LangerPath's profile picture. #Pathologist 🔬 Always and forever learning. Hospital San Pedro. #CytoPath #HemePath #EndoPath

Tamara Zudaire

@LangerPath

#Pathologist 🔬 Always and forever learning. Hospital San Pedro. #CytoPath #HemePath #EndoPath

Sabitlenmiş

Ferruginous bodies in BAL. Dumbbell-shaped, golden yellow to black with Pap, blue with Perls an golden yellow with H&E. Happy to have seen them for the first time outside of the books! 😁 #cytopath #cytology

LangerPath's tweet image. Ferruginous bodies in BAL.
Dumbbell-shaped, golden yellow to black with Pap, blue with Perls an golden yellow with H&E.
Happy to have seen them for the first time outside of the books! 😁
#cytopath #cytology
LangerPath's tweet image. Ferruginous bodies in BAL.
Dumbbell-shaped, golden yellow to black with Pap, blue with Perls an golden yellow with H&E.
Happy to have seen them for the first time outside of the books! 😁
#cytopath #cytology
LangerPath's tweet image. Ferruginous bodies in BAL.
Dumbbell-shaped, golden yellow to black with Pap, blue with Perls an golden yellow with H&E.
Happy to have seen them for the first time outside of the books! 😁
#cytopath #cytology

Tamara Zudaire gönderiyi yeniden yayınladı

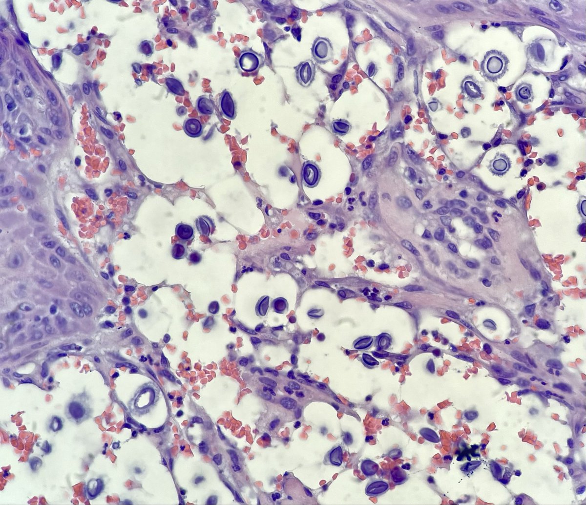
70 yo M no relevant PMH. Buccal mucosa ulcer biopsy (see H&E). Waiting on GMS. Do you buy cryptococcus? @ParasiteGal @LangerPath

AdrianaHogeboom's tweet image. 70 yo M no relevant PMH. Buccal mucosa ulcer biopsy (see H&E). Waiting on GMS. Do you buy cryptococcus? @ParasiteGal @LangerPath
AdrianaHogeboom's tweet image. 70 yo M no relevant PMH. Buccal mucosa ulcer biopsy (see H&E). Waiting on GMS. Do you buy cryptococcus? @ParasiteGal @LangerPath
AdrianaHogeboom's tweet image. 70 yo M no relevant PMH. Buccal mucosa ulcer biopsy (see H&E). Waiting on GMS. Do you buy cryptococcus? @ParasiteGal @LangerPath

Tamara Zudaire gönderiyi yeniden yayınladı

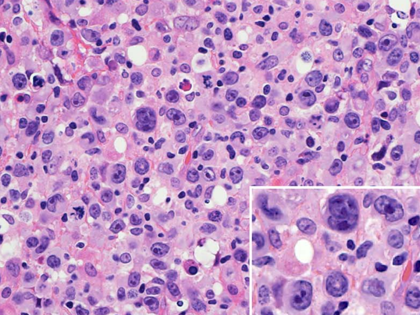
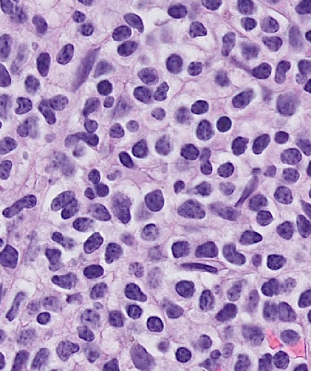
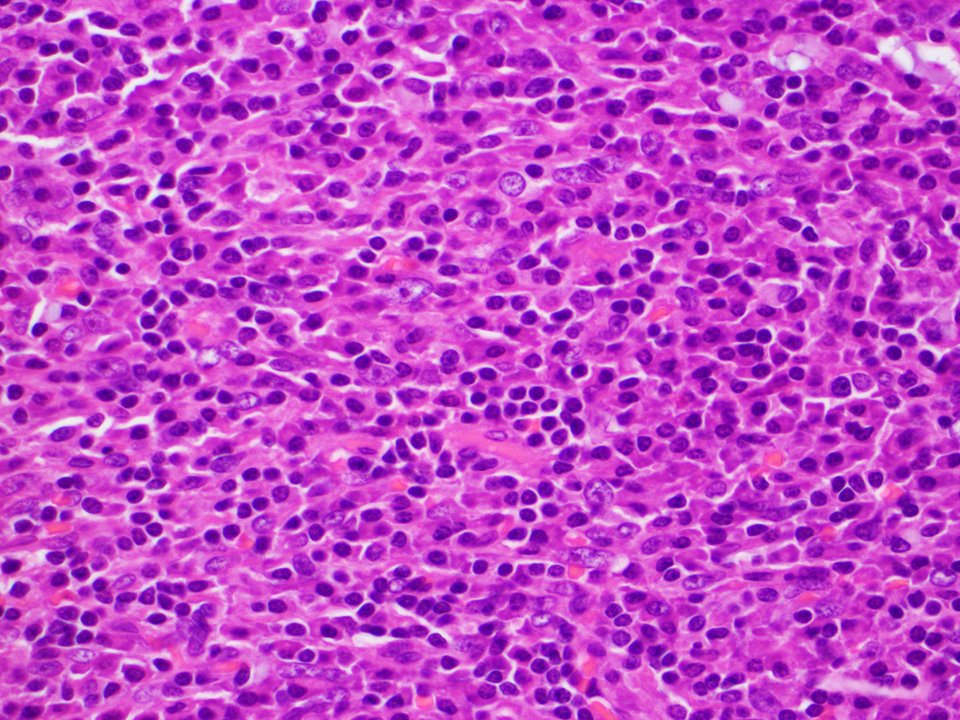
BMB 41 yo male. All these cells are positive for CD3, CD5, CD2, CD7. In the pics you can see the CD4 and CD8. What is your diagnosis? What other stains would you like to see?

Tiger_heme's tweet image. BMB 41 yo male. All these cells are positive for CD3, CD5, CD2, CD7. In the pics you can see the CD4 and CD8. What is your diagnosis? What other stains would you like to see?
Tiger_heme's tweet image. BMB 41 yo male. All these cells are positive for CD3, CD5, CD2, CD7. In the pics you can see the CD4 and CD8. What is your diagnosis? What other stains would you like to see?
Tiger_heme's tweet image. BMB 41 yo male. All these cells are positive for CD3, CD5, CD2, CD7. In the pics you can see the CD4 and CD8. What is your diagnosis? What other stains would you like to see?
Tiger_heme's tweet image. BMB 41 yo male. All these cells are positive for CD3, CD5, CD2, CD7. In the pics you can see the CD4 and CD8. What is your diagnosis? What other stains would you like to see?

Tamara Zudaire gönderiyi yeniden yayınladı

More on anaplastic large cell lymphoma (ALCL) mimickers: Enteropathy associated T-cell lymphoma (EATL) may exhibit anaplastic morphology, with pronounced inflammatory background consisting of histiocytes, eosinophils, small lymphocytes, and plasma cells. Furthermore, EATLs with…

SibaElHussein's tweet image. More on anaplastic large cell lymphoma (ALCL) mimickers: 

Enteropathy associated T-cell lymphoma (EATL) may exhibit anaplastic morphology, with pronounced inflammatory background consisting of histiocytes, eosinophils, small lymphocytes, and plasma cells. Furthermore, EATLs with…

🩸Continuing with the theme of ALCL-mimickers, extranodal NK/T-cell with anaplastic morphology is an underrecognized variant that seems to be highly aggressive & potentially misdiagnosed 🩸Below is a photo of a case of extranodal NK/T-cell lymphoma with a striking anaplastic…

SibaElHussein's tweet image. 🩸Continuing with the theme of ALCL-mimickers, extranodal NK/T-cell with anaplastic morphology is an underrecognized variant that seems to be highly aggressive & potentially misdiagnosed

🩸Below is a photo of a case of extranodal NK/T-cell lymphoma with a striking anaplastic…
SibaElHussein's tweet image. 🩸Continuing with the theme of ALCL-mimickers, extranodal NK/T-cell with anaplastic morphology is an underrecognized variant that seems to be highly aggressive & potentially misdiagnosed

🩸Below is a photo of a case of extranodal NK/T-cell lymphoma with a striking anaplastic…


Tamara Zudaire gönderiyi yeniden yayınladı

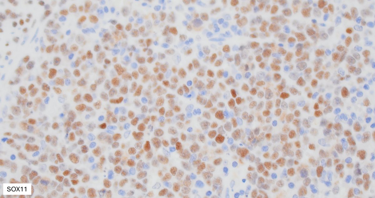
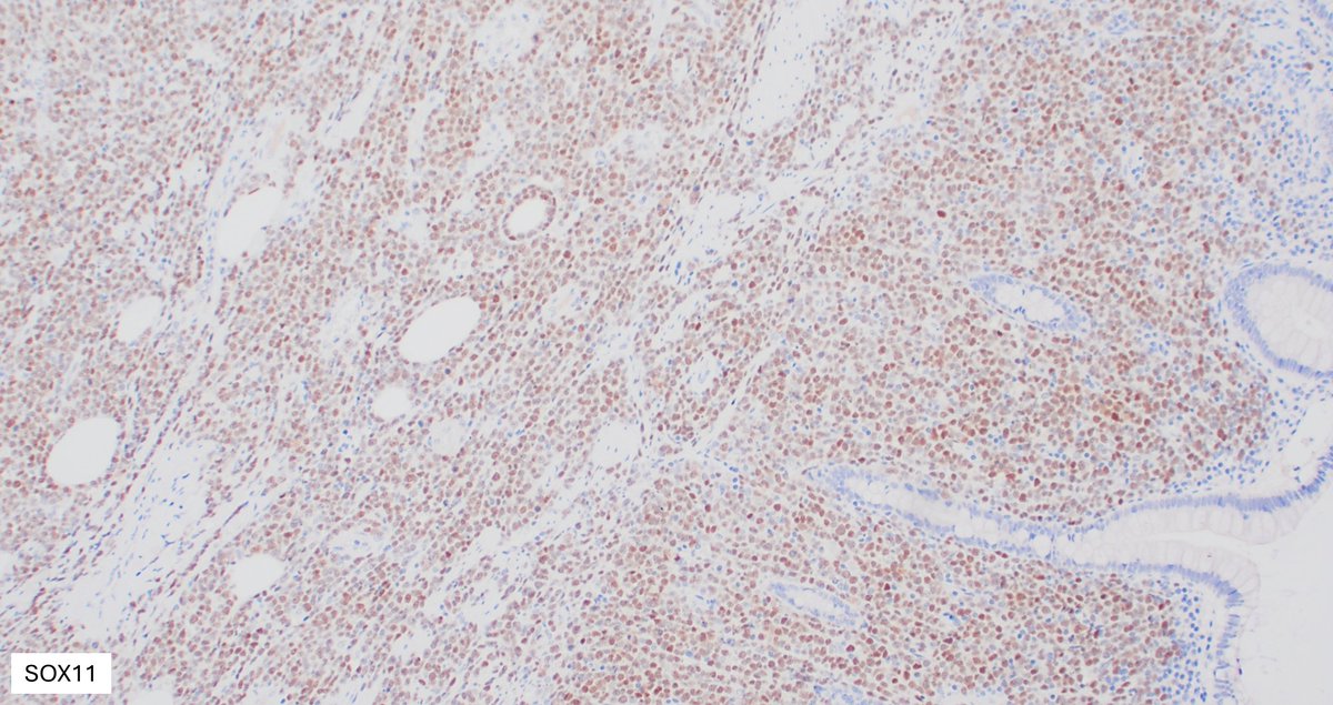
Illustration of a case of Burkitt lymphoma in the intestine with characteristic variable/ patchy SOX11 expression pattern. SOX11 may come in handy in tricky cases when you need more evidence to push for Burkitt lymphoma vs other mimickers #hemepth #lmsm #pathtwitter #PathX #MedX

SibaElHussein's tweet image. Illustration of a case of Burkitt lymphoma in the intestine with characteristic variable/ patchy SOX11 expression pattern. SOX11 may come in handy in tricky cases when you need more evidence to push for Burkitt lymphoma vs other mimickers #hemepth #lmsm #pathtwitter #PathX #MedX
SibaElHussein's tweet image. Illustration of a case of Burkitt lymphoma in the intestine with characteristic variable/ patchy SOX11 expression pattern. SOX11 may come in handy in tricky cases when you need more evidence to push for Burkitt lymphoma vs other mimickers #hemepth #lmsm #pathtwitter #PathX #MedX
SibaElHussein's tweet image. Illustration of a case of Burkitt lymphoma in the intestine with characteristic variable/ patchy SOX11 expression pattern. SOX11 may come in handy in tricky cases when you need more evidence to push for Burkitt lymphoma vs other mimickers #hemepth #lmsm #pathtwitter #PathX #MedX
SibaElHussein's tweet image. Illustration of a case of Burkitt lymphoma in the intestine with characteristic variable/ patchy SOX11 expression pattern. SOX11 may come in handy in tricky cases when you need more evidence to push for Burkitt lymphoma vs other mimickers #hemepth #lmsm #pathtwitter #PathX #MedX

Tamara Zudaire gönderiyi yeniden yayınladı

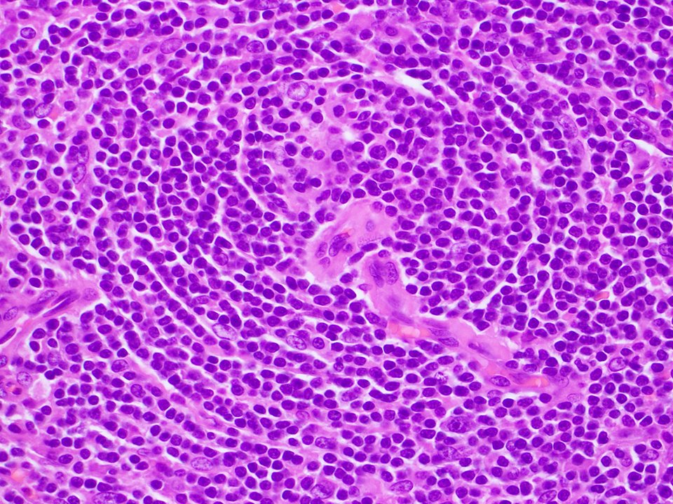
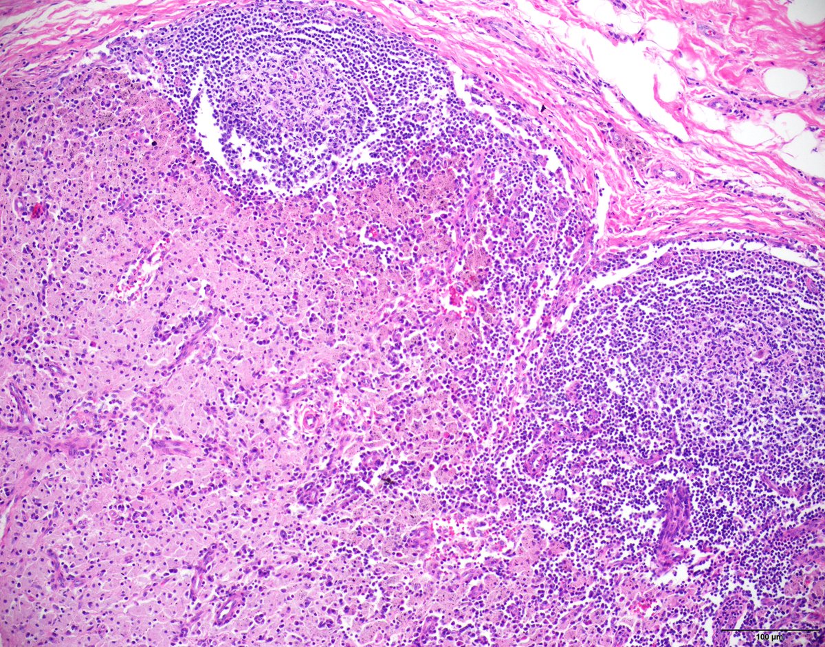
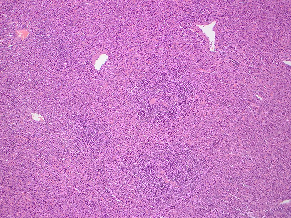
Unicentric Castleman disease-plasma cell variant:Preserved overall lymph node architecture and marked plasmacytosis in interfollicular areas,with a subset germinal centers showing regressive changes reminiscent of Castleman disease-hyaline vascular variant #Hemepath #HemepathMDA

SibaElHussein's tweet image. Unicentric Castleman disease-plasma cell variant:Preserved overall lymph node architecture and marked plasmacytosis in interfollicular areas,with a subset germinal centers showing regressive changes reminiscent of Castleman disease-hyaline vascular variant #Hemepath #HemepathMDA
SibaElHussein's tweet image. Unicentric Castleman disease-plasma cell variant:Preserved overall lymph node architecture and marked plasmacytosis in interfollicular areas,with a subset germinal centers showing regressive changes reminiscent of Castleman disease-hyaline vascular variant #Hemepath #HemepathMDA
SibaElHussein's tweet image. Unicentric Castleman disease-plasma cell variant:Preserved overall lymph node architecture and marked plasmacytosis in interfollicular areas,with a subset germinal centers showing regressive changes reminiscent of Castleman disease-hyaline vascular variant #Hemepath #HemepathMDA
SibaElHussein's tweet image. Unicentric Castleman disease-plasma cell variant:Preserved overall lymph node architecture and marked plasmacytosis in interfollicular areas,with a subset germinal centers showing regressive changes reminiscent of Castleman disease-hyaline vascular variant #Hemepath #HemepathMDA

Tamara Zudaire gönderiyi yeniden yayınladı

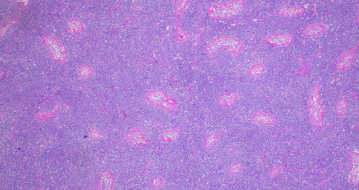
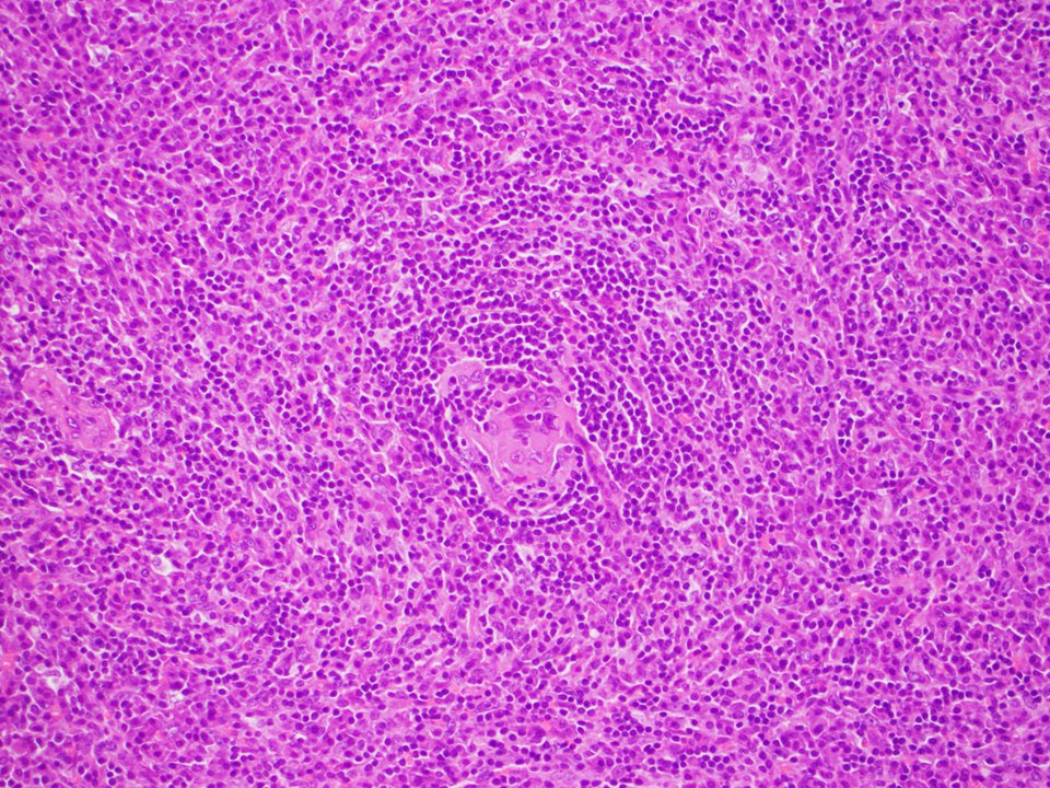
What do you see in the interfollicular region of this lymph node? What is the most likely etiology for this finding? #hemepath

KyleBradleyMD's tweet image. What do you see in the interfollicular region of this lymph node?

What is the most likely etiology for this finding?

#hemepath
KyleBradleyMD's tweet image. What do you see in the interfollicular region of this lymph node?

What is the most likely etiology for this finding?

#hemepath

Tamara Zudaire gönderiyi yeniden yayınladı

Axillary LN, 29 yo woman. What are the arrows pointing at?

Tiger_heme's tweet image. Axillary LN, 29 yo woman. What are the arrows pointing at?
Tiger_heme's tweet image. Axillary LN, 29 yo woman. What are the arrows pointing at?
Tiger_heme's tweet image. Axillary LN, 29 yo woman. What are the arrows pointing at?
Tiger_heme's tweet image. Axillary LN, 29 yo woman. What are the arrows pointing at?

Tamara Zudaire gönderiyi yeniden yayınladı

Follicular lymphoma with BCL2 rearrangement by FISH & unusual overexpression of CCND1 by IHC (CD5 & SOX11 negative; CCND1 rearrangement negative by FISH). This rare finding has been reported previously➡️shorturl.at/lzDOU but is worth to be aware of #hemepath #lymsm #PathX

SibaElHussein's tweet image. Follicular lymphoma with BCL2 rearrangement by FISH & unusual overexpression of CCND1 by IHC (CD5 & SOX11 negative; CCND1 rearrangement negative by FISH). This rare finding has been reported previously➡️shorturl.at/lzDOU but is worth to be aware of #hemepath #lymsm #PathX
SibaElHussein's tweet image. Follicular lymphoma with BCL2 rearrangement by FISH & unusual overexpression of CCND1 by IHC (CD5 & SOX11 negative; CCND1 rearrangement negative by FISH). This rare finding has been reported previously➡️shorturl.at/lzDOU but is worth to be aware of #hemepath #lymsm #PathX
SibaElHussein's tweet image. Follicular lymphoma with BCL2 rearrangement by FISH & unusual overexpression of CCND1 by IHC (CD5 & SOX11 negative; CCND1 rearrangement negative by FISH). This rare finding has been reported previously➡️shorturl.at/lzDOU but is worth to be aware of #hemepath #lymsm #PathX
SibaElHussein's tweet image. Follicular lymphoma with BCL2 rearrangement by FISH & unusual overexpression of CCND1 by IHC (CD5 & SOX11 negative; CCND1 rearrangement negative by FISH). This rare finding has been reported previously➡️shorturl.at/lzDOU but is worth to be aware of #hemepath #lymsm #PathX

Tamara Zudaire gönderiyi yeniden yayınladı

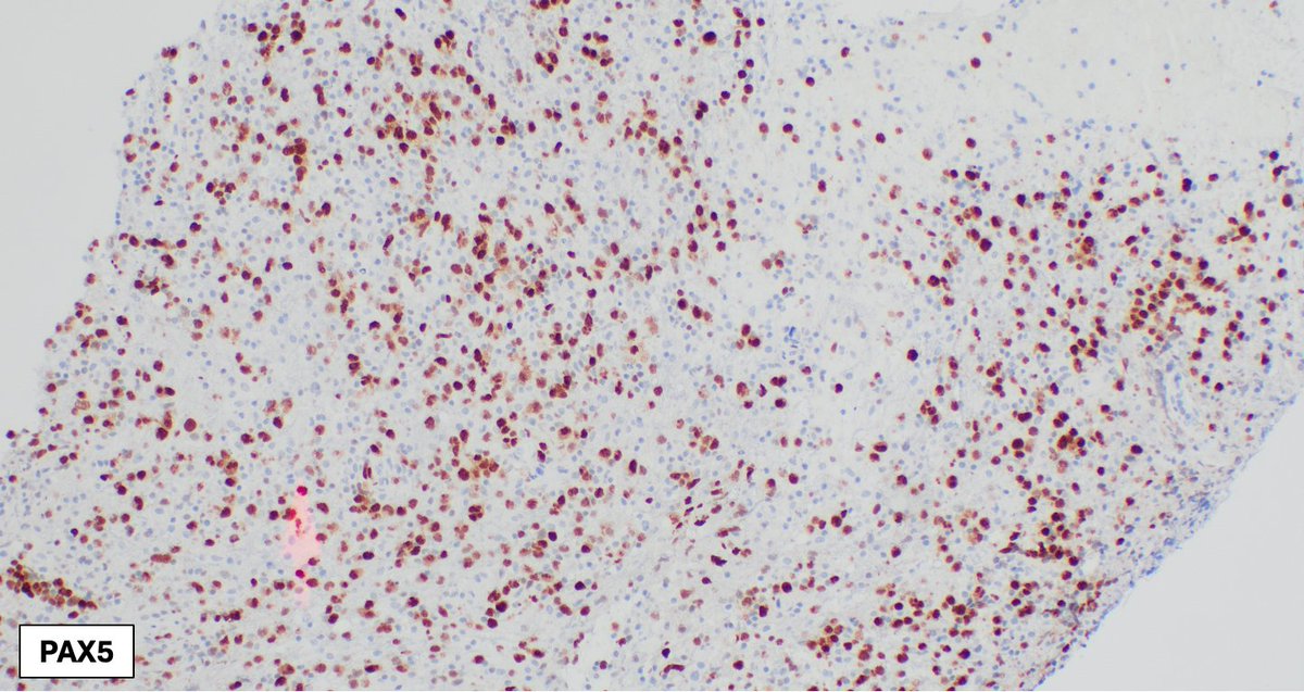
Relapsed classic Hodgkin lymphoma (CHL) with brighter PAX5 expression then typically accepted for CHL, and associated new emerging follicular lymphoma in the same lymph node biopsy (bottom right of Figure 1) #hemepath #lymsm #pathX #MedX #SoMe #Surgpath #MedTwitter #Pathtwitter

SibaElHussein's tweet image. Relapsed classic Hodgkin lymphoma (CHL) with brighter PAX5 expression then typically accepted for CHL, and associated new emerging follicular lymphoma in the same lymph node biopsy (bottom right of Figure 1) #hemepath #lymsm #pathX #MedX #SoMe #Surgpath #MedTwitter #Pathtwitter
SibaElHussein's tweet image. Relapsed classic Hodgkin lymphoma (CHL) with brighter PAX5 expression then typically accepted for CHL, and associated new emerging follicular lymphoma in the same lymph node biopsy (bottom right of Figure 1) #hemepath #lymsm #pathX #MedX #SoMe #Surgpath #MedTwitter #Pathtwitter
SibaElHussein's tweet image. Relapsed classic Hodgkin lymphoma (CHL) with brighter PAX5 expression then typically accepted for CHL, and associated new emerging follicular lymphoma in the same lymph node biopsy (bottom right of Figure 1) #hemepath #lymsm #pathX #MedX #SoMe #Surgpath #MedTwitter #Pathtwitter
SibaElHussein's tweet image. Relapsed classic Hodgkin lymphoma (CHL) with brighter PAX5 expression then typically accepted for CHL, and associated new emerging follicular lymphoma in the same lymph node biopsy (bottom right of Figure 1) #hemepath #lymsm #pathX #MedX #SoMe #Surgpath #MedTwitter #Pathtwitter

Tamara Zudaire gönderiyi yeniden yayınladı

Follicular lymphoma with abundant extracellular eosinophilic material, mimicking amyloid deposition: An unsual variant to be aware of #hemepath #lymsm #pathtwitter #MedEd #SoMe Check a similar but more prominent case by @sanamloghavi @BloodJournal➡️ ashpublications.org/blood/article/…

SibaElHussein's tweet image. Follicular lymphoma with abundant extracellular eosinophilic material, mimicking amyloid deposition: An unsual variant to be aware of #hemepath #lymsm #pathtwitter #MedEd #SoMe 

Check a similar but more prominent case by @sanamloghavi @BloodJournal➡️ ashpublications.org/blood/article/…
SibaElHussein's tweet image. Follicular lymphoma with abundant extracellular eosinophilic material, mimicking amyloid deposition: An unsual variant to be aware of #hemepath #lymsm #pathtwitter #MedEd #SoMe 

Check a similar but more prominent case by @sanamloghavi @BloodJournal➡️ ashpublications.org/blood/article/…
SibaElHussein's tweet image. Follicular lymphoma with abundant extracellular eosinophilic material, mimicking amyloid deposition: An unsual variant to be aware of #hemepath #lymsm #pathtwitter #MedEd #SoMe 

Check a similar but more prominent case by @sanamloghavi @BloodJournal➡️ ashpublications.org/blood/article/…
SibaElHussein's tweet image. Follicular lymphoma with abundant extracellular eosinophilic material, mimicking amyloid deposition: An unsual variant to be aware of #hemepath #lymsm #pathtwitter #MedEd #SoMe 

Check a similar but more prominent case by @sanamloghavi @BloodJournal➡️ ashpublications.org/blood/article/…

Tamara Zudaire gönderiyi yeniden yayınladı

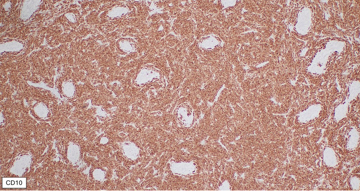
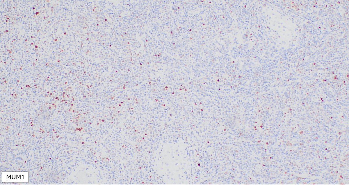
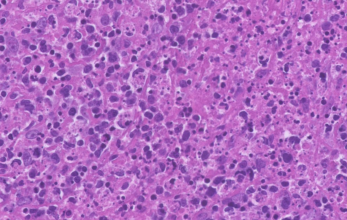
Large B-cell lymphoma involving the testicle with a germinal center-like phenotype (CD10+BCL6+MUM1-): May occur in < 10% of primary large B-cell lymphoma of the testis, however, it should raise the suspicion of disseminated systemic DLBCL #hemepath #lymsm #surgpath #Pathx #MedX

SibaElHussein's tweet image. Large B-cell lymphoma involving the testicle with a germinal center-like phenotype (CD10+BCL6+MUM1-): May occur in &amp;lt; 10% of primary large B-cell lymphoma of the testis, however, it should raise the suspicion of disseminated systemic DLBCL #hemepath #lymsm #surgpath #Pathx #MedX
SibaElHussein's tweet image. Large B-cell lymphoma involving the testicle with a germinal center-like phenotype (CD10+BCL6+MUM1-): May occur in &amp;lt; 10% of primary large B-cell lymphoma of the testis, however, it should raise the suspicion of disseminated systemic DLBCL #hemepath #lymsm #surgpath #Pathx #MedX
SibaElHussein's tweet image. Large B-cell lymphoma involving the testicle with a germinal center-like phenotype (CD10+BCL6+MUM1-): May occur in &amp;lt; 10% of primary large B-cell lymphoma of the testis, however, it should raise the suspicion of disseminated systemic DLBCL #hemepath #lymsm #surgpath #Pathx #MedX
SibaElHussein's tweet image. Large B-cell lymphoma involving the testicle with a germinal center-like phenotype (CD10+BCL6+MUM1-): May occur in &amp;lt; 10% of primary large B-cell lymphoma of the testis, however, it should raise the suspicion of disseminated systemic DLBCL #hemepath #lymsm #surgpath #Pathx #MedX

Tamara Zudaire gönderiyi yeniden yayınladı

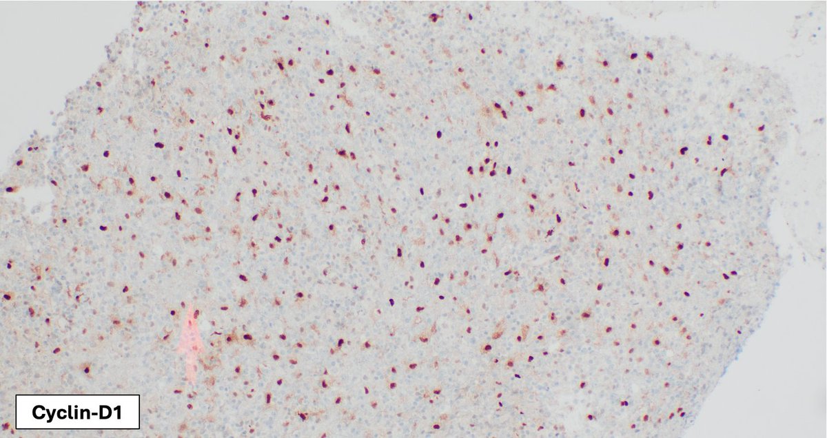
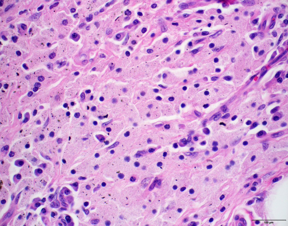
Primary large B-cell lymphoma of the CNS: Cyclin-D1 highlights endothelial cells in brain tissue, however its pattern of expression could be misinterpreted as positivity in neoplastic cells. Comparison to MUM1 & PAX5 is helpful to avoid this pitfall #hemepath #lymsm #PathX

SibaElHussein's tweet image. Primary large B-cell lymphoma of the CNS: Cyclin-D1 highlights endothelial cells in brain tissue, however its pattern of expression could be  misinterpreted as positivity in neoplastic cells. Comparison to MUM1 &amp;amp; PAX5 is helpful to avoid this pitfall #hemepath #lymsm #PathX
SibaElHussein's tweet image. Primary large B-cell lymphoma of the CNS: Cyclin-D1 highlights endothelial cells in brain tissue, however its pattern of expression could be  misinterpreted as positivity in neoplastic cells. Comparison to MUM1 &amp;amp; PAX5 is helpful to avoid this pitfall #hemepath #lymsm #PathX
SibaElHussein's tweet image. Primary large B-cell lymphoma of the CNS: Cyclin-D1 highlights endothelial cells in brain tissue, however its pattern of expression could be  misinterpreted as positivity in neoplastic cells. Comparison to MUM1 &amp;amp; PAX5 is helpful to avoid this pitfall #hemepath #lymsm #PathX
SibaElHussein's tweet image. Primary large B-cell lymphoma of the CNS: Cyclin-D1 highlights endothelial cells in brain tissue, however its pattern of expression could be  misinterpreted as positivity in neoplastic cells. Comparison to MUM1 &amp;amp; PAX5 is helpful to avoid this pitfall #hemepath #lymsm #PathX

Tamara Zudaire gönderiyi yeniden yayınladı

Salivary gland "Acinic Cell Carcinoma" may occasionally assumes a very "histiocytic" appearance on FNA, as nicely shown in this case. DD in such scenario includes - Mucoepidermoid CA, Secretory CA, Metastatic RCC and Benign cyst with macrophages.

sza_jhcyto's tweet image. Salivary gland &quot;Acinic Cell Carcinoma&quot; may occasionally assumes a very &quot;histiocytic&quot; appearance on FNA, as nicely shown in this case. DD in such scenario includes - Mucoepidermoid CA, Secretory CA, Metastatic RCC and Benign cyst with macrophages.
sza_jhcyto's tweet image. Salivary gland &quot;Acinic Cell Carcinoma&quot; may occasionally assumes a very &quot;histiocytic&quot; appearance on FNA, as nicely shown in this case. DD in such scenario includes - Mucoepidermoid CA, Secretory CA, Metastatic RCC and Benign cyst with macrophages.

Tamara Zudaire gönderiyi yeniden yayınladı

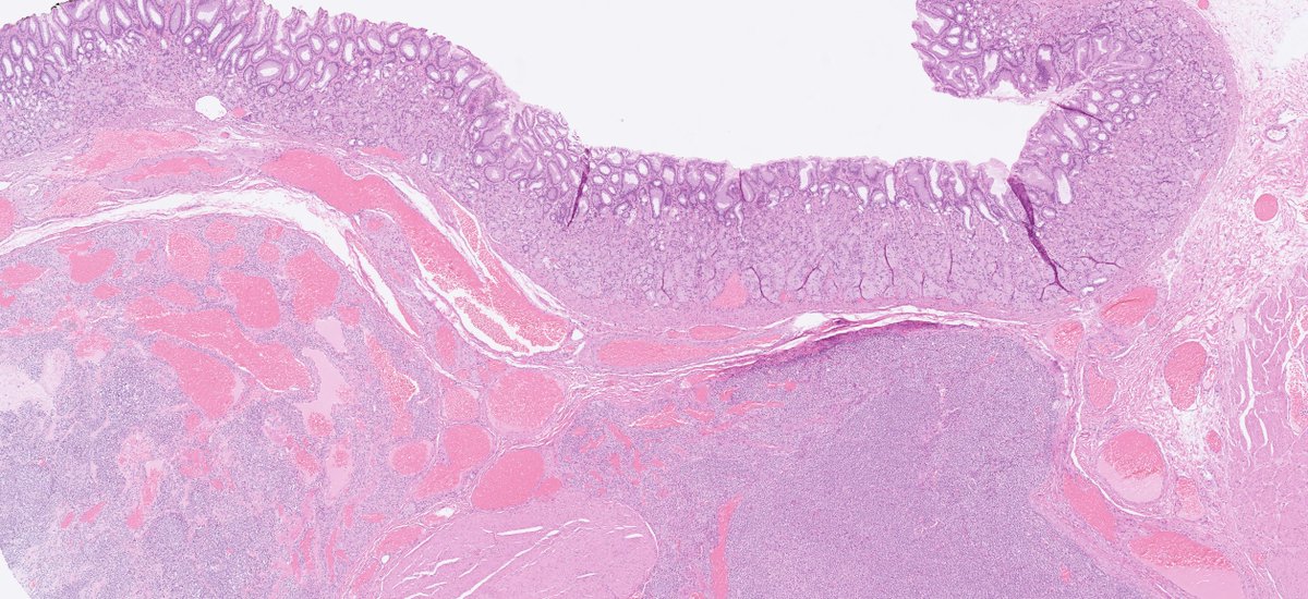
Definitely the best example of ☢️radiation colitis☢️ I've ever seen. Angiectatic vessels are so prominent; they even show superficial thrombi. #GiPath #Pathology

DraEosina's tweet image. Definitely the best example of ☢️radiation colitis☢️ I&apos;ve ever seen.
Angiectatic vessels are so prominent; they even show superficial thrombi.
#GiPath #Pathology
DraEosina's tweet image. Definitely the best example of ☢️radiation colitis☢️ I&apos;ve ever seen.
Angiectatic vessels are so prominent; they even show superficial thrombi.
#GiPath #Pathology
DraEosina's tweet image. Definitely the best example of ☢️radiation colitis☢️ I&apos;ve ever seen.
Angiectatic vessels are so prominent; they even show superficial thrombi.
#GiPath #Pathology

Tamara Zudaire gönderiyi yeniden yayınladı

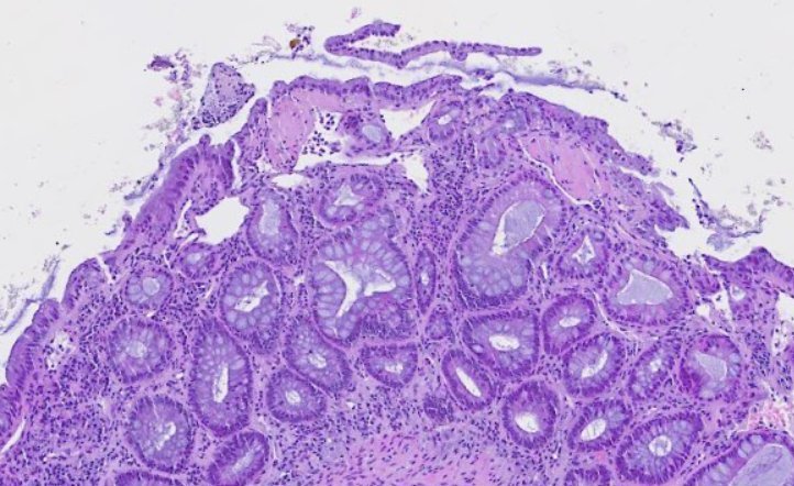
What would you call this lesion in the cervical biopsy?? #pathology

kis_lorand's tweet image. What would you call this lesion in the cervical biopsy??
#pathology
kis_lorand's tweet image. What would you call this lesion in the cervical biopsy??
#pathology
kis_lorand's tweet image. What would you call this lesion in the cervical biopsy??
#pathology
kis_lorand's tweet image. What would you call this lesion in the cervical biopsy??
#pathology

Tamara Zudaire gönderiyi yeniden yayınladı

One adrenal is from a patient with an endocrine disorder, the other adrenal has normal histology (an innocent bystander removed as part of ambitious surgery for unrelated purposes). Let's hear it in the polls below!

DrJuhlin's tweet image. One adrenal is from a patient with an endocrine disorder, the other adrenal has normal histology (an innocent bystander removed as part of ambitious surgery for unrelated purposes). Let&apos;s hear it in the polls below!
DrJuhlin's tweet image. One adrenal is from a patient with an endocrine disorder, the other adrenal has normal histology (an innocent bystander removed as part of ambitious surgery for unrelated purposes). Let&apos;s hear it in the polls below!

Tamara Zudaire gönderiyi yeniden yayınladı

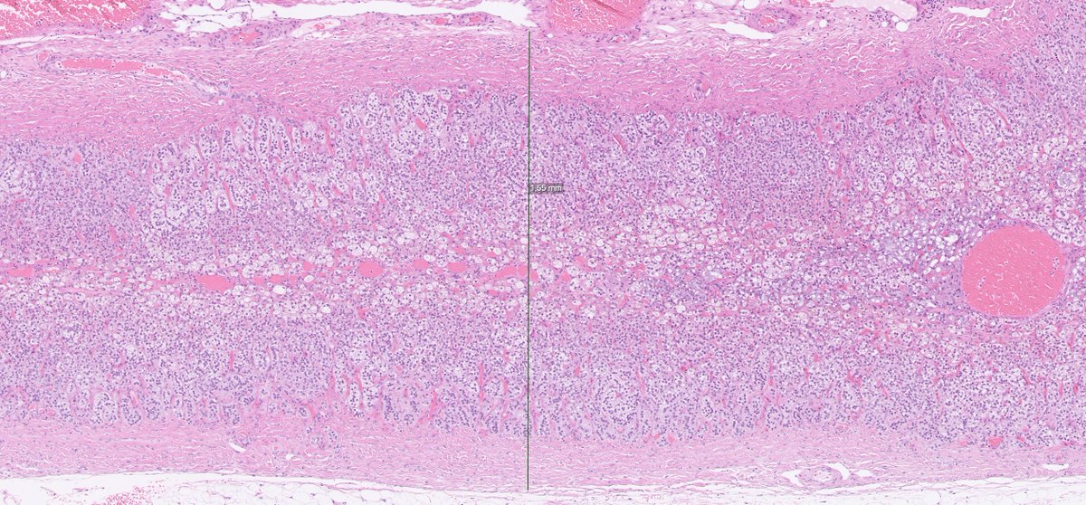
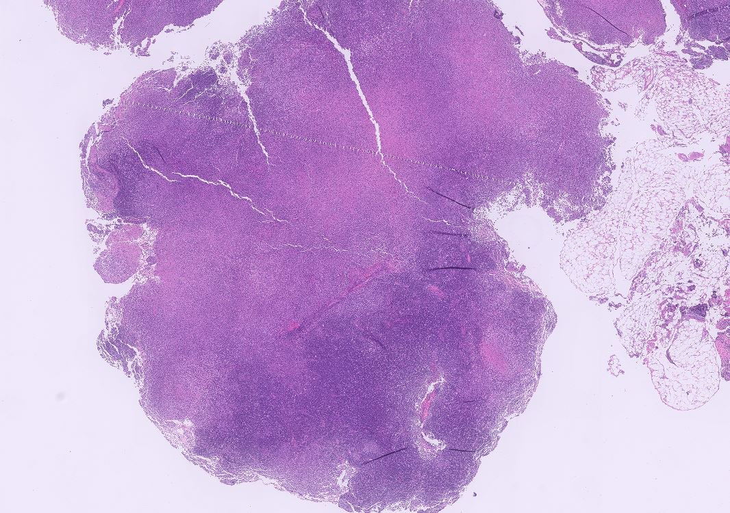
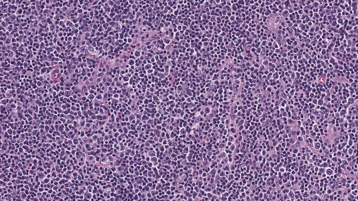
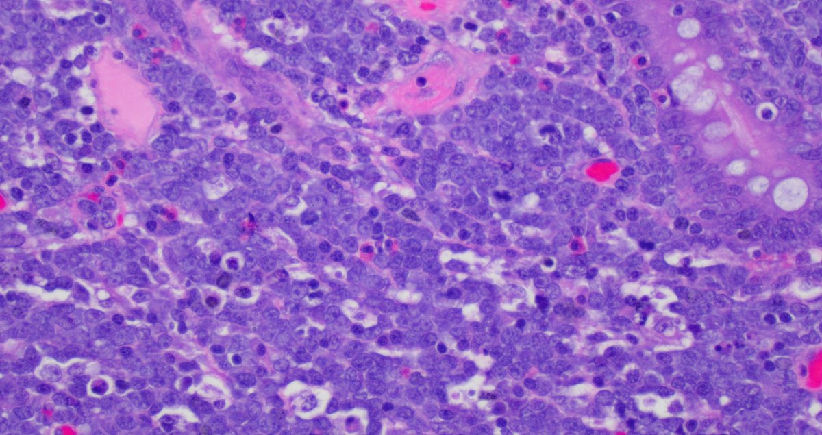
70ish y/o male, gastric lesion, excision. Tumor is locaded in the submucosa, with infiltrative growth to the subserosal layer. Cells are arranged in solid sheets. Monomorphic appearance. Let's have a closer look! Follow the thread... 🧵

DrJuhlin's tweet image. 70ish y/o male, gastric lesion, excision. Tumor is locaded in the submucosa, with infiltrative growth to the subserosal layer. Cells are arranged in solid sheets. Monomorphic appearance. Let&apos;s have a closer look! Follow the thread... 🧵
DrJuhlin's tweet image. 70ish y/o male, gastric lesion, excision. Tumor is locaded in the submucosa, with infiltrative growth to the subserosal layer. Cells are arranged in solid sheets. Monomorphic appearance. Let&apos;s have a closer look! Follow the thread... 🧵

Tamara Zudaire gönderiyi yeniden yayınladı

Hello Friends, I have the pleasure of sharing with you some of my best photos of ferruginous bodies. We do not see the fiber around which it has formed. There are multinucleated macrophages that have either formed it or try to phagocytize it #ferruginousbodies #ferruginous #BAL

Histopatolomon's tweet image. Hello Friends, I have the pleasure of sharing with you some of my best photos of ferruginous bodies. We do not see the fiber around which it has formed. There are multinucleated macrophages that have either formed it or try to phagocytize it #ferruginousbodies #ferruginous #BAL

Tamara Zudaire gönderiyi yeniden yayınladı

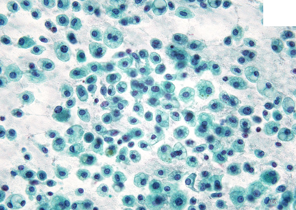
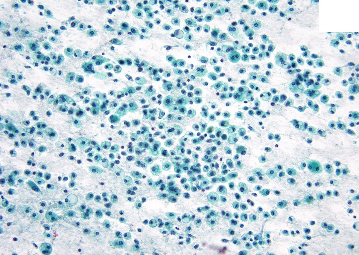
Pancreatic mass. Diagnosis? A) Non-diagnostic B) Negative (for malignancy) C) Neoplastic (benign or other) D) Malignant #cytopath #pathology #gipath #pathtwitter

DrCycloPath's tweet image. Pancreatic mass. Diagnosis?
A) Non-diagnostic
B) Negative (for malignancy)
C) Neoplastic (benign or other)
D) Malignant
#cytopath #pathology #gipath #pathtwitter
DrCycloPath's tweet image. Pancreatic mass. Diagnosis?
A) Non-diagnostic
B) Negative (for malignancy)
C) Neoplastic (benign or other)
D) Malignant
#cytopath #pathology #gipath #pathtwitter

Tamara Zudaire gönderiyi yeniden yayınladı

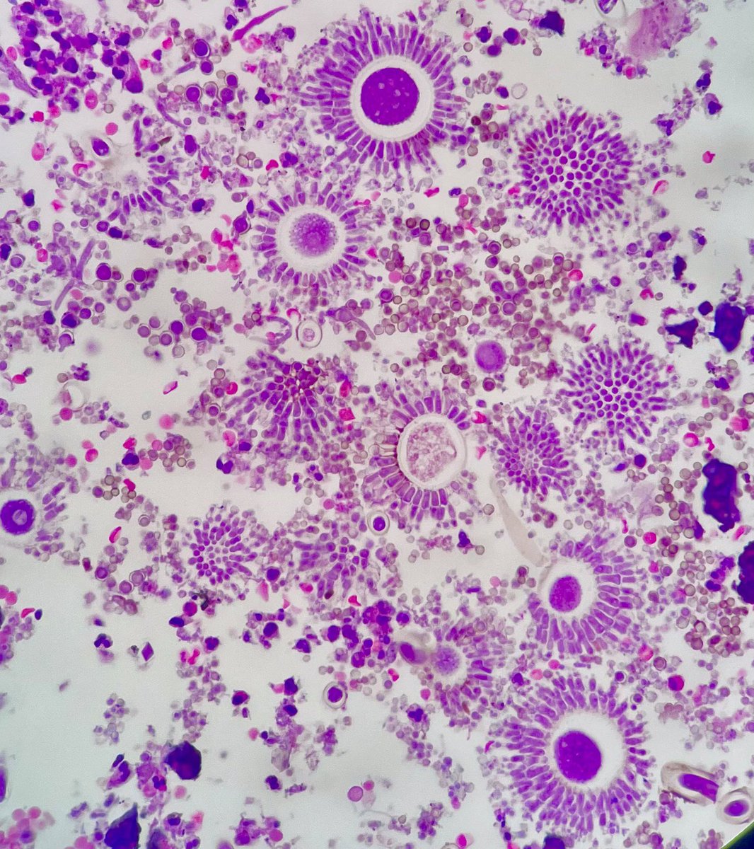
Beautiful fruiting heads, isn’t it? I had to stop for a few minutes and appreciate their beauty🤍

Hashimoto__0's tweet image. Beautiful fruiting heads, isn’t it?
I had to stop for a few minutes and appreciate their beauty🤍

Loading...

Something went wrong.


Something went wrong.