#percax search results

The next Medtronic TAVR sheath is 12 Fr. It is called “Confida”, like Confida wire .. Theoretically speaking it needs 4 mm artery - So, I am looking for Brachial artery access TAVR .. that might be my 2019 new target #TAVR after done #PercAx cases, who’s in 🤷🏻‍♂️?

Almanfi_Cardio's tweet image. The next Medtronic TAVR sheath is 12 Fr. It is called “Confida”, like Confida wire .. Theoretically speaking it needs 4 mm artery - So, I am looking for Brachial artery access TAVR .. that might be my 2019 new target #TAVR after done #PercAx cases, who’s in 🤷🏻‍♂️?

Steps for Percutaneous left Axillary Access #PercAx for #TAVR - Planning is key, CT scan to size the artery & prepare balloon/covered stent for bailout. J wire from groin. Use US guidance Micro-puncture technique, fluoroscopy & angiogram via 4 Fr --> double PerClose then TAVR


#PercAx #access learning from the greats ⁦@DrAmirKaki⁩ ⁦@RajTayalMD⁩ ⁦@duanepinto⁩ ⁦⁦@TanveerRab⁩ U’re helping the sickest patients all over, through ur contribution ⁦@ekgpdx⁩ ⁦⁦@agtruesdell⁩⁩ ⁦@SVRaoMD⁩ ⁦@Babar_Basir

HadyLichaaMD's tweet image. #PercAx #access learning from the greats ⁦@DrAmirKaki⁩ ⁦@RajTayalMD⁩ ⁦@duanepinto⁩ ⁦⁦@TanveerRab⁩

U’re helping the sickest patients all over, through ur contribution

⁦@ekgpdx⁩ ⁦⁦@agtruesdell⁩⁩ ⁦@SVRaoMD⁩ ⁦@Babar_Basir⁩

#percax #Impella left main #rotatripsy and provisional stenting live at #SPCI2023 — first case of #IVL on the 🏝️ Great interaction with the moderators @rickytiago and @AjayKirtane Thanks, SPCI, for the opportunity to educate the audience and help your patient.


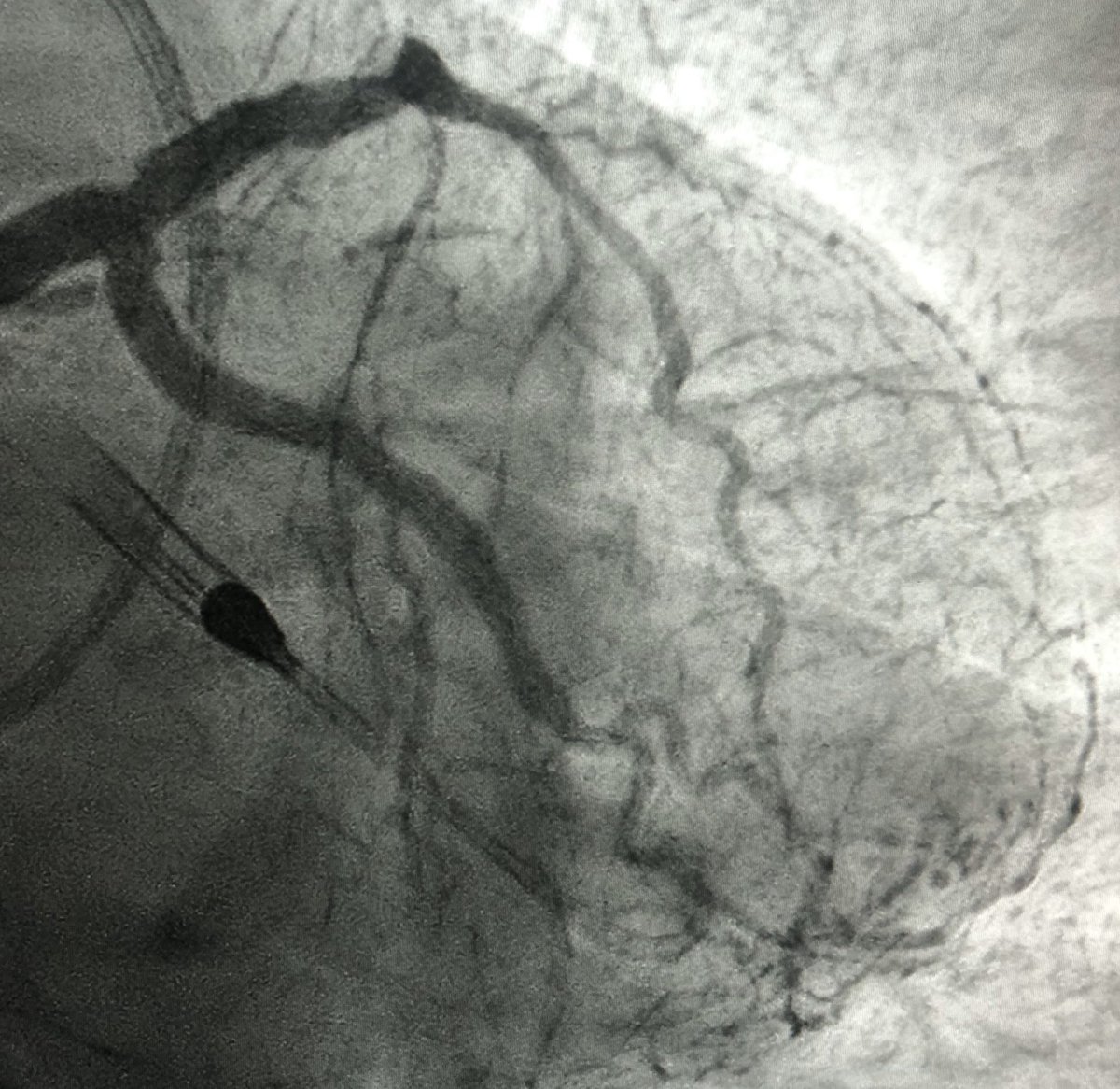
62 y/o male presents with NSTEMI. Boarded for cath in am. Prior to cath VT arrest and on vasopressors Findings at cath, severe LAD, CTO LCx, CTO RCA. LVEDP 34mmhg, EF 10%. Severe PAD. Rx with IC fellow sticks #PercAx Impella and IVUS guided revasc. Now off vasopressors.

DrAmirKaki's tweet image. 62 y/o male presents with NSTEMI.  Boarded for cath in am.  Prior to cath VT arrest and on vasopressors Findings at cath, severe LAD, CTO LCx, CTO RCA.  LVEDP 34mmhg, EF 10%.  Severe PAD.  Rx with IC fellow sticks #PercAx Impella and IVUS guided revasc.  Now off vasopressors.
DrAmirKaki's tweet image. 62 y/o male presents with NSTEMI.  Boarded for cath in am.  Prior to cath VT arrest and on vasopressors Findings at cath, severe LAD, CTO LCx, CTO RCA.  LVEDP 34mmhg, EF 10%.  Severe PAD.  Rx with IC fellow sticks #PercAx Impella and IVUS guided revasc.  Now off vasopressors.
DrAmirKaki's tweet image. 62 y/o male presents with NSTEMI.  Boarded for cath in am.  Prior to cath VT arrest and on vasopressors Findings at cath, severe LAD, CTO LCx, CTO RCA.  LVEDP 34mmhg, EF 10%.  Severe PAD.  Rx with IC fellow sticks #PercAx Impella and IVUS guided revasc.  Now off vasopressors.
DrAmirKaki's tweet image. 62 y/o male presents with NSTEMI.  Boarded for cath in am.  Prior to cath VT arrest and on vasopressors Findings at cath, severe LAD, CTO LCx, CTO RCA.  LVEDP 34mmhg, EF 10%.  Severe PAD.  Rx with IC fellow sticks #PercAx Impella and IVUS guided revasc.  Now off vasopressors.

#PercAx pioneer Dr.Raj Tayal and Dr Almanfi who needs no twitterduction! Great seeing these gentlemen in real life. #SCAI2018

DrAmirKaki's tweet image. #PercAx pioneer Dr.Raj Tayal and Dr Almanfi who needs no twitterduction! Great seeing these gentlemen in real life.  #SCAI2018

3/3 👍Initial LVEDP 30. #PercAx Impella. IVUS-guided/optimized #RadialFirst #LDTRA LAD/LCX PCI/Rota/DES (with deferral of RCA CTO for staging later)...

agtruesdell's tweet image. 3/3 👍Initial LVEDP 30. #PercAx Impella. IVUS-guided/optimized #RadialFirst #LDTRA LAD/LCX PCI/Rota/DES (with deferral of RCA CTO for staging later)...
agtruesdell's tweet image. 3/3 👍Initial LVEDP 30. #PercAx Impella. IVUS-guided/optimized #RadialFirst #LDTRA LAD/LCX PCI/Rota/DES (with deferral of RCA CTO for staging later)...

2nd F/U visit for this patient. December 21st 2017, this gentleman presented with CGS and CPR in progress. Emergent Impella. EF 10% post. EF now fully recovered. Wouldn’t have survived without MCS #PercAx #NCSI #Waronshock #heartrecovery

DrAmirKaki's tweet image. 2nd F/U visit for this patient. December 21st 2017, this gentleman presented with CGS and CPR in progress. Emergent Impella. EF 10% post. EF now fully recovered.  Wouldn’t have survived without MCS #PercAx #NCSI #Waronshock #heartrecovery

Hostile #iliacs requiring mechanical circulatory support - used #PercAx for large bore #DetroitCHIP

chadialraies's tweet image. Hostile #iliacs requiring mechanical circulatory support - used #PercAx for large bore #DetroitCHIP
chadialraies's tweet image. Hostile #iliacs requiring mechanical circulatory support - used #PercAx for large bore #DetroitCHIP

Advanced Operators Symposium with world class docs from across the country. Thank you for coming to our city and helping with our cases.#PercAx #PatientsFirst

DrAmirKaki's tweet image. Advanced Operators Symposium with world class docs from across the country.  Thank you for coming to our city and helping with our cases.#PercAx #PatientsFirst
DrAmirKaki's tweet image. Advanced Operators Symposium with world class docs from across the country.  Thank you for coming to our city and helping with our cases.#PercAx #PatientsFirst
DrAmirKaki's tweet image. Advanced Operators Symposium with world class docs from across the country.  Thank you for coming to our city and helping with our cases.#PercAx #PatientsFirst
DrAmirKaki's tweet image. Advanced Operators Symposium with world class docs from across the country.  Thank you for coming to our city and helping with our cases.#PercAx #PatientsFirst

The second Greater Detroit CHIP meeting is taking place Wednesday 12/5/2018. We hope to capitalize on our successful format of case-based learning in interventional cardiology. Registration and case submission: link: goo.gl/forms/HIIFQQww… #SCAI19 #cardiotwitter #PercAx

chadialraies's tweet image. The second Greater Detroit CHIP meeting is taking place Wednesday 12/5/2018. We hope to capitalize on our successful format of case-based learning in interventional cardiology. Registration and case submission: link: goo.gl/forms/HIIFQQww… #SCAI19 #cardiotwitter #PercAx

CGS with severe 3VD on 2 pressors. LVEDP 60mmHG. On CP stopped pressors and dropped to 42mmHG and 2 hours laters 18mmg. Transferred due to hostile illiac dz. #PercAx with pre emptive antegrade brachial conduit. #NCSI #waronshock

DrAmirKaki's tweet image. CGS with severe 3VD on 2 pressors.  LVEDP 60mmHG.  On CP stopped pressors and dropped to 42mmHG and 2 hours laters 18mmg.  Transferred due to hostile illiac dz. #PercAx with pre emptive antegrade brachial conduit.  #NCSI #waronshock
DrAmirKaki's tweet image. CGS with severe 3VD on 2 pressors.  LVEDP 60mmHG.  On CP stopped pressors and dropped to 42mmHG and 2 hours laters 18mmg.  Transferred due to hostile illiac dz. #PercAx with pre emptive antegrade brachial conduit.  #NCSI #waronshock
DrAmirKaki's tweet image. CGS with severe 3VD on 2 pressors.  LVEDP 60mmHG.  On CP stopped pressors and dropped to 42mmHG and 2 hours laters 18mmg.  Transferred due to hostile illiac dz. #PercAx with pre emptive antegrade brachial conduit.  #NCSI #waronshock
DrAmirKaki's tweet image. CGS with severe 3VD on 2 pressors.  LVEDP 60mmHG.  On CP stopped pressors and dropped to 42mmHG and 2 hours laters 18mmg.  Transferred due to hostile illiac dz. #PercAx with pre emptive antegrade brachial conduit.  #NCSI #waronshock

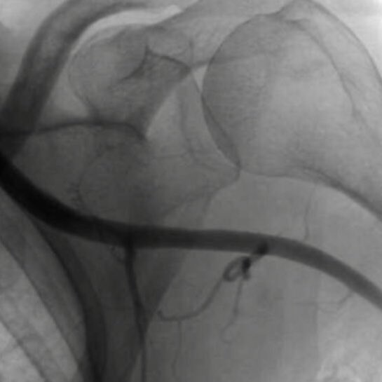
#PercAx #TAVR. Single Perclose. Dry closure. Post angio showed mild extravasation. Ten minutes manual pressure and repeat angio was pristine. No Perclose Pinch. No need for covered stent.

willsuh76's tweet image. #PercAx #TAVR. Single Perclose. Dry closure. Post angio showed mild extravasation.  Ten minutes manual pressure and repeat angio was pristine. No Perclose Pinch. No need for covered stent.
willsuh76's tweet image. #PercAx #TAVR. Single Perclose. Dry closure. Post angio showed mild extravasation.  Ten minutes manual pressure and repeat angio was pristine. No Perclose Pinch. No need for covered stent.
willsuh76's tweet image. #PercAx #TAVR. Single Perclose. Dry closure. Post angio showed mild extravasation.  Ten minutes manual pressure and repeat angio was pristine. No Perclose Pinch. No need for covered stent.

Any mature #TAVR programme needs to have an alternative access strategy to #safefemoral . For us it has been #percAx but we have now successfully added #Transcaval as our alternate access. My gratitude to true innovators @AdamGreenbaumMD and Robert Lederman @BillONeillMD


72 y/o WM with AS and LM/MV CAD. Complex bilateral iliac disease. #PercAx for Impella CP. Right ulnar access for DK crush for LM disease with left #radialfirst access for management of left axillary artery. Big thanks to @DrAmirKaki for showing me how.

matheenkhuddus's tweet image. 72 y/o WM with AS and LM/MV CAD. Complex bilateral iliac disease. #PercAx for Impella CP. Right ulnar access for DK crush for LM disease with left #radialfirst access for management of left axillary artery. Big thanks to @DrAmirKaki for showing me how.
matheenkhuddus's tweet image. 72 y/o WM with AS and LM/MV CAD. Complex bilateral iliac disease. #PercAx for Impella CP. Right ulnar access for DK crush for LM disease with left #radialfirst access for management of left axillary artery. Big thanks to @DrAmirKaki for showing me how.
matheenkhuddus's tweet image. 72 y/o WM with AS and LM/MV CAD. Complex bilateral iliac disease. #PercAx for Impella CP. Right ulnar access for DK crush for LM disease with left #radialfirst access for management of left axillary artery. Big thanks to @DrAmirKaki for showing me how.
matheenkhuddus's tweet image. 72 y/o WM with AS and LM/MV CAD. Complex bilateral iliac disease. #PercAx for Impella CP. Right ulnar access for DK crush for LM disease with left #radialfirst access for management of left axillary artery. Big thanks to @DrAmirKaki for showing me how.

Eid Mubarak to all celebrating. Great #PercAx #protectedPCI case by Raj Marok and Dave Wohns in critical LM surgical turndown vacsculopath with porcelain Ao and hostile PAD and EF 20%.#chip #MIACC #onemichigan #HappyEidMubarak #nyctomichigan

DrAmirKaki's tweet image. Eid Mubarak to all celebrating.  Great #PercAx #protectedPCI case by Raj Marok and Dave Wohns in critical LM surgical turndown vacsculopath with porcelain Ao and hostile PAD and EF 20%.#chip #MIACC #onemichigan #HappyEidMubarak #nyctomichigan
DrAmirKaki's tweet image. Eid Mubarak to all celebrating.  Great #PercAx #protectedPCI case by Raj Marok and Dave Wohns in critical LM surgical turndown vacsculopath with porcelain Ao and hostile PAD and EF 20%.#chip #MIACC #onemichigan #HappyEidMubarak #nyctomichigan
DrAmirKaki's tweet image. Eid Mubarak to all celebrating.  Great #PercAx #protectedPCI case by Raj Marok and Dave Wohns in critical LM surgical turndown vacsculopath with porcelain Ao and hostile PAD and EF 20%.#chip #MIACC #onemichigan #HappyEidMubarak #nyctomichigan
DrAmirKaki's tweet image. Eid Mubarak to all celebrating.  Great #PercAx #protectedPCI case by Raj Marok and Dave Wohns in critical LM surgical turndown vacsculopath with porcelain Ao and hostile PAD and EF 20%.#chip #MIACC #onemichigan #HappyEidMubarak #nyctomichigan

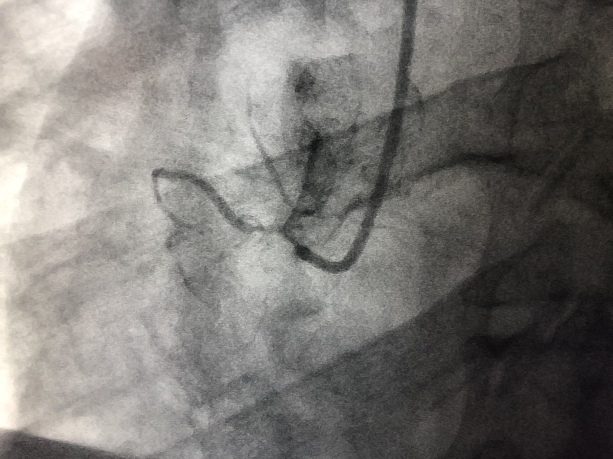
Potential gamechanger in MCS! #Percutaneous insertion of the #Impella #5.5 device *may be feasible via a transaxillary approach #PercAx using the #Impella #RPFlex sheath in some patients. Use of a covered stent will likely be required for hemostasis.

RajTayalMD's tweet image. Potential gamechanger in MCS! #Percutaneous insertion of the #Impella #5.5 device *may be feasible via a transaxillary approach #PercAx using the #Impella #RPFlex sheath in some patients. Use of a covered stent will likely be required for hemostasis.
RajTayalMD's tweet image. Potential gamechanger in MCS! #Percutaneous insertion of the #Impella #5.5 device *may be feasible via a transaxillary approach #PercAx using the #Impella #RPFlex sheath in some patients. Use of a covered stent will likely be required for hemostasis.

"Fantastic day at the Axillary Summit! It’s inspiring to see so many experts come together to advance the field. The ARMS Registry wrap-up was a great touch to an already incredible event. #PercAx"


Tough case, congrats on the final outcome. When there’s such extensive iliofemoral PAD, you need a lot of work to go femoral (like you showed). We usually go #percax or #transcaval for #Impella. What’s your opinion? Any reason not to try these alternative accesses?


#percax #Impella left main #rotatripsy and provisional stenting live at #SPCI2023 — first case of #IVL on the 🏝️ Great interaction with the moderators @rickytiago and @AjayKirtane Thanks, SPCI, for the opportunity to educate the audience and help your patient.


They needed an Angioseal in 93% of cases after 2 Percloses? 🤔 Not my experience with MCS. In the majority of cases 2 Percloses + dry closure R enough. Like in yesterday’s #percax Impella at #SPCI2023. Perhaps TAVR population is different? Not systematic use of US/micropuncture?


Today Saturday at 8:15 am PR 🇵🇷 time (7:15 am ET) you can watch this #percax #Impella-supported LM #PCI with #RotaTripsy online here: vimeo.com/event/1691378

Coming soon... live from La Isla 🏝️🇵🇷 @rickytiago Join us! spcipr.com/schedule/

LAzzaliniMD's tweet image. Coming soon... live from La Isla 🏝️🇵🇷 @rickytiago 
Join us!
spcipr.com/schedule/


Fantastic thread on #PercAx access for Impella supported PCI by @MusaSharkawi Here is an old Twitter moment with some helpful tips and graphics

Pt with critical PVD transferred for high risk PCI. Calcified LM, LCx ACS, RCA CTO, low EF, MR, now stable on heparin. @MCGCardFellows #ACCFIT



Why not #percax? It’s an access we use all the time for IABP, Impella and TAVR — a 6F sheath should be easy to sneak in and safe to remove.


I agree with @moiz_hafiz regarding the Evolut FX and no need to use larger sheaths. my preference is for #percAx Access as alternative access > Carotid. I had great experience with the short Certitude sheath, here is case from left carotid few years back

Left trans-carotid #TAVR , prohibitively diminutive ilio-femorals, patent LIMA I used Certitude sheath which is awesome addition from Edwards & made Procedure way easier compared to E-sheath .. @PY_SHD @sameergafoor @ekgpdx @DrRyanPDaly @ZeroTLR @Ortega_Paz @willsuh76



All patients are doing great. Thanks to the awesome fellows who performed the cases (@KovachMd @thinkmdkane TheCondos) and @jamiemccabeMD for his leadership and teachings with #percAx #Impella.


We address risk factors for Impella-related vascular injury 👉🏻 factorshttps://onlinelibrary.wiley.com/doi/full/10.1002/ccd.30485. PAD can be an issue for Impella. Suggest up front distal aortography and u/s to completely assess access points and inflow, low threshold for #PercAx

This post is unavailable.

Proud to have done the first @Abiomed #Impella #LowProfile sheath in the world today @ValleyHospital! HUGE step forward in MCS, still allows for single access with 7Fr, takes away need for peel away, facilitates distal limb perfusion, pump removal and kink resistant for #PercAx!

RajTayalMD's tweet image. Proud to have done the first @Abiomed #Impella #LowProfile sheath in the world today @ValleyHospital! HUGE step forward in MCS, still allows for single access with 7Fr, takes away need for peel away, facilitates distal limb perfusion, pump removal and kink resistant for #PercAx!

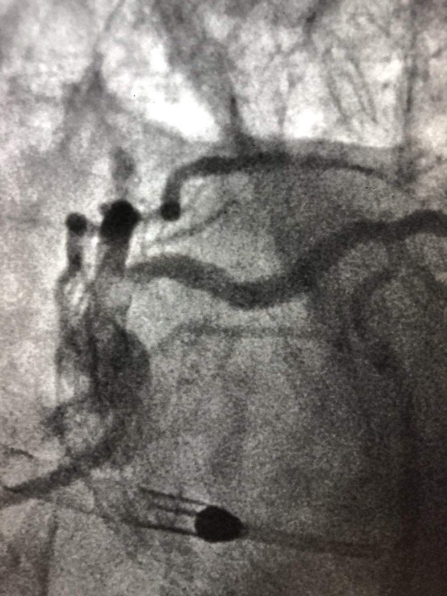
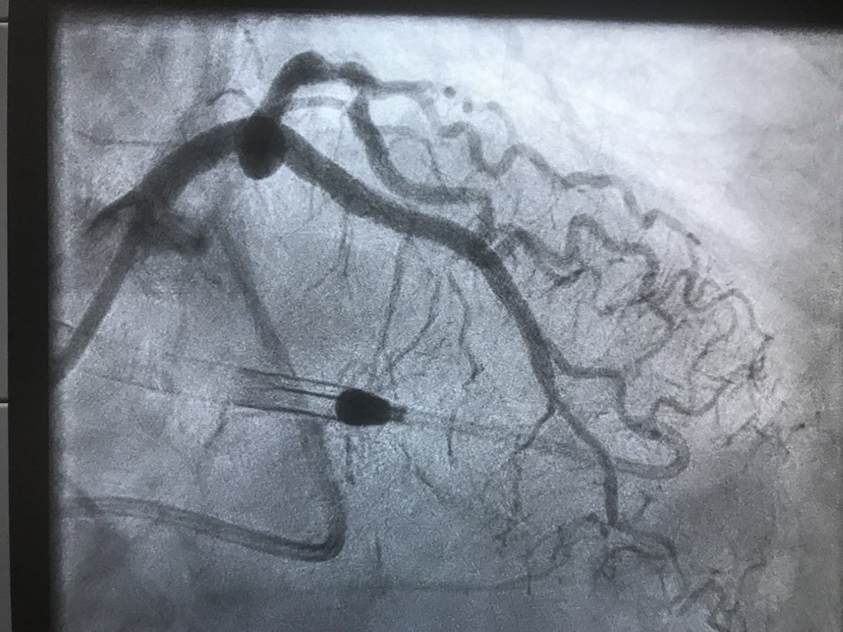
Nice case. We go ahead an inflate balloon over that 018 wire during perclose tightening. #percax


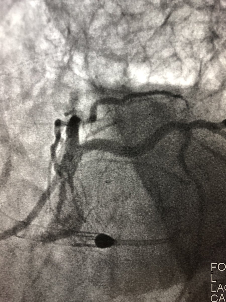
Then went #PercAx for heavily calcified LM in cardiogenic shock after we were unable to get catheters up from right and left radial, right femoral…and finding this gem in the left iliac

RajTayalMD's tweet image. Then went #PercAx for heavily calcified LM in cardiogenic shock after we were unable to get catheters up from right and left radial, right femoral…and finding this gem in the left iliac
RajTayalMD's tweet image. Then went #PercAx for heavily calcified LM in cardiogenic shock after we were unable to get catheters up from right and left radial, right femoral…and finding this gem in the left iliac
RajTayalMD's tweet image. Then went #PercAx for heavily calcified LM in cardiogenic shock after we were unable to get catheters up from right and left radial, right femoral…and finding this gem in the left iliac
RajTayalMD's tweet image. Then went #PercAx for heavily calcified LM in cardiogenic shock after we were unable to get catheters up from right and left radial, right femoral…and finding this gem in the left iliac

Register now to join an all-star faculty in Minneapolis at #SCAISHOCK and for live hands-on #PercAx training! @SCAI @Babar_Basir @agtruesdell @DrAmirKaki @adityadoc1

#SCAISHOCK Featured Learning Lab: Percutaneous Axillary Access This small group session will feature detailed instruction with hands-on step-by-step training for large bore percutaneous axillary access advanced techniques. ➡️ Learn more: ow.ly/aBPr50KIqQU @RajTayalMD

SCAI's tweet image. #SCAISHOCK Featured Learning Lab: Percutaneous Axillary Access

This small group session will feature detailed instruction with hands-on step-by-step training for large bore percutaneous axillary access advanced techniques.

➡️ Learn more: ow.ly/aBPr50KIqQU

@RajTayalMD


The next Medtronic TAVR sheath is 12 Fr. It is called “Confida”, like Confida wire .. Theoretically speaking it needs 4 mm artery - So, I am looking for Brachial artery access TAVR .. that might be my 2019 new target #TAVR after done #PercAx cases, who’s in 🤷🏻‍♂️?

Almanfi_Cardio's tweet image. The next Medtronic TAVR sheath is 12 Fr. It is called “Confida”, like Confida wire .. Theoretically speaking it needs 4 mm artery - So, I am looking for Brachial artery access TAVR .. that might be my 2019 new target #TAVR after done #PercAx cases, who’s in 🤷🏻‍♂️?

Advantages of #PercAx for large bore access in patients with occlusive #PAD

chadialraies's tweet image. Advantages of #PercAx for large bore access in patients with occlusive #PAD

Contralateral external fem-fem #bypass for occlusive sheath #PercAx #ACCIC

chadialraies's tweet image. Contralateral external fem-fem #bypass for occlusive sheath #PercAx #ACCIC

Very gratifying week in the cath lab. 5 days-Monday to Friday-(no office, no call) 28 Procedures completed personally with my team, #percAx #TAVR , #EVAR for #AAA, #PFO closures, High risk PCIs, Iliac & SFA CTOs Intervention. will tweet some interesting ones over the weekend!

Almanfi_Cardio's tweet image. Very gratifying week in the cath lab. 5 days-Monday to Friday-(no office, no call) 28 Procedures completed personally with my team, #percAx #TAVR , #EVAR for #AAA, #PFO closures, High risk PCIs, Iliac & SFA CTOs Intervention. will tweet some interesting ones over the weekend!

Hostile #iliacs requiring mechanical circulatory support - used #PercAx for large bore #DetroitCHIP

chadialraies's tweet image. Hostile #iliacs requiring mechanical circulatory support - used #PercAx for large bore #DetroitCHIP
chadialraies's tweet image. Hostile #iliacs requiring mechanical circulatory support - used #PercAx for large bore #DetroitCHIP

The second Greater Detroit CHIP meeting is taking place Wednesday 12/5/2018. We hope to capitalize on our successful format of case-based learning in interventional cardiology. Registration and case submission: link: goo.gl/forms/HIIFQQww… #SCAI19 #cardiotwitter #PercAx

chadialraies's tweet image. The second Greater Detroit CHIP meeting is taking place Wednesday 12/5/2018. We hope to capitalize on our successful format of case-based learning in interventional cardiology. Registration and case submission: link: goo.gl/forms/HIIFQQww… #SCAI19 #cardiotwitter #PercAx

Stiff wire is better to drive the #PerClose closure device for axillary to over come the track especially in patients with big chest #TVT2018 #PercAx @philgenereux @DrAmirKaki @MartyMleon #ACCIC #ACCEarlyCareer

chadialraies's tweet image. Stiff wire is better to drive the #PerClose closure device for axillary to over come the track especially in patients with big chest #TVT2018 #PercAx @philgenereux @DrAmirKaki @MartyMleon #ACCIC #ACCEarlyCareer
chadialraies's tweet image. Stiff wire is better to drive the #PerClose closure device for axillary to over come the track especially in patients with big chest #TVT2018 #PercAx @philgenereux @DrAmirKaki @MartyMleon #ACCIC #ACCEarlyCareer

#PercAx #access learning from the greats ⁦@DrAmirKaki⁩ ⁦@RajTayalMD⁩ ⁦@duanepinto⁩ ⁦⁦@TanveerRab⁩ U’re helping the sickest patients all over, through ur contribution ⁦@ekgpdx⁩ ⁦⁦@agtruesdell⁩⁩ ⁦@SVRaoMD⁩ ⁦@Babar_Basir

HadyLichaaMD's tweet image. #PercAx #access learning from the greats ⁦@DrAmirKaki⁩ ⁦@RajTayalMD⁩ ⁦@duanepinto⁩ ⁦⁦@TanveerRab⁩

U’re helping the sickest patients all over, through ur contribution

⁦@ekgpdx⁩ ⁦⁦@agtruesdell⁩⁩ ⁦@SVRaoMD⁩ ⁦@Babar_Basir⁩

Loading...

Something went wrong.


Something went wrong.