#transcaval 검색 결과

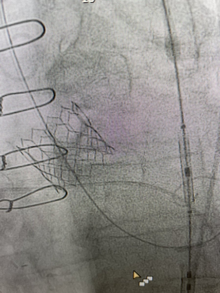
expanding our spectrum and offering #transcaval access in our center, thanks @phillipfreeman for the outstanding proctoring and @MerilLife for the support


First transcaval TAVR at Henrico Doctors’ Hospital!! Congratulations to the entire team and for @PaulMahoneyMD for being an awesome mentor @HenricoDoctors #TAVR #TRANSCAVAL @HCAhealthcare

singh_phys's tweet image. First transcaval TAVR at Henrico Doctors’ Hospital!! Congratulations to the entire team and for @PaulMahoneyMD for being an awesome mentor @HenricoDoctors #TAVR #TRANSCAVAL @HCAhealthcare

@AlejandroLemor and @PedroMDMSc talk through the hands-on simulation training for #transcaval access at #SCAISHOCK.


100th transcaval TAVR performed at Ford today! #transcaval


@MajedAfana presenting use of #transcaval access for delivery of #Impella 5.0 in patients presenting with refractory shock @AdamGreenbaumMD @BillONeillMD @HenryFordNews @KAlaswadMD @KhandelwalMD @DeeDeeWangMD

Babar_Basir's tweet image. @MajedAfana presenting use of #transcaval access for delivery of #Impella 5.0 in patients presenting with refractory shock @AdamGreenbaumMD @BillONeillMD @HenryFordNews @KAlaswadMD @KhandelwalMD @DeeDeeWangMD

.@BillONeillMD did our 1000th #TAVR, grandmaster @AdamGreenbaumMD was our #transcaval expert, & @KAlaswadMD is our #CTO sensei, but I am truly unique—performed at least 1 procedure in each of our 5 @HenryFordNews cath labs in a 10 hour window! 😜 Kudos to #ACCCVT #ACCFIT team

KhandelwalMD's tweet image. .@BillONeillMD did our 1000th #TAVR, grandmaster @AdamGreenbaumMD was our #transcaval expert, & @KAlaswadMD is our #CTO sensei, but I am truly unique—performed at least 1 procedure in each of our 5 @HenryFordNews cath labs in a 10 hour window!  😜

Kudos to #ACCCVT #ACCFIT team

First transcaval TAVR in Baton Rouge. #transcaval #TAVR #Burn

jcastelltwitt's tweet image. First transcaval TAVR in Baton Rouge. #transcaval #TAVR #Burn
jcastelltwitt's tweet image. First transcaval TAVR in Baton Rouge. #transcaval #TAVR #Burn
jcastelltwitt's tweet image. First transcaval TAVR in Baton Rouge. #transcaval #TAVR #Burn
jcastelltwitt's tweet image. First transcaval TAVR in Baton Rouge. #transcaval #TAVR #Burn

Couldn’t be at @PCRonline PCR London valve conference, but was glad to be able to live streaming this season from the cofmort of my home office. This was great double #Basilica case, #transcaval with #Sentinel protection #TAVR Excellent work 👌@AdamGreenbaumMD @CathElectroSurg


Join us for a Faceoff on Alternative access #PercAx vs #transcaval #SCAI2018 #TAVR2.0 #nocontest

RajTayalMD's tweet image. Join us for a Faceoff on Alternative access #PercAx vs #transcaval #SCAI2018 #TAVR2.0 #nocontest
RajTayalMD's tweet image. Join us for a Faceoff on Alternative access #PercAx vs #transcaval #SCAI2018 #TAVR2.0 #nocontest

Just WOW! 10-case series of emergent #transcaval placement of #Impella 5.0 for cardiogenic shock. onlinelibrary.wiley.com/doi/full/10.10… Follow @CCIJournal, facebook.com/CCIJournal Official Journal of @SCAI

MyJSCAI's tweet image. Just WOW!

10-case series of emergent #transcaval placement of #Impella 5.0 for cardiogenic shock.  

onlinelibrary.wiley.com/doi/full/10.10…

Follow @CCIJournal, facebook.com/CCIJournal
Official Journal of @SCAI

And now, it’s just a transfemoral TAVR.... Lunderquist through microcatheter; sheath through heavily calcified aorta More images in replies #TAVR #transcaval


Transcaval through AAA is safe...commentary from referring colleague is hilarious. #tavr #transcaval


85 yo W with symptomatic #AorticStenosis. Iliacs too small and Ca for TF #TAVR. @AdamGreenbaumMD what do you think about #transcaval ?

willsuh76's tweet image. 85 yo W with symptomatic #AorticStenosis. Iliacs too small and Ca for TF #TAVR. @AdamGreenbaumMD what do you think about #transcaval ?
willsuh76's tweet image. 85 yo W with symptomatic #AorticStenosis. Iliacs too small and Ca for TF #TAVR. @AdamGreenbaumMD what do you think about #transcaval ?

expanding our spectrum and offering #transcaval access in our center, thanks @phillipfreeman for the outstanding proctoring and @MerilLife for the support


When transfemoral access is not feasible for #TAVI, transcaval access may offer a solution. This case showed a modified #transcaval approach using IVUS to navigate severe aortic calcification, enabling safe valve delivery in a high-risk patient. ow.ly/1O1l50W75hh #EAPCI

EuroInterventio's tweet image. When transfemoral access is not feasible for #TAVI, transcaval access may offer a solution.
This case showed a modified #transcaval approach using IVUS to navigate severe aortic calcification, enabling safe valve delivery in a high-risk patient.
ow.ly/1O1l50W75hh
 #EAPCI

Salimos en la portadaaa 🤩 #structuralheart #tavi #transcaval

🔥 🔥 Our 20th anniversary EuroPCR edition OUT TODAY with: 📌 State-of-the-Art on the treatment of PFO; 📌 Expert review of leaflet modification techniques during TAVI; 📌 Long-term structural valve deterioration after TAVI; 📌 Ticagrelor monotherapy; 📌

EuroInterventio's tweet image. 🔥 🔥 Our 20th anniversary EuroPCR edition OUT TODAY with:   
📌 State-of-the-Art on the treatment of PFO;   
📌 Expert review of leaflet modification techniques during    TAVI;   
📌 Long-term structural valve deterioration after TAVI;   📌 Ticagrelor monotherapy;   
📌


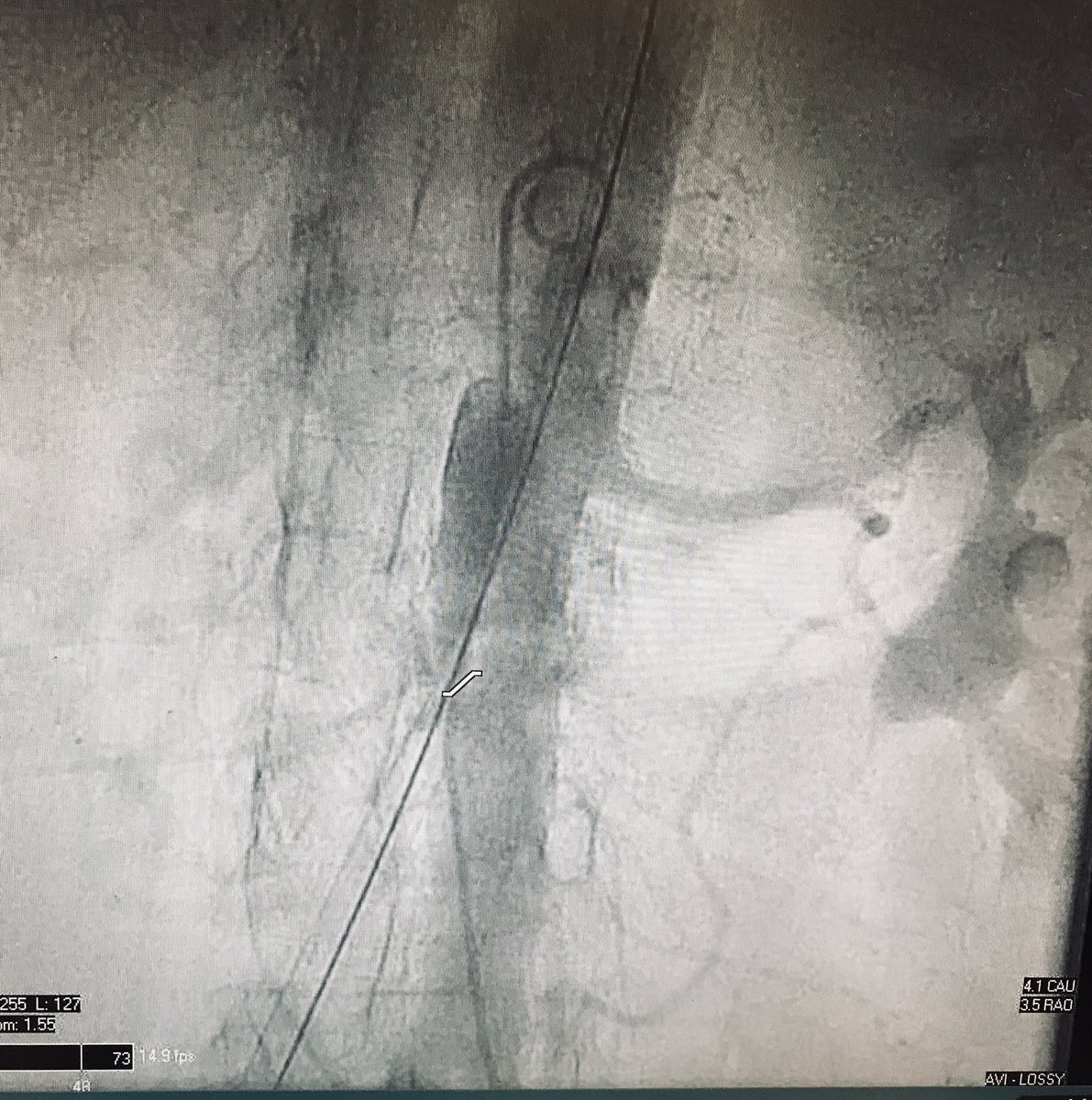
Just published in @CRMjournal Interesting Cases! We describe primary closure of the aorto-caval tract after #transcaval #TAVR with a covered stent in a small sized abdominal aorta. bit.ly/3ypOyYo @IlanMerdler @lior_lupu @BCase07 @ron_waksman @DorBen #TobyRogers


Why not #transcaval access? A feasible alternative access option for #TAVR @CE_Guerreiro @jabazal @vjimenez_diaz #EuroPCR

jcecharte's tweet image. Why not #transcaval access? A feasible alternative access option for #TAVR @CE_Guerreiro @jabazal @vjimenez_diaz #EuroPCR
jcecharte's tweet image. Why not #transcaval access? A feasible alternative access option for #TAVR @CE_Guerreiro @jabazal @vjimenez_diaz #EuroPCR

Tough case, congrats on the final outcome. When there’s such extensive iliofemoral PAD, you need a lot of work to go femoral (like you showed). We usually go #percax or #transcaval for #Impella. What’s your opinion? Any reason not to try these alternative accesses?


Stunning case today by @MattiAdam_MD @ElmarWKuhn @KEghbalzadeh - world's first #transcaval #TAVI to treat AR 🔥 Kudos to the whole #TAVI team @UKKoeln

이 트윗은 더 이상 사용할 수 없습니다.

Dr. @AdamGreenbaumMD, an innovator in #IC delivers #Hildner lecture discussing several innovative procedures including #transcaval access, and procedures utilizing #electrocautery!! #SCAI2023 @SCAI @scaiwin #innovation

Pooh_Velagapudi's tweet image. Dr. @AdamGreenbaumMD, an innovator in #IC delivers #Hildner lecture discussing several innovative procedures including #transcaval access, and procedures utilizing #electrocautery!! #SCAI2023 @SCAI @scaiwin #innovation
Pooh_Velagapudi's tweet image. Dr. @AdamGreenbaumMD, an innovator in #IC delivers #Hildner lecture discussing several innovative procedures including #transcaval access, and procedures utilizing #electrocautery!! #SCAI2023 @SCAI @scaiwin #innovation
Pooh_Velagapudi's tweet image. Dr. @AdamGreenbaumMD, an innovator in #IC delivers #Hildner lecture discussing several innovative procedures including #transcaval access, and procedures utilizing #electrocautery!! #SCAI2023 @SCAI @scaiwin #innovation
Pooh_Velagapudi's tweet image. Dr. @AdamGreenbaumMD, an innovator in #IC delivers #Hildner lecture discussing several innovative procedures including #transcaval access, and procedures utilizing #electrocautery!! #SCAI2023 @SCAI @scaiwin #innovation

Elderly with LIMA supplying LAD/RCA collateral and iFR positive LMCA to LCX/RI disease not pretty for PCI, occluded L ICA and intervened twice RICA and severe iliofemoral PAD @DrTylerWallen @b_kuscavage @Luvlev231 @najamsaqibMD

Tahmad_dogar's tweet image. Elderly with LIMA supplying LAD/RCA collateral and iFR positive LMCA to LCX/RI disease not pretty for PCI, occluded L ICA and intervened twice RICA and severe iliofemoral PAD @DrTylerWallen @b_kuscavage @Luvlev231 @najamsaqibMD
Tahmad_dogar's tweet image. Elderly with LIMA supplying LAD/RCA collateral and iFR positive LMCA to LCX/RI disease not pretty for PCI, occluded L ICA and intervened twice RICA and severe iliofemoral PAD @DrTylerWallen @b_kuscavage @Luvlev231 @najamsaqibMD
Tahmad_dogar's tweet image. Elderly with LIMA supplying LAD/RCA collateral and iFR positive LMCA to LCX/RI disease not pretty for PCI, occluded L ICA and intervened twice RICA and severe iliofemoral PAD @DrTylerWallen @b_kuscavage @Luvlev231 @najamsaqibMD


#transcaval access and closure best practices state of the art review. Thorough guide for patient selection, procedural steps for crossing and closure. @AdamGreenbaumMD @CathElectroSurg @ChrisGBruce13 jacc.org/doi/10.1016/j.…

Looking for alternative vascular access options for #TAVR? Why not #transcaval access! Check out this state-of-the-art review, just published in #JACCINT, describing preparation, crossing and closure steps in detail: bit.ly/3kE0saC #CardioTwitter @AdamGreenbaumMD

JACCJournals's tweet image. Looking for alternative vascular access options for #TAVR? Why not #transcaval access!

Check out this state-of-the-art review, just published in #JACCINT, describing preparation, crossing and closure steps in detail: bit.ly/3kE0saC

#CardioTwitter @AdamGreenbaumMD
JACCJournals's tweet image. Looking for alternative vascular access options for #TAVR? Why not #transcaval access!

Check out this state-of-the-art review, just published in #JACCINT, describing preparation, crossing and closure steps in detail: bit.ly/3kE0saC

#CardioTwitter @AdamGreenbaumMD
JACCJournals's tweet image. Looking for alternative vascular access options for #TAVR? Why not #transcaval access!

Check out this state-of-the-art review, just published in #JACCINT, describing preparation, crossing and closure steps in detail: bit.ly/3kE0saC

#CardioTwitter @AdamGreenbaumMD
JACCJournals's tweet image. Looking for alternative vascular access options for #TAVR? Why not #transcaval access!

Check out this state-of-the-art review, just published in #JACCINT, describing preparation, crossing and closure steps in detail: bit.ly/3kE0saC

#CardioTwitter @AdamGreenbaumMD


#Transcaval aortic access and closure best practices. Elegant alternative transfemoral TAVR. Why would you stand anywhere else?

Looking for alternative vascular access options for #TAVR? Why not #transcaval access! Check out this state-of-the-art review, just published in #JACCINT, describing preparation, crossing and closure steps in detail: bit.ly/3kE0saC #CardioTwitter @AdamGreenbaumMD

JACCJournals's tweet image. Looking for alternative vascular access options for #TAVR? Why not #transcaval access!

Check out this state-of-the-art review, just published in #JACCINT, describing preparation, crossing and closure steps in detail: bit.ly/3kE0saC

#CardioTwitter @AdamGreenbaumMD
JACCJournals's tweet image. Looking for alternative vascular access options for #TAVR? Why not #transcaval access!

Check out this state-of-the-art review, just published in #JACCINT, describing preparation, crossing and closure steps in detail: bit.ly/3kE0saC

#CardioTwitter @AdamGreenbaumMD
JACCJournals's tweet image. Looking for alternative vascular access options for #TAVR? Why not #transcaval access!

Check out this state-of-the-art review, just published in #JACCINT, describing preparation, crossing and closure steps in detail: bit.ly/3kE0saC

#CardioTwitter @AdamGreenbaumMD
JACCJournals's tweet image. Looking for alternative vascular access options for #TAVR? Why not #transcaval access!

Check out this state-of-the-art review, just published in #JACCINT, describing preparation, crossing and closure steps in detail: bit.ly/3kE0saC

#CardioTwitter @AdamGreenbaumMD


Looking for alternative vascular access options for #TAVR? Why not #transcaval access! Check out this state-of-the-art review, just published in #JACCINT, describing preparation, crossing and closure steps in detail: bit.ly/3kE0saC #CardioTwitter @AdamGreenbaumMD

JACCJournals's tweet image. Looking for alternative vascular access options for #TAVR? Why not #transcaval access!

Check out this state-of-the-art review, just published in #JACCINT, describing preparation, crossing and closure steps in detail: bit.ly/3kE0saC

#CardioTwitter @AdamGreenbaumMD
JACCJournals's tweet image. Looking for alternative vascular access options for #TAVR? Why not #transcaval access!

Check out this state-of-the-art review, just published in #JACCINT, describing preparation, crossing and closure steps in detail: bit.ly/3kE0saC

#CardioTwitter @AdamGreenbaumMD
JACCJournals's tweet image. Looking for alternative vascular access options for #TAVR? Why not #transcaval access!

Check out this state-of-the-art review, just published in #JACCINT, describing preparation, crossing and closure steps in detail: bit.ly/3kE0saC

#CardioTwitter @AdamGreenbaumMD
JACCJournals's tweet image. Looking for alternative vascular access options for #TAVR? Why not #transcaval access!

Check out this state-of-the-art review, just published in #JACCINT, describing preparation, crossing and closure steps in detail: bit.ly/3kE0saC

#CardioTwitter @AdamGreenbaumMD

@AlejandroLemor and @PedroMDMSc talk through the hands-on simulation training for #transcaval access at #SCAISHOCK.


.@PedroMDMSc, FSCAI leads a small group session at #SCAISHOCK 2022 on performing elective or ad hoc #transcaval for urgent cases that require MCS.

SCAI's tweet image. .@PedroMDMSc, FSCAI leads a small group session at #SCAISHOCK 2022 on performing elective or ad hoc #transcaval for urgent cases that require MCS.
SCAI's tweet image. .@PedroMDMSc, FSCAI leads a small group session at #SCAISHOCK 2022 on performing elective or ad hoc #transcaval for urgent cases that require MCS.
SCAI's tweet image. .@PedroMDMSc, FSCAI leads a small group session at #SCAISHOCK 2022 on performing elective or ad hoc #transcaval for urgent cases that require MCS.
SCAI's tweet image. .@PedroMDMSc, FSCAI leads a small group session at #SCAISHOCK 2022 on performing elective or ad hoc #transcaval for urgent cases that require MCS.

TAVI por via transcaval (veia cava). Com orientação do amigo Vinicius D. Vaz e junto com Said Assaf realizamos em São Carlos um procedimento inédito no ESTADO, e o 👉SEGUNDO NO BRASIL 🇧🇷, que foi o implante de valva aortica por cateter (TAVI) por via transcaval #tavi #transcaval


Just WOW! 10-case series of emergent #transcaval placement of #Impella 5.0 for cardiogenic shock. onlinelibrary.wiley.com/doi/full/10.10… Follow @CCIJournal, facebook.com/CCIJournal Official Journal of @SCAI

MyJSCAI's tweet image. Just WOW!

10-case series of emergent #transcaval placement of #Impella 5.0 for cardiogenic shock.  

onlinelibrary.wiley.com/doi/full/10.10…

Follow @CCIJournal, facebook.com/CCIJournal
Official Journal of @SCAI

First transcaval TAVR at Henrico Doctors’ Hospital!! Congratulations to the entire team and for @PaulMahoneyMD for being an awesome mentor @HenricoDoctors #TAVR #TRANSCAVAL @HCAhealthcare

singh_phys's tweet image. First transcaval TAVR at Henrico Doctors’ Hospital!! Congratulations to the entire team and for @PaulMahoneyMD for being an awesome mentor @HenricoDoctors #TAVR #TRANSCAVAL @HCAhealthcare

First transcaval TAVR in Baton Rouge. #transcaval #TAVR #Burn

jcastelltwitt's tweet image. First transcaval TAVR in Baton Rouge. #transcaval #TAVR #Burn
jcastelltwitt's tweet image. First transcaval TAVR in Baton Rouge. #transcaval #TAVR #Burn
jcastelltwitt's tweet image. First transcaval TAVR in Baton Rouge. #transcaval #TAVR #Burn
jcastelltwitt's tweet image. First transcaval TAVR in Baton Rouge. #transcaval #TAVR #Burn

@MajedAfana presenting use of #transcaval access for delivery of #Impella 5.0 in patients presenting with refractory shock @AdamGreenbaumMD @BillONeillMD @HenryFordNews @KAlaswadMD @KhandelwalMD @DeeDeeWangMD

Babar_Basir's tweet image. @MajedAfana presenting use of #transcaval access for delivery of #Impella 5.0 in patients presenting with refractory shock @AdamGreenbaumMD @BillONeillMD @HenryFordNews @KAlaswadMD @KhandelwalMD @DeeDeeWangMD

Join us for a Faceoff on Alternative access #PercAx vs #transcaval #SCAI2018 #TAVR2.0 #nocontest

RajTayalMD's tweet image. Join us for a Faceoff on Alternative access #PercAx vs #transcaval #SCAI2018 #TAVR2.0 #nocontest
RajTayalMD's tweet image. Join us for a Faceoff on Alternative access #PercAx vs #transcaval #SCAI2018 #TAVR2.0 #nocontest

And don’t forget Toby Rogers!! #transcaval #TAVR

ZeroTLR's tweet image. And don’t forget Toby Rogers!!  #transcaval #TAVR
ZeroTLR's tweet image. And don’t forget Toby Rogers!!  #transcaval #TAVR

.@BillONeillMD did our 1000th #TAVR, grandmaster @AdamGreenbaumMD was our #transcaval expert, & @KAlaswadMD is our #CTO sensei, but I am truly unique—performed at least 1 procedure in each of our 5 @HenryFordNews cath labs in a 10 hour window! 😜 Kudos to #ACCCVT #ACCFIT team

KhandelwalMD's tweet image. .@BillONeillMD did our 1000th #TAVR, grandmaster @AdamGreenbaumMD was our #transcaval expert, & @KAlaswadMD is our #CTO sensei, but I am truly unique—performed at least 1 procedure in each of our 5 @HenryFordNews cath labs in a 10 hour window!  😜

Kudos to #ACCCVT #ACCFIT team

85 yo W with symptomatic #AorticStenosis. Iliacs too small and Ca for TF #TAVR. @AdamGreenbaumMD what do you think about #transcaval ?

willsuh76's tweet image. 85 yo W with symptomatic #AorticStenosis. Iliacs too small and Ca for TF #TAVR. @AdamGreenbaumMD what do you think about #transcaval ?
willsuh76's tweet image. 85 yo W with symptomatic #AorticStenosis. Iliacs too small and Ca for TF #TAVR. @AdamGreenbaumMD what do you think about #transcaval ?

Not suitable for transferral #TAVI? No problem - stylish #transcaval beautifully demonstrated by the St Thomas' team - an ideal first choice alternative access? @PCRonline #PCRLV

BrHeartValveSoc's tweet image. Not suitable for transferral #TAVI? No problem - stylish #transcaval beautifully demonstrated by the St Thomas' team - an ideal first choice alternative access? @PCRonline #PCRLV
BrHeartValveSoc's tweet image. Not suitable for transferral #TAVI? No problem - stylish #transcaval beautifully demonstrated by the St Thomas' team - an ideal first choice alternative access? @PCRonline #PCRLV

Good day in the hybrid- 3 successful transcaval #TAVR as part of advanced techniques course. Thanks to great colleagues and new friends - #transcaval @AdamGreenbaumMD @ROBERTLEDER1 @CathElectroSurg @Edwards_TAVR

PaulMahoneyMD's tweet image. Good day in the hybrid- 3 successful transcaval #TAVR as part of advanced techniques course. 
Thanks to great colleagues and new friends -

#transcaval 

@AdamGreenbaumMD @ROBERTLEDER1 
@CathElectroSurg 
@Edwards_TAVR

Looking for alternative vascular access options for #TAVR? Why not #transcaval access! Check out this state-of-the-art review, just published in #JACCINT, describing preparation, crossing and closure steps in detail: bit.ly/3kE0saC #CardioTwitter @AdamGreenbaumMD

JACCJournals's tweet image. Looking for alternative vascular access options for #TAVR? Why not #transcaval access!

Check out this state-of-the-art review, just published in #JACCINT, describing preparation, crossing and closure steps in detail: bit.ly/3kE0saC

#CardioTwitter @AdamGreenbaumMD
JACCJournals's tweet image. Looking for alternative vascular access options for #TAVR? Why not #transcaval access!

Check out this state-of-the-art review, just published in #JACCINT, describing preparation, crossing and closure steps in detail: bit.ly/3kE0saC

#CardioTwitter @AdamGreenbaumMD
JACCJournals's tweet image. Looking for alternative vascular access options for #TAVR? Why not #transcaval access!

Check out this state-of-the-art review, just published in #JACCINT, describing preparation, crossing and closure steps in detail: bit.ly/3kE0saC

#CardioTwitter @AdamGreenbaumMD
JACCJournals's tweet image. Looking for alternative vascular access options for #TAVR? Why not #transcaval access!

Check out this state-of-the-art review, just published in #JACCINT, describing preparation, crossing and closure steps in detail: bit.ly/3kE0saC

#CardioTwitter @AdamGreenbaumMD

Held Sentara TAVR Advanced Course today: performed #basilica with #BVF in valve-in-valve and two #transcaval live cases - great turnout; great audience. Thanks to all who came. #TAVR @Medtronic @sentarahealth @SMGDoctors

PaulMahoneyMD's tweet image. Held Sentara TAVR Advanced Course today: performed #basilica with #BVF in valve-in-valve  and two #transcaval live cases - great turnout; great audience.  

Thanks to all who came.

#TAVR 
@Medtronic 
@sentarahealth 
@SMGDoctors
PaulMahoneyMD's tweet image. Held Sentara TAVR Advanced Course today: performed #basilica with #BVF in valve-in-valve  and two #transcaval live cases - great turnout; great audience.  

Thanks to all who came.

#TAVR 
@Medtronic 
@sentarahealth 
@SMGDoctors
PaulMahoneyMD's tweet image. Held Sentara TAVR Advanced Course today: performed #basilica with #BVF in valve-in-valve  and two #transcaval live cases - great turnout; great audience.  

Thanks to all who came.

#TAVR 
@Medtronic 
@sentarahealth 
@SMGDoctors

What a complex case on #CampPCI performed by @PaulMahoneyMD, @MSummersMD and Paul Lavigne. Multivessel, severely calcified CAD. LVEF 45%. #Transcaval #Impella and #RotaTripsy on LAD with 1.5 mm burr and 2.5 mm @ShockwaveIVL. Great discussion! @eruizrodz1 @HaroonFarazMD @DrSethdb

LAzzaliniMD's tweet image. What a complex case on #CampPCI performed by
@PaulMahoneyMD, @MSummersMD and Paul Lavigne.
Multivessel, severely calcified CAD. LVEF 45%. #Transcaval #Impella and #RotaTripsy on LAD with 1.5 mm burr and 2.5 mm @ShockwaveIVL.
Great discussion! @eruizrodz1 @HaroonFarazMD @DrSethdb

Great day working with some talented cardiologists in Melbourne — #transcaval

PaulMahoneyMD's tweet image. Great day working with some talented cardiologists in Melbourne —  

#transcaval

Loading...

Something went wrong.


Something went wrong.