#path2path search results

Hi! I am Somayeh, an Iranian pathologist, As I applied to the #PathMatch2026, Looking forward to connect with peers & mentors. #Path2Path #Match2026 #Pathtwitter 🌟AAMC ID: 16429027 🌟 Any advice is welcome and appreciated.

BoshaghMd's tweet image. Hi! I am Somayeh, an Iranian pathologist, 
As I applied to the #PathMatch2026,
Looking forward to connect with peers & mentors.
#Path2Path
#Match2026 
#Pathtwitter 

🌟AAMC ID: 16429027 🌟

Any advice is welcome and appreciated.

A finding in a D&C specimen from a missed abortion. X4 and X10 Diagnosis? #Pathology #Pathresidents #Path2Path #Pathmatch25 #Pathmatch26 #OBGYNPath

leon_metlay's tweet image. A finding in a D&C specimen from a missed abortion. 
X4 and X10 
Diagnosis?
#Pathology #Pathresidents #Path2Path #Pathmatch25 #Pathmatch26 #OBGYNPath
leon_metlay's tweet image. A finding in a D&C specimen from a missed abortion. 
X4 and X10 
Diagnosis?
#Pathology #Pathresidents #Path2Path #Pathmatch25 #Pathmatch26 #OBGYNPath

What can you tell me about the patient? Obviously, have to figure out what it is, first. #PediPath #PathTwitter #Path2Path #PathMatch26 X4, X10, X10, X20

leon_metlay's tweet image. What can you tell me about the patient? Obviously, have to figure out what it is, first.
#PediPath #PathTwitter #Path2Path #PathMatch26 
X4, X10, X10, X20
leon_metlay's tweet image. What can you tell me about the patient? Obviously, have to figure out what it is, first.
#PediPath #PathTwitter #Path2Path #PathMatch26 
X4, X10, X10, X20
leon_metlay's tweet image. What can you tell me about the patient? Obviously, have to figure out what it is, first.
#PediPath #PathTwitter #Path2Path #PathMatch26 
X4, X10, X10, X20
leon_metlay's tweet image. What can you tell me about the patient? Obviously, have to figure out what it is, first.
#PediPath #PathTwitter #Path2Path #PathMatch26 
X4, X10, X10, X20

Incredibly honored and excited to find out that I Matched into a Pathology Residency!! Anxiously awaiting Friday to find out where I will complete my residency training 🥹🎊 #Match2024 #Path2Path #PathMatch #NYITCOM #DOGreatThings

nicole_m_maddie's tweet image. Incredibly honored and excited to find out that I Matched into a Pathology Residency!! Anxiously awaiting Friday to find out where I will complete my residency training 🥹🎊 #Match2024 #Path2Path #PathMatch #NYITCOM #DOGreatThings

THIS IS SURREAL!!!! I matched to Mass General Brigham Pathology!!! Can’t wait to start this amazing adventure with this great group of people!!! 🥹😄🥳🍾 @BWHPath @MGHPathology #Match2024 #PathTwitter #path2path

RepettoF_MD's tweet image. THIS IS SURREAL!!!! 
I matched to Mass General Brigham Pathology!!! Can’t wait to start this amazing adventure with this great group of people!!! 🥹😄🥳🍾

@BWHPath @MGHPathology 

#Match2024 #PathTwitter #path2path
RepettoF_MD's tweet image. THIS IS SURREAL!!!! 
I matched to Mass General Brigham Pathology!!! Can’t wait to start this amazing adventure with this great group of people!!! 🥹😄🥳🍾

@BWHPath @MGHPathology 

#Match2024 #PathTwitter #path2path

Don’t forget to apply for our Global Observership program! #PathMatch26 #Path2path #PathTwitter dlmp.uw.edu/education/glob…

UWLMPathRes's tweet image. Don’t forget to apply for our Global Observership program!

#PathMatch26 #Path2path #PathTwitter 

dlmp.uw.edu/education/glob…

This is the Fellowship you are looking for! #PediPath #Pathology #Path2Path #Halloween

leon_metlay's tweet image. This is the Fellowship you are looking for!

#PediPath #Pathology #Path2Path #Halloween

Today I matched Pathology at UCSD! Super excited for the road ahead!!! #Path2Path #pathmatch2025

shawnrosar10's tweet image. Today I matched Pathology at UCSD! Super excited for the road ahead!!! #Path2Path #pathmatch2025
shawnrosar10's tweet image. Today I matched Pathology at UCSD! Super excited for the road ahead!!! #Path2Path #pathmatch2025

A ✨star-studded✨ cast of Pathology residency open houses coming up this week. RSVP and save the date! Full event details and link can be found in the link in our bio. @MatchToPath @Inside_TheMatch #pathology #Path2Path #PathX #PathTwitter #Match2025 #PathMatch25 #pathmatch

Path_SIG's tweet image. A ✨star-studded✨ cast of Pathology residency open houses coming up this week. RSVP and save the date! Full event details and link can be found in the link in our bio.

@MatchToPath @Inside_TheMatch

#pathology #Path2Path #PathX #PathTwitter #Match2025 #PathMatch25 #pathmatch

Excited to push some glass or.. in the future, move a cursor xD #pathmatch2025 #PathMatch25 #Path2Path

Andrew_CCook's tweet image. Excited to push some glass or.. in the future, move a cursor xD #pathmatch2025 #PathMatch25 #Path2Path

Excited to join the best kept secret in medicine! Shoutout to the mentors who have helped me along the way @KMirza #loading #pathmatch2024 #path2path #Match2024

DaneWuori's tweet image. Excited to join the best kept secret in medicine!

Shoutout to the mentors who have helped me along the way @KMirza 

#loading  #pathmatch2024 #path2path  #Match2024

Hi #PathTwitter I’m Nikki, from Los Angeles. I love cats, archery, video games, hiking/climbing, and collecting more books than I could ever possibly read. I am very excited to finally be participating in #PathMatch24 #path2path #Match2024

NikkiBerryMD1's tweet image. Hi #PathTwitter 
I’m Nikki, from Los Angeles.

I love cats, archery, video games, hiking/climbing, and collecting more books than I could ever possibly read. 

I am very excited to finally be participating in #PathMatch24

#path2path #Match2024

Uchicago pathology department👩‍⚕️🧑‍⚕️🥼🥇🎯💪🩸🔬🦠🧬 #Match2024 #PathMatch #Path2path #Pathmatch2024 #PathTwitter #Uchicago

riham_katkhuda's tweet image. Uchicago pathology department👩‍⚕️🧑‍⚕️🥼🥇🎯💪🩸🔬🦠🧬
#Match2024 #PathMatch #Path2path #Pathmatch2024 #PathTwitter #Uchicago
riham_katkhuda's tweet image. Uchicago pathology department👩‍⚕️🧑‍⚕️🥼🥇🎯💪🩸🔬🦠🧬
#Match2024 #PathMatch #Path2path #Pathmatch2024 #PathTwitter #Uchicago

A 30 Yr | 👩 🎯 SiTe: Recto-Sigmoid 🔪CuT: A 6x3cm punched out Ulcerating Mass with raised borders 🔬DiAgNoSis? #Pathresidents #Pathology #Path2Path #PathTwitter #GIpath @Pathologists #pathx

_Wondweson64's tweet image. A 30 Yr | 👩
 🎯 SiTe: Recto-Sigmoid
   🔪CuT: A 6x3cm punched out Ulcerating Mass with raised borders
🔬DiAgNoSis?

#Pathresidents #Pathology #Path2Path #PathTwitter #GIpath @Pathologists #pathx

Posting a few days late, but @UTMB_Pathology residents have now hit 34 publications for 2023; we've run out of room on our publication board! 26 more days to hit our goal of 36 pubs for the year; LET'S GO! #UTMBSIR #Path2Path #PathMatch24 #PathMatch2024 #PathTwitter

JGosnell2's tweet image. Posting a few days late, but @UTMB_Pathology residents have now hit 34 publications for 2023; we've run out of room on our publication board! 26 more days to hit our goal of 36 pubs for the year; LET'S GO!
#UTMBSIR #Path2Path #PathMatch24 #PathMatch2024 #PathTwitter

ALL are High grade papillary urothelial carcinoma, EXCEPT one Low grade, could you recognize it ? #path2path #PathTwitter #GUpath #gupath

riham_katkhuda's tweet image. ALL are High grade papillary urothelial carcinoma, EXCEPT one Low grade, could you recognize it ?
#path2path #PathTwitter #GUpath #gupath
riham_katkhuda's tweet image. ALL are High grade papillary urothelial carcinoma, EXCEPT one Low grade, could you recognize it ?
#path2path #PathTwitter #GUpath #gupath
riham_katkhuda's tweet image. ALL are High grade papillary urothelial carcinoma, EXCEPT one Low grade, could you recognize it ?
#path2path #PathTwitter #GUpath #gupath
riham_katkhuda's tweet image. ALL are High grade papillary urothelial carcinoma, EXCEPT one Low grade, could you recognize it ?
#path2path #PathTwitter #GUpath #gupath

#USCAP2025 here I come! So glad that our poster got accepted for the annual meeting! #PathMatch2024 #Path2Path #PathTwitter #pathX @PathatUCD

Talha_K_Khan's tweet image. #USCAP2025 here I come! So glad that our poster got accepted for the annual meeting! 

#PathMatch2024 #Path2Path #PathTwitter #pathX 
@PathatUCD

A 15 Yr | 👧 🦋THYROID |● Well-Capsulated, 5x3x2cm, Dark Brown Mass with Tiny Cystic Lacunae 🧇 filled with Blood. ➴CaN yoU DiAgNOsE iT? #Pathresidents #Pathology #Path2Path #PathTwitter #Endocrinepath @Pathologists

_Wondweson64's tweet image. A 15 Yr | 👧
🦋THYROID |● Well-Capsulated, 5x3x2cm, Dark Brown Mass with Tiny Cystic Lacunae 🧇 filled with Blood.

➴CaN yoU DiAgNOsE iT?

#Pathresidents #Pathology #Path2Path #PathTwitter #Endocrinepath @Pathologists

🎙️ Join us for Grand Rounds on Fri 11/14 at 8:00 AM PT featuring Dr. Amy Chadburn presenting on "HIV-Related Lymphomas, Lymphoproliferative Lesions and Lymphoid Hyperplasias, and Castleman Disease." Full schedule here ➨ bit.ly/3BMx0E3 #Pathology #Path2Path #PathX

UCLA_Pathology's tweet image. 🎙️ Join us for Grand Rounds on Fri 11/14 at 8:00 AM PT featuring Dr. Amy Chadburn presenting on "HIV-Related Lymphomas, Lymphoproliferative Lesions and Lymphoid Hyperplasias, and Castleman Disease."
 
 Full schedule here ➨ bit.ly/3BMx0E3

#Pathology #Path2Path #PathX…

🔬🇺🇸 In honor of Veterans Day, we are celebrating our Department Veterans! Dr. Gregory Gates served in the US Navy for 14 years with 4 years in Pathology Residency and 4 years as a General Surgical Pathologist. Thank you for your service, Dr. Gates! #pathology #path2path #PathX

UCLA_Pathology's tweet image. 🔬🇺🇸 In honor of Veterans Day, we are celebrating our Department Veterans!

Dr. Gregory Gates served in the US Navy for 14 years with 4 years in Pathology Residency and 4 years as a General Surgical Pathologist. Thank you for your service, Dr. Gates!

#pathology #path2path #PathX…

🔬🇺🇸 In honor of Veterans Day, we are celebrating our Department Veterans! Dr. Ryan Austin served in the US Navy for 12 years as a Flight Surgeon and Pathologist. Thank you for your service, Dr. Austin! #pathology #path2path #PathX #VeteransDay

UCLA_Pathology's tweet image. 🔬🇺🇸 In honor of Veterans Day, we are celebrating our Department Veterans! 

Dr. Ryan Austin served in the US Navy for 12 years as a Flight Surgeon and Pathologist. Thank you for your service, Dr. Austin!

#pathology #path2path #PathX #VeteransDay

🏅 Congratulations to Dr. Andrea McGonigle and Dr. Cindy Tay on receiving a Translational Research Fund Grant for their project "Selective Blood Donor Testing for a Sickle Cell Standing Donor Pool." #pathology #path2path #PathX #research #transfusionmedicine

UCLA_Pathology's tweet image. 🏅 Congratulations to Dr. Andrea McGonigle and Dr. Cindy Tay on receiving a Translational Research Fund Grant for their project "Selective Blood Donor Testing for a Sickle Cell Standing Donor Pool." 

#pathology #path2path #PathX #research #transfusionmedicine
UCLA_Pathology's tweet image. 🏅 Congratulations to Dr. Andrea McGonigle and Dr. Cindy Tay on receiving a Translational Research Fund Grant for their project "Selective Blood Donor Testing for a Sickle Cell Standing Donor Pool." 

#pathology #path2path #PathX #research #transfusionmedicine

💫 We invite you to read & reflect on Dr. Sarah Dry’s November Chair Message. It features Division updates along with department events and news. #pathology #path2path #PathX Read More ➨ bit.ly/47Eg6r4

UCLA_Pathology's tweet image. 💫 We invite you to read & reflect on Dr. Sarah Dry’s November Chair Message. It features Division updates along with department events and news. #pathology #path2path #PathX

Read More ➨ bit.ly/47Eg6r4
UCLA_Pathology's tweet image. 💫 We invite you to read & reflect on Dr. Sarah Dry’s November Chair Message. It features Division updates along with department events and news. #pathology #path2path #PathX

Read More ➨ bit.ly/47Eg6r4
UCLA_Pathology's tweet image. 💫 We invite you to read & reflect on Dr. Sarah Dry’s November Chair Message. It features Division updates along with department events and news. #pathology #path2path #PathX

Read More ➨ bit.ly/47Eg6r4
UCLA_Pathology's tweet image. 💫 We invite you to read & reflect on Dr. Sarah Dry’s November Chair Message. It features Division updates along with department events and news. #pathology #path2path #PathX

Read More ➨ bit.ly/47Eg6r4

What can you tell me about the patient? Obviously, have to figure out what it is, first. #PediPath #PathTwitter #Path2Path #PathMatch26 X4, X10, X10, X20

leon_metlay's tweet image. What can you tell me about the patient? Obviously, have to figure out what it is, first.
#PediPath #PathTwitter #Path2Path #PathMatch26 
X4, X10, X10, X20
leon_metlay's tweet image. What can you tell me about the patient? Obviously, have to figure out what it is, first.
#PediPath #PathTwitter #Path2Path #PathMatch26 
X4, X10, X10, X20
leon_metlay's tweet image. What can you tell me about the patient? Obviously, have to figure out what it is, first.
#PediPath #PathTwitter #Path2Path #PathMatch26 
X4, X10, X10, X20
leon_metlay's tweet image. What can you tell me about the patient? Obviously, have to figure out what it is, first.
#PediPath #PathTwitter #Path2Path #PathMatch26 
X4, X10, X10, X20

🎃🔬 Happy Pathoween from UCLA Pathology! 👻 #pathology #path2path #PathX #Pathoween #Halloween


📽️✨An inside look at life in the UCLA Pathology Residency Program! We’re excited to share the moments that shape our residents - from the microscope to mentorship, and everything in between. Watch the full video ➨ youtu.be/Yfw39_U9_Hg #pathology #path2path #PathX

UCLA_Pathology's tweet card. UCLA Pathology & Laboratory Medicine Residency Program

youtube.com

YouTube

UCLA Pathology & Laboratory Medicine Residency Program


🎙️ Join us for Grand Rounds on Fri 10/24 at 8:00 AM PT featuring Dr. Dan Milner (@damilnermd) presenting on "Pathology Capacity in Global Health." Full schedule here ➨ bit.ly/3BMx0E3 #Pathology #Path2Path #PathX #ClinMicro

UCLA_Pathology's tweet image. 🎙️ Join us for Grand Rounds on Fri 10/24 at 8:00 AM PT featuring Dr. Dan Milner (@damilnermd) presenting on "Pathology Capacity in Global Health."

Full schedule here ➨ bit.ly/3BMx0E3 

#Pathology #Path2Path #PathX #ClinMicro

Don’t forget to apply for our Global Observership program! #PathMatch26 #Path2path #PathTwitter dlmp.uw.edu/education/glob…

UWLMPathRes's tweet image. Don’t forget to apply for our Global Observership program!

#PathMatch26 #Path2path #PathTwitter 

dlmp.uw.edu/education/glob…

🔬UCLA Pathology's Post-Sophomore/Junior Fellowship Program is now recruiting medical students to join our 1-Year #Pathology Fellowship for 2026-2027! Apply today! 👉 bit.ly/4mexWqi #PathX #path2path #pathfellowship @Path_SIG @PathElective @Inside_TheMatch @dgsomucla


What’s due tomorrow, Oct 15?🤔 – The start of the bulky residency interview invitation release…🔬 – And the deadline❗️to submit my two posters and one oral presentation for ASDP 62nd. Wishing the best of luck to all of us 🍀 #Match2026 #MatchToPath #Path2Path #IMGPathologist

FreemanPeng47's tweet image. What’s due tomorrow, Oct 15?🤔
– The start of the bulky residency interview invitation release…🔬
– And the deadline❗️to submit my two posters and one oral presentation for ASDP 62nd.

Wishing the best of luck to all of us 🍀
#Match2026 #MatchToPath #Path2Path #IMGPathologist
FreemanPeng47's tweet image. What’s due tomorrow, Oct 15?🤔
– The start of the bulky residency interview invitation release…🔬
– And the deadline❗️to submit my two posters and one oral presentation for ASDP 62nd.

Wishing the best of luck to all of us 🍀
#Match2026 #MatchToPath #Path2Path #IMGPathologist
FreemanPeng47's tweet image. What’s due tomorrow, Oct 15?🤔
– The start of the bulky residency interview invitation release…🔬
– And the deadline❗️to submit my two posters and one oral presentation for ASDP 62nd.

Wishing the best of luck to all of us 🍀
#Match2026 #MatchToPath #Path2Path #IMGPathologist

A finding in a D&C specimen from a missed abortion. X4 and X10 Diagnosis? #Pathology #Pathresidents #Path2Path #Pathmatch25 #Pathmatch26 #OBGYNPath

leon_metlay's tweet image. A finding in a D&C specimen from a missed abortion. 
X4 and X10 
Diagnosis?
#Pathology #Pathresidents #Path2Path #Pathmatch25 #Pathmatch26 #OBGYNPath
leon_metlay's tweet image. A finding in a D&C specimen from a missed abortion. 
X4 and X10 
Diagnosis?
#Pathology #Pathresidents #Path2Path #Pathmatch25 #Pathmatch26 #OBGYNPath

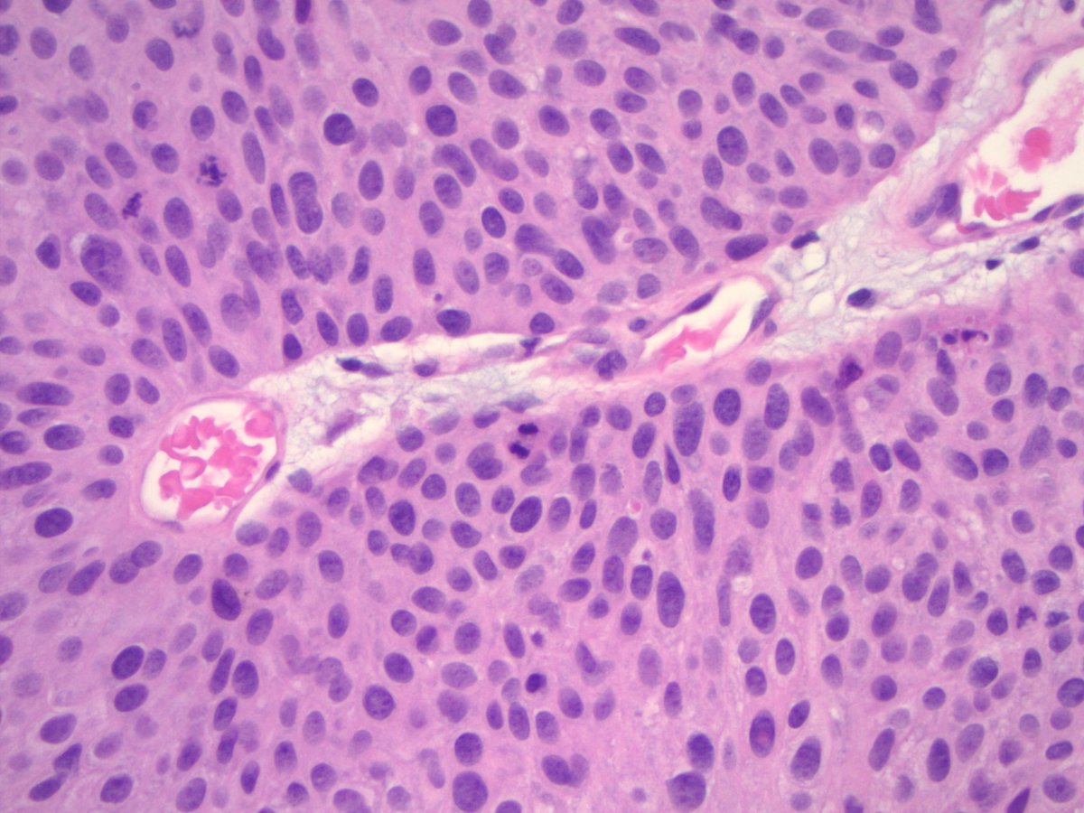
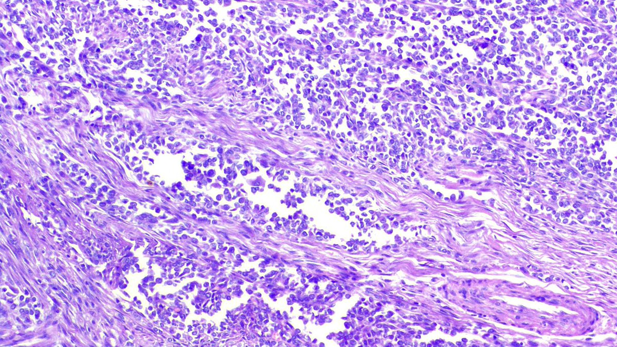
What can you tell me about the patient? Obviously, have to figure out what it is, first. #PediPath #PathTwitter #Path2Path #PathMatch26 X4, X10, X10, X20

leon_metlay's tweet image. What can you tell me about the patient? Obviously, have to figure out what it is, first.
#PediPath #PathTwitter #Path2Path #PathMatch26 
X4, X10, X10, X20
leon_metlay's tweet image. What can you tell me about the patient? Obviously, have to figure out what it is, first.
#PediPath #PathTwitter #Path2Path #PathMatch26 
X4, X10, X10, X20
leon_metlay's tweet image. What can you tell me about the patient? Obviously, have to figure out what it is, first.
#PediPath #PathTwitter #Path2Path #PathMatch26 
X4, X10, X10, X20
leon_metlay's tweet image. What can you tell me about the patient? Obviously, have to figure out what it is, first.
#PediPath #PathTwitter #Path2Path #PathMatch26 
X4, X10, X10, X20

Hi! I am Somayeh, an Iranian pathologist, As I applied to the #PathMatch2026, Looking forward to connect with peers & mentors. #Path2Path #Match2026 #Pathtwitter 🌟AAMC ID: 16429027 🌟 Any advice is welcome and appreciated.

BoshaghMd's tweet image. Hi! I am Somayeh, an Iranian pathologist, 
As I applied to the #PathMatch2026,
Looking forward to connect with peers & mentors.
#Path2Path
#Match2026 
#Pathtwitter 

🌟AAMC ID: 16429027 🌟

Any advice is welcome and appreciated.

Dallas here I come 🎉🎉🎉I matched at @BUMCpath 🔬🥳🥳🥳 #Match2024 #PathMatch2024 #Path2Path #PathTwitter

smaralkm's tweet image. Dallas here I come 🎉🎉🎉I matched at @BUMCpath 🔬🥳🥳🥳 #Match2024 #PathMatch2024 #Path2Path #PathTwitter

A ✨star-studded✨ cast of Pathology residency open houses coming up this week. RSVP and save the date! Full event details and link can be found in the link in our bio. @MatchToPath @Inside_TheMatch #pathology #Path2Path #PathX #PathTwitter #Match2025 #PathMatch25 #pathmatch

Path_SIG's tweet image. A ✨star-studded✨ cast of Pathology residency open houses coming up this week. RSVP and save the date! Full event details and link can be found in the link in our bio.

@MatchToPath @Inside_TheMatch

#pathology #Path2Path #PathX #PathTwitter #Match2025 #PathMatch25 #pathmatch

Done with my last interview! Happy that I got to meet and talk to amazing pathologists,residents and program coordinators along the way! Path community is amazing!!!! 🔬😍#PathMatch2023 #PathTwitter #Path2Path

YMirzabeigi's tweet image. Done with my last interview! Happy that I got to meet and talk to amazing pathologists,residents and program  coordinators along the way! Path community is amazing!!!! 🔬😍#PathMatch2023 #PathTwitter #Path2Path

THIS IS SURREAL!!!! I matched to Mass General Brigham Pathology!!! Can’t wait to start this amazing adventure with this great group of people!!! 🥹😄🥳🍾 @BWHPath @MGHPathology #Match2024 #PathTwitter #path2path

RepettoF_MD's tweet image. THIS IS SURREAL!!!! 
I matched to Mass General Brigham Pathology!!! Can’t wait to start this amazing adventure with this great group of people!!! 🥹😄🥳🍾

@BWHPath @MGHPathology 

#Match2024 #PathTwitter #path2path
RepettoF_MD's tweet image. THIS IS SURREAL!!!! 
I matched to Mass General Brigham Pathology!!! Can’t wait to start this amazing adventure with this great group of people!!! 🥹😄🥳🍾

@BWHPath @MGHPathology 

#Match2024 #PathTwitter #path2path

Prospective pathology residents. Save the date for our upcoming Virtual Meet & Greet sessions! @UCLA_Pathology . #pathmatch #path2path #pathtwitter Please register here: uclahs.az1.qualtrics.com/jfe/form/SV_bj…

JZRenalPath's tweet image. Prospective pathology residents. Save the date for our upcoming Virtual Meet & Greet sessions!  @UCLA_Pathology . #pathmatch #path2path #pathtwitter Please register here: uclahs.az1.qualtrics.com/jfe/form/SV_bj…

Incredibly honored and excited to find out that I Matched into a Pathology Residency!! Anxiously awaiting Friday to find out where I will complete my residency training 🥹🎊 #Match2024 #Path2Path #PathMatch #NYITCOM #DOGreatThings

nicole_m_maddie's tweet image. Incredibly honored and excited to find out that I Matched into a Pathology Residency!! Anxiously awaiting Friday to find out where I will complete my residency training 🥹🎊 #Match2024 #Path2Path #PathMatch #NYITCOM #DOGreatThings

Please join us for "To Lump or to Split? Emerging Entities in Soft Tissue #Pathology," @WCMCPathology #GrandRounds by Dr. David Papke (@PapkeDavid) from @harvardmed @BWHPath! @pathologysocial #path2path @Path_SIG #LabMedicine Come for the science (🧪), stay for the pizza (🍕)!

WCMCPathology's tweet image. Please join us for "To Lump or to Split? Emerging Entities in Soft Tissue #Pathology," @WCMCPathology #GrandRounds by Dr. David Papke (@PapkeDavid) from @harvardmed @BWHPath! @pathologysocial #path2path @Path_SIG #LabMedicine

Come for the science (🧪), stay for the pizza (🍕)!

Hi #PathTwitter! I'm Abdalla from🇪🇬, I am excited to share I'm applying #PathMatch2025. A proud HemePath, GI, and DermPath enjoyer. I'm also a chess obsessed nerd♟️Excited to connect with mentors and the amazing pathology community as I make this next move!🔬#Path2Path #pathX

AbdallaMAbd's tweet image. Hi #PathTwitter!
I'm Abdalla from🇪🇬, I am excited to share I'm applying #PathMatch2025. A proud HemePath, GI, and DermPath enjoyer. I'm also a chess obsessed nerd♟️Excited to connect with mentors and the amazing pathology community as I make this next move!🔬#Path2Path #pathX

This is the Fellowship you are looking for! #PediPath #Pathology #Path2Path #Halloween

leon_metlay's tweet image. This is the Fellowship you are looking for!

#PediPath #Pathology #Path2Path #Halloween

Why choose submitting your article to us! We won’t disappoint you! #cytopath #path2path #pathmatch24 #globalpath cc: @aakasharmand

DiagnosticCyto's tweet image. Why choose submitting your article to us! We won’t disappoint you! #cytopath #path2path #pathmatch24 #globalpath 
cc: @aakasharmand

Today is the day! @UABPathology is thrilled to announce and welcome our incoming residents! Thank you for an incredible #PathMatch24. We look forward to welcoming these individuals into the UAB Pathology family! #Match24 #path2path

UABPathology's tweet image. Today is the day! @UABPathology is thrilled to announce and welcome our incoming residents! Thank you for an incredible #PathMatch24. We look forward to welcoming these individuals into the UAB Pathology family! #Match24 #path2path

#CAP23 made it possible to get to meet the awesome community of supportive residents #Path2Path #PathX

smaralkm's tweet image. #CAP23 made it possible to get to meet the awesome community of supportive residents #Path2Path #PathX
smaralkm's tweet image. #CAP23 made it possible to get to meet the awesome community of supportive residents #Path2Path #PathX
smaralkm's tweet image. #CAP23 made it possible to get to meet the awesome community of supportive residents #Path2Path #PathX

We are so excited to celebrate with you! #PathMatch2025 #path2path #MatchDay2025

ASCP_Chicago's tweet image. We are so excited to celebrate with you!

#PathMatch2025 #path2path #MatchDay2025

Posting a few days late, but @UTMB_Pathology residents have now hit 34 publications for 2023; we've run out of room on our publication board! 26 more days to hit our goal of 36 pubs for the year; LET'S GO! #UTMBSIR #Path2Path #PathMatch24 #PathMatch2024 #PathTwitter

JGosnell2's tweet image. Posting a few days late, but @UTMB_Pathology residents have now hit 34 publications for 2023; we've run out of room on our publication board! 26 more days to hit our goal of 36 pubs for the year; LET'S GO!
#UTMBSIR #Path2Path #PathMatch24 #PathMatch2024 #PathTwitter

Loading...

Something went wrong.


Something went wrong.


United States Trends