#structuralintervention search results

What a great conference! #structuralintervention

warkaa21's tweet image. What a great conference! #structuralintervention
warkaa21's tweet image. What a great conference! #structuralintervention
warkaa21's tweet image. What a great conference! #structuralintervention

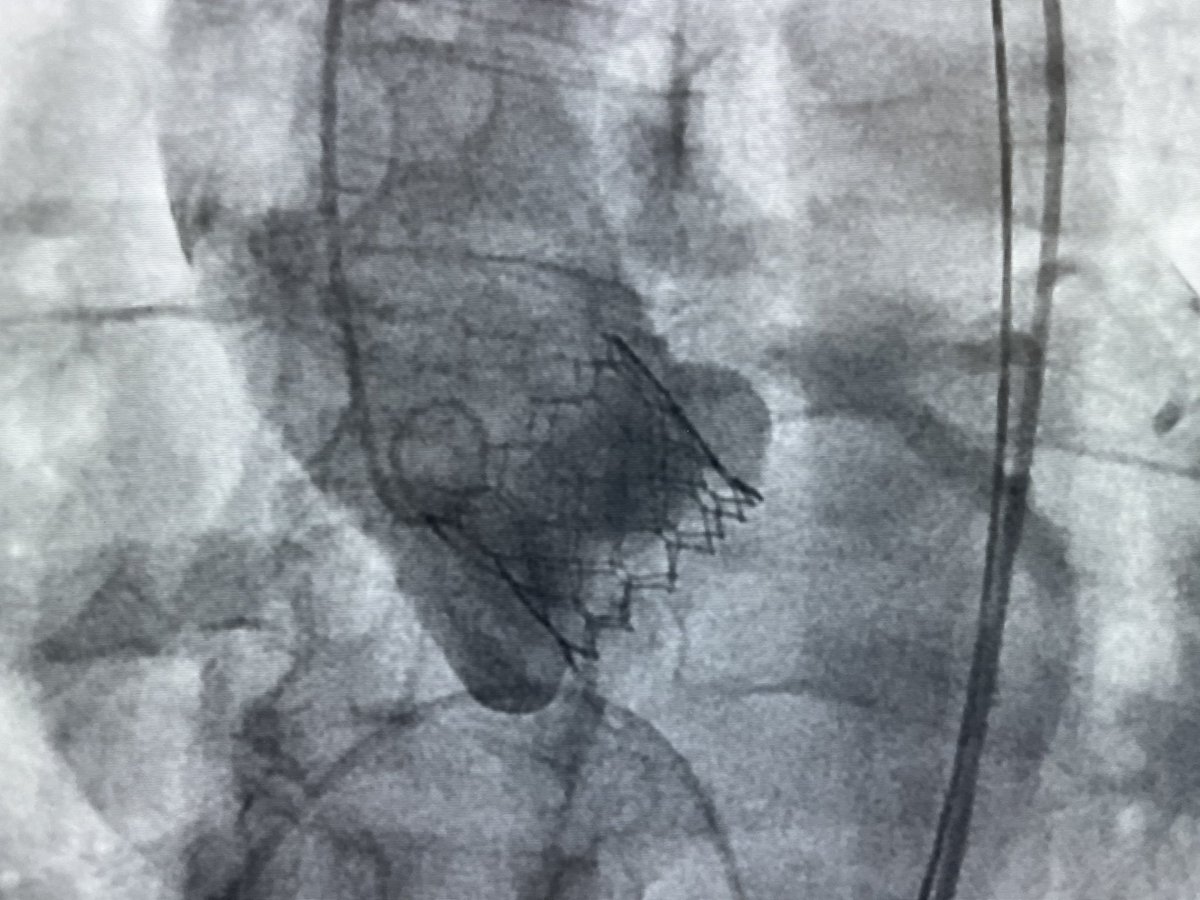
HALT lesion 3 months post TAVI with mild RELM. No symptoms but MG increase to 36mmHg. Early detection and treatment hopefully will give good outcome. #tavi #tavr #structuralintervention #cardiotwitter #cardiologist

Ditongaje's tweet image. HALT lesion 3 months post TAVI with mild RELM. No symptoms but MG increase to 36mmHg. Early detection and treatment hopefully will give good outcome. #tavi #tavr #structuralintervention #cardiotwitter #cardiologist
Ditongaje's tweet image. HALT lesion 3 months post TAVI with mild RELM. No symptoms but MG increase to 36mmHg. Early detection and treatment hopefully will give good outcome. #tavi #tavr #structuralintervention #cardiotwitter #cardiologist
Ditongaje's tweet image. HALT lesion 3 months post TAVI with mild RELM. No symptoms but MG increase to 36mmHg. Early detection and treatment hopefully will give good outcome. #tavi #tavr #structuralintervention #cardiotwitter #cardiologist

#TAVR of the day with an incredibly tortuous aorta, difficult crossing, but satisfying result. Undersized S3 23mm deployed at nominal with moderate PVL requiring an extra 1ml filling volume. Peak to peak gradient improved from 112mmHg to 0mmHg, no AR. #structuralintervention

YinghaoLim's tweet image. #TAVR of the day with an incredibly tortuous aorta, difficult crossing, but satisfying result. Undersized S3 23mm deployed at nominal with moderate PVL requiring an extra 1ml filling volume. Peak to peak gradient improved from 112mmHg to 0mmHg, no AR.  

#structuralintervention

Buttery smooth PTMC with Inoue 26mm. Ft. superstar lineup of @drttinglow, @WilliamKokFaiK1, and @pocus_today that made it quick and easy. #structuralintervention

YinghaoLim's tweet image. Buttery smooth PTMC with Inoue 26mm. Ft. superstar lineup of @drttinglow, @WilliamKokFaiK1, and @pocus_today that made it quick and easy. 

#structuralintervention

Do a livecase together and friends for life ⁦@AngieGhattas@MillbrookMed#structuralintervention

chris_malkin4's tweet image. Do a livecase together and friends for life ⁦@AngieGhattas ⁦@MillbrookMed⁩ #structuralintervention

TAVI in nonagenarian population is life changing. My 94 year old patient underwent TF TAVI and out from hospital within 48 hours. He is featured in our local Chinese newspaper. #tavi #tavr #structuralintervention #nuhcs #zaobaosg #cardiotwitter #aorticstenosis

Ditongaje's tweet image. TAVI in nonagenarian population is life changing. My 94 year old patient underwent  TF TAVI and out from hospital within 48 hours. He is featured in our local Chinese newspaper. #tavi #tavr #structuralintervention #nuhcs #zaobaosg #cardiotwitter #aorticstenosis

No time for Monday blues with today Structural Clinic. A1 prolapse for TEER. Large ASD with floppy posterior septum. CTEPH referral for Balloon Pulm Angioplasty. Critical MS for PTMC. PFO in young stroke. #structuralintervention #cardiologist #nuhcs #cardiotwitter

Ditongaje's tweet image. No time for Monday blues with today Structural Clinic. A1 prolapse for TEER. Large ASD with floppy posterior septum. CTEPH referral for Balloon Pulm Angioplasty. Critical MS for PTMC. PFO in  young stroke. #structuralintervention #cardiologist  #nuhcs #cardiotwitter
Ditongaje's tweet image. No time for Monday blues with today Structural Clinic. A1 prolapse for TEER. Large ASD with floppy posterior septum. CTEPH referral for Balloon Pulm Angioplasty. Critical MS for PTMC. PFO in  young stroke. #structuralintervention #cardiologist  #nuhcs #cardiotwitter
Ditongaje's tweet image. No time for Monday blues with today Structural Clinic. A1 prolapse for TEER. Large ASD with floppy posterior septum. CTEPH referral for Balloon Pulm Angioplasty. Critical MS for PTMC. PFO in  young stroke. #structuralintervention #cardiologist  #nuhcs #cardiotwitter
Ditongaje's tweet image. No time for Monday blues with today Structural Clinic. A1 prolapse for TEER. Large ASD with floppy posterior septum. CTEPH referral for Balloon Pulm Angioplasty. Critical MS for PTMC. PFO in  young stroke. #structuralintervention #cardiologist  #nuhcs #cardiotwitter

Unprovoked PE, intermediate high risk with right heart strain. Right main PA high burden clot. @InariMedical catheter thrombectomy using 24F. PA improved from 30 to 16 post. #nuhcs #pulmonaryembolism #structuralintervention #cardiologist #cardiotwitter

Ditongaje's tweet image. Unprovoked PE, intermediate high risk with right heart strain. Right main PA high burden clot. @InariMedical catheter thrombectomy using 24F.  PA improved from 30 to 16 post. #nuhcs #pulmonaryembolism #structuralintervention #cardiologist #cardiotwitter
Ditongaje's tweet image. Unprovoked PE, intermediate high risk with right heart strain. Right main PA high burden clot. @InariMedical catheter thrombectomy using 24F.  PA improved from 30 to 16 post. #nuhcs #pulmonaryembolism #structuralintervention #cardiologist #cardiotwitter
Ditongaje's tweet image. Unprovoked PE, intermediate high risk with right heart strain. Right main PA high burden clot. @InariMedical catheter thrombectomy using 24F.  PA improved from 30 to 16 post. #nuhcs #pulmonaryembolism #structuralintervention #cardiologist #cardiotwitter

Bioprosthetic mitral valve flail leaflet. Most impressive V wave I’ve seen - 74mmHg. Successful mVIV with Sapien3 26mm with Sentinel CEP #mVIV #TMVR #structuralintervention #CardioTwitter

YinghaoLim's tweet image. Bioprosthetic mitral valve flail leaflet. Most impressive V wave I’ve seen - 74mmHg. Successful mVIV with Sapien3 26mm with Sentinel CEP

#mVIV #TMVR #structuralintervention #CardioTwitter

88 male prior CABG, recent Dx of HCC, severe AS. TAVI shown to have clinical benefit for cancer patient with life expectancy > 1 yr. TF TAVI S3 23mm under sedation. No PVL, peak to peak 0 at the end of procedure. #tavi #tavr #structuralintervention #nuhcs #aspic


Balloon assisted technique for closure of a large 32x21mm secundum atrial septal defect with a 36mm ASO. Grateful for an incredible team for a great result. #achd #structuralintervention @Ditongaje @drttinglow @JoyYSOng


Decision for #TAVRinTAVR due to likely central AR with further post-dilation of S3 20mm (+1ml). S3 23mm (-1ml) deployed with no residual leak, 0 invasive gradient. @Ditongaje #structuralintervention


Great live case from Leipzig Heart Institute: AccurateNeo TAVI with Sentinel cerebral protection device. Operators: Axel Linke, Norman Magner 🇩🇪 @crfheart @escardio @PCRonline #LiveValves2019 #CFRandLeipzigHeart #structuralintervention

vicentejmzmd's tweet image. Great live case from Leipzig Heart Institute: AccurateNeo TAVI with Sentinel cerebral protection device. Operators: Axel Linke, Norman Magner 🇩🇪 @crfheart @escardio @PCRonline #LiveValves2019 #CFRandLeipzigHeart #structuralintervention
vicentejmzmd's tweet image. Great live case from Leipzig Heart Institute: AccurateNeo TAVI with Sentinel cerebral protection device. Operators: Axel Linke, Norman Magner 🇩🇪 @crfheart @escardio @PCRonline #LiveValves2019 #CFRandLeipzigHeart #structuralintervention
vicentejmzmd's tweet image. Great live case from Leipzig Heart Institute: AccurateNeo TAVI with Sentinel cerebral protection device. Operators: Axel Linke, Norman Magner 🇩🇪 @crfheart @escardio @PCRonline #LiveValves2019 #CFRandLeipzigHeart #structuralintervention

71 female severe AS, mod severe AR. #tavi #tavr with Sapiens S3 26mm. AR Index from 17 to 35. Hemodynamic pre peak to peak gradient of 80 with wide pulse pressure and narrow diastolic gradient. #structuralintervention #apsic #CardioTwitter

Ditongaje's tweet image. 71 female severe AS, mod severe AR. #tavi #tavr with Sapiens S3 26mm. AR Index from 17 to 35. Hemodynamic pre peak to peak gradient of 80 with wide pulse pressure and narrow diastolic gradient. #structuralintervention #apsic #CardioTwitter
Ditongaje's tweet image. 71 female severe AS, mod severe AR. #tavi #tavr with Sapiens S3 26mm. AR Index from 17 to 35. Hemodynamic pre peak to peak gradient of 80 with wide pulse pressure and narrow diastolic gradient. #structuralintervention #apsic #CardioTwitter

As Germans 🇩🇪 will say regarding #TAVI we are at the “head of the Beer” 🍺 ... #interventionalcardiologists have a lot of job to be done! #structuralintervention

vicentejmzmd's tweet image. As Germans 🇩🇪 will say regarding #TAVI we are at the “head of the Beer” 🍺 ... #interventionalcardiologists have a lot of job to be done! #structuralintervention

Bioprosthetic mitral valve flail leaflet. Most impressive V wave I’ve seen - 74mmHg. Successful mVIV with Sapien3 26mm with Sentinel CEP #mVIV #TMVR #structuralintervention #CardioTwitter

YinghaoLim's tweet image. Bioprosthetic mitral valve flail leaflet. Most impressive V wave I’ve seen - 74mmHg. Successful mVIV with Sapien3 26mm with Sentinel CEP

#mVIV #TMVR #structuralintervention #CardioTwitter

Unexpected find. Sentinel CEP in a patient for mitral VIV with incidental arteria lusoria. Protection only for left carotid selectively with distal filter. #structuralintervention #CardioTwitter


A less common indication for PFO device closure. 84 year old saturating at 89% despite 100% O2 with NRM on sitting upright: orthodeoxia-platypnea syndrome. ICE shows a clear right-to-left shunt. Closure with 25mm device under LA and sedation. #structuralintervention


Low deployment of S3 26mm during #TAVR for future coronary access and TAV-in-TAV: modern considerations for lifetime management of AS / CAD. #StructuralIntervention


Concurrent MV paravalvular leak closure and TriClip x 2. Great team collaboration! @khungkeong @jacktanwc @ningyan_wong #nhcs #structuralintervention #CardioTwitter

Jonyap88's tweet image. Concurrent MV paravalvular leak closure and TriClip x 2. Great team collaboration! @khungkeong @jacktanwc @ningyan_wong #nhcs #structuralintervention #CardioTwitter

Do a livecase together and friends for life ⁦@AngieGhattas@MillbrookMed#structuralintervention

chris_malkin4's tweet image. Do a livecase together and friends for life ⁦@AngieGhattas ⁦@MillbrookMed⁩ #structuralintervention

What a great conference! #structuralintervention

warkaa21's tweet image. What a great conference! #structuralintervention
warkaa21's tweet image. What a great conference! #structuralintervention
warkaa21's tweet image. What a great conference! #structuralintervention

Buttery smooth PTMC with Inoue 26mm. Ft. superstar lineup of @drttinglow, @WilliamKokFaiK1, and @pocus_today that made it quick and easy. #structuralintervention

YinghaoLim's tweet image. Buttery smooth PTMC with Inoue 26mm. Ft. superstar lineup of @drttinglow, @WilliamKokFaiK1, and @pocus_today that made it quick and easy. 

#structuralintervention

🚨 HOT OF THE PRESS!! Great review by @Julio_Farjat on "CLOSE or NOT" PFO in elderly patients. Cerebrovascular Events in Older Patients With Patent Foramen Ovale: Current Status and Future Perspectives @FondationIUCPQ @IUCPQ j-stroke.org/journal/view.p… #Structuralintervention #PFO

sidmengi_dr's tweet image. 🚨 HOT OF THE PRESS!!

Great review by @Julio_Farjat on "CLOSE or NOT" PFO in elderly patients.
Cerebrovascular Events in Older Patients With Patent Foramen Ovale: Current Status and Future Perspectives @FondationIUCPQ @IUCPQ 
j-stroke.org/journal/view.p…
#Structuralintervention #PFO
sidmengi_dr's tweet image. 🚨 HOT OF THE PRESS!!

Great review by @Julio_Farjat on "CLOSE or NOT" PFO in elderly patients.
Cerebrovascular Events in Older Patients With Patent Foramen Ovale: Current Status and Future Perspectives @FondationIUCPQ @IUCPQ 
j-stroke.org/journal/view.p…
#Structuralintervention #PFO

This week’s #Triclip. Single XTW at posteroseptal coaptation line - reduction in #TricuspidRegurgitation from massive to mild. Made possible with incredible imaging from @drrobinCCM and @WilliamKokFaiK1. #StructuralIntervention


Registration for the Glasgow-based Fundamentals in Structural Intervention Course on 10-11 October is over 70% full! Register now to avoid disappointment: bit.ly/45dErBE cc: @AngieGhattas @StuartWatkins9 @mmlindsay71 @GilbertTangMD #StructuralIntervention

MillbrookMed's tweet image. Registration for the Glasgow-based Fundamentals in Structural Intervention Course on 10-11 October is over 70% full!

Register now to avoid disappointment: bit.ly/45dErBE

cc: @AngieGhattas @StuartWatkins9 @mmlindsay71 @GilbertTangMD 

#StructuralIntervention

Calling all consultants and fellows!📣 ICYMI, registration is open for the Fundamentals in Structural Intervention course AND complimentary accommodation is available for all delegates! Register for free: millbrook-events.co.uk/FundamentalsSt… #StructuralIntervention #TAVI #TEER

MillbrookMed's tweet image. Calling all consultants and fellows!📣

ICYMI, registration is open for the Fundamentals in Structural Intervention course AND complimentary accommodation is available for all delegates!

Register for free: millbrook-events.co.uk/FundamentalsSt…

#StructuralIntervention #TAVI #TEER

Having secured extra funding for Fundamentals in Structural Intervention, the course organisers are pleased to announce that complimentary accommodation is now available: millbrook-events.co.uk/FundamentalsSt… Quick, there are limited places available!🏨 #StructuralIntervention #StudyLeave

MillbrookMed's tweet image. Having secured extra funding for Fundamentals in Structural Intervention, the course organisers are pleased to announce that complimentary accommodation is now available: millbrook-events.co.uk/FundamentalsSt…

Quick, there are limited places available!🏨

#StructuralIntervention #StudyLeave
MillbrookMed's tweet image. Having secured extra funding for Fundamentals in Structural Intervention, the course organisers are pleased to announce that complimentary accommodation is now available: millbrook-events.co.uk/FundamentalsSt…

Quick, there are limited places available!🏨

#StructuralIntervention #StudyLeave

Session titles for the Fundamentals in #StructuralIntervention course incl.: Day-to-Day Practice of TAVI in 2023; How Do I Approach Different Aortic Anatomies in 2023?; My Best Cases; The Future of Valvular Intervention Register now: bit.ly/45dErBE #CardioEd #MedEd

MillbrookMed's tweet image. Session titles for the Fundamentals in #StructuralIntervention course incl.:

Day-to-Day Practice of TAVI in 2023; How Do I Approach Different Aortic Anatomies in 2023?; My Best Cases; The Future of Valvular Intervention

Register now: bit.ly/45dErBE

#CardioEd #MedEd

No results for "#structuralintervention"

What a great conference! #structuralintervention

warkaa21's tweet image. What a great conference! #structuralintervention
warkaa21's tweet image. What a great conference! #structuralintervention
warkaa21's tweet image. What a great conference! #structuralintervention

HALT lesion 3 months post TAVI with mild RELM. No symptoms but MG increase to 36mmHg. Early detection and treatment hopefully will give good outcome. #tavi #tavr #structuralintervention #cardiotwitter #cardiologist

Ditongaje's tweet image. HALT lesion 3 months post TAVI with mild RELM. No symptoms but MG increase to 36mmHg. Early detection and treatment hopefully will give good outcome. #tavi #tavr #structuralintervention #cardiotwitter #cardiologist
Ditongaje's tweet image. HALT lesion 3 months post TAVI with mild RELM. No symptoms but MG increase to 36mmHg. Early detection and treatment hopefully will give good outcome. #tavi #tavr #structuralintervention #cardiotwitter #cardiologist
Ditongaje's tweet image. HALT lesion 3 months post TAVI with mild RELM. No symptoms but MG increase to 36mmHg. Early detection and treatment hopefully will give good outcome. #tavi #tavr #structuralintervention #cardiotwitter #cardiologist

Buttery smooth PTMC with Inoue 26mm. Ft. superstar lineup of @drttinglow, @WilliamKokFaiK1, and @pocus_today that made it quick and easy. #structuralintervention

YinghaoLim's tweet image. Buttery smooth PTMC with Inoue 26mm. Ft. superstar lineup of @drttinglow, @WilliamKokFaiK1, and @pocus_today that made it quick and easy. 

#structuralintervention

#TAVR of the day with an incredibly tortuous aorta, difficult crossing, but satisfying result. Undersized S3 23mm deployed at nominal with moderate PVL requiring an extra 1ml filling volume. Peak to peak gradient improved from 112mmHg to 0mmHg, no AR. #structuralintervention

YinghaoLim's tweet image. #TAVR of the day with an incredibly tortuous aorta, difficult crossing, but satisfying result. Undersized S3 23mm deployed at nominal with moderate PVL requiring an extra 1ml filling volume. Peak to peak gradient improved from 112mmHg to 0mmHg, no AR.  

#structuralintervention

Great live case from Leipzig Heart Institute: AccurateNeo TAVI with Sentinel cerebral protection device. Operators: Axel Linke, Norman Magner 🇩🇪 @crfheart @escardio @PCRonline #LiveValves2019 #CFRandLeipzigHeart #structuralintervention

vicentejmzmd's tweet image. Great live case from Leipzig Heart Institute: AccurateNeo TAVI with Sentinel cerebral protection device. Operators: Axel Linke, Norman Magner 🇩🇪 @crfheart @escardio @PCRonline #LiveValves2019 #CFRandLeipzigHeart #structuralintervention
vicentejmzmd's tweet image. Great live case from Leipzig Heart Institute: AccurateNeo TAVI with Sentinel cerebral protection device. Operators: Axel Linke, Norman Magner 🇩🇪 @crfheart @escardio @PCRonline #LiveValves2019 #CFRandLeipzigHeart #structuralintervention
vicentejmzmd's tweet image. Great live case from Leipzig Heart Institute: AccurateNeo TAVI with Sentinel cerebral protection device. Operators: Axel Linke, Norman Magner 🇩🇪 @crfheart @escardio @PCRonline #LiveValves2019 #CFRandLeipzigHeart #structuralintervention

Do a livecase together and friends for life ⁦@AngieGhattas@MillbrookMed#structuralintervention

chris_malkin4's tweet image. Do a livecase together and friends for life ⁦@AngieGhattas ⁦@MillbrookMed⁩ #structuralintervention

Huge ASD 34x28 cm with Qp/Qs of more than 3. Closed using Amplatzer 36 mm - biggest occluder size available here with balloon assisted technique. #atrialseptaldefect #asd #structuralintervention #structuralheartdisease #cardiotwitter #cardiologist

Ditongaje's tweet image. Huge ASD 34x28 cm with Qp/Qs of more than 3. Closed using Amplatzer 36 mm - biggest occluder size available here with balloon assisted technique. #atrialseptaldefect #asd #structuralintervention #structuralheartdisease #cardiotwitter #cardiologist
Ditongaje's tweet image. Huge ASD 34x28 cm with Qp/Qs of more than 3. Closed using Amplatzer 36 mm - biggest occluder size available here with balloon assisted technique. #atrialseptaldefect #asd #structuralintervention #structuralheartdisease #cardiotwitter #cardiologist
Ditongaje's tweet image. Huge ASD 34x28 cm with Qp/Qs of more than 3. Closed using Amplatzer 36 mm - biggest occluder size available here with balloon assisted technique. #atrialseptaldefect #asd #structuralintervention #structuralheartdisease #cardiotwitter #cardiologist
Ditongaje's tweet image. Huge ASD 34x28 cm with Qp/Qs of more than 3. Closed using Amplatzer 36 mm - biggest occluder size available here with balloon assisted technique. #atrialseptaldefect #asd #structuralintervention #structuralheartdisease #cardiotwitter #cardiologist

As Germans 🇩🇪 will say regarding #TAVI we are at the “head of the Beer” 🍺 ... #interventionalcardiologists have a lot of job to be done! #structuralintervention

vicentejmzmd's tweet image. As Germans 🇩🇪 will say regarding #TAVI we are at the “head of the Beer” 🍺 ... #interventionalcardiologists have a lot of job to be done! #structuralintervention

Unprovoked PE, intermediate high risk with right heart strain. Right main PA high burden clot. @InariMedical catheter thrombectomy using 24F. PA improved from 30 to 16 post. #nuhcs #pulmonaryembolism #structuralintervention #cardiologist #cardiotwitter

Ditongaje's tweet image. Unprovoked PE, intermediate high risk with right heart strain. Right main PA high burden clot. @InariMedical catheter thrombectomy using 24F.  PA improved from 30 to 16 post. #nuhcs #pulmonaryembolism #structuralintervention #cardiologist #cardiotwitter
Ditongaje's tweet image. Unprovoked PE, intermediate high risk with right heart strain. Right main PA high burden clot. @InariMedical catheter thrombectomy using 24F.  PA improved from 30 to 16 post. #nuhcs #pulmonaryembolism #structuralintervention #cardiologist #cardiotwitter
Ditongaje's tweet image. Unprovoked PE, intermediate high risk with right heart strain. Right main PA high burden clot. @InariMedical catheter thrombectomy using 24F.  PA improved from 30 to 16 post. #nuhcs #pulmonaryembolism #structuralintervention #cardiologist #cardiotwitter

TAVI in nonagenarian population is life changing. My 94 year old patient underwent TF TAVI and out from hospital within 48 hours. He is featured in our local Chinese newspaper. #tavi #tavr #structuralintervention #nuhcs #zaobaosg #cardiotwitter #aorticstenosis

Ditongaje's tweet image. TAVI in nonagenarian population is life changing. My 94 year old patient underwent  TF TAVI and out from hospital within 48 hours. He is featured in our local Chinese newspaper. #tavi #tavr #structuralintervention #nuhcs #zaobaosg #cardiotwitter #aorticstenosis

TEE post LAA closure with Amulet. No residual leak. PV Ridge coverage is essential to achieve. #laaclosure #amulet #structuralintervention #cardiologist #structuralheart


No time for Monday blues with today Structural Clinic. A1 prolapse for TEER. Large ASD with floppy posterior septum. CTEPH referral for Balloon Pulm Angioplasty. Critical MS for PTMC. PFO in young stroke. #structuralintervention #cardiologist #nuhcs #cardiotwitter

Ditongaje's tweet image. No time for Monday blues with today Structural Clinic. A1 prolapse for TEER. Large ASD with floppy posterior septum. CTEPH referral for Balloon Pulm Angioplasty. Critical MS for PTMC. PFO in  young stroke. #structuralintervention #cardiologist  #nuhcs #cardiotwitter
Ditongaje's tweet image. No time for Monday blues with today Structural Clinic. A1 prolapse for TEER. Large ASD with floppy posterior septum. CTEPH referral for Balloon Pulm Angioplasty. Critical MS for PTMC. PFO in  young stroke. #structuralintervention #cardiologist  #nuhcs #cardiotwitter
Ditongaje's tweet image. No time for Monday blues with today Structural Clinic. A1 prolapse for TEER. Large ASD with floppy posterior septum. CTEPH referral for Balloon Pulm Angioplasty. Critical MS for PTMC. PFO in  young stroke. #structuralintervention #cardiologist  #nuhcs #cardiotwitter
Ditongaje's tweet image. No time for Monday blues with today Structural Clinic. A1 prolapse for TEER. Large ASD with floppy posterior septum. CTEPH referral for Balloon Pulm Angioplasty. Critical MS for PTMC. PFO in  young stroke. #structuralintervention #cardiologist  #nuhcs #cardiotwitter

Bioprosthetic mitral valve flail leaflet. Most impressive V wave I’ve seen - 74mmHg. Successful mVIV with Sapien3 26mm with Sentinel CEP #mVIV #TMVR #structuralintervention #CardioTwitter

YinghaoLim's tweet image. Bioprosthetic mitral valve flail leaflet. Most impressive V wave I’ve seen - 74mmHg. Successful mVIV with Sapien3 26mm with Sentinel CEP

#mVIV #TMVR #structuralintervention #CardioTwitter

91 Torrential MR from Atrial Functional MR and cleft MV. Mitraclip G4 Clip. 3 clips deployed using XTW, NTR, NTW. Reduction to 1-2+ MR, final MG 3. ASD closed with 12mm device. #mitraclip #mitraclipg4 #structuralintervention #cardiologist #Abbott

Ditongaje's tweet image. 91 Torrential MR from Atrial Functional MR and cleft MV. Mitraclip G4 Clip. 3 clips deployed using XTW, NTR, NTW. Reduction to 1-2+ MR, final MG 3. ASD closed with 12mm device. #mitraclip #mitraclipg4 #structuralintervention #cardiologist #Abbott
Ditongaje's tweet image. 91 Torrential MR from Atrial Functional MR and cleft MV. Mitraclip G4 Clip. 3 clips deployed using XTW, NTR, NTW. Reduction to 1-2+ MR, final MG 3. ASD closed with 12mm device. #mitraclip #mitraclipg4 #structuralintervention #cardiologist #Abbott
Ditongaje's tweet image. 91 Torrential MR from Atrial Functional MR and cleft MV. Mitraclip G4 Clip. 3 clips deployed using XTW, NTR, NTW. Reduction to 1-2+ MR, final MG 3. ASD closed with 12mm device. #mitraclip #mitraclipg4 #structuralintervention #cardiologist #Abbott
Ditongaje's tweet image. 91 Torrential MR from Atrial Functional MR and cleft MV. Mitraclip G4 Clip. 3 clips deployed using XTW, NTR, NTW. Reduction to 1-2+ MR, final MG 3. ASD closed with 12mm device. #mitraclip #mitraclipg4 #structuralintervention #cardiologist #Abbott

Critical AS, high risk for 2nd redo, EF 30%, Sutureless Perceival valve. TAVI VIV with S3 23mm and Sentinel Embolic Protection device. Look at the amount of debris captured on the filter. #tavi #tavr #structuralintervention #cardiologist

Ditongaje's tweet image. Critical AS, high risk for 2nd redo, EF 30%, Sutureless Perceival valve. TAVI VIV with S3 23mm and Sentinel Embolic Protection device. Look at the amount of debris captured on the filter. #tavi #tavr #structuralintervention #cardiologist
Ditongaje's tweet image. Critical AS, high risk for 2nd redo, EF 30%, Sutureless Perceival valve. TAVI VIV with S3 23mm and Sentinel Embolic Protection device. Look at the amount of debris captured on the filter. #tavi #tavr #structuralintervention #cardiologist
Ditongaje's tweet image. Critical AS, high risk for 2nd redo, EF 30%, Sutureless Perceival valve. TAVI VIV with S3 23mm and Sentinel Embolic Protection device. Look at the amount of debris captured on the filter. #tavi #tavr #structuralintervention #cardiologist
Ditongaje's tweet image. Critical AS, high risk for 2nd redo, EF 30%, Sutureless Perceival valve. TAVI VIV with S3 23mm and Sentinel Embolic Protection device. Look at the amount of debris captured on the filter. #tavi #tavr #structuralintervention #cardiologist

#RSOVclosure 52 Female, Heart failure, large RSOV RCC to RV, No AR, Wind-sock like defect. Successful closure with large size duct Occluder (20/18 mm). #cardiotwitter #Structuralintervention

DrAshishCardio's tweet image. #RSOVclosure
52 Female, Heart failure, large RSOV RCC to RV, No AR,  Wind-sock like defect.
Successful closure with large size duct Occluder (20/18 mm).

#cardiotwitter 
#Structuralintervention
DrAshishCardio's tweet image. #RSOVclosure
52 Female, Heart failure, large RSOV RCC to RV, No AR,  Wind-sock like defect.
Successful closure with large size duct Occluder (20/18 mm).

#cardiotwitter 
#Structuralintervention
DrAshishCardio's tweet image. #RSOVclosure
52 Female, Heart failure, large RSOV RCC to RV, No AR,  Wind-sock like defect.
Successful closure with large size duct Occluder (20/18 mm).

#cardiotwitter 
#Structuralintervention
DrAshishCardio's tweet image. #RSOVclosure
52 Female, Heart failure, large RSOV RCC to RV, No AR,  Wind-sock like defect.
Successful closure with large size duct Occluder (20/18 mm).

#cardiotwitter 
#Structuralintervention

Loading...

Something went wrong.


Something went wrong.


United States Trends