#neuroteaching search results

Panayiotopoulos syndrome is one of the benign focal epilepsies of childhood (aka self-limited epilepsies of pediatric age). It’s characterized by prolonged seizures with autonomic features and a typical EEG with occipital discharges, as this images show. #Epiteca #neuroteaching

EpilepsiaRuber's tweet image. Panayiotopoulos syndrome is one of the benign focal epilepsies of childhood (aka self-limited epilepsies of pediatric age). It’s characterized by prolonged seizures with autonomic features and a typical EEG with occipital discharges, as this images show.

#Epiteca #neuroteaching

Una de las pruebas con mayor utilidad en epilepsia es el PET cerebral de glucosa. Este paciente tiene una malformación del desarrollo cortical con actividad epileptiforme contínua centrotemporal izquierda y un PET con hipermetabolismo en la misma región. #Epiteca #Neuroteaching

EpilepsiaRuber's tweet image. Una de las pruebas con mayor utilidad en epilepsia es el PET cerebral de glucosa. Este paciente tiene una malformación del desarrollo cortical con actividad epileptiforme contínua centrotemporal izquierda y un PET con hipermetabolismo en la misma región.

#Epiteca #Neuroteaching

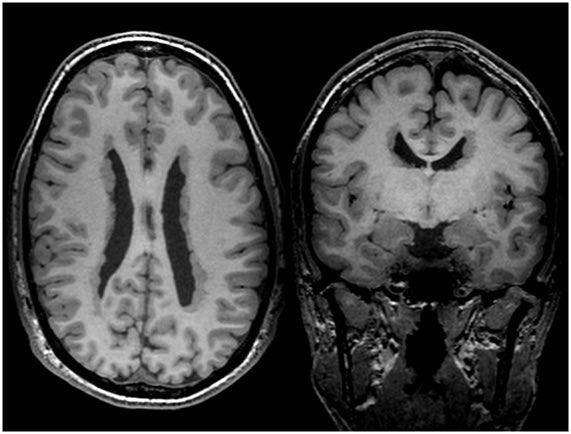
Las heterotopias nodulares periventriculares son un tipo de malformación del desarrollo cortical que causan epilepsia fármacorresistente. En esta RM T1 podemos ver los nódulos de sustancia gris ectópica en la pared de los ventrículos cerebrales. #Epitecaproject #Neuroteaching

EpilepsiaRuber's tweet image. Las heterotopias nodulares periventriculares son un tipo de malformación del desarrollo cortical  que causan epilepsia fármacorresistente. En esta RM T1  podemos ver los nódulos de sustancia gris ectópica en la pared de los ventrículos cerebrales.

#Epitecaproject #Neuroteaching

Hemat Saya,... Para Guru Yang Telah Belajar Otak, Memiliki Kelebihan Dalam Merancang Dan Menjalankan Aktivitas Belajar-Mengajarnya. (*dr.Amir Zuhdi) #Neuroteaching #Neuroparenting

amirzuhdi's tweet image. Hemat Saya,...
Para Guru Yang Telah Belajar Otak,
Memiliki Kelebihan Dalam Merancang
Dan Menjalankan Aktivitas Belajar-Mengajarnya.

(*dr.Amir Zuhdi)

#Neuroteaching 
#Neuroparenting

Upcoming teaching day - it’s not on memory but in case you have misplaced your timetable, here it is 😉 #calmanday #neuroteaching #neurology #teaching

EastNeurology's tweet image. Upcoming teaching day - it’s not on memory but in case you have misplaced your timetable, here it is 😉 #calmanday #neuroteaching #neurology #teaching

An easy guide for evaluating motor neuropathy #NeuroEducation #MedTwitter #NeuroTeaching #GBS #NeuroCases

SikandarAdwani's tweet image. An easy guide for evaluating motor neuropathy 

#NeuroEducation
#MedTwitter
#NeuroTeaching
#GBS
#NeuroCases

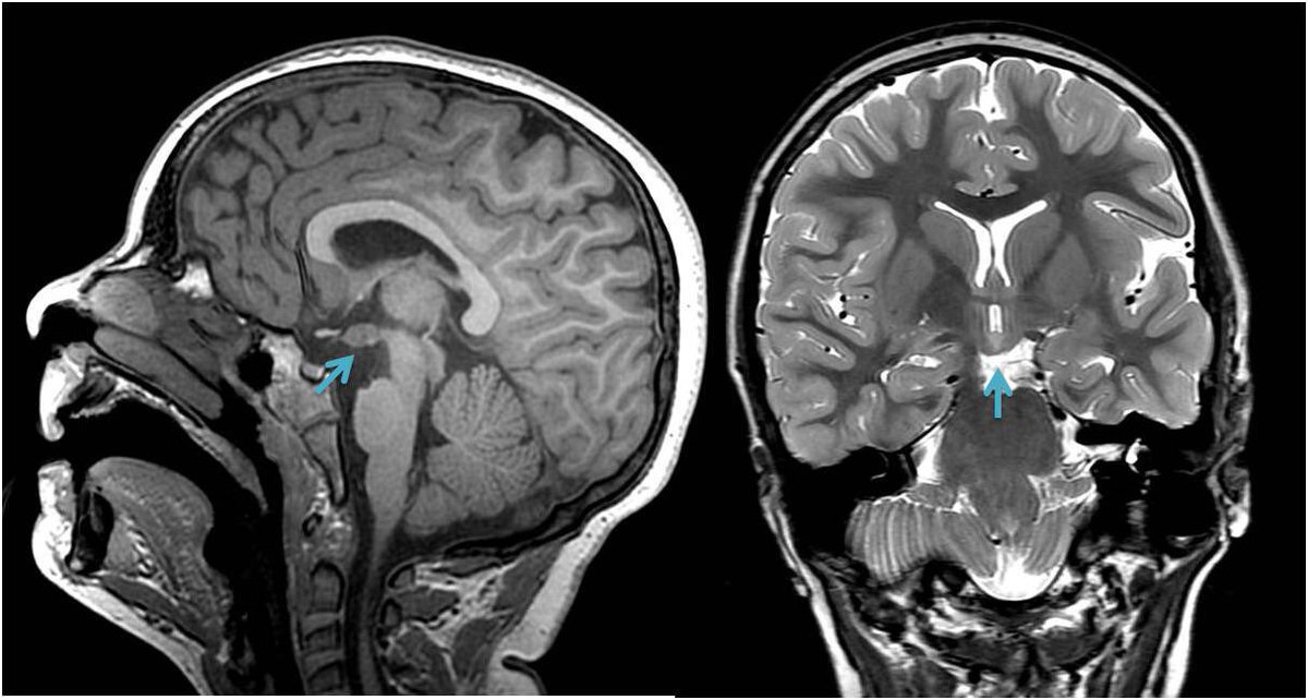
El hamartoma hipotalámico es una causa de epilepsia, cuya manifestación más típica son las crisis de risa o crisis “gelásticas”. Aquí vemos un ejemplo en RM (flecha): en corte sagital T1 (izquierda) y coronal T2 (derecha). #Epiteca #Neuroteaching #epilepsyawareness

EpilepsiaRuber's tweet image. El hamartoma hipotalámico es una causa de epilepsia, cuya manifestación más típica son las crisis de risa o crisis “gelásticas”. Aquí vemos un ejemplo en RM (flecha): en corte sagital T1 (izquierda)  y coronal T2 (derecha).

#Epiteca #Neuroteaching #epilepsyawareness

RT @EastNeurology: Upcoming teaching day - it’s not on memory but in case you have misplaced your timetable, here it is 😉 #calmanday #neuroteaching #neurology #teaching

Educated_Change's tweet image. RT @EastNeurology: Upcoming teaching day - it’s not on memory but in case you have misplaced your timetable, here it is 😉 #calmanday #neuroteaching #neurology #teaching

Information Processing Theory (IPT). Quality instruction should align with how people learn. #NeuroTeaching

RolewskiMark's tweet image. Information Processing Theory (IPT).  Quality instruction should align with how people learn.  #NeuroTeaching

Another great Level 1 Neuro study day! Always love teaching on these days, and listening to the other speakers 😁 🧠 @NmskNbt #nmskeducation #neuroteaching #nbtproud

AbbieLindsay's tweet image. Another great Level 1 Neuro study day! Always love teaching on these days, and listening to the other speakers 😁 🧠  @NmskNbt #nmskeducation #neuroteaching #nbtproud
AbbieLindsay's tweet image. Another great Level 1 Neuro study day! Always love teaching on these days, and listening to the other speakers 😁 🧠  @NmskNbt #nmskeducation #neuroteaching #nbtproud
AbbieLindsay's tweet image. Another great Level 1 Neuro study day! Always love teaching on these days, and listening to the other speakers 😁 🧠  @NmskNbt #nmskeducation #neuroteaching #nbtproud
AbbieLindsay's tweet image. Another great Level 1 Neuro study day! Always love teaching on these days, and listening to the other speakers 😁 🧠  @NmskNbt #nmskeducation #neuroteaching #nbtproud

Ja hi som pel tros! La neurociència com a eina per a la millora educativa. @DavidBueno33 #neuroteaching

Jacint11's tweet image. Ja hi som pel tros! La neurociència com a eina per a la millora educativa. @DavidBueno33 #neuroteaching

Nuestro próximo proyecto didáctico 🌌🚀🧑🏻‍🚀 #neuroscience #neuroteaching

TuProfe_Manuel's tweet image. Nuestro próximo proyecto didáctico 🌌🚀🧑🏻‍🚀
#neuroscience 
#neuroteaching

Guru yang mengetahui "piranti-piranti" otak apa saja yang terlibat dalam proses ajarnya, menjadi semakin yakin atas aktivitas mengajarnya. #Neuroteaching #BrainBehaviouralTeachers #KBTKO (kurikulum berbasis tumbuh kembang otak)

amirzuhdi's tweet image. Guru yang mengetahui "piranti-piranti" otak apa saja  yang terlibat dalam proses ajarnya, menjadi semakin yakin atas aktivitas mengajarnya. 
#Neuroteaching #BrainBehaviouralTeachers 
#KBTKO (kurikulum berbasis tumbuh kembang otak)

"Merdeka Belajar Dalam Otak Manusia". Pastikan Emosinya merdeka, Fisiknya merdeka, Rasionya Merdeka dan Ruhani (moral) nya pun merdeka. #neuroparenting #neuroteaching #dramirzuhdi

amirzuhdi's tweet image. "Merdeka Belajar Dalam Otak Manusia".
Pastikan Emosinya merdeka, Fisiknya merdeka, Rasionya Merdeka dan Ruhani (moral) nya pun merdeka. 

#neuroparenting
#neuroteaching
#dramirzuhdi

Mi primer taller abierto que no sea para los padres y madres de mi clase ❤️ después de cada taller todos iniciamos un proceso de transformación de la educación. #Neuroteaching

TuProfe_Manuel's tweet image. Mi primer taller abierto que no sea para los padres y madres de mi clase ❤️ después de cada taller todos iniciamos un proceso de transformación de la educación.
#Neuroteaching

Workshop NeuroTeaching _ Training untuk para Guru yamg berminat belajar model pengajaran berbasis otak. #TrainingGuru #NeuroTeaching #Neuroscience #OtakBelajarMengajar

neuroparenting's tweet image. Workshop NeuroTeaching _ Training untuk para Guru yamg berminat belajar model pengajaran berbasis otak. 

#TrainingGuru
#NeuroTeaching 
#Neuroscience 
#OtakBelajarMengajar

Hemat Saya,... Para Guru Yang Telah Belajar Otak, Memiliki Kelebihan Dalam Merancang Dan Menjalankan Aktivitas Belajar-Mengajarnya. (*dr.Amir Zuhdi) #Neuroteaching #Neuroparenting #SekolahNeuroparenting #DokterAmirZuhdi

neuroparenting's tweet image. Hemat Saya,...
Para Guru Yang Telah Belajar Otak,
Memiliki Kelebihan Dalam Merancang
Dan Menjalankan Aktivitas Belajar-Mengajarnya.

(*dr.Amir Zuhdi)

#Neuroteaching 
#Neuroparenting
#SekolahNeuroparenting
#DokterAmirZuhdi

Selamat Hari Guru Ya. Seminar Neuroteaching Palembang , 25 November 2019 "Sahabat Guru,...Yang di Palembang,... datang ya. Kita Belajar Bareng." #SalamOS #DokterAmirZuhdi #Neuroteaching

amirzuhdi's tweet image. Selamat Hari Guru Ya.
Seminar Neuroteaching 
Palembang , 25 November 2019

"Sahabat Guru,...Yang di Palembang,... datang ya. Kita Belajar Bareng."

#SalamOS
#DokterAmirZuhdi
#Neuroteaching

An easy guide for evaluating motor neuropathy #NeuroEducation #MedTwitter #NeuroTeaching #GBS #NeuroCases

SikandarAdwani's tweet image. An easy guide for evaluating motor neuropathy 

#NeuroEducation
#MedTwitter
#NeuroTeaching
#GBS
#NeuroCases

Exclusive Offer for K-10 Schools: Absolutely *Free Training* with No Hidden Terms or Agendas! Just take time out and enrich your teaching skill! #freetraining #pedagogy #neuroteaching #school #teachers

PipalTreeSpeaks's tweet image. Exclusive Offer for K-10 Schools: Absolutely *Free Training* with No Hidden Terms or Agendas! Just take time out and enrich your teaching skill!
#freetraining #pedagogy #neuroteaching #school  #teachers

Begin Your Journey to Success with Us—Today! @ K-12 & Higher Education pipaltree.co.in #neuroteaching #K12 #HigherEducation

PipalTreeSpeaks's tweet image. Begin Your Journey to Success with Us—Today! @ K-12 & Higher Education pipaltree.co.in
#neuroteaching #K12  #HigherEducation

📚✨ Join our Neuroteaching Short Course! ✨📚 K-10 teachers, unlock new strategies to engage every learner! 📅 July 4-6, 4:30 PM - 8:30 PM daily. Don't miss out! 🚀💡 For Details & Enrollment : pipaltree.co.in #Neuroteaching #EngageEveryLearner #TeacherTraining


Mi primer taller abierto que no sea para los padres y madres de mi clase ❤️ después de cada taller todos iniciamos un proceso de transformación de la educación. #Neuroteaching

TuProfe_Manuel's tweet image. Mi primer taller abierto que no sea para los padres y madres de mi clase ❤️ después de cada taller todos iniciamos un proceso de transformación de la educación.
#Neuroteaching

Another great Level 1 Neuro study day! Always love teaching on these days, and listening to the other speakers 😁 🧠 @NmskNbt #nmskeducation #neuroteaching #nbtproud

AbbieLindsay's tweet image. Another great Level 1 Neuro study day! Always love teaching on these days, and listening to the other speakers 😁 🧠  @NmskNbt #nmskeducation #neuroteaching #nbtproud
AbbieLindsay's tweet image. Another great Level 1 Neuro study day! Always love teaching on these days, and listening to the other speakers 😁 🧠  @NmskNbt #nmskeducation #neuroteaching #nbtproud
AbbieLindsay's tweet image. Another great Level 1 Neuro study day! Always love teaching on these days, and listening to the other speakers 😁 🧠  @NmskNbt #nmskeducation #neuroteaching #nbtproud
AbbieLindsay's tweet image. Another great Level 1 Neuro study day! Always love teaching on these days, and listening to the other speakers 😁 🧠  @NmskNbt #nmskeducation #neuroteaching #nbtproud

We're Hiring! The SU Neuroscience Program has an opening for a non-tenure-track teaching professor to begin fall of 2023. view the full posting at wwwsujobopps.com/postings/97671 #DiversityinSTEM #neuroscience #neuroteaching

SUBiology's tweet image. We're Hiring! The SU Neuroscience Program has an opening for a non-tenure-track teaching professor to begin fall of 2023. view the full posting at wwwsujobopps.com/postings/97671 

#DiversityinSTEM #neuroscience #neuroteaching

Nuestro próximo proyecto didáctico 🌌🚀🧑🏻‍🚀 #neuroscience #neuroteaching

TuProfe_Manuel's tweet image. Nuestro próximo proyecto didáctico 🌌🚀🧑🏻‍🚀
#neuroscience 
#neuroteaching

"Merdeka Belajar Dalam Otak Manusia". Pastikan Emosinya merdeka, Fisiknya merdeka, Rasionya Merdeka dan Ruhani (moral) nya pun merdeka. #neuroparenting #neuroteaching #dramirzuhdi

amirzuhdi's tweet image. "Merdeka Belajar Dalam Otak Manusia".
Pastikan Emosinya merdeka, Fisiknya merdeka, Rasionya Merdeka dan Ruhani (moral) nya pun merdeka. 

#neuroparenting
#neuroteaching
#dramirzuhdi

Siaran Langsung #Neuroteaching diselenggarakan di Instagram. Coba lihat. instagram.com/neuroparenting…


"Teaching Brain Friendly" Guru belajar otak untuk menjadi Guru yang hebat. Karena sangat mustahil bila aktivitas belajar dan mengajar tidak melibatkan otak Guru dan Otak Anak Didik. #neuroteaching #neuroeducation #dramirzuhdi INFO : 0821-3645-7526 instagram.com/p/CXIzDKqhTkJ/…

instagram.com

dokter amir zuhdi (@dokteramirzuhdi) • Instagram photos and videos

dokter amir zuhdi (@dokteramirzuhdi) • Instagram photos and videos


Anakku mau masuk SD,... Apa sajakah pedoman yang bisa dijadikan rujukan untuk "memastikan" anak sudah layak masuk SD ? #Neuroparenting #Neuroteaching instagram.com/p/CBkAIVPHsq8/…


Launching a question a day! Questions you always wanted to ask your friendly #neuromuscular doc. #medtwitter #MedEd #medstudent #neurologyresident Short answers only. Join me in discussing/learning/educating with #passion and #humor @WNGtweets @AANEMorg @AANMember



Kuliah ONline _KulON "Membangun Kecanduan Belajar Pada Anak". Selasa, 31 Maret 2020 Pukul 19.30 - 21.30 Wib. INFO & DAFTAR WA : 0821-3645-7526 #NeuroTeaching #Neuroparenring instagram.com/p/B-Qm_WYHcoT/…


Kuliah ONline _KulON "Membangun Kecanduan Belajar Pada Anak". Selasa, 31 Maret 2020 Pukul 19.30 - 21.30 Wib. INFO & DAFTAR WA : 0821-3645-7526 ##Neuroparenting #NeuroTeaching instagram.com/p/B-QmKj2nQOv/…


Terima kasih temen UNJ (Univeraitas Negeri Jakarta) | Sharing #NeuroTeaching

amirzuhdi's tweet image. Terima kasih temen UNJ (Univeraitas Negeri Jakarta) | Sharing #NeuroTeaching

Para guru Sekolah juara @rumahzakat , kwereeen :) >“@cikgu_inar: Bljr sm dr hari ini, pncerahan bgt! #NeuroTeaching http://t.co/PkoDmL7XSh”

amirzuhdi's tweet image. Para guru Sekolah juara @rumahzakat , kwereeen :) >“@cikgu_inar: Bljr sm dr hari ini, pncerahan bgt! #NeuroTeaching http://t.co/PkoDmL7XSh”

Guru tahu cara kerja otak belajar. Sharing Neuroscience di sekolah | CP 081287440603 (udi) | #NeuroTeaching @jsitdki

amirzuhdi's tweet image. Guru tahu cara kerja otak belajar. Sharing Neuroscience di sekolah | CP 081287440603 (udi) | #NeuroTeaching @jsitdki

Untuk kepala sekolah yg hebat, tlah beri kesmptan berbagi #NeuroTeaching | Horison Palembang

amirzuhdi's tweet image. Untuk kepala sekolah yg hebat, tlah beri kesmptan berbagi #NeuroTeaching | Horison Palembang

An easy guide for evaluating motor neuropathy #NeuroEducation #MedTwitter #NeuroTeaching #GBS #NeuroCases

SikandarAdwani's tweet image. An easy guide for evaluating motor neuropathy 

#NeuroEducation
#MedTwitter
#NeuroTeaching
#GBS
#NeuroCases

Sharing #NeuroTeaching para guru paud, tk , sd kec Bringin Madiun Jatim , asyiiik :)

amirzuhdi's tweet image. Sharing #NeuroTeaching para guru paud, tk , sd kec Bringin Madiun Jatim , asyiiik :)

Selamat Milad JSIT ke 15. Lanjutan Da'wah Pendidikan Yang Berkwalitas. #SalamOS #Neuroteaching

amirzuhdi's tweet image. Selamat Milad JSIT ke 15.
Lanjutan Da'wah Pendidikan Yang Berkwalitas.

#SalamOS
#Neuroteaching

Panayiotopoulos syndrome is one of the benign focal epilepsies of childhood (aka self-limited epilepsies of pediatric age). It’s characterized by prolonged seizures with autonomic features and a typical EEG with occipital discharges, as this images show. #Epiteca #neuroteaching

EpilepsiaRuber's tweet image. Panayiotopoulos syndrome is one of the benign focal epilepsies of childhood (aka self-limited epilepsies of pediatric age). It’s characterized by prolonged seizures with autonomic features and a typical EEG with occipital discharges, as this images show.

#Epiteca #neuroteaching

Sahabat guru Jabodetabek, program #NeuroTeaching | Maret:tgl 31, April:2,3,4 |silahkan yg berkenan. @jsitdki

amirzuhdi's tweet image. Sahabat guru Jabodetabek, program #NeuroTeaching | Maret:tgl 31, April:2,3,4 |silahkan yg berkenan. @jsitdki

Workshop Neuroteaching untuk Guru Indonesia | #Neuroteaching Info Program , WA : 0821-3645-7526

amirzuhdi's tweet image. Workshop Neuroteaching untuk Guru Indonesia | #Neuroteaching 

Info Program , WA : 0821-3645-7526

"Brain-based Learning & Teaching" , seminar #NeuroTeaching di Hotel Sagita Balikpapan 7 agustus 2015

amirzuhdi's tweet image. "Brain-based Learning & Teaching" , seminar #NeuroTeaching di Hotel Sagita Balikpapan 7 agustus 2015

Siaap :) “@pojokpendidikan: Ayo pak. Kapan ke Bandung sekalian bertemu pak @Iwan_ardhie" | Kopdar #NeuroTeaching http://t.co/GBfZRSRZBw"”

amirzuhdi's tweet image. Siaap :) “@pojokpendidikan: Ayo pak. Kapan ke Bandung sekalian bertemu pak @Iwan_ardhie" | Kopdar #NeuroTeaching http://t.co/GBfZRSRZBw"”

Another great Level 1 Neuro study day! Always love teaching on these days, and listening to the other speakers 😁 🧠 @NmskNbt #nmskeducation #neuroteaching #nbtproud

AbbieLindsay's tweet image. Another great Level 1 Neuro study day! Always love teaching on these days, and listening to the other speakers 😁 🧠  @NmskNbt #nmskeducation #neuroteaching #nbtproud
AbbieLindsay's tweet image. Another great Level 1 Neuro study day! Always love teaching on these days, and listening to the other speakers 😁 🧠  @NmskNbt #nmskeducation #neuroteaching #nbtproud
AbbieLindsay's tweet image. Another great Level 1 Neuro study day! Always love teaching on these days, and listening to the other speakers 😁 🧠  @NmskNbt #nmskeducation #neuroteaching #nbtproud
AbbieLindsay's tweet image. Another great Level 1 Neuro study day! Always love teaching on these days, and listening to the other speakers 😁 🧠  @NmskNbt #nmskeducation #neuroteaching #nbtproud

Sistem otak seperti inilah yg membuat karakter seseorang beda meskipun satu rahim. #NeuroTeaching

amirzuhdi's tweet image. Sistem otak seperti inilah yg membuat karakter seseorang beda meskipun satu rahim. #NeuroTeaching

Upcoming teaching day - it’s not on memory but in case you have misplaced your timetable, here it is 😉 #calmanday #neuroteaching #neurology #teaching

EastNeurology's tweet image. Upcoming teaching day - it’s not on memory but in case you have misplaced your timetable, here it is 😉 #calmanday #neuroteaching #neurology #teaching

Hemat Saya,... Para Guru Yang Telah Belajar Otak, Memiliki Kelebihan Dalam Merancang Dan Menjalankan Aktivitas Belajar-Mengajarnya. (*dr.Amir Zuhdi) #Neuroteaching #Neuroparenting

amirzuhdi's tweet image. Hemat Saya,...
Para Guru Yang Telah Belajar Otak,
Memiliki Kelebihan Dalam Merancang
Dan Menjalankan Aktivitas Belajar-Mengajarnya.

(*dr.Amir Zuhdi)

#Neuroteaching 
#Neuroparenting

Una de las pruebas con mayor utilidad en epilepsia es el PET cerebral de glucosa. Este paciente tiene una malformación del desarrollo cortical con actividad epileptiforme contínua centrotemporal izquierda y un PET con hipermetabolismo en la misma región. #Epiteca #Neuroteaching

EpilepsiaRuber's tweet image. Una de las pruebas con mayor utilidad en epilepsia es el PET cerebral de glucosa. Este paciente tiene una malformación del desarrollo cortical con actividad epileptiforme contínua centrotemporal izquierda y un PET con hipermetabolismo en la misma región.

#Epiteca #Neuroteaching

Las heterotopias nodulares periventriculares son un tipo de malformación del desarrollo cortical que causan epilepsia fármacorresistente. En esta RM T1 podemos ver los nódulos de sustancia gris ectópica en la pared de los ventrículos cerebrales. #Epitecaproject #Neuroteaching

EpilepsiaRuber's tweet image. Las heterotopias nodulares periventriculares son un tipo de malformación del desarrollo cortical  que causan epilepsia fármacorresistente. En esta RM T1  podemos ver los nódulos de sustancia gris ectópica en la pared de los ventrículos cerebrales.

#Epitecaproject #Neuroteaching

Loading...

Something went wrong.


Something went wrong.


United States Trends