SurgicalPath's profile picture. This is the account of Dr Sampurna Roy MD @DrSampyRoy. I'll only tweet links related to pathology,medicine & science from this account.

Surgical Pathology

@SurgicalPath

This is the account of Dr Sampurna Roy MD @DrSampyRoy. I'll only tweet links related to pathology,medicine & science from this account.

Pinned

PEComa - [Pathology Infographic] - #SoftTissuePathology #meded

SurgicalPath's tweet image. PEComa - [Pathology Infographic] - #SoftTissuePathology  #meded

Cholesterolosis is characterized by the presence of aggregates of lipid-containing macrophages in the lamina propria of the gallbladder. . . #roypath #poster #posteroftheday

SurgicalPath's tweet image. Cholesterolosis is characterized by the presence of aggregates of lipid-containing macrophages in the lamina propria of the gallbladder.
.
.
#roypath #poster #posteroftheday

Lupus Pernio is a specific cutaneous manifestation of chronic multi-system sarcoidosis. . . #roypath #poster #posteroftheday

SurgicalPath's tweet image. Lupus Pernio is a specific cutaneous manifestation of chronic multi-system sarcoidosis.
.
.
#roypath #poster #posteroftheday

Trichilemmoma is a benign follicular tumour that shows differentiation toward the outer root sheath of the pilosebaceous follicular epithelium. #roypath #poster #postereveryday #designinstagram.com/p/BrUpPAUBnLc/…


Solitary circumscribed neuroma ( palisaded encapsulated neuroma ) is a benign cutaneous or mucosal neural tumour. This is a distinctive, painless, solitary, non-pigmented… instagram.com/p/BrPuUHehd2e/…


Surgical Pathology reposted

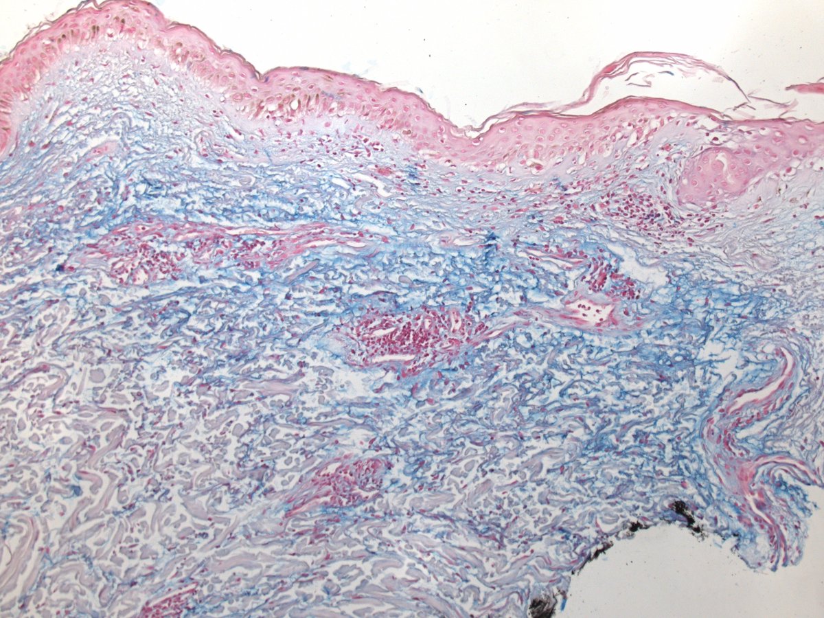
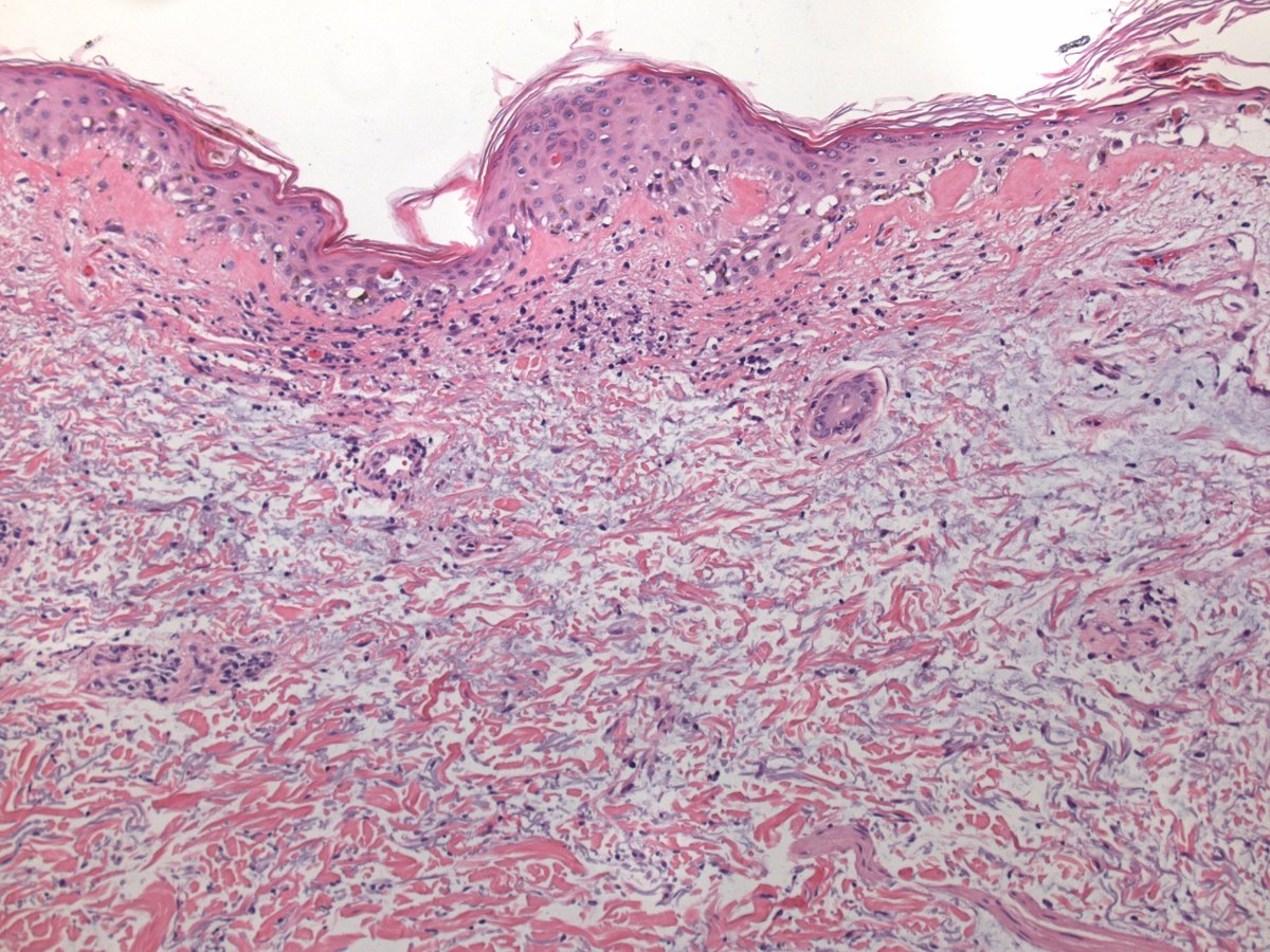
Histological findings in dermatomyositis are rather non-specific. Interface changes and dermal mucin seem most consistent. #dermpath #pathology

DrZembowicz's tweet image. Histological findings in dermatomyositis are rather non-specific. Interface changes and dermal mucin seem most consistent. #dermpath #pathology
DrZembowicz's tweet image. Histological findings in dermatomyositis are rather non-specific. Interface changes and dermal mucin seem most consistent. #dermpath #pathology
DrZembowicz's tweet image. Histological findings in dermatomyositis are rather non-specific. Interface changes and dermal mucin seem most consistent. #dermpath #pathology
DrZembowicz's tweet image. Histological findings in dermatomyositis are rather non-specific. Interface changes and dermal mucin seem most consistent. #dermpath #pathology

Surgical Pathology reposted

Fully expecting this to happen to me someday. Up to my elbows every two weeks cleaning.

Fish Tank Granuloma / Swimming pool granuloma caused by Mycobacterium Marinum (atypical mycobacterium) #roypath #gifoftheday #animation #infectiousdisease



Fish Tank Granuloma / Swimming pool granuloma caused by Mycobacterium Marinum (atypical mycobacterium) #roypath #gifoftheday #animation #infectiousdisease


New - Plague - The Black Death #roypath #slides #infectiousdiseases #gifoftheday


Pathology of Vitamin C Deficiency - #Pathologygif #roypath


Pathology Poster of the day -Salmonellosis #roypath

SurgicalPath's tweet image. Pathology Poster of the day -Salmonellosis #roypath

Here is coffee for all those who liked my #pathologygif. #roypath 😊


#PathologyGif of the Day - Pulse Granuloma - #roypath


Lol Why do you want to lock your twitter account ? There is nothing to hide in social media. :D Enjoy tweeting everyone ;-)


Surgical Pathology reposted

Booze causes about 6% of cancer deaths. Why do we think "moderate drinking" is healthy? bit.ly/2cWV77B #industry #funded #studies

Ananyo's tweet image. Booze causes about 6% of cancer deaths. Why do we think "moderate drinking" is healthy? bit.ly/2cWV77B #industry #funded #studies

Surgical Pathology reposted

#MyAttitudeRightNowIsLike… give support and love to those touched by #cancer.


Be a good listener. Your ears will never get you in trouble. #pathgraffiti #roypath

SurgicalPath's tweet image. Be a good listener. Your ears will never get you in trouble. #pathgraffiti #roypath

This -> How the Top 100 Brands Use YouTube for Marketing buff.ly/2cYVJZm


Loading...

Something went wrong.


Something went wrong.