#proglide search results

New mower literally dropped to me in the field. Happy days. It’s not as clean now!! #proglide #mchale

GDug11's tweet image. New mower literally dropped to me in the field. Happy days. It’s not as clean now!! #proglide #mchale
GDug11's tweet image. New mower literally dropped to me in the field. Happy days. It’s not as clean now!! #proglide #mchale

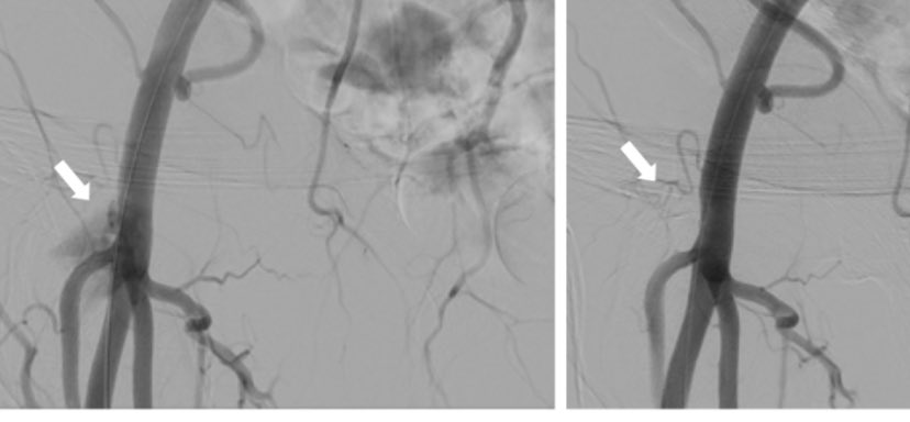
In our study, #MANTA was used in more calcified vessels in large bore access for #TAVR but had similar safety and efficacy as #Proglide and #ProstarXL @crfshj bit.ly/3kL6eCx #cardiotwitter #ACCFIT #CardioED #TAVI #SHD

MichaelMegalyMD's tweet image. In our study, #MANTA was used in more calcified vessels in large bore access for #TAVR but had similar safety and efficacy as #Proglide and #ProstarXL @crfshj 
bit.ly/3kL6eCx
#cardiotwitter #ACCFIT #CardioED #TAVI #SHD

Percutaneous decannulation of ECMO should be the way forward. Open repair is sig. associated with wound infection. We usually perform US guided postclosure with #Abbott #Proglide for both the large bore cannula and the DPC. I always park a crossover sheath as safety. #ECMO #ELSO

drjunjieng's tweet image. Percutaneous decannulation of ECMO should be the way forward. Open repair is sig. associated with wound infection. We usually perform US guided postclosure with #Abbott #Proglide for both the large bore cannula and the DPC. I always park a crossover sheath as safety. #ECMO #ELSO
drjunjieng's tweet image. Percutaneous decannulation of ECMO should be the way forward. Open repair is sig. associated with wound infection. We usually perform US guided postclosure with #Abbott #Proglide for both the large bore cannula and the DPC. I always park a crossover sheath as safety. #ECMO #ELSO

Case made my day ,2 birds has been hit by one stone in 2 minutes Traumatic Arteriovenous fistula with pseudoaneurysm During dialysis catheter insertion trail treated by stent graft covera plus 7mmx 40mm #Bard #proglide#minimalinvasive #localanasthesia #esrd #kfmc

nashwan111976's tweet image. Case made my day  ,2 birds has been hit by one stone in 2 minutes 
Traumatic Arteriovenous fistula  with pseudoaneurysm During dialysis catheter insertion trail treated by stent graft covera plus 7mmx 40mm  #Bard #proglide#minimalinvasive  #localanasthesia #esrd
#kfmc

Don't miss this comprehensive review on #Perclose #ProGlide: Perclose Proglide for vascular closure, by Del Prete et al futuremedicine.com/doi/10.2217/fc…

gbiondizoccai's tweet image. Don't miss this comprehensive review on #Perclose #ProGlide: 
Perclose Proglide for vascular closure, by Del Prete et al
futuremedicine.com/doi/10.2217/fc…
gbiondizoccai's tweet image. Don't miss this comprehensive review on #Perclose #ProGlide: 
Perclose Proglide for vascular closure, by Del Prete et al
futuremedicine.com/doi/10.2217/fc…
gbiondizoccai's tweet image. Don't miss this comprehensive review on #Perclose #ProGlide: 
Perclose Proglide for vascular closure, by Del Prete et al
futuremedicine.com/doi/10.2217/fc…
gbiondizoccai's tweet image. Don't miss this comprehensive review on #Perclose #ProGlide: 
Perclose Proglide for vascular closure, by Del Prete et al
futuremedicine.com/doi/10.2217/fc…

If you are looking for adding surgical techniques to #ProGlide closure, have a look on our ‘PLEDGET-ASSISTED HAEMOSTASIS’ to fix failures! It was really a game changer for our less-invasive totally-endovascular (LITE) #TAVI / #TAVR programme!!! dx.doi.org/10.4330/wjc.v1…

BURZOTTA_F's tweet image. If you are looking for adding surgical techniques to #ProGlide closure, have a look on our ‘PLEDGET-ASSISTED HAEMOSTASIS’ to fix failures! It was really a game changer for our less-invasive totally-endovascular (LITE) #TAVI / #TAVR programme!!! dx.doi.org/10.4330/wjc.v1…
BURZOTTA_F's tweet image. If you are looking for adding surgical techniques to #ProGlide closure, have a look on our ‘PLEDGET-ASSISTED HAEMOSTASIS’ to fix failures! It was really a game changer for our less-invasive totally-endovascular (LITE) #TAVI / #TAVR programme!!! dx.doi.org/10.4330/wjc.v1…
BURZOTTA_F's tweet image. If you are looking for adding surgical techniques to #ProGlide closure, have a look on our ‘PLEDGET-ASSISTED HAEMOSTASIS’ to fix failures! It was really a game changer for our less-invasive totally-endovascular (LITE) #TAVI / #TAVR programme!!! dx.doi.org/10.4330/wjc.v1…

New data on vascular access haemostasis after #TAVR @EuroInterventio ➡️ Dual #ProGlide versus #ProGlide#FemoSeal for vascular access haemostasis after #TAVR 🔗 bit.ly/3Sbmyxe ❓Will this change YOUR daily practice❓ @mirvatalasnag

KardiologieHH's tweet image. New data on vascular access haemostasis after #TAVR @EuroInterventio  

➡️ Dual #ProGlide versus 
#ProGlide ➕ #FemoSeal 
for vascular access haemostasis after #TAVR

🔗 bit.ly/3Sbmyxe

❓Will this change YOUR daily practice❓

@mirvatalasnag

Is this your dream outfit? McHale Pro Glide F3100 and R3100 mowers fitted to a shiny new Valtra. #McHale #ProGlide #ShinyMetalDisease #Rig #Valtra

McHaleOfficial's tweet image. Is this your dream outfit?
McHale Pro Glide F3100 and R3100 mowers fitted to a shiny new Valtra.
#McHale #ProGlide #ShinyMetalDisease #Rig #Valtra
McHaleOfficial's tweet image. Is this your dream outfit?
McHale Pro Glide F3100 and R3100 mowers fitted to a shiny new Valtra.
#McHale #ProGlide #ShinyMetalDisease #Rig #Valtra

Coming soon...... Subscribe to our YouTube channel to find out more! youtube.com/MCHALEfusion #McHale #ProGlide #McHaleFusion #F5500 #V6750 #Orbital #StayTuned


Thinking of changing your mower in 2021? Take a look at the McHale Pro Glide F3100 Front Mower & R3100 Rear Mower at work to see the excellent 3D Ground Tracking Technology in action! Contact your local McHale dealer or Area Manager for more info! #McHale #ProGlide #MowWithMcHale


McHale May Mowing! With silage season well underway check out these photos from the last number of weeks of McHale Pro Glide mowers in action! If you have photos of your McHale mower then please do send them in! #McHaleMayMowing #Mowers #ProGlide #Agriculture #Silage2019

McHaleOfficial's tweet image. McHale May Mowing! 
With silage season well underway check out these photos from the last number of weeks of McHale Pro Glide mowers in action! 
If you have photos of your McHale mower then please do send them in!
#McHaleMayMowing #Mowers #ProGlide #Agriculture #Silage2019
McHaleOfficial's tweet image. McHale May Mowing! 
With silage season well underway check out these photos from the last number of weeks of McHale Pro Glide mowers in action! 
If you have photos of your McHale mower then please do send them in!
#McHaleMayMowing #Mowers #ProGlide #Agriculture #Silage2019
McHaleOfficial's tweet image. McHale May Mowing! 
With silage season well underway check out these photos from the last number of weeks of McHale Pro Glide mowers in action! 
If you have photos of your McHale mower then please do send them in!
#McHaleMayMowing #Mowers #ProGlide #Agriculture #Silage2019
McHaleOfficial's tweet image. McHale May Mowing! 
With silage season well underway check out these photos from the last number of weeks of McHale Pro Glide mowers in action! 
If you have photos of your McHale mower then please do send them in!
#McHaleMayMowing #Mowers #ProGlide #Agriculture #Silage2019

These McHale Pro Glide F3100 & B9000 mowers were put to work over the weekend for Dromkeen Agri Services in Co. Kerry and were sold by Buckley Agri. Check out this clip of them in action mowing grass ahead of two McHale Fusion 3 machines. #McHale #ProGlide #Grass2021


Gents! TRY THE GILLETTE PROGLIDE FLEXBALL RAZOR SIMPLY PAY £1.99 P&P @ Gillette #Gilette #Proglide >> ow.ly/68GB30kCkwr

hotukdeals's tweet image. Gents!

TRY THE GILLETTE PROGLIDE FLEXBALL RAZOR SIMPLY PAY £1.99 P&P @ Gillette #Gilette #Proglide 

>> ow.ly/68GB30kCkwr

Don't forget, tomorrow / Monday, June 21st at 7pm, the first clip from our series of setup videos kick off on our YouTube channel! Subscribe to our channel to watch it all! youtube.com/MCHALEfusion #McHale #ProGlide #McHaleFusion #F5500 #V6750 #Orbital #StayTuned


The preparation for grass is starting! Best of luck to P.C.& A.M Stephens Contractors with their new McHale Pro Glide F3100 & R3100 mowers sold by Truro Farm Machinery! #mchale #proglide #silage2020

McHaleOfficial's tweet image. The preparation for grass is starting!

Best of luck to P.C.& A.M Stephens Contractors with their new McHale Pro Glide F3100 & R3100 mowers sold by Truro Farm Machinery!
#mchale #proglide #silage2020
McHaleOfficial's tweet image. The preparation for grass is starting!

Best of luck to P.C.& A.M Stephens Contractors with their new McHale Pro Glide F3100 & R3100 mowers sold by Truro Farm Machinery!
#mchale #proglide #silage2020

Perc ECMO closure with #ProGlide??? Come listen to @drjunjieng talk about his awesome, potentially practice-changing, meta-analysis performed with @singvasc team members (publication in process). #SingVaSC #ATCSA @AbbottNews @AbbottGlobal

DrAndrewChoong's tweet image. Perc ECMO closure with #ProGlide??? Come listen to @drjunjieng talk about his awesome, potentially practice-changing, meta-analysis performed with @singvasc team members (publication in process). #SingVaSC #ATCSA @AbbottNews @AbbottGlobal

Gillette Fusion ProGlide Razor for Men, Handle + 4 Blade Refills at $17.48 sovrn.co/tmdgu95 #Gillette #Fusion #ProGlide

SRTrendsDeals's tweet image. Gillette Fusion ProGlide Razor for Men, Handle + 4 Blade Refills at $17.48

sovrn.co/tmdgu95

#Gillette #Fusion #ProGlide

Gillette ProGlide Shield Men's Razor, 5 Bladed Razor, with Precision Trimmer, for $19.99 sovrn.co/1n2dlzs #deals #ProGlide

DealsQuickly's tweet image. Gillette ProGlide Shield Men's Razor, 5 Bladed Razor, with Precision Trimmer, for $19.99

sovrn.co/1n2dlzs

#deals #ProGlide

Gillette ProGlide Shield Men's Razor, 5 Bladed Razor, with Precision Trimmer at $18.99 sovrn.co/foklph9 #ProGlide #Trimmer #Razor

DealHive2day's tweet image. Gillette ProGlide Shield Men's Razor, 5 Bladed Razor, with Precision Trimmer at $18.99

sovrn.co/foklph9

#ProGlide #Trimmer #Razor

Welcome to the MaatalousKonemessut show 17-19/10 in Helsinki Finland 🇫🇮 in Turun Konekeskus stand you can see the new #ProGlide F3500, the hungry # Fusion 4 Plus, the hard # V8 950 and the famous # C 460 all preceded by the hard core McHale team in Finland! 🍀🤠

Emtygarden's tweet image. Welcome to the MaatalousKonemessut show 17-19/10 in Helsinki Finland 🇫🇮 in Turun Konekeskus stand you can see the new #ProGlide F3500, the hungry # Fusion 4 Plus, the hard # V8 950 and the famous # C 460 all preceded by the hard core McHale team in Finland! 🍀🤠
Emtygarden's tweet image. Welcome to the MaatalousKonemessut show 17-19/10 in Helsinki Finland 🇫🇮 in Turun Konekeskus stand you can see the new #ProGlide F3500, the hungry # Fusion 4 Plus, the hard # V8 950 and the famous # C 460 all preceded by the hard core McHale team in Finland! 🍀🤠
Emtygarden's tweet image. Welcome to the MaatalousKonemessut show 17-19/10 in Helsinki Finland 🇫🇮 in Turun Konekeskus stand you can see the new #ProGlide F3500, the hungry # Fusion 4 Plus, the hard # V8 950 and the famous # C 460 all preceded by the hard core McHale team in Finland! 🍀🤠
Emtygarden's tweet image. Welcome to the MaatalousKonemessut show 17-19/10 in Helsinki Finland 🇫🇮 in Turun Konekeskus stand you can see the new #ProGlide F3500, the hungry # Fusion 4 Plus, the hard # V8 950 and the famous # C 460 all preceded by the hard core McHale team in Finland! 🍀🤠

I feel naked without the beard. But, that’s okay, it’ll grow back. I needed to stop looking like a bum for in-person activities. @harrys, used your razor, I’ll give it a 6.5 out of 10. The aesthetics and socket are nice and solid. Heads are bulky in comparison to the #ProGlide.


@Gillette I’m sure you can reduce the packaging material for my #proglide blades! #savethetrees

omacpherson's tweet image. @Gillette  I’m sure you can reduce the packaging material for my #proglide blades!  #savethetrees

Compartimos un artículo del último número de @RaciRevista ✅ Experiencia con el uso de un solo dispositivo de cierre percutáneo #ProGlide para el cierre vascular luego del reemplazo percutáneo de #VálvulaAórtica: serie de casos 🔗 caci.org.ar/experiencia-co… #TAVI #AccesoVascular

CACIarg's tweet image. Compartimos un artículo del último número de @RaciRevista 

✅ Experiencia con el uso de un solo dispositivo de cierre percutáneo #ProGlide para el cierre vascular luego del reemplazo percutáneo de #VálvulaAórtica: serie de casos

🔗 caci.org.ar/experiencia-co…

#TAVI #AccesoVascular

Cosa ci faccio con in mano un rasoio? @Gillette #Proglide #Gillette

AlfredoCofini's tweet image. Cosa ci faccio con in mano un rasoio? @Gillette #Proglide #Gillette

Is this your dream outfit? McHale Pro Glide F3100 and R3100 mowers fitted to a shiny new Valtra. #McHale #ProGlide #ShinyMetalDisease #Rig #Valtra

McHaleOfficial's tweet image. Is this your dream outfit?
McHale Pro Glide F3100 and R3100 mowers fitted to a shiny new Valtra.
#McHale #ProGlide #ShinyMetalDisease #Rig #Valtra
McHaleOfficial's tweet image. Is this your dream outfit?
McHale Pro Glide F3100 and R3100 mowers fitted to a shiny new Valtra.
#McHale #ProGlide #ShinyMetalDisease #Rig #Valtra

In our study, #MANTA was used in more calcified vessels in large bore access for #TAVR but had similar safety and efficacy as #Proglide and #ProstarXL @crfshj bit.ly/3kL6eCx #cardiotwitter #ACCFIT #CardioED #TAVI #SHD

MichaelMegalyMD's tweet image. In our study, #MANTA was used in more calcified vessels in large bore access for #TAVR but had similar safety and efficacy as #Proglide and #ProstarXL @crfshj 
bit.ly/3kL6eCx
#cardiotwitter #ACCFIT #CardioED #TAVI #SHD

Prq faire simple qd on peut faire compliqué pr montrer le #FlexBall de la Fusion #ProGlide ? youtu.be/OgV8BsPvrzM

_JeanCome_'s tweet image. Prq faire simple qd on peut faire compliqué pr montrer le #FlexBall de la Fusion #ProGlide ?  youtu.be/OgV8BsPvrzM

⚡ US $15.67 Genuine High Quality 8pcs/set For #beard #fusion #proglide #gilletts goo.gl/zqRJzq

AliExWiki's tweet image. ⚡ US $15.67
Genuine High Quality 8pcs/set For #beard #fusion #proglide #gilletts
goo.gl/zqRJzq

Thanks cant wait to use this @GilletteUK #proglide

isyhq's tweet image. Thanks cant wait to use this @GilletteUK  #proglide

New mower literally dropped to me in the field. Happy days. It’s not as clean now!! #proglide #mchale

GDug11's tweet image. New mower literally dropped to me in the field. Happy days. It’s not as clean now!! #proglide #mchale
GDug11's tweet image. New mower literally dropped to me in the field. Happy days. It’s not as clean now!! #proglide #mchale

If you are looking for adding surgical techniques to #ProGlide closure, have a look on our ‘PLEDGET-ASSISTED HAEMOSTASIS’ to fix failures! It was really a game changer for our less-invasive totally-endovascular (LITE) #TAVI / #TAVR programme!!! dx.doi.org/10.4330/wjc.v1…

BURZOTTA_F's tweet image. If you are looking for adding surgical techniques to #ProGlide closure, have a look on our ‘PLEDGET-ASSISTED HAEMOSTASIS’ to fix failures! It was really a game changer for our less-invasive totally-endovascular (LITE) #TAVI / #TAVR programme!!! dx.doi.org/10.4330/wjc.v1…
BURZOTTA_F's tweet image. If you are looking for adding surgical techniques to #ProGlide closure, have a look on our ‘PLEDGET-ASSISTED HAEMOSTASIS’ to fix failures! It was really a game changer for our less-invasive totally-endovascular (LITE) #TAVI / #TAVR programme!!! dx.doi.org/10.4330/wjc.v1…
BURZOTTA_F's tweet image. If you are looking for adding surgical techniques to #ProGlide closure, have a look on our ‘PLEDGET-ASSISTED HAEMOSTASIS’ to fix failures! It was really a game changer for our less-invasive totally-endovascular (LITE) #TAVI / #TAVR programme!!! dx.doi.org/10.4330/wjc.v1…

McHale May Mowing! With silage season well underway check out these photos from the last number of weeks of McHale Pro Glide mowers in action! If you have photos of your McHale mower then please do send them in! #McHaleMayMowing #Mowers #ProGlide #Agriculture #Silage2019

McHaleOfficial's tweet image. McHale May Mowing! 
With silage season well underway check out these photos from the last number of weeks of McHale Pro Glide mowers in action! 
If you have photos of your McHale mower then please do send them in!
#McHaleMayMowing #Mowers #ProGlide #Agriculture #Silage2019
McHaleOfficial's tweet image. McHale May Mowing! 
With silage season well underway check out these photos from the last number of weeks of McHale Pro Glide mowers in action! 
If you have photos of your McHale mower then please do send them in!
#McHaleMayMowing #Mowers #ProGlide #Agriculture #Silage2019
McHaleOfficial's tweet image. McHale May Mowing! 
With silage season well underway check out these photos from the last number of weeks of McHale Pro Glide mowers in action! 
If you have photos of your McHale mower then please do send them in!
#McHaleMayMowing #Mowers #ProGlide #Agriculture #Silage2019
McHaleOfficial's tweet image. McHale May Mowing! 
With silage season well underway check out these photos from the last number of weeks of McHale Pro Glide mowers in action! 
If you have photos of your McHale mower then please do send them in!
#McHaleMayMowing #Mowers #ProGlide #Agriculture #Silage2019

This week McHale were exhibiting at Pacific Agriculture Show through our dealer Matsqui Agri Repair. Check out the display they had on show! #McHale #Fusion3Plus #ProGlide #C460 #Orbital #Farming #Agriculture #Deutz

McHaleOfficial's tweet image. This week McHale were exhibiting at Pacific Agriculture Show through our dealer Matsqui Agri Repair. Check out the display they had on show! #McHale #Fusion3Plus #ProGlide #C460 #Orbital #Farming #Agriculture #Deutz
McHaleOfficial's tweet image. This week McHale were exhibiting at Pacific Agriculture Show through our dealer Matsqui Agri Repair. Check out the display they had on show! #McHale #Fusion3Plus #ProGlide #C460 #Orbital #Farming #Agriculture #Deutz
McHaleOfficial's tweet image. This week McHale were exhibiting at Pacific Agriculture Show through our dealer Matsqui Agri Repair. Check out the display they had on show! #McHale #Fusion3Plus #ProGlide #C460 #Orbital #Farming #Agriculture #Deutz
McHaleOfficial's tweet image. This week McHale were exhibiting at Pacific Agriculture Show through our dealer Matsqui Agri Repair. Check out the display they had on show! #McHale #Fusion3Plus #ProGlide #C460 #Orbital #Farming #Agriculture #Deutz

ENDS 2pm! RT & FLW by 12th July for your chance to WIN 1 of 3 ProGlide razors (UK & ROI only) #ProGlide


⚡ US $3.89 2016 4pcs/lot Brand Quality proglide #fusione #proglide #rueurous #gilletts goo.gl/9TdcPQ

AliExWiki's tweet image. ⚡ US $3.89
2016 4pcs/lot Brand Quality proglide #fusione #proglide #rueurous #gilletts
goo.gl/9TdcPQ

The preparation for grass is starting! Best of luck to P.C.& A.M Stephens Contractors with their new McHale Pro Glide F3100 & R3100 mowers sold by Truro Farm Machinery! #mchale #proglide #silage2020

McHaleOfficial's tweet image. The preparation for grass is starting!

Best of luck to P.C.& A.M Stephens Contractors with their new McHale Pro Glide F3100 & R3100 mowers sold by Truro Farm Machinery!
#mchale #proglide #silage2020
McHaleOfficial's tweet image. The preparation for grass is starting!

Best of luck to P.C.& A.M Stephens Contractors with their new McHale Pro Glide F3100 & R3100 mowers sold by Truro Farm Machinery!
#mchale #proglide #silage2020

Like a ProGlide razor? RT & FLW by 12th July for your chance to WIN 1 of 3 (UK & ROI only) #ProGlide


Loading...

Something went wrong.


Something went wrong.