#masterthecomplex search results

Curso de lesiones complejas y manejo de complicaciones en puerto Rico 🇵🇷 Desarrollando nuevas técnicas #masterthecomplex #complexPCI #CHIP #intervencionismocardiaco #cardiotwitter #intervencionismo

yv4n's tweet image. Curso de lesiones complejas y manejo de complicaciones en puerto Rico 🇵🇷 
Desarrollando nuevas técnicas 
#masterthecomplex #complexPCI #CHIP
#intervencionismocardiaco #cardiotwitter #intervencionismo
yv4n's tweet image. Curso de lesiones complejas y manejo de complicaciones en puerto Rico 🇵🇷 
Desarrollando nuevas técnicas 
#masterthecomplex #complexPCI #CHIP
#intervencionismocardiaco #cardiotwitter #intervencionismo

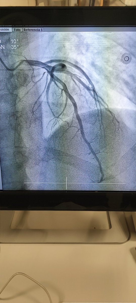
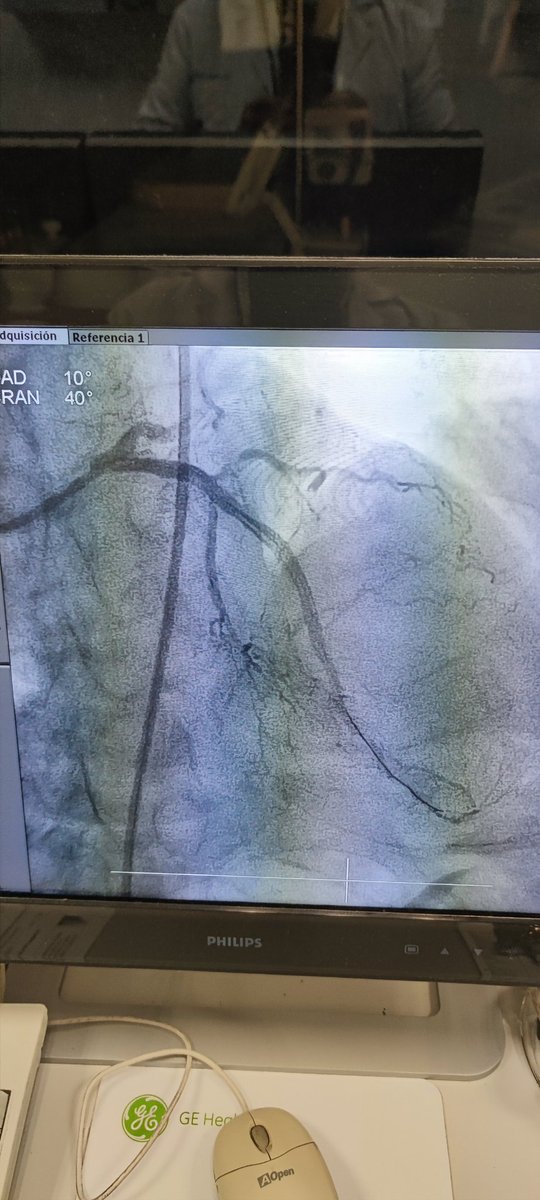
🫀⚡🧔🏻 45a, 🚬intenso, sedentario, obeso, HTA, #SICA #RadialFirst angio CD OTC agudizada TM disección ostial, Fullmetal CD 👌🏼 #MasterTheComplex #PCI #IVUS #Terumo #Azahi #BostonScientific #Medtronic

Abcsm74's tweet image. 🫀⚡🧔🏻 45a, 🚬intenso, sedentario, obeso, HTA, #SICA #RadialFirst angio CD OTC agudizada TM disección ostial, Fullmetal CD 👌🏼 #MasterTheComplex #PCI #IVUS #Terumo #Azahi #BostonScientific #Medtronic
Abcsm74's tweet image. 🫀⚡🧔🏻 45a, 🚬intenso, sedentario, obeso, HTA, #SICA #RadialFirst angio CD OTC agudizada TM disección ostial, Fullmetal CD 👌🏼 #MasterTheComplex #PCI #IVUS #Terumo #Azahi #BostonScientific #Medtronic
Abcsm74's tweet image. 🫀⚡🧔🏻 45a, 🚬intenso, sedentario, obeso, HTA, #SICA #RadialFirst angio CD OTC agudizada TM disección ostial, Fullmetal CD 👌🏼 #MasterTheComplex #PCI #IVUS #Terumo #Azahi #BostonScientific #Medtronic
Abcsm74's tweet image. 🫀⚡🧔🏻 45a, 🚬intenso, sedentario, obeso, HTA, #SICA #RadialFirst angio CD OTC agudizada TM disección ostial, Fullmetal CD 👌🏼 #MasterTheComplex #PCI #IVUS #Terumo #Azahi #BostonScientific #Medtronic

After 6 cycles of shock waves, and with modification of the atherosclerotic plaque, the stent was implanted with a successful result. #masterthecomplex, #complexPCI #PCI #Hemodinamia


Un gran orgullo pertenecer a este pequeño,gran servicio que se está abriendo camino en el intervencionismo coronario complejo...!!!👏🏻👏🏻👏🏻🧐🤔😷🇲🇽 @HemoMacGregor #IMSS #CathLab #MasterTheComplex #LatamCTO #PCI #CTO #RadialFirst @Josema1P @cardioelihu @Abcsm74 @alejandramg1991

Abcsm74's tweet image. Un gran orgullo pertenecer a este pequeño,gran servicio que se está abriendo camino en el intervencionismo coronario complejo...!!!👏🏻👏🏻👏🏻🧐🤔😷🇲🇽  @HemoMacGregor #IMSS #CathLab #MasterTheComplex #LatamCTO #PCI #CTO #RadialFirst 
@Josema1P 
@cardioelihu 
@Abcsm74
@alejandramg1991

Last chance to register: our #MasterTheComplex Series continues on Oct 21st, LIVE from Romania, Hungary and Tel Aviv. Live-case & live-in-a-box case on Left Main & Bifurcation, CTO/Complex PCI Register on master-the-complex.com and watch the teaser to discover more. #CardioEd


🫀⚡️⚽️🏆2️⃣0️⃣2️⃣6️⃣ 🤗🧐🤔😷🇲🇽 #CTO #PCI #MasterTheComplex @cardioelihu

🏆 The ML CTO 2026 – World Cup Edition is taking shape… 💡 Join the committee team in Nice from June 27th to 29th and adive into an immersive educational experience featuring: ⭐ Didactic case-based discussions ⭐ Multi-level live procedures ⭐ Debates & discussions ⭐ Tips &



More than 1.5 million procedures and counting! Find out why #ROTAPRO Rotational Atherectomy System is such a trusted tool bddy.me/2ZZVV3e #MasterTheComplex

BSCCardiology's tweet image. More than 1.5 million procedures and counting! Find out why #ROTAPRO Rotational Atherectomy System is such a trusted tool bddy.me/2ZZVV3e #MasterTheComplex

#PCI to a severely calcified lesion in the #LAD, without luminal gain with conventional balloons, shock wave was used for plaque modification, with successful results after it. #masterthecomplex #interventionalcardiology #cardiology #cardiologia #hemodinamia #shockwave AbroHilo


We asked experts what their experience has been using #IVUS to guide their procedures. Find out what they say in the video here: bddy.me/2Xv0hy7 #MasterTheComplex

BSCCardiology's tweet image. We asked experts what their experience has been using #IVUS to guide their procedures. Find out what they say in the video here: bddy.me/2Xv0hy7 #MasterTheComplex

Where did the foot pedal go? The ROTAPRO™ Rotational #Atherectomy System is easy to use and hard on calcium. Learn more about the system bddy.me/2KL0yZE #MasterTheComplex

BSCCardiology's tweet image. Where did the foot pedal go? The ROTAPRO™ Rotational #Atherectomy System is easy to use and hard on calcium. Learn more about the system bddy.me/2KL0yZE #MasterTheComplex

Use of the ROTAPRO™ Rotational #Atherectomy System is essential to adequately prepare calcified vessels for stenting. Find out how ROTAPRO can help optimize calcium treatment. #MasterTheComplex bddy.me/2Q2U3Av

BSCCardiology's tweet image. Use of the ROTAPRO™ Rotational #Atherectomy System is essential to adequately prepare calcified vessels for stenting. Find out how ROTAPRO can help optimize calcium treatment. #MasterTheComplex bddy.me/2Q2U3Av

Let’s’ roll! #MasterTheComplex #Amman with ⁦@HusamNoor1@MBalghith@fjsawaya⁩ and many other good friends and great colleagues! @BSCCardiology⁩ ⁦@BSC_EU_Heart


Easy to Use. Hard on Calcium. ROTAPRO™ Rotational #Atherectomy System utilizes the gold standard mechanism of action on an easy to use platform. #MasterTheComplex bddy.me/2VHerep

BSCCardiology's tweet image. Easy to Use. Hard on Calcium. ROTAPRO™ Rotational #Atherectomy System utilizes the gold standard mechanism of action on an easy to use platform. #MasterTheComplex bddy.me/2VHerep

Interested in peer-to-peer experience sharing on complex PCI procedures? Join the Master The Complex Live Case session on left main PCI - 2 Sep, live from Al Qassimi Hospital UAE. Register today: master-the-complex.com #cardioed #calcifiedlesion #masterthecomplex


🫀⚡️⚽️🏆2️⃣0️⃣2️⃣6️⃣ 🤗🧐🤔😷🇲🇽 #CTO #PCI #MasterTheComplex @cardioelihu

🏆 The ML CTO 2026 – World Cup Edition is taking shape… 💡 Join the committee team in Nice from June 27th to 29th and adive into an immersive educational experience featuring: ⭐ Didactic case-based discussions ⭐ Multi-level live procedures ⭐ Debates & discussions ⭐ Tips &



Curso de lesiones complejas y manejo de complicaciones en puerto Rico 🇵🇷 Desarrollando nuevas técnicas #masterthecomplex #complexPCI #CHIP #intervencionismocardiaco #cardiotwitter #intervencionismo

yv4n's tweet image. Curso de lesiones complejas y manejo de complicaciones en puerto Rico 🇵🇷 
Desarrollando nuevas técnicas 
#masterthecomplex #complexPCI #CHIP
#intervencionismocardiaco #cardiotwitter #intervencionismo
yv4n's tweet image. Curso de lesiones complejas y manejo de complicaciones en puerto Rico 🇵🇷 
Desarrollando nuevas técnicas 
#masterthecomplex #complexPCI #CHIP
#intervencionismocardiaco #cardiotwitter #intervencionismo

After 6 cycles of shock waves, and with modification of the atherosclerotic plaque, the stent was implanted with a successful result. #masterthecomplex, #complexPCI #PCI #Hemodinamia


#PCI to a severely calcified lesion in the #LAD, without luminal gain with conventional balloons, shock wave was used for plaque modification, with successful results after it. #masterthecomplex #interventionalcardiology #cardiology #cardiologia #hemodinamia #shockwave AbroHilo


🫀⚡🧔🏻 45a, 🚬intenso, sedentario, obeso, HTA, #SICA #RadialFirst angio CD OTC agudizada TM disección ostial, Fullmetal CD 👌🏼 #MasterTheComplex #PCI #IVUS #Terumo #Azahi #BostonScientific #Medtronic

Abcsm74's tweet image. 🫀⚡🧔🏻 45a, 🚬intenso, sedentario, obeso, HTA, #SICA #RadialFirst angio CD OTC agudizada TM disección ostial, Fullmetal CD 👌🏼 #MasterTheComplex #PCI #IVUS #Terumo #Azahi #BostonScientific #Medtronic
Abcsm74's tweet image. 🫀⚡🧔🏻 45a, 🚬intenso, sedentario, obeso, HTA, #SICA #RadialFirst angio CD OTC agudizada TM disección ostial, Fullmetal CD 👌🏼 #MasterTheComplex #PCI #IVUS #Terumo #Azahi #BostonScientific #Medtronic
Abcsm74's tweet image. 🫀⚡🧔🏻 45a, 🚬intenso, sedentario, obeso, HTA, #SICA #RadialFirst angio CD OTC agudizada TM disección ostial, Fullmetal CD 👌🏼 #MasterTheComplex #PCI #IVUS #Terumo #Azahi #BostonScientific #Medtronic
Abcsm74's tweet image. 🫀⚡🧔🏻 45a, 🚬intenso, sedentario, obeso, HTA, #SICA #RadialFirst angio CD OTC agudizada TM disección ostial, Fullmetal CD 👌🏼 #MasterTheComplex #PCI #IVUS #Terumo #Azahi #BostonScientific #Medtronic

Intensa jornada de CTO, al final los resultados valieron la pena...!!! 🫀🧐🤔😷🇲🇽 @HemoMacGregor #PCI #CTO #MasterTheComplex #ProgramaCTOMacGregorA

This post is unavailable.

No results for "#masterthecomplex"
No results for "#masterthecomplex"
Loading...

Something went wrong.


Something went wrong.