#putpathonthemap search results

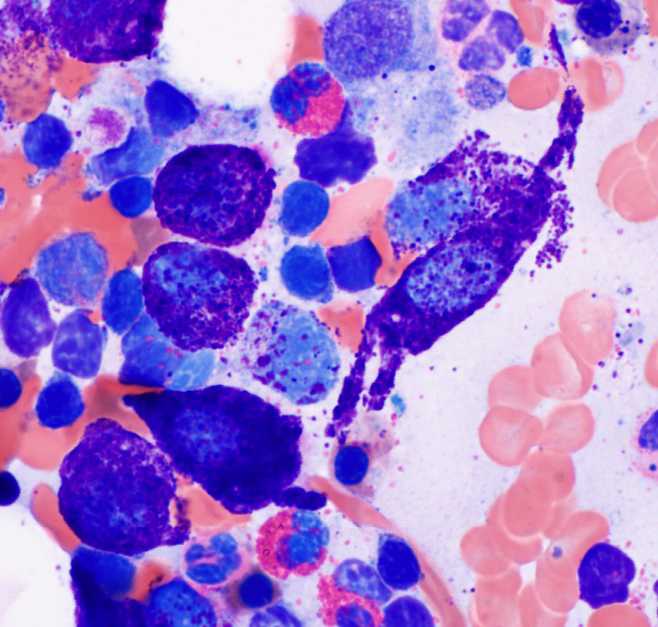
Happy #TestTuesday series This finding in the bone marrow is most likely associated with mutation in which gene: a)BRAF b)KIT c)KRAS d)MYD88 @UofUPathology #PathTwitter #PutPathOnTheMap @SmockKristi

UofUPathRes's tweet image. Happy #TestTuesday series

This finding in the bone marrow is most likely associated with mutation in which gene:
a)BRAF
b)KIT
c)KRAS
d)MYD88

@UofUPathology #PathTwitter #PutPathOnTheMap
@SmockKristi

Particular strengths of the University of Utah Department of Pathology Residency Program includes a national reference laboratory owned by the University of Utah (ARUP Laboratories) says Dr. Smock @SmockKristi #PutPathOnTheMap #PathResidency #TwitterPath medicine.utah.edu/pathology/resi…

UofUPathRes's tweet image. Particular strengths of the University of Utah Department of Pathology Residency Program includes a national reference laboratory owned by the University of Utah (ARUP Laboratories) says Dr. Smock 
@SmockKristi #PutPathOnTheMap #PathResidency #TwitterPath

medicine.utah.edu/pathology/resi…

Join us to learn about our Clinical Chemistry Fellowship, one of our many Pathology Fellowships available for PhDs #clinicalchemistry #putpathonthemap Register here: bit.ly/2VenOXj

UofUPathology's tweet image. Join us to learn about our Clinical Chemistry Fellowship, one of our many Pathology Fellowships available for PhDs
#clinicalchemistry #putpathonthemap 

Register here: bit.ly/2VenOXj

Happy #TestTuesday series @UofUPathology #PathTwitter #PutPathOnTheMap @SmockKristi This is a lymph node biopsy from a middle-aged patient with a bilateral pulmonary hilar adenopathy. This finding is frequently associated with:


Here’s to inner strength! #PutPathOnTheMap #PathTwitter

The new Laboratory Genetics and Genomics fellows, Ting and Lucilla, with their Co-PD @YuanJi1. Mentors are not just teaching technical skills but to help us discover the inner strength, and to ignite passion about people, work, and the organization.@UofUPathology @ARUPLabs 💪🏻💪🏻💪🏻

UofUPathMP's tweet image. The new Laboratory Genetics and Genomics fellows, Ting and Lucilla, with their Co-PD @YuanJi1. Mentors are not just teaching technical skills but to help us discover the inner strength, and to ignite passion about people, work, and the organization.@UofUPathology @ARUPLabs 💪🏻💪🏻💪🏻


Congratulations @LabFairfax on this award. Your hard work does not go unnoticed 💪🏽👩🏻‍🔬 #PutPathOnTheMap @UofUMandI


A huge thank you and congratulations to Michael Balatico, MD our 2021 Resident Teaching Award winner #PutPathOnTheMap #PathTwitter #residentlife

UofUPathRes's tweet image. A huge thank you and congratulations to Michael Balatico, MD our 2021 Resident Teaching Award winner

#PutPathOnTheMap 
#PathTwitter 
#residentlife

Meet Dr. Salika Shakir, she holds the rank of Assistant Professor (Clinical) in the Clinical Pathology Division To read more about her go here: medicine.utah.edu/pathology/news… #TakeOverThursday #PutPathOnTheMap

UofUPathology's tweet image. Meet Dr. Salika Shakir, she holds the rank of Assistant Professor (Clinical) in the Clinical Pathology Division

To read more about her go here: medicine.utah.edu/pathology/news…

#TakeOverThursday
#PutPathOnTheMap

The Department of Pathology is happy to announce the launch of a department-wide Mentoring Program (MP). This is a structured program designed to provide mentoring support and resources to all faculty in the department #PutPathOnTheMap @YuanJi1

UofUPathology's tweet image. The Department of Pathology is happy to announce the launch of a department-wide Mentoring Program (MP). This is a structured program designed to provide mentoring support and resources to all faculty in the department
#PutPathOnTheMap @YuanJi1

Here’s to inner strength! #PutPathOnTheMap #PathTwitter

The new Laboratory Genetics and Genomics fellows, Ting and Lucilla, with their Co-PD @YuanJi1. Mentors are not just teaching technical skills but to help us discover the inner strength, and to ignite passion about people, work, and the organization.@UofUPathology @ARUPLabs 💪🏻💪🏻💪🏻

UofUPathMP's tweet image. The new Laboratory Genetics and Genomics fellows, Ting and Lucilla, with their Co-PD @YuanJi1. Mentors are not just teaching technical skills but to help us discover the inner strength, and to ignite passion about people, work, and the organization.@UofUPathology @ARUPLabs 💪🏻💪🏻💪🏻


Meet Dr. Salika Shakir, she holds the rank of Assistant Professor (Clinical) in the Clinical Pathology Division To read more about her go here: medicine.utah.edu/pathology/news… #TakeOverThursday #PutPathOnTheMap

UofUPathology's tweet image. Meet Dr. Salika Shakir, she holds the rank of Assistant Professor (Clinical) in the Clinical Pathology Division

To read more about her go here: medicine.utah.edu/pathology/news…

#TakeOverThursday
#PutPathOnTheMap

Happy #TestTuesday series @UofUPathology #PathTwitter #PutPathOnTheMap @SmockKristi This is a lymph node biopsy from a middle-aged patient with a bilateral pulmonary hilar adenopathy. This finding is frequently associated with:


The Department of Pathology is happy to announce the launch of a department-wide Mentoring Program (MP). This is a structured program designed to provide mentoring support and resources to all faculty in the department #PutPathOnTheMap @YuanJi1

UofUPathology's tweet image. The Department of Pathology is happy to announce the launch of a department-wide Mentoring Program (MP). This is a structured program designed to provide mentoring support and resources to all faculty in the department
#PutPathOnTheMap @YuanJi1

Happy #TestTuesday series This finding in the bone marrow is most likely associated with mutation in which gene: a)BRAF b)KIT c)KRAS d)MYD88 @UofUPathology #PathTwitter #PutPathOnTheMap @SmockKristi

UofUPathRes's tweet image. Happy #TestTuesday series

This finding in the bone marrow is most likely associated with mutation in which gene:
a)BRAF
b)KIT
c)KRAS
d)MYD88

@UofUPathology #PathTwitter #PutPathOnTheMap
@SmockKristi

A huge thank you and congratulations to Michael Balatico, MD our 2021 Resident Teaching Award winner #PutPathOnTheMap #PathTwitter #residentlife

UofUPathRes's tweet image. A huge thank you and congratulations to Michael Balatico, MD our 2021 Resident Teaching Award winner

#PutPathOnTheMap 
#PathTwitter 
#residentlife

Particular strengths of the University of Utah Department of Pathology Residency Program includes a national reference laboratory owned by the University of Utah (ARUP Laboratories) says Dr. Smock @SmockKristi #PutPathOnTheMap #PathResidency #TwitterPath medicine.utah.edu/pathology/resi…

UofUPathRes's tweet image. Particular strengths of the University of Utah Department of Pathology Residency Program includes a national reference laboratory owned by the University of Utah (ARUP Laboratories) says Dr. Smock 
@SmockKristi #PutPathOnTheMap #PathResidency #TwitterPath

medicine.utah.edu/pathology/resi…

Congratulations @LabFairfax on this award. Your hard work does not go unnoticed 💪🏽👩🏻‍🔬 #PutPathOnTheMap @UofUMandI


No results for "#putpathonthemap"

A huge thank you and congratulations to Michael Balatico, MD our 2021 Resident Teaching Award winner #PutPathOnTheMap #PathTwitter #residentlife

UofUPathRes's tweet image. A huge thank you and congratulations to Michael Balatico, MD our 2021 Resident Teaching Award winner

#PutPathOnTheMap 
#PathTwitter 
#residentlife

Happy #TestTuesday series This finding in the bone marrow is most likely associated with mutation in which gene: a)BRAF b)KIT c)KRAS d)MYD88 @UofUPathology #PathTwitter #PutPathOnTheMap @SmockKristi

UofUPathRes's tweet image. Happy #TestTuesday series

This finding in the bone marrow is most likely associated with mutation in which gene:
a)BRAF
b)KIT
c)KRAS
d)MYD88

@UofUPathology #PathTwitter #PutPathOnTheMap
@SmockKristi

Join us to learn about our Clinical Chemistry Fellowship, one of our many Pathology Fellowships available for PhDs #clinicalchemistry #putpathonthemap Register here: bit.ly/2VenOXj

UofUPathology's tweet image. Join us to learn about our Clinical Chemistry Fellowship, one of our many Pathology Fellowships available for PhDs
#clinicalchemistry #putpathonthemap 

Register here: bit.ly/2VenOXj

Particular strengths of the University of Utah Department of Pathology Residency Program includes a national reference laboratory owned by the University of Utah (ARUP Laboratories) says Dr. Smock @SmockKristi #PutPathOnTheMap #PathResidency #TwitterPath medicine.utah.edu/pathology/resi…

UofUPathRes's tweet image. Particular strengths of the University of Utah Department of Pathology Residency Program includes a national reference laboratory owned by the University of Utah (ARUP Laboratories) says Dr. Smock 
@SmockKristi #PutPathOnTheMap #PathResidency #TwitterPath

medicine.utah.edu/pathology/resi…

Meet Dr. Salika Shakir, she holds the rank of Assistant Professor (Clinical) in the Clinical Pathology Division To read more about her go here: medicine.utah.edu/pathology/news… #TakeOverThursday #PutPathOnTheMap

UofUPathology's tweet image. Meet Dr. Salika Shakir, she holds the rank of Assistant Professor (Clinical) in the Clinical Pathology Division

To read more about her go here: medicine.utah.edu/pathology/news…

#TakeOverThursday
#PutPathOnTheMap

The Department of Pathology is happy to announce the launch of a department-wide Mentoring Program (MP). This is a structured program designed to provide mentoring support and resources to all faculty in the department #PutPathOnTheMap @YuanJi1

UofUPathology's tweet image. The Department of Pathology is happy to announce the launch of a department-wide Mentoring Program (MP). This is a structured program designed to provide mentoring support and resources to all faculty in the department
#PutPathOnTheMap @YuanJi1

Loading...

Something went wrong.


Something went wrong.