#cancercell search results

Evilab presenting at cancer cell immunity conference in Sitges! @ICR_London #cancercell #immunity #Immunotherapy

LuisglsZ's tweet image. Evilab presenting at cancer cell immunity conference in Sitges! @ICR_London #cancercell #immunity #Immunotherapy

Anti-Cancer Mechanisms of Small Molecule Drugs Predicted by DeepTarget DeepTarget is a computational tool that integrates large-scale drug screens with #omics data to predict mechanisms of #cancercell killing @Sanjusinha7 @sbpdiscovery #anticancerdrugs hubs.li/Q03TM_WH0


#Scientists are ready for a #surgicalstrike in #cancercell to explore anti-cancer drug inside the body. During #GUJCOST organized #STI Ecosystem for #Societal Development, Dr Sudipta Basu @iitgn presented the societal implication of project funded under #STIPolicy of #Gujarat.

Punam_Bhargava's tweet image. #Scientists are ready for a #surgicalstrike in #cancercell to explore anti-cancer drug inside the body.

During #GUJCOST organized #STI Ecosystem for #Societal Development, Dr Sudipta Basu @iitgn presented the societal implication of project funded under #STIPolicy of #Gujarat.
Punam_Bhargava's tweet image. #Scientists are ready for a #surgicalstrike in #cancercell to explore anti-cancer drug inside the body.

During #GUJCOST organized #STI Ecosystem for #Societal Development, Dr Sudipta Basu @iitgn presented the societal implication of project funded under #STIPolicy of #Gujarat.
Punam_Bhargava's tweet image. #Scientists are ready for a #surgicalstrike in #cancercell to explore anti-cancer drug inside the body.

During #GUJCOST organized #STI Ecosystem for #Societal Development, Dr Sudipta Basu @iitgn presented the societal implication of project funded under #STIPolicy of #Gujarat.

"Shape-Shifting" Cancer Cells Reveal How Tumors Invade Dense Tissue #Cancercell deformability enhances movement through tight spaces but has minimal impact on directional choices during confined migration @KavliFoundation #tumors #metastasis hubs.li/Q03VvMHC0


Brain tumors exploit body's daily rhythms to fuel growth. #CancerCell "Daily glucocorticoids promote glioblastoma growth and circadian synchrony to the host"

isciverse's tweet image. Brain tumors exploit body's daily rhythms to fuel growth. #CancerCell

"Daily glucocorticoids promote glioblastoma growth and circadian synchrony to the host"

Germany: सर्जरी के दौरान डॉक्टर को मरीज से ही हो गया कैंसर ◆ कैंसर मरीज के ऑपरेशन के दौरान उंगली में लगे कट के जरिए मरीज की कैंसर सेल उनके शरीर में ट्रांसफर हो गई ◆ एक्सपर्ट्स बोले अनोखा मामला, सर्जरी कर रहे डॉक्टर की इम्यूनिटी कमजोर रही होगी #ViralStory #CancerCell

news24tvchannel's tweet image. Germany: सर्जरी के दौरान डॉक्टर को मरीज से ही हो गया कैंसर

◆ कैंसर मरीज के ऑपरेशन के दौरान उंगली में लगे कट के जरिए मरीज की कैंसर सेल उनके शरीर में ट्रांसफर हो गई 

◆ एक्सपर्ट्स बोले अनोखा मामला, सर्जरी कर रहे डॉक्टर की इम्यूनिटी कमजोर रही होगी 

#ViralStory #CancerCell

In the August issue— The transcriptional and epigenetic landscape of #cancercell lineage plasticity, by @AlistarDavies, @AminaZoubeidi, @mishabeltran, @LukeSelth et al. bit.ly/3OsXXCN @Flinders @cancerFCIC @SouthernAdlLHN @ubcscience @DanaFarber @harvardmed

CD_AACR's tweet image. In the August issue—
The transcriptional and epigenetic landscape of #cancercell lineage plasticity, by @AlistarDavies, @AminaZoubeidi, @mishabeltran, @LukeSelth et al.
bit.ly/3OsXXCN
@Flinders @cancerFCIC @SouthernAdlLHN @ubcscience @DanaFarber @harvardmed

🔬Signalling and Cell Cycle Laboratory. Group Leader: Dr. Ángel R. Nebreda 👉Apply if you are interested in: #p38MAPK #SignalingNetwork #CancerCell #homeostasis #ChemotherapyResistance #TumorMicroenvironment ➡️bit.ly/3IxpT6j

IRBBarcelona's tweet image. 🔬Signalling and Cell Cycle Laboratory.
Group Leader: Dr. Ángel R. Nebreda

👉Apply if you are interested in:

#p38MAPK
#SignalingNetwork
#CancerCell #homeostasis
#ChemotherapyResistance
#TumorMicroenvironment

➡️bit.ly/3IxpT6j

Researchers at ETH Zurich have uncovered how #Colorectal #CancerCell's colonise the liver. Their findings could open up new ways to suppress this process in the future. brnw.ch/21wLtkS @ETH_BSSE


INCREDIBLE FOOTAGE T-cells in combat against cancer cell, with a sensor inside the cancer cell lighting up upon contact, through this, develop new treatments to strengthen the immune response against cancer. Source: Jeroen Slaats /buff.ly/3LDb2cc #cancercell #Tcells


#ICYMI from the latest issue— The transcriptional and epigenetic landscape of #cancercell lineage plasticity, by @AlistarDavies, @AminaZoubeidi, @mishabeltran, @LukeSelth et al. bit.ly/45GdHK0 @Flinders @cancerFCIC @SouthernAdlLHN @ubcscience @DanaFarber @harvardmed

CD_AACR's tweet image. #ICYMI from the latest issue—
The transcriptional and epigenetic landscape of #cancercell lineage plasticity, by @AlistarDavies, @AminaZoubeidi, @mishabeltran, @LukeSelth et al.
bit.ly/45GdHK0
@Flinders @cancerFCIC @SouthernAdlLHN @ubcscience @DanaFarber @harvardmed

#CancerCell: #TIM-3 is a highly expressed molecule in diffuse intrinsic pontine glioma (#DIPG) #tumor cells and immune microenvironment, and its blockade triggers a potent #immune response. That's to say, TIM-3 is a bona fide target in DIPG. pubmed.ncbi.nlm.nih.gov/37802053/ #Cancer

MedChemExpress's tweet image. #CancerCell: #TIM-3 is a highly expressed molecule in diffuse intrinsic pontine glioma (#DIPG) #tumor cells and immune microenvironment, and its blockade triggers a potent #immune response. That's to say, TIM-3 is a bona fide target in DIPG.
pubmed.ncbi.nlm.nih.gov/37802053/
#Cancer

New for the March issue— #CancerCell Resistance to IFNγ Can Occur via Enhanced Double-Strand Break Repair Pathway Activity, by Tong Han, Xujun Wang, Peng Zhang, Chenfei Wang et al. bit.ly/3lbvkzu @Wubing44589261

CIR_AACR's tweet image. New for the March issue—
#CancerCell Resistance to IFNγ Can Occur via Enhanced Double-Strand Break Repair Pathway Activity, by Tong Han, Xujun Wang, Peng Zhang, Chenfei Wang et al.
bit.ly/3lbvkzu
@Wubing44589261

🤩🤩Wow! our customers published a paper in #CancerCell~ This study revealed the key molecular #mechanism that promotes the formation of vascular #tumor thrombus in early #bladder #cancer and provided new #targets for bladder cancer. pubmed.ncbi.nlm.nih.gov/38428409/

MedChemExpress's tweet image. 🤩🤩Wow! our customers published a paper in #CancerCell~
This study revealed the key molecular #mechanism that promotes the formation of vascular #tumor thrombus in early #bladder #cancer and provided new #targets for  bladder cancer.
pubmed.ncbi.nlm.nih.gov/38428409/

"Shape-Shifting" Cancer Cells Reveal How Tumors Invade Dense Tissue #Cancercell deformability enhances movement through tight spaces but has minimal impact on directional choices during confined migration @KavliFoundation #tumors #metastasis hubs.li/Q03VvMHC0


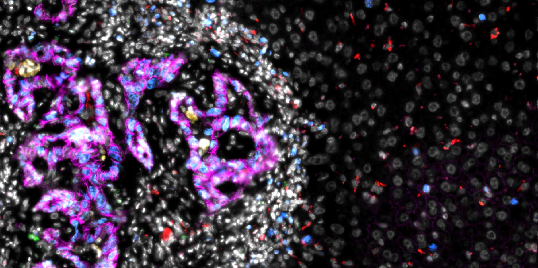
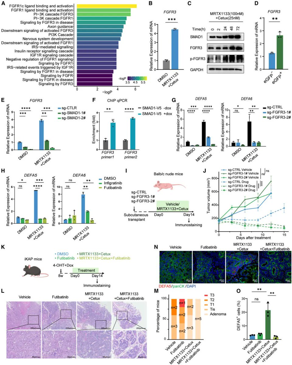
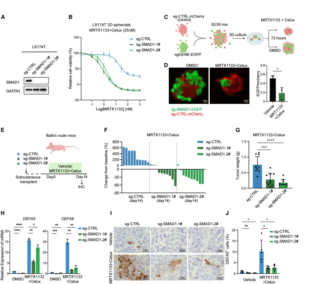
New on #CancerCell: @SYSUCC showed colorectal cancer cells can switch identity to “Paneth-like” cells under KRAS/EGFR combo pressure. SMAD1➡️FGFR3 axis drives the shift and drug escape. Targeting lineage plasticity = next-gen anti-resistance idea.#CRC #tumor

Oncologynewspro's tweet image. New on #CancerCell: @SYSUCC showed colorectal cancer cells can switch identity to “Paneth-like” cells under KRAS/EGFR combo pressure. SMAD1➡️FGFR3 axis drives the shift and drug escape. Targeting lineage plasticity = next-gen anti-resistance idea.#CRC #tumor
Oncologynewspro's tweet image. New on #CancerCell: @SYSUCC showed colorectal cancer cells can switch identity to “Paneth-like” cells under KRAS/EGFR combo pressure. SMAD1➡️FGFR3 axis drives the shift and drug escape. Targeting lineage plasticity = next-gen anti-resistance idea.#CRC #tumor
Oncologynewspro's tweet image. New on #CancerCell: @SYSUCC showed colorectal cancer cells can switch identity to “Paneth-like” cells under KRAS/EGFR combo pressure. SMAD1➡️FGFR3 axis drives the shift and drug escape. Targeting lineage plasticity = next-gen anti-resistance idea.#CRC #tumor
Oncologynewspro's tweet image. New on #CancerCell: @SYSUCC showed colorectal cancer cells can switch identity to “Paneth-like” cells under KRAS/EGFR combo pressure. SMAD1➡️FGFR3 axis drives the shift and drug escape. Targeting lineage plasticity = next-gen anti-resistance idea.#CRC #tumor

Anti-Cancer Mechanisms of Small Molecule Drugs Predicted by DeepTarget DeepTarget is a computational tool that integrates large-scale drug screens with #omics data to predict mechanisms of #cancercell killing @Sanjusinha7 @sbpdiscovery #anticancerdrugs hubs.li/Q03TM_WH0


Evilab presenting at cancer cell immunity conference in Sitges! @ICR_London #cancercell #immunity #Immunotherapy

LuisglsZ's tweet image. Evilab presenting at cancer cell immunity conference in Sitges! @ICR_London #cancercell #immunity #Immunotherapy

🎉 Excited to share my first-author #publication in #CancerCell ! I’m truly grateful to my mentor @fabianaperna, collaborators, and colleagues at @MoffittNews 👉 Read the full article here: dlvr.it/TNZXLR


Beautiful cover by #CancerCell

We are enamored with Cancer Cell's September issue and hope you love it too! Read it now: cell.com/cancer-cell/is…

Cancer_Cell's tweet image. We are enamored with Cancer Cell's September issue and hope you love it too! Read it now: cell.com/cancer-cell/is…


this natural molecule pierces #cancercell membranes and disrupts their communication, making it a #unique and promising agent in #cancertherapy. #MelittinBreakthrough #BeeVenom #Eradicates #Aggressive #BreastCancer #BreastCancerCells #InMinutes #PotentiallyLifeChaning #Think


This review from @CIEJZMU summarizes the roles of #EpithelialMesenchymalTransition (EMT) in #glioblastoma initiation and progression, its impact on #cancercell behavior, and the challenges of targeting EMT in therapy, highlighting potential strategies to improve treatment…

GenesNDiseases's tweet image. This review from @CIEJZMU summarizes the roles of #EpithelialMesenchymalTransition (EMT) in #glioblastoma initiation and progression, its impact on #cancercell behavior, and the challenges of targeting EMT in therapy, highlighting potential strategies to improve treatment…

How do you map esophageal cancer evolution? Chang et al.’s latest #CancerCell publication gave us an answer—and a stunning cover spot. Let’s congratulate their achievement & read their article to see how Xenium #singlecellspatial imaging helped their work: bit.ly/4iJWoOT

10xGenomics's tweet image. How do you map esophageal cancer evolution? Chang et al.’s latest #CancerCell publication gave us an answer—and a stunning cover spot. Let’s congratulate their achievement & read their article to see how Xenium #singlecellspatial imaging helped their work: bit.ly/4iJWoOT

Germany: सर्जरी के दौरान डॉक्टर को मरीज से ही हो गया कैंसर ◆ कैंसर मरीज के ऑपरेशन के दौरान उंगली में लगे कट के जरिए मरीज की कैंसर सेल उनके शरीर में ट्रांसफर हो गई ◆ एक्सपर्ट्स बोले अनोखा मामला, सर्जरी कर रहे डॉक्टर की इम्यूनिटी कमजोर रही होगी #ViralStory #CancerCell

55akch's tweet image. Germany: सर्जरी के दौरान डॉक्टर को मरीज से ही हो गया कैंसर

◆ कैंसर मरीज के ऑपरेशन के दौरान उंगली में लगे कट के जरिए मरीज की कैंसर सेल उनके शरीर में ट्रांसफर हो गई 

◆ एक्सपर्ट्स बोले अनोखा मामला, सर्जरी कर रहे डॉक्टर की इम्यूनिटी कमजोर रही होगी 

#ViralStory #CancerCell

#Scientists are ready for a #surgicalstrike in #cancercell to explore anti-cancer drug inside the body. During #GUJCOST organized #STI Ecosystem for #Societal Development, Dr Sudipta Basu @iitgn presented the societal implication of project funded under #STIPolicy of #Gujarat.

Punam_Bhargava's tweet image. #Scientists are ready for a #surgicalstrike in #cancercell to explore anti-cancer drug inside the body.

During #GUJCOST organized #STI Ecosystem for #Societal Development, Dr Sudipta Basu @iitgn presented the societal implication of project funded under #STIPolicy of #Gujarat.
Punam_Bhargava's tweet image. #Scientists are ready for a #surgicalstrike in #cancercell to explore anti-cancer drug inside the body.

During #GUJCOST organized #STI Ecosystem for #Societal Development, Dr Sudipta Basu @iitgn presented the societal implication of project funded under #STIPolicy of #Gujarat.
Punam_Bhargava's tweet image. #Scientists are ready for a #surgicalstrike in #cancercell to explore anti-cancer drug inside the body.

During #GUJCOST organized #STI Ecosystem for #Societal Development, Dr Sudipta Basu @iitgn presented the societal implication of project funded under #STIPolicy of #Gujarat.

Evilab presenting at cancer cell immunity conference in Sitges! @ICR_London #cancercell #immunity #Immunotherapy

LuisglsZ's tweet image. Evilab presenting at cancer cell immunity conference in Sitges! @ICR_London #cancercell #immunity #Immunotherapy

In the August issue— The transcriptional and epigenetic landscape of #cancercell lineage plasticity, by @AlistarDavies, @AminaZoubeidi, @mishabeltran, @LukeSelth et al. bit.ly/3OsXXCN @Flinders @cancerFCIC @SouthernAdlLHN @ubcscience @DanaFarber @harvardmed

CD_AACR's tweet image. In the August issue—
The transcriptional and epigenetic landscape of #cancercell lineage plasticity, by @AlistarDavies, @AminaZoubeidi, @mishabeltran, @LukeSelth et al.
bit.ly/3OsXXCN
@Flinders @cancerFCIC @SouthernAdlLHN @ubcscience @DanaFarber @harvardmed

Cover illustration of a cancer cell by @ShoemakerMed for a manuscript in Chemistry and Biology, commissioned by Agios Pharmaceuticals. Explore more: buff.ly/319miqp #cancercell #cellbiology #coverart #editorialillustration #oncology #3D #medicalillustration #sciart

Medillustrates's tweet image. Cover illustration of a cancer cell by @ShoemakerMed for a manuscript in Chemistry and Biology, commissioned by Agios Pharmaceuticals.

Explore more: buff.ly/319miqp 

#cancercell #cellbiology #coverart #editorialillustration #oncology #3D #medicalillustration #sciart

Cover art by @ShoemakerMed for a manuscript in Chemistry and Biology, commissioned by Agios Pharmaceuticals. Explore more work by Shoemaker Medical: buff.ly/319miqp #cancercell #oncoloby #pharmacology #medical #illustration #medicalillustration #scientificillustration

Medillustrates's tweet image. Cover art by @ShoemakerMed for a manuscript in Chemistry and Biology, commissioned by Agios Pharmaceuticals.

Explore more work by Shoemaker Medical: buff.ly/319miqp 

#cancercell #oncoloby #pharmacology #medical #illustration #medicalillustration #scientificillustration

Cells at work fandom is more dead than any fandom I’ve seen or have been into help #wbc1146 #cancercell #hatarakusaibou

5tr4ngr's tweet image. Cells at work fandom is more dead than any fandom I’ve seen or have been into help #wbc1146 #cancercell #hatarakusaibou

🔬Signalling and Cell Cycle Laboratory. Group Leader: Dr. Ángel R. Nebreda 👉Apply if you are interested in: #p38MAPK #SignalingNetwork #CancerCell #homeostasis #ChemotherapyResistance #TumorMicroenvironment ➡️bit.ly/3IxpT6j

IRBBarcelona's tweet image. 🔬Signalling and Cell Cycle Laboratory.
Group Leader: Dr. Ángel R. Nebreda

👉Apply if you are interested in:

#p38MAPK
#SignalingNetwork
#CancerCell #homeostasis
#ChemotherapyResistance
#TumorMicroenvironment

➡️bit.ly/3IxpT6j

Detecting cancer cells often involves advanced medical techniques such as biopsies, imaging tests, and blood markers. Early detection is crucial for successful treatment and improved outcomes in the fight against cancer. For More Follow Us healthreactive.com #cancercell

healthreactivee's tweet image. Detecting cancer cells often involves advanced medical techniques such as biopsies, imaging tests, and blood markers. Early detection is crucial for successful treatment and improved outcomes in the fight against cancer.

For More Follow Us
healthreactive.com

#cancercell

#ICYMI from the latest issue— The transcriptional and epigenetic landscape of #cancercell lineage plasticity, by @AlistarDavies, @AminaZoubeidi, @mishabeltran, @LukeSelth et al. bit.ly/45GdHK0 @Flinders @cancerFCIC @SouthernAdlLHN @ubcscience @DanaFarber @harvardmed

CD_AACR's tweet image. #ICYMI from the latest issue—
The transcriptional and epigenetic landscape of #cancercell lineage plasticity, by @AlistarDavies, @AminaZoubeidi, @mishabeltran, @LukeSelth et al.
bit.ly/45GdHK0
@Flinders @cancerFCIC @SouthernAdlLHN @ubcscience @DanaFarber @harvardmed

Germany: सर्जरी के दौरान डॉक्टर को मरीज से ही हो गया कैंसर ◆ कैंसर मरीज के ऑपरेशन के दौरान उंगली में लगे कट के जरिए मरीज की कैंसर सेल उनके शरीर में ट्रांसफर हो गई ◆ एक्सपर्ट्स बोले अनोखा मामला, सर्जरी कर रहे डॉक्टर की इम्यूनिटी कमजोर रही होगी #ViralStory #CancerCell

news24tvchannel's tweet image. Germany: सर्जरी के दौरान डॉक्टर को मरीज से ही हो गया कैंसर

◆ कैंसर मरीज के ऑपरेशन के दौरान उंगली में लगे कट के जरिए मरीज की कैंसर सेल उनके शरीर में ट्रांसफर हो गई 

◆ एक्सपर्ट्स बोले अनोखा मामला, सर्जरी कर रहे डॉक्टर की इम्यूनिटी कमजोर रही होगी 

#ViralStory #CancerCell

Integration of Quantitative Methods and Mathematical Approaches for the Modeling of #CancerCell Proliferation Dynamics ow.ly/jlyv50MHm0M #ArticlesInPress #review #CellDynamics #GrowthModels #MathematicalModeling @AmyBrock_PhD @UTBiomedical

AJPCellPhys's tweet image. Integration of Quantitative Methods and Mathematical Approaches for the Modeling of #CancerCell Proliferation Dynamics

ow.ly/jlyv50MHm0M

#ArticlesInPress #review #CellDynamics #GrowthModels #MathematicalModeling @AmyBrock_PhD @UTBiomedical

New on #CancerCell: @SYSUCC showed colorectal cancer cells can switch identity to “Paneth-like” cells under KRAS/EGFR combo pressure. SMAD1➡️FGFR3 axis drives the shift and drug escape. Targeting lineage plasticity = next-gen anti-resistance idea.#CRC #tumor

Oncologynewspro's tweet image. New on #CancerCell: @SYSUCC showed colorectal cancer cells can switch identity to “Paneth-like” cells under KRAS/EGFR combo pressure. SMAD1➡️FGFR3 axis drives the shift and drug escape. Targeting lineage plasticity = next-gen anti-resistance idea.#CRC #tumor
Oncologynewspro's tweet image. New on #CancerCell: @SYSUCC showed colorectal cancer cells can switch identity to “Paneth-like” cells under KRAS/EGFR combo pressure. SMAD1➡️FGFR3 axis drives the shift and drug escape. Targeting lineage plasticity = next-gen anti-resistance idea.#CRC #tumor
Oncologynewspro's tweet image. New on #CancerCell: @SYSUCC showed colorectal cancer cells can switch identity to “Paneth-like” cells under KRAS/EGFR combo pressure. SMAD1➡️FGFR3 axis drives the shift and drug escape. Targeting lineage plasticity = next-gen anti-resistance idea.#CRC #tumor
Oncologynewspro's tweet image. New on #CancerCell: @SYSUCC showed colorectal cancer cells can switch identity to “Paneth-like” cells under KRAS/EGFR combo pressure. SMAD1➡️FGFR3 axis drives the shift and drug escape. Targeting lineage plasticity = next-gen anti-resistance idea.#CRC #tumor

El #cancer asociado a la #obesidad, ¿cuándo hay riesgo? | Un estudio publicado en la revista #CancerCell determina que tanto la acumulación general de grasa como su distribución en distintas partes del cuerpo confieren distintos riesgos de cáncer  seco.org/El-cancer-asoc…

obesidadSECO's tweet image. El #cancer asociado a la #obesidad, ¿cuándo hay riesgo? | Un estudio publicado en la revista #CancerCell determina que tanto la acumulación general de grasa como su distribución en distintas partes del cuerpo confieren distintos riesgos de cáncer
 seco.org/El-cancer-asoc…

Loading...

Something went wrong.


Something went wrong.


United States Trends