#pitnet search results

And now it’s time for Clinically functioning gonadotroph adenomas Niki KARAVITAKI #rare and even rarer #PitNet @Karavitaki_Niki

GeraldRaverot's tweet image. And now it’s time for Clinically functioning gonadotroph adenomas
Niki KARAVITAKI #rare and even rarer #PitNet  @Karavitaki_Niki

Tumores neuroendocrinos hipofisarios #PitNET Mayoría adenomas hipofisarios son benignos y no afectan a la esperanza de vida El cambio de nomenclatura a PitNET: - no aborda pronóstico - asigna “malignidad” y puede afectar a los pacientes @EndoSocJournals academic.oup.com/jes/article/5/…

NeuroendocrinoS's tweet image. Tumores neuroendocrinos hipofisarios #PitNET

Mayoría adenomas hipofisarios son benignos y no afectan a la esperanza de vida

El cambio de nomenclatura a PitNET:
- no aborda pronóstico
- asigna “malignidad” y puede afectar a los pacientes
@EndoSocJournals 
academic.oup.com/jes/article/5/…
NeuroendocrinoS's tweet image. Tumores neuroendocrinos hipofisarios #PitNET

Mayoría adenomas hipofisarios son benignos y no afectan a la esperanza de vida

El cambio de nomenclatura a PitNET:
- no aborda pronóstico
- asigna “malignidad” y puede afectar a los pacientes
@EndoSocJournals 
academic.oup.com/jes/article/5/…

🧵 What You Need to Know About Pituitary Neuroendocrine Tumors (PitNETs) 🧠🧪 They can invade, recur, and cause endocrine chaos. Here’s your neurosurgical breakdown. #Neurosurgery #PitNET #Endocrinology #WHO2021

ChavezRamzes's tweet image. 🧵
What You Need to Know About Pituitary Neuroendocrine Tumors (PitNETs) 🧠🧪
They can invade, recur, and cause endocrine chaos. Here’s your neurosurgical breakdown.
#Neurosurgery #PitNET #Endocrinology #WHO2021

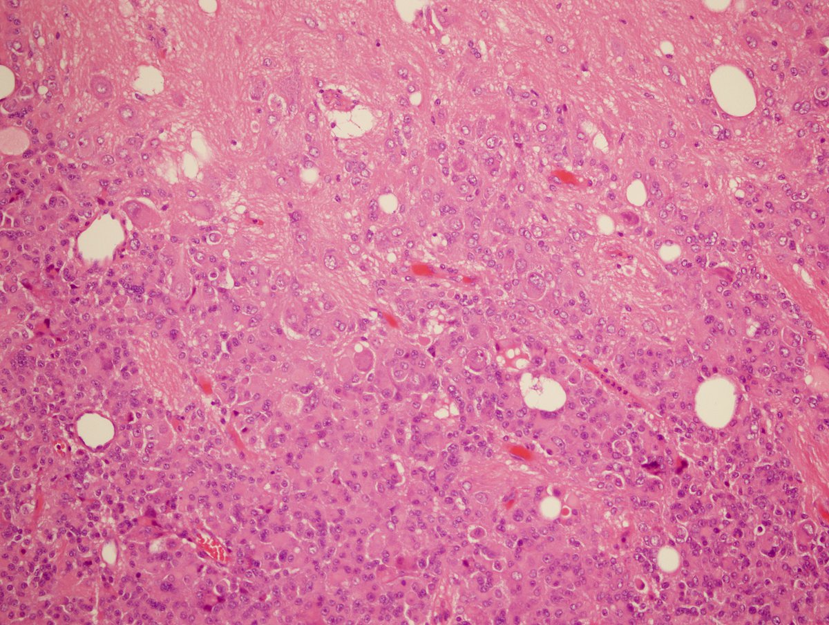
🔬🎭 A composite tumor from the sellar region: Mixed gangliocytoma and PitNET (formerly known as pituitary adenoma)➡️➡️➡️ #gangliocytoma #PitNET #PathTwitter #pathology #pituitary #pathologist #Endopath #endocrine @EndoPath @Pathologists @DrSultanClskn

MehmetKefeli's tweet image. 🔬🎭 A composite tumor from the sellar region: Mixed gangliocytoma and PitNET (formerly known as pituitary adenoma)➡️➡️➡️

#gangliocytoma #PitNET #PathTwitter #pathology #pituitary #pathologist #Endopath #endocrine
@EndoPath @Pathologists @DrSultanClskn

We perform all types of braintumor, skullbase surgery, endoscopic transsphenoidal approach to #PitNET and endoscopic spine surgery. For more information visit my youtube channel in my bio.

HabibullohMD's tweet image. We perform all types of braintumor, skullbase surgery, endoscopic transsphenoidal approach to #PitNET and endoscopic spine surgery. For more information visit my youtube channel in my bio.

Otra SENEC compartiendo grandes momentos en Zaragoza con colegas y amigos. Gracias al comité por dejarnos mostrar nuestra experiencia e innovaciones en base de cráneo del H.U. La Paz. #Hipófisis #3Dprinting #pitNET #Adenoma #Zaragoza #Acromegalia #KissingCarotids

GFeijoo_NS's tweet image. Otra SENEC compartiendo grandes momentos en Zaragoza con colegas y amigos. Gracias al comité por dejarnos mostrar nuestra experiencia e innovaciones en base de cráneo del H.U. La Paz.
#Hipófisis #3Dprinting #pitNET #Adenoma #Zaragoza #Acromegalia #KissingCarotids
GFeijoo_NS's tweet image. Otra SENEC compartiendo grandes momentos en Zaragoza con colegas y amigos. Gracias al comité por dejarnos mostrar nuestra experiencia e innovaciones en base de cráneo del H.U. La Paz.
#Hipófisis #3Dprinting #pitNET #Adenoma #Zaragoza #Acromegalia #KissingCarotids
GFeijoo_NS's tweet image. Otra SENEC compartiendo grandes momentos en Zaragoza con colegas y amigos. Gracias al comité por dejarnos mostrar nuestra experiencia e innovaciones en base de cráneo del H.U. La Paz.
#Hipófisis #3Dprinting #pitNET #Adenoma #Zaragoza #Acromegalia #KissingCarotids
GFeijoo_NS's tweet image. Otra SENEC compartiendo grandes momentos en Zaragoza con colegas y amigos. Gracias al comité por dejarnos mostrar nuestra experiencia e innovaciones en base de cráneo del H.U. La Paz.
#Hipófisis #3Dprinting #pitNET #Adenoma #Zaragoza #Acromegalia #KissingCarotids

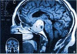
Cirugía endoscópica endonasal en adenoma hipofisario con compresión severa del quiasma. Tumor consistente, requiere técnicas más complejas que simple aspiración. Resección completa, sin déficits hormonales y alta en 72h, incluso en >80 años. #Neurocirugía #Hipófisis #PitNET


An interesting case of pituitary neuroendocrine tumor arising in the background of ovarian mature teratoma. You should read this paper 👌💯 #endopath #gynpath #PitNET #pathology pubmed.ncbi.nlm.nih.gov/32632841/

DrSultanClskn's tweet image. An interesting case of pituitary neuroendocrine tumor arising in the background of ovarian mature teratoma. You should read this paper 👌💯 #endopath #gynpath #PitNET #pathology 
pubmed.ncbi.nlm.nih.gov/32632841/

From pituitary adenoma to pituitary neuroendocrine tumor: an International Pituitary Pathology Club proposal Terminología #PitNET: coherente con la utilizada para otros TNE y reconoce el impacto variable de estos tumores en los pacientes ow.ly/uw3P30qhBRs

sociedadSEEN's tweet image. From pituitary adenoma to pituitary neuroendocrine tumor: an International Pituitary Pathology Club proposal
Terminología #PitNET: coherente con la utilizada para otros TNE y reconoce el impacto variable de estos tumores en los pacientes
ow.ly/uw3P30qhBRs

Great afternoon presenting on aggressive #PitNET variants and debating treatment options with my colleague @cgbenjamin_md 🙌. Many thanks to @wenyalindabi and @GarzonMuvdi who organized and led this packed session. And for @StephenTMagill for challenging the group with a heated…

michaelivanmd's tweet image. Great afternoon presenting on aggressive #PitNET variants and debating treatment options with my colleague @cgbenjamin_md 🙌. Many thanks to @wenyalindabi and  @GarzonMuvdi who organized and led this packed session. And for @StephenTMagill for challenging the group with a heated…
michaelivanmd's tweet image. Great afternoon presenting on aggressive #PitNET variants and debating treatment options with my colleague @cgbenjamin_md 🙌. Many thanks to @wenyalindabi and  @GarzonMuvdi who organized and led this packed session. And for @StephenTMagill for challenging the group with a heated…
michaelivanmd's tweet image. Great afternoon presenting on aggressive #PitNET variants and debating treatment options with my colleague @cgbenjamin_md 🙌. Many thanks to @wenyalindabi and  @GarzonMuvdi who organized and led this packed session. And for @StephenTMagill for challenging the group with a heated…
michaelivanmd's tweet image. Great afternoon presenting on aggressive #PitNET variants and debating treatment options with my colleague @cgbenjamin_md 🙌. Many thanks to @wenyalindabi and  @GarzonMuvdi who organized and led this packed session. And for @StephenTMagill for challenging the group with a heated…

🚨 New in Neuro-Oncology Advances: Epigenetics—not mutations—may drive pituitary tumor growth. Our review highlights how DNA methylation patterns influence PitNET behavior, classification, and treatment potential. #NeuroOncology #PitNET #Epigenetics #Neurosurgery #Pituitary

DoctorZada's tweet image. 🚨 New in Neuro-Oncology Advances:
Epigenetics—not mutations—may drive pituitary tumor growth. Our review highlights how DNA methylation patterns influence PitNET behavior, classification, and treatment potential.

#NeuroOncology #PitNET #Epigenetics #Neurosurgery #Pituitary…
DoctorZada's tweet image. 🚨 New in Neuro-Oncology Advances:
Epigenetics—not mutations—may drive pituitary tumor growth. Our review highlights how DNA methylation patterns influence PitNET behavior, classification, and treatment potential.

#NeuroOncology #PitNET #Epigenetics #Neurosurgery #Pituitary…
DoctorZada's tweet image. 🚨 New in Neuro-Oncology Advances:
Epigenetics—not mutations—may drive pituitary tumor growth. Our review highlights how DNA methylation patterns influence PitNET behavior, classification, and treatment potential.

#NeuroOncology #PitNET #Epigenetics #Neurosurgery #Pituitary…
DoctorZada's tweet image. 🚨 New in Neuro-Oncology Advances:
Epigenetics—not mutations—may drive pituitary tumor growth. Our review highlights how DNA methylation patterns influence PitNET behavior, classification, and treatment potential.

#NeuroOncology #PitNET #Epigenetics #Neurosurgery #Pituitary…

🔝Pituitary Tumors: Genetic and Molecular Factors Underlying Pathogenesis and Clinical Behavior ✔Raramente la presencia de mutaciones en genes específicos predispone a #PitNET, como parte de síndromes o AH aislados familiares karger.com/Article/FullTe… @NeuroendocrinoS

sociedadSEEN's tweet image. 🔝Pituitary Tumors: Genetic and Molecular Factors Underlying Pathogenesis and Clinical Behavior

✔Raramente la presencia de mutaciones en genes específicos predispone a #PitNET, como parte de síndromes o AH aislados familiares
karger.com/Article/FullTe…
@NeuroendocrinoS

PITUIGENE study a thread 1/ rdcu.be/cagw2 The purpose was to analyze the impact of copy number variations on sporadic #PitNET prognosis. 195 tumors (56 LH/FSH, 11 NIR, 56 GH, 39 PRL, 33 ACTH) 5 yr post-op Fw-up. Classified according to the "Trouillas" classification

GeraldRaverot's tweet image. PITUIGENE study a thread 1/
rdcu.be/cagw2
The purpose was to analyze the impact of copy number variations on sporadic #PitNET prognosis.
195 tumors (56 LH/FSH, 11 NIR, 56 GH, 39 PRL, 33 ACTH) 
5 yr post-op Fw-up. Classified according to the "Trouillas" classification

Los macrófagos M2 parecen desempeñar un papel en la neovascularización de #PitNET, mientras que los linfocitos B, CD4 + y FOXP3 +, así como los elementos TME no celulares como CCL2, CXCL10 y CX3CL1, también pueden modular la angiogénesis de #PitNETs ow.ly/BSxa30rbHtv

sociedadSEEN's tweet image. Los macrófagos M2 parecen desempeñar un papel en la neovascularización de #PitNET, mientras que los linfocitos B, CD4 + y FOXP3 +, así como los elementos TME no celulares como CCL2, CXCL10 y CX3CL1, también pueden modular la angiogénesis de #PitNETs 
ow.ly/BSxa30rbHtv
sociedadSEEN's tweet image. Los macrófagos M2 parecen desempeñar un papel en la neovascularización de #PitNET, mientras que los linfocitos B, CD4 + y FOXP3 +, así como los elementos TME no celulares como CCL2, CXCL10 y CX3CL1, también pueden modular la angiogénesis de #PitNETs 
ow.ly/BSxa30rbHtv
sociedadSEEN's tweet image. Los macrófagos M2 parecen desempeñar un papel en la neovascularización de #PitNET, mientras que los linfocitos B, CD4 + y FOXP3 +, así como los elementos TME no celulares como CCL2, CXCL10 y CX3CL1, también pueden modular la angiogénesis de #PitNETs 
ow.ly/BSxa30rbHtv
sociedadSEEN's tweet image. Los macrófagos M2 parecen desempeñar un papel en la neovascularización de #PitNET, mientras que los linfocitos B, CD4 + y FOXP3 +, así como los elementos TME no celulares como CCL2, CXCL10 y CX3CL1, también pueden modular la angiogénesis de #PitNETs 
ow.ly/BSxa30rbHtv

Conservatively managed non-functioning pituitary macroadenomas – cohort study from the UK Non-functioning Pituitary Adenoma Consortium by Athanasios Fountas @Karavitaki_Niki et al EJE Volume 192, Issue 5, May 2025 Open access 👉 doi.org/10.1093/ejendo… #pituitary #PitNET

EJEndo's tweet image. Conservatively managed non-functioning pituitary macroadenomas – cohort study from the UK Non-functioning Pituitary Adenoma Consortium by Athanasios Fountas @Karavitaki_Niki et al

EJE Volume 192, Issue 5, May 2025
Open access 👉 doi.org/10.1093/ejendo…

#pituitary #PitNET

Tuesday 11 / Franklin Hall 9 Sean Kim @WCMRadRes will present on #DOTATATE #PET in #pitNET #ASNR25

jana_ivanidze's tweet image. Tuesday 11 / Franklin Hall 9 

Sean Kim @WCMRadRes will present on #DOTATATE #PET in #pitNET 

#ASNR25

🚨 New in Neuro-Oncology Advances: Epigenetics—not mutations—may drive pituitary tumor growth. Our review highlights how DNA methylation patterns influence PitNET behavior, classification, and treatment potential. #NeuroOncology #PitNET #Epigenetics #Neurosurgery #Pituitary

DoctorZada's tweet image. 🚨 New in Neuro-Oncology Advances:
Epigenetics—not mutations—may drive pituitary tumor growth. Our review highlights how DNA methylation patterns influence PitNET behavior, classification, and treatment potential.

#NeuroOncology #PitNET #Epigenetics #Neurosurgery #Pituitary…
DoctorZada's tweet image. 🚨 New in Neuro-Oncology Advances:
Epigenetics—not mutations—may drive pituitary tumor growth. Our review highlights how DNA methylation patterns influence PitNET behavior, classification, and treatment potential.

#NeuroOncology #PitNET #Epigenetics #Neurosurgery #Pituitary…
DoctorZada's tweet image. 🚨 New in Neuro-Oncology Advances:
Epigenetics—not mutations—may drive pituitary tumor growth. Our review highlights how DNA methylation patterns influence PitNET behavior, classification, and treatment potential.

#NeuroOncology #PitNET #Epigenetics #Neurosurgery #Pituitary…
DoctorZada's tweet image. 🚨 New in Neuro-Oncology Advances:
Epigenetics—not mutations—may drive pituitary tumor growth. Our review highlights how DNA methylation patterns influence PitNET behavior, classification, and treatment potential.

#NeuroOncology #PitNET #Epigenetics #Neurosurgery #Pituitary…

Conservatively managed non-functioning pituitary macroadenomas – cohort study from the UK Non-functioning Pituitary Adenoma Consortium by Athanasios Fountas @Karavitaki_Niki et al EJE Volume 192, Issue 5, May 2025 Open access 👉 doi.org/10.1093/ejendo… #pituitary #PitNET

EJEndo's tweet image. Conservatively managed non-functioning pituitary macroadenomas – cohort study from the UK Non-functioning Pituitary Adenoma Consortium by Athanasios Fountas @Karavitaki_Niki et al

EJE Volume 192, Issue 5, May 2025
Open access 👉 doi.org/10.1093/ejendo…

#pituitary #PitNET

Cirugía endoscópica endonasal en adenoma hipofisario con compresión severa del quiasma. Tumor consistente, requiere técnicas más complejas que simple aspiración. Resección completa, sin déficits hormonales y alta en 72h, incluso en >80 años. #Neurocirugía #Hipófisis #PitNET


Otra SENEC compartiendo grandes momentos en Zaragoza con colegas y amigos. Gracias al comité por dejarnos mostrar nuestra experiencia e innovaciones en base de cráneo del H.U. La Paz. #Hipófisis #3Dprinting #pitNET #Adenoma #Zaragoza #Acromegalia #KissingCarotids

GFeijoo_NS's tweet image. Otra SENEC compartiendo grandes momentos en Zaragoza con colegas y amigos. Gracias al comité por dejarnos mostrar nuestra experiencia e innovaciones en base de cráneo del H.U. La Paz.
#Hipófisis #3Dprinting #pitNET #Adenoma #Zaragoza #Acromegalia #KissingCarotids
GFeijoo_NS's tweet image. Otra SENEC compartiendo grandes momentos en Zaragoza con colegas y amigos. Gracias al comité por dejarnos mostrar nuestra experiencia e innovaciones en base de cráneo del H.U. La Paz.
#Hipófisis #3Dprinting #pitNET #Adenoma #Zaragoza #Acromegalia #KissingCarotids
GFeijoo_NS's tweet image. Otra SENEC compartiendo grandes momentos en Zaragoza con colegas y amigos. Gracias al comité por dejarnos mostrar nuestra experiencia e innovaciones en base de cráneo del H.U. La Paz.
#Hipófisis #3Dprinting #pitNET #Adenoma #Zaragoza #Acromegalia #KissingCarotids
GFeijoo_NS's tweet image. Otra SENEC compartiendo grandes momentos en Zaragoza con colegas y amigos. Gracias al comité por dejarnos mostrar nuestra experiencia e innovaciones en base de cráneo del H.U. La Paz.
#Hipófisis #3Dprinting #pitNET #Adenoma #Zaragoza #Acromegalia #KissingCarotids

Tuesday 11 / Franklin Hall 9 Sean Kim @WCMRadRes will present on #DOTATATE #PET in #pitNET #ASNR25

jana_ivanidze's tweet image. Tuesday 11 / Franklin Hall 9 

Sean Kim @WCMRadRes will present on #DOTATATE #PET in #pitNET 

#ASNR25

Excited to share our latest collaborative work @WCMCPathology @WCMRadiology @WCM_MeyerCancer SSTR2 expression across different #pitNET hormonal lineages - this data served as a basis for our recently funded NCI R21 on DOTATATE guided SRS in pitNET. academic.oup.com/jnen/advance-a…

jana_ivanidze's tweet image. Excited to share our latest collaborative work @WCMCPathology @WCMRadiology @WCM_MeyerCancer 
SSTR2 expression across different #pitNET hormonal lineages - this data served as a basis for our recently funded NCI R21 on DOTATATE guided SRS in pitNET. 

academic.oup.com/jnen/advance-a…
jana_ivanidze's tweet image. Excited to share our latest collaborative work @WCMCPathology @WCMRadiology @WCM_MeyerCancer 
SSTR2 expression across different #pitNET hormonal lineages - this data served as a basis for our recently funded NCI R21 on DOTATATE guided SRS in pitNET. 

academic.oup.com/jnen/advance-a…

🧵 What You Need to Know About Pituitary Neuroendocrine Tumors (PitNETs) 🧠🧪 They can invade, recur, and cause endocrine chaos. Here’s your neurosurgical breakdown. #Neurosurgery #PitNET #Endocrinology #WHO2021

ChavezRamzes's tweet image. 🧵
What You Need to Know About Pituitary Neuroendocrine Tumors (PitNETs) 🧠🧪
They can invade, recur, and cause endocrine chaos. Here’s your neurosurgical breakdown.
#Neurosurgery #PitNET #Endocrinology #WHO2021

Huge congratulations @jana_ivanidze on receiving this highly competitive @NIH @theNCI R21 award. Below the 7th Percentile Payline 🥳 Amazing! This #science has real world potential to improve the care of patients with #PitNET. @theASFNR @TheASNR @NeuroOnc @SNM_MI


My colleague and a current Mayo Clinic fellow Yuki Shinya has just published a great article on recurrent PitNET! #pitnet #pituitaryadenoma #mayoclinic #endoscopicsurgery #skullbase

A rare occurrence but crucial insight! Safe and efficacious therapeutic outcomes with salvage endonasal transsphenoidal surgery for pituitary adenoma progression following stereotactic radiosurgery doi.org/10.3171/2024.1… #Neurosurgery #PituitaryAdenoma #SkullBaseSurgery



🧠 Gipofiz adenomalarini davolashda endoskopik transsfenoidal usul – zamonaviy yondashuv! ✅ bosh ochilmaydi. ✅ burun orqali ✅ ko`rish yaxshilanadi ✅ Asoratlar xavfi minimal. 📍 Bu usul orqali bemorlarning hayot sifati sezilarli darajada yaxshilanadi! #Neurosurgery #PitNET

HabibullohMD's tweet image. 🧠 Gipofiz adenomalarini davolashda endoskopik transsfenoidal usul – zamonaviy yondashuv!
✅ bosh ochilmaydi.
✅ burun orqali 
✅ ko`rish yaxshilanadi
✅ Asoratlar xavfi minimal.
📍 Bu usul orqali bemorlarning hayot sifati sezilarli darajada yaxshilanadi! #Neurosurgery #PitNET

We perform all types of braintumor, skullbase surgery, endoscopic transsphenoidal approach to #PitNET and endoscopic spine surgery. For more information visit my youtube channel in my bio.

HabibullohMD's tweet image. We perform all types of braintumor, skullbase surgery, endoscopic transsphenoidal approach to #PitNET and endoscopic spine surgery. For more information visit my youtube channel in my bio.

Pleased to report data on #pitNET tumours treated with #SRS demonstrating excellent results, no local failures, and ability to treat close to optic structures. doi.org/10.1007/s11060…


Great afternoon presenting on aggressive #PitNET variants and debating treatment options with my colleague @cgbenjamin_md 🙌. Many thanks to @wenyalindabi and @GarzonMuvdi who organized and led this packed session. And for @StephenTMagill for challenging the group with a heated…

michaelivanmd's tweet image. Great afternoon presenting on aggressive #PitNET variants and debating treatment options with my colleague @cgbenjamin_md 🙌. Many thanks to @wenyalindabi and  @GarzonMuvdi who organized and led this packed session. And for @StephenTMagill for challenging the group with a heated…
michaelivanmd's tweet image. Great afternoon presenting on aggressive #PitNET variants and debating treatment options with my colleague @cgbenjamin_md 🙌. Many thanks to @wenyalindabi and  @GarzonMuvdi who organized and led this packed session. And for @StephenTMagill for challenging the group with a heated…
michaelivanmd's tweet image. Great afternoon presenting on aggressive #PitNET variants and debating treatment options with my colleague @cgbenjamin_md 🙌. Many thanks to @wenyalindabi and  @GarzonMuvdi who organized and led this packed session. And for @StephenTMagill for challenging the group with a heated…
michaelivanmd's tweet image. Great afternoon presenting on aggressive #PitNET variants and debating treatment options with my colleague @cgbenjamin_md 🙌. Many thanks to @wenyalindabi and  @GarzonMuvdi who organized and led this packed session. And for @StephenTMagill for challenging the group with a heated…

INVITED REVIEW The 2022 WHO classification of tumors of the pituitary gland: An update on aggressive and metastatic pituitary neuroendocrine tumors onlinelibrary.wiley.com/doi/10.1111/bp… #neuropath #endopath #pitnet #pituitary


INVITED REVIEW Grading and staging for pituitary neuroendocrine tumors onlinelibrary.wiley.com/doi/10.1111/bp… #neuropath #endopath #pitnet #pituitary


INVITED REVIEW Practical approaches to diagnosing PitNETs/adenomas based on cell lineage onlinelibrary.wiley.com/doi/10.1111/bp… #neuropath #endopath #pitnet #pituitary

brainpathol's tweet image. INVITED REVIEW
Practical approaches to diagnosing PitNETs/adenomas based on cell lineage
onlinelibrary.wiley.com/doi/10.1111/bp…
#neuropath #endopath #pitnet #pituitary

🔬 A recent RCT compared chlorhexidine (CHG) with povidone-iodine (PVP) for nasal decolonization before transsphenoidal surgery in #PitNET patients. Both were equally effective, but CHG offered better comfort with less irritation and pungency. #MedEd ow.ly/2kPp50T9fSx


💢HSPB1 promotes tumor invasion by inducing angiogenesis in PitNETs 👉 HSPB1 actúa como un gen clave para la invasión del seno cavernoso en #PitNET, remodelando el microambiente tumoral al promover la formación de vasos sanguíneos erc.bioscientifica.com/view/journals/… @NeuroendocrinoS

sociedadSEEN's tweet image. 💢HSPB1 promotes tumor invasion by inducing angiogenesis in PitNETs

👉 HSPB1 actúa como un gen clave para la invasión del seno cavernoso en #PitNET, remodelando el microambiente tumoral al promover la formación de vasos sanguíneos 

erc.bioscientifica.com/view/journals/…
@NeuroendocrinoS

Tumores neuroendocrinos hipofisarios #PitNET Mayoría adenomas hipofisarios son benignos y no afectan a la esperanza de vida El cambio de nomenclatura a PitNET: - no aborda pronóstico - asigna “malignidad” y puede afectar a los pacientes @EndoSocJournals academic.oup.com/jes/article/5/…

NeuroendocrinoS's tweet image. Tumores neuroendocrinos hipofisarios #PitNET

Mayoría adenomas hipofisarios son benignos y no afectan a la esperanza de vida

El cambio de nomenclatura a PitNET:
- no aborda pronóstico
- asigna “malignidad” y puede afectar a los pacientes
@EndoSocJournals 
academic.oup.com/jes/article/5/…
NeuroendocrinoS's tweet image. Tumores neuroendocrinos hipofisarios #PitNET

Mayoría adenomas hipofisarios son benignos y no afectan a la esperanza de vida

El cambio de nomenclatura a PitNET:
- no aborda pronóstico
- asigna “malignidad” y puede afectar a los pacientes
@EndoSocJournals 
academic.oup.com/jes/article/5/…

🔬🎭 A composite tumor from the sellar region: Mixed gangliocytoma and PitNET (formerly known as pituitary adenoma)➡️➡️➡️ #gangliocytoma #PitNET #PathTwitter #pathology #pituitary #pathologist #Endopath #endocrine @EndoPath @Pathologists @DrSultanClskn

MehmetKefeli's tweet image. 🔬🎭 A composite tumor from the sellar region: Mixed gangliocytoma and PitNET (formerly known as pituitary adenoma)➡️➡️➡️

#gangliocytoma #PitNET #PathTwitter #pathology #pituitary #pathologist #Endopath #endocrine
@EndoPath @Pathologists @DrSultanClskn

And now it’s time for Clinically functioning gonadotroph adenomas Niki KARAVITAKI #rare and even rarer #PitNet @Karavitaki_Niki

GeraldRaverot's tweet image. And now it’s time for Clinically functioning gonadotroph adenomas
Niki KARAVITAKI #rare and even rarer #PitNet  @Karavitaki_Niki

INVITED REVIEW Practical approaches to diagnosing PitNETs/adenomas based on cell lineage onlinelibrary.wiley.com/doi/10.1111/bp… #neuropath #endopath #pitnet #pituitary

brainpathol's tweet image. INVITED REVIEW
Practical approaches to diagnosing PitNETs/adenomas based on cell lineage
onlinelibrary.wiley.com/doi/10.1111/bp…
#neuropath #endopath #pitnet #pituitary

🔝Pituitary Tumors: Genetic and Molecular Factors Underlying Pathogenesis and Clinical Behavior ✔Raramente la presencia de mutaciones en genes específicos predispone a #PitNET, como parte de síndromes o AH aislados familiares karger.com/Article/FullTe… @NeuroendocrinoS

sociedadSEEN's tweet image. 🔝Pituitary Tumors: Genetic and Molecular Factors Underlying Pathogenesis and Clinical Behavior

✔Raramente la presencia de mutaciones en genes específicos predispone a #PitNET, como parte de síndromes o AH aislados familiares
karger.com/Article/FullTe…
@NeuroendocrinoS

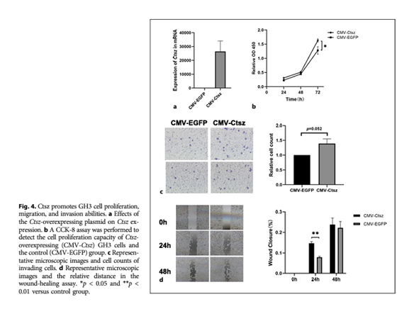
🆕Clinical and Proteomic-Based Molecular Characterizations of Invasive and Noninvasive Somatotroph PitNETs 👉la alta expresión de CTSZ como un factor que contribuye a la transformación invasiva y el mal px en los #PitNET somatotropos karger.com/nen/article-ab… @NeuroendocrinoS

sociedadSEEN's tweet image. 🆕Clinical and Proteomic-Based Molecular Characterizations of Invasive and Noninvasive Somatotroph PitNETs

👉la alta expresión de CTSZ como un factor que contribuye a la transformación invasiva y el mal px en los #PitNET somatotropos
karger.com/nen/article-ab…
@NeuroendocrinoS

From pituitary adenoma to pituitary neuroendocrine tumor: an International Pituitary Pathology Club proposal Terminología #PitNET: coherente con la utilizada para otros TNE y reconoce el impacto variable de estos tumores en los pacientes ow.ly/uw3P30qhBRs

sociedadSEEN's tweet image. From pituitary adenoma to pituitary neuroendocrine tumor: an International Pituitary Pathology Club proposal
Terminología #PitNET: coherente con la utilizada para otros TNE y reconoce el impacto variable de estos tumores en los pacientes
ow.ly/uw3P30qhBRs

💢HSPB1 promotes tumor invasion by inducing angiogenesis in PitNETs 👉 HSPB1 actúa como un gen clave para la invasión del seno cavernoso en #PitNET, remodelando el microambiente tumoral al promover la formación de vasos sanguíneos erc.bioscientifica.com/view/journals/… @NeuroendocrinoS

sociedadSEEN's tweet image. 💢HSPB1 promotes tumor invasion by inducing angiogenesis in PitNETs

👉 HSPB1 actúa como un gen clave para la invasión del seno cavernoso en #PitNET, remodelando el microambiente tumoral al promover la formación de vasos sanguíneos 

erc.bioscientifica.com/view/journals/…
@NeuroendocrinoS

Los macrófagos M2 parecen desempeñar un papel en la neovascularización de #PitNET, mientras que los linfocitos B, CD4 + y FOXP3 +, así como los elementos TME no celulares como CCL2, CXCL10 y CX3CL1, también pueden modular la angiogénesis de #PitNETs ow.ly/BSxa30rbHtv

sociedadSEEN's tweet image. Los macrófagos M2 parecen desempeñar un papel en la neovascularización de #PitNET, mientras que los linfocitos B, CD4 + y FOXP3 +, así como los elementos TME no celulares como CCL2, CXCL10 y CX3CL1, también pueden modular la angiogénesis de #PitNETs 
ow.ly/BSxa30rbHtv
sociedadSEEN's tweet image. Los macrófagos M2 parecen desempeñar un papel en la neovascularización de #PitNET, mientras que los linfocitos B, CD4 + y FOXP3 +, así como los elementos TME no celulares como CCL2, CXCL10 y CX3CL1, también pueden modular la angiogénesis de #PitNETs 
ow.ly/BSxa30rbHtv
sociedadSEEN's tweet image. Los macrófagos M2 parecen desempeñar un papel en la neovascularización de #PitNET, mientras que los linfocitos B, CD4 + y FOXP3 +, así como los elementos TME no celulares como CCL2, CXCL10 y CX3CL1, también pueden modular la angiogénesis de #PitNETs 
ow.ly/BSxa30rbHtv
sociedadSEEN's tweet image. Los macrófagos M2 parecen desempeñar un papel en la neovascularización de #PitNET, mientras que los linfocitos B, CD4 + y FOXP3 +, así como los elementos TME no celulares como CCL2, CXCL10 y CX3CL1, también pueden modular la angiogénesis de #PitNETs 
ow.ly/BSxa30rbHtv

An interesting case of pituitary neuroendocrine tumor arising in the background of ovarian mature teratoma. You should read this paper 👌💯 #endopath #gynpath #PitNET #pathology pubmed.ncbi.nlm.nih.gov/32632841/

DrSultanClskn's tweet image. An interesting case of pituitary neuroendocrine tumor arising in the background of ovarian mature teratoma. You should read this paper 👌💯 #endopath #gynpath #PitNET #pathology 
pubmed.ncbi.nlm.nih.gov/32632841/

🔝Primary cilia as a tumor marker in pituitary neuroendocrine tumors 👉 La ciliogénesis aumenta en los #PitNET, lo que sugiere que este proceso podría usarse como un objetivo potencial para la terapia en el futuro linkinghub.elsevier.com/retrieve/pii/S… @NeuroendocrinoS

sociedadSEEN's tweet image. 🔝Primary cilia as a tumor marker in pituitary neuroendocrine tumors

👉 La ciliogénesis aumenta en los #PitNET, lo que sugiere que este proceso podría usarse como un objetivo potencial para la terapia en el futuro

linkinghub.elsevier.com/retrieve/pii/S…

@NeuroendocrinoS

We perform all types of braintumor, skullbase surgery, endoscopic transsphenoidal approach to #PitNET and endoscopic spine surgery. For more information visit my youtube channel in my bio.

HabibullohMD's tweet image. We perform all types of braintumor, skullbase surgery, endoscopic transsphenoidal approach to #PitNET and endoscopic spine surgery. For more information visit my youtube channel in my bio.

Otra SENEC compartiendo grandes momentos en Zaragoza con colegas y amigos. Gracias al comité por dejarnos mostrar nuestra experiencia e innovaciones en base de cráneo del H.U. La Paz. #Hipófisis #3Dprinting #pitNET #Adenoma #Zaragoza #Acromegalia #KissingCarotids

GFeijoo_NS's tweet image. Otra SENEC compartiendo grandes momentos en Zaragoza con colegas y amigos. Gracias al comité por dejarnos mostrar nuestra experiencia e innovaciones en base de cráneo del H.U. La Paz.
#Hipófisis #3Dprinting #pitNET #Adenoma #Zaragoza #Acromegalia #KissingCarotids
GFeijoo_NS's tweet image. Otra SENEC compartiendo grandes momentos en Zaragoza con colegas y amigos. Gracias al comité por dejarnos mostrar nuestra experiencia e innovaciones en base de cráneo del H.U. La Paz.
#Hipófisis #3Dprinting #pitNET #Adenoma #Zaragoza #Acromegalia #KissingCarotids
GFeijoo_NS's tweet image. Otra SENEC compartiendo grandes momentos en Zaragoza con colegas y amigos. Gracias al comité por dejarnos mostrar nuestra experiencia e innovaciones en base de cráneo del H.U. La Paz.
#Hipófisis #3Dprinting #pitNET #Adenoma #Zaragoza #Acromegalia #KissingCarotids
GFeijoo_NS's tweet image. Otra SENEC compartiendo grandes momentos en Zaragoza con colegas y amigos. Gracias al comité por dejarnos mostrar nuestra experiencia e innovaciones en base de cráneo del H.U. La Paz.
#Hipófisis #3Dprinting #pitNET #Adenoma #Zaragoza #Acromegalia #KissingCarotids

Conservatively managed non-functioning pituitary macroadenomas – cohort study from the UK Non-functioning Pituitary Adenoma Consortium by Athanasios Fountas @Karavitaki_Niki et al EJE Volume 192, Issue 5, May 2025 Open access 👉 doi.org/10.1093/ejendo… #pituitary #PitNET

EJEndo's tweet image. Conservatively managed non-functioning pituitary macroadenomas – cohort study from the UK Non-functioning Pituitary Adenoma Consortium by Athanasios Fountas @Karavitaki_Niki et al

EJE Volume 192, Issue 5, May 2025
Open access 👉 doi.org/10.1093/ejendo…

#pituitary #PitNET

🧵 What You Need to Know About Pituitary Neuroendocrine Tumors (PitNETs) 🧠🧪 They can invade, recur, and cause endocrine chaos. Here’s your neurosurgical breakdown. #Neurosurgery #PitNET #Endocrinology #WHO2021

ChavezRamzes's tweet image. 🧵
What You Need to Know About Pituitary Neuroendocrine Tumors (PitNETs) 🧠🧪
They can invade, recur, and cause endocrine chaos. Here’s your neurosurgical breakdown.
#Neurosurgery #PitNET #Endocrinology #WHO2021

Tuesday 11 / Franklin Hall 9 Sean Kim @WCMRadRes will present on #DOTATATE #PET in #pitNET #ASNR25

jana_ivanidze's tweet image. Tuesday 11 / Franklin Hall 9 

Sean Kim @WCMRadRes will present on #DOTATATE #PET in #pitNET 

#ASNR25

Great afternoon presenting on aggressive #PitNET variants and debating treatment options with my colleague @cgbenjamin_md 🙌. Many thanks to @wenyalindabi and @GarzonMuvdi who organized and led this packed session. And for @StephenTMagill for challenging the group with a heated…

michaelivanmd's tweet image. Great afternoon presenting on aggressive #PitNET variants and debating treatment options with my colleague @cgbenjamin_md 🙌. Many thanks to @wenyalindabi and  @GarzonMuvdi who organized and led this packed session. And for @StephenTMagill for challenging the group with a heated…
michaelivanmd's tweet image. Great afternoon presenting on aggressive #PitNET variants and debating treatment options with my colleague @cgbenjamin_md 🙌. Many thanks to @wenyalindabi and  @GarzonMuvdi who organized and led this packed session. And for @StephenTMagill for challenging the group with a heated…
michaelivanmd's tweet image. Great afternoon presenting on aggressive #PitNET variants and debating treatment options with my colleague @cgbenjamin_md 🙌. Many thanks to @wenyalindabi and  @GarzonMuvdi who organized and led this packed session. And for @StephenTMagill for challenging the group with a heated…
michaelivanmd's tweet image. Great afternoon presenting on aggressive #PitNET variants and debating treatment options with my colleague @cgbenjamin_md 🙌. Many thanks to @wenyalindabi and  @GarzonMuvdi who organized and led this packed session. And for @StephenTMagill for challenging the group with a heated…

Loading...

Something went wrong.


Something went wrong.


United States Trends