#dailydx search results

It's a pleasure sir! The #DailyDx is a legacy that is encouraging all active students of pathology worldwide.


🔬#BreastPath, Day 4 ➡️What’s your #DailyDx of this breast lumpectomy? ➡️What ER/PR/HER2 staining pattern do you expect? E-cadherin? ➡️We’ll tweet the answers, some quick facts, and the next case tomorrow! #UMichPath

UMichPath's tweet image. 🔬#BreastPath, Day 4

➡️What’s your #DailyDx of this breast lumpectomy?

➡️What ER/PR/HER2 staining pattern do you expect? E-cadherin?

➡️We’ll tweet the answers, some quick facts, and the next case tomorrow! #UMichPath
UMichPath's tweet image. 🔬#BreastPath, Day 4

➡️What’s your #DailyDx of this breast lumpectomy?

➡️What ER/PR/HER2 staining pattern do you expect? E-cadherin?

➡️We’ll tweet the answers, some quick facts, and the next case tomorrow! #UMichPath
UMichPath's tweet image. 🔬#BreastPath, Day 4

➡️What’s your #DailyDx of this breast lumpectomy?

➡️What ER/PR/HER2 staining pattern do you expect? E-cadherin?

➡️We’ll tweet the answers, some quick facts, and the next case tomorrow! #UMichPath

It's been a pleasure! You have enriched my training with your #DailyDx teachings!


Yesss!!! Bring it back #DailyDx


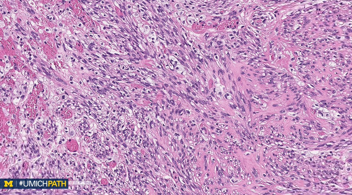
A: (Müllerian) adenosarcoma. Malignant stroma w/ associated benign epithelium (endometrioid or metaplastic); has “Phyllodes-like” architecture w/ stromal condensation. Can be low grade or have sarcomatous overgrowth (>25%) w/ high grade or heterologous sarcoma. #GYNPath #DailyDx

UMichPath's tweet image. A: (Müllerian) adenosarcoma. Malignant stroma w/ associated benign epithelium (endometrioid or metaplastic); has “Phyllodes-like” architecture w/ stromal condensation. Can be low grade or have sarcomatous overgrowth (>25%) w/ high grade or heterologous sarcoma. #GYNPath #DailyDx
UMichPath's tweet image. A: (Müllerian) adenosarcoma. Malignant stroma w/ associated benign epithelium (endometrioid or metaplastic); has “Phyllodes-like” architecture w/ stromal condensation. Can be low grade or have sarcomatous overgrowth (>25%) w/ high grade or heterologous sarcoma. #GYNPath #DailyDx
UMichPath's tweet image. A: (Müllerian) adenosarcoma. Malignant stroma w/ associated benign epithelium (endometrioid or metaplastic); has “Phyllodes-like” architecture w/ stromal condensation. Can be low grade or have sarcomatous overgrowth (>25%) w/ high grade or heterologous sarcoma. #GYNPath #DailyDx

🔬#BreastPath, Day 2 ➡️What’s your #DailyDx of this breast core biopsy? ➡️What stain is typically positive, and what recurrent genetic alteration is associated? ➡️We’ll tweet the answers, some quick facts, and the next case tomorrow! #UMichPath

UMichPath's tweet image. 🔬#BreastPath, Day 2

➡️What’s your #DailyDx of this breast core biopsy?

➡️What stain is typically positive, and what recurrent genetic alteration is associated?

➡️We’ll tweet the answers, some quick facts, and the next case tomorrow! #UMichPath
UMichPath's tweet image. 🔬#BreastPath, Day 2

➡️What’s your #DailyDx of this breast core biopsy?

➡️What stain is typically positive, and what recurrent genetic alteration is associated?

➡️We’ll tweet the answers, some quick facts, and the next case tomorrow! #UMichPath
UMichPath's tweet image. 🔬#BreastPath, Day 2

➡️What’s your #DailyDx of this breast core biopsy?

➡️What stain is typically positive, and what recurrent genetic alteration is associated?

➡️We’ll tweet the answers, some quick facts, and the next case tomorrow! #UMichPath

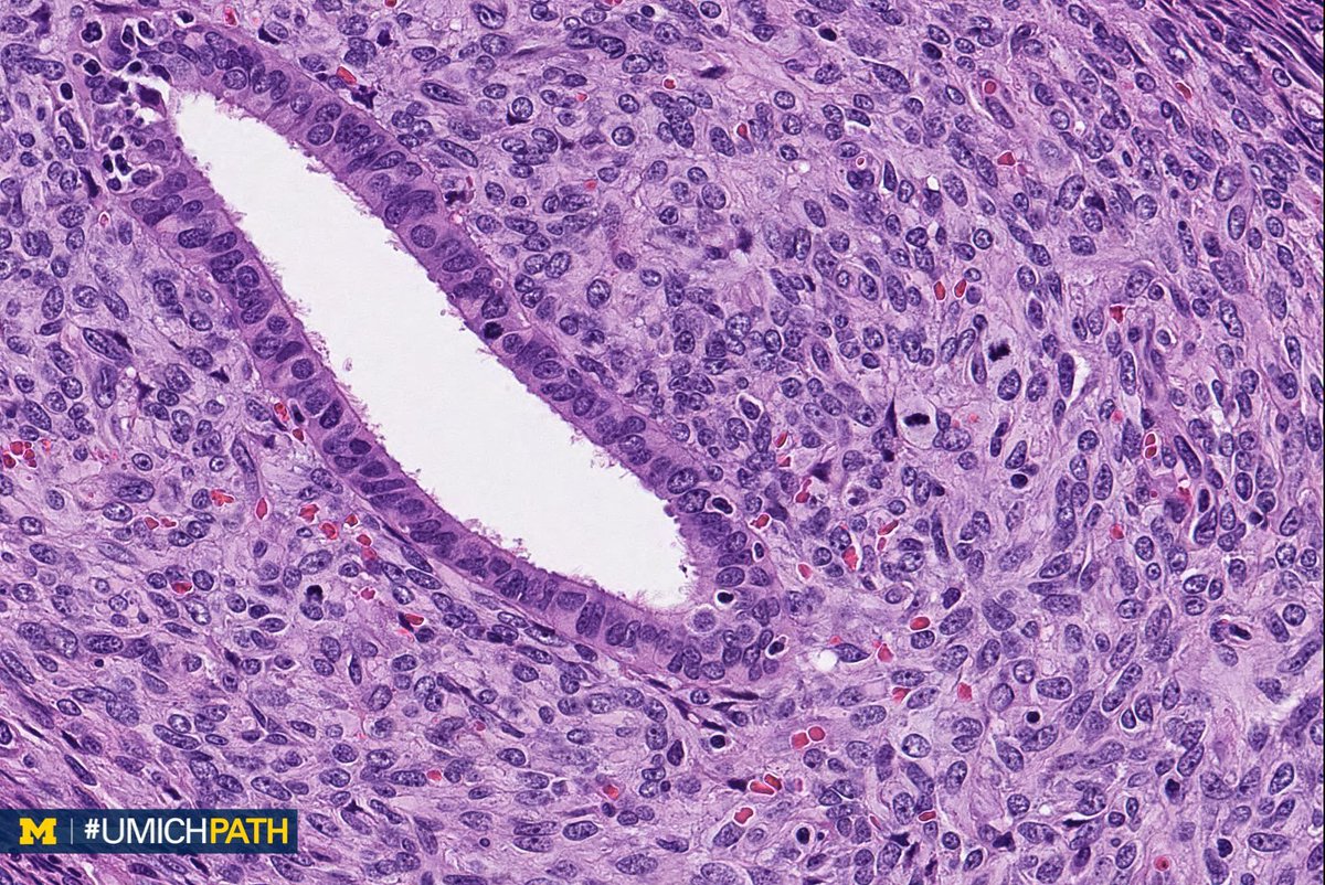
We're sharing 2 cases today since we missed #GYNPath Day 5 last week. What’s your #DailyDx of this uterine mass? We’ll tweet the answer and some quick facts tomorrow! #UMichPath

UMichPath's tweet image. We're sharing 2 cases today since we missed #GYNPath Day 5 last week.

What’s your #DailyDx of this uterine mass?

We’ll tweet the answer and some quick facts tomorrow! #UMichPath
UMichPath's tweet image. We're sharing 2 cases today since we missed #GYNPath Day 5 last week.

What’s your #DailyDx of this uterine mass?

We’ll tweet the answer and some quick facts tomorrow! #UMichPath
UMichPath's tweet image. We're sharing 2 cases today since we missed #GYNPath Day 5 last week.

What’s your #DailyDx of this uterine mass?

We’ll tweet the answer and some quick facts tomorrow! #UMichPath
UMichPath's tweet image. We're sharing 2 cases today since we missed #GYNPath Day 5 last week.

What’s your #DailyDx of this uterine mass?

We’ll tweet the answer and some quick facts tomorrow! #UMichPath

I miss the #DailyDx challenge by @UMichPath 😔


At #USCAP2018 and interested in pathology on social media? Connect with #UMichPath fellows Dr. Cody Carter (@codyscarter) and Dr. Ellen East (@Melonfeast), the pathologists behind our #DailyDx Twitter series!



A: Lung Adenocarcinoma (in situ): Images showing emphysematous, lepidic growth pattern w/ increased presence of macrophages in the alveolar spaces, and a close-up of lepidic growing tumor cells around a blood vessel. @LungAssociation @UMRogelCancer #PulmonaryPath #DailyDX


@Melonfeast and @codyscarter really put a ton of effort into #DailyDx. Well deserved break!!


Theme this week: Breast pathology What’s your #DailyDx of this breast biopsy? What stain would you order to confirm? We’ll tweet the answer, some quick facts, and the next case tomorrow! #UmichPath #BreastPath

UMichPath's tweet image. Theme this week: Breast pathology
 
What’s your #DailyDx of this breast biopsy?
 
What stain would you order to confirm?
 
We’ll tweet the answer, some quick facts, and the next case tomorrow! #UmichPath #BreastPath
UMichPath's tweet image. Theme this week: Breast pathology
 
What’s your #DailyDx of this breast biopsy?
 
What stain would you order to confirm?
 
We’ll tweet the answer, some quick facts, and the next case tomorrow! #UmichPath #BreastPath
UMichPath's tweet image. Theme this week: Breast pathology
 
What’s your #DailyDx of this breast biopsy?
 
What stain would you order to confirm?
 
We’ll tweet the answer, some quick facts, and the next case tomorrow! #UmichPath #BreastPath

🔬#BreastPath, Day 5 ➡️What’s your #DailyDx of this nipple biopsy? ➡️What pattern of CK5/6, ER would you expect? ➡️We’ll tweet the answers, some quick facts, and the next case this weekend! #UMichPath

UMichPath's tweet image. 🔬#BreastPath, Day 5

➡️What’s your #DailyDx of this nipple biopsy?

➡️What pattern of CK5/6, ER would you expect?

➡️We’ll tweet the answers, some quick facts, and the next case this weekend! #UMichPath
UMichPath's tweet image. 🔬#BreastPath, Day 5

➡️What’s your #DailyDx of this nipple biopsy?

➡️What pattern of CK5/6, ER would you expect?

➡️We’ll tweet the answers, some quick facts, and the next case this weekend! #UMichPath
UMichPath's tweet image. 🔬#BreastPath, Day 5

➡️What’s your #DailyDx of this nipple biopsy?

➡️What pattern of CK5/6, ER would you expect?

➡️We’ll tweet the answers, some quick facts, and the next case this weekend! #UMichPath

🔬#GYNPath, Day 4. ➡️What’s your #DailyDx of this uterine mass? ➡️What immunohistochemical stain would you order? ➡️We’ll tweet the answer, some quick facts, and the next case tomorrow! #UMichPath

UMichPath's tweet image. 🔬#GYNPath, Day 4.

➡️What’s your #DailyDx of this uterine mass?

➡️What immunohistochemical stain would you order?

➡️We’ll tweet the answer, some quick facts, and the next case tomorrow! #UMichPath
UMichPath's tweet image. 🔬#GYNPath, Day 4.

➡️What’s your #DailyDx of this uterine mass?

➡️What immunohistochemical stain would you order?

➡️We’ll tweet the answer, some quick facts, and the next case tomorrow! #UMichPath
UMichPath's tweet image. 🔬#GYNPath, Day 4.

➡️What’s your #DailyDx of this uterine mass?

➡️What immunohistochemical stain would you order?

➡️We’ll tweet the answer, some quick facts, and the next case tomorrow! #UMichPath

I miss the @UMichPath #DailyDx 😞 It was quite challenging and at the same time highly motivational. It became my daily source of learning new entities. At a time I think I developed a bond with #UMich 😁🙈(like I was a trainee there😂).


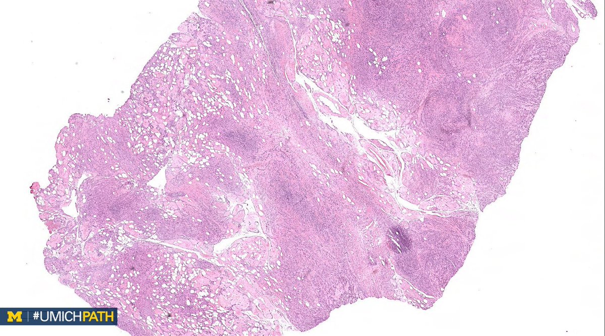
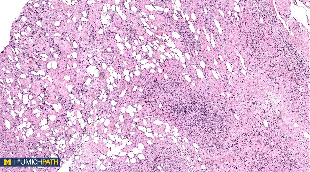
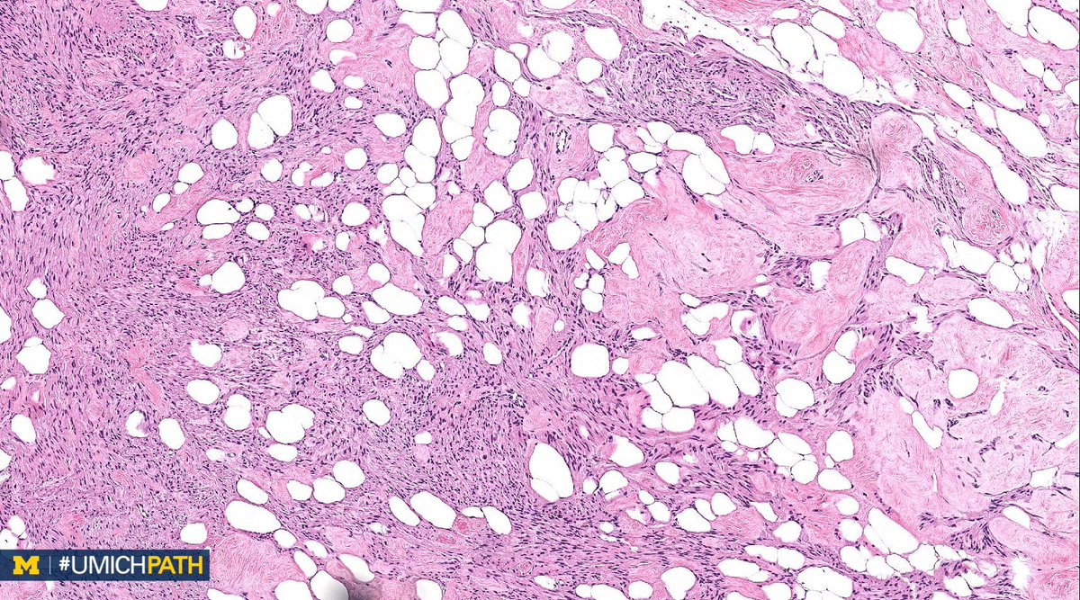
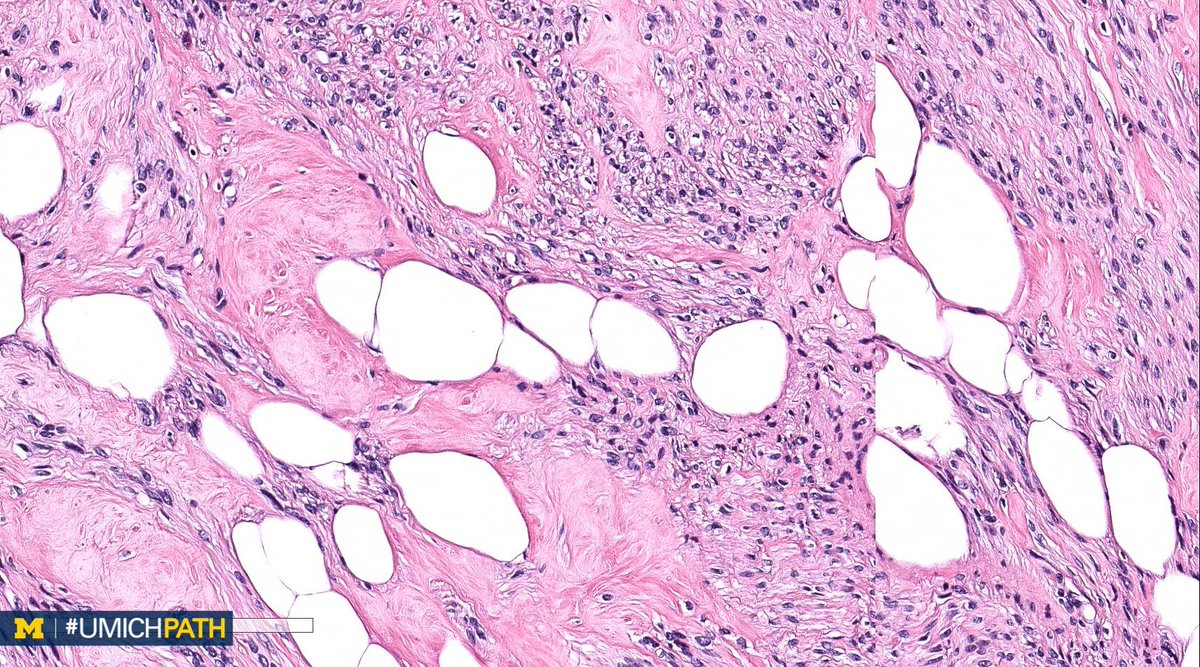
A: Lipoleiomyoma. A variant of uterine leiomyomata. Gross: Well circumscribed mass with alternating yellow and white areas. Histo: Variable admixture of bland smooth muscle cells and adipocytes. Very rarely can have glandular elements (adenolipoleiomyoma). #GYNPath #DailyDx

UMichPath's tweet image. A: Lipoleiomyoma. A variant of uterine leiomyomata.  Gross: Well circumscribed mass with alternating yellow and white areas. Histo: Variable admixture of bland smooth muscle cells and adipocytes. Very rarely can have glandular elements (adenolipoleiomyoma). #GYNPath #DailyDx

Want to know the answer to this #DailyDx case? Check out the thread below! 👇

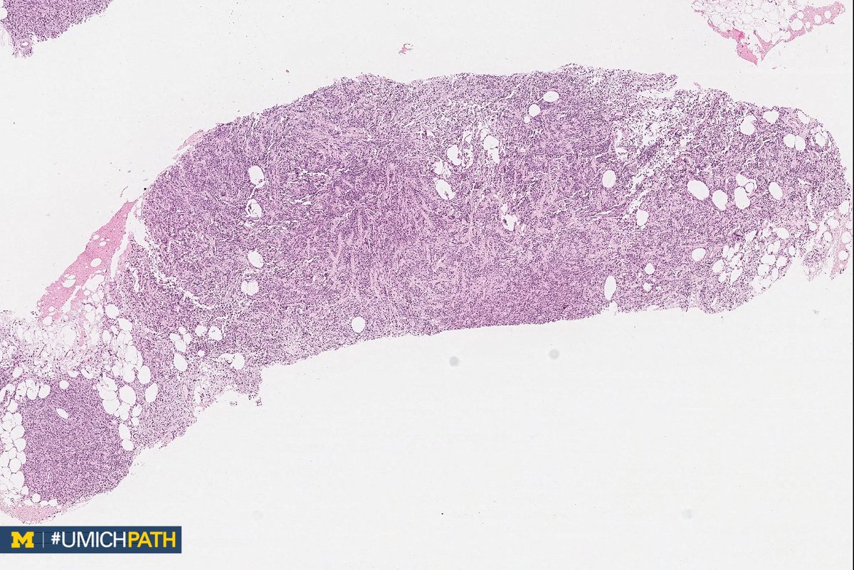
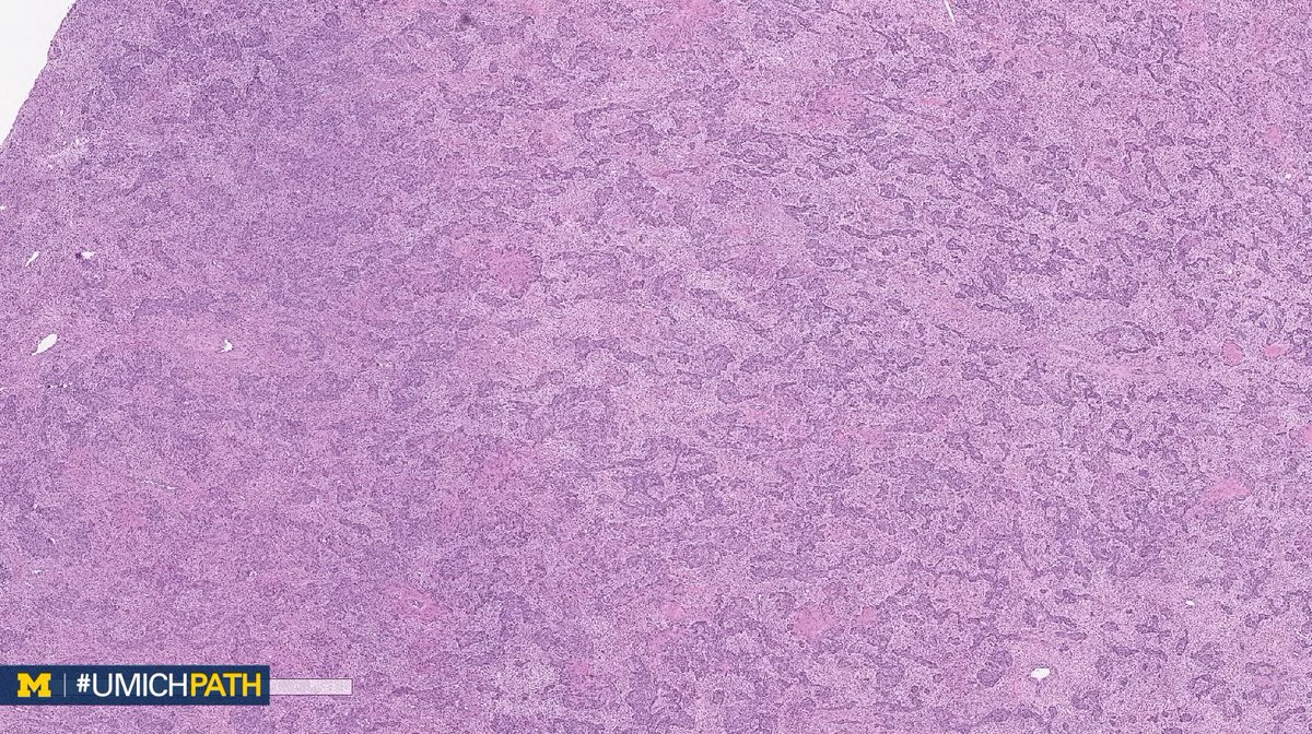
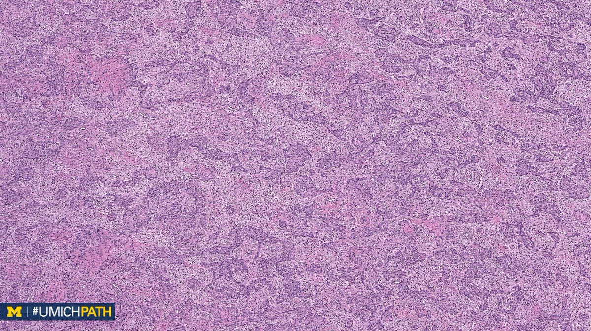
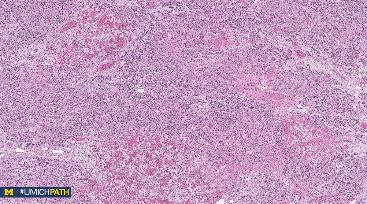
What’s your #DailyDx of this pelvic peritoneum biopsy, post radical cystectomy? What immunoprofile and histologic characteristics would you expect? We will tweet the answers and some quick facts later this week! #UmichPath | @MiPathKunju

UMichPath's tweet image. What’s your #DailyDx of this pelvic peritoneum biopsy, post radical cystectomy?

What immunoprofile and histologic characteristics would you expect?

We will tweet the answers and some quick facts later this week!

#UmichPath | @MiPathKunju
UMichPath's tweet image. What’s your #DailyDx of this pelvic peritoneum biopsy, post radical cystectomy?

What immunoprofile and histologic characteristics would you expect?

We will tweet the answers and some quick facts later this week!

#UmichPath | @MiPathKunju
UMichPath's tweet image. What’s your #DailyDx of this pelvic peritoneum biopsy, post radical cystectomy?

What immunoprofile and histologic characteristics would you expect?

We will tweet the answers and some quick facts later this week!

#UmichPath | @MiPathKunju
UMichPath's tweet image. What’s your #DailyDx of this pelvic peritoneum biopsy, post radical cystectomy?

What immunoprofile and histologic characteristics would you expect?

We will tweet the answers and some quick facts later this week!

#UmichPath | @MiPathKunju


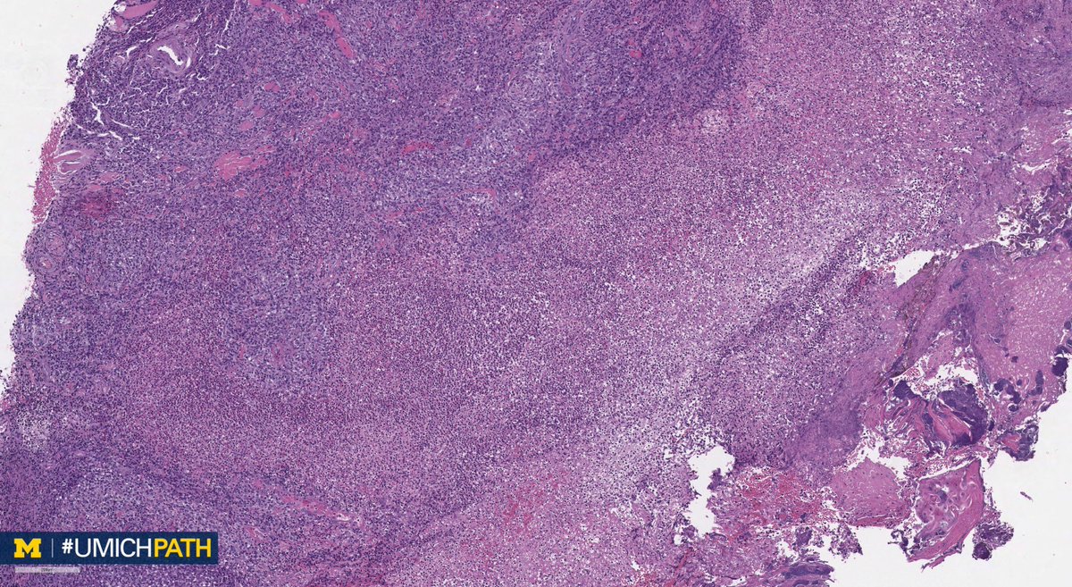
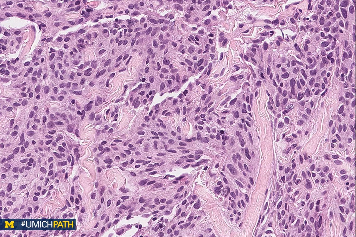
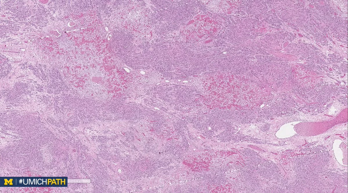
A: PEComa. A rare tumor with perivascular epithelioid cell differentiation. Aggressive behavior predicted by size >5 cm, infiltrative growth, hypercellularity, mits (>1/50 HPF), high-grade nuclei, and necrosis. IHC: Positive for sm. muscle & melanocytic markers. #GYNPath #DailyDx

UMichPath's tweet image. A: PEComa. A rare tumor with perivascular epithelioid cell differentiation. Aggressive behavior predicted by size >5 cm, infiltrative growth, hypercellularity, mits (>1/50 HPF), high-grade nuclei, and necrosis. IHC: Positive for sm. muscle & melanocytic markers. #GYNPath #DailyDx

The month of October has been very good to me as far as DX. I have acquired over a dozen new countries so far. I would like to thank dailydx on twitter/x for posting new dxpeditions that I would have never known of. #dailydx


E51D is On the Air! More radios come on ~ 0200z. This is the Logo for the RIB and nature of the Remote Operation. A FB team of ops together again for another DXpedition. #hamradio is fun again. CU in the piles. #dxworld #dailydx

KL2A's tweet image. E51D is On the Air! More radios come on ~ 0200z. 

This is the Logo for the RIB and nature of the Remote Operation. A FB team of ops together again for another DXpedition. #hamradio is fun again. CU in the piles. #dxworld #dailydx

W3UR - Bernie of the #DailyDX will be the keynote speaker at the #W8DXCC convention on August 28th. See swodxa.org/w8dxcc for details.

SWODXA's tweet image. W3UR - Bernie of the #DailyDX will be the keynote speaker at the #W8DXCC convention on August 28th. See swodxa.org/w8dxcc for details.

W3UR - Bernie of the #DailyDX will be the keynote speaker at the #W8DXCC convention on August 28th. He will be giving an update on the Top 10 most Wanted! See swodxa.org/w8dxcc for details.

SWODXA's tweet image. W3UR - Bernie of the #DailyDX will be the keynote speaker at the #W8DXCC convention on August 28th. He will be giving an update on the Top 10 most Wanted! See swodxa.org/w8dxcc for details.

W3UR - Bernie of the #DailyDX will be the keynote speaker at the #W8DXCC convention on August 28th. See swodxa.org/w8dxcc for details.

SWODXA's tweet image. W3UR - Bernie of the #DailyDX will be the keynote speaker at the #W8DXCC convention on August 28th. See swodxa.org/w8dxcc for details.

I miss the @UMichPath #DailyDx 😞 It was quite challenging and at the same time highly motivational. It became my daily source of learning new entities. At a time I think I developed a bond with #UMich 😁🙈(like I was a trainee there😂).


I learnt more from #DailyDx than from my real life cases! I wish it will make a come back someday.


Yesss!!! Bring it back #DailyDx


I miss the #DailyDx challenge by @UMichPath 😔


@oluwato44343314 Here is another institution that shared a great deal educational materials on #PathTwitter through their #DailyDx and #COTW series. You should try them out too☺️ #PathMatch21 @codyscarter


Want to know the answer to this #DailyDx case? Check out the thread below! 👇

What’s your #DailyDx of this pelvic peritoneum biopsy, post radical cystectomy? What immunoprofile and histologic characteristics would you expect? We will tweet the answers and some quick facts later this week! #UmichPath | @MiPathKunju

UMichPath's tweet image. What’s your #DailyDx of this pelvic peritoneum biopsy, post radical cystectomy?

What immunoprofile and histologic characteristics would you expect?

We will tweet the answers and some quick facts later this week!

#UmichPath | @MiPathKunju
UMichPath's tweet image. What’s your #DailyDx of this pelvic peritoneum biopsy, post radical cystectomy?

What immunoprofile and histologic characteristics would you expect?

We will tweet the answers and some quick facts later this week!

#UmichPath | @MiPathKunju
UMichPath's tweet image. What’s your #DailyDx of this pelvic peritoneum biopsy, post radical cystectomy?

What immunoprofile and histologic characteristics would you expect?

We will tweet the answers and some quick facts later this week!

#UmichPath | @MiPathKunju
UMichPath's tweet image. What’s your #DailyDx of this pelvic peritoneum biopsy, post radical cystectomy?

What immunoprofile and histologic characteristics would you expect?

We will tweet the answers and some quick facts later this week!

#UmichPath | @MiPathKunju


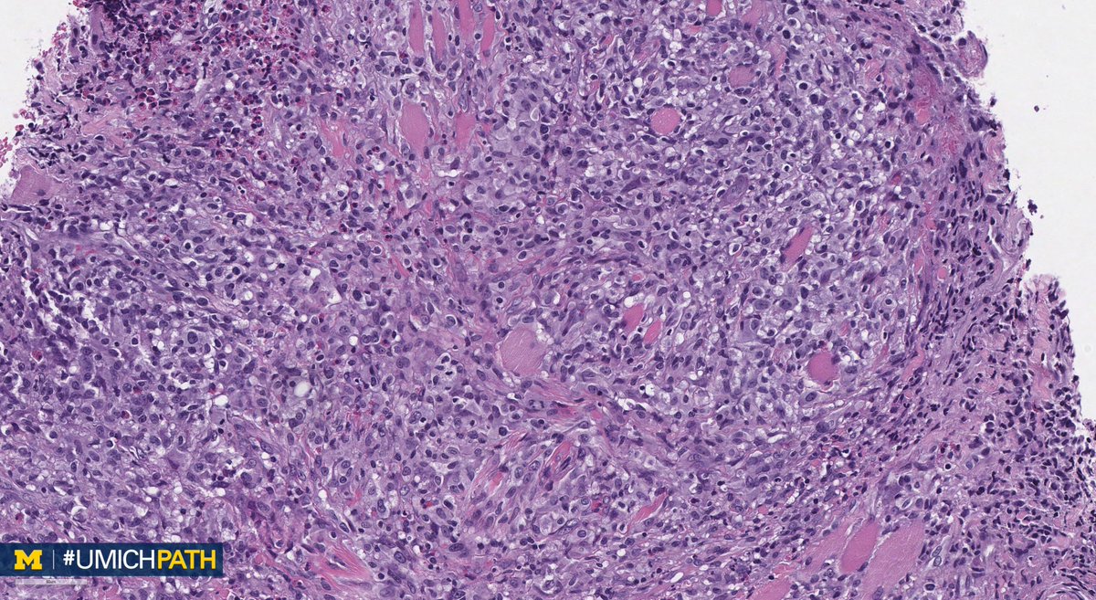
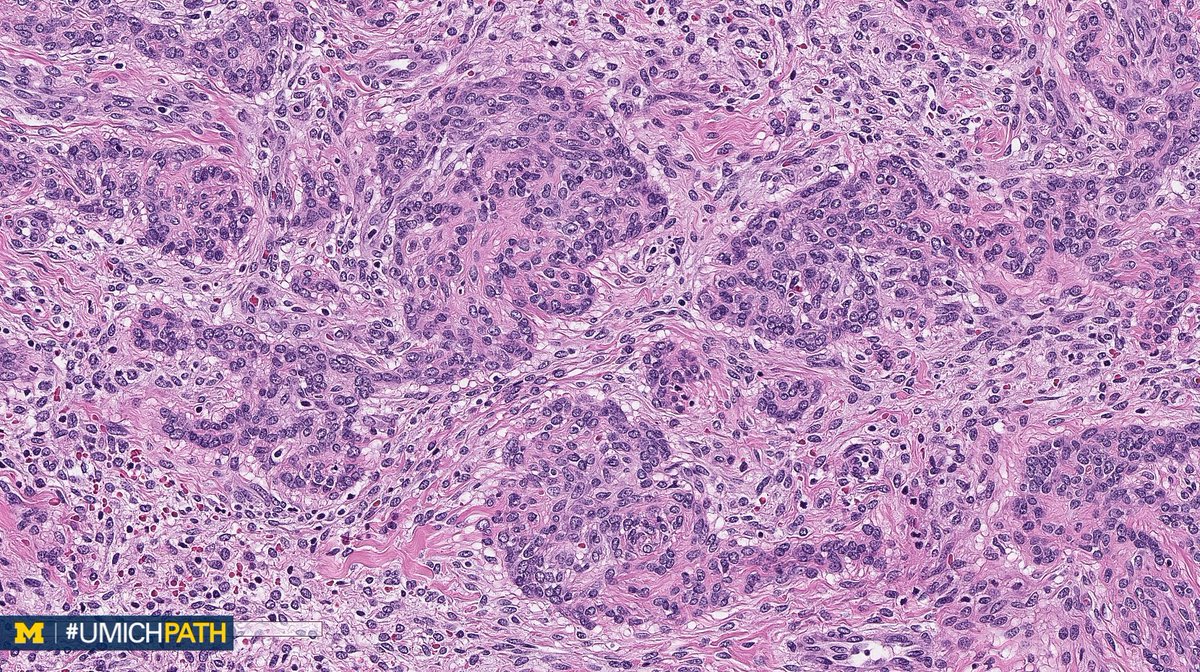
Ready for the answers to this #DailyDx case? Here we go! What you are seeing is a Plasmacytoid Urothelial Carcinoma. #UmichPath | @MiPathKunju


What’s your #DailyDx of this pelvic peritoneum biopsy, post radical cystectomy? What immunoprofile and histologic characteristics would you expect? We will tweet the answers and some quick facts later this week! #UmichPath | @MiPathKunju

UMichPath's tweet image. What’s your #DailyDx of this pelvic peritoneum biopsy, post radical cystectomy?

What immunoprofile and histologic characteristics would you expect?

We will tweet the answers and some quick facts later this week!

#UmichPath | @MiPathKunju
UMichPath's tweet image. What’s your #DailyDx of this pelvic peritoneum biopsy, post radical cystectomy?

What immunoprofile and histologic characteristics would you expect?

We will tweet the answers and some quick facts later this week!

#UmichPath | @MiPathKunju
UMichPath's tweet image. What’s your #DailyDx of this pelvic peritoneum biopsy, post radical cystectomy?

What immunoprofile and histologic characteristics would you expect?

We will tweet the answers and some quick facts later this week!

#UmichPath | @MiPathKunju
UMichPath's tweet image. What’s your #DailyDx of this pelvic peritoneum biopsy, post radical cystectomy?

What immunoprofile and histologic characteristics would you expect?

We will tweet the answers and some quick facts later this week!

#UmichPath | @MiPathKunju

A: Lung Adenocarcinoma (in situ): Images showing emphysematous, lepidic growth pattern w/ increased presence of macrophages in the alveolar spaces, and a close-up of lepidic growing tumor cells around a blood vessel. @LungAssociation @UMRogelCancer #PulmonaryPath #DailyDX


🔬#PulmonaryPath: What's Your #DailyDX? ➡️ The most frequent type of lung cancer, about 50%. ➡️ Also most prevalent in cancer types: prostate, pancreatic, esophageal, and colorectal. ➡️We’ll tweet the answers, some quick facts, and the next case tomorrow! #UMichPath

UMichPath's tweet image. 🔬#PulmonaryPath: What's Your #DailyDX?
➡️ The most frequent type of lung cancer, about 50%.

➡️ Also most prevalent in cancer types: prostate, pancreatic, esophageal, and colorectal.

➡️We’ll tweet the answers, some quick facts, and the next case tomorrow! #UMichPath
UMichPath's tweet image. 🔬#PulmonaryPath: What's Your #DailyDX?
➡️ The most frequent type of lung cancer, about 50%.

➡️ Also most prevalent in cancer types: prostate, pancreatic, esophageal, and colorectal.

➡️We’ll tweet the answers, some quick facts, and the next case tomorrow! #UMichPath
UMichPath's tweet image. 🔬#PulmonaryPath: What's Your #DailyDX?
➡️ The most frequent type of lung cancer, about 50%.

➡️ Also most prevalent in cancer types: prostate, pancreatic, esophageal, and colorectal.

➡️We’ll tweet the answers, some quick facts, and the next case tomorrow! #UMichPath

Those looking for the newest #DailyDx:


#DailyDx Team meets @SUNYUpstatePath! Great to meet you Michael! Good luck with everything. @bluehatcomics85 #ascp2018 #mottirl

codyscarter's tweet image. #DailyDx Team meets @SUNYUpstatePath! Great to meet you Michael! Good luck with everything. @bluehatcomics85 #ascp2018 #mottirl

Happy #InternationalPathologyDay! Thanks to all members of the LAB TEAM for helping patients receive the best diagnoses. (& for making the lab such an awesome place to work!) Also, big thanks to everyone that helped me get to 1000 followers & for following #DailyDx! 👏🏻 🙏🏻 👏🏻 🙏🏻

codyscarter's tweet image. Happy #InternationalPathologyDay! Thanks to all members of the LAB TEAM for helping patients receive the best diagnoses. (& for making the lab such an awesome place to work!)

Also, big thanks to everyone that helped me get to 1000 followers & for following #DailyDx! 👏🏻 🙏🏻 👏🏻 🙏🏻

E51D is On the Air! More radios come on ~ 0200z. This is the Logo for the RIB and nature of the Remote Operation. A FB team of ops together again for another DXpedition. #hamradio is fun again. CU in the piles. #dxworld #dailydx

KL2A's tweet image. E51D is On the Air! More radios come on ~ 0200z. 

This is the Logo for the RIB and nature of the Remote Operation. A FB team of ops together again for another DXpedition. #hamradio is fun again. CU in the piles. #dxworld #dailydx

I like the #DailyDx series from @UMichPath so much. The cases are great and very educational. But there is always somebody who already answered the questions that I know. Oh, life is so competitive...


Spitting image right? 😆 My first foray into #pixelart. If you liked #DailyDx, please consider following my new project @8bitPathology! (and keep following @UmichPath, they are fantastic!) #8bitPath #8bitPathology #ASCP40UnderForty

8bitPathology's tweet image. Spitting image right? 😆 My first foray into #pixelart.

If you liked #DailyDx, please consider following my new project @8bitPathology!

(and keep following @UmichPath, they are fantastic!)

#8bitPath #8bitPathology
#ASCP40UnderForty
8bitPathology's tweet image. Spitting image right? 😆 My first foray into #pixelart.

If you liked #DailyDx, please consider following my new project @8bitPathology!

(and keep following @UmichPath, they are fantastic!)

#8bitPath #8bitPathology
#ASCP40UnderForty

Those looking for the newest #DailyDx:


New #DailyDx. 40yo woman with an ovaric mass (18 cm). Very impressive case...what’s your #diagnosis ? #gynpath #Gynecology #GIPAth #pathology #diagnosticar

APsantpau's tweet image. New #DailyDx. 40yo woman with an ovaric mass (18 cm). Very impressive case...what’s your #diagnosis ?              #gynpath #Gynecology #GIPAth #pathology #diagnosticar
APsantpau's tweet image. New #DailyDx. 40yo woman with an ovaric mass (18 cm). Very impressive case...what’s your #diagnosis ?              #gynpath #Gynecology #GIPAth #pathology #diagnosticar
APsantpau's tweet image. New #DailyDx. 40yo woman with an ovaric mass (18 cm). Very impressive case...what’s your #diagnosis ?              #gynpath #Gynecology #GIPAth #pathology #diagnosticar
APsantpau's tweet image. New #DailyDx. 40yo woman with an ovaric mass (18 cm). Very impressive case...what’s your #diagnosis ?              #gynpath #Gynecology #GIPAth #pathology #diagnosticar

We're sharing 2 cases today since we missed #GYNPath Day 5 last week. What’s your #DailyDx of this uterine mass? We’ll tweet the answer and some quick facts tomorrow! #UMichPath

UMichPath's tweet image. We're sharing 2 cases today since we missed #GYNPath Day 5 last week.

What’s your #DailyDx of this uterine mass?

We’ll tweet the answer and some quick facts tomorrow! #UMichPath
UMichPath's tweet image. We're sharing 2 cases today since we missed #GYNPath Day 5 last week.

What’s your #DailyDx of this uterine mass?

We’ll tweet the answer and some quick facts tomorrow! #UMichPath
UMichPath's tweet image. We're sharing 2 cases today since we missed #GYNPath Day 5 last week.

What’s your #DailyDx of this uterine mass?

We’ll tweet the answer and some quick facts tomorrow! #UMichPath
UMichPath's tweet image. We're sharing 2 cases today since we missed #GYNPath Day 5 last week.

What’s your #DailyDx of this uterine mass?

We’ll tweet the answer and some quick facts tomorrow! #UMichPath

🔬#BreastPath, Day 4 ➡️What’s your #DailyDx of this breast lumpectomy? ➡️What ER/PR/HER2 staining pattern do you expect? E-cadherin? ➡️We’ll tweet the answers, some quick facts, and the next case tomorrow! #UMichPath

UMichPath's tweet image. 🔬#BreastPath, Day 4

➡️What’s your #DailyDx of this breast lumpectomy?

➡️What ER/PR/HER2 staining pattern do you expect? E-cadherin?

➡️We’ll tweet the answers, some quick facts, and the next case tomorrow! #UMichPath
UMichPath's tweet image. 🔬#BreastPath, Day 4

➡️What’s your #DailyDx of this breast lumpectomy?

➡️What ER/PR/HER2 staining pattern do you expect? E-cadherin?

➡️We’ll tweet the answers, some quick facts, and the next case tomorrow! #UMichPath
UMichPath's tweet image. 🔬#BreastPath, Day 4

➡️What’s your #DailyDx of this breast lumpectomy?

➡️What ER/PR/HER2 staining pattern do you expect? E-cadherin?

➡️We’ll tweet the answers, some quick facts, and the next case tomorrow! #UMichPath

🔬#PulmonaryPath: What's Your #DailyDX? ➡️ The most frequent type of lung cancer, about 50%. ➡️ Also most prevalent in cancer types: prostate, pancreatic, esophageal, and colorectal. ➡️We’ll tweet the answers, some quick facts, and the next case tomorrow! #UMichPath

UMichPath's tweet image. 🔬#PulmonaryPath: What's Your #DailyDX?
➡️ The most frequent type of lung cancer, about 50%.

➡️ Also most prevalent in cancer types: prostate, pancreatic, esophageal, and colorectal.

➡️We’ll tweet the answers, some quick facts, and the next case tomorrow! #UMichPath
UMichPath's tweet image. 🔬#PulmonaryPath: What's Your #DailyDX?
➡️ The most frequent type of lung cancer, about 50%.

➡️ Also most prevalent in cancer types: prostate, pancreatic, esophageal, and colorectal.

➡️We’ll tweet the answers, some quick facts, and the next case tomorrow! #UMichPath
UMichPath's tweet image. 🔬#PulmonaryPath: What's Your #DailyDX?
➡️ The most frequent type of lung cancer, about 50%.

➡️ Also most prevalent in cancer types: prostate, pancreatic, esophageal, and colorectal.

➡️We’ll tweet the answers, some quick facts, and the next case tomorrow! #UMichPath

A: (Müllerian) adenosarcoma. Malignant stroma w/ associated benign epithelium (endometrioid or metaplastic); has “Phyllodes-like” architecture w/ stromal condensation. Can be low grade or have sarcomatous overgrowth (>25%) w/ high grade or heterologous sarcoma. #GYNPath #DailyDx

UMichPath's tweet image. A: (Müllerian) adenosarcoma. Malignant stroma w/ associated benign epithelium (endometrioid or metaplastic); has “Phyllodes-like” architecture w/ stromal condensation. Can be low grade or have sarcomatous overgrowth (>25%) w/ high grade or heterologous sarcoma. #GYNPath #DailyDx
UMichPath's tweet image. A: (Müllerian) adenosarcoma. Malignant stroma w/ associated benign epithelium (endometrioid or metaplastic); has “Phyllodes-like” architecture w/ stromal condensation. Can be low grade or have sarcomatous overgrowth (>25%) w/ high grade or heterologous sarcoma. #GYNPath #DailyDx
UMichPath's tweet image. A: (Müllerian) adenosarcoma. Malignant stroma w/ associated benign epithelium (endometrioid or metaplastic); has “Phyllodes-like” architecture w/ stromal condensation. Can be low grade or have sarcomatous overgrowth (>25%) w/ high grade or heterologous sarcoma. #GYNPath #DailyDx

🔬#BreastPath, Day 5 ➡️What’s your #DailyDx of this nipple biopsy? ➡️What pattern of CK5/6, ER would you expect? ➡️We’ll tweet the answers, some quick facts, and the next case this weekend! #UMichPath

UMichPath's tweet image. 🔬#BreastPath, Day 5

➡️What’s your #DailyDx of this nipple biopsy?

➡️What pattern of CK5/6, ER would you expect?

➡️We’ll tweet the answers, some quick facts, and the next case this weekend! #UMichPath
UMichPath's tweet image. 🔬#BreastPath, Day 5

➡️What’s your #DailyDx of this nipple biopsy?

➡️What pattern of CK5/6, ER would you expect?

➡️We’ll tweet the answers, some quick facts, and the next case this weekend! #UMichPath
UMichPath's tweet image. 🔬#BreastPath, Day 5

➡️What’s your #DailyDx of this nipple biopsy?

➡️What pattern of CK5/6, ER would you expect?

➡️We’ll tweet the answers, some quick facts, and the next case this weekend! #UMichPath

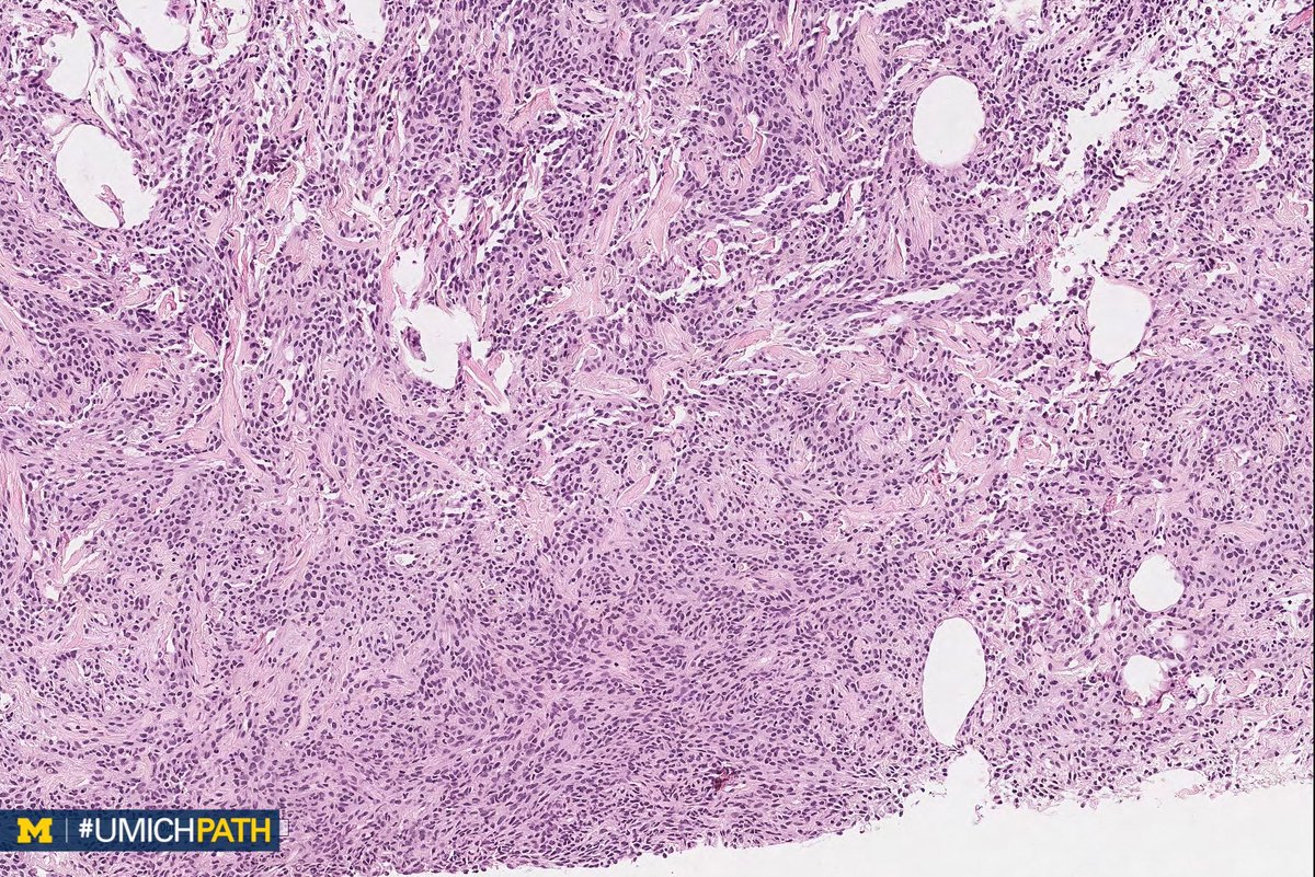
A: Uterine tumors resembling ovarian sex cord tumors (UTROSCT). A rare mesenchymal tumor with epithelial-like cells resembling ovarian sex cord tumors. IHC: Sex cord markers are specific, but not always positive. CD10 frequently positive. #GYNPath #DailyDx (H/T @Eggmcmullen)

UMichPath's tweet image. A: Uterine tumors resembling ovarian sex cord tumors (UTROSCT). A rare mesenchymal tumor with epithelial-like cells resembling ovarian sex cord tumors. IHC: Sex cord markers are specific, but not always positive. CD10 frequently positive. #GYNPath #DailyDx (H/T 
@Eggmcmullen)

Theme this week: Breast pathology What’s your #DailyDx of this breast biopsy? What stain would you order to confirm? We’ll tweet the answer, some quick facts, and the next case tomorrow! #UmichPath #BreastPath

UMichPath's tweet image. Theme this week: Breast pathology
 
What’s your #DailyDx of this breast biopsy?
 
What stain would you order to confirm?
 
We’ll tweet the answer, some quick facts, and the next case tomorrow! #UmichPath #BreastPath
UMichPath's tweet image. Theme this week: Breast pathology
 
What’s your #DailyDx of this breast biopsy?
 
What stain would you order to confirm?
 
We’ll tweet the answer, some quick facts, and the next case tomorrow! #UmichPath #BreastPath
UMichPath's tweet image. Theme this week: Breast pathology
 
What’s your #DailyDx of this breast biopsy?
 
What stain would you order to confirm?
 
We’ll tweet the answer, some quick facts, and the next case tomorrow! #UmichPath #BreastPath

🔬#GYNPath, Day 2 ➡️What’s your #DailyDx of this uterine mass? ➡️We’ll tweet the answer, some quick facts, and the next case tomorrow! #UMichPath

UMichPath's tweet image. 🔬#GYNPath, Day 2

➡️What’s your #DailyDx of this uterine mass?

➡️We’ll tweet the answer, some quick facts, and the next case tomorrow! #UMichPath
UMichPath's tweet image. 🔬#GYNPath, Day 2

➡️What’s your #DailyDx of this uterine mass?

➡️We’ll tweet the answer, some quick facts, and the next case tomorrow! #UMichPath
UMichPath's tweet image. 🔬#GYNPath, Day 2

➡️What’s your #DailyDx of this uterine mass?

➡️We’ll tweet the answer, some quick facts, and the next case tomorrow! #UMichPath

🔬#BreastPath, Day 2 ➡️What’s your #DailyDx of this breast core biopsy? ➡️What stain is typically positive, and what recurrent genetic alteration is associated? ➡️We’ll tweet the answers, some quick facts, and the next case tomorrow! #UMichPath

UMichPath's tweet image. 🔬#BreastPath, Day 2

➡️What’s your #DailyDx of this breast core biopsy?

➡️What stain is typically positive, and what recurrent genetic alteration is associated?

➡️We’ll tweet the answers, some quick facts, and the next case tomorrow! #UMichPath
UMichPath's tweet image. 🔬#BreastPath, Day 2

➡️What’s your #DailyDx of this breast core biopsy?

➡️What stain is typically positive, and what recurrent genetic alteration is associated?

➡️We’ll tweet the answers, some quick facts, and the next case tomorrow! #UMichPath
UMichPath's tweet image. 🔬#BreastPath, Day 2

➡️What’s your #DailyDx of this breast core biopsy?

➡️What stain is typically positive, and what recurrent genetic alteration is associated?

➡️We’ll tweet the answers, some quick facts, and the next case tomorrow! #UMichPath

🔬#GYNPath, Day 4. ➡️What’s your #DailyDx of this uterine mass? ➡️What immunohistochemical stain would you order? ➡️We’ll tweet the answer, some quick facts, and the next case tomorrow! #UMichPath

UMichPath's tweet image. 🔬#GYNPath, Day 4.

➡️What’s your #DailyDx of this uterine mass?

➡️What immunohistochemical stain would you order?

➡️We’ll tweet the answer, some quick facts, and the next case tomorrow! #UMichPath
UMichPath's tweet image. 🔬#GYNPath, Day 4.

➡️What’s your #DailyDx of this uterine mass?

➡️What immunohistochemical stain would you order?

➡️We’ll tweet the answer, some quick facts, and the next case tomorrow! #UMichPath
UMichPath's tweet image. 🔬#GYNPath, Day 4.

➡️What’s your #DailyDx of this uterine mass?

➡️What immunohistochemical stain would you order?

➡️We’ll tweet the answer, some quick facts, and the next case tomorrow! #UMichPath

A: Lipoleiomyoma. A variant of uterine leiomyomata. Gross: Well circumscribed mass with alternating yellow and white areas. Histo: Variable admixture of bland smooth muscle cells and adipocytes. Very rarely can have glandular elements (adenolipoleiomyoma). #GYNPath #DailyDx

UMichPath's tweet image. A: Lipoleiomyoma. A variant of uterine leiomyomata.  Gross: Well circumscribed mass with alternating yellow and white areas. Histo: Variable admixture of bland smooth muscle cells and adipocytes. Very rarely can have glandular elements (adenolipoleiomyoma). #GYNPath #DailyDx

A: PEComa. A rare tumor with perivascular epithelioid cell differentiation. Aggressive behavior predicted by size >5 cm, infiltrative growth, hypercellularity, mits (>1/50 HPF), high-grade nuclei, and necrosis. IHC: Positive for sm. muscle & melanocytic markers. #GYNPath #DailyDx

UMichPath's tweet image. A: PEComa. A rare tumor with perivascular epithelioid cell differentiation. Aggressive behavior predicted by size >5 cm, infiltrative growth, hypercellularity, mits (>1/50 HPF), high-grade nuclei, and necrosis. IHC: Positive for sm. muscle & melanocytic markers. #GYNPath #DailyDx

🔬 Oral #Pathology, Day 5 ➡️ What’s your #DailyDx of this tongue lesion? ➡️ We’ll tweet the answer and some quick facts tomorrow! #UMichPath #ENTPath

UMichPath's tweet image. 🔬 Oral #Pathology, Day 5
 
➡️ What’s your #DailyDx of this tongue lesion?
 
➡️ We’ll tweet the answer and some quick facts tomorrow! #UMichPath #ENTPath
UMichPath's tweet image. 🔬 Oral #Pathology, Day 5
 
➡️ What’s your #DailyDx of this tongue lesion?
 
➡️ We’ll tweet the answer and some quick facts tomorrow! #UMichPath #ENTPath
UMichPath's tweet image. 🔬 Oral #Pathology, Day 5
 
➡️ What’s your #DailyDx of this tongue lesion?
 
➡️ We’ll tweet the answer and some quick facts tomorrow! #UMichPath #ENTPath
UMichPath's tweet image. 🔬 Oral #Pathology, Day 5
 
➡️ What’s your #DailyDx of this tongue lesion?
 
➡️ We’ll tweet the answer and some quick facts tomorrow! #UMichPath #ENTPath

Loading...

Something went wrong.


Something went wrong.