BluebirdPath's profile picture. Surgical Pathology. Bluebird pathway

Diego Requena López

@BluebirdPath

Surgical Pathology. Bluebird pathway

Diego Requena López đã đăng lại

🚨Sorteo #LPP🚨 🎁Pase de Por Demacia: Acto1🎁 Para participar: 🔄RT 💖Like ✅Follow El pase contiene: 🪄Morgana dama del velo de prestigio 🦖Cho'gath de petricita Y mucho más... Termina el 20 de Enero😎

Xixauxas's tweet image. 🚨Sorteo #LPP🚨

🎁Pase de Por Demacia: Acto1🎁

Para participar:
🔄RT
💖Like
✅Follow  

El pase contiene: 
🪄Morgana dama del velo de prestigio
🦖Cho'gath de petricita
Y mucho más...

Termina el 20 de Enero😎

Homenaje del Oviedo a la larga travesía de regreso a Primera. De Extremadura a Miranda, pasando p... marca.com/futbol/laliga-… vía @marca


Diego Requena López đã đăng lại

¿Vas a hacer huelga el 13J? ✅ Qué hacer si estás en servicios mínimos ⛔ Qué no hacer para no debilitar la huelga 👇Guía elaborada por @medicosgranada

mariajocesm's tweet image. ¿Vas a hacer huelga el 13J?

✅ Qué hacer si estás en servicios mínimos
⛔ Qué no hacer para no debilitar la huelga
👇Guía elaborada por @medicosgranada

Diego Requena López đã đăng lại

Hoy es el día de la Atención Primaria. ¿Y tú qué valor le das? #estatutomedico #estatutomedico @CESM_CV


Diego Requena López đã đăng lại

Una parte de los que vamos desde Alicante a por el #EstatutoPropio #EstatutoMedico . @CESM_CV

Estatuto_Medico's tweet image. Una parte de los que vamos desde Alicante a por el #EstatutoPropio #EstatutoMedico . @CESM_CV

Diego Requena López đã đăng lại
cande_serra's tweet image. #EstatutoMédico #EstatutoPropio

Diego Requena López đã đăng lại

Hacia Madrid por la dignidad de nuestra profesión #EstatutoPropio #EstatutoMedico #noalborrador

asturcomza's tweet image. Hacia Madrid por la dignidad de nuestra profesión 
#EstatutoPropio #EstatutoMedico #noalborrador

Diego Requena López đã đăng lại

Hacia Madrid por la dignidad de nuestra profesión #EstatutoPropio #EstatutoMedico #noalborrador

asturcomza's tweet image. Hacia Madrid por la dignidad de nuestra profesión 
#EstatutoPropio #EstatutoMedico #noalborrador


Diego Requena López đã đăng lại

#EstatutoPropio #EstatutoMedico no merecen los sanitarios que tienen!!


Diego Requena López đã đăng lại

El genio que ha hecho esta genialidad debería salir de las sombras y reivindicar su magna obra.


Diego Requena López đã đăng lại

“Las masas nunca han sentido sed por la verdad. Se alejan de los hechos que nos les gustan y adoran los errores que les enamoran. Quien sepa engañarlas será fácilmente su dueño; quien intente desengañarlas será siempre su víctima” (Gustave Le Bon)

sobrelibertad's tweet image. “Las masas nunca han sentido sed por la verdad. Se alejan de los hechos que nos les gustan y adoran los errores que les enamoran. Quien sepa engañarlas será fácilmente su dueño; quien intente desengañarlas será siempre su víctima”

(Gustave Le Bon)

Diego Requena López đã đăng lại

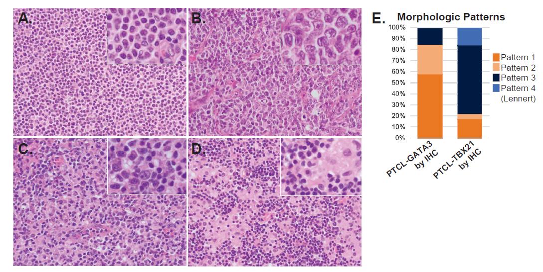
~1/3 of T-cell #lymphoma fall into PTCL, NOS category. @CAmadorMD & #hemepath #dreamteam from the LLMPP consortium provide an IHC diagnostic algorithm for prognostic GATA3 and TBX21 subtypes. They also have distinct morphologic features. 🙏Testing it out! bloodjournal.org/content/early/…

evemariecrane's tweet image. ~1/3 of T-cell #lymphoma fall into PTCL, NOS category. 
@CAmadorMD & #hemepath #dreamteam from the LLMPP consortium provide an IHC diagnostic algorithm for prognostic GATA3 and TBX21 subtypes. They also have distinct morphologic features. 🙏Testing it out! bloodjournal.org/content/early/…
evemariecrane's tweet image. ~1/3 of T-cell #lymphoma fall into PTCL, NOS category. 
@CAmadorMD & #hemepath #dreamteam from the LLMPP consortium provide an IHC diagnostic algorithm for prognostic GATA3 and TBX21 subtypes. They also have distinct morphologic features. 🙏Testing it out! bloodjournal.org/content/early/…

Gracias, @davidguetta, por haberme hecho compañía durante 645 minutos en 2022. No he parado de escuchar I'm Good (Blue). #SpotifyWrapped open.spotify.com/artist/1Cs0zKB…


Loading...

Something went wrong.


Something went wrong.