#rotapro search results

This ACS patient was in cardiogenic shock yesterday. We performed an Impella @ProtectedPCI with #RotaPro and #cullotte stenting. So rewarding to see him doing very well on the normal ward... 👍


Cracking start to the week! First use of the new #rotaPro #nomorepedals @BSCCardiology thanks to @mbmcentegart on standby! Anyone else using this new system? @VijayKunadian @saraceciliamtz @nolanjimradial @jedicath @SVRaoMD @rwyeh @IamSpurs @mmamas1973


LAD Diagonal medina 1,1,1 calcified bifurcation lesion. CCS III despite medical therapy. #ImageFirst #radialfirst #rotapro Image in response R/T & comment


After considering making an early transition to industry but struggling to walk away from the lab, damn it feels good to get the #CHIP train rolling again! 1st #PercAx LM #rotapro in NJ & single #safefemoral access with 7fr dest via CP. Off-label but 💯! Props to @jason_wollmuth

RajTayalMD's tweet image. After considering making an early transition to industry but struggling to walk away from the lab, damn it feels good to get the #CHIP train rolling again! 1st #PercAx LM #rotapro in NJ & single #safefemoral access with 7fr dest via CP. Off-label but 💯! Props to @jason_wollmuth
RajTayalMD's tweet image. After considering making an early transition to industry but struggling to walk away from the lab, damn it feels good to get the #CHIP train rolling again! 1st #PercAx LM #rotapro in NJ & single #safefemoral access with 7fr dest via CP. Off-label but 💯! Props to @jason_wollmuth
RajTayalMD's tweet image. After considering making an early transition to industry but struggling to walk away from the lab, damn it feels good to get the #CHIP train rolling again! 1st #PercAx LM #rotapro in NJ & single #safefemoral access with 7fr dest via CP. Off-label but 💯! Props to @jason_wollmuth
RajTayalMD's tweet image. After considering making an early transition to industry but struggling to walk away from the lab, damn it feels good to get the #CHIP train rolling again! 1st #PercAx LM #rotapro in NJ & single #safefemoral access with 7fr dest via CP. Off-label but 💯! Props to @jason_wollmuth

Today at PSCC Riyadh we used the new generation of Rotablator ROTAPRO It was good and easy to use and friendly The only drawback is the wire needs more work to improve it Case went uneventful @PCRonline @RadialFirstBot @escardio @GisGulf @almoghairi @sacisforum #RotaPro @TCTMD

DrNayef1's tweet image. Today at PSCC Riyadh 
we used the new generation of Rotablator ROTAPRO
It was good and easy to use and friendly
The only drawback is the wire needs more work to improve it
Case went uneventful @PCRonline @RadialFirstBot @escardio @GisGulf 
@almoghairi @sacisforum  #RotaPro @TCTMD
DrNayef1's tweet image. Today at PSCC Riyadh 
we used the new generation of Rotablator ROTAPRO
It was good and easy to use and friendly
The only drawback is the wire needs more work to improve it
Case went uneventful @PCRonline @RadialFirstBot @escardio @GisGulf 
@almoghairi @sacisforum  #RotaPro @TCTMD
DrNayef1's tweet image. Today at PSCC Riyadh 
we used the new generation of Rotablator ROTAPRO
It was good and easy to use and friendly
The only drawback is the wire needs more work to improve it
Case went uneventful @PCRonline @RadialFirstBot @escardio @GisGulf 
@almoghairi @sacisforum  #RotaPro @TCTMD
DrNayef1's tweet image. Today at PSCC Riyadh 
we used the new generation of Rotablator ROTAPRO
It was good and easy to use and friendly
The only drawback is the wire needs more work to improve it
Case went uneventful @PCRonline @RadialFirstBot @escardio @GisGulf 
@almoghairi @sacisforum  #RotaPro @TCTMD

Next generation RotaPro finally came to India. First case was done today at our hospital Fortis Escorts Heart Institute, New Delhi, by Dr Seth. @bostonsci @rotamonster @rotapro #rotapro #ACC22 @Dr_AshokSeth @APSIC6 @AnkurKalraMD @DrAnkushG @mathur_a @SanjogKalra @RajTayalMD

NishithChandra's tweet image. Next generation RotaPro finally came to India.  First case was done today at our hospital Fortis Escorts Heart Institute, New Delhi, by Dr Seth.  @bostonsci @rotamonster @rotapro #rotapro #ACC22 @Dr_AshokSeth @APSIC6 @AnkurKalraMD @DrAnkushG @mathur_a @SanjogKalra @RajTayalMD
NishithChandra's tweet image. Next generation RotaPro finally came to India.  First case was done today at our hospital Fortis Escorts Heart Institute, New Delhi, by Dr Seth.  @bostonsci @rotamonster @rotapro #rotapro #ACC22 @Dr_AshokSeth @APSIC6 @AnkurKalraMD @DrAnkushG @mathur_a @SanjogKalra @RajTayalMD

Yesterday’s case!! #Impella assisted & #RotaPro required!! One of the most satisfying feelings!! 🛠💔🥳#CardioEd #CardioTwitter @secardiologia @shci_sec @CardioFJD


#RadialFirst #RotaPRO #atherectomy advancing the burr with Dynaglide - since there is no longer a foot pedal need an extra pair of hands (same technique to remove burr) @UIC_CathLab @BSCCardiology


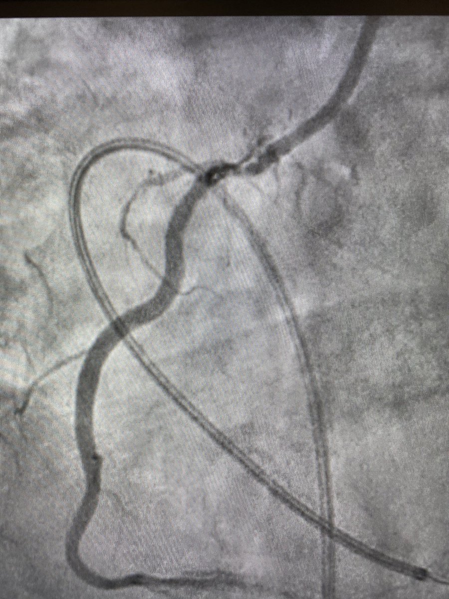
RCA stenosis Medina 1-1-1. Fielder XT-R, Supercross FT, Rotapro 1,25 mm. NSE Alpha 3,0/13 mm. TAP with Xience ProS 3,0 23 mm in RCA/RIVP and 3,0/18 mm in RPLS. Final KB. POT with Sapphire NC 24 4,0/8 mm. @BotPci #Rotapro @Obisht @KPujdak @KardiologieHH @klinki_hh @VRubesch

AndWierucki's tweet image. RCA stenosis Medina 1-1-1. Fielder XT-R, Supercross FT, Rotapro 1,25 mm. NSE Alpha 3,0/13 mm. TAP with Xience ProS 3,0 23 mm in RCA/RIVP and 3,0/18 mm in RPLS. Final KB. POT with Sapphire NC 24 4,0/8 mm. @BotPci #Rotapro @Obisht @KPujdak @KardiologieHH @klinki_hh @VRubesch

Hoy Curso de Modificacion de placa del @HospitalSantPau con @EbajoEster @stamdos y MjimenezK con el soporte de @BSC_Spain y #RotaPro. @shci_sec @enferhemo

FJavierDelgado's tweet image. Hoy Curso de Modificacion de placa del @HospitalSantPau con @EbajoEster @stamdos y MjimenezK con el soporte de  @BSC_Spain y #RotaPro.
@shci_sec @enferhemo
FJavierDelgado's tweet image. Hoy Curso de Modificacion de placa del @HospitalSantPau con @EbajoEster @stamdos y MjimenezK con el soporte de  @BSC_Spain y #RotaPro.
@shci_sec @enferhemo
FJavierDelgado's tweet image. Hoy Curso de Modificacion de placa del @HospitalSantPau con @EbajoEster @stamdos y MjimenezK con el soporte de  @BSC_Spain y #RotaPro.
@shci_sec @enferhemo
FJavierDelgado's tweet image. Hoy Curso de Modificacion de placa del @HospitalSantPau con @EbajoEster @stamdos y MjimenezK con el soporte de  @BSC_Spain y #RotaPro.
@shci_sec @enferhemo

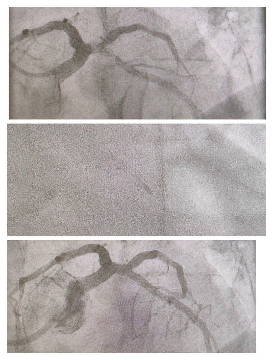
#Rotatripsy at severely Calcified prox-mid LAD. #Rotapro 1.25 mm crossed the critical lesion. #IVUS 360 deep calcium. 🎈underexpansion. #IVL #Shockwave 3.0 mm. Overlapped Synergy and Megatron DES. #CRATERtrial . @shci_sec @hemodin90 @AJuradoRoman @RaulmorenoMD


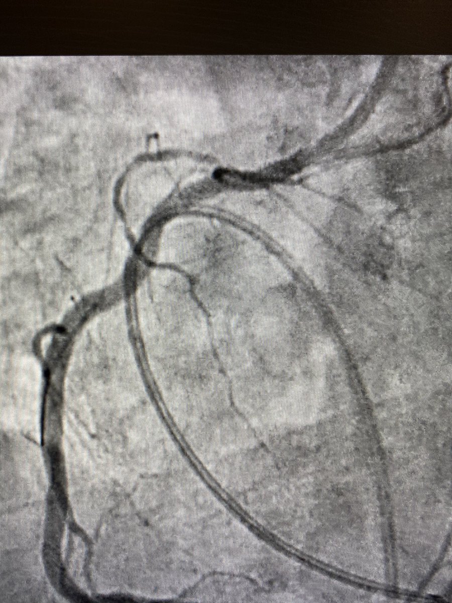
First #RotaPro use in our centre. #ESRD Diffuse heavily #calcified LAD #IVUS near 360 1.5 #burr #170krpm x 5 runs NC 3.0, #DES x2 , NC 4.0 @bostonsci @PCRonline @BotPci Best thing, to view a replay #EuroPCR #Rota session afterward ☕️ #FromBenchToBedside

w_jyg's tweet image. First #RotaPro use in our centre.
#ESRD Diffuse heavily #calcified LAD
#IVUS near 360 
1.5 #burr #170krpm x 5 runs 
NC 3.0, #DES x2 , NC 4.0 
@bostonsci @PCRonline @BotPci 
Best thing, to view a replay #EuroPCR #Rota session afterward ☕️ 
#FromBenchToBedside
w_jyg's tweet image. First #RotaPro use in our centre.
#ESRD Diffuse heavily #calcified LAD
#IVUS near 360 
1.5 #burr #170krpm x 5 runs 
NC 3.0, #DES x2 , NC 4.0 
@bostonsci @PCRonline @BotPci 
Best thing, to view a replay #EuroPCR #Rota session afterward ☕️ 
#FromBenchToBedside
w_jyg's tweet image. First #RotaPro use in our centre.
#ESRD Diffuse heavily #calcified LAD
#IVUS near 360 
1.5 #burr #170krpm x 5 runs 
NC 3.0, #DES x2 , NC 4.0 
@bostonsci @PCRonline @BotPci 
Best thing, to view a replay #EuroPCR #Rota session afterward ☕️ 
#FromBenchToBedside
w_jyg's tweet image. First #RotaPro use in our centre.
#ESRD Diffuse heavily #calcified LAD
#IVUS near 360 
1.5 #burr #170krpm x 5 runs 
NC 3.0, #DES x2 , NC 4.0 
@bostonsci @PCRonline @BotPci 
Best thing, to view a replay #EuroPCR #Rota session afterward ☕️ 
#FromBenchToBedside

Let the show start!!! 💪🏻 completerevasc.com You can still join us at 3.30CET for the best #ModernPCI event #IVUS #Rotapro #LeftMainPCI #NastyRCA #Sorry1980s@BSCCardiology#AdvancingScienceForLife

EmileMehanna's tweet image. Let the show start!!! 💪🏻 completerevasc.com 
You can still join us at 3.30CET for the best #ModernPCI event #IVUS #Rotapro #LeftMainPCI #NastyRCA #Sorry1980s ⁦@BSCCardiology⁩ #AdvancingScienceForLife

Great feedback from atendees to Rotational atherectomy Pamplona!! 👉🏻 #Rotapro hands-on course 👉🏻 small group 👉🏻 one day 👉🏻 3 live cases @Octavio_JiMelo @HemodinamicaC @bostonsci #ROTAPRO #CHIP

GuillermoSchez's tweet image. Great feedback from atendees to Rotational atherectomy Pamplona!!
👉🏻 #Rotapro hands-on course
👉🏻 small group
👉🏻 one day
👉🏻 3 live cases
@Octavio_JiMelo @HemodinamicaC @bostonsci #ROTAPRO
#CHIP
GuillermoSchez's tweet image. Great feedback from atendees to Rotational atherectomy Pamplona!!
👉🏻 #Rotapro hands-on course
👉🏻 small group
👉🏻 one day
👉🏻 3 live cases
@Octavio_JiMelo @HemodinamicaC @bostonsci #ROTAPRO
#CHIP

Proud to be part of the Interventional Cardiology department @Ospedale Barone Romeo in Patti, Messina. We #1 in 🇮🇹 @ achieving >85% of #STEMI patients in <90 min. corriere.it/salute/cuore/2… We’re not only fast, but efficient in 🪨 coronaries #Rotapro


Dra. @LuhandaM, da equipe #3i, traz um resumo do vídeo “Aterectomia Rotacional com dispositivo #RotaPro®️”, gravado ao lado dos doutores Carlos Campos e Rafael Nunes. triplei.com.br/aterectomia-ro…


Dr. @carlos__campos, Dr. Rafael Nunes e Dra. @LuhandaM , do time do #3i, apresentam um caso clínico para explorar a indicação de #RotaPro® em pacientes de alta complexidade anatômica. Saiba mais: triplei.com.br/aterectomia-ro…


View a live case alongside @Sonyanoormd on August 23rd from the comfort of your own space! To learn more about BSC's virtual reality preceptorship or request a headset, click here: bit.ly/3sonJAH #ROTAPRO #PAD #CLI #Atherectomy

bsc_vascular's tweet image. View a live case alongside @Sonyanoormd on August 23rd from the comfort of your own space! To learn more about BSC&apos;s virtual reality preceptorship or request a headset, click here: bit.ly/3sonJAH
#ROTAPRO #PAD #CLI #Atherectomy

#Rotapro Un millón de rotas en 30 años

hemodin90's tweet image. #Rotapro Un millón de rotas en 30 años

Next generation RotaPro finally came to India. First case was done today at our hospital Fortis Escorts Heart Institute, New Delhi, by Dr Seth. @bostonsci @rotamonster @rotapro #rotapro #ACC22 @Dr_AshokSeth @APSIC6 @AnkurKalraMD @DrAnkushG @mathur_a @SanjogKalra @RajTayalMD

NishithChandra's tweet image. Next generation RotaPro finally came to India.  First case was done today at our hospital Fortis Escorts Heart Institute, New Delhi, by Dr Seth.  @bostonsci @rotamonster @rotapro #rotapro #ACC22 @Dr_AshokSeth @APSIC6 @AnkurKalraMD @DrAnkushG @mathur_a @SanjogKalra @RajTayalMD
NishithChandra's tweet image. Next generation RotaPro finally came to India.  First case was done today at our hospital Fortis Escorts Heart Institute, New Delhi, by Dr Seth.  @bostonsci @rotamonster @rotapro #rotapro #ACC22 @Dr_AshokSeth @APSIC6 @AnkurKalraMD @DrAnkushG @mathur_a @SanjogKalra @RajTayalMD

Excellent workshop on IVUS guided calsific disease treatment, at #Aalst #Belgium Many thnks to course directors, @EmanueleBarba13 @EAPCIPresident @BernardBruyne @ColletCarlos @jeroen_sonck and @bostonsci for their support. @TKDsosyal #Rotapro #rotaıvus #rotashock #IVUS #OCT

emraherdoganmd's tweet image. Excellent workshop on IVUS guided calsific disease treatment, at #Aalst #Belgium Many thnks  to course directors, @EmanueleBarba13 @EAPCIPresident @BernardBruyne @ColletCarlos @jeroen_sonck and @bostonsci for their support. @TKDsosyal  #Rotapro #rotaıvus #rotashock #IVUS #OCT
emraherdoganmd's tweet image. Excellent workshop on IVUS guided calsific disease treatment, at #Aalst #Belgium Many thnks  to course directors, @EmanueleBarba13 @EAPCIPresident @BernardBruyne @ColletCarlos @jeroen_sonck and @bostonsci for their support. @TKDsosyal  #Rotapro #rotaıvus #rotashock #IVUS #OCT
emraherdoganmd's tweet image. Excellent workshop on IVUS guided calsific disease treatment, at #Aalst #Belgium Many thnks  to course directors, @EmanueleBarba13 @EAPCIPresident @BernardBruyne @ColletCarlos @jeroen_sonck and @bostonsci for their support. @TKDsosyal  #Rotapro #rotaıvus #rotashock #IVUS #OCT

Check out this Rota-Cut technique with #ROTAPRO system of extremely calcified hyper-dominant LCx followed by Synergy Megatron DES implantation after heart transplantation, by Prof. Joško Bulum, University Hospital Centre Zagreb, Croatia. More on EDUCARE : educare.bostonscientific.eu/s/educare-view…

BSC_EU_Heart's tweet image. Check out this Rota-Cut technique with #ROTAPRO system of extremely calcified hyper-dominant LCx followed by Synergy Megatron DES implantation after heart transplantation, by Prof. Joško Bulum, University Hospital Centre Zagreb, Croatia. More on EDUCARE : educare.bostonscientific.eu/s/educare-view…

All set for the ROTA day in Cork.... #1MROTA #Rotapro

LilianaVitorin's tweet image. All set for the ROTA day in Cork.... #1MROTA #Rotapro

#rotapro training at @IUCPQ with Dr. Barbeau & Dr. García-Labbé. @Julio_Farjat @carlosreal42 @BSCCardiology

JorgeNuche's tweet image. #rotapro training at @IUCPQ with Dr. Barbeau &amp;amp; Dr. García-Labbé. @Julio_Farjat @carlosreal42 @BSCCardiology
JorgeNuche's tweet image. #rotapro training at @IUCPQ with Dr. Barbeau &amp;amp; Dr. García-Labbé. @Julio_Farjat @carlosreal42 @BSCCardiology

The first #Rotapro experience in our institution! So proud to be in the Complex CAD team 🙏🏻😎 @CerrahpasaC @iu_cerrahpasa #radialfirst #Cardiology @EAPCIPresident @escardio

dnzmtlu's tweet image. The first #Rotapro experience in our institution! So proud to be in the Complex CAD team 🙏🏻😎 @CerrahpasaC @iu_cerrahpasa #radialfirst #Cardiology @EAPCIPresident @escardio
dnzmtlu's tweet image. The first #Rotapro experience in our institution! So proud to be in the Complex CAD team 🙏🏻😎 @CerrahpasaC @iu_cerrahpasa #radialfirst #Cardiology @EAPCIPresident @escardio
dnzmtlu's tweet image. The first #Rotapro experience in our institution! So proud to be in the Complex CAD team 🙏🏻😎 @CerrahpasaC @iu_cerrahpasa #radialfirst #Cardiology @EAPCIPresident @escardio

Good ole Rotablator. Always does a phenomenal job on ostial calcium #rotapro @BSCCardiology

BhallaMd's tweet image. Good ole Rotablator. Always does a phenomenal job on ostial calcium #rotapro @BSCCardiology
BhallaMd's tweet image. Good ole Rotablator. Always does a phenomenal job on ostial calcium #rotapro @BSCCardiology

Treat a full range of lesion types with ROTAPRO™ Rotational #Atherectomy System: bddy.me/2KgiuxC #ROTAPRO

BSCCardiology's tweet image. Treat a full range of lesion types with ROTAPRO™ Rotational #Atherectomy System: bddy.me/2KgiuxC #ROTAPRO

With ROTAPRO’s technique, the burr size influences lumen gain making it more predictable and uniform. See the difference: bddy.me/31j8A36 #ROTAPRO Safety info: bddy.me/3rqnmiR

BSCCardiology's tweet image. With ROTAPRO’s technique, the burr size influences lumen gain making it more predictable and uniform. See the difference: bddy.me/31j8A36 #ROTAPRO 

Safety info: bddy.me/3rqnmiR

#ROTAPRO is known to deliver exceptional outcomes, with multiple studies indicating that rotational atherectomy results in high procedural success rates with acceptable short- and longer-term MACE rates. bddy.me/3sSmapB Safety info: bddy.me/2NUvuL8

BSCCardiology's tweet image. #ROTAPRO is known to deliver exceptional outcomes, with multiple studies indicating that rotational atherectomy results in high procedural success rates with acceptable short- and longer-term MACE rates. bddy.me/3sSmapB

Safety info: bddy.me/2NUvuL8

Congratulations and thank you to @RicardoBCardiel, @surgmax, and the entire team at Presbyterian Hospital for a successful FIRST Peripheral #ROTAPRO Case! #CLTI

bsc_vascular's tweet image. Congratulations and thank you to @RicardoBCardiel, @surgmax, and the entire team at Presbyterian Hospital for a successful FIRST Peripheral #ROTAPRO Case! #CLTI
bsc_vascular's tweet image. Congratulations and thank you to @RicardoBCardiel, @surgmax, and the entire team at Presbyterian Hospital for a successful FIRST Peripheral #ROTAPRO Case! #CLTI

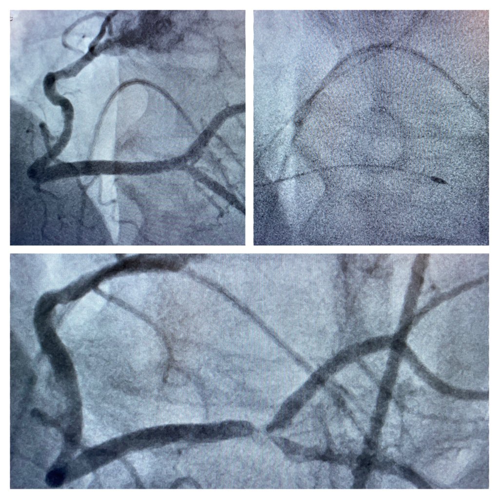
PCI of Severely calcified RCA. Sion Blue over #Turnpike MC. Exchange by Rotawire and rotational atherectomy with #RotaPro system with 1.75 burr. 2 overlap DES. Good result after post-dilatation with 4.0 NC balloon. @AJuradoRoman @hemodin90 @pilarhockey @shci_sec #Trapliner

Hemodin_LaPaz's tweet image. PCI of Severely calcified RCA. Sion Blue over #Turnpike MC. Exchange by Rotawire and rotational atherectomy with #RotaPro system with 1.75 burr. 2 overlap DES. Good result after post-dilatation with 4.0 NC balloon. @AJuradoRoman @hemodin90 @pilarhockey @shci_sec #Trapliner
Hemodin_LaPaz's tweet image. PCI of Severely calcified RCA. Sion Blue over #Turnpike MC. Exchange by Rotawire and rotational atherectomy with #RotaPro system with 1.75 burr. 2 overlap DES. Good result after post-dilatation with 4.0 NC balloon. @AJuradoRoman @hemodin90 @pilarhockey @shci_sec #Trapliner
Hemodin_LaPaz's tweet image. PCI of Severely calcified RCA. Sion Blue over #Turnpike MC. Exchange by Rotawire and rotational atherectomy with #RotaPro system with 1.75 burr. 2 overlap DES. Good result after post-dilatation with 4.0 NC balloon. @AJuradoRoman @hemodin90 @pilarhockey @shci_sec #Trapliner
Hemodin_LaPaz's tweet image. PCI of Severely calcified RCA. Sion Blue over #Turnpike MC. Exchange by Rotawire and rotational atherectomy with #RotaPro system with 1.75 burr. 2 overlap DES. Good result after post-dilatation with 4.0 NC balloon. @AJuradoRoman @hemodin90 @pilarhockey @shci_sec #Trapliner

Loading...

Something went wrong.


Something went wrong.