#imageoftheweek search results

#ImageOfTheWeek by Ahmed Khalil, Ahmed Sofian Otba, and Mina S. Youssef from Kasr Al-Ainy, Cairo University Hospitals,Cairo, Egypt. This is an echocardiographic study of a woman in her 30s who underwent primary PCI to the right coronary artery. What is the echogenic structure…

escardio's tweet image. #ImageOfTheWeek by Ahmed Khalil, Ahmed Sofian Otba, and Mina S. Youssef from Kasr Al-Ainy, Cairo University Hospitals,Cairo, Egypt.
This is an echocardiographic study of a woman in her 30s who underwent primary PCI to the right coronary artery. What is the echogenic structure…

#ImageOfTheWeek by Monica Ianniruberto, Enrico Pulvirenti and Lorenzo Monti from Ospedale Humanitas Mater Domini, Milan, Italy. Which is the most likely diagnosis? ow.ly/XOkq50XtTYU #cardioed

escardio's tweet image. #ImageOfTheWeek by Monica Ianniruberto, Enrico Pulvirenti and Lorenzo Monti from Ospedale Humanitas Mater Domini, Milan, Italy. 

Which is the most likely diagnosis? ow.ly/XOkq50XtTYU

#cardioed

BSA IMAGE OF THE WEEK: 11.02.25 ONE MIZER (📷 © Jaime Rojo) v/ Brooklyn Street Art #spiderman #ImageOfTheWeek @ImageIn8 #StreetArt #UrbanArt

Imagein8's tweet image. BSA IMAGE OF THE WEEK: 11.02.25
ONE MIZER (📷 © Jaime Rojo) v/ Brooklyn Street Art 
#spiderman #ImageOfTheWeek @ImageIn8 #StreetArt #UrbanArt

#ImageOfTheWeek by Ram Manohar Talupula and Ramesh Babu Pothineni from Aster Ramesh Hospitals, Vijayawada, India. What is the calcific mass? ow.ly/THqs50Xkag4 #cardioed

escardio's tweet image. #ImageOfTheWeek by Ram Manohar Talupula and Ramesh Babu Pothineni from Aster Ramesh Hospitals, Vijayawada, India.

What is the calcific mass? ow.ly/THqs50Xkag4

#cardioed

#ImageOfTheWeek by Oualid Kerrouani, Mohamed Sarsari and Jamila Zarzur from Ibn Sina University Hospital, Rabat, Morocco. The patient is an elderly woman, post-anterior MI with dyspnoea. What is your echo diagnosis? ow.ly/gqbV50XbxIi #cardioed

escardio's tweet image. #ImageOfTheWeek by Oualid Kerrouani, Mohamed Sarsari and Jamila Zarzur from Ibn Sina University Hospital, Rabat, Morocco.
The patient is an elderly woman, post-anterior MI with dyspnoea. 

What is your echo diagnosis? ow.ly/gqbV50XbxIi

#cardioed

#ImageOfTheWeek by Mohsin Raj Mantoo and Prof. Rajiv Narang from AIIMS, New Delhi, India. The patient is a 47-year-old smoker with hoarseness and a chest mass. What is the CXR finding? ow.ly/oJXu50X8rVx #cardioed

escardio's tweet image. #ImageOfTheWeek by Mohsin Raj Mantoo and Prof. Rajiv Narang from AIIMS, New Delhi, India.
The patient is a 47-year-old smoker with hoarseness and a chest mass. What is the CXR finding? ow.ly/oJXu50X8rVx

#cardioed

🍄🖋 #imageoftheweek ¦ 🍄🖋 #imageoftheweek ¦ A sketch of Shaggy Ink Cap mushrooms, drawn using ink from the mushrooms themselves! Art meets nature, thanks to Professor @neil_gow 🌳

MRCcmm's tweet image. 🍄🖋  #imageoftheweek ¦ 🍄🖋  #imageoftheweek ¦ A sketch of Shaggy Ink Cap mushrooms, drawn using ink from the mushrooms themselves!

Art meets nature, thanks to Professor @neil_gow 🌳

#ImageOfTheWeek by Nabil Laktib, Lydia Yasmine Nnomo, and Zouhair Lakhal from the Cardiology Intensive Care Unit, Mohammed V Military Teaching Hospital, Rabat, Morocco. A patient in their 60s presented with a late-presentation ST-elevation myocardial infarction. What is the…

escardio's tweet image. #ImageOfTheWeek by Nabil Laktib, Lydia Yasmine Nnomo, and Zouhair Lakhal from the Cardiology Intensive Care Unit, Mohammed V Military Teaching Hospital, Rabat, Morocco. A patient in their 60s presented with a late-presentation ST-elevation myocardial infarction. What is the…

#ImageOfTheWeek ¦ The Fungal Superhighway 🧫 Cryptococcus neoformans (blue) moving through mouse nose tissue (pink). This image is the first time it’s been seen in this formation in the airways. 📸 @Ness_Francis88 MRC Centre for Medical Mycology #FungalInfection #Mycology

MRCcmm's tweet image. #ImageOfTheWeek ¦ The Fungal Superhighway 🧫

Cryptococcus neoformans (blue) moving through mouse nose tissue (pink). This image is the first time it’s been seen in this formation in the airways. 

📸 @Ness_Francis88 MRC Centre for Medical Mycology
 
#FungalInfection #Mycology

🔬 #imageoftheweek: Aspergillus fumigatus is a common mould. Most people breathe it in daily & for those with weakened immune systems, it can cause serious illness. Drug-resistance is an emerging threat. 📸 Kevin Mackenzie, @mark_stappers @tina_bedekovic

MRCcmm's tweet image. 🔬 #imageoftheweek: Aspergillus fumigatus is a common mould. Most people breathe it in daily & for those with weakened immune systems, it can cause serious illness. Drug-resistance is an emerging threat. 

📸 Kevin Mackenzie, @mark_stappers @tina_bedekovic

#ImageOfTheWeek by José Carlos Campos Barba, Guadalupe Lisseth Hernandez González, and Jorge Daniel Lara Martínez from Instituto Nacional de Cardiología Ignacio Chávez, Mexico City, Mexico. A 71-year-old woman with permanent atrial fibrillation presents with dizziness, yellow…

escardio's tweet image. #ImageOfTheWeek
by José Carlos Campos Barba, Guadalupe Lisseth Hernandez González, and Jorge Daniel Lara Martínez from Instituto Nacional de Cardiología Ignacio Chávez, Mexico City, Mexico.

A 71-year-old woman with permanent atrial fibrillation presents with dizziness, yellow…

#ImageOfTheWeek by Sung Chu Lung from the Cardiology Unit, Hospital Authority, Hong Kong, China. A man in his 70s presents with heart failure. What is your diagnosis? ow.ly/cQ1s50WY14G #cardioed

escardio's tweet image. #ImageOfTheWeek by Sung Chu Lung from the Cardiology Unit, Hospital Authority, Hong Kong, China.
A man in his 70s presents with heart failure. What is your diagnosis? ow.ly/cQ1s50WY14G

#cardioed

#ImageOfTheWeek by Grigoris Avdikos, Dimitris Kourasis and Spiros Papaioannou from Athens Navy and Veterans Hospital, Athens, Greece. A 68-year-old man with atrial flutter had TEE before cardioversion; an unexpected aortic mass was found. What’s your diagnosis?…

escardio's tweet image. #ImageOfTheWeek by Grigoris Avdikos, Dimitris Kourasis and Spiros Papaioannou from Athens Navy and Veterans Hospital, Athens, Greece.
A 68-year-old man with atrial flutter had TEE before cardioversion; an unexpected aortic mass was found. 

What’s your diagnosis?…

Busy Thursday 👩🏽‍💻👠🩺 #ImageOfTheWeek 🧔🏽‍♂️31-year-old male, completed treatment for leprosy, was brought to the hospital with a Δt of 120 minutes experiencing typical chest pain after 2 hours of using marijuana. Active smoker. On admission, the patient had high blood pressure…


#ImageOfTheWeek by Nur Rahma Almaraz, Elena Sufrate Sorzano and Teresa Gonzalo Moreno from Hospital San Pedro, Logrono, Spain. What radiologic pattern is seen on this CXR in a patient with fever and dyspnoea? ow.ly/TYhY50Xg8Cb #cardioed

escardio's tweet image. #ImageOfTheWeek by  Nur Rahma Almaraz, Elena Sufrate Sorzano and Teresa Gonzalo Moreno from Hospital San Pedro, Logrono, Spain.

What radiologic pattern is seen on this CXR in a patient with fever and dyspnoea? ow.ly/TYhY50Xg8Cb

#cardioed

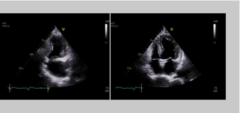
#ImageOfTheWeek by Sarsari Mohamed, Amri Rachida and Cherti Mohamed from Ibn Sina University Hospital, Cairo, Egypt. What is the echo anomaly here? The patient is 70-years old with chest pain and systolo‑diastolic murmur ow.ly/So6J50X1hlg #cardioed

escardio's tweet image. #ImageOfTheWeek by Sarsari Mohamed, Amri Rachida and Cherti Mohamed from Ibn Sina University Hospital, Cairo, Egypt.
What is the echo anomaly here? The patient is 70-years old with chest pain and systolo‑diastolic murmur ow.ly/So6J50X1hlg

#cardioed

#ImageoftheWeek This week's quiz was submitted by André Lobo at al. from the Cardiology Department, Unidade Local de Saúde Gaia e Espinho, Vila Nova de Gaia, 🇵🇹 In the presented #echofirst images, which finding is identifiable? ☑️shorturl.at/QkRbt @EACVIPresident

echo_stepbystep's tweet image. #ImageoftheWeek This week's quiz was submitted by André Lobo at al. from the Cardiology Department, Unidade Local de Saúde Gaia e Espinho, Vila Nova de Gaia, 🇵🇹
In the presented #echofirst images, which finding is identifiable? ☑️shorturl.at/QkRbt
@EACVIPresident

#ImageoftheWeek This #quiz was submitted by Mahmoud Naseem Shaaban from the Aswan Heart Centre (Magdi Yacoub Foundation), Aswan, 🇪🇬 What is the course of this anomalous (LMCA) originating from the right coronary artery (RCA)? ☑️shorturl.at/6f8Dr @EACVIPresident

echo_stepbystep's tweet image. #ImageoftheWeek This #quiz was submitted by Mahmoud Naseem Shaaban from the Aswan Heart Centre (Magdi Yacoub Foundation), Aswan, 🇪🇬
What is the course of this anomalous (LMCA) originating from the right coronary artery (RCA)?
☑️shorturl.at/6f8Dr
@EACVIPresident

#ImageOfTheWeek by Anish Adhikari and Caleb Wutawunashe from Lenox Hill Hospital/Northwell Health, New York, New York, USA. What is the preferred drug for this ventricular tachycardia? ow.ly/xntH50WF4Jp #cardioed

escardio's tweet image. #ImageOfTheWeek by Anish Adhikari and Caleb Wutawunashe from Lenox Hill Hospital/Northwell Health, New York, New York, USA.

What is the preferred drug for this ventricular tachycardia? ow.ly/xntH50WF4Jp

#cardioed

#ImageOfTheWeek ¦ The Fungal Superhighway 🧫 Cryptococcus neoformans (blue) moving through mouse nose tissue (pink). This image is the first time it’s been seen in this formation in the airways. 📸 @Ness_Francis88 MRC Centre for Medical Mycology #FungalInfection #Mycology

MRCcmm's tweet image. #ImageOfTheWeek ¦ The Fungal Superhighway 🧫

Cryptococcus neoformans (blue) moving through mouse nose tissue (pink). This image is the first time it’s been seen in this formation in the airways. 

📸 @Ness_Francis88 MRC Centre for Medical Mycology
 
#FungalInfection #Mycology

#ImageOfTheWeek by Monica Ianniruberto, Enrico Pulvirenti and Lorenzo Monti from Ospedale Humanitas Mater Domini, Milan, Italy. Which is the most likely diagnosis? ow.ly/XOkq50XtTYU #cardioed

escardio's tweet image. #ImageOfTheWeek by Monica Ianniruberto, Enrico Pulvirenti and Lorenzo Monti from Ospedale Humanitas Mater Domini, Milan, Italy. 

Which is the most likely diagnosis? ow.ly/XOkq50XtTYU

#cardioed

BSA IMAGE OF THE WEEK: 11.02.25 ONE MIZER (📷 © Jaime Rojo) v/ Brooklyn Street Art #spiderman #ImageOfTheWeek @ImageIn8 #StreetArt #UrbanArt

Imagein8's tweet image. BSA IMAGE OF THE WEEK: 11.02.25
ONE MIZER (📷 © Jaime Rojo) v/ Brooklyn Street Art 
#spiderman #ImageOfTheWeek @ImageIn8 #StreetArt #UrbanArt

🍄🖋 #imageoftheweek ¦ 🍄🖋 #imageoftheweek ¦ A sketch of Shaggy Ink Cap mushrooms, drawn using ink from the mushrooms themselves! Art meets nature, thanks to Professor @neil_gow 🌳

MRCcmm's tweet image. 🍄🖋  #imageoftheweek ¦ 🍄🖋  #imageoftheweek ¦ A sketch of Shaggy Ink Cap mushrooms, drawn using ink from the mushrooms themselves!

Art meets nature, thanks to Professor @neil_gow 🌳

#ImageOfTheWeek by Ahmed Khalil, Ahmed Sofian Otba, and Mina S. Youssef from Kasr Al-Ainy, Cairo University Hospitals,Cairo, Egypt. This is an echocardiographic study of a woman in her 30s who underwent primary PCI to the right coronary artery. What is the echogenic structure…

escardio's tweet image. #ImageOfTheWeek by Ahmed Khalil, Ahmed Sofian Otba, and Mina S. Youssef from Kasr Al-Ainy, Cairo University Hospitals,Cairo, Egypt.
This is an echocardiographic study of a woman in her 30s who underwent primary PCI to the right coronary artery. What is the echogenic structure…


#ImageOfTheWeek by Ahmed Khalil, Ahmed Sofian Otba, and Mina S. Youssef from Kasr Al-Ainy, Cairo University Hospitals,Cairo, Egypt. This is an echocardiographic study of a woman in her 30s who underwent primary PCI to the right coronary artery. What is the echogenic structure…

escardio's tweet image. #ImageOfTheWeek by Ahmed Khalil, Ahmed Sofian Otba, and Mina S. Youssef from Kasr Al-Ainy, Cairo University Hospitals,Cairo, Egypt.
This is an echocardiographic study of a woman in her 30s who underwent primary PCI to the right coronary artery. What is the echogenic structure…

#ImageOfTheWeek by Nabil Laktib, Lydia Yasmine Nnomo, and Zouhair Lakhal from the Cardiology Intensive Care Unit, Mohammed V Military Teaching Hospital, Rabat, Morocco. A patient in their 60s presented with a late-presentation ST-elevation myocardial infarction. What is the…

escardio's tweet image. #ImageOfTheWeek by Nabil Laktib, Lydia Yasmine Nnomo, and Zouhair Lakhal from the Cardiology Intensive Care Unit, Mohammed V Military Teaching Hospital, Rabat, Morocco. A patient in their 60s presented with a late-presentation ST-elevation myocardial infarction. What is the…


#ImageOfTheWeek by Nabil Laktib, Lydia Yasmine Nnomo, and Zouhair Lakhal from the Cardiology Intensive Care Unit, Mohammed V Military Teaching Hospital, Rabat, Morocco. A patient in their 60s presented with a late-presentation ST-elevation myocardial infarction. What is the…

escardio's tweet image. #ImageOfTheWeek by Nabil Laktib, Lydia Yasmine Nnomo, and Zouhair Lakhal from the Cardiology Intensive Care Unit, Mohammed V Military Teaching Hospital, Rabat, Morocco. A patient in their 60s presented with a late-presentation ST-elevation myocardial infarction. What is the…

🎆 Fungal fireworks! 🎆 This #imageoftheweek shows Trichophyton, the mould #fungus behind athlete’s foot & ringworm. It forms spores that germinate and grow long, thin strands called hyphae. 📸 Mark Stappers, Ian Leaves & Darren Thomson, MRC Centre for Medical Mycology #fungi

MRCcmm's tweet image. 🎆 Fungal fireworks! 🎆

This #imageoftheweek shows Trichophyton, the mould #fungus behind athlete’s foot & ringworm. It forms spores that germinate and grow long, thin strands called hyphae. 

📸 Mark Stappers, Ian Leaves & Darren Thomson, MRC Centre for Medical Mycology

#fungi

👻 This creepy critter isn’t a Halloween costume, it’s Trichophyton - a fungus that causes athlete’s foot & ringworm! 🧟 Seen under the microscope, it looks like it’s reaching out to haunt your skin 🎃 📸 @mark_stappers #imageoftheweek #halloweenscience #microscopy #mycology

MRCcmm's tweet image. 👻 This creepy critter isn’t a Halloween costume, it’s Trichophyton - a fungus that causes athlete’s foot & ringworm! 🧟 Seen under the microscope, it looks like it’s reaching out to haunt your skin 🎃 

📸 @mark_stappers 

#imageoftheweek #halloweenscience #microscopy #mycology

#ImageOfTheWeek by Ram Manohar Talupula and Ramesh Babu Pothineni from Aster Ramesh Hospitals, Vijayawada, India. What is the calcific mass? ow.ly/THqs50Xkag4 #cardioed

escardio's tweet image. #ImageOfTheWeek by Ram Manohar Talupula and Ramesh Babu Pothineni from Aster Ramesh Hospitals, Vijayawada, India.

What is the calcific mass? ow.ly/THqs50Xkag4

#cardioed

#imageoftheweek ¦ Screening a library of mutant fungi Scientists at the Centre often remove or 'knock out' a particular gene to see how it affects the fungi's response to different antifungal drugs, to deepen understanding & improve outcomes for patients.

MRCcmm's tweet image. #imageoftheweek ¦ Screening a library of mutant fungi

Scientists at the Centre often remove or 'knock out' a particular gene to see how it affects the fungi's response to different antifungal drugs, to deepen understanding & improve outcomes for patients.

#ImageOfTheWeek by Nur Rahma Almaraz, Elena Sufrate Sorzano and Teresa Gonzalo Moreno from Hospital San Pedro, Logrono, Spain. What radiologic pattern is seen on this CXR in a patient with fever and dyspnoea? ow.ly/TYhY50Xg8Cb #cardioed

escardio's tweet image. #ImageOfTheWeek by  Nur Rahma Almaraz, Elena Sufrate Sorzano and Teresa Gonzalo Moreno from Hospital San Pedro, Logrono, Spain.

What radiologic pattern is seen on this CXR in a patient with fever and dyspnoea? ow.ly/TYhY50Xg8Cb

#cardioed

🔬 #imageoftheweek ¦ Candida albicans goliath cells Goliath cells are oversized, ultra-sticky yeast cells formed when Candida albicans is starved of zinc. They cling to plastic and build biofilms 🧫 🔗 journals.asm.org/doi/10.1128/mb… 📸 Iana Kalinina #microscopy #microbiology

MRCcmm's tweet image. 🔬 #imageoftheweek ¦ Candida albicans goliath cells

Goliath cells are oversized, ultra-sticky yeast cells formed when Candida albicans is starved of zinc. They cling to plastic and build biofilms 🧫
🔗 journals.asm.org/doi/10.1128/mb… 
📸 Iana Kalinina

#microscopy #microbiology

#ImageOfTheWeek by Oualid Kerrouani, Mohamed Sarsari and Jamila Zarzur from Ibn Sina University Hospital, Rabat, Morocco. The patient is an elderly woman, post-anterior MI with dyspnoea. What is your echo diagnosis? ow.ly/gqbV50XbxIi #cardioed

escardio's tweet image. #ImageOfTheWeek by Oualid Kerrouani, Mohamed Sarsari and Jamila Zarzur from Ibn Sina University Hospital, Rabat, Morocco.
The patient is an elderly woman, post-anterior MI with dyspnoea. 

What is your echo diagnosis? ow.ly/gqbV50XbxIi

#cardioed

#ImageoftheWeek 🛰️Roebuck Bay, near #Broome in Western Australia is a significant bird migration hotspot, particularly for shorebirds and waders. 📸 Image source: Planet Labs PBC

ngis_australia's tweet image. #ImageoftheWeek 🛰️Roebuck Bay, near #Broome in Western Australia is a significant bird migration hotspot, particularly for shorebirds and waders. 

📸 Image source: Planet Labs PBC

🧪 #imageoftheweek Cutting-edge science in action at #Candida25 Talks revealed new disease models, fresh insights into Candida glabrata... ⬇️ 🧵

MRCcmm's tweet image. 🧪 #imageoftheweek Cutting-edge science in action at #Candida25 

Talks revealed new disease models, fresh insights into Candida glabrata... ⬇️ 🧵
MRCcmm's tweet image. 🧪 #imageoftheweek Cutting-edge science in action at #Candida25 

Talks revealed new disease models, fresh insights into Candida glabrata... ⬇️ 🧵
MRCcmm's tweet image. 🧪 #imageoftheweek Cutting-edge science in action at #Candida25 

Talks revealed new disease models, fresh insights into Candida glabrata... ⬇️ 🧵
MRCcmm's tweet image. 🧪 #imageoftheweek Cutting-edge science in action at #Candida25 

Talks revealed new disease models, fresh insights into Candida glabrata... ⬇️ 🧵

#ImageOfTheWeek by Mohsin Raj Mantoo and Prof. Rajiv Narang from AIIMS, New Delhi, India. The patient is a 47-year-old smoker with hoarseness and a chest mass. What is the CXR finding? ow.ly/oJXu50X8rVx #cardioed

escardio's tweet image. #ImageOfTheWeek by Mohsin Raj Mantoo and Prof. Rajiv Narang from AIIMS, New Delhi, India.
The patient is a 47-year-old smoker with hoarseness and a chest mass. What is the CXR finding? ow.ly/oJXu50X8rVx

#cardioed

🛰️Image of the Week 🛰️ Did you know Lake St Clair is a hotspot for Australia’s iconic platypus? 📸 Image source: Planet Labs PBC #imageoftheweek #LakeStClair #platypus #tasmania

ngis_australia's tweet image. 🛰️Image of the Week 🛰️ Did you know Lake St Clair is a hotspot for Australia’s iconic platypus?

📸 Image source: Planet Labs PBC

#imageoftheweek #LakeStClair #platypus #tasmania

Our #ImageoftheWeek: 12,000 year old rock art panel of life-sized camels discovered in the Nefed Desert, Saudi Arabia. Orthophoto with tracings digitally outlined in color. Image source: M. Guagnin et al. 2025 (buff.ly/xdoGWW9). CC By 4.0. #RockArt #SaudiArabia

ASOResearch's tweet image. Our #ImageoftheWeek: 12,000 year old rock art panel of life-sized camels discovered in the Nefed Desert, Saudi Arabia. Orthophoto with tracings digitally outlined in color. Image source: M. Guagnin et al. 2025 (buff.ly/xdoGWW9). CC By 4.0.
#RockArt #SaudiArabia

#ImageOfTheWeek by Ahmed Khalil, Ahmed Sofian Otba, and Mina S. Youssef from Kasr Al-Ainy, Cairo University Hospitals,Cairo, Egypt. This is an echocardiographic study of a woman in her 30s who underwent primary PCI to the right coronary artery. What is the echogenic structure…

escardio's tweet image. #ImageOfTheWeek by Ahmed Khalil, Ahmed Sofian Otba, and Mina S. Youssef from Kasr Al-Ainy, Cairo University Hospitals,Cairo, Egypt.
This is an echocardiographic study of a woman in her 30s who underwent primary PCI to the right coronary artery. What is the echogenic structure…

🔬 #imageoftheweek: Aspergillus fumigatus is a common mould. Most people breathe it in daily & for those with weakened immune systems, it can cause serious illness. Drug-resistance is an emerging threat. 📸 Kevin Mackenzie, @mark_stappers @tina_bedekovic

MRCcmm's tweet image. 🔬 #imageoftheweek: Aspergillus fumigatus is a common mould. Most people breathe it in daily & for those with weakened immune systems, it can cause serious illness. Drug-resistance is an emerging threat. 

📸 Kevin Mackenzie, @mark_stappers @tina_bedekovic

#ImageOfTheWeek ¦ The Fungal Superhighway 🧫 Cryptococcus neoformans (blue) moving through mouse nose tissue (pink). This image is the first time it’s been seen in this formation in the airways. 📸 @Ness_Francis88 MRC Centre for Medical Mycology #FungalInfection #Mycology

MRCcmm's tweet image. #ImageOfTheWeek ¦ The Fungal Superhighway 🧫

Cryptococcus neoformans (blue) moving through mouse nose tissue (pink). This image is the first time it’s been seen in this formation in the airways. 

📸 @Ness_Francis88 MRC Centre for Medical Mycology
 
#FungalInfection #Mycology

#ImageOfTheWeek by Mohsin Raj Mantoo and Prof. Rajiv Narang from AIIMS, New Delhi, India. The patient is a 47-year-old smoker with hoarseness and a chest mass. What is the CXR finding? ow.ly/oJXu50X8rVx #cardioed

escardio's tweet image. #ImageOfTheWeek by Mohsin Raj Mantoo and Prof. Rajiv Narang from AIIMS, New Delhi, India.
The patient is a 47-year-old smoker with hoarseness and a chest mass. What is the CXR finding? ow.ly/oJXu50X8rVx

#cardioed

#ImageOfTheWeek by Ram Manohar Talupula and Ramesh Babu Pothineni from Aster Ramesh Hospitals, Vijayawada, India. What is the calcific mass? ow.ly/THqs50Xkag4 #cardioed

escardio's tweet image. #ImageOfTheWeek by Ram Manohar Talupula and Ramesh Babu Pothineni from Aster Ramesh Hospitals, Vijayawada, India.

What is the calcific mass? ow.ly/THqs50Xkag4

#cardioed

#ImageOfTheWeek by Oualid Kerrouani, Mohamed Sarsari and Jamila Zarzur from Ibn Sina University Hospital, Rabat, Morocco. The patient is an elderly woman, post-anterior MI with dyspnoea. What is your echo diagnosis? ow.ly/gqbV50XbxIi #cardioed

escardio's tweet image. #ImageOfTheWeek by Oualid Kerrouani, Mohamed Sarsari and Jamila Zarzur from Ibn Sina University Hospital, Rabat, Morocco.
The patient is an elderly woman, post-anterior MI with dyspnoea. 

What is your echo diagnosis? ow.ly/gqbV50XbxIi

#cardioed

#ImageOfTheWeek by Sung Chu Lung from the Cardiology Unit, Hospital Authority, Hong Kong, China. A man in his 70s presents with heart failure. What is your diagnosis? ow.ly/cQ1s50WY14G #cardioed

escardio's tweet image. #ImageOfTheWeek by Sung Chu Lung from the Cardiology Unit, Hospital Authority, Hong Kong, China.
A man in his 70s presents with heart failure. What is your diagnosis? ow.ly/cQ1s50WY14G

#cardioed

#ImageOfTheWeek by Nur Rahma Almaraz, Elena Sufrate Sorzano and Teresa Gonzalo Moreno from Hospital San Pedro, Logrono, Spain. What radiologic pattern is seen on this CXR in a patient with fever and dyspnoea? ow.ly/TYhY50Xg8Cb #cardioed

escardio's tweet image. #ImageOfTheWeek by  Nur Rahma Almaraz, Elena Sufrate Sorzano and Teresa Gonzalo Moreno from Hospital San Pedro, Logrono, Spain.

What radiologic pattern is seen on this CXR in a patient with fever and dyspnoea? ow.ly/TYhY50Xg8Cb

#cardioed

🎆 Fungal fireworks! 🎆 This #imageoftheweek shows Trichophyton, the mould #fungus behind athlete’s foot & ringworm. It forms spores that germinate and grow long, thin strands called hyphae. 📸 Mark Stappers, Ian Leaves & Darren Thomson, MRC Centre for Medical Mycology #fungi

MRCcmm's tweet image. 🎆 Fungal fireworks! 🎆

This #imageoftheweek shows Trichophyton, the mould #fungus behind athlete’s foot & ringworm. It forms spores that germinate and grow long, thin strands called hyphae. 

📸 Mark Stappers, Ian Leaves & Darren Thomson, MRC Centre for Medical Mycology

#fungi

BSA IMAGE OF THE WEEK: 11.02.25 ONE MIZER (📷 © Jaime Rojo) v/ Brooklyn Street Art #spiderman #ImageOfTheWeek @ImageIn8 #StreetArt #UrbanArt

Imagein8's tweet image. BSA IMAGE OF THE WEEK: 11.02.25
ONE MIZER (📷 © Jaime Rojo) v/ Brooklyn Street Art 
#spiderman #ImageOfTheWeek @ImageIn8 #StreetArt #UrbanArt

#ImageOfTheWeek by Nabil Laktib, Lydia Yasmine Nnomo, and Zouhair Lakhal from the Cardiology Intensive Care Unit, Mohammed V Military Teaching Hospital, Rabat, Morocco. A patient in their 60s presented with a late-presentation ST-elevation myocardial infarction. What is the…

escardio's tweet image. #ImageOfTheWeek by Nabil Laktib, Lydia Yasmine Nnomo, and Zouhair Lakhal from the Cardiology Intensive Care Unit, Mohammed V Military Teaching Hospital, Rabat, Morocco. A patient in their 60s presented with a late-presentation ST-elevation myocardial infarction. What is the…

🍄🖋 #imageoftheweek ¦ 🍄🖋 #imageoftheweek ¦ A sketch of Shaggy Ink Cap mushrooms, drawn using ink from the mushrooms themselves! Art meets nature, thanks to Professor @neil_gow 🌳

MRCcmm's tweet image. 🍄🖋  #imageoftheweek ¦ 🍄🖋  #imageoftheweek ¦ A sketch of Shaggy Ink Cap mushrooms, drawn using ink from the mushrooms themselves!

Art meets nature, thanks to Professor @neil_gow 🌳

#ImageOfTheWeek by Sarsari Mohamed, Amri Rachida and Cherti Mohamed from Ibn Sina University Hospital, Cairo, Egypt. What is the echo anomaly here? The patient is 70-years old with chest pain and systolo‑diastolic murmur ow.ly/So6J50X1hlg #cardioed

escardio's tweet image. #ImageOfTheWeek by Sarsari Mohamed, Amri Rachida and Cherti Mohamed from Ibn Sina University Hospital, Cairo, Egypt.
What is the echo anomaly here? The patient is 70-years old with chest pain and systolo‑diastolic murmur ow.ly/So6J50X1hlg

#cardioed

#ImageOfTheWeek by Grigoris Avdikos, Dimitris Kourasis and Spiros Papaioannou from Athens Navy and Veterans Hospital, Athens, Greece. A 68-year-old man with atrial flutter had TEE before cardioversion; an unexpected aortic mass was found. What’s your diagnosis?…

escardio's tweet image. #ImageOfTheWeek by Grigoris Avdikos, Dimitris Kourasis and Spiros Papaioannou from Athens Navy and Veterans Hospital, Athens, Greece.
A 68-year-old man with atrial flutter had TEE before cardioversion; an unexpected aortic mass was found. 

What’s your diagnosis?…

#ImageOfTheWeek by Monica Ianniruberto, Enrico Pulvirenti and Lorenzo Monti from Ospedale Humanitas Mater Domini, Milan, Italy. Which is the most likely diagnosis? ow.ly/XOkq50XtTYU #cardioed

escardio's tweet image. #ImageOfTheWeek by Monica Ianniruberto, Enrico Pulvirenti and Lorenzo Monti from Ospedale Humanitas Mater Domini, Milan, Italy. 

Which is the most likely diagnosis? ow.ly/XOkq50XtTYU

#cardioed

#ImageOfTheWeek by José Carlos Campos Barba, Guadalupe Lisseth Hernandez González, and Jorge Daniel Lara Martínez from Instituto Nacional de Cardiología Ignacio Chávez, Mexico City, Mexico. A 71-year-old woman with permanent atrial fibrillation presents with dizziness, yellow…

escardio's tweet image. #ImageOfTheWeek
by José Carlos Campos Barba, Guadalupe Lisseth Hernandez González, and Jorge Daniel Lara Martínez from Instituto Nacional de Cardiología Ignacio Chávez, Mexico City, Mexico.

A 71-year-old woman with permanent atrial fibrillation presents with dizziness, yellow…

#ImageoftheWeek This week's quiz was submitted by André Lobo at al. from the Cardiology Department, Unidade Local de Saúde Gaia e Espinho, Vila Nova de Gaia, 🇵🇹 In the presented #echofirst images, which finding is identifiable? ☑️shorturl.at/QkRbt @EACVIPresident

echo_stepbystep's tweet image. #ImageoftheWeek This week's quiz was submitted by André Lobo at al. from the Cardiology Department, Unidade Local de Saúde Gaia e Espinho, Vila Nova de Gaia, 🇵🇹
In the presented #echofirst images, which finding is identifiable? ☑️shorturl.at/QkRbt
@EACVIPresident

#ImageoftheWeek This #quiz was submitted by Mahmoud Naseem Shaaban from the Aswan Heart Centre (Magdi Yacoub Foundation), Aswan, 🇪🇬 What is the course of this anomalous (LMCA) originating from the right coronary artery (RCA)? ☑️shorturl.at/6f8Dr @EACVIPresident

echo_stepbystep's tweet image. #ImageoftheWeek This #quiz was submitted by Mahmoud Naseem Shaaban from the Aswan Heart Centre (Magdi Yacoub Foundation), Aswan, 🇪🇬
What is the course of this anomalous (LMCA) originating from the right coronary artery (RCA)?
☑️shorturl.at/6f8Dr
@EACVIPresident

#ImageoftheWeek This #Quiz was submitted by Leila Bigdelu and Ossama Maadarani from the Cardiovascular Medicine Division, Vascular Surgery Research Center, Mashhad University of Medical Sciences, Mashhad, 🇮🇷 ☑️shorturl.at/sdVxi What is your diagnosis? @EACVIPresident

echo_stepbystep's tweet image. #ImageoftheWeek This #Quiz was submitted by Leila Bigdelu and Ossama Maadarani from the Cardiovascular Medicine Division, Vascular Surgery Research Center, Mashhad University of Medical Sciences, Mashhad, 🇮🇷
☑️shorturl.at/sdVxi
What is your diagnosis?
@EACVIPresident

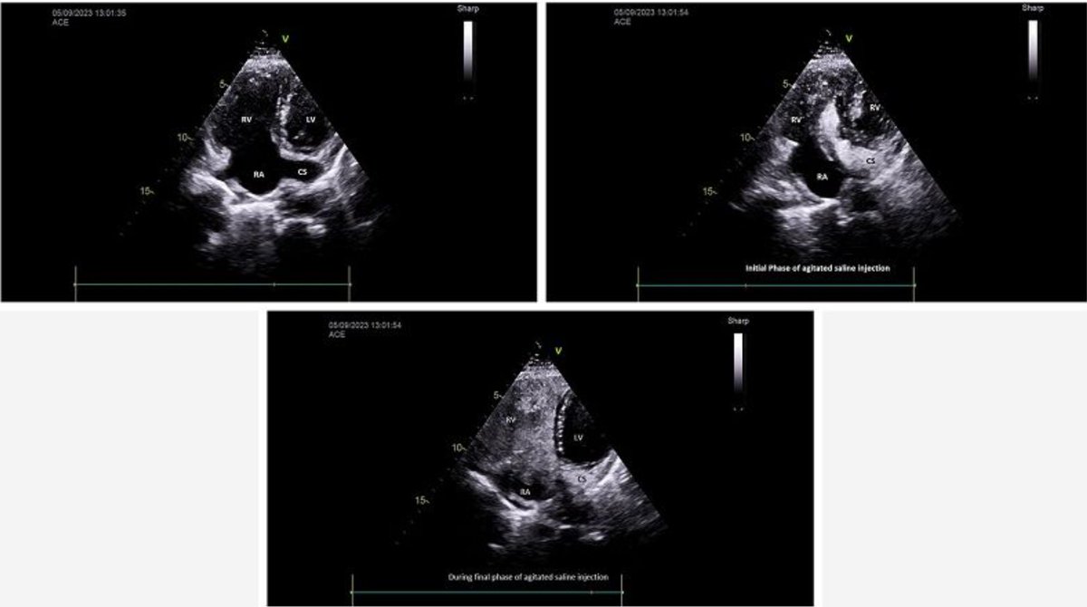
#ImageoftheWeek This #Quiz was submitted by Bishal KC, Samir Gautam and Sachin Dhungel from the Gautam Buddha Community Heart Hospital, Butwal,🇳🇵 What does this agitated saline contrast echocardiography via left cubital vein show? ☑️shorturl.at/NRTmn @EACVIPresident

echo_stepbystep's tweet image. #ImageoftheWeek This #Quiz  was submitted by Bishal KC, Samir Gautam and Sachin Dhungel from the Gautam Buddha Community Heart Hospital, Butwal,🇳🇵
What does this agitated saline contrast echocardiography via left cubital vein show? 
☑️shorturl.at/NRTmn
@EACVIPresident

Loading...

Something went wrong.


Something went wrong.


United States Trends