#twitterpath search results

Just discovered that my mother thinks ‘Cytology’ is looking only at cytoplasm. My mom thinks I’ve been just looking at free floating cytoplasm for months now. #twitterpath #pathtwitter #pathology #cytology @UTMB_Pathology


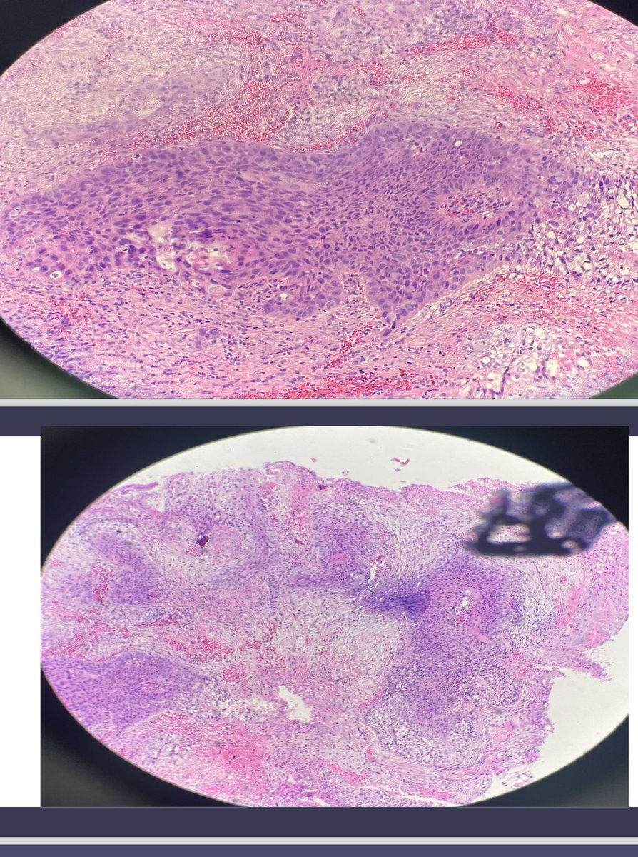
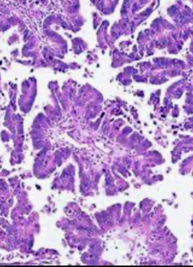
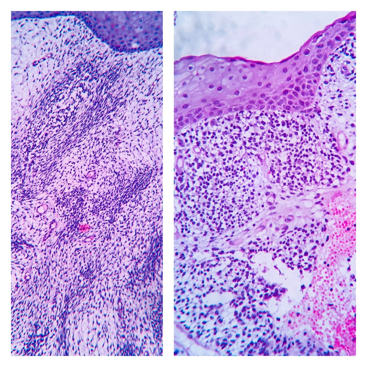
67yo male with polyploid nasal mass. A biopsy was taken. #pathology #twitterpath #headneckpath

EIacovou's tweet image. 67yo male with polyploid nasal mass.  A biopsy was taken. #pathology  #twitterpath #headneckpath
EIacovou's tweet image. 67yo male with polyploid nasal mass.  A biopsy was taken. #pathology  #twitterpath #headneckpath
EIacovou's tweet image. 67yo male with polyploid nasal mass.  A biopsy was taken. #pathology  #twitterpath #headneckpath
EIacovou's tweet image. 67yo male with polyploid nasal mass.  A biopsy was taken. #pathology  #twitterpath #headneckpath

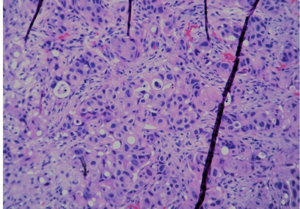
First case of 2023.🥳🥳 35 years female swelling over right maxillary region. 😯 What am I? 🤔 #TwitterPath #PathTwitter #OralPathology #MedTwitter

amnabruno's tweet image. First case of 2023.🥳🥳
35 years female swelling over right maxillary region. 😯
What am I? 🤔
#TwitterPath #PathTwitter #OralPathology #MedTwitter

Incidental cute finding of the day. Station lymph node. H&E tells you the story even before you dig into EMRs. 😆🔬 Think I saw this finding first through #TwitterPath about a year ago (or was it even before that? Please correct me @smlungpathguy if I am wrong 😆).

DrAldehyde's tweet image. Incidental cute finding of the day.

Station lymph node. H&E tells you the story even before you dig into EMRs. 😆🔬

Think I saw this finding first through #TwitterPath about a year ago (or was it even before that? Please correct me @smlungpathguy if I am wrong 😆).
DrAldehyde's tweet image. Incidental cute finding of the day.

Station lymph node. H&E tells you the story even before you dig into EMRs. 😆🔬

Think I saw this finding first through #TwitterPath about a year ago (or was it even before that? Please correct me @smlungpathguy if I am wrong 😆).

Inflammatory fibroid polyp of the gastric antrum. An extremely rare entity that represents 0.1% of gastric polyps. This was localized in the gastric antrum of a 72 year old woman. #pathology #twitterpath

EIacovou's tweet image. Inflammatory fibroid polyp of the gastric antrum.
An extremely rare entity that represents 0.1% of gastric polyps.
This was localized in the gastric antrum of a 72 year old woman. #pathology #twitterpath
EIacovou's tweet image. Inflammatory fibroid polyp of the gastric antrum.
An extremely rare entity that represents 0.1% of gastric polyps.
This was localized in the gastric antrum of a 72 year old woman. #pathology #twitterpath
EIacovou's tweet image. Inflammatory fibroid polyp of the gastric antrum.
An extremely rare entity that represents 0.1% of gastric polyps.
This was localized in the gastric antrum of a 72 year old woman. #pathology #twitterpath
EIacovou's tweet image. Inflammatory fibroid polyp of the gastric antrum.
An extremely rare entity that represents 0.1% of gastric polyps.
This was localized in the gastric antrum of a 72 year old woman. #pathology #twitterpath

40 yo female with vaginal hemorrhage and a protruding mass from the uterine cervix. #pathology #twitterpath

EIacovou's tweet image. 40 yo female with vaginal hemorrhage and a protruding mass from the uterine cervix. #pathology #twitterpath
EIacovou's tweet image. 40 yo female with vaginal hemorrhage and a protruding mass from the uterine cervix. #pathology #twitterpath
EIacovou's tweet image. 40 yo female with vaginal hemorrhage and a protruding mass from the uterine cervix. #pathology #twitterpath

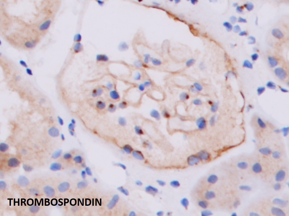
#renalpath #twitterPath #IHC #histopathology #pathology #thrombospondin The perinuclear "dot" positivity for Thrombospondin in normal visceral epithelial cell cytoplasm.. serves a good internal control to check adequacy of staining!!

draalok's tweet image. #renalpath #twitterPath #IHC #histopathology #pathology #thrombospondin The perinuclear "dot" positivity for Thrombospondin in normal visceral epithelial cell cytoplasm.. serves a good internal control to check adequacy of staining!!

36 yo female with an 8cm posterior mediastinal mass.#pathology #twitterpath

EIacovou's tweet image. 36 yo female with an 8cm posterior mediastinal mass.#pathology #twitterpath
EIacovou's tweet image. 36 yo female with an 8cm posterior mediastinal mass.#pathology #twitterpath
EIacovou's tweet image. 36 yo female with an 8cm posterior mediastinal mass.#pathology #twitterpath
EIacovou's tweet image. 36 yo female with an 8cm posterior mediastinal mass.#pathology #twitterpath

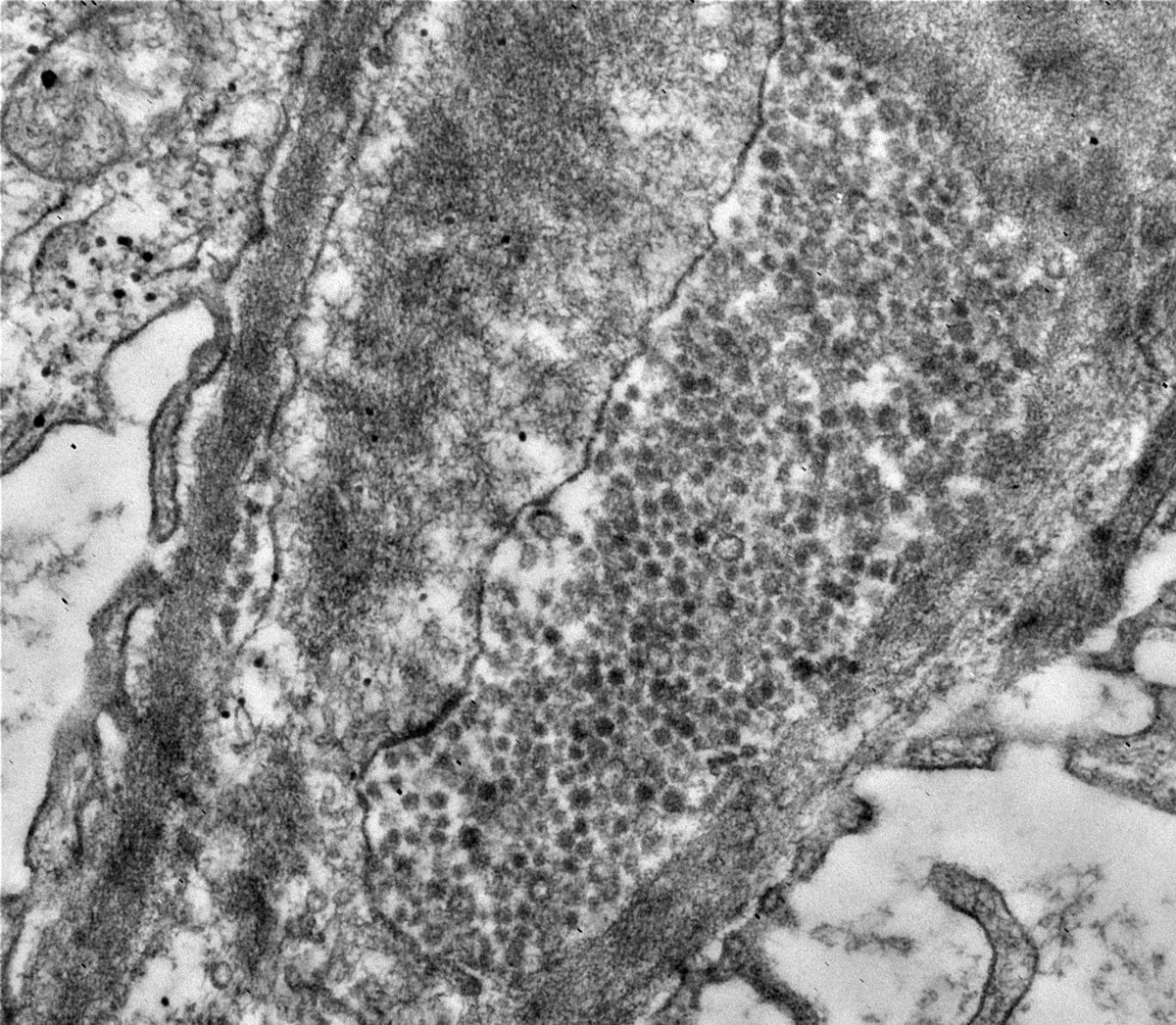
#renalpath #askrenal #TwitterPath #electronmicroscopy #ultrastructure @askrenal Subepithelial spherules: enigmatic structures resembling viral particles.. possibly derived from visceral epithelial cell cytoplasm. Any thoughts on origin & significance?

draalok's tweet image. #renalpath #askrenal #TwitterPath #electronmicroscopy #ultrastructure @askrenal Subepithelial spherules: enigmatic structures resembling viral particles.. possibly derived from visceral epithelial cell cytoplasm. Any thoughts on origin & significance?
draalok's tweet image. #renalpath #askrenal #TwitterPath #electronmicroscopy #ultrastructure @askrenal Subepithelial spherules: enigmatic structures resembling viral particles.. possibly derived from visceral epithelial cell cytoplasm. Any thoughts on origin & significance?
draalok's tweet image. #renalpath #askrenal #TwitterPath #electronmicroscopy #ultrastructure @askrenal Subepithelial spherules: enigmatic structures resembling viral particles.. possibly derived from visceral epithelial cell cytoplasm. Any thoughts on origin & significance?
draalok's tweet image. #renalpath #askrenal #TwitterPath #electronmicroscopy #ultrastructure @askrenal Subepithelial spherules: enigmatic structures resembling viral particles.. possibly derived from visceral epithelial cell cytoplasm. Any thoughts on origin & significance?

An easy one to end the week #GIPath #TwitterPath

AMColinoG's tweet image. An easy one to end the week #GIPath #TwitterPath

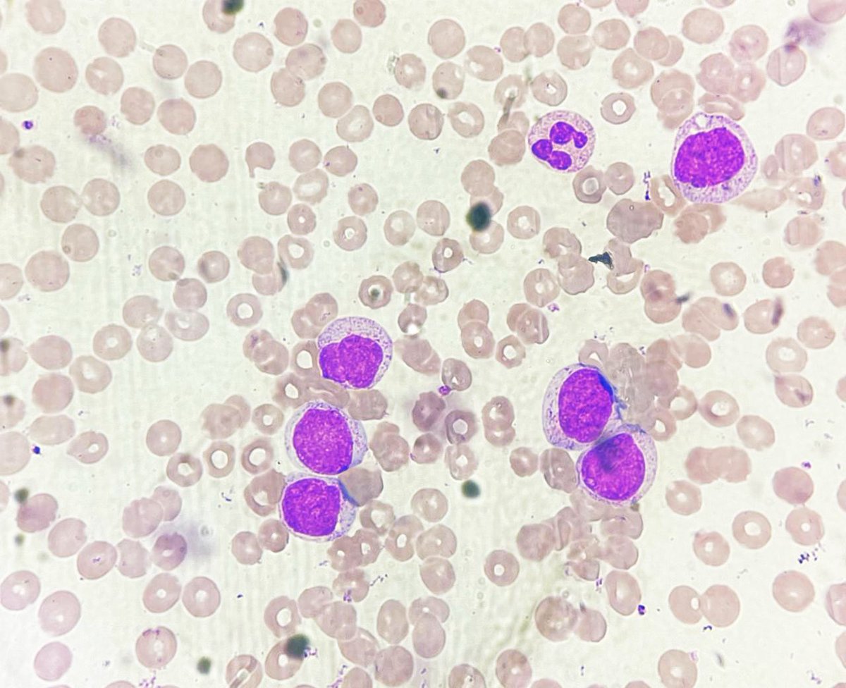
26 year old male with fever and generalised weakness for 05 days presents with a total leukocyte count of 88,500. He is supposed to get married next week! #PathTwitter #twitterpath #pathresident #pathology #hematology #hematopat #hemepath #diagnosis #leukemia

NidhinMd's tweet image. 26 year old male with fever and generalised weakness for 05 days presents with a total leukocyte count of 88,500. He is supposed to get married next week! #PathTwitter #twitterpath #pathresident #pathology #hematology #hematopat #hemepath #diagnosis #leukemia
NidhinMd's tweet image. 26 year old male with fever and generalised weakness for 05 days presents with a total leukocyte count of 88,500. He is supposed to get married next week! #PathTwitter #twitterpath #pathresident #pathology #hematology #hematopat #hemepath #diagnosis #leukemia
NidhinMd's tweet image. 26 year old male with fever and generalised weakness for 05 days presents with a total leukocyte count of 88,500. He is supposed to get married next week! #PathTwitter #twitterpath #pathresident #pathology #hematology #hematopat #hemepath #diagnosis #leukemia

📌Apocrine CA, breast ➡️Tumor cells have distinct cell margins, abundant acidophilic cytoplasm with eosinophilic granules, central to eccentric nuclei with prominent nucleoli ➡️Similar/ slightly better prognosis as inv ductal ca ➡️Mostly triple negative #TwitterPath #MedTwitter

amnabruno's tweet image. 📌Apocrine CA, breast
➡️Tumor cells have distinct cell margins, abundant acidophilic cytoplasm with eosinophilic granules, central to eccentric nuclei with prominent nucleoli
➡️Similar/ slightly better prognosis as inv ductal ca
➡️Mostly triple negative
#TwitterPath #MedTwitter

A formal, international, multi-institutional pathology study was initiated and coordinated entirely online via Twitter #EBUSTwitter Full @ArchivesPath article here: doi.org/10.5858/arpa.2… @smlungpathguy @lara_pijuan #twitterpath #SoMe

instapathbio's tweet image. A formal, international, multi-institutional pathology study was initiated and coordinated entirely online via Twitter #EBUSTwitter Full @ArchivesPath article here: doi.org/10.5858/arpa.2… @smlungpathguy @lara_pijuan #twitterpath #SoMe

A keratin pearl of a Seb K being torn apart during processing. #pathology #twitterpath #dermpath #pathart

HibTheSlider's tweet image. A keratin pearl of a Seb K being torn apart during processing. 
#pathology #twitterpath #dermpath #pathart
HibTheSlider's tweet image. A keratin pearl of a Seb K being torn apart during processing. 
#pathology #twitterpath #dermpath #pathart

3 year old male, cystic swelling left ear. ⁉️Solid nests of basaloid cells undergoing abrupt trichilemmal-type keratinization ❓️What am I? #PathTwitter #TwitterPath #AnatomicPathology

amnabruno's tweet image. 3 year old male, cystic swelling left ear. 
⁉️Solid nests of basaloid cells undergoing abrupt trichilemmal-type keratinization
❓️What am I? 
#PathTwitter #TwitterPath #AnatomicPathology

Hey #twitterPath, 85/F. Gastric Fundal Mass What's the diagnosis here?

joemdoc's tweet image. Hey #twitterPath, 85/F. Gastric Fundal Mass
What's the diagnosis here?
joemdoc's tweet image. Hey #twitterPath, 85/F. Gastric Fundal Mass
What's the diagnosis here?
joemdoc's tweet image. Hey #twitterPath, 85/F. Gastric Fundal Mass
What's the diagnosis here?

New Publication rdcu.be/e38PP Clinicopathological Spectrum of Head and Neck Mucoepidermoid Carcinoma: A Three-case Series #springerpublication #headandneck #twitterpath


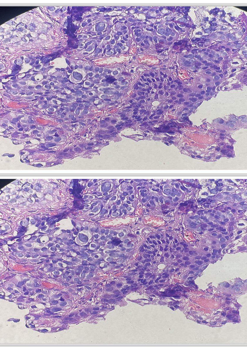
Bladder mass , different biopsies in the background of bilharzial cystitis #pathology #GUpath #twitterpath

LFpath's tweet image. Bladder mass , different biopsies in the background of bilharzial cystitis #pathology #GUpath #twitterpath
LFpath's tweet image. Bladder mass , different biopsies in the background of bilharzial cystitis #pathology #GUpath #twitterpath
LFpath's tweet image. Bladder mass , different biopsies in the background of bilharzial cystitis #pathology #GUpath #twitterpath
LFpath's tweet image. Bladder mass , different biopsies in the background of bilharzial cystitis #pathology #GUpath #twitterpath

Thanks Dr Vijay. I look forward to re-engaging on sharing and discussing with you et al interesting case on #TwitterPath 🤗


What is your diagnosis based on the EM image provided? #DiagnoseThis #RenalPath #TwitterPath

arkanalabs's tweet image. What is your diagnosis based on the EM image provided? #DiagnoseThis #RenalPath #TwitterPath

Bueno un meet and greet con el #TwitterPath


Happy to share this intriguing case of EBV+ cutaneous extranodal NK/T lymphoma that showed a really indolent behaviour: another confirmation of how unpredictable cutaneous lymphomas can be! #hemepath #twitterpath


In Palm Springs California; getting ready to show cases for USCAP Interactive Microscopy Sessions. #USCAP #twitterpath #pathology@LSUHS

ZhaiJim's tweet image. In Palm Springs California; getting ready to show cases for USCAP Interactive Microscopy Sessions. #USCAP #twitterpath #pathology ⁦@LSUHS⁩

💊45 years old, female 💉 FNAC Thyroid ☢️ TIRADS V Lesion on Ultrasound. #TwitterPath #MedTwitter #SurgicalPathology #Histopathology #Thyroid

amnabruno's tweet image. 💊45 years old, female
💉 FNAC Thyroid
☢️ TIRADS V Lesion on Ultrasound. 
#TwitterPath #MedTwitter #SurgicalPathology #Histopathology #Thyroid

🐥Early Bird Registration Ends Aug 31st!🐥 Don't miss your chance to register for an exciting time at the OAP Annual Conference! 🧬🔬 #TwitterPath ontariopathologists.org/oap-events/oap…


3 year old male, cystic swelling left ear. ⁉️Solid nests of basaloid cells undergoing abrupt trichilemmal-type keratinization ❓️What am I? #PathTwitter #TwitterPath #AnatomicPathology

amnabruno's tweet image. 3 year old male, cystic swelling left ear. 
⁉️Solid nests of basaloid cells undergoing abrupt trichilemmal-type keratinization
❓️What am I? 
#PathTwitter #TwitterPath #AnatomicPathology

No results for "#twitterpath"

Eyelid metastasis as the initial presentation of Renal cell carcinoma. 59 y/o M presented with a fast growing ulcerated nodule on the upper eyelid. Clinically chalazion or pyogenic granuloma. #twitterpath #Pathology

EIacovou's tweet image. Eyelid metastasis as the initial presentation of Renal cell carcinoma.
59 y/o M presented with a fast growing ulcerated nodule on the upper eyelid. Clinically chalazion or pyogenic granuloma. #twitterpath #Pathology
EIacovou's tweet image. Eyelid metastasis as the initial presentation of Renal cell carcinoma.
59 y/o M presented with a fast growing ulcerated nodule on the upper eyelid. Clinically chalazion or pyogenic granuloma. #twitterpath #Pathology

40 yo female with vaginal hemorrhage and a protruding mass from the uterine cervix. #pathology #twitterpath

EIacovou's tweet image. 40 yo female with vaginal hemorrhage and a protruding mass from the uterine cervix. #pathology #twitterpath
EIacovou's tweet image. 40 yo female with vaginal hemorrhage and a protruding mass from the uterine cervix. #pathology #twitterpath
EIacovou's tweet image. 40 yo female with vaginal hemorrhage and a protruding mass from the uterine cervix. #pathology #twitterpath

Can a gross specimen give a more obvious diagnosis? Pelvic lymph node mass in a 55 year old #twitterpath #PathTwitter # #pathresident #grosspath #diagnosis #histopathology

NidhinMd's tweet image. Can a gross specimen give a more obvious diagnosis? Pelvic lymph node mass in a 55 year old #twitterpath #PathTwitter # #pathresident #grosspath #diagnosis #histopathology

36 yo female with an 8cm posterior mediastinal mass.#pathology #twitterpath

EIacovou's tweet image. 36 yo female with an 8cm posterior mediastinal mass.#pathology #twitterpath
EIacovou's tweet image. 36 yo female with an 8cm posterior mediastinal mass.#pathology #twitterpath
EIacovou's tweet image. 36 yo female with an 8cm posterior mediastinal mass.#pathology #twitterpath
EIacovou's tweet image. 36 yo female with an 8cm posterior mediastinal mass.#pathology #twitterpath

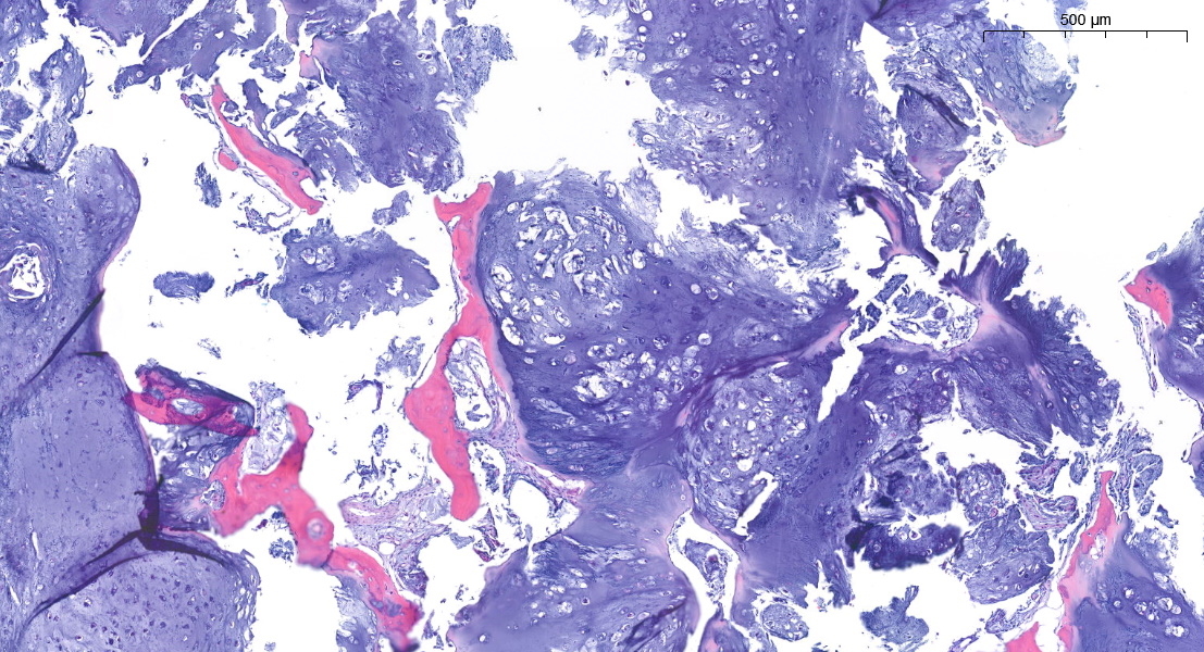
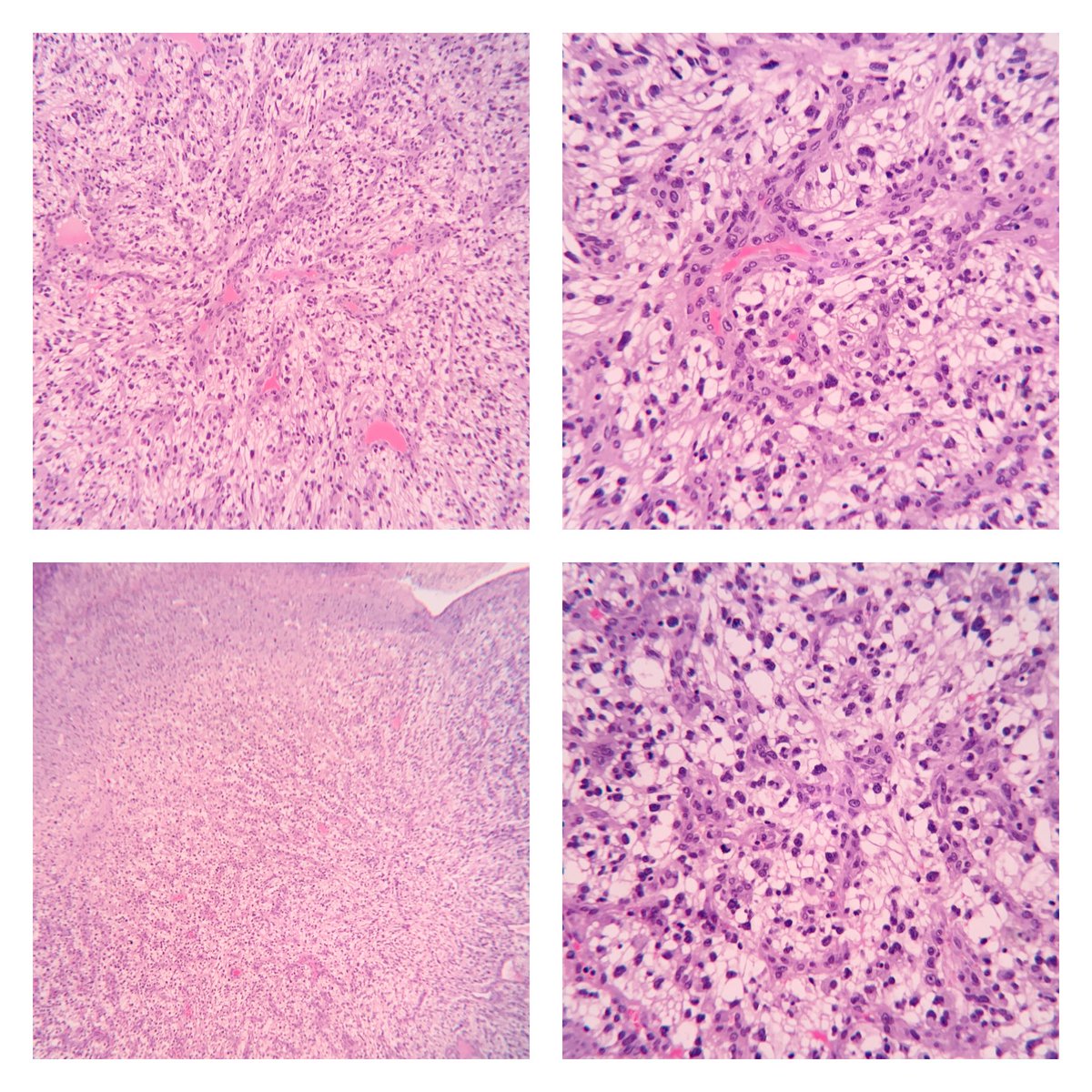
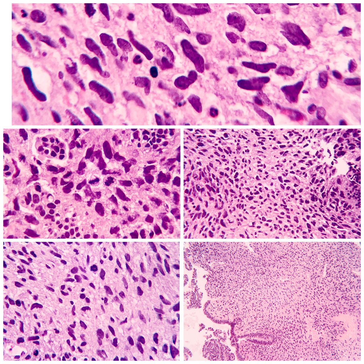
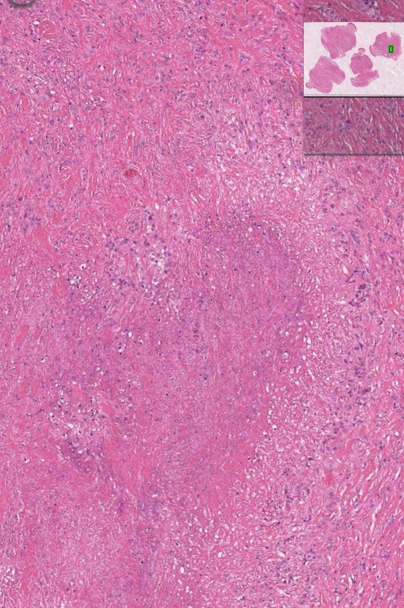
A rare case of chordoma of the base of the skull/clivus presenting as nasopharyngeal mass. No brachyury antibody available. #pathology #twitterpath

EIacovou's tweet image. A rare case of chordoma of the base of the skull/clivus presenting as nasopharyngeal mass. No brachyury antibody available. #pathology #twitterpath
EIacovou's tweet image. A rare case of chordoma of the base of the skull/clivus presenting as nasopharyngeal mass. No brachyury antibody available. #pathology #twitterpath

67yo male with polyploid nasal mass. A biopsy was taken. #pathology #twitterpath #headneckpath

EIacovou's tweet image. 67yo male with polyploid nasal mass.  A biopsy was taken. #pathology  #twitterpath #headneckpath
EIacovou's tweet image. 67yo male with polyploid nasal mass.  A biopsy was taken. #pathology  #twitterpath #headneckpath
EIacovou's tweet image. 67yo male with polyploid nasal mass.  A biopsy was taken. #pathology  #twitterpath #headneckpath
EIacovou's tweet image. 67yo male with polyploid nasal mass.  A biopsy was taken. #pathology  #twitterpath #headneckpath

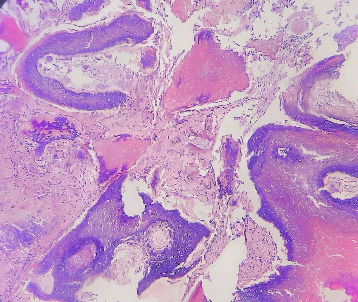
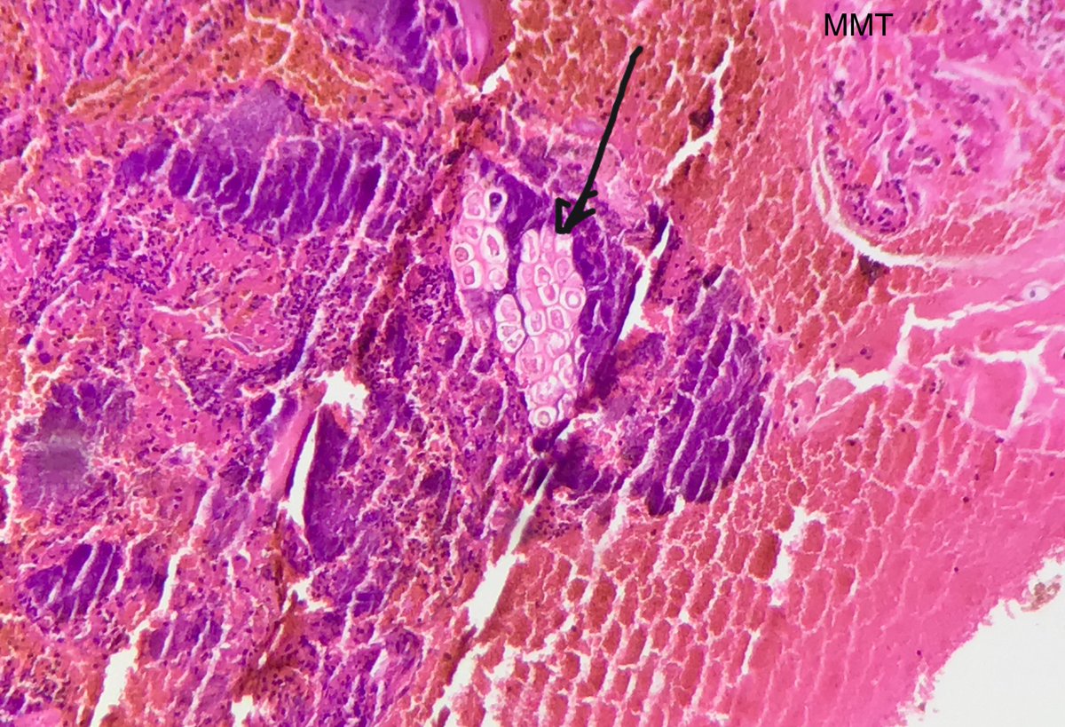
#twitterpath 55/F, proliferative lesion in buccal mucosa. What are the structures at arrows.

dhp_devendra's tweet image. #twitterpath 55/F, proliferative lesion in buccal mucosa. What are the structures at arrows.
dhp_devendra's tweet image. #twitterpath 55/F, proliferative lesion in buccal mucosa. What are the structures at arrows.
dhp_devendra's tweet image. #twitterpath 55/F, proliferative lesion in buccal mucosa. What are the structures at arrows.

💊45 years old, female 💉 FNAC Thyroid ☢️ TIRADS V Lesion on Ultrasound. #TwitterPath #MedTwitter #SurgicalPathology #Histopathology #Thyroid

amnabruno's tweet image. 💊45 years old, female
💉 FNAC Thyroid
☢️ TIRADS V Lesion on Ultrasound. 
#TwitterPath #MedTwitter #SurgicalPathology #Histopathology #Thyroid

Inflammatory fibroid polyp of the gastric antrum. An extremely rare entity that represents 0.1% of gastric polyps. This was localized in the gastric antrum of a 72 year old woman. #pathology #twitterpath

EIacovou's tweet image. Inflammatory fibroid polyp of the gastric antrum.
An extremely rare entity that represents 0.1% of gastric polyps.
This was localized in the gastric antrum of a 72 year old woman. #pathology #twitterpath
EIacovou's tweet image. Inflammatory fibroid polyp of the gastric antrum.
An extremely rare entity that represents 0.1% of gastric polyps.
This was localized in the gastric antrum of a 72 year old woman. #pathology #twitterpath
EIacovou's tweet image. Inflammatory fibroid polyp of the gastric antrum.
An extremely rare entity that represents 0.1% of gastric polyps.
This was localized in the gastric antrum of a 72 year old woman. #pathology #twitterpath
EIacovou's tweet image. Inflammatory fibroid polyp of the gastric antrum.
An extremely rare entity that represents 0.1% of gastric polyps.
This was localized in the gastric antrum of a 72 year old woman. #pathology #twitterpath

📌Rheumatoid nodule Fibrin deposition & necrobiosis is often seen in center of nodule surrounded by well developed palisading of histiocytes, granulation tissue, lymphs, plasma cells, eosinophils, variable giant cells, fibrosis, occ giant cells #TwitterPath #MedTwitter

amnabruno's tweet image. 📌Rheumatoid nodule 
Fibrin deposition & necrobiosis is often seen in center of nodule surrounded by well developed palisading of histiocytes, granulation tissue, lymphs, plasma cells, eosinophils, variable giant cells, fibrosis, occ giant cells
#TwitterPath #MedTwitter

Bizzare multi nucleated plasma cell in the bone marrow aspirate #PathTwitter #twitterpath #pathresident #pathology #hemepath #hematology

NidhinMd's tweet image. Bizzare multi nucleated plasma cell in the bone marrow aspirate #PathTwitter #twitterpath #pathresident #pathology #hemepath #hematology

28 year old raped, Hyderabad again? 5th such incident in 15 days, I believe. You can expect from a responsible Pinki is just a Tweet from #TweetVeers following just a #TwitterPath

daramonigirish's tweet image. 28 year old raped, Hyderabad again? 5th such incident in 15 days, I believe.
You can expect from a responsible Pinki is just a Tweet from #TweetVeers following just a #TwitterPath

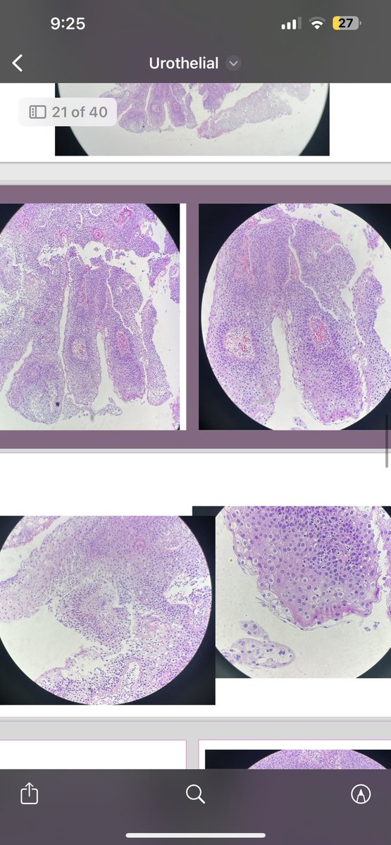
Paris category for urothelial carcinoma #MedTwitter #TwitterPath #GUPath

amnabruno's tweet image. Paris category for urothelial carcinoma
#MedTwitter #TwitterPath #GUPath

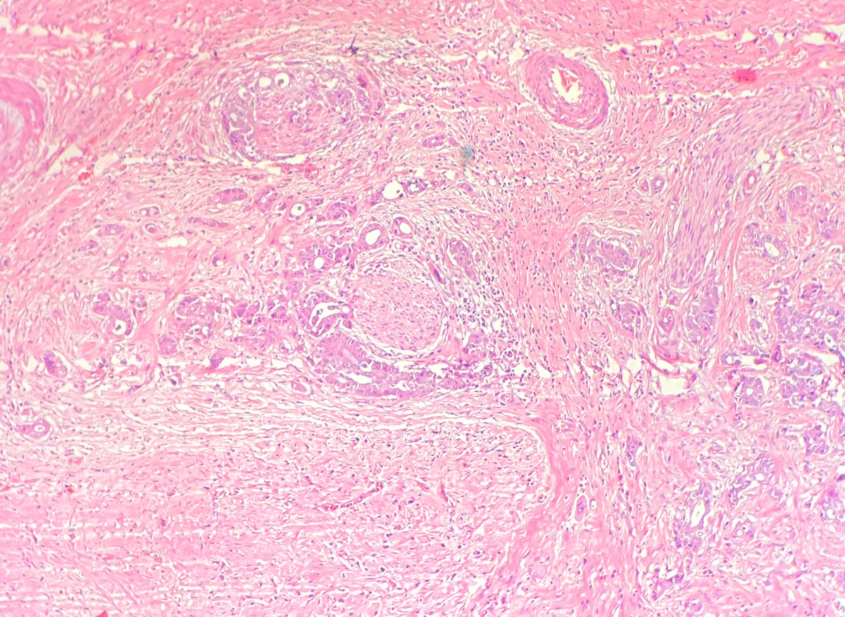
Spotted this wretched tumour in the endometrium of a poor 60 year old lady #pathology #twitterpath #gynaecpathology

docnax's tweet image. Spotted this wretched tumour in the endometrium of a poor 60 year old lady #pathology #twitterpath #gynaecpathology

Happy Monday, #TwitterPath universe! Revisit our #FreeAccess supplement, "The Genomic Revolution: The critical role of cytopathology in patient-centered care and personalized medicine" onlinelibrary.wiley.com/toc/19346638/1…

CancerCytopath's tweet image. Happy Monday, #TwitterPath universe! Revisit our #FreeAccess supplement, "The Genomic Revolution: The critical role of cytopathology in patient-centered care and personalized medicine" onlinelibrary.wiley.com/toc/19346638/1…

Loading...

Something went wrong.


Something went wrong.