#rotablation kết quả tìm kiếm

#Rotablation #Angioplasty: A great pleasure doing #Rotablation with the Great #Teacher Dr #Godin. Rotablation uses a tiny drill with a #diamond-tipped burr, powered by compressed air to break up calcified plaque (hard block) that is clogging the coronary artery. Breaking up

walinjom's tweet image. #Rotablation #Angioplasty:

A great pleasure doing #Rotablation with the Great #Teacher Dr #Godin.

Rotablation uses a tiny drill with a #diamond-tipped burr, powered by compressed air to break up calcified plaque (hard block) that is clogging the coronary artery.

Breaking up

این صدای دریله که داره رگهای قلب رو باز میکنه😁. #Rotablation for coronary artery stenosis


Thanks @mmamas1973 for another great demonstration for EU physicians on the benefits of a complementary approach using #rotablation and #IntravascularLithotripsy! ISI bit.ly/2s7zs7j #Rotatripsy

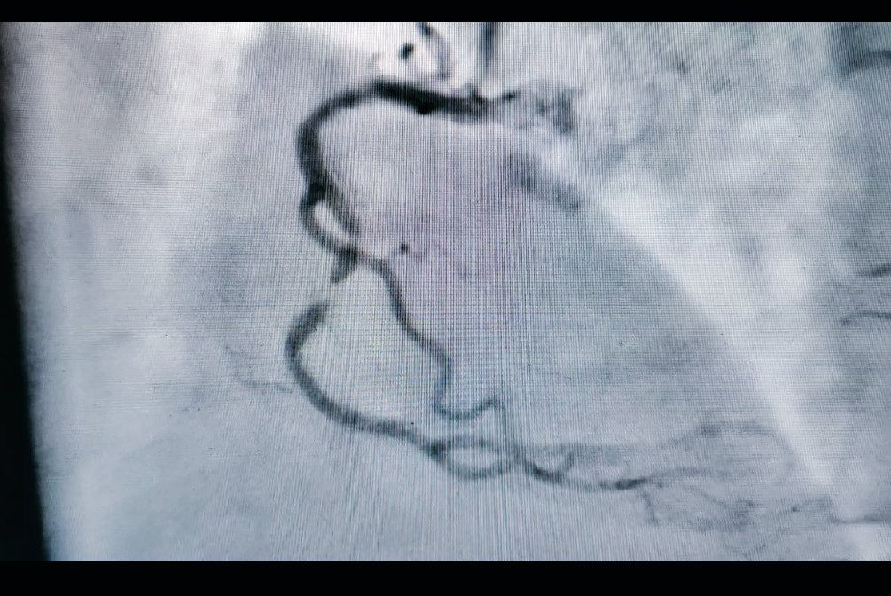
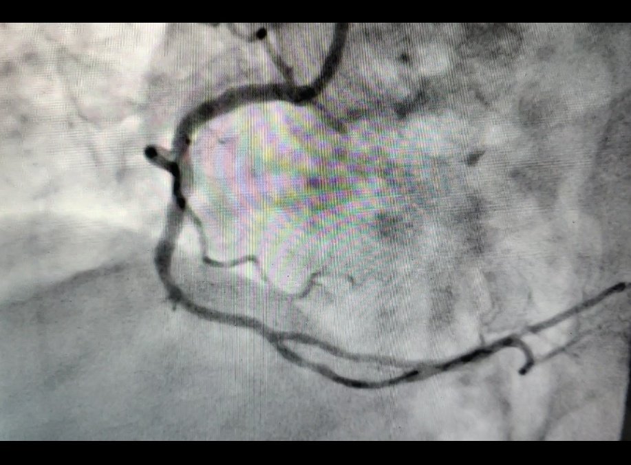
4. Final result (further pd with 2.75nc baloon distally) #rotatripsy. Important to image post rotablation before stent, as may not have appreciated napkin Ca persistence after rotablation. @AntoniousAttall @hect2701 @jmahmed @mirvatalasnag @MarcoJe80135689 @naderjo @SukhNijjer

mmamas1973's tweet image. 4. Final result (further pd with 2.75nc baloon distally) #rotatripsy. Important to image post rotablation before stent, as may not have appreciated napkin Ca persistence after rotablation. @AntoniousAttall @hect2701 @jmahmed @mirvatalasnag @MarcoJe80135689 @naderjo @SukhNijjer
mmamas1973's tweet image. 4. Final result (further pd with 2.75nc baloon distally) #rotatripsy. Important to image post rotablation before stent, as may not have appreciated napkin Ca persistence after rotablation. @AntoniousAttall @hect2701 @jmahmed @mirvatalasnag @MarcoJe80135689 @naderjo @SukhNijjer


You know what’s coming next when NC 🎈 at high pressure does this....#rotablation #ACCFIT


📷Have a look at this @EuroInterventio image recently published to learn more about the first successful report of #rotablation of a displaced calcium spike blocking a mechanical prosthetic leaflet👉 bit.ly/3LHVwwG

PCRonline's tweet image. 📷Have a look at this @EuroInterventio image recently published to learn more about the first successful report of #rotablation of a displaced calcium spike blocking a mechanical prosthetic leaflet👉 bit.ly/3LHVwwG

#EuroPCR @PCRonline @JEscaned & Dr Gonzalo👠 Post CABG & heavily calcified/angulated LCX IVUS (may not cross) #Rotablation to create channel Avoid wire bias use larger not smaller burr #IVL (won’t cross initially) then definitive deuvlking w #IVL

mirvatalasnag's tweet image. #EuroPCR @PCRonline @JEscaned & Dr Gonzalo👠
Post CABG & heavily calcified/angulated LCX

IVUS (may not cross)
#Rotablation to create channel
Avoid wire bias use larger not smaller burr 
#IVL (won’t cross initially) then definitive deuvlking w #IVL
mirvatalasnag's tweet image. #EuroPCR @PCRonline @JEscaned & Dr Gonzalo👠
Post CABG & heavily calcified/angulated LCX

IVUS (may not cross)
#Rotablation to create channel
Avoid wire bias use larger not smaller burr 
#IVL (won’t cross initially) then definitive deuvlking w #IVL

Eternal experts saved the life of a patient with severely calcified blockage in the aorta using Rotablation and Intravascular Lithotripsy techniques. To know more, call us at +91 9549158888 or log in to: bit.ly/3IFrWUG. #Rotablation #EternalHospital #EternalSanganer

eternalheart_j's tweet image. Eternal experts saved the life of a patient with severely calcified blockage in the aorta using Rotablation and Intravascular Lithotripsy techniques. 
To know more, call us at +91 9549158888 or  log in to: bit.ly/3IFrWUG.
#Rotablation #EternalHospital  #EternalSanganer

Thanks to Mamas Mamas for this cardiovascular outcome research pearl: "An annual volume of <4 ROTA-PCI was associated with increased major adverse cardiac and cerebral events, with 55% not exceeding this threshold" jacc.org/doi/10.1016/j.… #rotablator #rotablation @mmamas1973

gbiondizoccai's tweet image. Thanks to Mamas Mamas for this cardiovascular outcome research pearl:
&quot;An annual volume of &amp;lt;4 ROTA-PCI was associated with increased major adverse cardiac and cerebral events, with 55% not exceeding this threshold&quot;
jacc.org/doi/10.1016/j.…
#rotablator #rotablation
@mmamas1973

Are you interested in calcium treatment? Join us in two days at #MLCTO2023 to discover the new ROTAWIRE™ Drive at our booth or learn on-demand with our #rotablation masterclasses: bit.ly/43Zx4gf #BSCEMEA

BSC_EU_Heart's tweet image. Are you interested in calcium treatment? Join us in two days at #MLCTO2023 to discover the new ROTAWIRE™ Drive at our booth or learn on-demand with our #rotablation masterclasses: bit.ly/43Zx4gf

#BSCEMEA

Great example for “Small is beautiful” Use 5F guide directly for peripheral #rotablation instead of guide extension in larger guide. Let us invite @Laserrman to join eurovasc.com #EuroVASC @GregorySgueglia @kaschenke #slenderclubjapan #radialfirst #DRA

stefan_harb's tweet image. Great example for
“Small is beautiful”

Use 5F guide directly 
for peripheral #rotablation
instead of guide extension
in larger guide.

Let us invite @Laserrman 
to join eurovasc.com

#EuroVASC @GregorySgueglia @kaschenke 
#slenderclubjapan #radialfirst #DRA
stefan_harb's tweet image. Great example for
“Small is beautiful”

Use 5F guide directly 
for peripheral #rotablation
instead of guide extension
in larger guide.

Let us invite @Laserrman 
to join eurovasc.com

#EuroVASC @GregorySgueglia @kaschenke 
#slenderclubjapan #radialfirst #DRA

#rota #calcium #rotablator The DELIVER Technique: Deep Engagement of Guide or ChiLd-guIde Catheter for Burr DeliVEry and Rotational Atherectomy | JACC: Case Reports jacc.org/doi/10.1016/j.…

Laserrman's tweet image. #rota #calcium
 #rotablator
The DELIVER Technique: Deep Engagement of Guide or ChiLd-guIde Catheter for Burr DeliVEry and Rotational Atherectomy | JACC: Case Reports jacc.org/doi/10.1016/j.…


Educational calcium Session by Nicola, Stelios, and @KambisMashayek1 I especially liked Kambis’ suggestion to rotate stiff wire for several minutes to enlarge space and enable #Rotablation wire to follow that path if in hard long true lumen plaque

#EIJonAir 18 - Heavily calcified CTOs



The other approach is a rotablator which is basically a diamond coated drill with which you can drill into the calcium and clear blockages. But it cannot be used in acute heart attacks. More for chronic blockages. #Rotablation #MedTwitter #cardiotwitter

DrDeepakKrishn1's tweet image. The other approach is a rotablator which is basically a diamond coated drill with which you can drill into the calcium and clear blockages. But it cannot be used in acute heart attacks. More for chronic blockages. #Rotablation #MedTwitter #cardiotwitter
DrDeepakKrishn1's tweet image. The other approach is a rotablator which is basically a diamond coated drill with which you can drill into the calcium and clear blockages. But it cannot be used in acute heart attacks. More for chronic blockages. #Rotablation #MedTwitter #cardiotwitter
DrDeepakKrishn1's tweet image. The other approach is a rotablator which is basically a diamond coated drill with which you can drill into the calcium and clear blockages. But it cannot be used in acute heart attacks. More for chronic blockages. #Rotablation #MedTwitter #cardiotwitter

Enjoy ! The predicted wave of post-COVID19 CHIP patients (due to late presentation) will necessitate the use of multiple strategies for #PCI #Rotablation #IVL #IVUS #OCT


NEWS: Waiting times at #Torbay Hospital have been cut for those with a heart condition thanks to a new life-saving #rotablation procedure by @TorbaySDevonNHS thebreeze.com/southdevon/new…

GHRDevon's tweet image. NEWS: Waiting times at #Torbay Hospital have been cut for those with a heart condition thanks to a new life-saving #rotablation procedure by @TorbaySDevonNHS
 thebreeze.com/southdevon/new…

Great live #PCI case today by @MohanedEgred T-stenting LM bifurcation using #IVUS & #rotablation #CHIP @ammozid Learning messages: 🤔planning is key 🔎use all available info from previous procedures 🎯Keep it simple

SulemanAktaa's tweet image. Great live #PCI case today by @MohanedEgred T-stenting LM bifurcation using #IVUS &amp;amp; #rotablation 
#CHIP @ammozid 
 Learning messages:
🤔planning is key 
🔎use all available info from previous procedures
 🎯Keep it simple
SulemanAktaa's tweet image. Great live #PCI case today by @MohanedEgred T-stenting LM bifurcation using #IVUS &amp;amp; #rotablation 
#CHIP @ammozid 
 Learning messages:
🤔planning is key 
🔎use all available info from previous procedures
 🎯Keep it simple

Great example of a #rotablation one of my bosses did. 3 rocks of calcium in the RCA smashed into smithereens and then 2 x overlapping DES to proximal and mid vessel #CardioEd

Dr_Connolly's tweet image. Great example of a #rotablation one of my bosses did. 3 rocks of calcium in the RCA smashed into smithereens and then 2 x overlapping DES to proximal and mid vessel #CardioEd
Dr_Connolly's tweet image. Great example of a #rotablation one of my bosses did. 3 rocks of calcium in the RCA smashed into smithereens and then 2 x overlapping DES to proximal and mid vessel #CardioEd

Severely calcified coronary arteries require advanced precision. Rotablation modifies rigid plaque using a diamond-tipped device, enabling optimal stent expansion and restoring smooth blood flow in complex coronary artery disease. #Rotablation #InterventionalCardiology


TransCaval Impella TVD PCI, with seldomly seen type 2 closure closed with Aortic cover stenting LVEF 15-20%(on inotrope), severe PVD with bilateral AKA, bilateral femorals and axillary arteries 2-3mm #Rotablation to LAD+RCA #OrbitalArterectomy to LCx


A stone in the ostium of the RCA…. #Rotablation #Shockwave #DCB Do you think that should be the appropriate treatment? Please do not comment on CABG indication. Thanks @Boston @Shockwave @Medtronic


When arteries are too calcified for stents, Rotational Atherectomy (Rotablation) becomes essential. 🫀 This specialized technique restores blood flow in severe cases, especially crucial for South Asians at higher risk. 🎥 Watch the video #Rotablation #HeartHealth


Sequential rotablation for calcified tandem right coronary artery lesions with guide extension assistance Full Article - journals.lww.com/mjm/fulltext/2… #rotablation #coronaryartery #journals #intervention


Great example for “Small is beautiful” Use 5F guide directly for peripheral #rotablation instead of guide extension in larger guide. Let us invite @Laserrman to join eurovasc.com #EuroVASC @GregorySgueglia @kaschenke #slenderclubjapan #radialfirst #DRA

stefan_harb's tweet image. Great example for
“Small is beautiful”

Use 5F guide directly 
for peripheral #rotablation
instead of guide extension
in larger guide.

Let us invite @Laserrman 
to join eurovasc.com

#EuroVASC @GregorySgueglia @kaschenke 
#slenderclubjapan #radialfirst #DRA
stefan_harb's tweet image. Great example for
“Small is beautiful”

Use 5F guide directly 
for peripheral #rotablation
instead of guide extension
in larger guide.

Let us invite @Laserrman 
to join eurovasc.com

#EuroVASC @GregorySgueglia @kaschenke 
#slenderclubjapan #radialfirst #DRA

#rota #calcium #rotablator The DELIVER Technique: Deep Engagement of Guide or ChiLd-guIde Catheter for Burr DeliVEry and Rotational Atherectomy | JACC: Case Reports jacc.org/doi/10.1016/j.…

Laserrman's tweet image. #rota #calcium
 #rotablator
The DELIVER Technique: Deep Engagement of Guide or ChiLd-guIde Catheter for Burr DeliVEry and Rotational Atherectomy | JACC: Case Reports jacc.org/doi/10.1016/j.…


"Best PCI Case: High-Stakes LAD Intervention!" 🚀💥 Rotablation through a calcified LAD, microcatheter finesse, anchor balloon and precision stenting—every step matters! Which microcatheter is your go-to for complex lesions? #CHIP #Rotablation #PCI #Intervention #BCISACI

TzolosEvangelos's tweet image. &quot;Best PCI Case: High-Stakes LAD Intervention!&quot; 🚀💥 Rotablation through a calcified LAD, microcatheter finesse, anchor balloon and precision stenting—every step matters! Which microcatheter is your go-to for complex lesions? #CHIP #Rotablation #PCI #Intervention #BCISACI

Beautiful case . From several cases I get the impression #HDR enables the #notipXT to pass calcified lesions true to true that then require #rotablation. The #notipXT ‘s ease of passing may let us underestimate tough lesions.


And I am looking forward to the forward shocking #ShockWave Javelin device. Maybe no more #Rotablation needed then …


Không có kết quả nào cho "#rotablation"

Great complex calcified mLAD lesion treated with #rotablation and awesome use of #OCT before and after stenting by Dr Bezerra in a live Case from ⁦@UHhospitals⁩ ⁦@cvinnovations⁩ ⁦@shishem

FarshadForouz's tweet image. Great complex calcified mLAD lesion treated with #rotablation and awesome use of #OCT before and after stenting by Dr Bezerra in a live Case from ⁦@UHhospitals⁩ ⁦@cvinnovations⁩ ⁦@shishem⁩
FarshadForouz's tweet image. Great complex calcified mLAD lesion treated with #rotablation and awesome use of #OCT before and after stenting by Dr Bezerra in a live Case from ⁦@UHhospitals⁩ ⁦@cvinnovations⁩ ⁦@shishem⁩
FarshadForouz's tweet image. Great complex calcified mLAD lesion treated with #rotablation and awesome use of #OCT before and after stenting by Dr Bezerra in a live Case from ⁦@UHhospitals⁩ ⁦@cvinnovations⁩ ⁦@shishem⁩
FarshadForouz's tweet image. Great complex calcified mLAD lesion treated with #rotablation and awesome use of #OCT before and after stenting by Dr Bezerra in a live Case from ⁦@UHhospitals⁩ ⁦@cvinnovations⁩ ⁦@shishem⁩

Eternal experts saved the life of a patient with severely calcified blockage in the aorta using Rotablation and Intravascular Lithotripsy techniques. To know more, call us at +91 9549158888 or log in to: bit.ly/3IFrWUG. #Rotablation #EternalHospital #EternalSanganer

eternalheart_j's tweet image. Eternal experts saved the life of a patient with severely calcified blockage in the aorta using Rotablation and Intravascular Lithotripsy techniques. 
To know more, call us at +91 9549158888 or  log in to: bit.ly/3IFrWUG.
#Rotablation #EternalHospital  #EternalSanganer

After successfully finishing our complex coronary workshop on #Rotablation at SRIHER. ⁦⁦@TRMuralidharan1⁩ ⁦@pmanokar⁩ ⁦⁦@BSCCardiology⁩⁦@PCRonline⁩ ⁦@ACCinTouch⁩ ⁦@SCAI⁩. Next workshop in the month of October.

BoopathyCardio's tweet image. After successfully finishing our complex coronary workshop on #Rotablation at SRIHER. ⁦⁦@TRMuralidharan1⁩ ⁦@pmanokar⁩ ⁦⁦@BSCCardiology⁩⁦@PCRonline⁩ ⁦@ACCinTouch⁩ ⁦@SCAI⁩. Next workshop in the month of October.

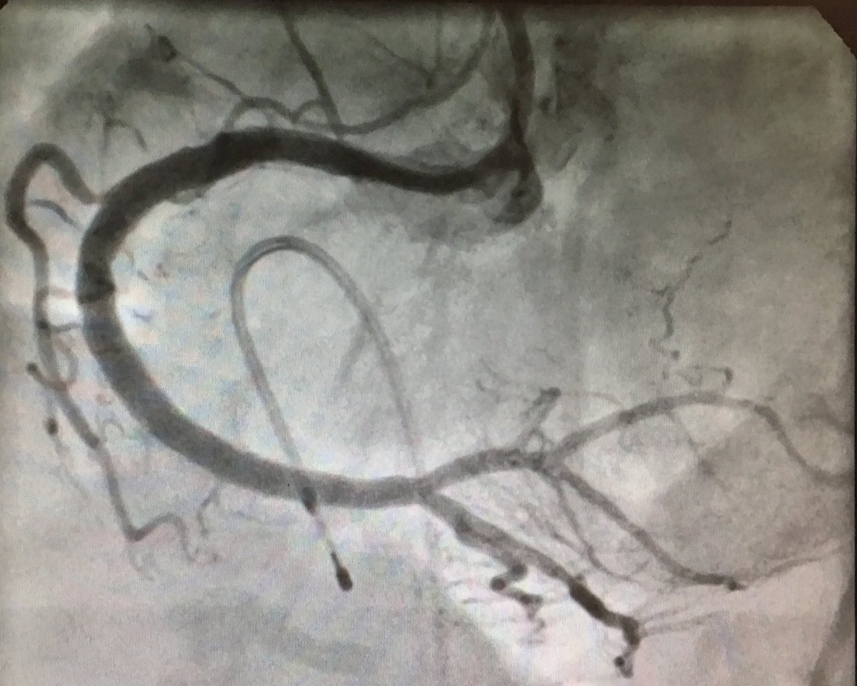
#Rotablation #Angioplasty: A great pleasure doing #Rotablation with the Great #Teacher Dr #Godin. Rotablation uses a tiny drill with a #diamond-tipped burr, powered by compressed air to break up calcified plaque (hard block) that is clogging the coronary artery. Breaking up

walinjom's tweet image. #Rotablation #Angioplasty:

A great pleasure doing #Rotablation with the Great #Teacher Dr #Godin.

Rotablation uses a tiny drill with a #diamond-tipped burr, powered by compressed air to break up calcified plaque (hard block) that is clogging the coronary artery.

Breaking up

Felix Woitek showed a great collection of #rotablation challenges at #GERMANCTO2024

stefan_harb's tweet image. Felix Woitek showed a great collection of #rotablation challenges at #GERMANCTO2024
stefan_harb's tweet image. Felix Woitek showed a great collection of #rotablation challenges at #GERMANCTO2024
stefan_harb's tweet image. Felix Woitek showed a great collection of #rotablation challenges at #GERMANCTO2024
stefan_harb's tweet image. Felix Woitek showed a great collection of #rotablation challenges at #GERMANCTO2024

📷Have a look at this @EuroInterventio image recently published to learn more about the first successful report of #rotablation of a displaced calcium spike blocking a mechanical prosthetic leaflet👉 bit.ly/3LHVwwG

PCRonline's tweet image. 📷Have a look at this @EuroInterventio image recently published to learn more about the first successful report of #rotablation of a displaced calcium spike blocking a mechanical prosthetic leaflet👉 bit.ly/3LHVwwG

Are you interested in calcium treatment? Join us in two days at #MLCTO2023 to discover the new ROTAWIRE™ Drive at our booth or learn on-demand with our #rotablation masterclasses: bit.ly/43Zx4gf #BSCEMEA

BSC_EU_Heart's tweet image. Are you interested in calcium treatment? Join us in two days at #MLCTO2023 to discover the new ROTAWIRE™ Drive at our booth or learn on-demand with our #rotablation masterclasses: bit.ly/43Zx4gf

#BSCEMEA

The second case was TAVI in bicuspid valve demonstrating commissural alignment using the New gen Meril Octacor valve with excellent results. Final main gradient was 3 mm Hg with no AR, no conduction disturbances #TAVI #Rotablation #ShockWaveLithotripsy #BicuspidValve #HealthCare

SengottuveluG's tweet image. The second case was TAVI in bicuspid valve demonstrating commissural alignment using the New gen Meril Octacor valve with excellent results. Final main gradient was 3 mm Hg with no AR, no conduction disturbances #TAVI #Rotablation #ShockWaveLithotripsy #BicuspidValve #HealthCare
SengottuveluG's tweet image. The second case was TAVI in bicuspid valve demonstrating commissural alignment using the New gen Meril Octacor valve with excellent results. Final main gradient was 3 mm Hg with no AR, no conduction disturbances #TAVI #Rotablation #ShockWaveLithotripsy #BicuspidValve #HealthCare

Heavily calcified RCA plaque treated with Rotablation in an 80 year old gentleman. No reflow after Rota 1.5 mm burr runs managed successfully with good result #Rotablation #calcifiedcoronary #CardioTwitter #complexcoronary

RajeshRajani15's tweet image. Heavily calcified RCA plaque treated with Rotablation in an 80 year old gentleman. No reflow after Rota 1.5 mm burr runs managed successfully with good result #Rotablation #calcifiedcoronary #CardioTwitter #complexcoronary
RajeshRajani15's tweet image. Heavily calcified RCA plaque treated with Rotablation in an 80 year old gentleman. No reflow after Rota 1.5 mm burr runs managed successfully with good result #Rotablation #calcifiedcoronary #CardioTwitter #complexcoronary
RajeshRajani15's tweet image. Heavily calcified RCA plaque treated with Rotablation in an 80 year old gentleman. No reflow after Rota 1.5 mm burr runs managed successfully with good result #Rotablation #calcifiedcoronary #CardioTwitter #complexcoronary

Combination of #IVL and #rotablation Gennaro Sardella #TCT2023

stefan_harb's tweet image. Combination of #IVL and #rotablation 
Gennaro Sardella #TCT2023
stefan_harb's tweet image. Combination of #IVL and #rotablation 
Gennaro Sardella #TCT2023
stefan_harb's tweet image. Combination of #IVL and #rotablation 
Gennaro Sardella #TCT2023
stefan_harb's tweet image. Combination of #IVL and #rotablation 
Gennaro Sardella #TCT2023

Full Day Refresher Course: Rotablation from Top to Bottom. A hands-on experience scheduled for 22nd January 2024, from 9 AM to 3 PM. #NICVD #Rotablation #ProfessionalDevelopment

nicvd_karachi's tweet image. Full Day Refresher Course: Rotablation from Top to Bottom. A hands-on experience scheduled for 22nd January 2024, from 9 AM to 3 PM.
#NICVD #Rotablation #ProfessionalDevelopment

Is #Rotablation #Angioplasty right for you? Explore options for severe #coronary artery disease with our expert #cardiologist at Artemis #Cardiac #Care today.

ArtemisCardiac's tweet image. Is #Rotablation #Angioplasty right for you? Explore options for severe #coronary artery disease with our expert #cardiologist at Artemis #Cardiac #Care today.
ArtemisCardiac's tweet image. Is #Rotablation #Angioplasty right for you? Explore options for severe #coronary artery disease with our expert #cardiologist at Artemis #Cardiac #Care today.
ArtemisCardiac's tweet image. Is #Rotablation #Angioplasty right for you? Explore options for severe #coronary artery disease with our expert #cardiologist at Artemis #Cardiac #Care today.

LCx Rotablation is always challanging. Successful LCx Rotablation in 50 Male, class III angina with previous failed attempted PCI. 1.25 Burr at high speed did the trick. excellent result. #CardioTwitter #rotablation #KGMU

DrAshishCardio's tweet image. LCx Rotablation is always challanging. Successful LCx Rotablation in 50 Male, class III angina with previous failed attempted PCI. 1.25 Burr at high speed did the trick. excellent result.
#CardioTwitter
#rotablation 
#KGMU

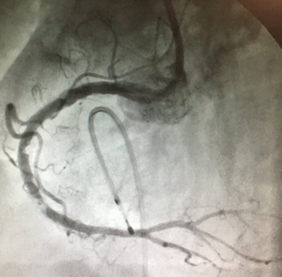
#EuroPCR @PCRonline @JEscaned & Dr Gonzalo👠 Post CABG & heavily calcified/angulated LCX IVUS (may not cross) #Rotablation to create channel Avoid wire bias use larger not smaller burr #IVL (won’t cross initially) then definitive deuvlking w #IVL

mirvatalasnag's tweet image. #EuroPCR @PCRonline @JEscaned &amp;amp; Dr Gonzalo👠
Post CABG &amp;amp; heavily calcified/angulated LCX

IVUS (may not cross)
#Rotablation to create channel
Avoid wire bias use larger not smaller burr 
#IVL (won’t cross initially) then definitive deuvlking w #IVL
mirvatalasnag's tweet image. #EuroPCR @PCRonline @JEscaned &amp;amp; Dr Gonzalo👠
Post CABG &amp;amp; heavily calcified/angulated LCX

IVUS (may not cross)
#Rotablation to create channel
Avoid wire bias use larger not smaller burr 
#IVL (won’t cross initially) then definitive deuvlking w #IVL

Rotablation is a life saving procedure for high risk patients with coronary diseases. Consult our expert Dr Sanjeev K Sharma to know more about this revolutionary procedure and its benefits. #DrSanjeevKSharma #coronarydiseases #Rotablation #hearthealth

drsanjeevjpr's tweet image. Rotablation is a life saving procedure for high risk patients with coronary diseases. Consult our expert Dr Sanjeev K Sharma to know more about this revolutionary procedure and its benefits.

#DrSanjeevKSharma #coronarydiseases #Rotablation #hearthealth

Tomorrow!! Pre-summer edition of Vall’Academy‼️ #CTO #rotablation #orbital 👉With the great ⁦@AgostoniPF⁩ 👉And the best back up ⁦@sjorge4⁩ ⁦@Carlos_Cortes_V⁩ ⁦@ClaraFdezCordon⁩ ⁦@Sara_Blasco⁩ READY FOR THE ACTION‼️

ignamatsant's tweet image. Tomorrow!! 
Pre-summer edition of Vall’Academy‼️
#CTO #rotablation #orbital 
👉With the great ⁦@AgostoniPF⁩ 
👉And the best back up ⁦@sjorge4⁩ ⁦@Carlos_Cortes_V⁩ ⁦@ClaraFdezCordon⁩ ⁦@Sara_Blasco⁩ 
READY FOR THE ACTION‼️

Great live #PCI case today by @MohanedEgred T-stenting LM bifurcation using #IVUS & #rotablation #CHIP @ammozid Learning messages: 🤔planning is key 🔎use all available info from previous procedures 🎯Keep it simple

SulemanAktaa's tweet image. Great live #PCI case today by @MohanedEgred T-stenting LM bifurcation using #IVUS &amp;amp; #rotablation 
#CHIP @ammozid 
 Learning messages:
🤔planning is key 
🔎use all available info from previous procedures
 🎯Keep it simple
SulemanAktaa's tweet image. Great live #PCI case today by @MohanedEgred T-stenting LM bifurcation using #IVUS &amp;amp; #rotablation 
#CHIP @ammozid 
 Learning messages:
🤔planning is key 
🔎use all available info from previous procedures
 🎯Keep it simple

Loading...

Something went wrong.


Something went wrong.