#icfit search results

#ICFIT #CTO101 Benchtop example of knuckle wire technique from my friend Dr. Antônio Carlos Botelho.


For #ICFIT very educative Always check vessel with a puff after balloon rupture. (This case was very clear but in some we cannot foretell something happened) Grenadoplasty leads to subtle “energy” dispersion and all concentrated in a small area of vessel wall thus can perforate


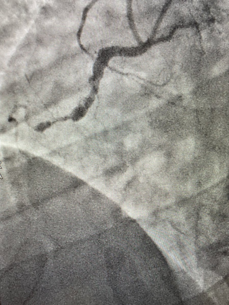
Antegrade CTO Intervention of RCA. “Simple approach”. Single access / Single CTO wire / Single MC. Blunt/Calcium/Angulation/Antegrade filling from ipsilateral collaterals. #CTO101 #ICFIT

evandrofilhobr's tweet image. Antegrade CTO Intervention of RCA. “Simple approach”. 
Single access / Single CTO wire / Single MC.
Blunt/Calcium/Angulation/Antegrade filling from ipsilateral collaterals. #CTO101 #ICFIT
evandrofilhobr's tweet image. Antegrade CTO Intervention of RCA. “Simple approach”. 
Single access / Single CTO wire / Single MC.
Blunt/Calcium/Angulation/Antegrade filling from ipsilateral collaterals. #CTO101 #ICFIT

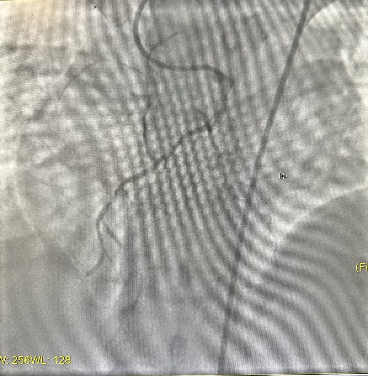
Sometimes you go from left to right and sometimes you try to go from right to left... When you least expect it you have gone through an odyssey... How would you approach this post-CABG double CTO case? #CTO101 #ICFIT


Tip in technique to allow conversion from retrograde fashion to regular antegrade fashion. I'm 90/10 to tip-in vs. externalization. #ICFIT #CTO101 # MC located at outer curve of antegrade GC # Fresh Extra-support WH wire works very nice, my picks (Choice ES, Grand-Slam, Sion


An interesting case for #ICFIT Name the disease 🧐🧐🧐


Proximal stent edge dissection #ICFIT

evandrofilhobr's tweet image. Proximal stent edge dissection #ICFIT

NSTEMI. RCA disease. Badly implanted DES (2015) + dx disease progression. #ICFIT


#ICFIT Most coronary perforations are treatable without consequences for the patients. Just don’t underestimate them… Sometimes they appear in pairs… hand-to-hand. 🤦🏻‍♂️ Old & frail 👵🏼 RCA PCI.


#ICFIT Subtotal occlusion of anomalous RCA (take off anterior/downward from left sinus, just beside LM stem). Diagnostic made in OSH (also crossover from radial to femoral) but report said they couldn’t PCI 🤷🏻‍♂️. Went femoral w/ multiples guides. Could probe and understand anatomy

evandrofilhobr's tweet image. #ICFIT Subtotal occlusion of anomalous RCA (take off anterior/downward from left sinus, just beside LM stem). Diagnostic made in OSH (also crossover from radial to femoral) but report said they couldn’t PCI 🤷🏻‍♂️. Went femoral w/ multiples guides. Could probe and understand anatomy
evandrofilhobr's tweet image. #ICFIT Subtotal occlusion of anomalous RCA (take off anterior/downward from left sinus, just beside LM stem). Diagnostic made in OSH (also crossover from radial to femoral) but report said they couldn’t PCI 🤷🏻‍♂️. Went femoral w/ multiples guides. Could probe and understand anatomy
evandrofilhobr's tweet image. #ICFIT Subtotal occlusion of anomalous RCA (take off anterior/downward from left sinus, just beside LM stem). Diagnostic made in OSH (also crossover from radial to femoral) but report said they couldn’t PCI 🤷🏻‍♂️. Went femoral w/ multiples guides. Could probe and understand anatomy

Did this a while ago maybe of public utility for IC friends dealing with coronary perforation. Covered stent guide catheter compatibility & guide extension compatibility PS: all the caution with possibility of stripping them when delivering through GE #ICFIT #cathlabhack

evandrofilhobr's tweet image. Did this a while ago maybe of public utility for IC friends dealing with coronary perforation.

Covered stent guide catheter compatibility & guide extension compatibility 

PS: all the caution with possibility of stripping them when delivering through GE

#ICFIT #cathlabhack

70👩‍🦳, Chagas Cardiomyopathy, NSTEMI. TO of the RCA as the culprit. Complete revascularization w/ IVUS guided PCI #ICFIT TO in NSTEMI can happen ~ 25,5% of cases. In general, they're easily crossed w/ WH wires. We crossed this one with WH over MC. academic.oup.com/eurheartj/arti…


69👵, SVD. LAD CTO. Normal EF. CP CCS III. Short CTO, Blunt px cap.JCTO 1. Scheduled for LAD PCI. I'm so pragmatic but open to changes. I've been testing a minimalistic approach in less complex anatomies. Not advocating this is right, but I can tell it works... #CTO101 #ICFIT


Recommended for #ICFIT This is basic knowledge for performing rotational atherectomy. He got a stuck burr during roto for a dx LAD lesion. No enough room to park radiopaque wire segment. Burr invaded the radiopaque segment. Very nice challenging case of Fashad Farouzandeh.

evandrofilhobr's tweet image. Recommended for #ICFIT

This is basic knowledge for performing rotational atherectomy.

He got a stuck burr during roto for a dx LAD lesion. No enough room to park radiopaque wire segment. Burr invaded the radiopaque segment.

Very nice challenging case of Fashad Farouzandeh.
evandrofilhobr's tweet image. Recommended for #ICFIT

This is basic knowledge for performing rotational atherectomy.

He got a stuck burr during roto for a dx LAD lesion. No enough room to park radiopaque wire segment. Burr invaded the radiopaque segment.

Very nice challenging case of Fashad Farouzandeh.

Poll has ended, great opinions and comments. Worth to read it and discuss. Also recommend it for #ICFIT to take a look. 60% of ICs engages LCA in LAO projection in total of 1.076 votes.

IC community poll: (please answer) When engaging LCA which projection do you setup? Share your thoughts and comments.



For #ICFIT - sometimes you are close to losing everything, but there's always a chance to recover! Do not pullback redundant wire (you will problem lose everything), 1st transmit energy/torque to guide (in the way for the engagement) then simultaneous gently "fake" wire pullback


#ICFIT - iFR LAD pullback showing “ramp” pattern. Stable CAD & Diffusely disease LAD in a young diabetic patient. OMT all the way for this one!

evandrofilhobr's tweet image. #ICFIT - iFR LAD pullback showing “ramp” pattern. 

Stable CAD & Diffusely disease LAD in a young diabetic patient.

OMT all the way for this one!

Stent edge inadvertently landed in a LAD myocardial bridge! Type III Ellis perf. Treated w/ CS. #ICFIT


#ICFIT - Anomalous LCx from right sinus. Small RCA. dominant RCx. Long LM with no LCx. TIG easily engages a non dominant RCA. 🧐 Angiogram is not over until it is...

evandrofilhobr's tweet image. #ICFIT - Anomalous LCx from right sinus. Small RCA. dominant RCx.

Long LM with no LCx. TIG easily engages a non dominant RCA. 

🧐

Angiogram is not over until it is...

Sometimes you go from left to right and sometimes you try to go from right to left... When you least expect it you have gone through an odyssey... How would you approach this post-CABG double CTO case? #CTO101 #ICFIT


#ICFIT Subtotal occlusion of anomalous RCA (take off anterior/downward from left sinus, just beside LM stem). Diagnostic made in OSH (also crossover from radial to femoral) but report said they couldn’t PCI 🤷🏻‍♂️. Went femoral w/ multiples guides. Could probe and understand anatomy

evandrofilhobr's tweet image. #ICFIT Subtotal occlusion of anomalous RCA (take off anterior/downward from left sinus, just beside LM stem). Diagnostic made in OSH (also crossover from radial to femoral) but report said they couldn’t PCI 🤷🏻‍♂️. Went femoral w/ multiples guides. Could probe and understand anatomy
evandrofilhobr's tweet image. #ICFIT Subtotal occlusion of anomalous RCA (take off anterior/downward from left sinus, just beside LM stem). Diagnostic made in OSH (also crossover from radial to femoral) but report said they couldn’t PCI 🤷🏻‍♂️. Went femoral w/ multiples guides. Could probe and understand anatomy
evandrofilhobr's tweet image. #ICFIT Subtotal occlusion of anomalous RCA (take off anterior/downward from left sinus, just beside LM stem). Diagnostic made in OSH (also crossover from radial to femoral) but report said they couldn’t PCI 🤷🏻‍♂️. Went femoral w/ multiples guides. Could probe and understand anatomy

Tip in technique to allow conversion from retrograde fashion to regular antegrade fashion. I'm 90/10 to tip-in vs. externalization. #ICFIT #CTO101 # MC located at outer curve of antegrade GC # Fresh Extra-support WH wire works very nice, my picks (Choice ES, Grand-Slam, Sion


NSTEMI. RCA disease. Badly implanted DES (2015) + dx disease progression. #ICFIT


That’s a good one dear #ICFIT 🤓


Check out our review of managmenet of coronary complications. A timely review after having one my first a few weeks back. Knowing steps in treatment without hesistation really can be the difference between life an death for our patients. @UCLA_IC #ICFIT authors.elsevier.com/a/1fiqZ7sv8q3S…


Another #FITSurvivalGuide tweetorial. This time on #intracoronary imaging w/ focus on IVUS and OCT ➡️ Rationale for use ➡️ Tech basics ➡️ Uses ➡️ Data ➡️ Images (high-yield) ➡️Comparison @z_alirhayim @Almanfi_Cardio @AntoniousAttall @abashirMD @Babar_Basir

ashaukat09's tweet image. Another #FITSurvivalGuide tweetorial. This time on #intracoronary imaging w/ focus on IVUS and OCT 
➡️ Rationale for use 
➡️ Tech basics 
➡️ Uses
➡️ Data
➡️ Images (high-yield)
➡️Comparison 
@z_alirhayim @Almanfi_Cardio @AntoniousAttall @abashirMD @Babar_Basir
ashaukat09's tweet image. Another #FITSurvivalGuide tweetorial. This time on #intracoronary imaging w/ focus on IVUS and OCT 
➡️ Rationale for use 
➡️ Tech basics 
➡️ Uses
➡️ Data
➡️ Images (high-yield)
➡️Comparison 
@z_alirhayim @Almanfi_Cardio @AntoniousAttall @abashirMD @Babar_Basir


#ICFIT #CTO101 Benchtop example of knuckle wire technique from my friend Dr. Antônio Carlos Botelho.


#ICFIT tip: use a longer balloon (27-30 mm) to advance Guidliner over it. Tracks much better than shorter balloons (12-15 mm).


You taught me that discipline is the bridge between goals & accomplishments It made me SO proud to see you celebrate yours🥳 Congratulations on #Graduation2022 @YChowdhuryMD 🎓 We love you Jefe ❤️ Now on to the next one 💪🏼 #ICFIT @UMassCardio #Cardiology #CardioTwitter

MrinShettyMD's tweet image. You taught me that discipline is the bridge between goals & accomplishments

It made me SO proud to see you celebrate yours🥳

Congratulations on #Graduation2022 @YChowdhuryMD 🎓

We love you Jefe ❤️ 

Now on to the next one 💪🏼 #ICFIT @UMassCardio 

#Cardiology #CardioTwitter
MrinShettyMD's tweet image. You taught me that discipline is the bridge between goals & accomplishments

It made me SO proud to see you celebrate yours🥳

Congratulations on #Graduation2022 @YChowdhuryMD 🎓

We love you Jefe ❤️ 

Now on to the next one 💪🏼 #ICFIT @UMassCardio 

#Cardiology #CardioTwitter
MrinShettyMD's tweet image. You taught me that discipline is the bridge between goals & accomplishments

It made me SO proud to see you celebrate yours🥳

Congratulations on #Graduation2022 @YChowdhuryMD 🎓

We love you Jefe ❤️ 

Now on to the next one 💪🏼 #ICFIT @UMassCardio 

#Cardiology #CardioTwitter
MrinShettyMD's tweet image. You taught me that discipline is the bridge between goals & accomplishments

It made me SO proud to see you celebrate yours🥳

Congratulations on #Graduation2022 @YChowdhuryMD 🎓

We love you Jefe ❤️ 

Now on to the next one 💪🏼 #ICFIT @UMassCardio 

#Cardiology #CardioTwitter

Proximal stent edge dissection #ICFIT

evandrofilhobr's tweet image. Proximal stent edge dissection #ICFIT

Apply to win: TCT 2022 Thomas J. Linnemeier Spirit of Interventional Cardiology Young Investigator Award Deadline ⏰⏰ 07 July Award: 🏆🏆 #TCT2022 faculty appointment 💰💰 $10K #CardioTwitter #ICFIT #YoungESC #SCAIfit #ACCfit tct2022.crfconnect.com/topics-categor…


Oh how I missed you 😍. Didn’t realize how good I had it til these dark times with the Tuohy. @UCLA_IC @uclaCVfellows #ICFIT #CardioTwitter @AbbottCardio

dannyjaphil's tweet image. Oh how I missed you 😍.  Didn’t realize how good I had it til these dark times with the Tuohy.  @UCLA_IC @uclaCVfellows #ICFIT #CardioTwitter @AbbottCardio

No results for "#icfit"

Proximal stent edge dissection #ICFIT

evandrofilhobr's tweet image. Proximal stent edge dissection #ICFIT

#ICFIT - Anomalous LCx from right sinus. Small RCA. dominant RCx. Long LM with no LCx. TIG easily engages a non dominant RCA. 🧐 Angiogram is not over until it is...

evandrofilhobr's tweet image. #ICFIT - Anomalous LCx from right sinus. Small RCA. dominant RCx.

Long LM with no LCx. TIG easily engages a non dominant RCA. 

🧐

Angiogram is not over until it is...

Finals week can be stressful, come blow off some steam with us! 💪 #finals #ithacacollege #ICFit

ICCampusRec's tweet image. Finals week can be stressful, come blow off some steam with us! 💪 #finals #ithacacollege #ICFit

#ICFIT - iFR LAD pullback showing “ramp” pattern. Stable CAD & Diffusely disease LAD in a young diabetic patient. OMT all the way for this one!

evandrofilhobr's tweet image. #ICFIT - iFR LAD pullback showing “ramp” pattern. 

Stable CAD & Diffusely disease LAD in a young diabetic patient.

OMT all the way for this one!

Did this a while ago maybe of public utility for IC friends dealing with coronary perforation. Covered stent guide catheter compatibility & guide extension compatibility PS: all the caution with possibility of stripping them when delivering through GE #ICFIT #cathlabhack

evandrofilhobr's tweet image. Did this a while ago maybe of public utility for IC friends dealing with coronary perforation.

Covered stent guide catheter compatibility & guide extension compatibility 

PS: all the caution with possibility of stripping them when delivering through GE

#ICFIT #cathlabhack

As our semester is coming to an end, so do our group fitness classes 😥 Our last group class will be on Friday, May 4th so be sure to get your last class in! We will miss you, but don't worry, we'll see you next year! 😁💪 #ICFit

ICCampusRec's tweet image. As our semester is coming to an end,  so do our group fitness classes 😥 Our last group class will be on Friday, May 4th so be sure to get your last class in! We will miss you, but don't worry, we'll see you next year!  😁💪 #ICFit

There is still time for a chance to win a Fitness Center prize pack! All you have to do is help us out by filling out the survey below! 💙💛 #ICFit #ithacacollege ow.ly/7mgq30m95AC

ICCampusRec's tweet image. There is still time for a chance to win a Fitness Center prize pack! All you have to do is help us out by filling out the survey below! 💙💛 #ICFit #ithacacollege 
ow.ly/7mgq30m95AC

Antegrade CTO Intervention of RCA. “Simple approach”. Single access / Single CTO wire / Single MC. Blunt/Calcium/Angulation/Antegrade filling from ipsilateral collaterals. #CTO101 #ICFIT

evandrofilhobr's tweet image. Antegrade CTO Intervention of RCA. “Simple approach”. 
Single access / Single CTO wire / Single MC.
Blunt/Calcium/Angulation/Antegrade filling from ipsilateral collaterals. #CTO101 #ICFIT
evandrofilhobr's tweet image. Antegrade CTO Intervention of RCA. “Simple approach”. 
Single access / Single CTO wire / Single MC.
Blunt/Calcium/Angulation/Antegrade filling from ipsilateral collaterals. #CTO101 #ICFIT

#ICFIT Troubleshooting #RadialFirst approach - cubital crossover in radial acessory anatomies

evandrofilhobr's tweet image. #ICFIT
Troubleshooting #RadialFirst approach  - cubital crossover in radial acessory anatomies

Recommended for #ICFIT This is basic knowledge for performing rotational atherectomy. He got a stuck burr during roto for a dx LAD lesion. No enough room to park radiopaque wire segment. Burr invaded the radiopaque segment. Very nice challenging case of Fashad Farouzandeh.

evandrofilhobr's tweet image. Recommended for #ICFIT

This is basic knowledge for performing rotational atherectomy.

He got a stuck burr during roto for a dx LAD lesion. No enough room to park radiopaque wire segment. Burr invaded the radiopaque segment.

Very nice challenging case of Fashad Farouzandeh.
evandrofilhobr's tweet image. Recommended for #ICFIT

This is basic knowledge for performing rotational atherectomy.

He got a stuck burr during roto for a dx LAD lesion. No enough room to park radiopaque wire segment. Burr invaded the radiopaque segment.

Very nice challenging case of Fashad Farouzandeh.

#ICFIT Subtotal occlusion of anomalous RCA (take off anterior/downward from left sinus, just beside LM stem). Diagnostic made in OSH (also crossover from radial to femoral) but report said they couldn’t PCI 🤷🏻‍♂️. Went femoral w/ multiples guides. Could probe and understand anatomy

evandrofilhobr's tweet image. #ICFIT Subtotal occlusion of anomalous RCA (take off anterior/downward from left sinus, just beside LM stem). Diagnostic made in OSH (also crossover from radial to femoral) but report said they couldn’t PCI 🤷🏻‍♂️. Went femoral w/ multiples guides. Could probe and understand anatomy
evandrofilhobr's tweet image. #ICFIT Subtotal occlusion of anomalous RCA (take off anterior/downward from left sinus, just beside LM stem). Diagnostic made in OSH (also crossover from radial to femoral) but report said they couldn’t PCI 🤷🏻‍♂️. Went femoral w/ multiples guides. Could probe and understand anatomy
evandrofilhobr's tweet image. #ICFIT Subtotal occlusion of anomalous RCA (take off anterior/downward from left sinus, just beside LM stem). Diagnostic made in OSH (also crossover from radial to femoral) but report said they couldn’t PCI 🤷🏻‍♂️. Went femoral w/ multiples guides. Could probe and understand anatomy

It's #TipTuesdaybyDerek! Be sure to tune in every week on Instagram or Facebook to learn how to maximize your workout! #ICFit #ithacacollege

ICCampusRec's tweet image. It's #TipTuesdaybyDerek! Be sure to tune in every week on Instagram or Facebook to learn how to maximize your workout! #ICFit #ithacacollege

There are only a few more weeks left in the semester, that means only a few more weeks to hold one last climbing competition! Join us on December 4th for our last competition of the semester! We'll provide the food and the gear, you guys just have to bring the fun! 🧗 #ICFit

ICCampusRec's tweet image. There are only a few more weeks left in the semester, that means only a few more weeks to hold one last climbing competition! Join us on December 4th for our last competition of the semester! We'll provide the food and the gear, you guys just have to bring the fun! 🧗 #ICFit

Just a reminder that we offer fitness classes on Sunday! Join us tomorrow for BODYPUMP from 5-5:45pm or for some Zumba from 6-6:45pm! 🕺🏋️‍♀️💃 #ICFit #ithacacollege #bodypump#zumba

ICCampusRec's tweet image. Just a reminder that we offer fitness classes on Sunday! Join us tomorrow for BODYPUMP from 5-5:45pm or for some Zumba from 6-6:45pm! 🕺🏋️‍♀️💃 #ICFit #ithacacollege #bodypump#zumba

We are striving to make the Fit the best for YOU! If you could take just 5 minutes out of your day to help us with this survey, we would greatly appreciate it! 💙 #ICFit #ithacacollege ow.ly/ZA6H30m95mP

ICCampusRec's tweet image. We are striving to make the Fit the best for YOU! If you could take just 5 minutes out of your day to help us with this survey, we would greatly appreciate it! 💙 #ICFit #ithacacollege ow.ly/ZA6H30m95mP

Thank you @Medtronic and the Cardiology faculty at Columbia for a great interventional fellows course! #ICFIT @JWMoses @sahilparikhmd @ajaykirtane @MaeharaAkiko @drmeghaprasad @HamidNadira

DTangDo's tweet image. Thank you @Medtronic and the Cardiology faculty at Columbia for a great interventional fellows course!  #ICFIT @JWMoses @sahilparikhmd @ajaykirtane @MaeharaAkiko @drmeghaprasad @HamidNadira

It's about that time for our final BoxFit class 😥 Make sure you come join George in the Mondo gym at 6pm tonight! #ICFit #BoxFit


35👨‍🔧, no risk factors for CAD. Arrived with 7h recurring typical CP pain and important elevation of hs-Troponin. EKG above. Denied drug abuse or anything else...#ICFIT

evandrofilhobr's tweet image. 35👨‍🔧, no risk factors for CAD. Arrived with 7h recurring typical CP pain and important elevation of hs-Troponin. EKG above. Denied drug abuse or anything else...#ICFIT

We hope everyone is surviving finals week! Keep calm, you're doing great! 💙 💛#ICFit #ithacacollege #finalsmotivation

ICCampusRec's tweet image. We hope everyone is surviving finals week! Keep calm, you're doing great! 💙 💛#ICFit #ithacacollege #finalsmotivation

Loading...

Something went wrong.


Something went wrong.