pathtutor_com's profile picture. http://www.pathtutor.com Pathology question bank designed for pathology residents. http://www.ihcgame.com Memorize hundreds of IHC profiles!

Pathtutor | IHC game

@pathtutor_com

http://www.pathtutor.com Pathology question bank designed for pathology residents. http://www.ihcgame.com Memorize hundreds of IHC profiles!

Pathtutor | IHC game reposted

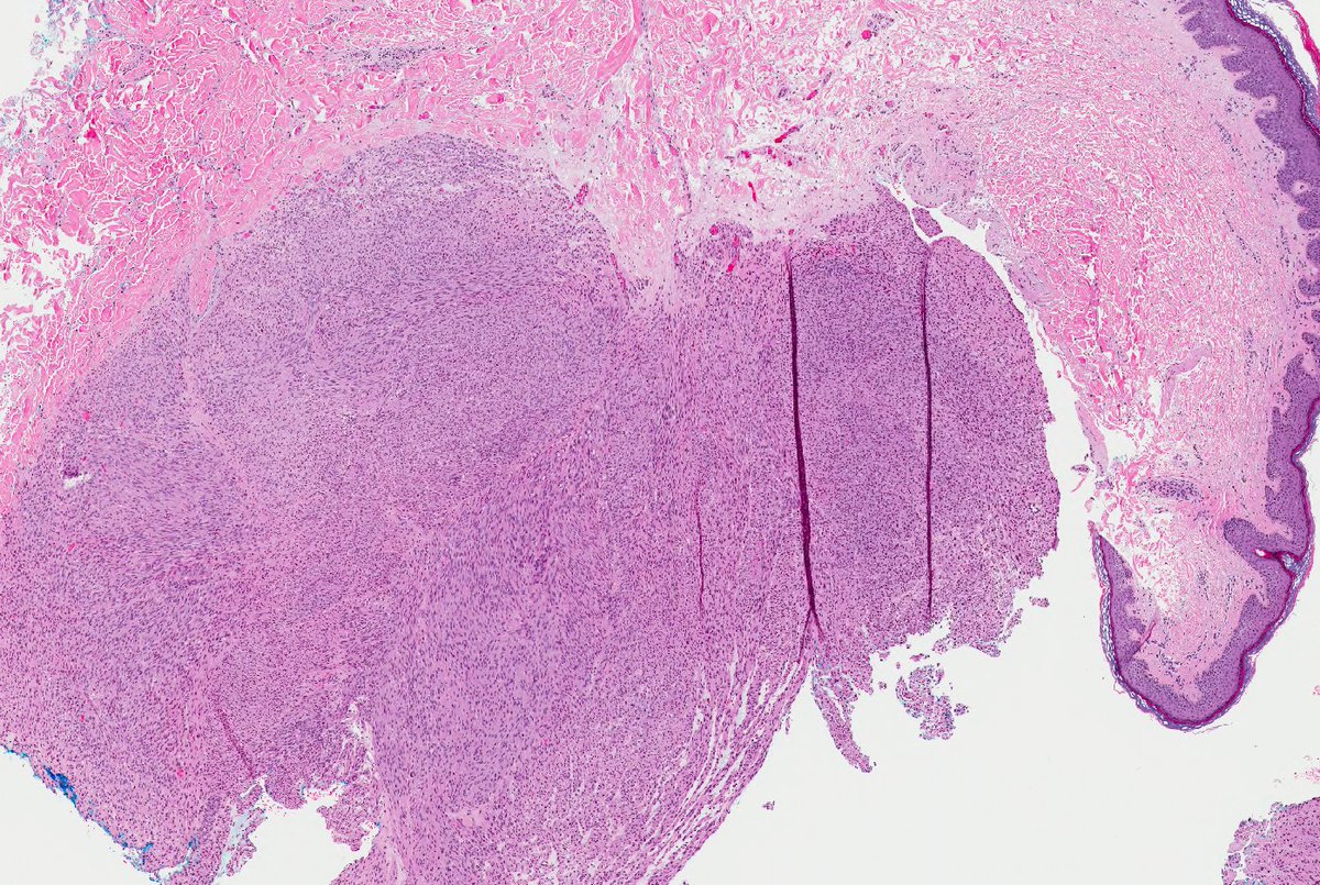
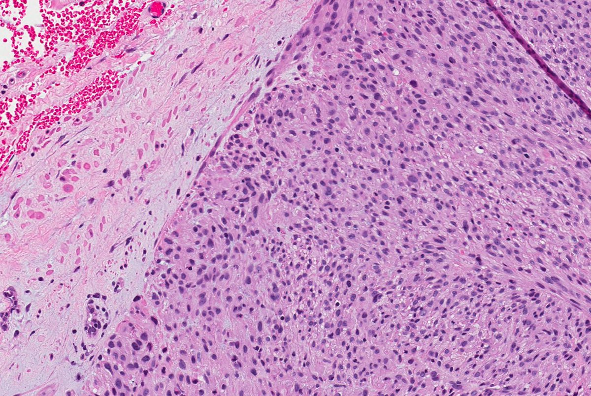
Remember leiomyosarcomas arising from vessels may be aggressive unlike leiomyosarcoma from arrector pili. This LMS arising from vein; note residual vascular wall at periphery. Residual vein top left corner on image 2 & 3. Ref: Italiano A, et al. PubMed PMID: 20167595. #dermpath

SteveBillingsMD's tweet image. Remember leiomyosarcomas arising from vessels may be aggressive unlike leiomyosarcoma from arrector pili. This LMS arising from vein; note residual vascular wall at periphery.  Residual vein top left corner on image 2 & 3. Ref: Italiano A, et al. PubMed PMID: 20167595. #dermpath
SteveBillingsMD's tweet image. Remember leiomyosarcomas arising from vessels may be aggressive unlike leiomyosarcoma from arrector pili. This LMS arising from vein; note residual vascular wall at periphery.  Residual vein top left corner on image 2 & 3. Ref: Italiano A, et al. PubMed PMID: 20167595. #dermpath
SteveBillingsMD's tweet image. Remember leiomyosarcomas arising from vessels may be aggressive unlike leiomyosarcoma from arrector pili. This LMS arising from vein; note residual vascular wall at periphery.  Residual vein top left corner on image 2 & 3. Ref: Italiano A, et al. PubMed PMID: 20167595. #dermpath

Pathtutor | IHC game reposted

1/ Necrosis = cell death (unlike apoptosis, it does not occur naturally and is not programmed) This short #Tweetorial shows you some of the histologic flavors of necrosis. The stain in each of these pics is hematoxylin-eosin (H&E) #pathology #pulmpath #pathtweetorial


Pathtutor | IHC game reposted

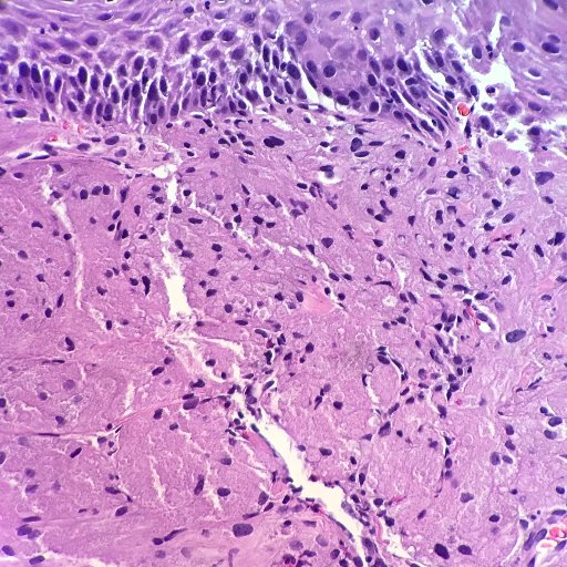
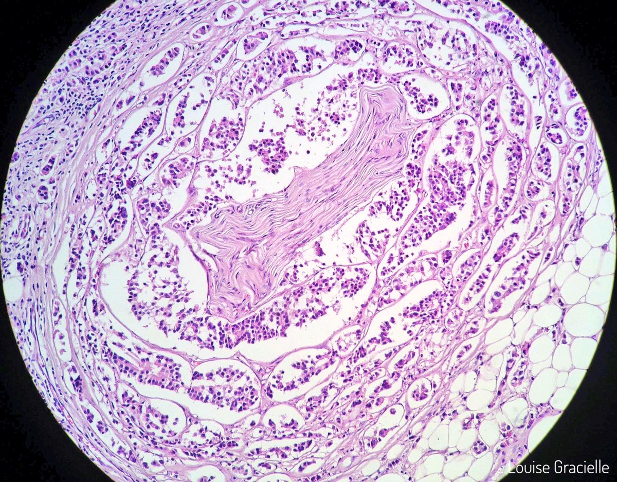
Breast carcinoma infiltrating a Pacinian corpuscle in a male patient. #breastcancer #pathology #paciniancorpuscle #breastpathology

LouiseGracielle's tweet image. Breast carcinoma infiltrating a Pacinian corpuscle in a male patient. #breastcancer #pathology #paciniancorpuscle #breastpathology

Pathtutor | IHC game reposted

This is all I get before it cuts out :(

jocumiskey's tweet image. This is all I get before it cuts out :(
jocumiskey's tweet image. This is all I get before it cuts out :(
jocumiskey's tweet image. This is all I get before it cuts out :(

Pathtutor | IHC game reposted

Because who doesn’t want to see a cute gallbladder with faceted stones? #pathology #grosspath

Missle's tweet image. Because who doesn’t want to see a cute gallbladder with faceted stones? #pathology #grosspath

Pathtutor | IHC game reposted

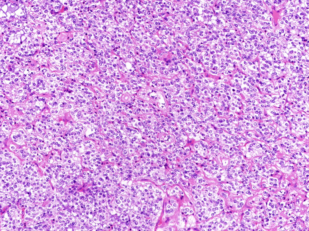
Usually located at the edge of the testis and displacing its parenchyma, metastatic tumors can mimic a primary testicular malignancy. This is an example of desmoplastic small round cell tumor (DSRCT). Confirmed EWSR1 FISH. @GUpath @urology

Andres_Matoso's tweet image. Usually located at the edge of the testis and displacing its parenchyma, metastatic tumors can mimic a primary testicular malignancy. This is an example of desmoplastic small round cell tumor (DSRCT). Confirmed EWSR1 FISH. @GUpath @urology
Andres_Matoso's tweet image. Usually located at the edge of the testis and displacing its parenchyma, metastatic tumors can mimic a primary testicular malignancy. This is an example of desmoplastic small round cell tumor (DSRCT). Confirmed EWSR1 FISH. @GUpath @urology
Andres_Matoso's tweet image. Usually located at the edge of the testis and displacing its parenchyma, metastatic tumors can mimic a primary testicular malignancy. This is an example of desmoplastic small round cell tumor (DSRCT). Confirmed EWSR1 FISH. @GUpath @urology

Pathtutor | IHC game reposted
BinXu16's tweet image. Laryngeal biopsy...diagnosis? Other than helmet of magneto..... #ENTpath

@TheKarenPinto @DrAhmedKalebi @DrGeeONE @DrAldehyde @ariella8 @VijayPatho @ReneJaraM @renemaf @ReyPathology @kriyer68

Pathtutor | IHC game reposted

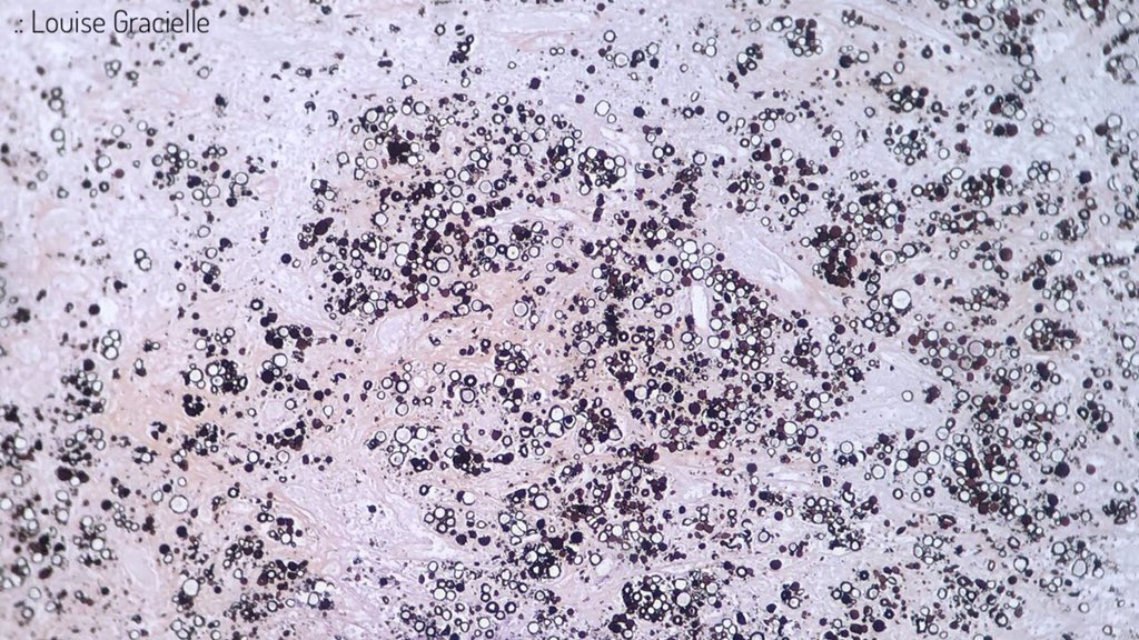
It looks like Paracoccidioides brasiliensis is throwing a party to which I wasn’t invited. 🎉🔅🔆🔅🎉 (Thank God! 😬) #Lymphnode #Yeasts #Paracoccidioidesbrasiliensis #Grocott #Pathology #ItLooksLikeAPainting

LouiseGracielle's tweet image. It looks like Paracoccidioides brasiliensis is throwing a party to which I wasn’t invited. 🎉🔅🔆🔅🎉
(Thank God! 😬) 

#Lymphnode #Yeasts #Paracoccidioidesbrasiliensis #Grocott #Pathology #ItLooksLikeAPainting
LouiseGracielle's tweet image. It looks like Paracoccidioides brasiliensis is throwing a party to which I wasn’t invited. 🎉🔅🔆🔅🎉
(Thank God! 😬) 

#Lymphnode #Yeasts #Paracoccidioidesbrasiliensis #Grocott #Pathology #ItLooksLikeAPainting
LouiseGracielle's tweet image. It looks like Paracoccidioides brasiliensis is throwing a party to which I wasn’t invited. 🎉🔅🔆🔅🎉
(Thank God! 😬) 

#Lymphnode #Yeasts #Paracoccidioidesbrasiliensis #Grocott #Pathology #ItLooksLikeAPainting

Pathtutor | IHC game reposted

Pilomatricoma. Round blue matrical cells & pink ghost cells (these give a chalky chunky gross appearance) #Pathology #dermpath #dermatology

JMGardnerMD's tweet image. Pilomatricoma. Round blue matrical cells & pink ghost cells (these give a chalky chunky gross appearance) #Pathology #dermpath #dermatology
JMGardnerMD's tweet image. Pilomatricoma. Round blue matrical cells & pink ghost cells (these give a chalky chunky gross appearance) #Pathology #dermpath #dermatology
JMGardnerMD's tweet image. Pilomatricoma. Round blue matrical cells & pink ghost cells (these give a chalky chunky gross appearance) #Pathology #dermpath #dermatology

Pathtutor | IHC game reposted

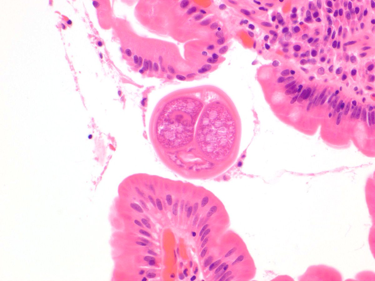
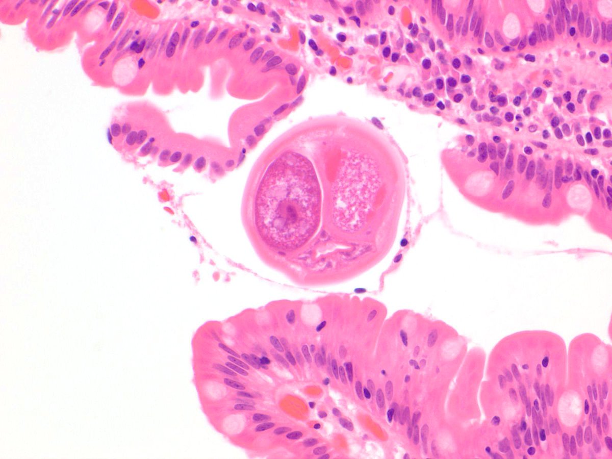
Entamoeba in colon biopsy. Amoeba remind me of big odd histiocytes. Amazing pics by @chucktowndoc. #Pathology #GIpath #IDpath

JMGardnerMD's tweet image. Entamoeba in colon biopsy. Amoeba remind me of big odd histiocytes. Amazing pics by @chucktowndoc. #Pathology #GIpath #IDpath
JMGardnerMD's tweet image. Entamoeba in colon biopsy. Amoeba remind me of big odd histiocytes. Amazing pics by @chucktowndoc. #Pathology #GIpath #IDpath
JMGardnerMD's tweet image. Entamoeba in colon biopsy. Amoeba remind me of big odd histiocytes. Amazing pics by @chucktowndoc. #Pathology #GIpath #IDpath

Pathtutor | IHC game reposted

Oligodendroglioma, NOS, WHO grade II. Cerebrum, resection. HE stain.

Patholwalker's tweet image. Oligodendroglioma, NOS, WHO grade II. Cerebrum, resection. HE stain.
Patholwalker's tweet image. Oligodendroglioma, NOS, WHO grade II. Cerebrum, resection. HE stain.
Patholwalker's tweet image. Oligodendroglioma, NOS, WHO grade II. Cerebrum, resection. HE stain.

Pathtutor | IHC game reposted

Fibroepithelioma of Pinkus, basal cell carcinoma fibroepithelioma type, Pinkus tumor, new WHO (4th edition) calls it fibroepithelial basal cell carcinoma. Whatever your preferred name, it's a pretty tumor. #pathology #dermpath

ckinonen's tweet image. Fibroepithelioma of Pinkus, basal cell carcinoma fibroepithelioma type, Pinkus tumor, new WHO (4th edition) calls it fibroepithelial basal cell carcinoma. Whatever your preferred name, it's a pretty tumor. #pathology #dermpath

Pathtutor | IHC game reposted

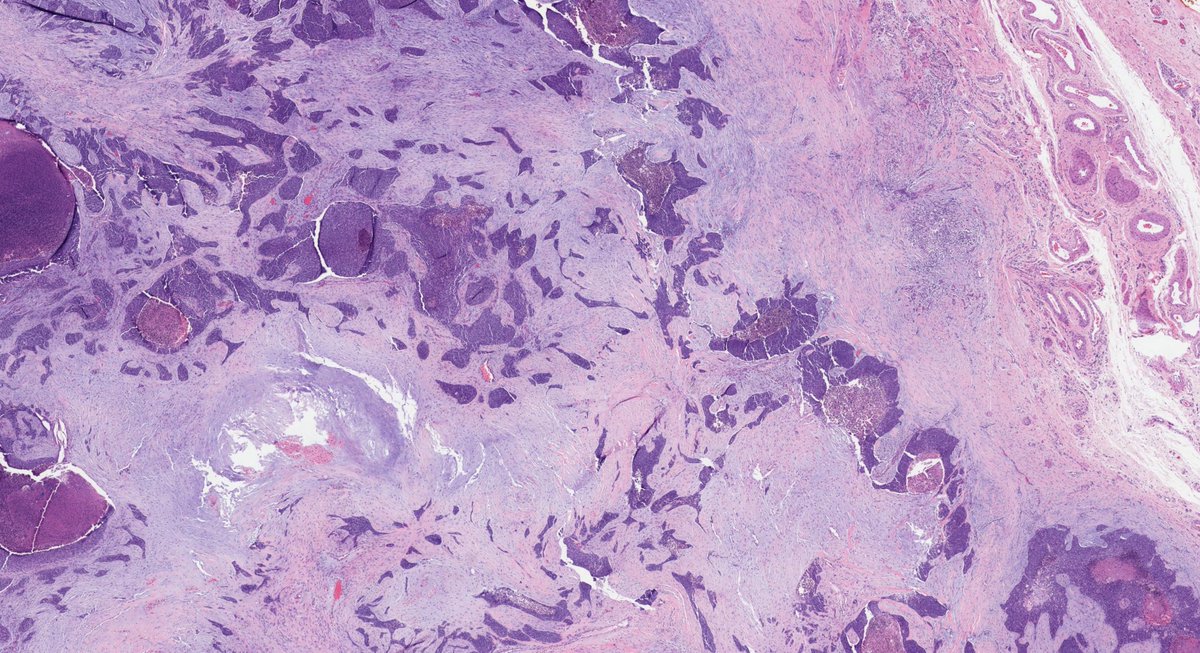
GAMNA-GANDY BODIES: -named after Carlos Gamna (Italian) & Charles Gandy (French) -were misidentified as fungal hyphae -can be seen in spleen, cardiac myxomas & rarely lymph nodes, thyroid, CNS #pathology #GUpath  #Kidney

TheKarenPinto's tweet image. GAMNA-GANDY BODIES:

-named after Carlos Gamna (Italian) & Charles Gandy (French)
-were misidentified as fungal hyphae
-can be seen in spleen, cardiac myxomas & rarely lymph nodes, thyroid, CNS

#pathology #GUpath  #Kidney
TheKarenPinto's tweet image. GAMNA-GANDY BODIES:

-named after Carlos Gamna (Italian) & Charles Gandy (French)
-were misidentified as fungal hyphae
-can be seen in spleen, cardiac myxomas & rarely lymph nodes, thyroid, CNS

#pathology #GUpath  #Kidney
TheKarenPinto's tweet image. GAMNA-GANDY BODIES:

-named after Carlos Gamna (Italian) & Charles Gandy (French)
-were misidentified as fungal hyphae
-can be seen in spleen, cardiac myxomas & rarely lymph nodes, thyroid, CNS

#pathology #GUpath  #Kidney

Pathtutor | IHC game reposted

Candida esophagitis - parakeratosis+superficial neutrophils+pseudohyphae (arrows) within viable epithelium. #GIpath

DibsonG's tweet image. Candida esophagitis - parakeratosis+superficial neutrophils+pseudohyphae (arrows) within viable epithelium. #GIpath

Pathtutor | IHC game reposted

Cowper's glands(arrows) on prostate needle biopsy, note skeletal muscle at periphery. Very rare finding!!! 0.006% in a series (Cina, Epstein et Al. goo.gl/ZbJE5o) @JMGardnerMD @smlungpathguy @rovingatuscap @Williamson_SR @AnapathResident @kriyer68 @EPDavaro #GUpath

DibsonG's tweet image. Cowper's glands(arrows) on prostate needle biopsy, note skeletal muscle at periphery. Very rare finding!!! 0.006% in a series (Cina, Epstein et Al. goo.gl/ZbJE5o) @JMGardnerMD @smlungpathguy @rovingatuscap @Williamson_SR @AnapathResident @kriyer68 @EPDavaro #GUpath

Pathtutor | IHC game reposted

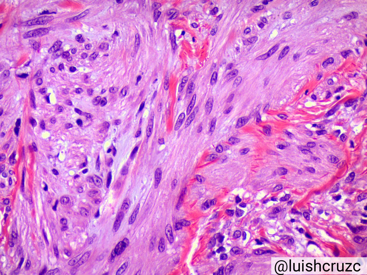
Smooth Muscle Hamartoma 👶👶🔬✏️ ✔️Rare ✔️Congenital lesion ✔️flesh colored plaque ✔️Composed of randomly arranged bundles of mature smooth muscle in the dermis ✔️overlying epidermis may show hyperkeratosis, acanthosis and hyperpigmentation #pathology #dermpath #PediPath

luishcruzc's tweet image. Smooth Muscle Hamartoma 👶👶🔬✏️
✔️Rare
✔️Congenital lesion
✔️flesh colored plaque
✔️Composed of randomly arranged bundles of mature smooth muscle in the dermis
✔️overlying epidermis may show hyperkeratosis, acanthosis and hyperpigmentation
#pathology #dermpath #PediPath
luishcruzc's tweet image. Smooth Muscle Hamartoma 👶👶🔬✏️
✔️Rare
✔️Congenital lesion
✔️flesh colored plaque
✔️Composed of randomly arranged bundles of mature smooth muscle in the dermis
✔️overlying epidermis may show hyperkeratosis, acanthosis and hyperpigmentation
#pathology #dermpath #PediPath
luishcruzc's tweet image. Smooth Muscle Hamartoma 👶👶🔬✏️
✔️Rare
✔️Congenital lesion
✔️flesh colored plaque
✔️Composed of randomly arranged bundles of mature smooth muscle in the dermis
✔️overlying epidermis may show hyperkeratosis, acanthosis and hyperpigmentation
#pathology #dermpath #PediPath
luishcruzc's tweet image. Smooth Muscle Hamartoma 👶👶🔬✏️
✔️Rare
✔️Congenital lesion
✔️flesh colored plaque
✔️Composed of randomly arranged bundles of mature smooth muscle in the dermis
✔️overlying epidermis may show hyperkeratosis, acanthosis and hyperpigmentation
#pathology #dermpath #PediPath

United States Trends

Loading...

Something went wrong.


Something went wrong.