#cvimaging search results

New multi-society Advanced Training Statement on Advanced #cvImaging addresses the core competencies & training requirements necessary for advanced CV imagers across all 4 imaging modalities – echocardiography, CCT, nuclear cardiology & #CMR. jacc.org/doi/10.1016/j.… #JACC

JACCJournals's tweet image. New multi-society Advanced Training Statement on Advanced #cvImaging addresses the core competencies & training requirements necessary for advanced CV imagers across all 4 imaging modalities – echocardiography, CCT, nuclear cardiology & #CMR. jacc.org/doi/10.1016/j.… #JACC

New EACVI consensus on multimodality imaging in hypertrophic cardiomyopathy! Discover insights on sex differences, athlete’s heart, pregnancy phenotype, and key imaging recommendations across modalities 🧠👉 ow.ly/RjMP50Xp91T #EHJCVI @EACVIPresident #CVImaging #EchoFirst

ESC_Journals's tweet image. New EACVI consensus on multimodality imaging in hypertrophic cardiomyopathy! Discover insights on sex differences, athlete’s heart, pregnancy phenotype, and key imaging recommendations across modalities 🧠👉 ow.ly/RjMP50Xp91T 

#EHJCVI @EACVIPresident #CVImaging #EchoFirst…

Please join us tomorrow for the visiting #Cardiology #GrandRounds with our guest speaker Dr. Andrew Arai from @UofUCV @UofUDepMedicine @UUtah 🗓️Nov. 19, 2025 ⏰ 12 - 1 PM EST 🔗 Register at bit.ly/uoflVGR @uofl @UofLMedicine @UofLHealth @UUcvsl @UofUHealth #cvImaging

UofLCardiology's tweet image. Please join us tomorrow for the visiting #Cardiology #GrandRounds with our guest speaker Dr. Andrew Arai
from @UofUCV @UofUDepMedicine @UUtah 
🗓️Nov. 19, 2025
⏰ 12 - 1 PM EST
🔗 Register at bit.ly/uoflVGR 
@uofl @UofLMedicine @UofLHealth @UUcvsl @UofUHealth #cvImaging

Join experts from #ACCImaging Member Section on Tuesday, Nov. 25 at 6 p.m. ET for a webinar discussing the multi-society 2025 Advanced Training Statement on Advanced #cvImaging and the importance of multimodality CV imaging training. More: bit.ly/4po7dJu @RonBlankstein

ACCinTouch's tweet image. Join experts from #ACCImaging Member Section on Tuesday, Nov. 25 at 6 p.m. ET for a webinar discussing the multi-society 2025 Advanced Training Statement on Advanced #cvImaging and the importance of multimodality CV imaging training.

More: bit.ly/4po7dJu @RonBlankstein

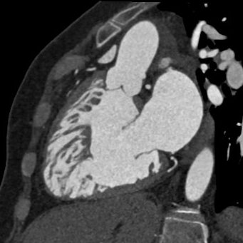
Hard not to love #yesCCT! Mechanical mitral valve assessment pre and post tPA in pt with very challanging #echofirst images. #CVimaging @Kfarooqi @rooshaparikh @OKhaliqueMD @purviparwani @onco_cardiology @tiffchenMD @Steph_Achenbach @Doc_Tiger @Heart_SCCT @HeartPlano

AmroAlsaid's tweet image. Hard not to love #yesCCT! Mechanical mitral valve assessment  pre and post tPA in pt with very challanging #echofirst images. #CVimaging @Kfarooqi @rooshaparikh @OKhaliqueMD @purviparwani @onco_cardiology @tiffchenMD @Steph_Achenbach @Doc_Tiger @Heart_SCCT @HeartPlano
AmroAlsaid's tweet image. Hard not to love #yesCCT! Mechanical mitral valve assessment  pre and post tPA in pt with very challanging #echofirst images. #CVimaging @Kfarooqi @rooshaparikh @OKhaliqueMD @purviparwani @onco_cardiology @tiffchenMD @Steph_Achenbach @Doc_Tiger @Heart_SCCT @HeartPlano

A 🆕 multi-society Advanced Training Statement on Advanced #cvImaging addresses the core competencies & training requirements necessary for advanced cardiovascular imagers across all four imaging modalities – #cvEcho, CCT, nuclear cardiology & CMR. More: bit.ly/4pjDYHu

ACCinTouch's tweet image. A 🆕 multi-society Advanced Training Statement on Advanced #cvImaging addresses the core competencies & training requirements necessary for advanced cardiovascular imagers across all four imaging modalities – #cvEcho, CCT, nuclear cardiology & CMR.

More: bit.ly/4pjDYHu

#EHJCVI 🫀 What are the differences between current diastolic dysfunction guidelines? 📖 This editorial by @jgrapsa, @argulian, @OttoSmiseth reviews key differences and their impact 👉 Read more: doi.org/10.1093/ehjci/… #EchoFirst #CVImaging #Echocardiography

EHJCVIEiC's tweet image. #EHJCVI 🫀 What are the differences between current diastolic dysfunction guidelines? 📖 This editorial by @jgrapsa, @argulian, @OttoSmiseth reviews key differences and their impact 👉 Read more: doi.org/10.1093/ehjci/… #EchoFirst #CVImaging #Echocardiography

Congratulations @RonBlankstein Master clinician, researcher and mentor to so many of us #yesCCT #SCCT2025 Thank you for everything that you do for your patients, trainees, friends and #CVimaging world!

purviparwani's tweet image. Congratulations @RonBlankstein 
Master clinician, researcher and mentor to so many of us #yesCCT #SCCT2025 
Thank you for everything that you do for your patients, trainees, friends and #CVimaging world!
purviparwani's tweet image. Congratulations @RonBlankstein 
Master clinician, researcher and mentor to so many of us #yesCCT #SCCT2025 
Thank you for everything that you do for your patients, trainees, friends and #CVimaging world!
purviparwani's tweet image. Congratulations @RonBlankstein 
Master clinician, researcher and mentor to so many of us #yesCCT #SCCT2025 
Thank you for everything that you do for your patients, trainees, friends and #CVimaging world!

#EHJCVI 🏃‍♂️ Dilated athlete’s heart or mild dilated cardiomyopathy? CMR reveals that septal fibrosis is rare in athletes, who show lower native T1 and ECV, but higher RVEDVi and MBP, with an AUC ≈ 0.85 for ECV 🫀📊 👉 Read more: doi.org/10.1093/ehjci/… #CVImaging #whyCMR

EHJCVIEiC's tweet image. #EHJCVI 🏃‍♂️ Dilated athlete’s heart or mild dilated cardiomyopathy? CMR reveals that septal fibrosis is rare in athletes, who show lower native T1 and ECV, but higher RVEDVi and MBP, with an AUC ≈ 0.85 for ECV 🫀📊 👉 Read more: doi.org/10.1093/ehjci/… #CVImaging #whyCMR

Honored to serve as a judge at the Melvin Judkins Early Career Clinical Investigator Award Competition at #AHA25! Join us as the exceptional early career investigators present innovative research shaping the future of #Cardiology and #CVImaging. 🗓️ Sat, Nov 8 | 9:45–11:00 AM…

purviparwani's tweet image. Honored to serve as a judge at the Melvin Judkins Early Career Clinical Investigator Award Competition at #AHA25!

Join us as the exceptional early career investigators present innovative research shaping the future of #Cardiology and #CVImaging.

🗓️ Sat, Nov 8 | 9:45–11:00 AM…
purviparwani's tweet image. Honored to serve as a judge at the Melvin Judkins Early Career Clinical Investigator Award Competition at #AHA25!

Join us as the exceptional early career investigators present innovative research shaping the future of #Cardiology and #CVImaging.

🗓️ Sat, Nov 8 | 9:45–11:00 AM…
purviparwani's tweet image. Honored to serve as a judge at the Melvin Judkins Early Career Clinical Investigator Award Competition at #AHA25!

Join us as the exceptional early career investigators present innovative research shaping the future of #Cardiology and #CVImaging.

🗓️ Sat, Nov 8 | 9:45–11:00 AM…

#echofirst preop TTE & intraop TEE in a young adult patient with mitral arcade & BAV 1️⃣-5️⃣ Wide angled acquisition 2️⃣-4️⃣ Triplane imaging 3️⃣ Multi-slice imaging 🔘 Mitral arcade (👀 LV aspect) 🔘 Hammock MV (👀 LA aspect) 🔘 Parachute MV (👀 LV aspect) @ASE360 #CVImaging


Advance your imaging skills with case-based CME in Telluride. Expert lectures & hands-on workshops offer state-of-the-art techniques and multi-modality cardiac imaging to take back to your practice. See you there! tinyurl.com/bdfmwkxy #ACCEd #cvImaging #cvEcho @MarthaGrogan1

MayoClinicCV's tweet image. Advance your imaging skills with case-based CME in Telluride. Expert lectures & hands-on workshops offer state-of-the-art techniques and multi-modality cardiac imaging to take back to your practice. See you there! tinyurl.com/bdfmwkxy #ACCEd #cvImaging #cvEcho @MarthaGrogan1

Fantastic line up to discuss plaque Imaging this morning at #AHA25 #CVimaging #ACCImaging Come join us in room 275-277 @CardioMDPhD @md_addison

purviparwani's tweet image. Fantastic line up to discuss plaque Imaging this morning at #AHA25 #CVimaging #ACCImaging 
Come join us in room 275-277
@CardioMDPhD @md_addison
purviparwani's tweet image. Fantastic line up to discuss plaque Imaging this morning at #AHA25 #CVimaging #ACCImaging 
Come join us in room 275-277
@CardioMDPhD @md_addison

The document emphasizes that imaging specialists aren’t test readers—they are consultants. They help choose the right test, interpret results in Clinical context, and influence management across the whole patient journey. #CVImaging #TeamBasedCare #CVImaging #ACCImaging #CardioX

purviparwani's tweet image. The document emphasizes that imaging specialists aren’t test readers—they are consultants. They help choose the right test, interpret results in Clinical context, and influence management across the whole patient journey.
#CVImaging #TeamBasedCare #CVImaging #ACCImaging  #CardioX…
purviparwani's tweet image. The document emphasizes that imaging specialists aren’t test readers—they are consultants. They help choose the right test, interpret results in Clinical context, and influence management across the whole patient journey.
#CVImaging #TeamBasedCare #CVImaging #ACCImaging  #CardioX…

Here’s a 6-point nuanced update from the 2025 ESC/EAS Dyslipidaemia Guidelines #ESCCongress 1.Risk Refinement with Imaging: #yesCCT #CVimaging CAC scoring and subclinical atherosclerosis imaging are upgraded to Class IIa, Level B for refining risk in moderate-risk patients or…

purviparwani's tweet image. Here’s a 6-point nuanced update from the 2025 ESC/EAS Dyslipidaemia Guidelines #ESCCongress 

1.Risk Refinement with Imaging:
#yesCCT #CVimaging 
CAC scoring and subclinical atherosclerosis imaging are upgraded to Class IIa, Level B for refining risk in moderate-risk patients or…
purviparwani's tweet image. Here’s a 6-point nuanced update from the 2025 ESC/EAS Dyslipidaemia Guidelines #ESCCongress 

1.Risk Refinement with Imaging:
#yesCCT #CVimaging 
CAC scoring and subclinical atherosclerosis imaging are upgraded to Class IIa, Level B for refining risk in moderate-risk patients or…
purviparwani's tweet image. Here’s a 6-point nuanced update from the 2025 ESC/EAS Dyslipidaemia Guidelines #ESCCongress 

1.Risk Refinement with Imaging:
#yesCCT #CVimaging 
CAC scoring and subclinical atherosclerosis imaging are upgraded to Class IIa, Level B for refining risk in moderate-risk patients or…
purviparwani's tweet image. Here’s a 6-point nuanced update from the 2025 ESC/EAS Dyslipidaemia Guidelines #ESCCongress 

1.Risk Refinement with Imaging:
#yesCCT #CVimaging 
CAC scoring and subclinical atherosclerosis imaging are upgraded to Class IIa, Level B for refining risk in moderate-risk patients or…

Congratulations Dr. Damini Dey @CedarsSinai on receiving the 2025 Achenbach award! Thank you for your contribution to the world of #yesCCT #CVimaging #SCCT2025 “Thank you Damini for making the plaque imaging cool before it was a thing” Dr. Kavitha Chinnaiyan

purviparwani's tweet image. Congratulations Dr. Damini Dey @CedarsSinai on receiving the 2025 Achenbach award! Thank you for your contribution to the world of #yesCCT #CVimaging #SCCT2025 

“Thank you Damini for making the plaque imaging cool before it was a thing”  
Dr. Kavitha Chinnaiyan
purviparwani's tweet image. Congratulations Dr. Damini Dey @CedarsSinai on receiving the 2025 Achenbach award! Thank you for your contribution to the world of #yesCCT #CVimaging #SCCT2025 

“Thank you Damini for making the plaque imaging cool before it was a thing”  
Dr. Kavitha Chinnaiyan
purviparwani's tweet image. Congratulations Dr. Damini Dey @CedarsSinai on receiving the 2025 Achenbach award! Thank you for your contribution to the world of #yesCCT #CVimaging #SCCT2025 

“Thank you Damini for making the plaque imaging cool before it was a thing”  
Dr. Kavitha Chinnaiyan

Accurate PAWP via echo sans LA data? Game-changer for prognosis—your thoughts? 📊 #EHJIMP #EchoFirst #CVImaging doi.org/null


Join experts from #ACCImaging Member Section on Tuesday, Nov. 25 at 6 p.m. ET for a webinar discussing the multi-society 2025 Advanced Training Statement on Advanced #cvImaging and the importance of multimodality CV imaging training. More: bit.ly/4po7dJu @RonBlankstein

ACCinTouch's tweet image. Join experts from #ACCImaging Member Section on Tuesday, Nov. 25 at 6 p.m. ET for a webinar discussing the multi-society 2025 Advanced Training Statement on Advanced #cvImaging and the importance of multimodality CV imaging training.

More: bit.ly/4po7dJu @RonBlankstein

Mavacamten & mitral length in HCM: Breakthrough or hype? Weigh in! ❤️ #EHJIMP #CVImaging doi.org/null


📚 New #ICRJournal Article: "PCI Strategies for Calcified Lesions: Systematic Review" 📚 Just Published! 🔓Access it here 👉 ow.ly/lOQn106qvIH #CVImaging #MedEd

radcliffeCARDIO's tweet image. 📚 New #ICRJournal Article: "PCI Strategies for Calcified Lesions: Systematic Review"

📚 Just Published!

🔓Access it here 👉 ow.ly/lOQn106qvIH

 #CVImaging #MedEd

The training pathway clarifies that fellows start with core multimodality competence—then may choose to go deeper in one modality. But all advanced imagers should understand the strengths/limitations of all four. #FellowshipTraining #CVimaging #ACCimaging


A major theme: integration > interpretation. It’s no longer enough to read a CMR or an Echo alone. The future imager synthesizes all prior studies, clinical data, and risk factors to give actionable recommendations. #PrecisionMedicine #CVimaging #Cardiotwitter #medtwitter


The statement stresses multidisciplinary collaboration. Imaging trainees should work closely with Interventional/structural team, EP, HF, CT surgeons, emergency medicine, oncology, and critical care—as #CVimaging drives decisions across all areas. #HeartTeam


The workflow highlights the advanced imager’s role: →understand the clinical question → select the right modality → oversee acquisition → interpret findings → integrate across tests → communicate clearly with the care team. #Cardiology #CVImaging #ACCImaging

purviparwani's tweet image. The workflow highlights the advanced imager’s role: 
→understand the clinical question 
→ select the right modality 
→ oversee acquisition 
→ interpret findings 
→ integrate across tests 
→ communicate clearly with the care team.
#Cardiology #CVImaging #ACCImaging
purviparwani's tweet image. The workflow highlights the advanced imager’s role: 
→understand the clinical question 
→ select the right modality 
→ oversee acquisition 
→ interpret findings 
→ integrate across tests 
→ communicate clearly with the care team.
#Cardiology #CVImaging #ACCImaging
purviparwani's tweet image. The workflow highlights the advanced imager’s role: 
→understand the clinical question 
→ select the right modality 
→ oversee acquisition 
→ interpret findings 
→ integrate across tests 
→ communicate clearly with the care team.
#Cardiology #CVImaging #ACCImaging
purviparwani's tweet image. The workflow highlights the advanced imager’s role: 
→understand the clinical question 
→ select the right modality 
→ oversee acquisition 
→ interpret findings 
→ integrate across tests 
→ communicate clearly with the care team.
#Cardiology #CVImaging #ACCImaging

The document emphasizes that imaging specialists aren’t test readers—they are consultants. They help choose the right test, interpret results in Clinical context, and influence management across the whole patient journey. #CVImaging #TeamBasedCare #CVImaging #ACCImaging #CardioX

purviparwani's tweet image. The document emphasizes that imaging specialists aren’t test readers—they are consultants. They help choose the right test, interpret results in Clinical context, and influence management across the whole patient journey.
#CVImaging #TeamBasedCare #CVImaging #ACCImaging  #CardioX…
purviparwani's tweet image. The document emphasizes that imaging specialists aren’t test readers—they are consultants. They help choose the right test, interpret results in Clinical context, and influence management across the whole patient journey.
#CVImaging #TeamBasedCare #CVImaging #ACCImaging  #CardioX…

#cvImaging is a powerful tool in managing obesity, helping clinicians visualize fat distribution & detect complications like fatty liver disease or heart issues. In this #ACCEL Lite interview, experts discuss the role of imaging in managing obesity. 👇 bit.ly/484JLtp


A 🆕 multi-society Advanced Training Statement on Advanced #cvImaging addresses the core competencies & training requirements necessary for advanced cardiovascular imagers across all four imaging modalities – #cvEcho, CCT, nuclear cardiology & CMR. More: bit.ly/4pjDYHu

ACCinTouch's tweet image. A 🆕 multi-society Advanced Training Statement on Advanced #cvImaging addresses the core competencies & training requirements necessary for advanced cardiovascular imagers across all four imaging modalities – #cvEcho, CCT, nuclear cardiology & CMR.

More: bit.ly/4pjDYHu

Cardio-obstetrics imaging model? Baroni et al. advocate multidisciplinary—safer pregnancies ahead! 🤰 #EHJIMP #CVImaging doi.org/10.1093/ehjimp…


Advance your imaging skills with case-based CME in Telluride. Expert lectures & hands-on workshops offer state-of-the-art techniques and multi-modality cardiac imaging to take back to your practice. See you there! tinyurl.com/bdfmwkxy #ACCEd #cvImaging #cvEcho @MarthaGrogan1

MayoClinicCV's tweet image. Advance your imaging skills with case-based CME in Telluride. Expert lectures & hands-on workshops offer state-of-the-art techniques and multi-modality cardiac imaging to take back to your practice. See you there! tinyurl.com/bdfmwkxy #ACCEd #cvImaging #cvEcho @MarthaGrogan1

New EACVI consensus on multimodality imaging in hypertrophic cardiomyopathy! Discover insights on sex differences, athlete’s heart, pregnancy phenotype, and key imaging recommendations across modalities 🧠👉 ow.ly/RjMP50Xp91T #EHJCVI @EACVIPresident #CVImaging #EchoFirst

ESC_Journals's tweet image. New EACVI consensus on multimodality imaging in hypertrophic cardiomyopathy! Discover insights on sex differences, athlete’s heart, pregnancy phenotype, and key imaging recommendations across modalities 🧠👉 ow.ly/RjMP50Xp91T 

#EHJCVI @EACVIPresident #CVImaging #EchoFirst…

Hard not to love #yesCCT! Mechanical mitral valve assessment pre and post tPA in pt with very challanging #echofirst images. #CVimaging @Kfarooqi @rooshaparikh @OKhaliqueMD @purviparwani @onco_cardiology @tiffchenMD @Steph_Achenbach @Doc_Tiger @Heart_SCCT @HeartPlano

AmroAlsaid's tweet image. Hard not to love #yesCCT! Mechanical mitral valve assessment  pre and post tPA in pt with very challanging #echofirst images. #CVimaging @Kfarooqi @rooshaparikh @OKhaliqueMD @purviparwani @onco_cardiology @tiffchenMD @Steph_Achenbach @Doc_Tiger @Heart_SCCT @HeartPlano
AmroAlsaid's tweet image. Hard not to love #yesCCT! Mechanical mitral valve assessment  pre and post tPA in pt with very challanging #echofirst images. #CVimaging @Kfarooqi @rooshaparikh @OKhaliqueMD @purviparwani @onco_cardiology @tiffchenMD @Steph_Achenbach @Doc_Tiger @Heart_SCCT @HeartPlano

#EHJCVI 🏃‍♂️ Dilated athlete’s heart or mild dilated cardiomyopathy? CMR reveals that septal fibrosis is rare in athletes, who show lower native T1 and ECV, but higher RVEDVi and MBP, with an AUC ≈ 0.85 for ECV 🫀📊 👉 Read more: doi.org/10.1093/ehjci/… #CVImaging #whyCMR

EHJCVIEiC's tweet image. #EHJCVI 🏃‍♂️ Dilated athlete’s heart or mild dilated cardiomyopathy? CMR reveals that septal fibrosis is rare in athletes, who show lower native T1 and ECV, but higher RVEDVi and MBP, with an AUC ≈ 0.85 for ECV 🫀📊 👉 Read more: doi.org/10.1093/ehjci/… #CVImaging #whyCMR

Congratulations @RonBlankstein Master clinician, researcher and mentor to so many of us #yesCCT #SCCT2025 Thank you for everything that you do for your patients, trainees, friends and #CVimaging world!

purviparwani's tweet image. Congratulations @RonBlankstein 
Master clinician, researcher and mentor to so many of us #yesCCT #SCCT2025 
Thank you for everything that you do for your patients, trainees, friends and #CVimaging world!
purviparwani's tweet image. Congratulations @RonBlankstein 
Master clinician, researcher and mentor to so many of us #yesCCT #SCCT2025 
Thank you for everything that you do for your patients, trainees, friends and #CVimaging world!
purviparwani's tweet image. Congratulations @RonBlankstein 
Master clinician, researcher and mentor to so many of us #yesCCT #SCCT2025 
Thank you for everything that you do for your patients, trainees, friends and #CVimaging world!

Advance your imaging skills with case-based CME in Telluride. Expert lectures & hands-on workshops offer state-of-the-art techniques and multi-modality cardiac imaging to take back to your practice. See you there! tinyurl.com/bdfmwkxy #ACCEd #cvImaging #cvEcho @MarthaGrogan1

MayoClinicCV's tweet image. Advance your imaging skills with case-based CME in Telluride. Expert lectures & hands-on workshops offer state-of-the-art techniques and multi-modality cardiac imaging to take back to your practice. See you there! tinyurl.com/bdfmwkxy #ACCEd #cvImaging #cvEcho @MarthaGrogan1

#EHJCVI 🫀 What are the differences between current diastolic dysfunction guidelines? 📖 This editorial by @jgrapsa, @argulian, @OttoSmiseth reviews key differences and their impact 👉 Read more: doi.org/10.1093/ehjci/… #EchoFirst #CVImaging #Echocardiography

EHJCVIEiC's tweet image. #EHJCVI 🫀 What are the differences between current diastolic dysfunction guidelines? 📖 This editorial by @jgrapsa, @argulian, @OttoSmiseth reviews key differences and their impact 👉 Read more: doi.org/10.1093/ehjci/… #EchoFirst #CVImaging #Echocardiography

Here’s a 6-point nuanced update from the 2025 ESC/EAS Dyslipidaemia Guidelines #ESCCongress 1.Risk Refinement with Imaging: #yesCCT #CVimaging CAC scoring and subclinical atherosclerosis imaging are upgraded to Class IIa, Level B for refining risk in moderate-risk patients or…

purviparwani's tweet image. Here’s a 6-point nuanced update from the 2025 ESC/EAS Dyslipidaemia Guidelines #ESCCongress 

1.Risk Refinement with Imaging:
#yesCCT #CVimaging 
CAC scoring and subclinical atherosclerosis imaging are upgraded to Class IIa, Level B for refining risk in moderate-risk patients or…
purviparwani's tweet image. Here’s a 6-point nuanced update from the 2025 ESC/EAS Dyslipidaemia Guidelines #ESCCongress 

1.Risk Refinement with Imaging:
#yesCCT #CVimaging 
CAC scoring and subclinical atherosclerosis imaging are upgraded to Class IIa, Level B for refining risk in moderate-risk patients or…
purviparwani's tweet image. Here’s a 6-point nuanced update from the 2025 ESC/EAS Dyslipidaemia Guidelines #ESCCongress 

1.Risk Refinement with Imaging:
#yesCCT #CVimaging 
CAC scoring and subclinical atherosclerosis imaging are upgraded to Class IIa, Level B for refining risk in moderate-risk patients or…
purviparwani's tweet image. Here’s a 6-point nuanced update from the 2025 ESC/EAS Dyslipidaemia Guidelines #ESCCongress 

1.Risk Refinement with Imaging:
#yesCCT #CVimaging 
CAC scoring and subclinical atherosclerosis imaging are upgraded to Class IIa, Level B for refining risk in moderate-risk patients or…

Busy #CVimaging day! Reading #whyCMR and #yesCCT late with fellows but we all stopped to witness Nature’s daily ritual of disappearing to reemerge ❤️ Window offices for #CVimagers are essential! #SunsetViews #Socal

purviparwani's tweet image. Busy #CVimaging day! 
Reading #whyCMR and #yesCCT late with fellows but we all stopped to witness Nature’s daily ritual of disappearing to reemerge ❤️ 

Window offices for #CVimagers are essential! 
#SunsetViews #Socal
purviparwani's tweet image. Busy #CVimaging day! 
Reading #whyCMR and #yesCCT late with fellows but we all stopped to witness Nature’s daily ritual of disappearing to reemerge ❤️ 

Window offices for #CVimagers are essential! 
#SunsetViews #Socal
purviparwani's tweet image. Busy #CVimaging day! 
Reading #whyCMR and #yesCCT late with fellows but we all stopped to witness Nature’s daily ritual of disappearing to reemerge ❤️ 

Window offices for #CVimagers are essential! 
#SunsetViews #Socal

Please join us tomorrow for the visiting #Cardiology #GrandRounds with our guest speaker Dr. Andrew Arai from @UofUCV @UofUDepMedicine @UUtah 🗓️Nov. 19, 2025 ⏰ 12 - 1 PM EST 🔗 Register at bit.ly/uoflVGR @uofl @UofLMedicine @UofLHealth @UUcvsl @UofUHealth #cvImaging

UofLCardiology's tweet image. Please join us tomorrow for the visiting #Cardiology #GrandRounds with our guest speaker Dr. Andrew Arai
from @UofUCV @UofUDepMedicine @UUtah 
🗓️Nov. 19, 2025
⏰ 12 - 1 PM EST
🔗 Register at bit.ly/uoflVGR 
@uofl @UofLMedicine @UofLHealth @UUcvsl @UofUHealth #cvImaging

Ready to boost your echo expertise? Echo Fiesta delivers a practical review of traditional imaging techniques and the latest in newer techniques for physicians and sonographers. Don’t miss out! tinyurl.com/vrkdfmd3 #ACCEd #CVImaging #cvEcho @MarthaGrogan1

MayoClinicCV's tweet image. Ready to boost your echo expertise? Echo Fiesta delivers a practical review of traditional imaging techniques and the latest in newer techniques for physicians and sonographers. Don’t miss out! tinyurl.com/vrkdfmd3 #ACCEd #CVImaging #cvEcho @MarthaGrogan1

New multi-society Advanced Training Statement on Advanced #cvImaging addresses the core competencies & training requirements necessary for advanced CV imagers across all 4 imaging modalities – echocardiography, CCT, nuclear cardiology & #CMR. jacc.org/doi/10.1016/j.… #JACC

JACCJournals's tweet image. New multi-society Advanced Training Statement on Advanced #cvImaging addresses the core competencies & training requirements necessary for advanced CV imagers across all 4 imaging modalities – echocardiography, CCT, nuclear cardiology & #CMR. jacc.org/doi/10.1016/j.… #JACC

Fantastic line up to discuss plaque Imaging this morning at #AHA25 #CVimaging #ACCImaging Come join us in room 275-277 @CardioMDPhD @md_addison

purviparwani's tweet image. Fantastic line up to discuss plaque Imaging this morning at #AHA25 #CVimaging #ACCImaging 
Come join us in room 275-277
@CardioMDPhD @md_addison
purviparwani's tweet image. Fantastic line up to discuss plaque Imaging this morning at #AHA25 #CVimaging #ACCImaging 
Come join us in room 275-277
@CardioMDPhD @md_addison

Stress CMR-guided #cvImaging in patients w/ chest pain & nonobstructive #cvCAD was superior to angiography only in correctly diagnosing microvascular angina & improving chest pain symptoms & QoL, based on findings from CorCMR trial presented at #AHA25. 🔗 bit.ly/4hRZ0dJ

ACCinTouch's tweet image. Stress CMR-guided #cvImaging in patients w/ chest pain & nonobstructive #cvCAD was superior to angiography only in correctly diagnosing microvascular angina & improving chest pain symptoms & QoL, based on findings from CorCMR trial presented at #AHA25. 🔗 bit.ly/4hRZ0dJ

Congratulations Dr. Damini Dey @CedarsSinai on receiving the 2025 Achenbach award! Thank you for your contribution to the world of #yesCCT #CVimaging #SCCT2025 “Thank you Damini for making the plaque imaging cool before it was a thing” Dr. Kavitha Chinnaiyan

purviparwani's tweet image. Congratulations Dr. Damini Dey @CedarsSinai on receiving the 2025 Achenbach award! Thank you for your contribution to the world of #yesCCT #CVimaging #SCCT2025 

“Thank you Damini for making the plaque imaging cool before it was a thing”  
Dr. Kavitha Chinnaiyan
purviparwani's tweet image. Congratulations Dr. Damini Dey @CedarsSinai on receiving the 2025 Achenbach award! Thank you for your contribution to the world of #yesCCT #CVimaging #SCCT2025 

“Thank you Damini for making the plaque imaging cool before it was a thing”  
Dr. Kavitha Chinnaiyan
purviparwani's tweet image. Congratulations Dr. Damini Dey @CedarsSinai on receiving the 2025 Achenbach award! Thank you for your contribution to the world of #yesCCT #CVimaging #SCCT2025 

“Thank you Damini for making the plaque imaging cool before it was a thing”  
Dr. Kavitha Chinnaiyan

Join experts from #ACCImaging Member Section on Tuesday, Nov. 25 at 6 p.m. ET for a webinar discussing the multi-society 2025 Advanced Training Statement on Advanced #cvImaging and the importance of multimodality CV imaging training. More: bit.ly/4po7dJu @RonBlankstein

ACCinTouch's tweet image. Join experts from #ACCImaging Member Section on Tuesday, Nov. 25 at 6 p.m. ET for a webinar discussing the multi-society 2025 Advanced Training Statement on Advanced #cvImaging and the importance of multimodality CV imaging training.

More: bit.ly/4po7dJu @RonBlankstein

#echofirst myxoma or thrombus ? presented by the master of dilemmas solving 🏆 @alexsfelixecho 🌟 #3DEchoBerlin case corner following the EACVI Guidelines #CVImaging & discussions

alex1708ander's tweet image. #echofirst myxoma or thrombus ? presented by the master of dilemmas solving 🏆 @alexsfelixecho 🌟 #3DEchoBerlin case corner following the EACVI Guidelines #CVImaging & discussions

🚨 Late-Breaking Science @ #EACVI2025 🚨 Got groundbreaking #CVImaging research? 🫀 📢 Submissions are still open 30 Sep 2025 12:00 CET Categories: 🔹 Late-Breaking Clinical Trial 🔹 Registry Data 🔹 Clinical Trial Update 🔹 Basic & Translational Science 👉 Be part of the…

EACVIPresident's tweet image. 🚨 Late-Breaking Science @ #EACVI2025 🚨
Got groundbreaking #CVImaging research? 🫀
📢 Submissions are still open 30 Sep 2025 12:00 CET

Categories:
🔹 Late-Breaking Clinical Trial
🔹 Registry Data
🔹 Clinical Trial Update
🔹 Basic & Translational Science

👉 Be part of the…

A 🆕 multi-society Advanced Training Statement on Advanced #cvImaging addresses the core competencies & training requirements necessary for advanced cardiovascular imagers across all four imaging modalities – #cvEcho, CCT, nuclear cardiology & CMR. More: bit.ly/4pjDYHu

ACCinTouch's tweet image. A 🆕 multi-society Advanced Training Statement on Advanced #cvImaging addresses the core competencies & training requirements necessary for advanced cardiovascular imagers across all four imaging modalities – #cvEcho, CCT, nuclear cardiology & CMR.

More: bit.ly/4pjDYHu

Loading...

Something went wrong.


Something went wrong.


United States Trends