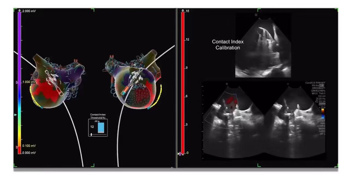
What actually "looks good" on ICE: #ViewFlex Left Atrial imaging @EPS_PDX Training @MRazminia Sponsored @AbbottCardio Complemented #EnSiteX PFA Visualization & Contact Index software. A post PFA induced tachycardia, entrained at downstream electrogram, with long upstream…


#EPeeps, have you seen a slower VT? Pt presented with sustained 520ms VT. #HDGrid mapping showed a clear focal origin, and #ViewFlex confirmed catheter contact around our PM pap. CL bumped out to 650ms before breaking on ablation by @_amughal3! 🔥 @AbbottCardio #AblationNation

JennyFromTheWB's tweet image. #EPeeps, have you seen a slower VT?

Pt presented with sustained 520ms VT. #HDGrid mapping showed a clear focal origin, and #ViewFlex confirmed catheter contact around our PM pap. CL bumped out to 650ms before breaking on ablation by @_amughal3! 🔥 

@AbbottCardio #AblationNation

AT ablation from RA/NCC. intracardiac echo is essential #viewflex@Frances_Salmon2

saumilshahmd's tweet image. AT ablation from RA/NCC. intracardiac echo is essential #viewflex ⁦@Frances_Salmon2⁩

#Fluoroless. A nice example of #ICEyes to visualize a three catheter EP study. Beautiful images with #ViewFlex. #EPeeps #EPfellows


A frequent PVC, ablated at interleaflet triangle, an anatomic gift. 12 lead ECG morphology consistent with successful site. ILT catheter navigation & contact enhanced with Intracardiac Echo. @georgecrowell @AbbottCardio #TactiFlex #ViewFlex


#Amulet LAAC with 2D #Viewflex LA 90° and Supramitral 135° imaging planes for the implant. Capable, cost effective catheter with great handling. @AbbottCardio


In 1708, at just 22 years old, Adam Christian Thebesius published his dissertation describing the morphology and function of the coronary venous valves, including this commonly encountered, Thebesian Valve. #ViewFlex #EnSiteX #Ultrasound @AbbottCardio internationaljournalofcardiology.com/article/S0167-…

forkknifecab_EP's tweet image. In 1708, at just 22 years old, Adam Christian Thebesius published his dissertation describing the morphology and function of the coronary venous valves, including this commonly encountered, Thebesian Valve.

#ViewFlex 
#EnSiteX
#Ultrasound 

@AbbottCardio

internationaljournalofcardiology.com/article/S0167-…
forkknifecab_EP's tweet image. In 1708, at just 22 years old, Adam Christian Thebesius published his dissertation describing the morphology and function of the coronary venous valves, including this commonly encountered, Thebesian Valve.

#ViewFlex 
#EnSiteX
#Ultrasound 

@AbbottCardio

internationaljournalofcardiology.com/article/S0167-…

#epeeps use of ICE can be very helpful getting the appropriate orientation and contact for RVOT PVCs near pulmonic valve. #viewflex @ZilinskasAshley @MRazminia @gurupmohantymd


A closer look at Cavotricuspid Isthmus topography with #HDScope #ViewFlex #ViewMate @AbbottEP


#HDScope with active imaging window of LAA occlusion device using #ViewFlex ICE by @TripuraneniAjay #AbbottAF @masonmaps @AbbottEP


Using #ViewFlex ICE to guide wire placement in the RSPV and ensure ostial #PulseSelect catheter placement and mapping system to guide catheter rotation. All with well tolerated MAC sedation. #fluoroless #PFA #EPeeps @Medtronic @AbbottCardio @medinbox


From the veins, to the wall, ICE tells it all… Follow along with #ViewFlex and #EnSiteX in this #MedinboxMonday as @senthil_dorai identifies the remaining connection for isolation of this posterior wall! How are you handling epicardial connections, #EPeeps?…


Amazing visualization of cs main body and mcv. #ViewFlex #abbott


#Amulet LAAC implant guided w #Viewflex 2D imaging from the LA in the for measurements, deployment, and testing. Happy to be involved in these cases. Beautiful result 🎯 🧑‍⚕️ @vivasfhrs @AbbottCardio #Viewmate #OneAbbott


Pediatric AVNRT case with Dr. Tom Pilcher. This case shows the benefits of ICE when locating the slow pathway while utilizing Cryo ablation. #abbottep #abbottice #viewflex


Procedimentos de ablação têm benefícios para o paciente, mas a exposição repetida à radiação aumenta o risco de problemas de saúde a longo prazo. A Abbott tem A SOLUÇÃO COMPLETA PARA REDUÇÃO DA EXPOSIÇÃO EM FLUOROSCOPIA saiba mais #ReduceRadiation #ICE #VIEWFLEX #Agilis #AbbottEP

VanPittar's tweet image. Procedimentos de ablação têm benefícios para o paciente, mas a exposição repetida à radiação aumenta o risco de problemas de saúde a longo prazo. A Abbott tem A SOLUÇÃO COMPLETA PARA REDUÇÃO DA EXPOSIÇÃO EM FLUOROSCOPIA saiba mais #ReduceRadiation #ICE #VIEWFLEX #Agilis #AbbottEP
VanPittar's tweet image. Procedimentos de ablação têm benefícios para o paciente, mas a exposição repetida à radiação aumenta o risco de problemas de saúde a longo prazo. A Abbott tem A SOLUÇÃO COMPLETA PARA REDUÇÃO DA EXPOSIÇÃO EM FLUOROSCOPIA saiba mais #ReduceRadiation #ICE #VIEWFLEX #Agilis #AbbottEP
VanPittar's tweet image. Procedimentos de ablação têm benefícios para o paciente, mas a exposição repetida à radiação aumenta o risco de problemas de saúde a longo prazo. A Abbott tem A SOLUÇÃO COMPLETA PARA REDUÇÃO DA EXPOSIÇÃO EM FLUOROSCOPIA saiba mais #ReduceRadiation #ICE #VIEWFLEX #Agilis #AbbottEP
VanPittar's tweet image. Procedimentos de ablação têm benefícios para o paciente, mas a exposição repetida à radiação aumenta o risco de problemas de saúde a longo prazo. A Abbott tem A SOLUÇÃO COMPLETA PARA REDUÇÃO DA EXPOSIÇÃO EM FLUOROSCOPIA saiba mais #ReduceRadiation #ICE #VIEWFLEX #Agilis #AbbottEP

An ideal outcome. A single morphology with bigeminal burden. PVC with an ATV3 morphology, localized and ablated at RCC/LCC commissure (65 msec pre QRS). Credit: @Ashit_EPS @isabelmauckEP @AbbottCardio #EnSite #TactiFlex #ViewFlex

forkknifecab_EP's tweet image. An ideal outcome. 

A single morphology with bigeminal burden. 

PVC with an ATV3 morphology, localized and ablated at RCC/LCC commissure (65 msec pre QRS). 

Credit:

@Ashit_EPS 
@isabelmauckEP 

@AbbottCardio 

#EnSite
#TactiFlex
#ViewFlex

The importance of ICE can't be understated in any EP procedure. Here you can see the power of #ViewFlex for pap muscle PVCs. @HanyDemo skillfully maneuvers #HDGrid and #TactiFlex to either side of the ant lat pap muscle to map and ablate trigeminal PVCs. #AbbottProud


Benefits of using ICE for CTI ablation? Being able to visualize this nasty Eustachian Ridge. Masterful work by @redball_express achieving bidirectional block #EPeeps #viewflex #ProudToBeAbbott @AbbottCardio


What actually "looks good" on ICE: #ViewFlex Left Atrial imaging @EPS_PDX Training @MRazminia Sponsored @AbbottCardio Complemented #EnSiteX PFA Visualization & Contact Index software. A post PFA induced tachycardia, entrained at downstream electrogram, with long upstream…


A frequent PVC, ablated at interleaflet triangle, an anatomic gift. 12 lead ECG morphology consistent with successful site. ILT catheter navigation & contact enhanced with Intracardiac Echo. @georgecrowell @AbbottCardio #TactiFlex #ViewFlex


An ideal outcome. A single morphology with bigeminal burden. PVC with an ATV3 morphology, localized and ablated at RCC/LCC commissure (65 msec pre QRS). Credit: @Ashit_EPS @isabelmauckEP @AbbottCardio #EnSite #TactiFlex #ViewFlex

forkknifecab_EP's tweet image. An ideal outcome. 

A single morphology with bigeminal burden. 

PVC with an ATV3 morphology, localized and ablated at RCC/LCC commissure (65 msec pre QRS). 

Credit:

@Ashit_EPS 
@isabelmauckEP 

@AbbottCardio 

#EnSite
#TactiFlex
#ViewFlex

In 1708, at just 22 years old, Adam Christian Thebesius published his dissertation describing the morphology and function of the coronary venous valves, including this commonly encountered, Thebesian Valve. #ViewFlex #EnSiteX #Ultrasound @AbbottCardio internationaljournalofcardiology.com/article/S0167-…

forkknifecab_EP's tweet image. In 1708, at just 22 years old, Adam Christian Thebesius published his dissertation describing the morphology and function of the coronary venous valves, including this commonly encountered, Thebesian Valve.

#ViewFlex 
#EnSiteX
#Ultrasound 

@AbbottCardio

internationaljournalofcardiology.com/article/S0167-…
forkknifecab_EP's tweet image. In 1708, at just 22 years old, Adam Christian Thebesius published his dissertation describing the morphology and function of the coronary venous valves, including this commonly encountered, Thebesian Valve.

#ViewFlex 
#EnSiteX
#Ultrasound 

@AbbottCardio

internationaljournalofcardiology.com/article/S0167-…

#ViewFlex with #ViewMate Multi confirming #TactiFlex location and contact during CTI ablation #PMA


#Amulet LAAC with 2D #Viewflex LA 90° and Supramitral 135° imaging planes for the implant. Capable, cost effective catheter with great handling. @AbbottCardio


#Amulet LAAC implant guided w #Viewflex 2D imaging from the LA in the for measurements, deployment, and testing. Happy to be involved in these cases. Beautiful result 🎯 🧑‍⚕️ @vivasfhrs @AbbottCardio #Viewmate #OneAbbott


Correlation of electroanatomic mapping with ICE #ViewFlex and rendered CT emphasizing size of left common #PMA

Arek_EP's tweet image. Correlation of electroanatomic mapping with ICE #ViewFlex and rendered CT emphasizing size of left common #PMA

Visualization is key for SAFE, ACCURATE AND EFFICIENT #PFA procedures. Get outstanding image quality during PFA ablation with #ViewFlex #PFAonX #EPeeps #AbbottProud

Good things come in 3️⃣’s. Safe. Accurate. Efficient. See how our #EnSiteX EP System can help you optimize workflows during your #PFAonX procedures:¹ bit.ly/3xUMPKu #PulsedFieldAblation



Navigating the anatomy of RAA. ICE helps identifying optimal position of active fixation atrial leadless device. This helped to identify the base of RAA in this patient with severe vertical cardiac rotation.



Using #ViewFlex ICE to guide wire placement in the RSPV and ensure ostial #PulseSelect catheter placement and mapping system to guide catheter rotation. All with well tolerated MAC sedation. #fluoroless #PFA #EPeeps @Medtronic @AbbottCardio @medinbox


From the veins, to the wall, ICE tells it all… Follow along with #ViewFlex and #EnSiteX in this #MedinboxMonday as @senthil_dorai identifies the remaining connection for isolation of this posterior wall! How are you handling epicardial connections, #EPeeps?…


Procedimentos de ablação têm benefícios para o paciente, mas a exposição repetida à radiação aumenta o risco de problemas de saúde a longo prazo. A Abbott tem A SOLUÇÃO COMPLETA PARA REDUÇÃO DA EXPOSIÇÃO EM FLUOROSCOPIA saiba mais #ReduceRadiation #ICE #VIEWFLEX #Agilis #AbbottEP

VanPittar's tweet image. Procedimentos de ablação têm benefícios para o paciente, mas a exposição repetida à radiação aumenta o risco de problemas de saúde a longo prazo. A Abbott tem A SOLUÇÃO COMPLETA PARA REDUÇÃO DA EXPOSIÇÃO EM FLUOROSCOPIA saiba mais #ReduceRadiation #ICE #VIEWFLEX #Agilis #AbbottEP
VanPittar's tweet image. Procedimentos de ablação têm benefícios para o paciente, mas a exposição repetida à radiação aumenta o risco de problemas de saúde a longo prazo. A Abbott tem A SOLUÇÃO COMPLETA PARA REDUÇÃO DA EXPOSIÇÃO EM FLUOROSCOPIA saiba mais #ReduceRadiation #ICE #VIEWFLEX #Agilis #AbbottEP
VanPittar's tweet image. Procedimentos de ablação têm benefícios para o paciente, mas a exposição repetida à radiação aumenta o risco de problemas de saúde a longo prazo. A Abbott tem A SOLUÇÃO COMPLETA PARA REDUÇÃO DA EXPOSIÇÃO EM FLUOROSCOPIA saiba mais #ReduceRadiation #ICE #VIEWFLEX #Agilis #AbbottEP
VanPittar's tweet image. Procedimentos de ablação têm benefícios para o paciente, mas a exposição repetida à radiação aumenta o risco de problemas de saúde a longo prazo. A Abbott tem A SOLUÇÃO COMPLETA PARA REDUÇÃO DA EXPOSIÇÃO EM FLUOROSCOPIA saiba mais #ReduceRadiation #ICE #VIEWFLEX #Agilis #AbbottEP

Once in a career finding? With #ViewFlex in the LA, you can see a beautiful image of THREE left PVs. The veins can be seen simultaneously on #ICE and 3D mapping when using #Medinbox, an excellent resource to share cool findings and educate. @HanyDemo #AbbottProud


The importance of ICE can't be understated in any EP procedure. Here you can see the power of #ViewFlex for pap muscle PVCs. @HanyDemo skillfully maneuvers #HDGrid and #TactiFlex to either side of the ant lat pap muscle to map and ablate trigeminal PVCs. #AbbottProud


#EPeeps, have you seen a slower VT? Pt presented with sustained 520ms VT. #HDGrid mapping showed a clear focal origin, and #ViewFlex confirmed catheter contact around our PM pap. CL bumped out to 650ms before breaking on ablation by @_amughal3! 🔥 @AbbottCardio #AblationNation

JennyFromTheWB's tweet image. #EPeeps, have you seen a slower VT?

Pt presented with sustained 520ms VT. #HDGrid mapping showed a clear focal origin, and #ViewFlex confirmed catheter contact around our PM pap. CL bumped out to 650ms before breaking on ablation by @_amughal3! 🔥 

@AbbottCardio #AblationNation

Benefits of using ICE for CTI ablation? Being able to visualize this nasty Eustachian Ridge. Masterful work by @redball_express achieving bidirectional block #EPeeps #viewflex #ProudToBeAbbott @AbbottCardio


Pediatric AVNRT case with Dr. Tom Pilcher. This case shows the benefits of ICE when locating the slow pathway while utilizing Cryo ablation. #abbottep #abbottice #viewflex


#HDScope with active imaging window of LAA occlusion device using #ViewFlex ICE by @TripuraneniAjay #AbbottAF @masonmaps @AbbottEP


#EPeeps, have you seen a slower VT? Pt presented with sustained 520ms VT. #HDGrid mapping showed a clear focal origin, and #ViewFlex confirmed catheter contact around our PM pap. CL bumped out to 650ms before breaking on ablation by @_amughal3! 🔥 @AbbottCardio #AblationNation

JennyFromTheWB's tweet image. #EPeeps, have you seen a slower VT?

Pt presented with sustained 520ms VT. #HDGrid mapping showed a clear focal origin, and #ViewFlex confirmed catheter contact around our PM pap. CL bumped out to 650ms before breaking on ablation by @_amughal3! 🔥 

@AbbottCardio #AblationNation

AT ablation from RA/NCC. intracardiac echo is essential #viewflex@Frances_Salmon2

saumilshahmd's tweet image. AT ablation from RA/NCC. intracardiac echo is essential #viewflex ⁦@Frances_Salmon2⁩

In 1708, at just 22 years old, Adam Christian Thebesius published his dissertation describing the morphology and function of the coronary venous valves, including this commonly encountered, Thebesian Valve. #ViewFlex #EnSiteX #Ultrasound @AbbottCardio internationaljournalofcardiology.com/article/S0167-…

forkknifecab_EP's tweet image. In 1708, at just 22 years old, Adam Christian Thebesius published his dissertation describing the morphology and function of the coronary venous valves, including this commonly encountered, Thebesian Valve.

#ViewFlex 
#EnSiteX
#Ultrasound 

@AbbottCardio

internationaljournalofcardiology.com/article/S0167-…
forkknifecab_EP's tweet image. In 1708, at just 22 years old, Adam Christian Thebesius published his dissertation describing the morphology and function of the coronary venous valves, including this commonly encountered, Thebesian Valve.

#ViewFlex 
#EnSiteX
#Ultrasound 

@AbbottCardio

internationaljournalofcardiology.com/article/S0167-…

Procedimentos de ablação têm benefícios para o paciente, mas a exposição repetida à radiação aumenta o risco de problemas de saúde a longo prazo. A Abbott tem A SOLUÇÃO COMPLETA PARA REDUÇÃO DA EXPOSIÇÃO EM FLUOROSCOPIA saiba mais #ReduceRadiation #ICE #VIEWFLEX #Agilis #AbbottEP

VanPittar's tweet image. Procedimentos de ablação têm benefícios para o paciente, mas a exposição repetida à radiação aumenta o risco de problemas de saúde a longo prazo. A Abbott tem A SOLUÇÃO COMPLETA PARA REDUÇÃO DA EXPOSIÇÃO EM FLUOROSCOPIA saiba mais #ReduceRadiation #ICE #VIEWFLEX #Agilis #AbbottEP
VanPittar's tweet image. Procedimentos de ablação têm benefícios para o paciente, mas a exposição repetida à radiação aumenta o risco de problemas de saúde a longo prazo. A Abbott tem A SOLUÇÃO COMPLETA PARA REDUÇÃO DA EXPOSIÇÃO EM FLUOROSCOPIA saiba mais #ReduceRadiation #ICE #VIEWFLEX #Agilis #AbbottEP
VanPittar's tweet image. Procedimentos de ablação têm benefícios para o paciente, mas a exposição repetida à radiação aumenta o risco de problemas de saúde a longo prazo. A Abbott tem A SOLUÇÃO COMPLETA PARA REDUÇÃO DA EXPOSIÇÃO EM FLUOROSCOPIA saiba mais #ReduceRadiation #ICE #VIEWFLEX #Agilis #AbbottEP
VanPittar's tweet image. Procedimentos de ablação têm benefícios para o paciente, mas a exposição repetida à radiação aumenta o risco de problemas de saúde a longo prazo. A Abbott tem A SOLUÇÃO COMPLETA PARA REDUÇÃO DA EXPOSIÇÃO EM FLUOROSCOPIA saiba mais #ReduceRadiation #ICE #VIEWFLEX #Agilis #AbbottEP

An ideal outcome. A single morphology with bigeminal burden. PVC with an ATV3 morphology, localized and ablated at RCC/LCC commissure (65 msec pre QRS). Credit: @Ashit_EPS @isabelmauckEP @AbbottCardio #EnSite #TactiFlex #ViewFlex

forkknifecab_EP's tweet image. An ideal outcome. 

A single morphology with bigeminal burden. 

PVC with an ATV3 morphology, localized and ablated at RCC/LCC commissure (65 msec pre QRS). 

Credit:

@Ashit_EPS 
@isabelmauckEP 

@AbbottCardio 

#EnSite
#TactiFlex
#ViewFlex

Innovative Health is still the only #reprocessor that can offer #reprocessed #ViewFlex from St. Jude – and we have recently added several other #FDA #clearances, so #EP #labs can #save more from their #reprocessing #program. hubs.ly/H0fGWdp0

Innov_Health's tweet image. Innovative Health is still the only #reprocessor that can offer #reprocessed #ViewFlex from St. Jude – and we have recently added several other #FDA #clearances, so #EP #labs can #save more from their #reprocessing #program.  hubs.ly/H0fGWdp0

Correlation of electroanatomic mapping with ICE #ViewFlex and rendered CT emphasizing size of left common #PMA

Arek_EP's tweet image. Correlation of electroanatomic mapping with ICE #ViewFlex and rendered CT emphasizing size of left common #PMA

Loading...

Something went wrong.


Something went wrong.


United States Trends