IntervalChange's profile picture. Radiology. Neuroradiology. Past: @AKUGlobal

Noman Khan, MD

@IntervalChange

Radiology. Neuroradiology. Past: @AKUGlobal

Noman Khan, MD reposted

Stick that in your standardised reporting pipe and smoke it [blows across knuckles calmly]

PMccoubrie's tweet image. Stick that in your standardised reporting pipe and smoke it

[blows across knuckles calmly]

Noman Khan, MD reposted

Wish you had a sixth sense to localize that sixth cranial nerve palsy? Feeling six feet under when you see a sixth nerve deficit? Here’s a cheat sheet to help you locate the lesion in a sixth cranial nerve palsy! Just remember the Six Syndromes of the Sixth Cranial Nerve!

teachplaygrub's tweet image. Wish you had a sixth sense to localize that sixth cranial nerve palsy?

Feeling six feet under when you see a sixth nerve deficit?

Here’s a cheat sheet to help you locate the lesion in a sixth cranial nerve palsy!

Just remember the Six Syndromes of the Sixth Cranial Nerve!

Noman Khan, MD reposted

[UNC Case of Month 202311] 29-yo female with incidental MRI findings after stroke survey. Hx of thoracic aortic aneurysm and scoliosis. @UNCRadiology @UNCRadRes @The_ASPNR #neuroradiology #pediatricneuroradiology #neurology #childneurology #heterotopia #epilepsy

unc_neurorads's tweet image. [UNC Case of Month 202311]
29-yo female with incidental MRI findings after stroke survey. Hx of thoracic aortic aneurysm and scoliosis.

@UNCRadiology @UNCRadRes @The_ASPNR 
#neuroradiology #pediatricneuroradiology #neurology #childneurology #heterotopia #epilepsy
unc_neurorads's tweet image. [UNC Case of Month 202311]
29-yo female with incidental MRI findings after stroke survey. Hx of thoracic aortic aneurysm and scoliosis.

@UNCRadiology @UNCRadRes @The_ASPNR 
#neuroradiology #pediatricneuroradiology #neurology #childneurology #heterotopia #epilepsy
unc_neurorads's tweet image. [UNC Case of Month 202311]
29-yo female with incidental MRI findings after stroke survey. Hx of thoracic aortic aneurysm and scoliosis.

@UNCRadiology @UNCRadRes @The_ASPNR 
#neuroradiology #pediatricneuroradiology #neurology #childneurology #heterotopia #epilepsy
unc_neurorads's tweet image. [UNC Case of Month 202311]
29-yo female with incidental MRI findings after stroke survey. Hx of thoracic aortic aneurysm and scoliosis.

@UNCRadiology @UNCRadRes @The_ASPNR 
#neuroradiology #pediatricneuroradiology #neurology #childneurology #heterotopia #epilepsy

Noman Khan, MD reposted

1/Reading spine studies with compression fractures is back-breaking work! Do you just say acute or chronic & move on? Do you know the key imaging findings? Or how they’re managed? This week’s SCANtastic covers all YOU need to know from @TheAJNR: ajnr.org/content/44/11/…

teachplaygrub's tweet image. 1/Reading spine studies with compression fractures is back-breaking work!

Do you just say acute or chronic & move on?

Do you know the key imaging findings? Or how they’re managed?

This week’s SCANtastic covers all YOU need to know from @TheAJNR:

ajnr.org/content/44/11/…

Noman Khan, MD reposted

1/AJNR SCANtastic 🧵w/ @teachplaygrub! Has measuring for Chiari 1 malformations become a real headache? Can’t quite peg when to call a Chiari? Looking for a better way? SCANtastic decompresses it w/new @theAJNR Chiari research: ajnr.org/content/early/…

TheAJNR's tweet image. 1/AJNR SCANtastic 🧵w/ @teachplaygrub!
 
Has measuring for Chiari 1 malformations become a real headache?

Can’t quite peg when to call a Chiari? Looking for a better way?

SCANtastic decompresses it w/new @theAJNR Chiari research: ajnr.org/content/early/…

Noman Khan, MD reposted

1/Feeling broken up when it comes to LeFort fractures? My fellows complained they hate memorizing classifications like LeFort. I thought, “There must be a better way—maybe understanding instead of memorizing.” A thread so you can understand LeFort & never memorize again!

teachplaygrub's tweet image. 1/Feeling broken up when it comes to LeFort fractures?

My fellows complained they hate memorizing classifications like LeFort. I thought, “There must be a better way—maybe understanding instead of memorizing.”

A thread so you can understand LeFort & never memorize again!

Noman Khan, MD reposted

🌟 We're thrilled to introduce the fantastic four neurorads fellows who have joined our team this year!👨‍⚕️Drs. Dean Homen (upper left); Noman Kahn (upper right); Fernando Rincon (lower left); Zafir Syed (lower right) Here's to a journey of discovery and excellence! 🎉💪

unc_neurorads's tweet image. 🌟 We're thrilled to introduce the fantastic four neurorads fellows who have joined our team this year!👨‍⚕️Drs. Dean Homen (upper left); Noman Kahn (upper right); Fernando Rincon (lower left); Zafir Syed (lower right)
Here's to a journey of discovery and excellence! 🎉💪

Noman Khan, MD reposted

When I was a resident a wise mentor once told me: “Rule out pathology is all you get and you don’t complain”


Noman Khan, MD reposted

Pale Blue Dot is a photo of Earth that was taken by the Voyager 1 space probe in 1990 from a distance of about 6 billion kilometers (3.7 billion miles) as it was leaving our solar system. This is what Carl Sagan said about the photo: "Look again at that dot. That's here. That's

historyinmemes's tweet image. Pale Blue Dot is a photo of Earth that was taken by the Voyager 1 space probe in 1990 from a distance of about 6 billion kilometers (3.7 billion miles) as it was leaving our solar system. This is what Carl Sagan said about the photo:

"Look again at that dot. That's here. That's

Noman Khan, MD reposted

Noman Khan, MD reposted

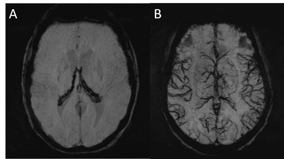
[NeuroradNuggets] Two incidental intriguing SWI images. Both are related to chronic anemia. Guess what happened?

ShengChe's tweet image. [NeuroradNuggets] 
Two incidental intriguing SWI images. Both are related to chronic anemia. Guess what happened?

Noman Khan, MD reposted

Last week, Tennessee passed legislation to allow international medical graduates to obtain licensure and practice independently *without* completing a U.S. residency program. This is BIG news. So you know what that means. Time to break it down, Winners & Losers™️ style. (🧵)

jbcarmody's tweet image. Last week, Tennessee passed legislation to allow international medical graduates to obtain licensure and practice independently *without* completing a U.S. residency program.

This is BIG news.

So you know what that means.

Time to break it down, Winners & Losers™️ style.

(🧵)
jbcarmody's tweet image. Last week, Tennessee passed legislation to allow international medical graduates to obtain licensure and practice independently *without* completing a U.S. residency program.

This is BIG news.

So you know what that means.

Time to break it down, Winners & Losers™️ style.

(🧵)

Noman Khan, MD reposted

Cool idea for a mouse pad! #radres #radiology

bhargp's tweet image. Cool idea for a mouse pad! #radres #radiology

Noman Khan, MD reposted

How It Started vs How It’s Going #howitstartedvshowitsgoing #radiologicalillustration ✍️

drharunyildiz's tweet image. How It Started vs How It’s Going 

#howitstartedvshowitsgoing 

#radiologicalillustration ✍️

Noman Khan, MD reposted

trauma surgery origin story part 1 @DGlaucomflecken


Noman Khan, MD reposted

📢 New video: How to "Reverse Engineer" Success: Decoding Greatness - Book Summary & Key Lessons Full video link - youtu.be/JtLE5r6PVN0 A Short 🧵: Steve Jobs, Bill Gates, Jerry Seinfeld, Simone Biles, Malcolm Gladwell, Barrack Obama, Claude Monet applied these principles!

bhargp's tweet image. 📢 New video: How to "Reverse Engineer" Success: Decoding Greatness - Book Summary & Key Lessons

Full video link - youtu.be/JtLE5r6PVN0 

A Short 🧵:

Steve Jobs, Bill Gates, Jerry Seinfeld, Simone Biles, Malcolm Gladwell, Barrack Obama, Claude Monet applied these principles!

Me as R2 reporting MRS.

This post is unavailable.

Noman Khan, MD reposted

I am beyond excited to have matched along with such a talented group of applicants. I am proud of you and I look forward to working with someday in the future. 💫 #nrmp #Match2023 #psychtwitter


Noman Khan, MD reposted

Proud of these kids, their hard work, and the great day we had in Anamosa. #TheWarriorWay


Noman Khan, MD reposted

It’s that simple, @MDPIOpenAccess ! #MedTwitter

JuliusChapiro's tweet image. It’s that simple, @MDPIOpenAccess ! #MedTwitter

Loading...

Something went wrong.


Something went wrong.