thmonk_pf's profile picture. 種族:アビシニアン もふもふは地球を救う  一口に脳みそと言いますが二口では脳とみそです 鍵垢は相互にならない場合可及的速やかにブロック

thmonk

@thmonk_pf

種族:アビシニアン もふもふは地球を救う 一口に脳みそと言いますが二口では脳とみそです 鍵垢は相互にならない場合可及的速やかにブロック

thmonk 님이 재게시함

【医者だけが知っていることwwww】 名医はテレビに出ない


thmonk 님이 재게시함

おっちゃんのマジックデーだよ〜 FDCの全商品、今週末21日〜23日の3日間、30%オフでご購入いただけます(Paypalご使用の場合は20%オフ🙏) おっちゃんクラブ会員の方はさらにディスカウント! まだお持ちでないアルバムがありましたらこれを機に是非! francisdecamps.fr/Boutique/s0c/T…


thmonk 님이 재게시함

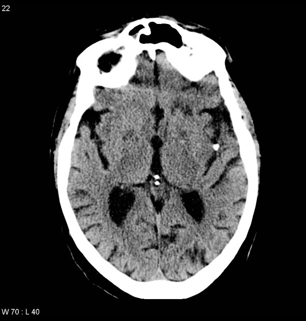
石灰化脳塞栓(calcified cerebral embolism) ・石灰化塞栓子による脳梗塞 ・塞栓源:大動脈弁/僧帽弁石灰化,頸動脈/大動脈弓部等のアテローム性動脈硬化 ・塞栓先:中大脳動脈が最多 ・石灰化塞栓:1-5.5mm,円形-卵円形 ・再発リスクは43-75%と高い(診断と塞栓源指摘は重要) #Rdiag

TKG_Radiology's tweet image. 石灰化脳塞栓(calcified cerebral embolism)

・石灰化塞栓子による脳梗塞
・塞栓源:大動脈弁/僧帽弁石灰化,頸動脈/大動脈弓部等のアテローム性動脈硬化
・塞栓先:中大脳動脈が最多
・石灰化塞栓:1-5.5mm,円形-卵円形
・再発リスクは43-75%と高い(診断と塞栓源指摘は重要)

#Rdiag
TKG_Radiology's tweet image. 石灰化脳塞栓(calcified cerebral embolism)

・石灰化塞栓子による脳梗塞
・塞栓源:大動脈弁/僧帽弁石灰化,頸動脈/大動脈弓部等のアテローム性動脈硬化
・塞栓先:中大脳動脈が最多
・石灰化塞栓:1-5.5mm,円形-卵円形
・再発リスクは43-75%と高い(診断と塞栓源指摘は重要)

#Rdiag

MDDと対照群の背外側前頭前野から20万の細胞でsnATAC-seqを施行 MDDのepigenetic変化は深層NR4A2+興奮性神経(ExN1)と灰白質microglia(Mic2)に集中 ExN1はMDD遺伝的riskで最も濃縮されrisk変異はsynapse伝達遺伝子の転写因子結合部位破壊 OA #MDD #epigenetics #papers nature.com/articles/s4158…

thmonk_pf's tweet image. MDDと対照群の背外側前頭前野から20万の細胞でsnATAC-seqを施行

MDDのepigenetic変化は深層NR4A2+興奮性神経(ExN1)と灰白質microglia(Mic2)に集中

ExN1はMDD遺伝的riskで最も濃縮されrisk変異はsynapse伝達遺伝子の転写因子結合部位破壊

OA

#MDD 
#epigenetics 
#papers 
nature.com/articles/s4158…

Ketamineに関する包括的総説 速効性抗うつ効果を示すが前臨床研究では高用量/高頻度投与で用量依存性の神経毒性、特に発達期の脳で顕著な興奮毒性/apoptosis/認知障害が報告されている 非ヒト霊長類では慢性投与によりp-tau沈着と白質異常が出現 #ketamine #papers doi.org/10.1176/appi.a…


thmonk 님이 재게시함

BBBのclaudine5に結合し30分だけBBBを開放する低分子化合物CL5Bを阪大が開発 CL5Bは1.4 kDaまでの薬剤を脳に特異的に送達 脳内浸透性が低い薬剤methylscoporamineのCL5Bによる送達はmouse seizure modelに於て発作症状を軽減 #BBB #claudine5 #papers doi.org/10.1016/j.jcon…

thmonk_pf's tweet image. BBBのclaudine5に結合し30分だけBBBを開放する低分子化合物CL5Bを阪大が開発

CL5Bは1.4 kDaまでの薬剤を脳に特異的に送達

脳内浸透性が低い薬剤methylscoporamineのCL5Bによる送達はmouse seizure modelに於て発作症状を軽減

#BBB 
#claudine5 
#papers 
doi.org/10.1016/j.jcon…

ちょっと疲れたので、Grokに僕の考えたポケモン「アミダパーソン」を書いてと言ったらこれが出てきた


thmonk 님이 재게시함

オーロラが出た夜(11/12)、タイムラプス用に撮ってた画像を見返したら、海に夜光虫が写ってた!いつか天の川と夜光虫を一緒に撮りたいと思ってたけど、まさか(冬の)天の川+夜光虫+オーロラが同時に撮れるとは思わなかったわ。

Haru_koala's tweet image. オーロラが出た夜(11/12)、タイムラプス用に撮ってた画像を見返したら、海に夜光虫が写ってた!いつか天の川と夜光虫を一緒に撮りたいと思ってたけど、まさか(冬の)天の川+夜光虫+オーロラが同時に撮れるとは思わなかったわ。
Haru_koala's tweet image. オーロラが出た夜(11/12)、タイムラプス用に撮ってた画像を見返したら、海に夜光虫が写ってた!いつか天の川と夜光虫を一緒に撮りたいと思ってたけど、まさか(冬の)天の川+夜光虫+オーロラが同時に撮れるとは思わなかったわ。
Haru_koala's tweet image. オーロラが出た夜(11/12)、タイムラプス用に撮ってた画像を見返したら、海に夜光虫が写ってた!いつか天の川と夜光虫を一緒に撮りたいと思ってたけど、まさか(冬の)天の川+夜光虫+オーロラが同時に撮れるとは思わなかったわ。

OxfordのMR入門シリーズ「MRS信号取得とデータ解析」読了 初学者向けに基礎から読み進んでいく事によりデータ収集・解析ができる様に構成 それぞれの章に、さらに深く理解したい人のための文献提示もあり、価格も手頃(Kindleで7308円)でMRSを研究に使いたい方におすすめです amazon.co.jp/Introduction-R…

thmonk_pf's tweet image. OxfordのMR入門シリーズ「MRS信号取得とデータ解析」読了

初学者向けに基礎から読み進んでいく事によりデータ収集・解析ができる様に構成

それぞれの章に、さらに深く理解したい人のための文献提示もあり、価格も手頃(Kindleで7308円)でMRSを研究に使いたい方におすすめです
amazon.co.jp/Introduction-R…

thmonk 님이 재게시함

日本の小児インフルエンザワクチン接種率が高かった頃、小児が守られていたのはもちろん、高齢化が進んでいるのに高齢者の超過死亡が激減したデータもNEJMに載り世界中の研究者に衝撃を与えた。 (その後同様の相関が世界各国で確認) 皮肉にも接種率低下によってその効果が消えることで明らかになった

MDPHD_mouchoi's tweet image. 日本の小児インフルエンザワクチン接種率が高かった頃、小児が守られていたのはもちろん、高齢化が進んでいるのに高齢者の超過死亡が激減したデータもNEJMに載り世界中の研究者に衝撃を与えた。
(その後同様の相関が世界各国で確認)

皮肉にも接種率低下によってその効果が消えることで明らかになった

ずっとずっと 思っていたことなんだが 高齢者のインフルワクチンが公費でいいなら 小児も公費にすべきだろ というか小児こそ公費だろ いや無料でいいだろ



おやすみまえの... National Health - Live at Dundee 1976 から Tenemos Roads 昨日のGigの2週間前、彼らの最初期のGigから Tenemos Roadsはまだ歌詞がついておらず、Amandaがscatで歌っている youtu.be/2woPotIxI1w?si…

thmonk_pf's tweet card. National Health - Live at Dundee 1976

youtube.com

YouTube

National Health - Live at Dundee 1976


一瞬、畳の上で鳥が寝ているのかと思った😓

thmonk_pf's tweet image. 一瞬、畳の上で鳥が寝ているのかと思った😓

本日の落ちてる猫です

__Spica0's tweet image. 本日の落ちてる猫です


thmonk 님이 재게시함

日本をナメるな!!と豪語していた参政党が、 いまに至るまで中国に対して強気の姿勢で、 徹底抗戦の構えを見せないの本当にナゾ。


最後の方のピアノがCrimsonのCat FoodのKeith Tippetみたいでカッコいい!😎

喰らえソ連サイケデリア! ソ連ファンクと一口に言っても色々あるもので、彼らはジョージア(旧グルジア)の民謡をサイケ化した異形のグループ、Iveria。 なお、途中からウズウズしてたけど、ついにやさぐれ心がピークに達したのか、50秒過ぎで当て振りをやめています……国家反逆罪! #ソ連ファンク



thmonk 님이 재게시함

喰らえソ連サイケデリア! ソ連ファンクと一口に言っても色々あるもので、彼らはジョージア(旧グルジア)の民謡をサイケ化した異形のグループ、Iveria。 なお、途中からウズウズしてたけど、ついにやさぐれ心がピークに達したのか、50秒過ぎで当て振りをやめています……国家反逆罪! #ソ連ファンク


thmonk 님이 재게시함

Ever confused between a Literature Review and a Systematic Review? This quick visual shows the difference, so you can choose the right approach for your research. Explore papers faster with ResearchRabbit → researchrabbit.ai 🐇

RsrchRabbit's tweet image. Ever confused between a Literature Review and a Systematic Review?

This quick visual shows the difference, so you can choose the right approach for your research.

Explore papers faster with ResearchRabbit → researchrabbit.ai 🐇

thmonk 님이 재게시함

これは大変なことになる。最悪のコンビであるトランプ大統領の特使であるスティーブ・ウィトコフとプーチン大統領の特使であるキリル・ドミトリエフが露宇戦争を終結させる計画を策定しているという。 ウィトコフはロシアに肩入れし過ぎる人物だ。どうしてルビオ国務長官に任せないのだ。↓…

According to an exclusive report by Axios, the Trump Administration has been secretly working in consultation with Russia to draft a new plan to end the ongoing Russian invasion of Ukraine, which so far has not involved input from officials in Europe or Ukraine. President Trump’s…

sentdefender's tweet image. According to an exclusive report by Axios, the Trump Administration has been secretly working in consultation with Russia to draft a new plan to end the ongoing Russian invasion of Ukraine, which so far has not involved input from officials in Europe or Ukraine. President Trump’s…


Loading...

Something went wrong.


Something went wrong.