#cathlabhack search results

Did this a while ago maybe of public utility for IC friends dealing with coronary perforation. Covered stent guide catheter compatibility & guide extension compatibility PS: all the caution with possibility of stripping them when delivering through GE #ICFIT #cathlabhack

evandrofilhobr's tweet image. Did this a while ago maybe of public utility for IC friends dealing with coronary perforation.

Covered stent guide catheter compatibility & guide extension compatibility 

PS: all the caution with possibility of stripping them when delivering through GE

#ICFIT #cathlabhack

“The Art of the Seal”sciencedirect.com/science/articl… Delivering Angioseal trough 7 Fr sheath, when advancing its delivery sheath not possible #CathLabHack in #JACCinterventions by @arunothayaraj & colleagues

FelixValencia10's tweet image. “The Art of the Seal”sciencedirect.com/science/articl…

Delivering Angioseal trough 7 Fr sheath, when advancing its delivery sheath not possible 
#CathLabHack in #JACCinterventions by @arunothayaraj & colleagues
FelixValencia10's tweet image. “The Art of the Seal”sciencedirect.com/science/articl…

Delivering Angioseal trough 7 Fr sheath, when advancing its delivery sheath not possible 
#CathLabHack in #JACCinterventions by @arunothayaraj & colleagues
FelixValencia10's tweet image. “The Art of the Seal”sciencedirect.com/science/articl…

Delivering Angioseal trough 7 Fr sheath, when advancing its delivery sheath not possible 
#CathLabHack in #JACCinterventions by @arunothayaraj & colleagues

To shorten a guide catheter:
Trim 10–15 cm from the guide’s proximal end. Use a femoral sheath 1 Fr smaller than the guide. Cut a 2 cm sheath piece as adapter, flare both ends and slide adapter over the cut ends of the guide. #CathLabHack #InterventionalCardiology

swissCTO's tweet image. To shorten a guide catheter:
Trim 10–15 cm from the guide’s proximal end. Use a femoral sheath 1 Fr smaller than the guide. Cut a 2 cm sheath piece as adapter, flare both ends and slide adapter over the cut ends of the guide.
#CathLabHack #InterventionalCardiology

#cathlabhack Nothing fancy but very helpful when swan from CFV won’t turn from RV into PA. 5Fr angled Pigtail pointed toward RVOT —> 0.035” exchange wire will get you into PA —> then swap for 0.025” or 0.018” wire and track swan. #cardiotwitter #accfit@DrJayMohan


Quick #CathLabHack from @TheNarulaSeries! Aortic valve won't open. A touch of chest compressions to cross valve for LVEDP in non-pulsation ECMO Patient. #CardioTwitter


Nothing fancy but simple and useful #cathlabhack Whenever swan loops onto itself in RV —> instead of pulling back into RA and redirecting —> attach 10cc saline syrringe onto stopcock and forcefully inject w slight backpull on swan —> swan tip flips into RV #cardiotwitter #accfit


Severe AS by TEE (MG 60 mmHg). INR 1.9. Wasn’t planning on crossing the valve but JR popped across (luck). We don’t have 4F PIG. In age of no Langston made due with what I had! Right radial 6F MB1 guide with mother daughter 4F vert. MG on cath 52 mmHg. #CathLabHack #Cardiotwitter

DrJayMohan's tweet image. Severe AS by TEE (MG 60 mmHg). INR 1.9. Wasn’t planning on crossing the valve but JR popped across (luck). We don’t have 4F PIG. In age of no Langston made due with what I had! Right radial 6F MB1 guide with mother daughter 4F vert. MG on cath 52 mmHg. #CathLabHack #Cardiotwitter

#Cathlabhack During iliocaval venography pt holds their breath for DSA. Breath hold reduced venous return and can cause contrast to stagnate in iliac vein. To mobilize contrast —> press on the thigh (last second of venogram is after thigh press) #ACCFIT #cardiotwitter


Little #cathlabhack for caudal views from LRA approach. Tuck the lead skirt just over the hub of the sheath. This will limit scatter☢️ to the 🤚 & still provide great protection to the upper body with ceiling mounted shield. Done with peekaboo technique preserving ergonomics

Tesslagra's tweet image. Little #cathlabhack for caudal views from LRA approach. 
Tuck the lead skirt just over the hub of the sheath. This will limit scatter☢️ to the 🤚 & still provide great protection to the upper body with ceiling mounted shield. Done with peekaboo technique preserving ergonomics
Tesslagra's tweet image. Little #cathlabhack for caudal views from LRA approach. 
Tuck the lead skirt just over the hub of the sheath. This will limit scatter☢️ to the 🤚 & still provide great protection to the upper body with ceiling mounted shield. Done with peekaboo technique preserving ergonomics
Tesslagra's tweet image. Little #cathlabhack for caudal views from LRA approach. 
Tuck the lead skirt just over the hub of the sheath. This will limit scatter☢️ to the 🤚 & still provide great protection to the upper body with ceiling mounted shield. Done with peekaboo technique preserving ergonomics
Tesslagra's tweet image. Little #cathlabhack for caudal views from LRA approach. 
Tuck the lead skirt just over the hub of the sheath. This will limit scatter☢️ to the 🤚 & still provide great protection to the upper body with ceiling mounted shield. Done with peekaboo technique preserving ergonomics

#cathlabhack for #impella placement. Maybe it is common knowledge but I have just recently heard about it from Dr. Spangenberg and would like to share it: after wire pullback from LV into ao arch->advance the wire into AV sinus-> bingo -> easy positioning of the cannula @BotPci


6’4 patient, guidecath turns out just short. Used scalpel to make an incision and peel off cover at the prox end to get another 5-6cm which worked great! @md_SsAhmad @FahdWaqar @SabeehSiddiqui3 @chadialraies #cathlabhack #cardiotwitter

fayezsiddiquiMD's tweet image. 6’4 patient, guidecath turns out just short. Used scalpel to make an incision and peel off  cover at the prox end to get another 5-6cm which worked great! @md_SsAhmad @FahdWaqar @SabeehSiddiqui3 @chadialraies #cathlabhack #cardiotwitter

How do you keep your Perclose Sutures around large bore sheath clean? @HadyLichaaMD shared his #CathLabHack on MurmurMD! #CardioTwitter

Murmur_MD's tweet image. How do you keep your Perclose Sutures around large bore sheath clean? 

@HadyLichaaMD shared his #CathLabHack on MurmurMD!  #CardioTwitter
Murmur_MD's tweet image. How do you keep your Perclose Sutures around large bore sheath clean? 

@HadyLichaaMD shared his #CathLabHack on MurmurMD!  #CardioTwitter

#CathLabHack In case of persistent hemodynamic compromise after valve deployment, inject epinephrine (200 to 300 mcg) directly into the aortic root via the pigtail catheter. This will rapidly stabilize the patient.


To shorten a guide catheter:
Trim 10–15 cm from the guide’s proximal end. Use a femoral sheath 1 Fr smaller than the guide. Cut a 2 cm sheath piece as adapter, flare both ends and slide adapter over the cut ends of the guide. #CathLabHack #InterventionalCardiology

swissCTO's tweet image. To shorten a guide catheter:
Trim 10–15 cm from the guide’s proximal end. Use a femoral sheath 1 Fr smaller than the guide. Cut a 2 cm sheath piece as adapter, flare both ends and slide adapter over the cut ends of the guide.
#CathLabHack #InterventionalCardiology

💡 Quick #CathLabHack from @TheNarulaSeries! Aortic valve stuck? 👉 Just a touch of chest compressions to cross the valve & get that LVEDP in a non-pulsatile ECMO patient. #CardioTwitter


A wonderful #CathLabHack from @HadyLichaaMD on keeping your Perclose Sutures around a large bore sheath clean! What is your method? #CardioTwitter

Murmur_MD's tweet image. A wonderful #CathLabHack from @HadyLichaaMD on keeping your Perclose Sutures around a large bore sheath clean!

What is your method? #CardioTwitter
Murmur_MD's tweet image. A wonderful #CathLabHack from @HadyLichaaMD on keeping your Perclose Sutures around a large bore sheath clean!

What is your method? #CardioTwitter

How do you keep your Perclose Sutures around large bore sheath clean? @HadyLichaaMD shared his #CathLabHack on MurmurMD! #CardioTwitter

Murmur_MD's tweet image. How do you keep your Perclose Sutures around large bore sheath clean? 

@HadyLichaaMD shared his #CathLabHack on MurmurMD!  #CardioTwitter
Murmur_MD's tweet image. How do you keep your Perclose Sutures around large bore sheath clean? 

@HadyLichaaMD shared his #CathLabHack on MurmurMD!  #CardioTwitter

Quick #CathLabHack from @TheNarulaSeries! Aortic valve won't open. A touch of chest compressions to cross valve for LVEDP in non-pulsation ECMO Patient. #CardioTwitter


7/ #CathLabHack Go sheathless with the IVUS from the other side for imaging and also venography through the IVUS To help land the stent #DVT #MayThurner #VTE #Cardiotwitter #IRAD #VascTwitter

DrJayMohan's tweet image. 7/ #CathLabHack 

Go sheathless with the IVUS from the other side for imaging and also venography through the IVUS To help land the stent 

#DVT #MayThurner #VTE #Cardiotwitter #IRAD #VascTwitter

Guter #cathlabhack ⬇️ Lange Schleusen bei schwer verkalkten und torquierten Gefäßen mit re-platziertem Dilatator ziehen.

This post is unavailable.

#CathLabHack 🫀 Impella RP would not advance into PA on 0.027 Impella wire, but we’re successful with railing RP in over an 0.035 Amplatz Super Stiff 💪🏼 @Abiomed @BSCCardiology @SCAI #ACCFIT

CVOMed's tweet image. #CathLabHack 🫀 Impella RP would not advance into PA on 0.027 Impella wire, but we’re successful with railing RP in over an 0.035 Amplatz Super Stiff 💪🏼 @Abiomed @BSCCardiology @SCAI #ACCFIT

Power went out citywide this morning…I offered to hook the cath lab up to my @Ford Lightning. Thankfully it didn’t come to that but I was inspired by @ChrisYangMD’s story of powering a vasectomy with his @Rivian. #cathlabhack 😂

I performed what is likely the world's first @Rivian powered vasectomy today. Power in clinic went out, patient didn't want to reschedule cause he already had time off. Electrocautery was normal, procedure went great! #rivianstories #rivian

ChrisYangMD's tweet image. I performed what is likely the world's first @Rivian powered vasectomy today.  Power in clinic went out, patient didn't want to reschedule cause he already had time off. Electrocautery was normal, procedure went great!  #rivianstories #rivian
ChrisYangMD's tweet image. I performed what is likely the world's first @Rivian powered vasectomy today.  Power in clinic went out, patient didn't want to reschedule cause he already had time off. Electrocautery was normal, procedure went great!  #rivianstories #rivian


MINI #cathlabhack. For RRA slightly withdraw sheath & angle towards body & secure w tegaderm . Keeps catheter moving towards pt table. This gives more surface area 2work on. 🔴arrow is conventional angle laterally, 🟡arrow shows augmented catheter pathway 4better ergonomics.

Tesslagra's tweet image. MINI #cathlabhack. 
For RRA slightly withdraw sheath & angle towards body & secure w tegaderm . Keeps catheter moving towards pt table. This gives more surface area 2work on. 🔴arrow is conventional angle laterally, 🟡arrow shows augmented catheter pathway 4better ergonomics.
Tesslagra's tweet image. MINI #cathlabhack. 
For RRA slightly withdraw sheath & angle towards body & secure w tegaderm . Keeps catheter moving towards pt table. This gives more surface area 2work on. 🔴arrow is conventional angle laterally, 🟡arrow shows augmented catheter pathway 4better ergonomics.
Tesslagra's tweet image. MINI #cathlabhack. 
For RRA slightly withdraw sheath & angle towards body & secure w tegaderm . Keeps catheter moving towards pt table. This gives more surface area 2work on. 🔴arrow is conventional angle laterally, 🟡arrow shows augmented catheter pathway 4better ergonomics.
Tesslagra's tweet image. MINI #cathlabhack. 
For RRA slightly withdraw sheath & angle towards body & secure w tegaderm . Keeps catheter moving towards pt table. This gives more surface area 2work on. 🔴arrow is conventional angle laterally, 🟡arrow shows augmented catheter pathway 4better ergonomics.

Little #cathlabhack for caudal views from LRA approach. Tuck the lead skirt just over the hub of the sheath. This will limit scatter☢️ to the 🤚 & still provide great protection to the upper body with ceiling mounted shield. Done with peekaboo technique preserving ergonomics

Tesslagra's tweet image. Little #cathlabhack for caudal views from LRA approach. 
Tuck the lead skirt just over the hub of the sheath. This will limit scatter☢️ to the 🤚 & still provide great protection to the upper body with ceiling mounted shield. Done with peekaboo technique preserving ergonomics
Tesslagra's tweet image. Little #cathlabhack for caudal views from LRA approach. 
Tuck the lead skirt just over the hub of the sheath. This will limit scatter☢️ to the 🤚 & still provide great protection to the upper body with ceiling mounted shield. Done with peekaboo technique preserving ergonomics
Tesslagra's tweet image. Little #cathlabhack for caudal views from LRA approach. 
Tuck the lead skirt just over the hub of the sheath. This will limit scatter☢️ to the 🤚 & still provide great protection to the upper body with ceiling mounted shield. Done with peekaboo technique preserving ergonomics
Tesslagra's tweet image. Little #cathlabhack for caudal views from LRA approach. 
Tuck the lead skirt just over the hub of the sheath. This will limit scatter☢️ to the 🤚 & still provide great protection to the upper body with ceiling mounted shield. Done with peekaboo technique preserving ergonomics

No results for "#cathlabhack"

Great lecture by @InariMedical and @Thomas_TuMD on a game changing device- FlowTriever. Here’s a great slide of the tools needed to get started. It’s time to change the game on treatment of #PE #PulmonaryEmbolism #CathLabHack #inari #ACCFIT #cardiology #cardiotwitter

DrJayMohan's tweet image. Great lecture by @InariMedical and @Thomas_TuMD on a game changing device- FlowTriever. Here’s a great slide of the tools needed to get started. It’s time to change the game on treatment of #PE #PulmonaryEmbolism #CathLabHack #inari #ACCFIT #cardiology #cardiotwitter

A wonderful #CathLabHack from @HadyLichaaMD on keeping your Perclose Sutures around a large bore sheath clean! What is your method? #CardioTwitter

Murmur_MD's tweet image. A wonderful #CathLabHack from @HadyLichaaMD on keeping your Perclose Sutures around a large bore sheath clean!

What is your method? #CardioTwitter
Murmur_MD's tweet image. A wonderful #CathLabHack from @HadyLichaaMD on keeping your Perclose Sutures around a large bore sheath clean!

What is your method? #CardioTwitter

Save add'l arterial stick & piggyback 5Fr sheath inside subclavian graft. #TAVR #CathLabHack @philgenereux

CardiacConsult's tweet image. Save add'l arterial stick & piggyback 5Fr sheath inside subclavian graft. #TAVR  #CathLabHack @philgenereux

“The Art of the Seal”sciencedirect.com/science/articl… Delivering Angioseal trough 7 Fr sheath, when advancing its delivery sheath not possible #CathLabHack in #JACCinterventions by @arunothayaraj & colleagues

FelixValencia10's tweet image. “The Art of the Seal”sciencedirect.com/science/articl…

Delivering Angioseal trough 7 Fr sheath, when advancing its delivery sheath not possible 
#CathLabHack in #JACCinterventions by @arunothayaraj & colleagues
FelixValencia10's tweet image. “The Art of the Seal”sciencedirect.com/science/articl…

Delivering Angioseal trough 7 Fr sheath, when advancing its delivery sheath not possible 
#CathLabHack in #JACCinterventions by @arunothayaraj & colleagues
FelixValencia10's tweet image. “The Art of the Seal”sciencedirect.com/science/articl…

Delivering Angioseal trough 7 Fr sheath, when advancing its delivery sheath not possible 
#CathLabHack in #JACCinterventions by @arunothayaraj & colleagues

How do you keep your Perclose Sutures around large bore sheath clean? @HadyLichaaMD shared his #CathLabHack on MurmurMD! #CardioTwitter

Murmur_MD's tweet image. How do you keep your Perclose Sutures around large bore sheath clean? 

@HadyLichaaMD shared his #CathLabHack on MurmurMD!  #CardioTwitter
Murmur_MD's tweet image. How do you keep your Perclose Sutures around large bore sheath clean? 

@HadyLichaaMD shared his #CathLabHack on MurmurMD!  #CardioTwitter

Did this a while ago maybe of public utility for IC friends dealing with coronary perforation. Covered stent guide catheter compatibility & guide extension compatibility PS: all the caution with possibility of stripping them when delivering through GE #ICFIT #cathlabhack

evandrofilhobr's tweet image. Did this a while ago maybe of public utility for IC friends dealing with coronary perforation.

Covered stent guide catheter compatibility & guide extension compatibility 

PS: all the caution with possibility of stripping them when delivering through GE

#ICFIT #cathlabhack

7/ #CathLabHack Go sheathless with the IVUS from the other side for imaging and also venography through the IVUS To help land the stent #DVT #MayThurner #VTE #Cardiotwitter #IRAD #VascTwitter

DrJayMohan's tweet image. 7/ #CathLabHack 

Go sheathless with the IVUS from the other side for imaging and also venography through the IVUS To help land the stent 

#DVT #MayThurner #VTE #Cardiotwitter #IRAD #VascTwitter

To shorten a guide catheter:
Trim 10–15 cm from the guide’s proximal end. Use a femoral sheath 1 Fr smaller than the guide. Cut a 2 cm sheath piece as adapter, flare both ends and slide adapter over the cut ends of the guide. #CathLabHack #InterventionalCardiology

swissCTO's tweet image. To shorten a guide catheter:
Trim 10–15 cm from the guide’s proximal end. Use a femoral sheath 1 Fr smaller than the guide. Cut a 2 cm sheath piece as adapter, flare both ends and slide adapter over the cut ends of the guide.
#CathLabHack #InterventionalCardiology

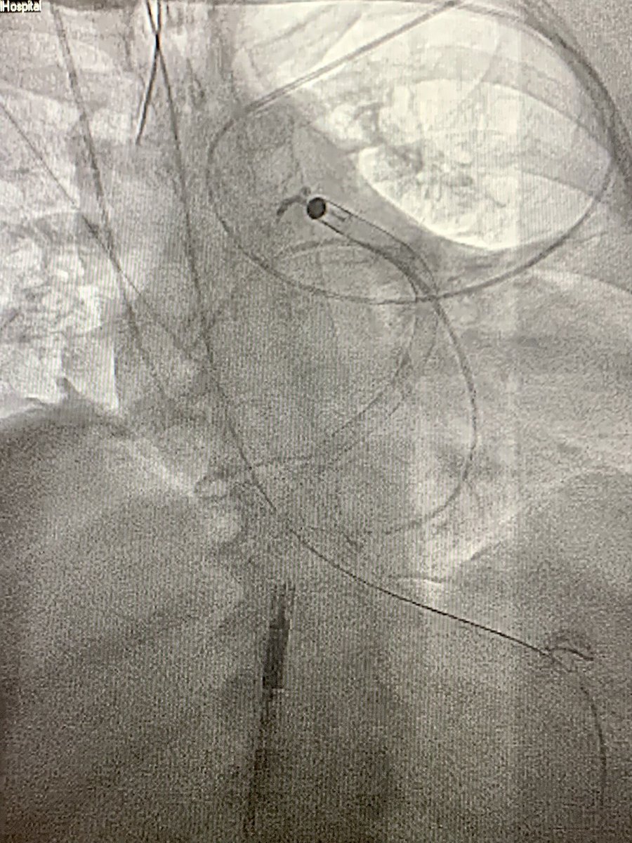
Severe AS by TEE (MG 60 mmHg). INR 1.9. Wasn’t planning on crossing the valve but JR popped across (luck). We don’t have 4F PIG. In age of no Langston made due with what I had! Right radial 6F MB1 guide with mother daughter 4F vert. MG on cath 52 mmHg. #CathLabHack #Cardiotwitter

DrJayMohan's tweet image. Severe AS by TEE (MG 60 mmHg). INR 1.9. Wasn’t planning on crossing the valve but JR popped across (luck). We don’t have 4F PIG. In age of no Langston made due with what I had! Right radial 6F MB1 guide with mother daughter 4F vert. MG on cath 52 mmHg. #CathLabHack #Cardiotwitter

Little #cathlabhack for caudal views from LRA approach. Tuck the lead skirt just over the hub of the sheath. This will limit scatter☢️ to the 🤚 & still provide great protection to the upper body with ceiling mounted shield. Done with peekaboo technique preserving ergonomics

Tesslagra's tweet image. Little #cathlabhack for caudal views from LRA approach. 
Tuck the lead skirt just over the hub of the sheath. This will limit scatter☢️ to the 🤚 & still provide great protection to the upper body with ceiling mounted shield. Done with peekaboo technique preserving ergonomics
Tesslagra's tweet image. Little #cathlabhack for caudal views from LRA approach. 
Tuck the lead skirt just over the hub of the sheath. This will limit scatter☢️ to the 🤚 & still provide great protection to the upper body with ceiling mounted shield. Done with peekaboo technique preserving ergonomics
Tesslagra's tweet image. Little #cathlabhack for caudal views from LRA approach. 
Tuck the lead skirt just over the hub of the sheath. This will limit scatter☢️ to the 🤚 & still provide great protection to the upper body with ceiling mounted shield. Done with peekaboo technique preserving ergonomics
Tesslagra's tweet image. Little #cathlabhack for caudal views from LRA approach. 
Tuck the lead skirt just over the hub of the sheath. This will limit scatter☢️ to the 🤚 & still provide great protection to the upper body with ceiling mounted shield. Done with peekaboo technique preserving ergonomics

#cathlabhack for ClotTriever cases: use the flush port as a marker and rotate 90 degrees with each pass to change the orientation of the device. Seems to allow for more thorough clot removal.

heartdoc45's tweet image. #cathlabhack for ClotTriever cases: use the flush port as a marker and rotate 90 degrees with each pass to change the orientation of the device. Seems to allow for more thorough clot removal.
heartdoc45's tweet image. #cathlabhack for ClotTriever cases: use the flush port as a marker and rotate 90 degrees with each pass to change the orientation of the device. Seems to allow for more thorough clot removal.

Loading...

Something went wrong.


Something went wrong.