#urotips search results

Wobbly fibre = wobbly outcome. Pick the perfect guide for a perfect pulse. #HoLEP #LaserSurgery #UroTips #ILSS

RIRS_inDelhiNCR's tweet image. Wobbly fibre = wobbly outcome. Pick the perfect guide for a perfect pulse. #HoLEP #LaserSurgery #UroTips #ILSS

#UroTips no es que dicen doctora? 😅 Jajaja @rosatiam


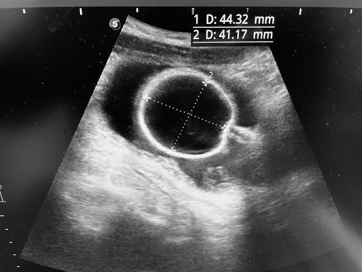
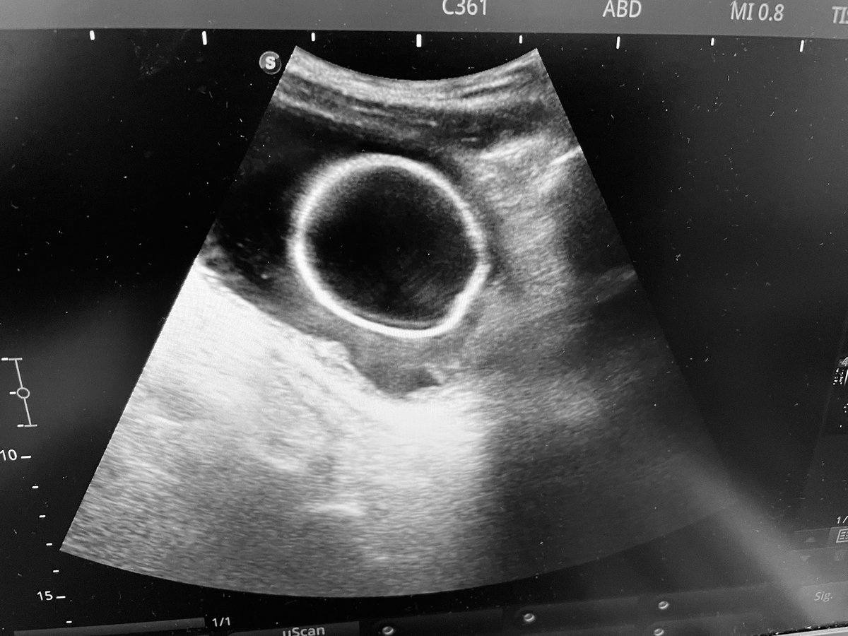
Think you need a CTU to detect duplex system? Not always! Careful US can alert you early and prevent wrong Ureteric catheter insertion — before PCNL, for example. #UroTips @Endo_Sec_Eua @Endo_Society @endouroacademy

Mohamedendourol's tweet image. Think you need a CTU to detect duplex system?
Not always! 
Careful US can alert you early and prevent wrong Ureteric catheter insertion — before PCNL, for example. #UroTips @Endo_Sec_Eua @Endo_Society @endouroacademy
Mohamedendourol's tweet image. Think you need a CTU to detect duplex system?
Not always! 
Careful US can alert you early and prevent wrong Ureteric catheter insertion — before PCNL, for example. #UroTips @Endo_Sec_Eua @Endo_Society @endouroacademy

Excelente hilo informativo🧵 para residentes👇🏽 #urotips #UroSoMe

En pacientes con doble sistema colector completo, la LEY DE 𝗪𝗘𝗜𝗚𝗘𝗥𝗧-𝗠𝗘𝗬𝗘𝗥 establece que el uréter que drena el polo superior del riñón se inserta medial y distal (inferior) al sitio de inserción del uréter que drena el polo inferior📚📝 #SoMe4PedSurg #UroSoMe #UroPed

siupurol's tweet image. En pacientes con doble sistema colector completo, la LEY DE 𝗪𝗘𝗜𝗚𝗘𝗥𝗧-𝗠𝗘𝗬𝗘𝗥 establece que el uréter que drena el polo superior del riñón se inserta medial y distal (inferior) al sitio de inserción del uréter que drena el polo inferior📚📝

#SoMe4PedSurg #UroSoMe #UroPed


TIPOS DE TORSIÓN TESTICULAR ⬇️ ▫️EXTRAVAGINAL ⮕ Se presenta en el periodo perinatal👶🏻 ▫️INTRAVAGINAL ⮕ Torsión testicular del niño mayor o del adolescente🧒🏻🧑🏻‍🦰, es la más común🔝 #SoMe4PedSurg #UroSoMe #Urology #TorsionTesticular #TestisTorsion

SocUroPedMx's tweet image. TIPOS DE TORSIÓN TESTICULAR ⬇️

▫️EXTRAVAGINAL ⮕ Se presenta en el periodo perinatal👶🏻
▫️INTRAVAGINAL ⮕ Torsión testicular del niño mayor o del adolescente🧒🏻🧑🏻‍🦰, es la más común🔝

#SoMe4PedSurg #UroSoMe #Urology #TorsionTesticular #TestisTorsion


Y recuerden amigos, entré más panza menos lanza... Hagan ejercicio #Medellin #botero #urotips

galenoecoli's tweet image. Y recuerden amigos, entré más panza menos lanza...
Hagan ejercicio
#Medellin #botero 
#urotips

Martes de #UroTips para el examen de consejo 🤓📚

Para recordar: 🤓🧠 📝Los ANEXOS TESTICULARES son vestigios embrionarios desprovistos de función que forman un apéndice en el polo anterior del testículo o en la cabeza del epidídimo, en el interior de la vaginal. 🧵(1/2)… #SoMe4PedSurg #UroSoMe #Urology #morgagni

SocUroPedMx's tweet image. Para recordar: 🤓🧠

📝Los ANEXOS TESTICULARES son vestigios embrionarios desprovistos de función que forman un apéndice en el polo anterior del testículo o en la cabeza del epidídimo, en el interior de la vaginal.

🧵(1/2)… #SoMe4PedSurg #UroSoMe #Urology #morgagni


Excelente hilo informativo para residentes🧵👇🏽 #urotips #UroSoMe #some4pedsurg @ResidentesCMUN @Residentes_SMU

En pacientes con doble sistema colector completo, la LEY DE 𝗪𝗘𝗜𝗚𝗘𝗥𝗧-𝗠𝗘𝗬𝗘𝗥 establece que el uréter que drena el polo superior del riñón se inserta medial y distal (inferior) al sitio de inserción del uréter que drena el polo inferior📚📝 #SoMe4PedSurg #UroSoMe #UroPed

siupurol's tweet image. En pacientes con doble sistema colector completo, la LEY DE 𝗪𝗘𝗜𝗚𝗘𝗥𝗧-𝗠𝗘𝗬𝗘𝗥 establece que el uréter que drena el polo superior del riñón se inserta medial y distal (inferior) al sitio de inserción del uréter que drena el polo inferior📚📝

#SoMe4PedSurg #UroSoMe #UroPed


Great tip! Will give this a try. ❤️ tricks of the trade. Time for other Urologists to ante up. @FlavorFaze … thx for volunteering the next #UroTips You are on the ⏰


Una Foley retenida Constituye un problema una técnicas es inflar el globo hasta reventarlo, idealmente hay que hacerlo con control USG para verificar que no queden fragmentos de látex en el interior de la vejiga, y formación de Piedras #urologia #urology #urotips

UrologoEdgar's tweet image. Una Foley retenida Constituye un problema una técnicas es inflar el globo hasta reventarlo, idealmente hay que hacerlo con control USG  para verificar que no queden fragmentos de látex en el interior de la vejiga, y formación de Piedras 
#urologia #urology #urotips
UrologoEdgar's tweet image. Una Foley retenida Constituye un problema una técnicas es inflar el globo hasta reventarlo, idealmente hay que hacerlo con control USG  para verificar que no queden fragmentos de látex en el interior de la vejiga, y formación de Piedras 
#urologia #urology #urotips
UrologoEdgar's tweet image. Una Foley retenida Constituye un problema una técnicas es inflar el globo hasta reventarlo, idealmente hay que hacerlo con control USG  para verificar que no queden fragmentos de látex en el interior de la vejiga, y formación de Piedras 
#urologia #urology #urotips

Mándenme a sus novios antes del primer “Te amo”. Neta. #UROTIPS

DrKbrito's tweet image. Mándenme a sus novios antes del primer “Te amo”. 

Neta. 
#UROTIPS

#MEGAURETER sinónimo de uréter dilatado 🔘Uréter con diámetro >7 mm desde las 31 SDG 🔘90% resuelven espontáneamente 🔘La mayoría son asintomáticos 🔘Indicaciones quirúrgicas➡️ px🧒🏻 sintomáticos, 📉disminución de función renal, hidroureteronefrosis masiva #UROTips #SoMe4PedSurg

siupurol's tweet image. #MEGAURETER sinónimo de uréter dilatado
🔘Uréter con diámetro >7 mm desde las 31 SDG
🔘90% resuelven espontáneamente
🔘La mayoría son asintomáticos
🔘Indicaciones quirúrgicas➡️ px🧒🏻 sintomáticos, 📉disminución de función renal,  hidroureteronefrosis masiva #UROTips #SoMe4PedSurg

Miércoles de #UroTips 💡🤓 ✅En el riñón en herradura, el ascenso embriológico (normal) del riñón es limitado por la presencia de ➡️ La Arteria Mesentérica Inferior. #SoMe4PedSurg #PedsUro #UroSoMe #FlashCards #HorseShoeKidney #MedX

SocUroPedMx's tweet image. Miércoles de #UroTips 💡🤓

✅En el riñón en herradura, el ascenso embriológico (normal) del riñón es limitado por la presencia de ➡️ La Arteria Mesentérica Inferior.

#SoMe4PedSurg #PedsUro #UroSoMe #FlashCards #HorseShoeKidney #MedX

⚪️El apéndice testicular «Hidátide de Morgagni» es un vestigio del ➡️ Conducto de Müller. ⚪️El apéndice de epidídimo es un vestigio del ➡️ Conducto de Wolf. 🧵(2/2) #UroTips #keyfacts #UroSoMe

SocUroPedMx's tweet image. ⚪️El apéndice testicular «Hidátide de Morgagni» es un vestigio del ➡️ Conducto de Müller.

⚪️El apéndice de epidídimo es un vestigio del ➡️ Conducto de Wolf.

🧵(2/2)  #UroTips #keyfacts #UroSoMe
SocUroPedMx's tweet image. ⚪️El apéndice testicular «Hidátide de Morgagni» es un vestigio del ➡️ Conducto de Müller.

⚪️El apéndice de epidídimo es un vestigio del ➡️ Conducto de Wolf.

🧵(2/2)  #UroTips #keyfacts #UroSoMe

Wobbly fibre = wobbly outcome. Pick the perfect guide for a perfect pulse. #HoLEP #LaserSurgery #UroTips #ILSS

RIRS_inDelhiNCR's tweet image. Wobbly fibre = wobbly outcome. Pick the perfect guide for a perfect pulse. #HoLEP #LaserSurgery #UroTips #ILSS

Martes de #UroTips para el examen de consejo 🤓📚

Para recordar: 🤓🧠 📝Los ANEXOS TESTICULARES son vestigios embrionarios desprovistos de función que forman un apéndice en el polo anterior del testículo o en la cabeza del epidídimo, en el interior de la vaginal. 🧵(1/2)… #SoMe4PedSurg #UroSoMe #Urology #morgagni

SocUroPedMx's tweet image. Para recordar: 🤓🧠

📝Los ANEXOS TESTICULARES son vestigios embrionarios desprovistos de función que forman un apéndice en el polo anterior del testículo o en la cabeza del epidídimo, en el interior de la vaginal.

🧵(1/2)… #SoMe4PedSurg #UroSoMe #Urology #morgagni


⚪️El apéndice testicular «Hidátide de Morgagni» es un vestigio del ➡️ Conducto de Müller. ⚪️El apéndice de epidídimo es un vestigio del ➡️ Conducto de Wolf. 🧵(2/2) #UroTips #keyfacts #UroSoMe

SocUroPedMx's tweet image. ⚪️El apéndice testicular «Hidátide de Morgagni» es un vestigio del ➡️ Conducto de Müller.

⚪️El apéndice de epidídimo es un vestigio del ➡️ Conducto de Wolf.

🧵(2/2)  #UroTips #keyfacts #UroSoMe
SocUroPedMx's tweet image. ⚪️El apéndice testicular «Hidátide de Morgagni» es un vestigio del ➡️ Conducto de Müller.

⚪️El apéndice de epidídimo es un vestigio del ➡️ Conducto de Wolf.

🧵(2/2)  #UroTips #keyfacts #UroSoMe

TIPOS DE TORSIÓN TESTICULAR ⬇️ ▫️EXTRAVAGINAL ⮕ Se presenta en el periodo perinatal👶🏻 ▫️INTRAVAGINAL ⮕ Torsión testicular del niño mayor o del adolescente🧒🏻🧑🏻‍🦰, es la más común🔝 #SoMe4PedSurg #UroSoMe #Urology #TorsionTesticular #TestisTorsion

SocUroPedMx's tweet image. TIPOS DE TORSIÓN TESTICULAR ⬇️

▫️EXTRAVAGINAL ⮕ Se presenta en el periodo perinatal👶🏻
▫️INTRAVAGINAL ⮕ Torsión testicular del niño mayor o del adolescente🧒🏻🧑🏻‍🦰, es la más común🔝

#SoMe4PedSurg #UroSoMe #Urology #TorsionTesticular #TestisTorsion


¿Qué puedo hacer para que la pastilla tenga mejor efecto? Síguenos en todas las redes como #yosoylaprostata #Urotips #Venezuela #LaFloresta #Caracas #RicardoSzemat #Medicina #disfuncióneréctil


Mándenme a sus novios antes del primer “Te amo”. Neta. #UROTIPS

DrKbrito's tweet image. Mándenme a sus novios antes del primer “Te amo”. 

Neta. 
#UROTIPS

Wobbly fibre = wobbly outcome. Pick the perfect guide for a perfect pulse. #HoLEP #LaserSurgery #UroTips #ILSS

RIRS_inDelhiNCR's tweet image. Wobbly fibre = wobbly outcome. Pick the perfect guide for a perfect pulse. #HoLEP #LaserSurgery #UroTips #ILSS

Think you need a CTU to detect duplex system? Not always! Careful US can alert you early and prevent wrong Ureteric catheter insertion — before PCNL, for example. #UroTips @Endo_Sec_Eua @Endo_Society @endouroacademy

Mohamedendourol's tweet image. Think you need a CTU to detect duplex system?
Not always! 
Careful US can alert you early and prevent wrong Ureteric catheter insertion — before PCNL, for example. #UroTips @Endo_Sec_Eua @Endo_Society @endouroacademy
Mohamedendourol's tweet image. Think you need a CTU to detect duplex system?
Not always! 
Careful US can alert you early and prevent wrong Ureteric catheter insertion — before PCNL, for example. #UroTips @Endo_Sec_Eua @Endo_Society @endouroacademy

Una Foley retenida Constituye un problema una técnicas es inflar el globo hasta reventarlo, idealmente hay que hacerlo con control USG para verificar que no queden fragmentos de látex en el interior de la vejiga, y formación de Piedras #urologia #urology #urotips

UrologoEdgar's tweet image. Una Foley retenida Constituye un problema una técnicas es inflar el globo hasta reventarlo, idealmente hay que hacerlo con control USG  para verificar que no queden fragmentos de látex en el interior de la vejiga, y formación de Piedras 
#urologia #urology #urotips
UrologoEdgar's tweet image. Una Foley retenida Constituye un problema una técnicas es inflar el globo hasta reventarlo, idealmente hay que hacerlo con control USG  para verificar que no queden fragmentos de látex en el interior de la vejiga, y formación de Piedras 
#urologia #urology #urotips
UrologoEdgar's tweet image. Una Foley retenida Constituye un problema una técnicas es inflar el globo hasta reventarlo, idealmente hay que hacerlo con control USG  para verificar que no queden fragmentos de látex en el interior de la vejiga, y formación de Piedras 
#urologia #urology #urotips

Y recuerden amigos, entré más panza menos lanza... Hagan ejercicio #Medellin #botero #urotips

galenoecoli's tweet image. Y recuerden amigos, entré más panza menos lanza...
Hagan ejercicio
#Medellin #botero 
#urotips

⚪️El apéndice testicular «Hidátide de Morgagni» es un vestigio del ➡️ Conducto de Müller. ⚪️El apéndice de epidídimo es un vestigio del ➡️ Conducto de Wolf. 🧵(2/2) #UroTips #keyfacts #UroSoMe

SocUroPedMx's tweet image. ⚪️El apéndice testicular «Hidátide de Morgagni» es un vestigio del ➡️ Conducto de Müller.

⚪️El apéndice de epidídimo es un vestigio del ➡️ Conducto de Wolf.

🧵(2/2)  #UroTips #keyfacts #UroSoMe
SocUroPedMx's tweet image. ⚪️El apéndice testicular «Hidátide de Morgagni» es un vestigio del ➡️ Conducto de Müller.

⚪️El apéndice de epidídimo es un vestigio del ➡️ Conducto de Wolf.

🧵(2/2)  #UroTips #keyfacts #UroSoMe

Miércoles de #UroTips 💡🤓 ✅En el riñón en herradura, el ascenso embriológico (normal) del riñón es limitado por la presencia de ➡️ La Arteria Mesentérica Inferior. #SoMe4PedSurg #PedsUro #UroSoMe #FlashCards #HorseShoeKidney #MedX

SocUroPedMx's tweet image. Miércoles de #UroTips 💡🤓

✅En el riñón en herradura, el ascenso embriológico (normal) del riñón es limitado por la presencia de ➡️ La Arteria Mesentérica Inferior.

#SoMe4PedSurg #PedsUro #UroSoMe #FlashCards #HorseShoeKidney #MedX

#MEGAURETER sinónimo de uréter dilatado 🔘Uréter con diámetro >7 mm desde las 31 SDG 🔘90% resuelven espontáneamente 🔘La mayoría son asintomáticos 🔘Indicaciones quirúrgicas➡️ px🧒🏻 sintomáticos, 📉disminución de función renal, hidroureteronefrosis masiva #UROTips #SoMe4PedSurg

siupurol's tweet image. #MEGAURETER sinónimo de uréter dilatado
🔘Uréter con diámetro >7 mm desde las 31 SDG
🔘90% resuelven espontáneamente
🔘La mayoría son asintomáticos
🔘Indicaciones quirúrgicas➡️ px🧒🏻 sintomáticos, 📉disminución de función renal,  hidroureteronefrosis masiva #UROTips #SoMe4PedSurg

Loading...

Something went wrong.


Something went wrong.