#multimodalityimaging search results

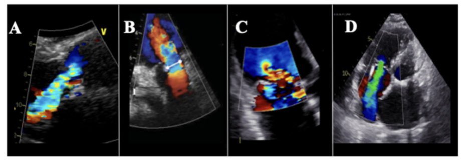
75 yo M presented late with Ant wall MI, echo suspected large contained rupture/ pseusoaneurysm confirmed on CT. Awaiting surgery @nicvd_karachi @alexsfelixecho #echofirst @iamritu @m_naeem_88 @Heart_SCCT @AJamilTajik @NicvdImaging #multimodalityimaging

SabhaBhatti's tweet image. 75 yo M presented late with Ant wall MI, echo suspected large contained rupture/ pseusoaneurysm confirmed on CT. Awaiting surgery
@nicvd_karachi @alexsfelixecho #echofirst @iamritu @m_naeem_88 @Heart_SCCT @AJamilTajik
@NicvdImaging #multimodalityimaging

Paulie helping his mum revise #whyCMR when in reality you’d think he’d be more of an expert in #CardiacCT (CAT) scans #multimodalityimaging

AnnaKateBarton's tweet image. Paulie helping his mum revise #whyCMR when in reality you’d think he’d be more of an expert in #CardiacCT (CAT) scans #multimodalityimaging

Pleased to present our review article discussing the present and future of molecular myocardial fibrosis imaging. Interested to learn now novel PET tracers may change the field? Read on to learn more 👓 📚 #whyCMR #multimodalityimaging #cardiotwitter doi.org/10.1093/ehjci/…

AnnaKateBarton's tweet image. Pleased to present our review article discussing the present and future of molecular myocardial fibrosis imaging. Interested to learn now novel PET tracers may change the field? Read on to learn more 👓 📚 

#whyCMR #multimodalityimaging #cardiotwitter

doi.org/10.1093/ehjci/…
AnnaKateBarton's tweet image. Pleased to present our review article discussing the present and future of molecular myocardial fibrosis imaging. Interested to learn now novel PET tracers may change the field? Read on to learn more 👓 📚 

#whyCMR #multimodalityimaging #cardiotwitter

doi.org/10.1093/ehjci/…

Do you like: 🫀 Cardiac CT 📚 Learning from world leading #MultiModalityImaging experts 🇫🇷 The French Riviera in Spring So sign up for this excellent course with all 3! Fabulous world-class programme on everything CCT Discounts available - check your ESC membership category!

AnnaKateBarton's tweet image. Do you like:

🫀 Cardiac CT
📚 Learning from world leading #MultiModalityImaging experts
🇫🇷 The French Riviera in Spring

So sign up for this excellent course with all 3! Fabulous world-class programme on everything CCT

Discounts available - check your ESC membership category!

What’s new? A strong focus on #multimodality thinking. Instead of training in silos, fellows learn how each modality complements the others: anatomy (CT), function (Echo/CMR), tissue (CMR), perfusion/metabolism (Nuclear/PET). #MultimodalityImaging #YesCCT #Echofirst #whyCMR


#Multimodalityimaging in 🫀 Sarcoidosis #Advances36 🔘LGE=inflammation OR scar and Rx is different for each state 🔘 FDG PET: assess/extra cardiac inflammation BUT intense dietary prep 🔘FDG=prognostic implications 🔘Novel SPECIFIC inflammation tracers are coming (DOTATATE/FLT)

AnnaKateBarton's tweet image. #Multimodalityimaging in 🫀 Sarcoidosis
#Advances36

🔘LGE=inflammation OR scar and Rx is different for each state 
🔘 FDG PET: assess/extra cardiac inflammation BUT intense dietary prep
🔘FDG=prognostic implications
🔘Novel SPECIFIC inflammation tracers are coming (DOTATATE/FLT)
AnnaKateBarton's tweet image. #Multimodalityimaging in 🫀 Sarcoidosis
#Advances36

🔘LGE=inflammation OR scar and Rx is different for each state 
🔘 FDG PET: assess/extra cardiac inflammation BUT intense dietary prep
🔘FDG=prognostic implications
🔘Novel SPECIFIC inflammation tracers are coming (DOTATATE/FLT)
AnnaKateBarton's tweet image. #Multimodalityimaging in 🫀 Sarcoidosis
#Advances36

🔘LGE=inflammation OR scar and Rx is different for each state 
🔘 FDG PET: assess/extra cardiac inflammation BUT intense dietary prep
🔘FDG=prognostic implications
🔘Novel SPECIFIC inflammation tracers are coming (DOTATATE/FLT)
AnnaKateBarton's tweet image. #Multimodalityimaging in 🫀 Sarcoidosis
#Advances36

🔘LGE=inflammation OR scar and Rx is different for each state 
🔘 FDG PET: assess/extra cardiac inflammation BUT intense dietary prep
🔘FDG=prognostic implications
🔘Novel SPECIFIC inflammation tracers are coming (DOTATATE/FLT)

Still time to register for this exciting #EACVI first Symposium on #MultimodalityImaging in #COVID19: From diagnosis to long-term follow-up! Join us this Friday 19 Nov at 16:00 CET ▶️escardio.org/Congresses-&-E… #EACVI #ESCYoung #cardiotwitter #cardioed #cvimaging


HeartFlow now available at West Herts! First trust within the M25! Exciting times #heartflow #multimodalityimaging #nhsengland #ITP #CTFFR

sehmi_joban's tweet image. HeartFlow now available at West Herts! First trust within the M25! Exciting times #heartflow  #multimodalityimaging #nhsengland #ITP #CTFFR

It was an honour to have @dr_benoy_n_shah President of @BrHeartValveSoc discuss the role of #multimodalityimaging in #valvularheartdisease - the most beautiful imaging in the most beautiful of venues 🤩 #echofirst #bathbsci2022

BSCImaging's tweet image. It was an honour to have @dr_benoy_n_shah President of @BrHeartValveSoc discuss the role of #multimodalityimaging in #valvularheartdisease - the most beautiful imaging in the most beautiful of venues 🤩 #echofirst #bathbsci2022
BSCImaging's tweet image. It was an honour to have @dr_benoy_n_shah President of @BrHeartValveSoc discuss the role of #multimodalityimaging in #valvularheartdisease - the most beautiful imaging in the most beautiful of venues 🤩 #echofirst #bathbsci2022
BSCImaging's tweet image. It was an honour to have @dr_benoy_n_shah President of @BrHeartValveSoc discuss the role of #multimodalityimaging in #valvularheartdisease - the most beautiful imaging in the most beautiful of venues 🤩 #echofirst #bathbsci2022

Had a wonderful time catching up with @StLukesSTL and @RUSHCardiology queen of #multimodalityimaging Dr Rao and @leonelacbg16 in DC last night for #SCMR2025. 🫀

YJelwan's tweet image. Had a wonderful time catching up with @StLukesSTL and @RUSHCardiology queen of #multimodalityimaging Dr Rao and @leonelacbg16 in DC last night for #SCMR2025. 🫀

What’s new? A strong focus on #multimodality thinking. Instead of training in silos, fellows learn how each modality complements the others: anatomy (CT), function (Echo/CMR), tissue (CMR), perfusion/metabolism (Nuclear/PET). #MultimodalityImaging #YesCCT #Echofirst #whyCMR


Join us for Session 3: Multimodality Approach in Early Detection at the Breast Imaging 1st Annual Meeting 2025, taking place on 25 Oct. at Pullman Dubai Downtown. Register now: bit.ly/Reg2BreastImgU… View full agenda: bit.ly/BreastImgA #BreastHealth #MultimodalityImaging

BreastImagUAE's tweet image. Join us for Session 3: Multimodality Approach in Early Detection at the Breast Imaging 1st Annual Meeting 2025, taking place on 25 Oct. at Pullman Dubai Downtown.

Register now: bit.ly/Reg2BreastImgU…
View full agenda: bit.ly/BreastImgA

#BreastHealth #MultimodalityImaging

#ESCardioOnco2025 also dives deep into imaging perspectives! Dr @chiarabd & Dr @VDelgadoGarcia share how #CVimaging & #multimodalityimaging is crucial in the field of #CardioOncology & helps us better phenotype our patients ➡️More #CVimaging in #CardioOncology? Attend…


Check out rising chief @gmvasilakis tweetorial & infographics to learn about #MultimodalityImaging in #Endocarditis! 🫀⭐️ ⬇️

🏥 You're seeing a new patient with fevers, tachycardia, a new murmur. Not a Janeway lesion or splinter hemorrhage in sight... ✋🩸 ...Now what? 🙀 Time for a #Tweetorial on the role of Multimodality #CardiacImaging in #InfectiveEndocarditis (via 2023 ESC Guidelines) 🧵



What an amazing and educational experience to present our complex clinical case to @AllanLKleinMD1 !! Always thankful to my mentors: @SachinGoelMD @AneeshDhore #ACC2025 #multimodalityimaging #EPeeps

sitagarapati's tweet image. What an amazing and educational experience to present our complex clinical case to @AllanLKleinMD1 !!

Always thankful to my mentors:
@SachinGoelMD @AneeshDhore 
#ACC2025 #multimodalityimaging #EPeeps
sitagarapati's tweet image. What an amazing and educational experience to present our complex clinical case to @AllanLKleinMD1 !!

Always thankful to my mentors:
@SachinGoelMD @AneeshDhore 
#ACC2025 #multimodalityimaging #EPeeps
sitagarapati's tweet image. What an amazing and educational experience to present our complex clinical case to @AllanLKleinMD1 !!

Always thankful to my mentors:
@SachinGoelMD @AneeshDhore 
#ACC2025 #multimodalityimaging #EPeeps
sitagarapati's tweet image. What an amazing and educational experience to present our complex clinical case to @AllanLKleinMD1 !!

Always thankful to my mentors:
@SachinGoelMD @AneeshDhore 
#ACC2025 #multimodalityimaging #EPeeps

NBE & Inteleos Form Cardiovascular Imaging Coalition to Launch Innovative Multimodality Certification Program bit.ly/3D3pmd2 #cardiovascular #cardiovascularimaging #multimodalityimaging #Inteleos #CVIC

NBE_96's tweet image. NBE & Inteleos Form Cardiovascular Imaging Coalition to Launch Innovative Multimodality Certification Program bit.ly/3D3pmd2 #cardiovascular #cardiovascularimaging #multimodalityimaging #Inteleos #CVIC

Do you like: 🫀 Cardiac CT 📚 Learning from world leading #MultiModalityImaging experts 🇫🇷 The French Riviera in Spring So sign up for this excellent course with all 3! Fabulous world-class programme on everything CCT Discounts available - check your ESC membership category!

AnnaKateBarton's tweet image. Do you like:

🫀 Cardiac CT
📚 Learning from world leading #MultiModalityImaging experts
🇫🇷 The French Riviera in Spring

So sign up for this excellent course with all 3! Fabulous world-class programme on everything CCT

Discounts available - check your ESC membership category!

Had a wonderful time catching up with @StLukesSTL and @RUSHCardiology queen of #multimodalityimaging Dr Rao and @leonelacbg16 in DC last night for #SCMR2025. 🫀

YJelwan's tweet image. Had a wonderful time catching up with @StLukesSTL and @RUSHCardiology queen of #multimodalityimaging Dr Rao and @leonelacbg16 in DC last night for #SCMR2025. 🫀

Excited for a state-of-the-art talk by @AmitRPatelMD on the pivotal role of #MultimodalityImaging in heart failure! Don’t miss this deep dive into how #whyCMR and other imaging modalities are transforming diagnosis & management of HF. #SCMR2025

Deya_AlkhatibMD's tweet image. Excited for a state-of-the-art talk by @AmitRPatelMD on the pivotal role of #MultimodalityImaging in heart failure! Don’t miss this deep dive into how #whyCMR and other imaging modalities are transforming diagnosis & management of HF. #SCMR2025

The first day of our highly anticipated Multimodality Imaging Techniques Meeting which brought together a distinguished group of experts and attendees eager to deepen their knowledge in cardiovascular imaging. #MMIT #MultimodalityImaging #CardiovascularImaging #echo #TEE #TTE

adn_coe's tweet image. The first day of our highly anticipated Multimodality Imaging Techniques Meeting which brought together a distinguished group of experts and attendees eager to deepen their knowledge in cardiovascular imaging. 

#MMIT #MultimodalityImaging #CardiovascularImaging #echo #TEE #TTE
adn_coe's tweet image. The first day of our highly anticipated Multimodality Imaging Techniques Meeting which brought together a distinguished group of experts and attendees eager to deepen their knowledge in cardiovascular imaging. 

#MMIT #MultimodalityImaging #CardiovascularImaging #echo #TEE #TTE
adn_coe's tweet image. The first day of our highly anticipated Multimodality Imaging Techniques Meeting which brought together a distinguished group of experts and attendees eager to deepen their knowledge in cardiovascular imaging. 

#MMIT #MultimodalityImaging #CardiovascularImaging #echo #TEE #TTE
adn_coe's tweet image. The first day of our highly anticipated Multimodality Imaging Techniques Meeting which brought together a distinguished group of experts and attendees eager to deepen their knowledge in cardiovascular imaging. 

#MMIT #MultimodalityImaging #CardiovascularImaging #echo #TEE #TTE

Paulie helping his mum revise #whyCMR when in reality you’d think he’d be more of an expert in #CardiacCT (CAT) scans #multimodalityimaging

AnnaKateBarton's tweet image. Paulie helping his mum revise #whyCMR when in reality you’d think he’d be more of an expert in #CardiacCT (CAT) scans #multimodalityimaging

Had a great time presenting our case on Lupus Mitral Valve Disease at #AHA2024 Multimodality Imaging, multidisciplinary teams, and early intervention are critical in attaining desired clinical outcomes in these complex patients! #cardiorheumatology #multimodalityimaging

HDiGregorioMD's tweet image. Had a great time presenting our case on Lupus Mitral Valve Disease at #AHA2024

Multimodality Imaging, multidisciplinary teams, and early intervention are critical in attaining desired clinical outcomes in these complex patients! #cardiorheumatology #multimodalityimaging…
HDiGregorioMD's tweet image. Had a great time presenting our case on Lupus Mitral Valve Disease at #AHA2024

Multimodality Imaging, multidisciplinary teams, and early intervention are critical in attaining desired clinical outcomes in these complex patients! #cardiorheumatology #multimodalityimaging…
HDiGregorioMD's tweet image. Had a great time presenting our case on Lupus Mitral Valve Disease at #AHA2024

Multimodality Imaging, multidisciplinary teams, and early intervention are critical in attaining desired clinical outcomes in these complex patients! #cardiorheumatology #multimodalityimaging…

Happening now monthly series of heart trending " invasive imaging for structural heart intervention" by @OKhaliqueMD and @chadialraies Tune in now us02web.zoom.us/j/84403357630 @mca_heart #multimodalityimaging #CardioTwitter

AzkaNaeemMD's tweet image. Happening now monthly series of heart trending 
" invasive imaging for structural heart intervention" by @OKhaliqueMD and @chadialraies 
Tune in now 
us02web.zoom.us/j/84403357630

@mca_heart #multimodalityimaging #CardioTwitter
AzkaNaeemMD's tweet image. Happening now monthly series of heart trending 
" invasive imaging for structural heart intervention" by @OKhaliqueMD and @chadialraies 
Tune in now 
us02web.zoom.us/j/84403357630

@mca_heart #multimodalityimaging #CardioTwitter

In this international statement, scientists including Paul C. Cremer, MD, discuss #MultimodalityImaging for #PericardialDiseases, the variances in different diseases and the need of new therapeutics to treat pericardial diseases. jacc.org/doi/abs/10.101…

NMCardioVasc's tweet image. In this international statement, scientists including Paul C. Cremer, MD, discuss #MultimodalityImaging for #PericardialDiseases, the variances in different diseases and the need of new therapeutics to treat pericardial diseases. jacc.org/doi/abs/10.101…

Don't miss this outstanding #MultimodalityImaging meeting w/ expert faculty (🇨🇦 well-represented!) organized by my dear mentors @WilliamZoghbi & @HMethodistCV Team Enjoy the Houston fall weather or access virtually -your choice! @CSEchoCa @dineshpmcc1 @SLittleMD @LindaGillamMD

Join us at our Annual Mutimodality CV Imaging Course October 5-6, 2024, engage with world leaders! Material available for 2 mo. learn.houstonmethodist.org/cardiovascular… @ASE360 @Heart_SCCT @SCMR @escardio @ACCinTouch @SIAComunidad @CSEchoCa @HeartDocSharon @venkmurthy @LindaGillamMD @OKhaliqueMD

WilliamZoghbi's tweet image. Join us at our Annual Mutimodality CV Imaging Course October 5-6, 2024, engage with world leaders! Material available for 2 mo. learn.houstonmethodist.org/cardiovascular…
@ASE360 @Heart_SCCT @SCMR @escardio @ACCinTouch @SIAComunidad @CSEchoCa @HeartDocSharon @venkmurthy @LindaGillamMD @OKhaliqueMD


75 yo M presented late with Ant wall MI, echo suspected large contained rupture/ pseusoaneurysm confirmed on CT. Awaiting surgery @nicvd_karachi @alexsfelixecho #echofirst @iamritu @m_naeem_88 @Heart_SCCT @AJamilTajik @NicvdImaging #multimodalityimaging

SabhaBhatti's tweet image. 75 yo M presented late with Ant wall MI, echo suspected large contained rupture/ pseusoaneurysm confirmed on CT. Awaiting surgery
@nicvd_karachi @alexsfelixecho #echofirst @iamritu @m_naeem_88 @Heart_SCCT @AJamilTajik
@NicvdImaging #multimodalityimaging

Pleased to present our review article discussing the present and future of molecular myocardial fibrosis imaging. Interested to learn now novel PET tracers may change the field? Read on to learn more 👓 📚 #whyCMR #multimodalityimaging #cardiotwitter doi.org/10.1093/ehjci/…

AnnaKateBarton's tweet image. Pleased to present our review article discussing the present and future of molecular myocardial fibrosis imaging. Interested to learn now novel PET tracers may change the field? Read on to learn more 👓 📚 

#whyCMR #multimodalityimaging #cardiotwitter

doi.org/10.1093/ehjci/…
AnnaKateBarton's tweet image. Pleased to present our review article discussing the present and future of molecular myocardial fibrosis imaging. Interested to learn now novel PET tracers may change the field? Read on to learn more 👓 📚 

#whyCMR #multimodalityimaging #cardiotwitter

doi.org/10.1093/ehjci/…

Anomalous origin of the LCX from the PA associated with non-compaction of the left ventricle: usefulness of #MultimodalityImaging bit.ly/46lp376 #EHJCaseReports @KardiologieHH @aayshacader @ANazmiCalik @TJ_Yeo @Phiso_de @EHJCREiC @FarhanaAra

ESC_Journals's tweet image. Anomalous origin of the LCX from the PA associated with non-compaction of the left ventricle: usefulness of #MultimodalityImaging bit.ly/46lp376

#EHJCaseReports @KardiologieHH @aayshacader  @ANazmiCalik @TJ_Yeo  @Phiso_de  @EHJCREiC @FarhanaAra
ESC_Journals's tweet image. Anomalous origin of the LCX from the PA associated with non-compaction of the left ventricle: usefulness of #MultimodalityImaging bit.ly/46lp376

#EHJCaseReports @KardiologieHH @aayshacader  @ANazmiCalik @TJ_Yeo  @Phiso_de  @EHJCREiC @FarhanaAra
ESC_Journals's tweet image. Anomalous origin of the LCX from the PA associated with non-compaction of the left ventricle: usefulness of #MultimodalityImaging bit.ly/46lp376

#EHJCaseReports @KardiologieHH @aayshacader  @ANazmiCalik @TJ_Yeo  @Phiso_de  @EHJCREiC @FarhanaAra

🫀💡Practically, the evaluation of valvular regurgitation requires the use of different imaging modalities 📷🧠 #cardiology #multimodalityimaging. #cardioimaging #cardiologyfellow #cardiologia #echocardiography #ECG #cardiovascular #electrocardiography #cardiac #ITcardiology

italian_cot's tweet image. 🫀💡Practically, the evaluation of valvular regurgitation requires the use of different imaging modalities 📷🧠

#cardiology #multimodalityimaging.  #cardioimaging #cardiologyfellow #cardiologia #echocardiography #ECG #cardiovascular #electrocardiography #cardiac #ITcardiology
italian_cot's tweet image. 🫀💡Practically, the evaluation of valvular regurgitation requires the use of different imaging modalities 📷🧠

#cardiology #multimodalityimaging.  #cardioimaging #cardiologyfellow #cardiologia #echocardiography #ECG #cardiovascular #electrocardiography #cardiac #ITcardiology
italian_cot's tweet image. 🫀💡Practically, the evaluation of valvular regurgitation requires the use of different imaging modalities 📷🧠

#cardiology #multimodalityimaging.  #cardioimaging #cardiologyfellow #cardiologia #echocardiography #ECG #cardiovascular #electrocardiography #cardiac #ITcardiology
italian_cot's tweet image. 🫀💡Practically, the evaluation of valvular regurgitation requires the use of different imaging modalities 📷🧠

#cardiology #multimodalityimaging.  #cardioimaging #cardiologyfellow #cardiologia #echocardiography #ECG #cardiovascular #electrocardiography #cardiac #ITcardiology

#multimodalityimaging #MMI = patient centered approach ✅Most efficient tools to get the answer ✅Right test for the right patient 🛑🙈non-invasive ✅advanced imaging #yesCT #echofirst #whyCMR #ase2023 @ASE360 #ACCImaging @purviparwani @LucySafi @BillalTokhi @LinWangMDNY

rooshaparikh's tweet image. #multimodalityimaging #MMI = patient centered approach
✅Most efficient tools to get the answer
✅Right test for the right patient
🛑🙈non-invasive
✅advanced imaging 
#yesCT #echofirst #whyCMR 
#ase2023 @ASE360 #ACCImaging 
@purviparwani @LucySafi @BillalTokhi @LinWangMDNY
rooshaparikh's tweet image. #multimodalityimaging #MMI = patient centered approach
✅Most efficient tools to get the answer
✅Right test for the right patient
🛑🙈non-invasive
✅advanced imaging 
#yesCT #echofirst #whyCMR 
#ase2023 @ASE360 #ACCImaging 
@purviparwani @LucySafi @BillalTokhi @LinWangMDNY
rooshaparikh's tweet image. #multimodalityimaging #MMI = patient centered approach
✅Most efficient tools to get the answer
✅Right test for the right patient
🛑🙈non-invasive
✅advanced imaging 
#yesCT #echofirst #whyCMR 
#ase2023 @ASE360 #ACCImaging 
@purviparwani @LucySafi @BillalTokhi @LinWangMDNY

It was an honour to have @dr_benoy_n_shah President of @BrHeartValveSoc discuss the role of #multimodalityimaging in #valvularheartdisease - the most beautiful imaging in the most beautiful of venues 🤩 #echofirst #bathbsci2022

BSCImaging's tweet image. It was an honour to have @dr_benoy_n_shah President of @BrHeartValveSoc discuss the role of #multimodalityimaging in #valvularheartdisease - the most beautiful imaging in the most beautiful of venues 🤩 #echofirst #bathbsci2022
BSCImaging's tweet image. It was an honour to have @dr_benoy_n_shah President of @BrHeartValveSoc discuss the role of #multimodalityimaging in #valvularheartdisease - the most beautiful imaging in the most beautiful of venues 🤩 #echofirst #bathbsci2022
BSCImaging's tweet image. It was an honour to have @dr_benoy_n_shah President of @BrHeartValveSoc discuss the role of #multimodalityimaging in #valvularheartdisease - the most beautiful imaging in the most beautiful of venues 🤩 #echofirst #bathbsci2022

Paulie helping his mum revise #whyCMR when in reality you’d think he’d be more of an expert in #CardiacCT (CAT) scans #multimodalityimaging

AnnaKateBarton's tweet image. Paulie helping his mum revise #whyCMR when in reality you’d think he’d be more of an expert in #CardiacCT (CAT) scans #multimodalityimaging

#MultimodalityImaging is the future! ASNC President Elect @almallahmo defining the direction cardiac imaging is headed in @MyASNC #CVNuc

AnamWaheed05's tweet image. #MultimodalityImaging is the future! ASNC President Elect @almallahmo defining the direction cardiac imaging is headed in
@MyASNC #CVNuc

#ESCCongress #MultimodalityImaging in #CardiacSarcoid presented by James Thomas @NMCardioVasc. Case of a young man presenting with narrow complex tachycardia (ventricular origin). Had wall motion abn’s in nonvascular distribution on Echo, normal coronaries. Teaching points👇🏼1/2

hvanspall's tweet image. #ESCCongress #MultimodalityImaging in #CardiacSarcoid presented by James Thomas @NMCardioVasc.
Case of a young man presenting with narrow complex tachycardia (ventricular origin). Had wall motion abn’s in nonvascular distribution on Echo, normal coronaries.
Teaching points👇🏼1/2
hvanspall's tweet image. #ESCCongress #MultimodalityImaging in #CardiacSarcoid presented by James Thomas @NMCardioVasc.
Case of a young man presenting with narrow complex tachycardia (ventricular origin). Had wall motion abn’s in nonvascular distribution on Echo, normal coronaries.
Teaching points👇🏼1/2
hvanspall's tweet image. #ESCCongress #MultimodalityImaging in #CardiacSarcoid presented by James Thomas @NMCardioVasc.
Case of a young man presenting with narrow complex tachycardia (ventricular origin). Had wall motion abn’s in nonvascular distribution on Echo, normal coronaries.
Teaching points👇🏼1/2
hvanspall's tweet image. #ESCCongress #MultimodalityImaging in #CardiacSarcoid presented by James Thomas @NMCardioVasc.
Case of a young man presenting with narrow complex tachycardia (ventricular origin). Had wall motion abn’s in nonvascular distribution on Echo, normal coronaries.
Teaching points👇🏼1/2

#Multimodalityimaging in 🫀 Sarcoidosis #Advances36 🔘LGE=inflammation OR scar and Rx is different for each state 🔘 FDG PET: assess/extra cardiac inflammation BUT intense dietary prep 🔘FDG=prognostic implications 🔘Novel SPECIFIC inflammation tracers are coming (DOTATATE/FLT)

AnnaKateBarton's tweet image. #Multimodalityimaging in 🫀 Sarcoidosis
#Advances36

🔘LGE=inflammation OR scar and Rx is different for each state 
🔘 FDG PET: assess/extra cardiac inflammation BUT intense dietary prep
🔘FDG=prognostic implications
🔘Novel SPECIFIC inflammation tracers are coming (DOTATATE/FLT)
AnnaKateBarton's tweet image. #Multimodalityimaging in 🫀 Sarcoidosis
#Advances36

🔘LGE=inflammation OR scar and Rx is different for each state 
🔘 FDG PET: assess/extra cardiac inflammation BUT intense dietary prep
🔘FDG=prognostic implications
🔘Novel SPECIFIC inflammation tracers are coming (DOTATATE/FLT)
AnnaKateBarton's tweet image. #Multimodalityimaging in 🫀 Sarcoidosis
#Advances36

🔘LGE=inflammation OR scar and Rx is different for each state 
🔘 FDG PET: assess/extra cardiac inflammation BUT intense dietary prep
🔘FDG=prognostic implications
🔘Novel SPECIFIC inflammation tracers are coming (DOTATATE/FLT)
AnnaKateBarton's tweet image. #Multimodalityimaging in 🫀 Sarcoidosis
#Advances36

🔘LGE=inflammation OR scar and Rx is different for each state 
🔘 FDG PET: assess/extra cardiac inflammation BUT intense dietary prep
🔘FDG=prognostic implications
🔘Novel SPECIFIC inflammation tracers are coming (DOTATATE/FLT)

Coincidental finding of a CCTA.. Aneurysm of membraneous septum❣️#multimodalityimaging#yesCCT

drozgeozden's tweet image. Coincidental finding of a CCTA.. Aneurysm of membraneous septum❣️#multimodalityimaging#yesCCT

Loading...

Something went wrong.


Something went wrong.


United States Trends