#humpathol search results

New in #HumPathol: Recent updates and debates on basal crypt dysplasia, serrated epithelial change, and p53 immunostaining in inflammatory bowel disease. sciencedirect.com/science/articl… #pathology #PathTwitter #PathX #GIpath

Human_Pathology's tweet image. New in #HumPathol: Recent updates and debates on basal crypt dysplasia, serrated epithelial change, and p53 immunostaining in inflammatory bowel disease. sciencedirect.com/science/articl… #pathology #PathTwitter #PathX #GIpath

New in #HumPathol: HPV-related Multiphenotypic Sinonasal Carcinoma: Clinicopathologic and Immunohistochemical Characterization of 3 Cases with Comprehensive Literature Review and Emphasis on Differential Diagnosis. sciencedirect.com/science/articl… #pathology #PathTwitter #PathX #ENTpath

Human_Pathology's tweet image. New in #HumPathol: HPV-related Multiphenotypic Sinonasal Carcinoma: Clinicopathologic and Immunohistochemical Characterization of 3 Cases with Comprehensive Literature Review and Emphasis on Differential Diagnosis. sciencedirect.com/science/articl… #pathology #PathTwitter #PathX #ENTpath

New in #HumPathol: Prevalence and Distribution of Human Papillomavirus Type 16 in Esophageal Squamous Cell Carcinoma and Its Association with p16INK4A Expression: A Large-Scale Study in Japan. sciencedirect.com/science/articl… #pathology #PathTwitter #PathX #GIpath

Human_Pathology's tweet image. New in #HumPathol: Prevalence and Distribution of Human Papillomavirus Type 16 in Esophageal Squamous Cell Carcinoma and Its Association with p16INK4A Expression: A Large-Scale Study in Japan. sciencedirect.com/science/articl… #pathology #PathTwitter #PathX #GIpath

New in #HumPathol: Histomorphological and Molecular Spectrum of Ciliated Muconodular Papillary Tumors with Implication for Malignant Potential: Insights from a Literature Review and Series Report. sciencedirect.com/science/articl… #pathology #PathTwitter #PathX #lungpath

Human_Pathology's tweet image. New in #HumPathol: Histomorphological and Molecular Spectrum of Ciliated Muconodular Papillary Tumors with Implication for Malignant Potential: Insights from a Literature Review and Series Report. sciencedirect.com/science/articl… #pathology #PathTwitter #PathX #lungpath

New in #HumPathol: EWSR1-and FUS-rearranged acute leukemias: Clinicopathological and genomic characterization. sciencedirect.com/science/articl… #pathology #PathTwitter #PathX #hemepath

Human_Pathology's tweet image. New in #HumPathol: EWSR1-and FUS-rearranged acute leukemias: Clinicopathological and genomic characterization. sciencedirect.com/science/articl… #pathology #PathTwitter #PathX #hemepath

New in #HumPathol: Non-Invasive Follicular Thyroid Neoplasm with Papillary-Like Nuclear Features (NIFTP) in the Adolescent and Young Adult Population: A Pediatric Center Experience. sciencedirect.com/science/articl… #pathology #PathTwitter #PathX #ENTpath

Human_Pathology's tweet image. New in #HumPathol: Non-Invasive Follicular Thyroid Neoplasm with Papillary-Like Nuclear Features (NIFTP) in the Adolescent and Young Adult Population: A Pediatric Center Experience. sciencedirect.com/science/articl… #pathology #PathTwitter #PathX #ENTpath

New in #HumPathol: Integrating computational pathology and multi-transcriptomics to characterize glioblastoma heterogeneity and identify prognostic biomarkers. sciencedirect.com/science/articl… #pathology #PathTwitter #PathX #neuropath

Human_Pathology's tweet image. New in #HumPathol: Integrating computational pathology and multi-transcriptomics to characterize glioblastoma heterogeneity and identify prognostic biomarkers. sciencedirect.com/science/articl… #pathology #PathTwitter #PathX #neuropath

New in #HumPathol: Undifferentiated Embryonal Sarcoma of the Liver: A Clinicopathological and Genomic Study of 10 Cases from a Single Institution. sciencedirect.com/science/articl… #pathology #PathTwitter #PathX #liverpath

Human_Pathology's tweet image. New in #HumPathol: Undifferentiated Embryonal Sarcoma of the Liver: A Clinicopathological and Genomic Study of 10 Cases from a Single Institution. sciencedirect.com/science/articl… #pathology #PathTwitter #PathX #liverpath

New in #HumPathol: Clinicopathologic and Radio-Genomic Insights into Hepatic Epithelioid Hemangioma: An Illustrated Review. sciencedirect.com/science/articl… #pathology #PathTwitter #PathX #liverpath

Human_Pathology's tweet image. New in #HumPathol: Clinicopathologic and Radio-Genomic Insights into Hepatic Epithelioid Hemangioma: An Illustrated Review. sciencedirect.com/science/articl… #pathology #PathTwitter #PathX #liverpath

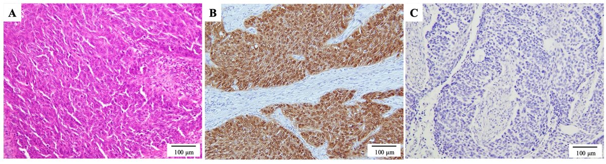
New in #HumPathol: Cytopathologic and histopathologic characteristics of SMARCB1 deficient neoplasm and correlation with molecular and immunohistochemical findings. sciencedirect.com/science/articl… #pathology #PathTwitter #PathX #BSTpath

Human_Pathology's tweet image. New in #HumPathol: Cytopathologic and histopathologic characteristics of SMARCB1 deficient neoplasm and correlation with molecular and immunohistochemical findings. sciencedirect.com/science/articl… #pathology #PathTwitter #PathX #BSTpath

New in #HumPathol: Histological characteristics of primary biliary cholangitis in patients with incomplete responses to ursodeoxycholic acid. sciencedirect.com/science/articl… #pathology #PathTwitter #PathX #liverpath

Human_Pathology's tweet image. New in #HumPathol: Histological characteristics of primary biliary cholangitis in patients with incomplete responses to ursodeoxycholic acid. sciencedirect.com/science/articl… #pathology #PathTwitter #PathX #liverpath

New in #HumPathol: Genitourinary mesenchymal neoplasms with tumor-defining genetic alterations: A clinicopathologic and molecular correlative study of 71 cases. sciencedirect.com/science/articl… #pathology #PathTwitter #PathX #GUpath #BSTpath

Human_Pathology's tweet image. New in #HumPathol: Genitourinary mesenchymal neoplasms with tumor-defining genetic alterations: A clinicopathologic and molecular correlative study of 71 cases. sciencedirect.com/science/articl… #pathology #PathTwitter #PathX #GUpath #BSTpath

New in #HumPathol: Porto-sinusoidal vascular disorder (PSVD): Survey-based analysis of the usage and drawbacks of this newly proposed terminology. sciencedirect.com/science/articl… #pathology #PathTwitter #PathX #liverpath

Human_Pathology's tweet image. New in #HumPathol: Porto-sinusoidal vascular disorder (PSVD): Survey-based analysis of the usage and drawbacks of this newly proposed terminology. sciencedirect.com/science/articl… #pathology #PathTwitter #PathX #liverpath

New in #HumPathol: CTNNB1 mutations in serum amyloid A-positive hepatocellular neoplasm/inflammatory hepatocellular adenoma arising in alcoholic cirrhosis. sciencedirect.com/science/articl… #pathology #PathTwitter #PathX #liverpath

Human_Pathology's tweet image. New in #HumPathol: CTNNB1 mutations in serum amyloid A-positive hepatocellular neoplasm/inflammatory hepatocellular adenoma arising in alcoholic cirrhosis. sciencedirect.com/science/articl… #pathology #PathTwitter #PathX #liverpath

New in #HumPathol: Myoepithelial and Epithelial-myoepithelial Clinically Advanced and Metastatic Carcinomas of Salivary Gland: A Comparative Comprehensive Genomic Profiling Study. sciencedirect.com/science/articl… #pathology #PathTwitter #PathX #ENTpath

Human_Pathology's tweet image. New in #HumPathol: Myoepithelial and Epithelial-myoepithelial Clinically Advanced and Metastatic Carcinomas of Salivary Gland: A Comparative Comprehensive Genomic Profiling Study. sciencedirect.com/science/articl… #pathology #PathTwitter #PathX #ENTpath

New in #HumPathol: Dual Amyloidosis: A Clinicopathologic and Proteomic Analysis of 111 Patients. sciencedirect.com/science/articl… #pathology #PathTwitter #PathX #surgpath

Human_Pathology's tweet image. New in #HumPathol: Dual Amyloidosis: A Clinicopathologic and Proteomic Analysis of 111 Patients. sciencedirect.com/science/articl… #pathology #PathTwitter #PathX #surgpath

New in #HumPathol: GNAQ-/GNA14-mutated Hepatic Vascular Malformation with Capillary Proliferation in Adults and Children. sciencedirect.com/science/articl… #pathology #PathTwitter #PathX #liverpath

Human_Pathology's tweet image. New in #HumPathol: GNAQ-/GNA14-mutated Hepatic Vascular Malformation with Capillary Proliferation in Adults and Children. sciencedirect.com/science/articl… #pathology #PathTwitter #PathX #liverpath

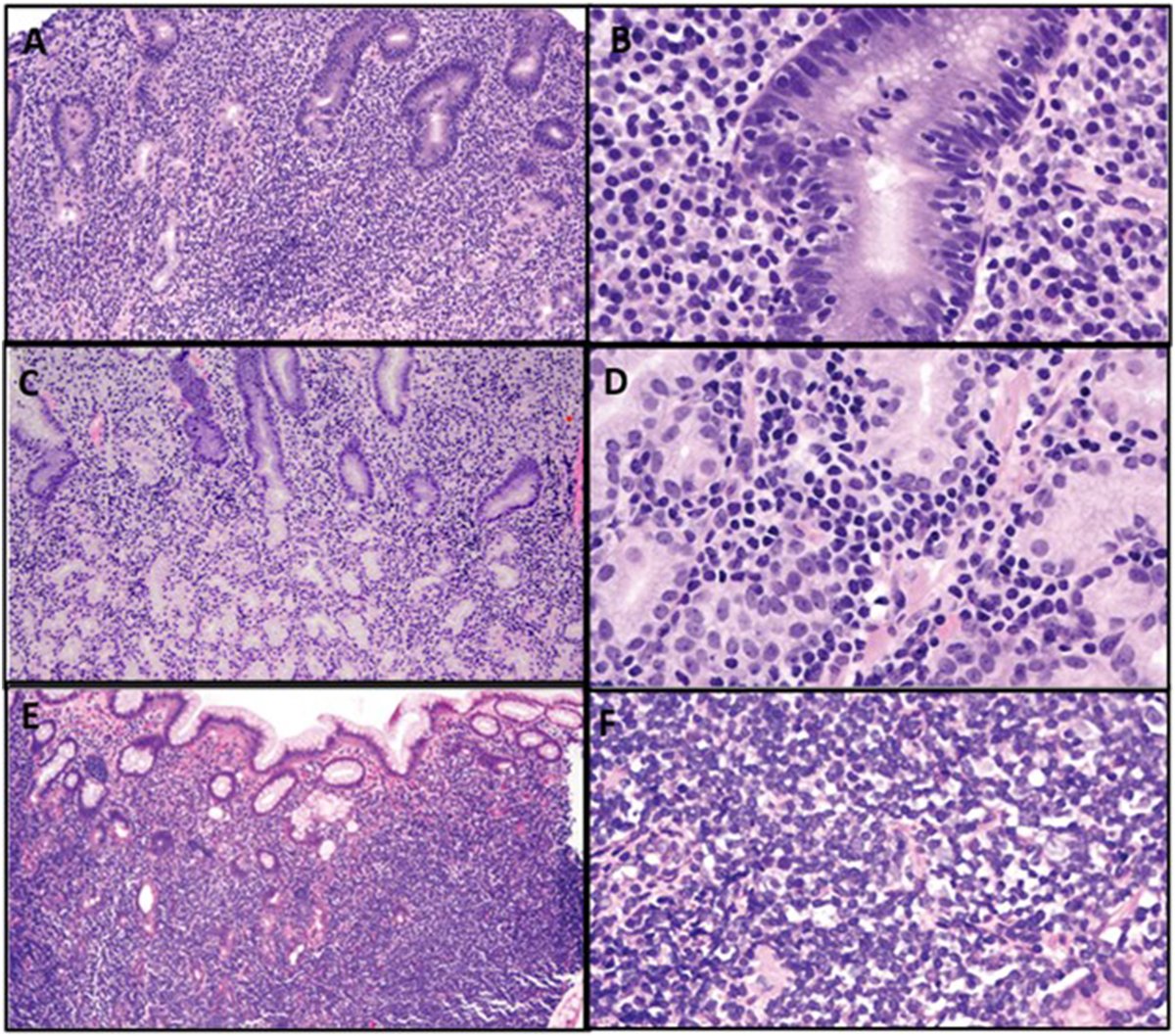
New in #HumPathol: Interdisciplinary Analysis of Cues to Triage Gastric Lymphoid Proliferations: Role of the Surgical Pathologist Revisited. sciencedirect.com/science/articl… #pathology #PathTwitter #PathX #GIpath

Human_Pathology's tweet image. New in #HumPathol: Interdisciplinary Analysis of Cues to Triage Gastric Lymphoid Proliferations: Role of the Surgical Pathologist Revisited. sciencedirect.com/science/articl… #pathology #PathTwitter #PathX #GIpath

New in #HumPathol: Prevalence and Distribution of Human Papillomavirus Type 16 in Esophageal Squamous Cell Carcinoma and Its Association with p16INK4A Expression: A Large-Scale Study in Japan. sciencedirect.com/science/articl… #pathology #PathTwitter #PathX #GIpath

Human_Pathology's tweet image. New in #HumPathol: Prevalence and Distribution of Human Papillomavirus Type 16 in Esophageal Squamous Cell Carcinoma and Its Association with p16INK4A Expression: A Large-Scale Study in Japan. sciencedirect.com/science/articl… #pathology #PathTwitter #PathX #GIpath

New in #HumPathol: Integrating computational pathology and multi-transcriptomics to characterize glioblastoma heterogeneity and identify prognostic biomarkers. sciencedirect.com/science/articl… #pathology #PathTwitter #PathX #neuropath

Human_Pathology's tweet image. New in #HumPathol: Integrating computational pathology and multi-transcriptomics to characterize glioblastoma heterogeneity and identify prognostic biomarkers. sciencedirect.com/science/articl… #pathology #PathTwitter #PathX #neuropath

New in #HumPathol: Histomorphological and Molecular Spectrum of Ciliated Muconodular Papillary Tumors with Implication for Malignant Potential: Insights from a Literature Review and Series Report. sciencedirect.com/science/articl… #pathology #PathTwitter #PathX #lungpath

Human_Pathology's tweet image. New in #HumPathol: Histomorphological and Molecular Spectrum of Ciliated Muconodular Papillary Tumors with Implication for Malignant Potential: Insights from a Literature Review and Series Report. sciencedirect.com/science/articl… #pathology #PathTwitter #PathX #lungpath

New in #HumPathol: Cytopathologic and histopathologic characteristics of SMARCB1 deficient neoplasm and correlation with molecular and immunohistochemical findings. sciencedirect.com/science/articl… #pathology #PathTwitter #PathX #BSTpath

Human_Pathology's tweet image. New in #HumPathol: Cytopathologic and histopathologic characteristics of SMARCB1 deficient neoplasm and correlation with molecular and immunohistochemical findings. sciencedirect.com/science/articl… #pathology #PathTwitter #PathX #BSTpath

New in #HumPathol: Myoepithelial and Epithelial-myoepithelial Clinically Advanced and Metastatic Carcinomas of Salivary Gland: A Comparative Comprehensive Genomic Profiling Study. sciencedirect.com/science/articl… #pathology #PathTwitter #PathX #ENTpath

Human_Pathology's tweet image. New in #HumPathol: Myoepithelial and Epithelial-myoepithelial Clinically Advanced and Metastatic Carcinomas of Salivary Gland: A Comparative Comprehensive Genomic Profiling Study. sciencedirect.com/science/articl… #pathology #PathTwitter #PathX #ENTpath

New in #HumPathol: HPV-related Multiphenotypic Sinonasal Carcinoma: Clinicopathologic and Immunohistochemical Characterization of 3 Cases with Comprehensive Literature Review and Emphasis on Differential Diagnosis. sciencedirect.com/science/articl… #pathology #PathTwitter #PathX #ENTpath

Human_Pathology's tweet image. New in #HumPathol: HPV-related Multiphenotypic Sinonasal Carcinoma: Clinicopathologic and Immunohistochemical Characterization of 3 Cases with Comprehensive Literature Review and Emphasis on Differential Diagnosis. sciencedirect.com/science/articl… #pathology #PathTwitter #PathX #ENTpath

New in #HumPathol: EWSR1-and FUS-rearranged acute leukemias: Clinicopathological and genomic characterization. sciencedirect.com/science/articl… #pathology #PathTwitter #PathX #hemepath

Human_Pathology's tweet image. New in #HumPathol: EWSR1-and FUS-rearranged acute leukemias: Clinicopathological and genomic characterization. sciencedirect.com/science/articl… #pathology #PathTwitter #PathX #hemepath

New in #HumPathol: Recent updates and debates on basal crypt dysplasia, serrated epithelial change, and p53 immunostaining in inflammatory bowel disease. sciencedirect.com/science/articl… #pathology #PathTwitter #PathX #GIpath

Human_Pathology's tweet image. New in #HumPathol: Recent updates and debates on basal crypt dysplasia, serrated epithelial change, and p53 immunostaining in inflammatory bowel disease. sciencedirect.com/science/articl… #pathology #PathTwitter #PathX #GIpath

New in #HumPathol: Loss of androgen receptor expression is associated with aggressive tumor features and reduced survival in breast cancer patients. sciencedirect.com/science/articl… #pathology #PathTwitter #PathX #breastpath

Human_Pathology's tweet image. New in #HumPathol: Loss of androgen receptor expression is associated with aggressive tumor features and reduced survival in breast cancer patients. sciencedirect.com/science/articl… #pathology #PathTwitter #PathX #breastpath

New in #HumPathol: Porto-sinusoidal vascular disorder (PSVD): Survey-based analysis of the usage and drawbacks of this newly proposed terminology. sciencedirect.com/science/articl… #pathology #PathTwitter #PathX #liverpath

Human_Pathology's tweet image. New in #HumPathol: Porto-sinusoidal vascular disorder (PSVD): Survey-based analysis of the usage and drawbacks of this newly proposed terminology. sciencedirect.com/science/articl… #pathology #PathTwitter #PathX #liverpath

New in #HumPathol: Histological characteristics of primary biliary cholangitis in patients with incomplete responses to ursodeoxycholic acid. sciencedirect.com/science/articl… #pathology #PathTwitter #PathX #liverpath

Human_Pathology's tweet image. New in #HumPathol: Histological characteristics of primary biliary cholangitis in patients with incomplete responses to ursodeoxycholic acid. sciencedirect.com/science/articl… #pathology #PathTwitter #PathX #liverpath

New in #HumPathol: Genitourinary mesenchymal neoplasms with tumor-defining genetic alterations: A clinicopathologic and molecular correlative study of 71 cases. sciencedirect.com/science/articl… #pathology #PathTwitter #PathX #GUpath #BSTpath

Human_Pathology's tweet image. New in #HumPathol: Genitourinary mesenchymal neoplasms with tumor-defining genetic alterations: A clinicopathologic and molecular correlative study of 71 cases. sciencedirect.com/science/articl… #pathology #PathTwitter #PathX #GUpath #BSTpath

New in #HumPathol: Dual Amyloidosis: A Clinicopathologic and Proteomic Analysis of 111 Patients. sciencedirect.com/science/articl… #pathology #PathTwitter #PathX #surgpath

Human_Pathology's tweet image. New in #HumPathol: Dual Amyloidosis: A Clinicopathologic and Proteomic Analysis of 111 Patients. sciencedirect.com/science/articl… #pathology #PathTwitter #PathX #surgpath

New in #HumPathol: Clinicopathologic and Radio-Genomic Insights into Hepatic Epithelioid Hemangioma: An Illustrated Review. sciencedirect.com/science/articl… #pathology #PathTwitter #PathX #liverpath

Human_Pathology's tweet image. New in #HumPathol: Clinicopathologic and Radio-Genomic Insights into Hepatic Epithelioid Hemangioma: An Illustrated Review. sciencedirect.com/science/articl… #pathology #PathTwitter #PathX #liverpath

New in #HumPathol: HMGA2 and RB1 Profiling in Uterine and Broad Ligament Leiomyomas with Adipocytic Differentiation: An IHC and Fluorescence In Situ Hybridization Study of 14 Conventional and Variant Lipoleiomyomas. sciencedirect.com/science/articl… #pathology #PathTwitter #PathX #GYNpath

Human_Pathology's tweet image. New in #HumPathol: HMGA2 and RB1 Profiling in Uterine and Broad Ligament Leiomyomas with Adipocytic Differentiation: An IHC and Fluorescence In Situ Hybridization Study of 14 Conventional and Variant Lipoleiomyomas. sciencedirect.com/science/articl… #pathology #PathTwitter #PathX #GYNpath

New in #HumPathol: Non-Invasive Follicular Thyroid Neoplasm with Papillary-Like Nuclear Features (NIFTP) in the Adolescent and Young Adult Population: A Pediatric Center Experience. sciencedirect.com/science/articl… #pathology #PathTwitter #PathX #ENTpath

Human_Pathology's tweet image. New in #HumPathol: Non-Invasive Follicular Thyroid Neoplasm with Papillary-Like Nuclear Features (NIFTP) in the Adolescent and Young Adult Population: A Pediatric Center Experience. sciencedirect.com/science/articl… #pathology #PathTwitter #PathX #ENTpath

New in #HumPathol: Evaluation of nuclear pseudoinclusions, GATA3, 34βE12, and GPNMB performances in CK7 diffuse positive clear cell renal cell neoplasms. sciencedirect.com/science/articl… #pathology #PathTwitter #PathX #GUpath

Human_Pathology's tweet image. New in #HumPathol: Evaluation of nuclear pseudoinclusions, GATA3, 34βE12, and GPNMB performances in CK7 diffuse positive clear cell renal cell neoplasms. sciencedirect.com/science/articl… #pathology #PathTwitter #PathX #GUpath

New in #HumPathol: Tumour budding and tumour-stroma ratio in hepatocellular carcinoma. sciencedirect.com/science/articl… #pathology #PathTwitter #PathX #liverpath

Human_Pathology's tweet image. New in #HumPathol: Tumour budding and tumour-stroma ratio in hepatocellular carcinoma. sciencedirect.com/science/articl… #pathology #PathTwitter #PathX #liverpath

New in #HumPathol: Recent updates and debates on basal crypt dysplasia, serrated epithelial change, and p53 immunostaining in inflammatory bowel disease. sciencedirect.com/science/articl… #pathology #PathTwitter #PathX #GIpath

Human_Pathology's tweet image. New in #HumPathol: Recent updates and debates on basal crypt dysplasia, serrated epithelial change, and p53 immunostaining in inflammatory bowel disease. sciencedirect.com/science/articl… #pathology #PathTwitter #PathX #GIpath

New in #HumPathol: HPV-related Multiphenotypic Sinonasal Carcinoma: Clinicopathologic and Immunohistochemical Characterization of 3 Cases with Comprehensive Literature Review and Emphasis on Differential Diagnosis. sciencedirect.com/science/articl… #pathology #PathTwitter #PathX #ENTpath

Human_Pathology's tweet image. New in #HumPathol: HPV-related Multiphenotypic Sinonasal Carcinoma: Clinicopathologic and Immunohistochemical Characterization of 3 Cases with Comprehensive Literature Review and Emphasis on Differential Diagnosis. sciencedirect.com/science/articl… #pathology #PathTwitter #PathX #ENTpath

New in #HumPathol: Prevalence and Distribution of Human Papillomavirus Type 16 in Esophageal Squamous Cell Carcinoma and Its Association with p16INK4A Expression: A Large-Scale Study in Japan. sciencedirect.com/science/articl… #pathology #PathTwitter #PathX #GIpath

Human_Pathology's tweet image. New in #HumPathol: Prevalence and Distribution of Human Papillomavirus Type 16 in Esophageal Squamous Cell Carcinoma and Its Association with p16INK4A Expression: A Large-Scale Study in Japan. sciencedirect.com/science/articl… #pathology #PathTwitter #PathX #GIpath

New in #HumPathol: EWSR1-and FUS-rearranged acute leukemias: Clinicopathological and genomic characterization. sciencedirect.com/science/articl… #pathology #PathTwitter #PathX #hemepath

Human_Pathology's tweet image. New in #HumPathol: EWSR1-and FUS-rearranged acute leukemias: Clinicopathological and genomic characterization. sciencedirect.com/science/articl… #pathology #PathTwitter #PathX #hemepath

New in #HumPathol: Histomorphological and Molecular Spectrum of Ciliated Muconodular Papillary Tumors with Implication for Malignant Potential: Insights from a Literature Review and Series Report. sciencedirect.com/science/articl… #pathology #PathTwitter #PathX #lungpath

Human_Pathology's tweet image. New in #HumPathol: Histomorphological and Molecular Spectrum of Ciliated Muconodular Papillary Tumors with Implication for Malignant Potential: Insights from a Literature Review and Series Report. sciencedirect.com/science/articl… #pathology #PathTwitter #PathX #lungpath

New in #HumPathol: Non-Invasive Follicular Thyroid Neoplasm with Papillary-Like Nuclear Features (NIFTP) in the Adolescent and Young Adult Population: A Pediatric Center Experience. sciencedirect.com/science/articl… #pathology #PathTwitter #PathX #ENTpath

Human_Pathology's tweet image. New in #HumPathol: Non-Invasive Follicular Thyroid Neoplasm with Papillary-Like Nuclear Features (NIFTP) in the Adolescent and Young Adult Population: A Pediatric Center Experience. sciencedirect.com/science/articl… #pathology #PathTwitter #PathX #ENTpath

New in #HumPathol: Integrating computational pathology and multi-transcriptomics to characterize glioblastoma heterogeneity and identify prognostic biomarkers. sciencedirect.com/science/articl… #pathology #PathTwitter #PathX #neuropath

Human_Pathology's tweet image. New in #HumPathol: Integrating computational pathology and multi-transcriptomics to characterize glioblastoma heterogeneity and identify prognostic biomarkers. sciencedirect.com/science/articl… #pathology #PathTwitter #PathX #neuropath

New in #HumPathol: Undifferentiated Embryonal Sarcoma of the Liver: A Clinicopathological and Genomic Study of 10 Cases from a Single Institution. sciencedirect.com/science/articl… #pathology #PathTwitter #PathX #liverpath

Human_Pathology's tweet image. New in #HumPathol: Undifferentiated Embryonal Sarcoma of the Liver: A Clinicopathological and Genomic Study of 10 Cases from a Single Institution. sciencedirect.com/science/articl… #pathology #PathTwitter #PathX #liverpath

New in #HumPathol: Clinicopathologic and Radio-Genomic Insights into Hepatic Epithelioid Hemangioma: An Illustrated Review. sciencedirect.com/science/articl… #pathology #PathTwitter #PathX #liverpath

Human_Pathology's tweet image. New in #HumPathol: Clinicopathologic and Radio-Genomic Insights into Hepatic Epithelioid Hemangioma: An Illustrated Review. sciencedirect.com/science/articl… #pathology #PathTwitter #PathX #liverpath

New in #HumPathol: Histological characteristics of primary biliary cholangitis in patients with incomplete responses to ursodeoxycholic acid. sciencedirect.com/science/articl… #pathology #PathTwitter #PathX #liverpath

Human_Pathology's tweet image. New in #HumPathol: Histological characteristics of primary biliary cholangitis in patients with incomplete responses to ursodeoxycholic acid. sciencedirect.com/science/articl… #pathology #PathTwitter #PathX #liverpath

New in #HumPathol: Genitourinary mesenchymal neoplasms with tumor-defining genetic alterations: A clinicopathologic and molecular correlative study of 71 cases. sciencedirect.com/science/articl… #pathology #PathTwitter #PathX #GUpath #BSTpath

Human_Pathology's tweet image. New in #HumPathol: Genitourinary mesenchymal neoplasms with tumor-defining genetic alterations: A clinicopathologic and molecular correlative study of 71 cases. sciencedirect.com/science/articl… #pathology #PathTwitter #PathX #GUpath #BSTpath

New in #HumPathol: CTNNB1 mutations in serum amyloid A-positive hepatocellular neoplasm/inflammatory hepatocellular adenoma arising in alcoholic cirrhosis. sciencedirect.com/science/articl… #pathology #PathTwitter #PathX #liverpath

Human_Pathology's tweet image. New in #HumPathol: CTNNB1 mutations in serum amyloid A-positive hepatocellular neoplasm/inflammatory hepatocellular adenoma arising in alcoholic cirrhosis. sciencedirect.com/science/articl… #pathology #PathTwitter #PathX #liverpath

New in #HumPathol: Cytopathologic and histopathologic characteristics of SMARCB1 deficient neoplasm and correlation with molecular and immunohistochemical findings. sciencedirect.com/science/articl… #pathology #PathTwitter #PathX #BSTpath

Human_Pathology's tweet image. New in #HumPathol: Cytopathologic and histopathologic characteristics of SMARCB1 deficient neoplasm and correlation with molecular and immunohistochemical findings. sciencedirect.com/science/articl… #pathology #PathTwitter #PathX #BSTpath

New in #HumPathol: Dual Amyloidosis: A Clinicopathologic and Proteomic Analysis of 111 Patients. sciencedirect.com/science/articl… #pathology #PathTwitter #PathX #surgpath

Human_Pathology's tweet image. New in #HumPathol: Dual Amyloidosis: A Clinicopathologic and Proteomic Analysis of 111 Patients. sciencedirect.com/science/articl… #pathology #PathTwitter #PathX #surgpath

New in #HumPathol: Myoepithelial and Epithelial-myoepithelial Clinically Advanced and Metastatic Carcinomas of Salivary Gland: A Comparative Comprehensive Genomic Profiling Study. sciencedirect.com/science/articl… #pathology #PathTwitter #PathX #ENTpath

Human_Pathology's tweet image. New in #HumPathol: Myoepithelial and Epithelial-myoepithelial Clinically Advanced and Metastatic Carcinomas of Salivary Gland: A Comparative Comprehensive Genomic Profiling Study. sciencedirect.com/science/articl… #pathology #PathTwitter #PathX #ENTpath

New in #HumPathol: GNAQ-/GNA14-mutated Hepatic Vascular Malformation with Capillary Proliferation in Adults and Children. sciencedirect.com/science/articl… #pathology #PathTwitter #PathX #liverpath

Human_Pathology's tweet image. New in #HumPathol: GNAQ-/GNA14-mutated Hepatic Vascular Malformation with Capillary Proliferation in Adults and Children. sciencedirect.com/science/articl… #pathology #PathTwitter #PathX #liverpath

New in #HumPathol: Porto-sinusoidal vascular disorder (PSVD): Survey-based analysis of the usage and drawbacks of this newly proposed terminology. sciencedirect.com/science/articl… #pathology #PathTwitter #PathX #liverpath

Human_Pathology's tweet image. New in #HumPathol: Porto-sinusoidal vascular disorder (PSVD): Survey-based analysis of the usage and drawbacks of this newly proposed terminology. sciencedirect.com/science/articl… #pathology #PathTwitter #PathX #liverpath

New in #HumPathol: Evaluation of nuclear pseudoinclusions, GATA3, 34βE12, and GPNMB performances in CK7 diffuse positive clear cell renal cell neoplasms. sciencedirect.com/science/articl… #pathology #PathTwitter #PathX #GUpath

Human_Pathology's tweet image. New in #HumPathol: Evaluation of nuclear pseudoinclusions, GATA3, 34βE12, and GPNMB performances in CK7 diffuse positive clear cell renal cell neoplasms. sciencedirect.com/science/articl… #pathology #PathTwitter #PathX #GUpath

New in #HumPathol: Clinicopathological characteristics and immune infiltration analysis of esophagogastric junction adenocarcinoma with alterations in SWI/SNF complex. sciencedirect.com/science/articl… #pathology #PathTwitter #PathX #GIpath

Human_Pathology's tweet image. New in #HumPathol: Clinicopathological characteristics and immune infiltration analysis of esophagogastric junction adenocarcinoma with alterations in SWI/SNF complex. sciencedirect.com/science/articl… #pathology #PathTwitter #PathX #GIpath

Loading...

Something went wrong.


Something went wrong.


United States Trends