ShengChe's profile picture. Neuroradiologist passionate about teaching | Peds Neuroimaging Enthusiast | Sharing interesting cases, misses & notes | Opinions r my own #unc_neurorads #Taiwan

Sheng-Che (Alex) Hung ๐Ÿ ๐Ÿ‡น๐Ÿ‡ผ

@ShengChe

Neuroradiologist passionate about teaching | Peds Neuroimaging Enthusiast | Sharing interesting cases, misses & notes | Opinions r my own #unc_neurorads #Taiwan

Sheng-Che (Alex) Hung ๐Ÿ ๐Ÿ‡น๐Ÿ‡ผ reposted

Case of the week: Infant with macrocephaly & sensorineural hearing loss bit.ly/3Y4wbTm Shehanaz K Ellika, University of Rochester, Rochester, NY #PediNeuroRad #MedEd #FOAMrad #PedsRad

The_ASPNR's tweet image. Case of the week: Infant with macrocephaly & sensorineural hearing loss bit.ly/3Y4wbTm Shehanaz K Ellika, University of Rochester, Rochester, NY #PediNeuroRad #MedEd #FOAMrad #PedsRad

Sheng-Che (Alex) Hung ๐Ÿ ๐Ÿ‡น๐Ÿ‡ผ reposted

๐Ÿ‘‹Do you know about my website with almost 150 pediatric neuroradiology cases? Searchable database by diagnosis. Classic cases. Free resource for anyone. Hope to add more of cases soon! #MedEd NeuroradiologyU.com

JudyGadde's tweet image. ๐Ÿ‘‹Do you know about my website with almost 150 pediatric neuroradiology cases? Searchable database by diagnosis. Classic cases. Free resource for anyone. Hope to add more of cases soon! #MedEd 

NeuroradiologyU.com

Sheng-Che (Alex) Hung ๐Ÿ ๐Ÿ‡น๐Ÿ‡ผ reposted

What's your diagnosis? A 67-year-old man visited a hospital complaining of left ocular protrusion. Read the #OpenAccess case published in BJR|Case Reports: bit.ly/4cXRryi

BJR_Radiology's tweet image. What's your diagnosis?
A 67-year-old man visited a hospital complaining of left ocular protrusion.
Read the #OpenAccess case published in BJR|Case Reports: bit.ly/4cXRryi

Sheng-Che (Alex) Hung ๐Ÿ ๐Ÿ‡น๐Ÿ‡ผ reposted

Ready to seize the day w/epilepsy imaging? Everyone knows mesial temporal sclerosis (MTS)! But did you know there are different KINDS of MTS?? This month's @theAJNR SCANtastic shows YOU what you need to know in the latest in epilepsy imaging! ajnr.org/content/45/9/1โ€ฆ Here'sโ€ฆ

teachplaygrub's tweet image. Ready to seize the day w/epilepsy imaging?

Everyone knows mesial temporal sclerosis (MTS)! But did you know there are different KINDS of MTS??

This month's @theAJNR SCANtastic shows YOU what you need to know in the latest in epilepsy imaging!

ajnr.org/content/45/9/1โ€ฆ

Here'sโ€ฆ

Sheng-Che (Alex) Hung ๐Ÿ ๐Ÿ‡น๐Ÿ‡ผ reposted

Enoftalmos can be an unusual sign in patients with anorexia nervosa due to fat loss in the orbit, leading to sunken eyes. Case courtesy of Frank Gaillard, radiopaedia.org/cases/5307?lanโ€ฆ

DocNavarrow's tweet image. Enoftalmos can be an unusual sign in patients with anorexia nervosa due to fat loss in the orbit, leading to sunken eyes. 

Case courtesy of Frank Gaillard, radiopaedia.org/cases/5307?lanโ€ฆ

Sheng-Che (Alex) Hung ๐Ÿ ๐Ÿ‡น๐Ÿ‡ผ reposted

Next time we prescribe dextromethorphan hydrobromide cough syrups: Think DANCE not POUNCE. An eye popping case series. ajnr.org/content/early/โ€ฆ

nirmalregency's tweet image. Next time we prescribe dextromethorphan hydrobromide cough syrups: Think DANCE not POUNCE. An eye popping case series.
ajnr.org/content/early/โ€ฆ

Sheng-Che (Alex) Hung ๐Ÿ ๐Ÿ‡น๐Ÿ‡ผ reposted

What's your diagnosis? A 27-year-old male with insidious onset of bilateral lower limb weakness and numbness over 3โ€‰weeks was assessed by orthopaedic surgeons. Read the #OpenAccess case published in BJR|Case Reports: bit.ly/3TfM2vm

BJR_Radiology's tweet image. What's your diagnosis?
A 27-year-old male with insidious onset of bilateral lower limb weakness and numbness over 3โ€‰weeks was assessed by orthopaedic surgeons.
Read the #OpenAccess case published in BJR|Case Reports: bit.ly/3TfM2vm

Sheng-Che (Alex) Hung ๐Ÿ ๐Ÿ‡น๐Ÿ‡ผ reposted

Tip of the day ๐Ÿ’ก: Atlantoaxial dislocation due to os odontoideum (arrow) is a well known association in patients with Down's syndrome.

drmankad's tweet image. Tip of the day ๐Ÿ’ก: Atlantoaxial dislocation due to os odontoideum (arrow) is a well known association in patients with Down's syndrome.

Sheng-Che (Alex) Hung ๐Ÿ ๐Ÿ‡น๐Ÿ‡ผ reposted

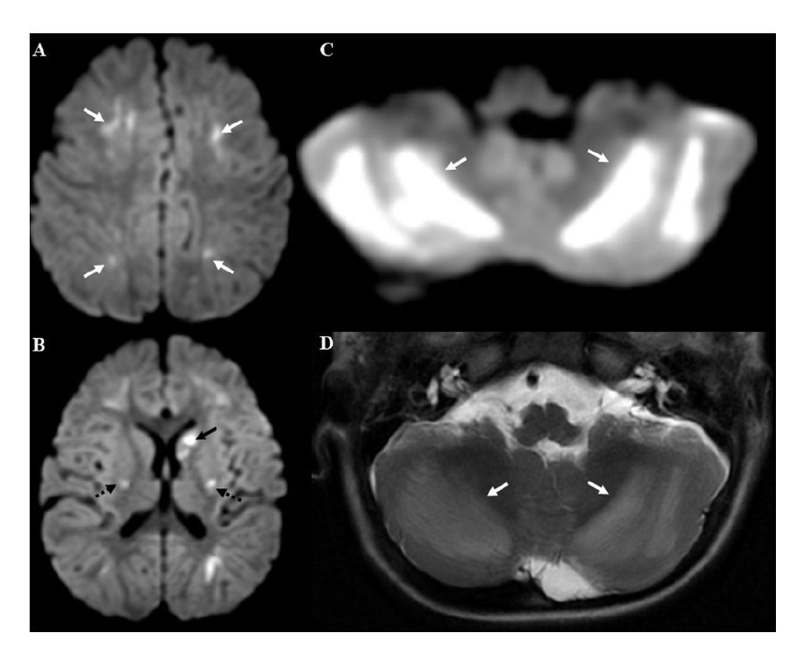
๐ŸŒŸ Thank you for your patience! ๐ŸŒŸ The May case is now live! ๐ŸŽ‰ [UNC Case of Month 202405] 50-year-old female presented with headache, vertigo, and acute hearing loss. Diagnosis? @UNCRadiology @UNCRadRes #neuroradiology #neurology #migraines #hearingloss #autoimmune #foamed

unc_neurorads's tweet image. ๐ŸŒŸ Thank you for your patience! ๐ŸŒŸ The May case is now live! ๐ŸŽ‰

[UNC Case of Month 202405]
50-year-old female presented with headache, vertigo, and acute hearing loss. Diagnosis?

@UNCRadiology @UNCRadRes
 #neuroradiology #neurology #migraines #hearingloss #autoimmune #foamed
unc_neurorads's tweet image. ๐ŸŒŸ Thank you for your patience! ๐ŸŒŸ The May case is now live! ๐ŸŽ‰

[UNC Case of Month 202405]
50-year-old female presented with headache, vertigo, and acute hearing loss. Diagnosis?

@UNCRadiology @UNCRadRes
 #neuroradiology #neurology #migraines #hearingloss #autoimmune #foamed
unc_neurorads's tweet image. ๐ŸŒŸ Thank you for your patience! ๐ŸŒŸ The May case is now live! ๐ŸŽ‰

[UNC Case of Month 202405]
50-year-old female presented with headache, vertigo, and acute hearing loss. Diagnosis?

@UNCRadiology @UNCRadRes
 #neuroradiology #neurology #migraines #hearingloss #autoimmune #foamed
unc_neurorads's tweet image. ๐ŸŒŸ Thank you for your patience! ๐ŸŒŸ The May case is now live! ๐ŸŽ‰

[UNC Case of Month 202405]
50-year-old female presented with headache, vertigo, and acute hearing loss. Diagnosis?

@UNCRadiology @UNCRadRes
 #neuroradiology #neurology #migraines #hearingloss #autoimmune #foamed

Sheng-Che (Alex) Hung ๐Ÿ ๐Ÿ‡น๐Ÿ‡ผ reposted

๐ŸŽ“ Fellow Graduates ๐Ÿ•’ Time has flown by! It's hard to believe we're nearing the end of the year already. Iโ€™m definitely going to miss this amazing squad. ๐Ÿ’– #goheels๐Ÿ @UNCRadiology

unc_neurorads's tweet image. ๐ŸŽ“ Fellow Graduates ๐Ÿ•’ Time has flown by! It's hard to believe we're nearing the end of the year already. Iโ€™m definitely going to miss this amazing squad. ๐Ÿ’– #goheels๐Ÿ @UNCRadiology
unc_neurorads's tweet image. ๐ŸŽ“ Fellow Graduates ๐Ÿ•’ Time has flown by! It's hard to believe we're nearing the end of the year already. Iโ€™m definitely going to miss this amazing squad. ๐Ÿ’– #goheels๐Ÿ @UNCRadiology
unc_neurorads's tweet image. ๐ŸŽ“ Fellow Graduates ๐Ÿ•’ Time has flown by! It's hard to believe we're nearing the end of the year already. Iโ€™m definitely going to miss this amazing squad. ๐Ÿ’– #goheels๐Ÿ @UNCRadiology
unc_neurorads's tweet image. ๐ŸŽ“ Fellow Graduates ๐Ÿ•’ Time has flown by! It's hard to believe we're nearing the end of the year already. Iโ€™m definitely going to miss this amazing squad. ๐Ÿ’– #goheels๐Ÿ @UNCRadiology

Sheng-Che (Alex) Hung ๐Ÿ ๐Ÿ‡น๐Ÿ‡ผ reposted

Thank you for attending the 2024 Castillo Scholars kickoff reception.

UNCRadiology's tweet image. Thank you for attending the 2024 Castillo Scholars kickoff reception.

Sheng-Che (Alex) Hung ๐Ÿ ๐Ÿ‡น๐Ÿ‡ผ reposted

Case of the week: Infant with hypoglycemia & abnormal stooling. Diabetic mom with elevated HbA1c bit.ly/3ysxwcj Jessie Aw-Zoretic, MD, Ann & Robert H. Lurie Children's Hospital of Chicago #PediNeuroRad #MedEd #FOAMrad #PedsRad #NeuroRad


Sheng-Che (Alex) Hung ๐Ÿ ๐Ÿ‡น๐Ÿ‡ผ reposted

We had a memorable gathering, enjoying delicious dim sum and Peking duck with our fantastic fellow-to-be, Tony, and alumni, Steve and Doug, at #ASNR24 in Las Vegas! ๐ŸŽ‰ Thank you to everyone who joined us, making it truly special! ๐Ÿ’ซ #unc_neurorads @UNCRadiology

unc_neurorads's tweet image. We had a memorable gathering, enjoying delicious dim sum and Peking duck with our fantastic fellow-to-be, Tony, and alumni, Steve and Doug, at #ASNR24 in Las Vegas! ๐ŸŽ‰ Thank you to everyone who joined us, making it truly special! ๐Ÿ’ซ
#unc_neurorads @UNCRadiology
unc_neurorads's tweet image. We had a memorable gathering, enjoying delicious dim sum and Peking duck with our fantastic fellow-to-be, Tony, and alumni, Steve and Doug, at #ASNR24 in Las Vegas! ๐ŸŽ‰ Thank you to everyone who joined us, making it truly special! ๐Ÿ’ซ
#unc_neurorads @UNCRadiology

Sheng-Che (Alex) Hung ๐Ÿ ๐Ÿ‡น๐Ÿ‡ผ reposted

#ASHNRCOTW #253: Nasal obstruction. Thx @iasepulveda 4 case! #ASHNR24 Answer w/ appropriate GIF only -- stay professional & don't spoil it! @callyrobs @DShatzkes @CDP_Rad @rhwiggins @nakoontz @KRileyMD @CMGlastonbury @cmtomblinson @tabby_kennedy @PhilipRChapman1

ASHNRSociety's tweet image. #ASHNRCOTW #253: Nasal obstruction. Thx @iasepulveda  4 case! #ASHNR24        

Answer w/ appropriate GIF only -- stay professional & don't spoil it!

@callyrobs @DShatzkes @CDP_Rad @rhwiggins @nakoontz @KRileyMD @CMGlastonbury @cmtomblinson @tabby_kennedy @PhilipRChapman1

Sheng-Che (Alex) Hung ๐Ÿ ๐Ÿ‡น๐Ÿ‡ผ reposted

Case of the week: 15-year-old male with a painless sublingual growing mass since birth bit.ly/4dKUQCf Neha Antil, MD & Arzu Ozturk, MD, UC Davis Medical Center #PediNeuroRad #MedEd #FOAMrad #PedsRad #NeuroRad


Sheng-Che (Alex) Hung ๐Ÿ ๐Ÿ‡น๐Ÿ‡ผ reposted

Congrats to the #ASNR 2023-2024 Twitter Case of the Year Winner: Case #172: X-Linked Charcot Marie Tooth Type 1. Submitting case author, Dr. Selima Siala, wins FREE registration to #ASNR25. Interested in submitting a Case of the Week? Get the details: ow.ly/sJXc50RH5eo

TheASNR's tweet image. Congrats to the #ASNR 2023-2024 Twitter Case of the Year Winner: Case #172: X-Linked Charcot Marie Tooth Type 1. Submitting case author, Dr. Selima Siala, wins FREE registration to #ASNR25. Interested in submitting a Case of the Week? Get the details: ow.ly/sJXc50RH5eo

Sheng-Che (Alex) Hung ๐Ÿ ๐Ÿ‡น๐Ÿ‡ผ reposted

Case of the week: 17-month-old female presenting with lower extremity weakness; Hyperpigmented spot on lumbar region bit.ly/4bg5BKC Selima Siala, & Sheng-Che (Alex) Hung of The University of North Carolina Chapel Hill, NC #PediNeuroRad #MedEd #FOAMrad #PedsRad #NeuroRad


Sheng-Che (Alex) Hung ๐Ÿ ๐Ÿ‡น๐Ÿ‡ผ reposted

๐Ÿ“ขWe are hiring! A postdoc position @camri_unc is open until filled. We are eager to welcome a new team member with "BOLD ideas", with particular interest in silent fMRI of awake behaving mice, brain networks and behaviors. Please help retweet. ๐Ÿ™ unc.peopleadmin.com/postings/276226

ShihYYI's tweet image. ๐Ÿ“ขWe are hiring! A postdoc position @camri_unc is open until filled. We are eager to welcome a new team member with "BOLD ideas", with particular interest in silent fMRI of awake behaving mice, brain networks and behaviors. Please help retweet. ๐Ÿ™
unc.peopleadmin.com/postings/276226

The Early Bird registration rate for #ASNR24 ends Monday, April 15, which means registration rates increase by $100. Don't wait to register and end up paying more to attend ASNR24! There are multiple registration packages to choose from. Register now! asnr.org/annualmeeting

ShengChe's tweet image. The Early Bird registration rate for #ASNR24 ends Monday, April 15, which means registration rates increase by $100. Don't wait to register and end up paying more to attend ASNR24! There are multiple registration packages to choose from. Register now! asnr.org/annualmeeting

Loading...

Something went wrong.


Something went wrong.