#stemis resultados de búsqueda

7/20 As if testing positive for #COVID19 wasn’t bad enough, #STEMIs can also affect these patients as described in these case reports ▶️ bit.ly/2ChYarA ▶️ bit.ly/2EZTMOL #MurphysLaw #STEMI


You found more deaths in those pts with non CAD myocardial injury 9/10 than the #STEMIS 4/8 -are you seeing more severe myocarditis or takotsubos in these #COVID19 Pts? Definite endothelial dysfunction with viral particles seen in endothelial cells

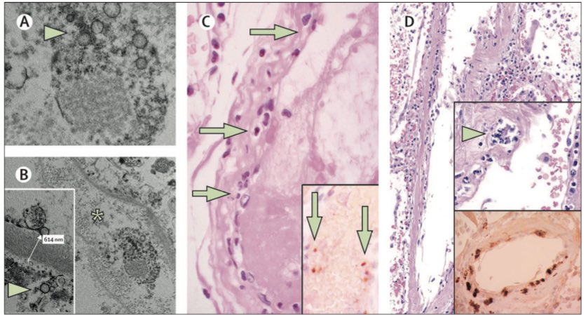
#COVID19 viral bodies found within endothelial cells with accumulation of inflammatory cells & endothelial/ inflammatory cell death #COVID19 endotheliitis➡️ systemic impaired microcirculatory function in different vascular beds & their clinical sequelae bit.ly/3ct3zIJ

iamritu's tweet image. #COVID19 viral bodies found within endothelial cells with accumulation of inflammatory cells & endothelial/ inflammatory cell death 
#COVID19 endotheliitis➡️ systemic impaired microcirculatory function in different vascular beds & their clinical sequelae
bit.ly/3ct3zIJ


So proud of our girls 🤍 💪🏾 thank you @thegemscamp and @talkingSTEM for providing opportunities like this in our community to share the power of staying curious through STEM! #STEMis for everyone 🌎


The aptly named CLEVER-ACS trial is a proof-of-concept study that investigated mTOR inhibitors in pts who had #STEMIs treated w/ #PCI. Unfortunately, the Tx group did not demonstrate statistically sig. ⬇️ in primary outcomes. bit.ly/3tWTdfm #JACCEdge #cvMI @PratikDoshiMD


Auf slides, in eurem Fall die Therapie des #STEMIs


When it rains it pours..hammered with #STEMIs Does the incidence increase in winter? What’s the culprit? @EM_RESUS @djc795 @DocSavageTJU @ZainabDakhil2 @Tabaza @sbrugaletta @Mohannad_oq

mirvatalasnag's tweet image. When it rains it pours..hammered with #STEMIs

Does the incidence increase in winter?

What’s the culprit? 

@EM_RESUS @djc795 @DocSavageTJU @ZainabDakhil2 @Tabaza @sbrugaletta @Mohannad_oq

Cost of ICU/CCU room in Pgh ~5000/day(direct costs + indirects with wages/benefits & supplies)-not insignificant #EchoFirst on all #STEMIs with handhelds @ButterflyInc will help ID early #VSDs/acute pap rupture/MR & help triage


#DTU Call is kicking off with a bang this week. Back to back trans-Atlantic anterior #STEMIs. One of the most innovative approaches to ensure optimal protocol execution. Grateful to all the PIs, CRC, and cath lab staff taking this trial on 24/7! Join the movement - R4 is next!

NavinKapur4's tweet image. #DTU Call is kicking off with a bang this week. Back to back trans-Atlantic anterior #STEMIs. One of the most innovative approaches to ensure optimal protocol execution. Grateful to all the PIs, CRC, and cath lab staff taking this trial on 24/7! Join the movement - R4 is next!
NavinKapur4's tweet image. #DTU Call is kicking off with a bang this week. Back to back trans-Atlantic anterior #STEMIs. One of the most innovative approaches to ensure optimal protocol execution. Grateful to all the PIs, CRC, and cath lab staff taking this trial on 24/7! Join the movement - R4 is next!
NavinKapur4's tweet image. #DTU Call is kicking off with a bang this week. Back to back trans-Atlantic anterior #STEMIs. One of the most innovative approaches to ensure optimal protocol execution. Grateful to all the PIs, CRC, and cath lab staff taking this trial on 24/7! Join the movement - R4 is next!
NavinKapur4's tweet image. #DTU Call is kicking off with a bang this week. Back to back trans-Atlantic anterior #STEMIs. One of the most innovative approaches to ensure optimal protocol execution. Grateful to all the PIs, CRC, and cath lab staff taking this trial on 24/7! Join the movement - R4 is next!

Another team qualified for states today after a fantastic Sunday of robotics! #STEMis

STEMSquadHDMM's tweet image. Another team qualified for states today after a fantastic Sunday of robotics! #STEMis

So pertinent! I still see IC often decline radial on a short woman due to concern for difficult catheter engagement and spasm. I think US guided access followed by appropriate catheter selection from the getgo, avoids some of these headaches. #RadialFirst in ALL #STEMIs!


Day 2 of Egg Drops means we did some testing and redesigning today. New models coming next week! #STEMis

STEMSquadHDMM's tweet image. Day 2 of Egg Drops means we did some testing and redesigning today. New models coming next week! #STEMis
STEMSquadHDMM's tweet image. Day 2 of Egg Drops means we did some testing and redesigning today. New models coming next week! #STEMis
STEMSquadHDMM's tweet image. Day 2 of Egg Drops means we did some testing and redesigning today. New models coming next week! #STEMis
STEMSquadHDMM's tweet image. Day 2 of Egg Drops means we did some testing and redesigning today. New models coming next week! #STEMis

Prototype 1 launch today. Students testing fin shapes/sizes, nose cones, center of mass, etc. as variables. #STEMis @HDMcMillan

AdamsonHDMM's tweet image. Prototype 1 launch today. Students testing fin shapes/sizes, nose cones, center of mass, etc. as variables. #STEMis @HDMcMillan
AdamsonHDMM's tweet image. Prototype 1 launch today. Students testing fin shapes/sizes, nose cones, center of mass, etc. as variables. #STEMis @HDMcMillan
AdamsonHDMM's tweet image. Prototype 1 launch today. Students testing fin shapes/sizes, nose cones, center of mass, etc. as variables. #STEMis @HDMcMillan

So excited to introduce you all to 6441F, 6441G, and 6441H! We have been able to get 32 students to robotics competitions this year. So proud of their hard work! #STEMis

STEMSquadHDMM's tweet image. So excited to introduce you all to 6441F, 6441G, and 6441H! We have been able to get 32 students to robotics competitions this year. So proud of their hard work! #STEMis
STEMSquadHDMM's tweet image. So excited to introduce you all to 6441F, 6441G, and 6441H! We have been able to get 32 students to robotics competitions this year. So proud of their hard work! #STEMis
STEMSquadHDMM's tweet image. So excited to introduce you all to 6441F, 6441G, and 6441H! We have been able to get 32 students to robotics competitions this year. So proud of their hard work! #STEMis

Guess what’s back? STEM SQUAD is incoming. Join us for bottle rockets, egg drops, 3D printing, and more this year. Meetings will be held on Mondays from 4pm-5pm. GEMS will be joining us this year as well! #STEMis @HDMcMillan @AdamsonHDMM

STEMSquadHDMM's tweet image. Guess what’s back? STEM SQUAD is incoming. Join us for bottle rockets, egg drops, 3D printing, and more this year. Meetings will be held on Mondays from 4pm-5pm. GEMS will be joining us this year as well! #STEMis @HDMcMillan @AdamsonHDMM

So happy, after 2 years away, to finally get to update this board again to celebrate new kids! #STEMis @STEMSquadHDMM @HDMcMillan

AdamsonHDMM's tweet image. So happy, after 2 years away, to finally get to update this board again to celebrate new kids! #STEMis @STEMSquadHDMM @HDMcMillan

Practice in full effect as we count down to Opening Ceremonies at 6pm. #VEXWorlds2022 #STEMis @HDMcMillan @AdamsonHDMM

STEMSquadHDMM's tweet image. Practice in full effect as we count down to Opening Ceremonies at 6pm. #VEXWorlds2022 #STEMis @HDMcMillan @AdamsonHDMM
STEMSquadHDMM's tweet image. Practice in full effect as we count down to Opening Ceremonies at 6pm. #VEXWorlds2022 #STEMis @HDMcMillan @AdamsonHDMM
STEMSquadHDMM's tweet image. Practice in full effect as we count down to Opening Ceremonies at 6pm. #VEXWorlds2022 #STEMis @HDMcMillan @AdamsonHDMM
STEMSquadHDMM's tweet image. Practice in full effect as we count down to Opening Ceremonies at 6pm. #VEXWorlds2022 #STEMis @HDMcMillan @AdamsonHDMM

Progress update in our STEM Explorations elective. #STEMis #pantherBEST @MDCPSSouth @MDCPS

Today we held our first Maker Fair of the year to gather feedback about our video game redesigns. #STEMis @HDMcMillan

AdamsonHDMM's tweet image. Today we held our first Maker Fair of the year to gather feedback about our video game redesigns. #STEMis @HDMcMillan
AdamsonHDMM's tweet image. Today we held our first Maker Fair of the year to gather feedback about our video game redesigns. #STEMis @HDMcMillan
AdamsonHDMM's tweet image. Today we held our first Maker Fair of the year to gather feedback about our video game redesigns. #STEMis @HDMcMillan
AdamsonHDMM's tweet image. Today we held our first Maker Fair of the year to gather feedback about our video game redesigns. #STEMis @HDMcMillan


#Zionist #stemis 🧃 🤡🤣

जनता की भारी मांग पर पेश है🙏 मुझे क्रेडिट नहीं चाहिए। 🙏



#STEMIs during Hajj .. one common theme: poorly controlled risk factors especially BP & discontinued medications 🚨CASE 1: After opening the LAD noted distal LM & ostial LAD disease. On table MDT & proceeded with IVUS guided PCI of LM/LAD 🚨CASE 2: BP 200/110 & syncope..after


Worldwide 👩‍🦰are about 25-30% of #STEMIs and 30-40% of #ACS cases so at least that? Great question and we have to continue to work to enroll women in trials. We know women are LESS LIKELY to enroll historically. #CardsJC @CardioNerdsJC


So proud of our girls 🤍 💪🏾 thank you @thegemscamp and @talkingSTEM for providing opportunities like this in our community to share the power of staying curious through STEM! #STEMis for everyone 🌎


Post Call Reflections: reviewing #STEMIs from the last 24 H. Now there has to be a theme!! the one in the middle though!!! #STEMI #CardioTwitter #CardioEd #ECG #acs #echofirst

HatimLawati's tweet image. Post Call Reflections: reviewing #STEMIs from the last 24 H. Now there has to be a theme!! the one in the middle though!!!

#STEMI #CardioTwitter #CardioEd #ECG #acs #echofirst

Ms. Porzio’s students studying Accuracy and Precision in 6th Grade Cambridge Science. #STEMis #PantherBEST #FindYourSuperpower @MDCPSSouth

HDMcMillan's tweet image. Ms. Porzio’s students studying Accuracy and Precision in 6th Grade Cambridge Science. #STEMis #PantherBEST #FindYourSuperpower @MDCPSSouth
HDMcMillan's tweet image. Ms. Porzio’s students studying Accuracy and Precision in 6th Grade Cambridge Science. #STEMis #PantherBEST #FindYourSuperpower @MDCPSSouth
HDMcMillan's tweet image. Ms. Porzio’s students studying Accuracy and Precision in 6th Grade Cambridge Science. #STEMis #PantherBEST #FindYourSuperpower @MDCPSSouth
HDMcMillan's tweet image. Ms. Porzio’s students studying Accuracy and Precision in 6th Grade Cambridge Science. #STEMis #PantherBEST #FindYourSuperpower @MDCPSSouth

So pertinent! I still see IC often decline radial on a short woman due to concern for difficult catheter engagement and spasm. I think US guided access followed by appropriate catheter selection from the getgo, avoids some of these headaches. #RadialFirst in ALL #STEMIs!


Day 3 of STEM Squad preseason continued today with their very first robotics building and drivingnchalleng if the year! Shout out to our girl-powered duo of Camille and Cassie for taking home the gold. We have seen so much growth this week!! #STEMis #pantherBEST @HDMcMillan

AdamsonHDMM's tweet image. Day 3 of STEM Squad preseason continued today with their very first robotics building and drivingnchalleng if the year! Shout out to our girl-powered duo of Camille and Cassie for taking home the gold. We have seen so much growth this week!! #STEMis #pantherBEST @HDMcMillan

Day 1 and Day 2 of STEM Squad Robotics Pre Season were a smashing success focused on teamwork, engineering, and communication. Looking forward to see what comes out of Day 3!! #STEMis #pantherBEST @HDMcMillan @MDCPSSTEAM @STEMSquadHDMM @MDCPSSouth

AdamsonHDMM's tweet image. Day 1 and Day 2 of STEM Squad Robotics Pre Season were a smashing success focused on teamwork, engineering, and communication. Looking forward to see what comes out of Day 3!! #STEMis #pantherBEST @HDMcMillan @MDCPSSTEAM @STEMSquadHDMM @MDCPSSouth
AdamsonHDMM's tweet image. Day 1 and Day 2 of STEM Squad Robotics Pre Season were a smashing success focused on teamwork, engineering, and communication. Looking forward to see what comes out of Day 3!! #STEMis #pantherBEST @HDMcMillan @MDCPSSTEAM @STEMSquadHDMM @MDCPSSouth

Just out in @ESC_Journals #EHJ ➡️ a descriptive cases series, literature review, and details on how experienced operators cautiously use #RotationalAtherectomy safely and effectively in calcified #STEMIs ncbi.nlm.nih.gov/pmc/articles/P…

Kristen_BrownMD's tweet image. Just out in @ESC_Journals #EHJ ➡️ a descriptive cases series, literature review, and details on how experienced operators cautiously use #RotationalAtherectomy safely and effectively in calcified #STEMIs ncbi.nlm.nih.gov/pmc/articles/P…

Behind the scenes with @wsvn and the world of robots with the award-winning @HDMcMillan robotics teams. Stay tuned! #MagnetMade

miamimagnets's tweet image. Behind the scenes with @wsvn and the world of robots with the award-winning @HDMcMillan robotics teams. Stay tuned! #MagnetMade
miamimagnets's tweet image. Behind the scenes with @wsvn and the world of robots with the award-winning @HDMcMillan robotics teams. Stay tuned! #MagnetMade
miamimagnets's tweet image. Behind the scenes with @wsvn and the world of robots with the award-winning @HDMcMillan robotics teams. Stay tuned! #MagnetMade
miamimagnets's tweet image. Behind the scenes with @wsvn and the world of robots with the award-winning @HDMcMillan robotics teams. Stay tuned! #MagnetMade


Congratulations to all 8 teams who competed in todays South Florida State Robotics Tournament. These 32 students went above and beyond this year to earn this opportunity. #STEMis @HDMcMillan @AdamsonHDMM #pantherBEST

STEMSquadHDMM's tweet image. Congratulations to all 8 teams who competed in todays South Florida State Robotics Tournament. These 32 students went above and beyond this year to earn this opportunity. #STEMis @HDMcMillan @AdamsonHDMM #pantherBEST

Spectacular day of Robotics for our 6441A, 6441E, and 6441F teams today. All three teams had their best tournament yet and are now qualified for States in March! Go STEM SQUAD!!! #STEMis #pantherBEST @MDCPSSouth #GIRLPOWERED

HDMcMillan's tweet image. Spectacular day of Robotics for our 6441A, 6441E, and 6441F teams today. All three teams had their best tournament yet and are now qualified for States in March! Go STEM SQUAD!!! #STEMis #pantherBEST @MDCPSSouth #GIRLPOWERED

Congrats to our STEM Squad Robotics B and E teams for winning the Excellence, Robot Skills, Teamwork 2nd Place, and Innovate Awards. Another outstanding day of robotics for our Panthers! #STEMis #pantherBEST

HDMcMillan's tweet image. Congrats to our STEM Squad Robotics B and E teams for winning the Excellence, Robot Skills, Teamwork 2nd Place, and Innovate Awards. Another outstanding day of robotics for our Panthers! #STEMis #pantherBEST

After… (engineering design, force and motion) #STEMis


Before… (modeling, data collection, linear regression, extrapolation) #STEMis

AdamsonHDMM's tweet image. Before… (modeling, data collection, linear regression, extrapolation) #STEMis
AdamsonHDMM's tweet image. Before… (modeling, data collection, linear regression, extrapolation) #STEMis

Congratulations to our STEM Squad Robotics team for another outstanding competition today. Two new teams have now qualified for regionals! #STEMis #pantherBEST @MDCPSSouth

HDMcMillan's tweet image. Congratulations to our STEM Squad Robotics team for another outstanding competition today. Two new teams have now qualified for regionals! #STEMis #pantherBEST @MDCPSSouth
HDMcMillan's tweet image. Congratulations to our STEM Squad Robotics team for another outstanding competition today. Two new teams have now qualified for regionals! #STEMis #pantherBEST @MDCPSSouth

Prototype 1 launch today. Students testing fin shapes/sizes, nose cones, center of mass, etc. as variables. #STEMis @HDMcMillan

AdamsonHDMM's tweet image. Prototype 1 launch today. Students testing fin shapes/sizes, nose cones, center of mass, etc. as variables. #STEMis @HDMcMillan
AdamsonHDMM's tweet image. Prototype 1 launch today. Students testing fin shapes/sizes, nose cones, center of mass, etc. as variables. #STEMis @HDMcMillan
AdamsonHDMM's tweet image. Prototype 1 launch today. Students testing fin shapes/sizes, nose cones, center of mass, etc. as variables. #STEMis @HDMcMillan

Our two #girlPowered robotics teams are ready to start todays robotics competition strong. Go STEM SQUAD! #STEMis #pantherBEST @STEMSquadHDMM @HDMcMillan @MDCPSSouth @MDCPSRobotics @STEAMDesignated

STEMSquadHDMM's tweet image. Our two #girlPowered robotics teams are ready to start todays robotics competition strong. Go STEM SQUAD! #STEMis #pantherBEST @STEMSquadHDMM @HDMcMillan @MDCPSSouth @MDCPSRobotics @STEAMDesignated
STEMSquadHDMM's tweet image. Our two #girlPowered robotics teams are ready to start todays robotics competition strong. Go STEM SQUAD! #STEMis #pantherBEST @STEMSquadHDMM @HDMcMillan @MDCPSSouth @MDCPSRobotics @STEAMDesignated

Just out in @ESC_Journals #EHJ ➡️ a descriptive cases series, literature review, and details on how experienced operators cautiously use #RotationalAtherectomy safely and effectively in calcified #STEMIs ncbi.nlm.nih.gov/pmc/articles/P…

Kristen_BrownMD's tweet image. Just out in @ESC_Journals #EHJ ➡️ a descriptive cases series, literature review, and details on how experienced operators cautiously use #RotationalAtherectomy safely and effectively in calcified #STEMIs ncbi.nlm.nih.gov/pmc/articles/P…

Post Call Reflections: reviewing #STEMIs from the last 24 H. Now there has to be a theme!! the one in the middle though!!! #STEMI #CardioTwitter #CardioEd #ECG #acs #echofirst

HatimLawati's tweet image. Post Call Reflections: reviewing #STEMIs from the last 24 H. Now there has to be a theme!! the one in the middle though!!!

#STEMI #CardioTwitter #CardioEd #ECG #acs #echofirst

“Back to the Future for #STEMIs Consequences of Delayed Presentation of STEMI during #COVID19 ➡️ casereports.onlinejacc.org/content/2/10/1… A great learning tutorial for things seen more frequently in the past @JACCJournals @SCAI @SCAI_Prez @JGrapsa @mividovich @MinnowWalsh #cardiotwitter

fischman_david's tweet image. “Back to the Future for #STEMIs Consequences of Delayed Presentation of STEMI during #COVID19 ➡️  casereports.onlinejacc.org/content/2/10/1… A great learning tutorial for things seen more frequently in the past @JACCJournals @SCAI @SCAI_Prez @JGrapsa @mividovich @MinnowWalsh #cardiotwitter

A few of the unique game controllers that were introduced at todays Maker Fair. #STEMis @tinkercad @dremel @Makerspaces_com @MakerEdOrg @makeymakey @ff3dprinters @HDMcMillan

AdamsonHDMM's tweet image. A few of the unique game controllers that were introduced at todays Maker Fair. #STEMis @tinkercad @dremel @Makerspaces_com @MakerEdOrg @makeymakey @ff3dprinters @HDMcMillan
AdamsonHDMM's tweet image. A few of the unique game controllers that were introduced at todays Maker Fair. #STEMis @tinkercad @dremel @Makerspaces_com @MakerEdOrg @makeymakey @ff3dprinters @HDMcMillan

Another team qualified for states today after a fantastic Sunday of robotics! #STEMis

STEMSquadHDMM's tweet image. Another team qualified for states today after a fantastic Sunday of robotics! #STEMis

Thank you @Google and @carloslcurbelo for visiting our students today to discuss the importance of Computer Science. @MDCPSSouth @STEMDesignation #STEMis

HDMcMillan's tweet image. Thank you @Google and @carloslcurbelo for visiting our students today to discuss the importance of Computer Science. @MDCPSSouth  @STEMDesignation #STEMis
HDMcMillan's tweet image. Thank you @Google and @carloslcurbelo for visiting our students today to discuss the importance of Computer Science. @MDCPSSouth  @STEMDesignation #STEMis
HDMcMillan's tweet image. Thank you @Google and @carloslcurbelo for visiting our students today to discuss the importance of Computer Science. @MDCPSSouth  @STEMDesignation #STEMis
HDMcMillan's tweet image. Thank you @Google and @carloslcurbelo for visiting our students today to discuss the importance of Computer Science. @MDCPSSouth  @STEMDesignation #STEMis

Another amazing day engineering! Almost done with our reimagined video game controller and ready to show them off! #STEMis

AdamsonHDMM's tweet image. Another amazing day engineering! Almost done with our reimagined video game controller and ready to show them off! #STEMis

Congratulations to our STEM Squad Robotics team for another outstanding competition today. Two new teams have now qualified for regionals! #STEMis #pantherBEST @MDCPSSouth

HDMcMillan's tweet image. Congratulations to our STEM Squad Robotics team for another outstanding competition today. Two new teams have now qualified for regionals! #STEMis #pantherBEST @MDCPSSouth
HDMcMillan's tweet image. Congratulations to our STEM Squad Robotics team for another outstanding competition today. Two new teams have now qualified for regionals! #STEMis #pantherBEST @MDCPSSouth

STEM Engineering students collaborating with ASD students to build paper rockets. #STEMis #AutismAwarenessMonth @AdamsonHDMM

HDMcMillan's tweet image. STEM Engineering students collaborating with ASD students to build paper rockets. #STEMis #AutismAwarenessMonth @AdamsonHDMM
HDMcMillan's tweet image. STEM Engineering students collaborating with ASD students to build paper rockets. #STEMis #AutismAwarenessMonth @AdamsonHDMM
HDMcMillan's tweet image. STEM Engineering students collaborating with ASD students to build paper rockets. #STEMis #AutismAwarenessMonth @AdamsonHDMM
HDMcMillan's tweet image. STEM Engineering students collaborating with ASD students to build paper rockets. #STEMis #AutismAwarenessMonth @AdamsonHDMM

Just a few of the many prototypes emerging in 4th period… #STEMis @makeymakey

AdamsonHDMM's tweet image. Just a few of the many prototypes emerging in 4th period… #STEMis @makeymakey
AdamsonHDMM's tweet image. Just a few of the many prototypes emerging in 4th period… #STEMis @makeymakey
AdamsonHDMM's tweet image. Just a few of the many prototypes emerging in 4th period… #STEMis @makeymakey
AdamsonHDMM's tweet image. Just a few of the many prototypes emerging in 4th period… #STEMis @makeymakey

Several truly unique strategies playing out in today’s first engineering design challenge. So great to have everyone back in school. #STEMis @HDMcMillan

AdamsonHDMM's tweet image. Several truly unique strategies playing out in today’s first engineering design challenge. So great to have everyone back in school. #STEMis @HDMcMillan
AdamsonHDMM's tweet image. Several truly unique strategies playing out in today’s first engineering design challenge. So great to have everyone back in school. #STEMis @HDMcMillan
AdamsonHDMM's tweet image. Several truly unique strategies playing out in today’s first engineering design challenge. So great to have everyone back in school. #STEMis @HDMcMillan
AdamsonHDMM's tweet image. Several truly unique strategies playing out in today’s first engineering design challenge. So great to have everyone back in school. #STEMis @HDMcMillan

Day 3 of STEM Squad preseason continued today with their very first robotics building and drivingnchalleng if the year! Shout out to our girl-powered duo of Camille and Cassie for taking home the gold. We have seen so much growth this week!! #STEMis #pantherBEST @HDMcMillan

AdamsonHDMM's tweet image. Day 3 of STEM Squad preseason continued today with their very first robotics building and drivingnchalleng if the year! Shout out to our girl-powered duo of Camille and Cassie for taking home the gold. We have seen so much growth this week!! #STEMis #pantherBEST @HDMcMillan

#COVID19 forces doctors to treat heart attacks conservatively. Now theres gonna be a lot more rescue PCIs! - It is not easy to see and work with faceshields as it keeps fogging up! @UiTMCardio @uitmofficial @huitmofficial #SafetyFirst #stemis #FOAMed

sazzlikasim's tweet image. #COVID19 forces doctors to treat heart attacks conservatively. Now theres gonna be a lot more rescue PCIs! 
- It is not easy to see and work with faceshields as it keeps fogging up! @UiTMCardio @uitmofficial @huitmofficial #SafetyFirst #stemis #FOAMed
sazzlikasim's tweet image. #COVID19 forces doctors to treat heart attacks conservatively. Now theres gonna be a lot more rescue PCIs! 
- It is not easy to see and work with faceshields as it keeps fogging up! @UiTMCardio @uitmofficial @huitmofficial #SafetyFirst #stemis #FOAMed
sazzlikasim's tweet image. #COVID19 forces doctors to treat heart attacks conservatively. Now theres gonna be a lot more rescue PCIs! 
- It is not easy to see and work with faceshields as it keeps fogging up! @UiTMCardio @uitmofficial @huitmofficial #SafetyFirst #stemis #FOAMed

#DTU Call is kicking off with a bang this week. Back to back trans-Atlantic anterior #STEMIs. One of the most innovative approaches to ensure optimal protocol execution. Grateful to all the PIs, CRC, and cath lab staff taking this trial on 24/7! Join the movement - R4 is next!

NavinKapur4's tweet image. #DTU Call is kicking off with a bang this week. Back to back trans-Atlantic anterior #STEMIs. One of the most innovative approaches to ensure optimal protocol execution. Grateful to all the PIs, CRC, and cath lab staff taking this trial on 24/7! Join the movement - R4 is next!
NavinKapur4's tweet image. #DTU Call is kicking off with a bang this week. Back to back trans-Atlantic anterior #STEMIs. One of the most innovative approaches to ensure optimal protocol execution. Grateful to all the PIs, CRC, and cath lab staff taking this trial on 24/7! Join the movement - R4 is next!
NavinKapur4's tweet image. #DTU Call is kicking off with a bang this week. Back to back trans-Atlantic anterior #STEMIs. One of the most innovative approaches to ensure optimal protocol execution. Grateful to all the PIs, CRC, and cath lab staff taking this trial on 24/7! Join the movement - R4 is next!
NavinKapur4's tweet image. #DTU Call is kicking off with a bang this week. Back to back trans-Atlantic anterior #STEMIs. One of the most innovative approaches to ensure optimal protocol execution. Grateful to all the PIs, CRC, and cath lab staff taking this trial on 24/7! Join the movement - R4 is next!

Progressing closer and slider towards final designs. We have now smashed 3D design and printing with Makey Makey boards. #STEMis @HDMcMillan

AdamsonHDMM's tweet image. Progressing closer and slider towards final designs. We have now smashed 3D design and printing with Makey Makey boards. #STEMis @HDMcMillan
AdamsonHDMM's tweet image. Progressing closer and slider towards final designs. We have now smashed 3D design and printing with Makey Makey boards. #STEMis @HDMcMillan
AdamsonHDMM's tweet image. Progressing closer and slider towards final designs. We have now smashed 3D design and printing with Makey Makey boards. #STEMis @HDMcMillan
AdamsonHDMM's tweet image. Progressing closer and slider towards final designs. We have now smashed 3D design and printing with Makey Makey boards. #STEMis @HDMcMillan

What’s the best way to break the ice for a new team? Engineering design challenges. #STEMis @HDMcMillan

AdamsonHDMM's tweet image. What’s the best way to break the ice for a new team? Engineering design challenges. #STEMis @HDMcMillan
AdamsonHDMM's tweet image. What’s the best way to break the ice for a new team? Engineering design challenges. #STEMis @HDMcMillan
AdamsonHDMM's tweet image. What’s the best way to break the ice for a new team? Engineering design challenges. #STEMis @HDMcMillan
AdamsonHDMM's tweet image. What’s the best way to break the ice for a new team? Engineering design challenges. #STEMis @HDMcMillan

#ESCCongress #Complete Trial 👇: among pts with 💔 #STEMIs and multivessel disease, complete revascularization was 💥 SUPERIOR 💥 to culprit-lesion only #PCI 💉 #ACCFIT #MedEd #Cardiotwitter @ACCinTouch @visualmedapp @escardio #Radialfirst #ESCcongress2019

NadeenFaza's tweet image. #ESCCongress #Complete Trial 👇: among pts with 💔 #STEMIs and multivessel disease, complete revascularization was 💥 SUPERIOR 💥 to culprit-lesion only #PCI 💉  #ACCFIT #MedEd #Cardiotwitter @ACCinTouch @visualmedapp @escardio #Radialfirst #ESCcongress2019

Loading...

Something went wrong.


Something went wrong.