#neurotwitter search results

New guidelines summarize the principles of neuroprognostication in #ICU-admitted patients with acute ischemic #stroke, with evidence-based recommendations on the timing and reliability of predictors of functional outcome. 👉️ buff.ly/4N8cn4Z #NeuroTwitter


A 32yr♂️ presents to the ED with severe headache,blurred vision,confusion & 2 episodes of generalized tonic-clonic seizures.BP 190/110mmhg & MRI scan done👇.Diagnosis?management? #MedTwitter #MedX #NeuroTwitter #CardioTwitter #FOAMed @albertoortegana @IhabFathiSulima @elidyynwa

PeterItebimien's tweet image. A 32yr♂️  presents to the ED with severe headache,blurred vision,confusion & 2 episodes of generalized tonic-clonic seizures.BP 190/110mmhg & MRI scan done👇.Diagnosis?management?
#MedTwitter #MedX #NeuroTwitter #CardioTwitter #FOAMed @albertoortegana @IhabFathiSulima @elidyynwa

A 24yr♂️ with complaints of numbness and tingling of feet and hands,frequent falls.History👉heavy recreational use of substances.Diagnosis & what is this sign? Mgt? #MedTwitter #MedX #NeuroTwitter #GITwitter @IhabFathiSulima @ChefKarim02 @esanum @TSM_Humanist @PJaseja @drsthanus

PeterItebimien's tweet image. A 24yr♂️ with complaints of numbness and tingling of feet and hands,frequent falls.History👉heavy recreational use of substances.Diagnosis & what is this sign? Mgt?
#MedTwitter #MedX #NeuroTwitter #GITwitter @IhabFathiSulima @ChefKarim02 @esanum @TSM_Humanist @PJaseja @drsthanus

MEDICAL QUIZ (for doctors) 🔸Name a neurological disease, where weight loss has a great impact in clinical improvement. 🔸In addition, there is "dose-response relationship", meaning greater the weight loss, better is the clinical outcome. #medtwitter #neurotwitter


A headache uncovered something unexpected on MRI. These tiny vascular clusters can sit quietly for years, and surgery isn’t the default. Sometimes restraint is the treatment. #NeuroTwitter #Medicine #Radiology #BrainHealth #MedicalEducation


(For doctors) Describe the findings and possible diagnosis? #neuroradiology #neurology #neurotwitter

hyderabaddoctor's tweet image. (For doctors)
Describe the findings and possible diagnosis?

#neuroradiology #neurology #neurotwitter
hyderabaddoctor's tweet image. (For doctors)
Describe the findings and possible diagnosis?

#neuroradiology #neurology #neurotwitter

A few people texted me to say that I inspired them to take up neurology. One of them even said that they will focus extra carefully on the 'rare' diseases! *feeling happy* #MedTwitter #NeuroTwitter


In this episode of the Neurology Podcast: Drs. Jeff Ratliff, Steven Galetta, and Robert Griggs discuss the history and evolution of the Letters to the Editor section. Listen now: hubs.la/Q04b57_00 #NeuroTwitter #Neurology75 @DrJeffRatliff


Simple Connect this 2 images What is the diagnosis in this patient with one sided weakness,headache and blurring vision.DD? Treatment? #MedTwitter #MedX #NeuroTwitter #CardioTwitter @IhabFathiSulima @esanum @ChefKarim02 @daoo100 @drsthanus @elidyynwa @MEmwanta @TSM_Humanist

PeterItebimien's tweet image. Simple 
Connect this 2 images
What is the diagnosis in this patient with one sided weakness,headache and blurring vision.DD? Treatment? #MedTwitter #MedX #NeuroTwitter #CardioTwitter @IhabFathiSulima
@esanum 
@ChefKarim02 @daoo100 @drsthanus @elidyynwa @MEmwanta @TSM_Humanist
PeterItebimien's tweet image. Simple 
Connect this 2 images
What is the diagnosis in this patient with one sided weakness,headache and blurring vision.DD? Treatment? #MedTwitter #MedX #NeuroTwitter #CardioTwitter @IhabFathiSulima
@esanum 
@ChefKarim02 @daoo100 @drsthanus @elidyynwa @MEmwanta @TSM_Humanist

One of the best YouTube channels for Neuro Ophthalmology concepts and explanation #Neurotwitter #Medtwitter

PJaseja's tweet image. One of the best YouTube channels for Neuro Ophthalmology concepts and explanation 
#Neurotwitter #Medtwitter

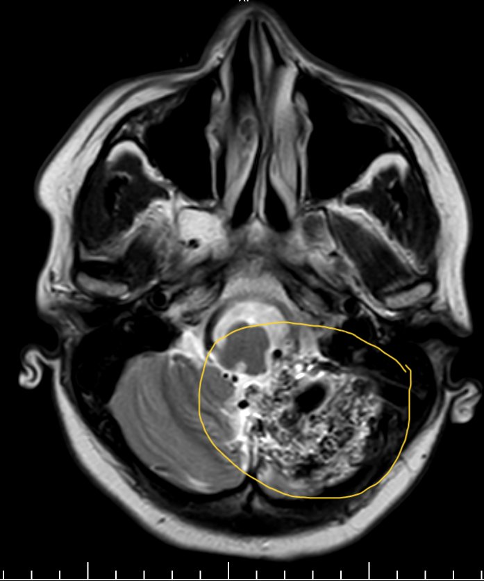
That “worm” inside his brain? It’s not a parasite.It’s a vascular problem so high-flow it can push the heart toward failure.Brain issue → heart failure.Would you operate… or leave it alone? #MedTwitter #NeuroTwitter #Cardiology #MedicalMystery #Health


As it's MS Awareness Week, why don't you have a listen to our podcast where we discuss the latest advances in MS research? 🎧Listen here: ow.ly/U3sZ50YB8qm #MultipleSclerosis #Neurology #NeuroTwitter

VJNeurology's tweet image. As it's MS Awareness Week, why don't you have a listen to our podcast where we discuss the latest advances in MS research?

🎧Listen here: ow.ly/U3sZ50YB8qm

#MultipleSclerosis #Neurology #NeuroTwitter

The findings from this study found that carrying the minor allele at an AQP4 haplotype was associated with better verbal episodic memory, larger hippocampal volumes, lower amounts of brain free water, and lower #dementia risk: hubs.la/Q04cgmv90 #NeuroTwitter

GreenJournal's tweet image. The findings from this study found that carrying the minor allele at an AQP4 haplotype was associated with better verbal episodic memory, larger hippocampal volumes, lower amounts of brain free water, and lower #dementia risk: hubs.la/Q04cgmv90 

#NeuroTwitter

Absolutely Blind adherence to guidelines = idiocy Use your brain #MedTwitter #NeuroTwitter

Medical guidelines have destroyed critically thinking in medicine.



Behind every published study is a reviewer who gave their time to make it better. Meet the researchers behind the reviews. 🔗 vist.ly/4zeua #NationalVolunteerWeek #eNeuro #NeuroTwitter #SciTwitter #AcademicTwitter #MedTwitter

SfNtweets's tweet image. Behind every published study is a reviewer who gave their time to make it better.

Meet the researchers behind the reviews. 

🔗 vist.ly/4zeua 

#NationalVolunteerWeek #eNeuro #NeuroTwitter #SciTwitter #AcademicTwitter #MedTwitter

Contingency of Plasma Dementia Biomarkers on Cognitive Profiles for Prognosis of Incident Dementia: The ARIC Study hubs.la/Q04b4WWP0 #NeuroTwitter #Dementia

GreenJournal's tweet image. Contingency of Plasma Dementia Biomarkers on Cognitive Profiles for Prognosis of Incident Dementia: The ARIC Study hubs.la/Q04b4WWP0 

#NeuroTwitter #Dementia

Educational video for junior doctors Analyse the gait, posture and turning of this 68 year old woman: 1. What do you observe? 2. What is the diagnosis? #neurotwitter #medtwitter


Neurology Podcast: Dr. Greg Cooper and Dr. Eric Reiman discuss emerging antibody therapies for preclinical #AlzheimerDisease and the clinical, regulatory, and equity considerations shaping prevention trials and future care. Listen now: hubs.la/Q04c4gGY0 #NeuroTwitter


New guidelines summarize the principles of neuroprognostication in #ICU-admitted patients with acute ischemic #stroke, with evidence-based recommendations on the timing and reliability of predictors of functional outcome. 👉️ buff.ly/4N8cn4Z #NeuroTwitter


Dr Eugene Braunwald's death has evoked much less reponse on #MedTwitter than I would have believed possible This is the man Indian doctors between 40-50 years of age at present worship as the Harrison of cardiology #MedTwitter #NeuroTwitter #CardioTwitter


Keep the conversation going after #AANAM! Join us on the Synapse app to engage with your colleagues year-round: hubs.la/Q04dn3mP0 #Neurology #NeuroTwitter

AANmember's tweet image. Keep the conversation going after #AANAM! Join us on the Synapse app to engage with your colleagues year-round: hubs.la/Q04dn3mP0

#Neurology #NeuroTwitter

We had an incredible time at #AANAM in Chicago! Huge thanks to the organizers (@AANMember) and the many experts who shared their insights with us. Catch up on our coverage below, with plenty more on the way 👇 ow.ly/4pCq50YOYqs #Neurology #NeuroTwitter

VJNeurology's tweet image. We had an incredible time at #AANAM in Chicago! Huge thanks to the organizers (@AANMember) and the many experts who shared their insights with us.

Catch up on our coverage below, with plenty more on the way 👇

ow.ly/4pCq50YOYqs

#Neurology #NeuroTwitter

Did you know neuroscientists in more than 40 countries are eager to bring brain science into your classroom? This #NationalVolunteerWeek, connect with a scientist in your community through BrainFacts' Find a Neuroscientist database. 🔗 vist.ly/4zny3 #NeuroTwitter


Neurology Podcast: Drs. Andy Southerland & Layne Dylla discuss the trends in head CT use in US emergency departments, highlighting disparities, regional variations, and the potential role of AI in optimizing imaging decisions. Listen now: hubs.la/Q04dhD7_0 #NeuroTwitter


Key Point 1 from the article Myelin Oligodendrocyte Glycoprotein Antibody–Associated Disease by Eoin P. Flanagan and Cheryl Hemingway from the April #MultipleSclerosis and Related Disorders issue, which is available to subscribers at hubs.la/Q04cbJ2s0. #NeuroTwitter #MedEd

ContinuumAAN's tweet image. Key Point 1 from the article Myelin Oligodendrocyte Glycoprotein Antibody–Associated Disease by Eoin P. Flanagan and Cheryl Hemingway from the April #MultipleSclerosis and Related Disorders issue, which is available to subscribers at hubs.la/Q04cbJ2s0. #NeuroTwitter #MedEd

In patients with #HuntingtonDisease, vesicular monoamine transporter 2 inhibitors (VMAT2is) treatment improved chorea without significant changes in adverse effects or depressive symptoms: hubs.la/Q04d4Rrv0 #NeuroTwitter

NeurologyCP's tweet image. In patients with #HuntingtonDisease, vesicular monoamine transporter 2 inhibitors (VMAT2is) treatment improved chorea without significant changes in adverse effects or depressive symptoms: hubs.la/Q04d4Rrv0 

#NeuroTwitter

Impact of Basal Ganglia Perivascular Spaces on Ischemic and Hemorrhagic Risks in Patients Taking Antithrombotic Therapies hubs.la/Q04d4FfZ0 #NeuroTwitter #Stroke

GreenJournal's tweet image. Impact of Basal Ganglia Perivascular Spaces on Ischemic and Hemorrhagic Risks in Patients Taking Antithrombotic Therapies hubs.la/Q04d4FfZ0 

#NeuroTwitter #Stroke

The future of neuroscience research depends on Congressional support and every voice counts. Join SfN & fellow #NeuroAdvocates in urging Congress to increase FY27 neuroscience research funding. Take action! 🔗 vist.ly/4zjgs #NeuroTwitter #SciTwitter #AcademicTwitter

SfNtweets's tweet image. The future of neuroscience research depends on Congressional support and every voice counts.

Join SfN & fellow #NeuroAdvocates in urging Congress to increase FY27 neuroscience research funding.

Take action! 🔗 vist.ly/4zjgs

#NeuroTwitter #SciTwitter #AcademicTwitter

Big news! Please join me in welcoming Dr. Max Woolley & Julia Williams to @neurochase 📢 Their clinical-trial leadership arrives at a pivotal stage as we expand partnerships & accelerate life-changing solutions with next-gen CED #NeuroTwitter #BTSM #genetherapy #celltherapy

Thrilled to welcome Dr. Max Woolley & Julia Williams to @Neurochase! Joining from Renishaw following our neuroinfuse™ acquisition, their expertise in drug delivery & R&D arrives as we prepare for clinical trials later this year. Welcome to the team! 🚀#NeuroTech #ClinicalTrials

neurochase's tweet image. Thrilled to welcome Dr. Max Woolley & Julia Williams to @Neurochase! Joining from Renishaw following our neuroinfuse™ acquisition, their expertise in drug delivery & R&D arrives as we prepare for clinical trials later this year. Welcome to the team! 🚀#NeuroTech #ClinicalTrials


Hi! I’m Samuel, a med student aspiring to apply for a Neuro residency in the future 🧠 #MedTwitter #NeuroTwitter I’m passionate about neuroimmunology, and stroke. You’ll find me on the tennis court, following the NBA, surfing, snowboarding and swimming. Excited to connect !

samuelluca_rp's tweet image. Hi! I’m Samuel, a med student aspiring to apply for a Neuro residency in the future 🧠 #MedTwitter #NeuroTwitter

I’m passionate about neuroimmunology, and stroke. You’ll find me on the tennis court, following the NBA, surfing, snowboarding and swimming.

Excited to connect !

This study found that impaired kidney function was linked to increased plasma cerebral amyloidosis biomarkers, but ratio-based measures showed stable sensitivity and specificity for detecting cerebral amyloidosis across all eGFR groups: hubs.la/Q04d4rts0 #NeuroTwitter

GreenJournal's tweet image. This study found that impaired kidney function was linked to increased plasma cerebral amyloidosis biomarkers, but ratio-based measures showed stable sensitivity and specificity for detecting cerebral amyloidosis across all eGFR groups: hubs.la/Q04d4rts0

#NeuroTwitter

It is MS Awareness Week, so we want to draw your attention to The Multiple Sclerosis Channel on VJNeurology. Here you will find expert insights, trial updates, podcasts, & more! Check it out here: ow.ly/9mog50YB8Cs #MultipleSclerosis #Neurology #NeuroTwitter

VJNeurology's tweet image. It is MS Awareness Week, so we want to draw your attention to The Multiple Sclerosis Channel on VJNeurology. Here you will find expert insights, trial updates, podcasts, & more!

Check it out here: ow.ly/9mog50YB8Cs

#MultipleSclerosis #Neurology #NeuroTwitter

My first contribution to academia For orthopedicians Grateful to @vivekortho007 sir for this opportunity Thank you sir #MedTwitter #NeuroTwitter #OrthoTwitter

aditya_gan3500's tweet image. My first contribution to academia

For orthopedicians

Grateful to @vivekortho007 sir for this opportunity

Thank you sir

#MedTwitter
#NeuroTwitter
#OrthoTwitter
aditya_gan3500's tweet image. My first contribution to academia

For orthopedicians

Grateful to @vivekortho007 sir for this opportunity

Thank you sir

#MedTwitter
#NeuroTwitter
#OrthoTwitter
aditya_gan3500's tweet image. My first contribution to academia

For orthopedicians

Grateful to @vivekortho007 sir for this opportunity

Thank you sir

#MedTwitter
#NeuroTwitter
#OrthoTwitter

I was Going through Af management - changes and nuances for a presentation And some change that I read which are noteworthy #MedTwitter #CardioTwitter #NeuroTwitter #Epeeps ( updates from the new ESC / European Heart Rhythm Association guidelines) 1. CHA₂DS₂-VASc →


Neurologists: your clinical judgment is worth something. ZoomRx pays 100% honoraria for 15 minutes of your perspective on real treatment decisions. #Neurology #MedTwitter #NeuroTwitter bit.ly/join-zrx

Zoomrxhcp's tweet image. Neurologists: your clinical judgment is worth something. ZoomRx pays 100% honoraria for 15 minutes of your perspective on real treatment decisions.
#Neurology #MedTwitter #NeuroTwitter
bit.ly/join-zrx

Key Point 6 from the article Adult-Onset Leukodystrophies Mimicking Multiple Sclerosis by Gabrielle Macaron and Roberta La Piana from the April #MultipleSclerosis and Related Disorders issue, which is available to subscribers at hubs.la/Q04cbFCB0. #NeuroTwitter #MedEd

ContinuumAAN's tweet image. Key Point 6 from the article Adult-Onset Leukodystrophies Mimicking Multiple Sclerosis by Gabrielle Macaron and Roberta La Piana from the April #MultipleSclerosis and Related Disorders issue, which is available to subscribers at hubs.la/Q04cbFCB0. #NeuroTwitter #MedEd

Behind every published study is a reviewer who gave their time to make it better. Meet the researchers behind the reviews. 🔗 vist.ly/4zeua #NationalVolunteerWeek #eNeuro #NeuroTwitter #SciTwitter #AcademicTwitter #MedTwitter

SfNtweets's tweet image. Behind every published study is a reviewer who gave their time to make it better.

Meet the researchers behind the reviews. 

🔗 vist.ly/4zeua 

#NationalVolunteerWeek #eNeuro #NeuroTwitter #SciTwitter #AcademicTwitter #MedTwitter

No results for "#neurotwitter"

A nice summary to remember for hereditary Parkinsonism doi.org/10.1002/mdc3.1… @MDCP_Journal #neurotwitter

JackyGanguly's tweet image. A nice summary to remember for hereditary Parkinsonism doi.org/10.1002/mdc3.1… @MDCP_Journal #neurotwitter

This study examined whether periventricular white matter hyperintensities relate to region-specific cortical hypometabolism and metabolism mediates domain-specific cognition in Aβ-negative individuals: hubs.la/Q049njmb0 #NeuroTwitter #NeuroX

GreenJournal's tweet image. This study examined whether periventricular white matter hyperintensities relate to region-specific cortical hypometabolism and metabolism mediates domain-specific cognition in Aβ-negative individuals: hubs.la/Q049njmb0 

#NeuroTwitter #NeuroX

The findings from this study found that carrying the minor allele at an AQP4 haplotype was associated with better verbal episodic memory, larger hippocampal volumes, lower amounts of brain free water, and lower #dementia risk: hubs.la/Q04cgmv90 #NeuroTwitter

GreenJournal's tweet image. The findings from this study found that carrying the minor allele at an AQP4 haplotype was associated with better verbal episodic memory, larger hippocampal volumes, lower amounts of brain free water, and lower #dementia risk: hubs.la/Q04cgmv90 

#NeuroTwitter

This study analyzed the clinical, histopathologic, and neuroimaging characteristics of primary CNS T-cell lymphoma: hubs.la/Q049wc0X0 #NeuroTwitter #NeuroX

GreenJournal's tweet image. This study analyzed the clinical, histopathologic, and neuroimaging characteristics of primary CNS T-cell lymphoma: hubs.la/Q049wc0X0

#NeuroTwitter #NeuroX

This study published in Neurology Neuroimmunology & Neuroinflammation identified a set of CSF proteins correlating with a soluble biomarker proxy of ongoing neuroaxonal degeneration in early multiple sclerosis: hubs.ly/Q049l0DZ0 #NeuroTwitter #MS

GreenJournal's tweet image. This study published in Neurology Neuroimmunology & Neuroinflammation identified a set of CSF proteins correlating with a soluble biomarker proxy of ongoing neuroaxonal degeneration in early multiple sclerosis: hubs.ly/Q049l0DZ0

#NeuroTwitter #MS

Contingency of Plasma Dementia Biomarkers on Cognitive Profiles for Prognosis of Incident Dementia: The ARIC Study hubs.la/Q04b4WWP0 #NeuroTwitter #Dementia

GreenJournal's tweet image. Contingency of Plasma Dementia Biomarkers on Cognitive Profiles for Prognosis of Incident Dementia: The ARIC Study hubs.la/Q04b4WWP0 

#NeuroTwitter #Dementia

Cytomegalovirus Drives the Development of Cytotoxic CD4+ T Cells in Patients With Multiple Sclerosis hubs.la/Q049C8G-0 #NeuroTwitter #MultipleSclerosis

GreenJournal's tweet image. Cytomegalovirus Drives the Development of Cytotoxic CD4+ T Cells in Patients With Multiple Sclerosis hubs.la/Q049C8G-0 

#NeuroTwitter #MultipleSclerosis

Automated Imaging Differentiation for Dementia: Including Alzheimer Disease Dementia and Dementia With Lewy Bodies hubs.la/Q04cfWrq0 #NeuroTwitter #Dementia

GreenJournal's tweet image. Automated Imaging Differentiation for Dementia: Including Alzheimer Disease Dementia and Dementia With Lewy Bodies hubs.la/Q04cfWrq0 

#NeuroTwitter #Dementia

This study found that impaired kidney function was linked to increased plasma cerebral amyloidosis biomarkers, but ratio-based measures showed stable sensitivity and specificity for detecting cerebral amyloidosis across all eGFR groups: hubs.la/Q04d4rts0 #NeuroTwitter

GreenJournal's tweet image. This study found that impaired kidney function was linked to increased plasma cerebral amyloidosis biomarkers, but ratio-based measures showed stable sensitivity and specificity for detecting cerebral amyloidosis across all eGFR groups: hubs.la/Q04d4rts0

#NeuroTwitter

This study broadens the phenotypic and genetic spectrum of PNH, demonstrating a dual PNH phenotype associated with a bi‑transcript mechanism and mosaic inheritance, including tissue‑specific mosaicism: hubs.la/Q048j4Rj0 #NeuroTwitter #NeuroX

GreenJournal's tweet image. This study broadens the phenotypic and genetic spectrum of PNH, demonstrating a dual PNH phenotype associated with a bi‑transcript mechanism and mosaic inheritance, including tissue‑specific mosaicism: hubs.la/Q048j4Rj0 

#NeuroTwitter #NeuroX

A 32yr♂️ presents to the ED with severe headache,blurred vision,confusion & 2 episodes of generalized tonic-clonic seizures.BP 190/110mmhg & MRI scan done👇.Diagnosis?management? #MedTwitter #MedX #NeuroTwitter #CardioTwitter #FOAMed @albertoortegana @IhabFathiSulima @elidyynwa

PeterItebimien's tweet image. A 32yr♂️  presents to the ED with severe headache,blurred vision,confusion & 2 episodes of generalized tonic-clonic seizures.BP 190/110mmhg & MRI scan done👇.Diagnosis?management?
#MedTwitter #MedX #NeuroTwitter #CardioTwitter #FOAMed @albertoortegana @IhabFathiSulima @elidyynwa

Genetic differentials of Rapid onset Dystonia Parkinsonism: ATP1A3, SLC19A3 (BTBGD), PRKRA @FearonConor @MDJ_Journal #neurotwitter doi.org/10.1002/mds.70…

JackyGanguly's tweet image. Genetic differentials of Rapid onset Dystonia Parkinsonism: ATP1A3, SLC19A3 (BTBGD), PRKRA
@FearonConor @MDJ_Journal 
#neurotwitter doi.org/10.1002/mds.70…

At #AANAM: Treatment with dimethyl fumarate doubled the expression of the FXN gene in patients with #FriedreichAtaxia, raising it to the same level as carriers: hubs.la/Q04cTpjv0 #NeuroTwitter @UninaIT @UCLANeurology

NeurologyToday's tweet image. At #AANAM: Treatment with dimethyl fumarate doubled the expression of the FXN gene in patients with #FriedreichAtaxia, raising it to the same level as carriers: hubs.la/Q04cTpjv0

#NeuroTwitter @UninaIT @UCLANeurology

Long-Term Outcomes in Antibody-Negative Autoimmune Encephalitis: A Systematic Review and Meta-Analysis hubs.la/Q045FRXC0 #NeuroTwitter #NeuroX

NeurologyCP's tweet image. Long-Term Outcomes in Antibody-Negative Autoimmune Encephalitis:
A Systematic Review and Meta-Analysis hubs.la/Q045FRXC0 

#NeuroTwitter #NeuroX

A 24yr♂️ with complaints of numbness and tingling of feet and hands,frequent falls.History👉heavy recreational use of substances.Diagnosis & what is this sign? Mgt? #MedTwitter #MedX #NeuroTwitter #GITwitter @IhabFathiSulima @ChefKarim02 @esanum @TSM_Humanist @PJaseja @drsthanus

PeterItebimien's tweet image. A 24yr♂️ with complaints of numbness and tingling of feet and hands,frequent falls.History👉heavy recreational use of substances.Diagnosis & what is this sign? Mgt?
#MedTwitter #MedX #NeuroTwitter #GITwitter @IhabFathiSulima @ChefKarim02 @esanum @TSM_Humanist @PJaseja @drsthanus

Electroclinical Characteristics and Prognostic Significance of Postanoxic Oral Automatism: A Case Series and Literature Review hubs.la/Q040mp2d0 #NeuroTwitter

NeurologyCP's tweet image. Electroclinical Characteristics and Prognostic Significance of Postanoxic Oral Automatism: A Case Series and Literature Review hubs.la/Q040mp2d0

#NeuroTwitter

Simple Connect this 2 images What is the diagnosis in this patient with one sided weakness,headache and blurring vision.DD? Treatment? #MedTwitter #MedX #NeuroTwitter #CardioTwitter @IhabFathiSulima @esanum @ChefKarim02 @daoo100 @drsthanus @elidyynwa @MEmwanta @TSM_Humanist

PeterItebimien's tweet image. Simple 
Connect this 2 images
What is the diagnosis in this patient with one sided weakness,headache and blurring vision.DD? Treatment? #MedTwitter #MedX #NeuroTwitter #CardioTwitter @IhabFathiSulima
@esanum 
@ChefKarim02 @daoo100 @drsthanus @elidyynwa @MEmwanta @TSM_Humanist
PeterItebimien's tweet image. Simple 
Connect this 2 images
What is the diagnosis in this patient with one sided weakness,headache and blurring vision.DD? Treatment? #MedTwitter #MedX #NeuroTwitter #CardioTwitter @IhabFathiSulima
@esanum 
@ChefKarim02 @daoo100 @drsthanus @elidyynwa @MEmwanta @TSM_Humanist

Clinically Suspected Neurodegeneration in Histiocytic Neoplasms as Causes of Neurologic Decline: A Retrospective Study hubs.ly/Q047CfnG0 #NeuroTwitter #NeuroX

NeurologyCP's tweet image. Clinically Suspected Neurodegeneration in Histiocytic Neoplasms as Causes of Neurologic Decline: A Retrospective Study hubs.ly/Q047CfnG0 

#NeuroTwitter #NeuroX

Loading...

Something went wrong.


Something went wrong.