:❓. #MedX ? A) Rickets B) Hemolytic anemia C) Hemorrhagic disease of newborn D) Scurvy

daoo100's tweet image. Vitamin K injection is mainly used to prevent:❓.                                    #MedX ?

A) Rickets
B) Hemolytic anemia
C) Hemorrhagic disease of newborn
D) Scurvy

🚨Possible diagnosis ❓ A. Rheumatoid Arthritis B. Carpal Tunnel Syndrome C. Dupuytren's contracture D. Volkmann ischemic contracture #MedX ?

daoo100's tweet image. 🚨Possible diagnosis ❓ 

A. Rheumatoid Arthritis 
B. Carpal Tunnel Syndrome 
C. Dupuytren's contracture  
D. Volkmann ischemic contracture
                                                              #MedX ?

Revisiting computational immunogenicity prediction for novel food ingredients Open Access doi.org/10.59717/j.xin… #Meded #medx #Food #Science #NEWS #Health #AI #artificialintelligence #Immunity #immunogenicity #biology

NutrioSci's tweet image. Revisiting computational immunogenicity prediction for novel food ingredients

Open Access
doi.org/10.59717/j.xin…

#Meded #medx #Food #Science #NEWS #Health #AI #artificialintelligence #Immunity #immunogenicity #biology

This Review presents a systems-level framework that demonstrates how epigenetic regulation controls ageing. @NatRevMCB #Meded #Medx #Aging #epigenetic #Science #NEWS

SciencNews's tweet image. This Review presents a systems-level framework that demonstrates how epigenetic regulation controls ageing. @NatRevMCB 

#Meded #Medx #Aging #epigenetic #Science #NEWS
SciencNews's tweet image. This Review presents a systems-level framework that demonstrates how epigenetic regulation controls ageing. @NatRevMCB 

#Meded #Medx #Aging #epigenetic #Science #NEWS

JAMA 2026: Consejería preconcepcional doi:10.1001/jama.2026.2888 #MedEd #MedTwitter #MedX medicina-interna.org

MHcsba's tweet image. JAMA 2026: Consejería preconcepcional 
doi:10.1001/jama.2026.2888
#MedEd #MedTwitter #MedX 
medicina-interna.org
MHcsba's tweet image. JAMA 2026: Consejería preconcepcional 
doi:10.1001/jama.2026.2888
#MedEd #MedTwitter #MedX 
medicina-interna.org
MHcsba's tweet image. JAMA 2026: Consejería preconcepcional 
doi:10.1001/jama.2026.2888
#MedEd #MedTwitter #MedX 
medicina-interna.org

Sandstorm lungs on CXR in a breathless patient? Diagnosis ❓ A) Miliary TB B) Pulmonary edema C) Alveolar microlithiasis D) Metastatic calcification #MedX ?

daoo100's tweet image. Sandstorm lungs on CXR in a breathless patient? Diagnosis ❓ 

A) Miliary TB
B) Pulmonary edema
C) Alveolar microlithiasis
D) Metastatic calcification
                                                               #MedX ?

LANCET SEMINAR 2026: Anemia de células falciformes #MedEd #MedTwitter #MedX DOI:10.1016/S0140-6736(25)02278-0 medicina-interna.org

MHcsba's tweet image. LANCET SEMINAR 2026: Anemia de células falciformes
#MedEd #MedTwitter #MedX 
DOI:10.1016/S0140-6736(25)02278-0
medicina-interna.org
MHcsba's tweet image. LANCET SEMINAR 2026: Anemia de células falciformes
#MedEd #MedTwitter #MedX 
DOI:10.1016/S0140-6736(25)02278-0
medicina-interna.org
MHcsba's tweet image. LANCET SEMINAR 2026: Anemia de células falciformes
#MedEd #MedTwitter #MedX 
DOI:10.1016/S0140-6736(25)02278-0
medicina-interna.org

A patient underwent parathyroidectomy for hyperparathyroidism. One year post surgery, the following ECG changes were seen. What is the immediate management? #Medx @DrAkhilX @IhabFathiSulima @DocPriyamMD @Dr_Shiv_kumar_ @daoo100 @Frances98392343 @Ecgloverr @lebojoycechauke

SameerYogi14's tweet image. A patient underwent parathyroidectomy for hyperparathyroidism. One year post surgery, the following ECG changes were seen. What is the immediate management?
#Medx 
@DrAkhilX @IhabFathiSulima @DocPriyamMD @Dr_Shiv_kumar_ @daoo100 @Frances98392343 @Ecgloverr @lebojoycechauke

🎯The Innovation Nutrtion Feeding the skin: The emerging role of nutritional intervention in dermatological disorders. Open Access doi.org/10.59717/j.xin… #Meded #Medx #Nutrition #Skin #dermatology #Science #HealthTips #Healthcare #Skincare

NutrioSci's tweet image. 🎯The Innovation Nutrtion

Feeding the skin: The emerging role of nutritional intervention in dermatological disorders. 

Open Access
doi.org/10.59717/j.xin…

#Meded #Medx #Nutrition #Skin #dermatology #Science #HealthTips #Healthcare #Skincare

A 3yr ♂️ with history of multiple hospital admissions for recurrent infections presented with persistent fever,lethargy,poor weight gain.O/E hepatosplenomegaly.FBC shows cytopenia,elevated ferritin. What is the diagnosis? What is this syndrome? Management? #MedX #MedTwitter

PeterItebimien's tweet image. A 3yr ♂️ with history of multiple hospital admissions for recurrent infections presented with persistent fever,lethargy,poor weight gain.O/E hepatosplenomegaly.FBC shows cytopenia,elevated ferritin. What is the diagnosis? What is this syndrome? Management? 
#MedX #MedTwitter

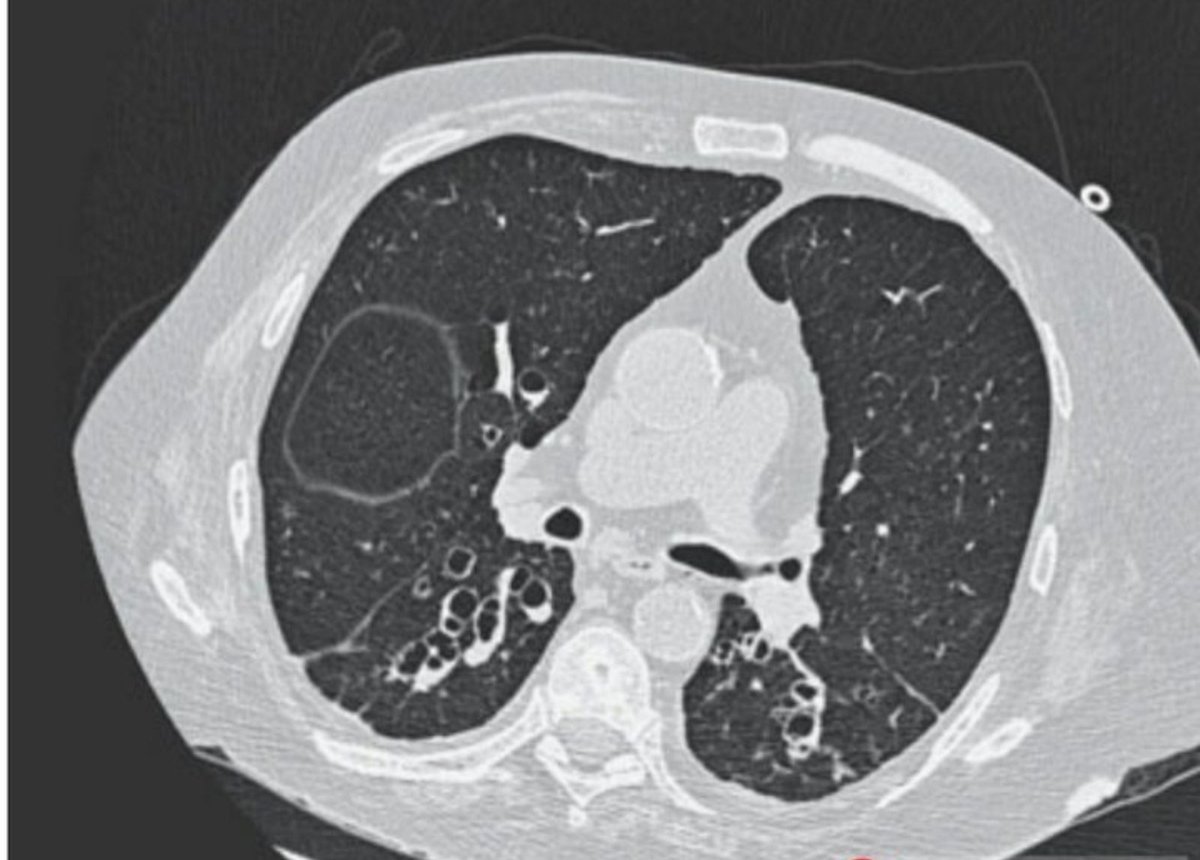
CT chest shows dilated bronchi with cystic “cluster of grapes” appearance- what is the diagnosis? #Medx @docakx @Dr_Shiv_kumar_ @daoo100 @IhabFathiSulima

SameerYogi14's tweet image. CT chest shows dilated bronchi with cystic “cluster of grapes” appearance- what is the diagnosis?
#Medx
@docakx @Dr_Shiv_kumar_ @daoo100 @IhabFathiSulima

Gold-standard bomb for severe nodular/cystic acne?❓ #MedX ? A) Topical retinoid B) Oral isotretinoin C) Benzoyl peroxide D) Minocycline

daoo100's tweet image. Gold-standard bomb for severe nodular/cystic acne?❓           #MedX ?

A) Topical retinoid
B) Oral isotretinoin
C) Benzoyl peroxide
D) Minocycline

Loading...

Something went wrong.


Something went wrong.