#pulmonarypath search results

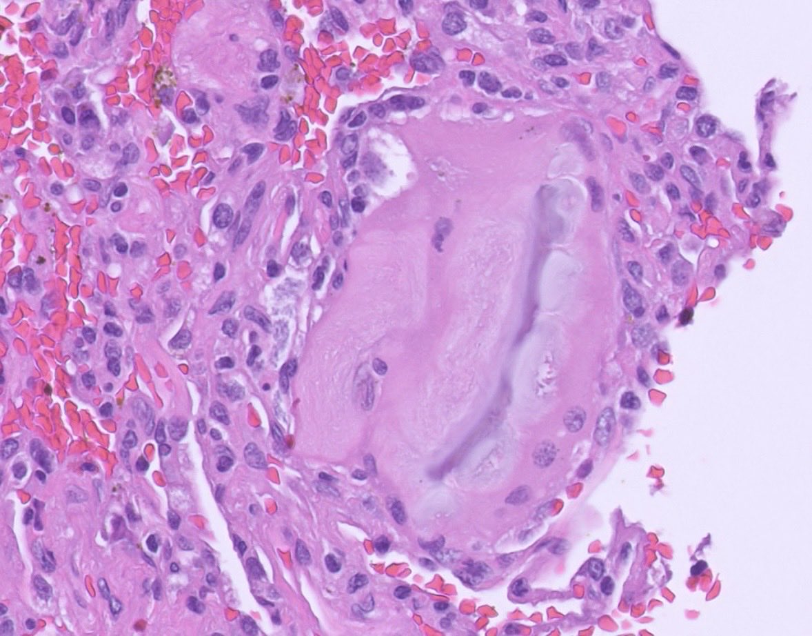
Hellow #pulmonarypath this FNA is from left lung lesion 22 y male history of trauma? There are many foreign material fragments, inflammation, histiocytes and the microorganism below. Any idea what are they ? @yro854 @smlungpathguy

MoharramDr's tweet image. Hellow #pulmonarypath this FNA is from left lung lesion 22 y male history of trauma?
There are many foreign material fragments, inflammation, histiocytes and the microorganism below. Any idea what are they ? @yro854 @smlungpathguy
MoharramDr's tweet image. Hellow #pulmonarypath this FNA is from left lung lesion 22 y male history of trauma?
There are many foreign material fragments, inflammation, histiocytes and the microorganism below. Any idea what are they ? @yro854 @smlungpathguy

A: Lung Adenocarcinoma (in situ): Images showing emphysematous, lepidic growth pattern w/ increased presence of macrophages in the alveolar spaces, and a close-up of lepidic growing tumor cells around a blood vessel. @LungAssociation @UMRogelCancer #PulmonaryPath #DailyDX


🔬#PulmonaryPath: What's Your #DailyDX? ➡️ The most frequent type of lung cancer, about 50%. ➡️ Also most prevalent in cancer types: prostate, pancreatic, esophageal, and colorectal. ➡️We’ll tweet the answers, some quick facts, and the next case tomorrow! #UMichPath

UMichPath's tweet image. 🔬#PulmonaryPath: What's Your #DailyDX?
➡️ The most frequent type of lung cancer, about 50%.

➡️ Also most prevalent in cancer types: prostate, pancreatic, esophageal, and colorectal.

➡️We’ll tweet the answers, some quick facts, and the next case tomorrow! #UMichPath
UMichPath's tweet image. 🔬#PulmonaryPath: What's Your #DailyDX?
➡️ The most frequent type of lung cancer, about 50%.

➡️ Also most prevalent in cancer types: prostate, pancreatic, esophageal, and colorectal.

➡️We’ll tweet the answers, some quick facts, and the next case tomorrow! #UMichPath
UMichPath's tweet image. 🔬#PulmonaryPath: What's Your #DailyDX?
➡️ The most frequent type of lung cancer, about 50%.

➡️ Also most prevalent in cancer types: prostate, pancreatic, esophageal, and colorectal.

➡️We’ll tweet the answers, some quick facts, and the next case tomorrow! #UMichPath

Incidental finding in lung. What are the IHC and the diagnosis? Polls in the thread #pulmonarypath

Anshehabeldin's tweet image. Incidental finding in lung. What are the IHC and the diagnosis? Polls in the thread #pulmonarypath
Anshehabeldin's tweet image. Incidental finding in lung. What are the IHC and the diagnosis? Polls in the thread #pulmonarypath
Anshehabeldin's tweet image. Incidental finding in lung. What are the IHC and the diagnosis? Polls in the thread #pulmonarypath

It is a great time to be a pathologist, to be a cancer scientist. A long way to go, but the world is better. @ArgosPatologia #iamapathologist #pulmpath #pulmonarypath #gupath #pathology #elenao #nothim

Cancer kills millions of people every year and is one of humanity’s greatest health challenges. By stimulating the ability of our immune system to attack tumour cells, this year’s #NobelPrize laureates have established an entirely new principle for cancer therapy.

NobelPrize's tweet image. Cancer kills millions of people every year and is one of humanity’s greatest health challenges. By stimulating the ability of our immune system to attack tumour cells, this year’s #NobelPrize laureates have established an entirely new principle for cancer therapy.


MasterClass in Pathology 2021. Register (conferences.pathpresenter.net/#/conference-u…) and login to listen to David's brilliant talk on lung tumors. Cases can be previewed here: conferences.pathpresenter.net/#/public/prese… @Pathologists #LungPath #PulmonaryPath. @GeronimoJrLapac #pathology @smlungpathguy @DCSkipperDO

mydermpath's tweet image. MasterClass in Pathology 2021. Register (conferences.pathpresenter.net/#/conference-u…) and login to listen to David's brilliant talk on lung tumors. Cases can be previewed here:
conferences.pathpresenter.net/#/public/prese…

@Pathologists #LungPath #PulmonaryPath. @GeronimoJrLapac #pathology @smlungpathguy @DCSkipperDO

The 79th Association of Pulmonary Pathologists meeting at the Brompton in London. #APP #Path #Pulmonarypath

PathPOOC's tweet image. The 79th Association of Pulmonary Pathologists meeting at the Brompton in London. #APP #Path #Pulmonarypath

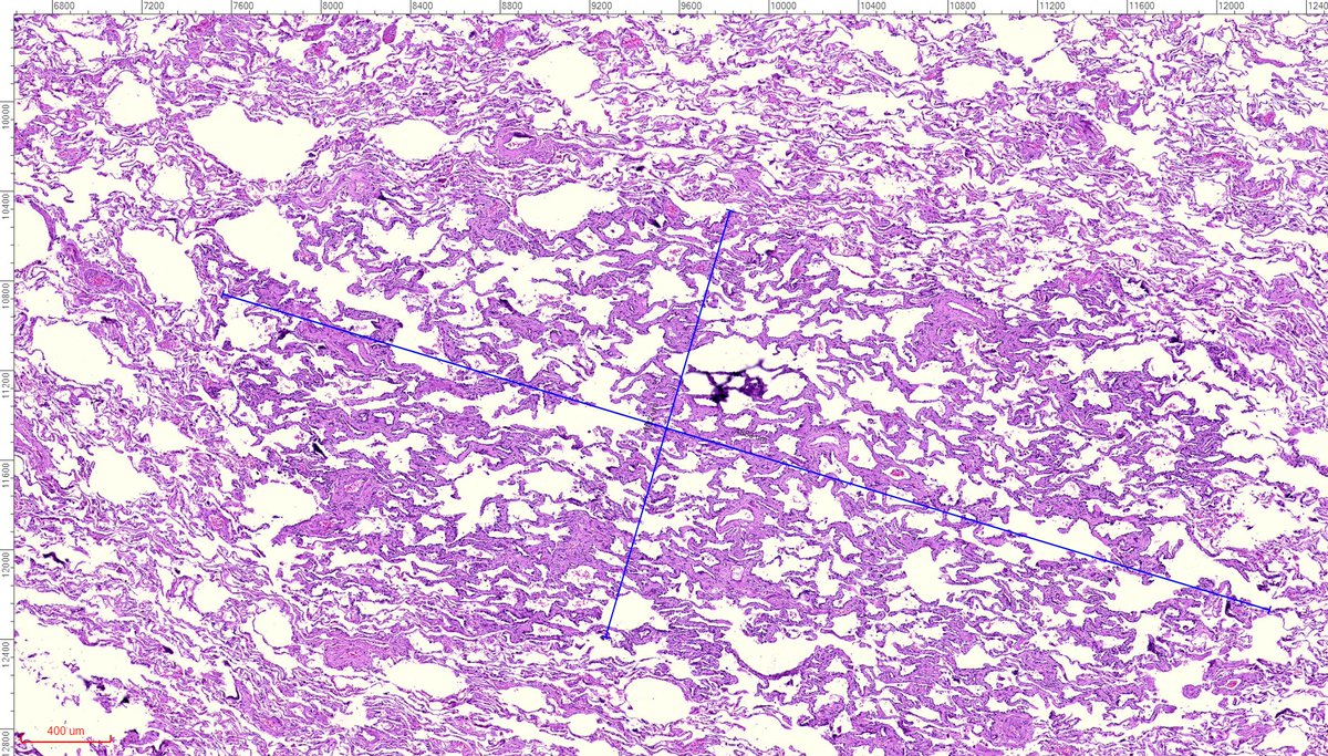
86 y/o with numerous bilateral nodules. #PathTwitter #pulmonarypath #surgpath

RFutoran's tweet image. 86 y/o with numerous bilateral nodules.  
#PathTwitter #pulmonarypath #surgpath
RFutoran's tweet image. 86 y/o with numerous bilateral nodules.  
#PathTwitter #pulmonarypath #surgpath
RFutoran's tweet image. 86 y/o with numerous bilateral nodules.  
#PathTwitter #pulmonarypath #surgpath
RFutoran's tweet image. 86 y/o with numerous bilateral nodules.  
#PathTwitter #pulmonarypath #surgpath

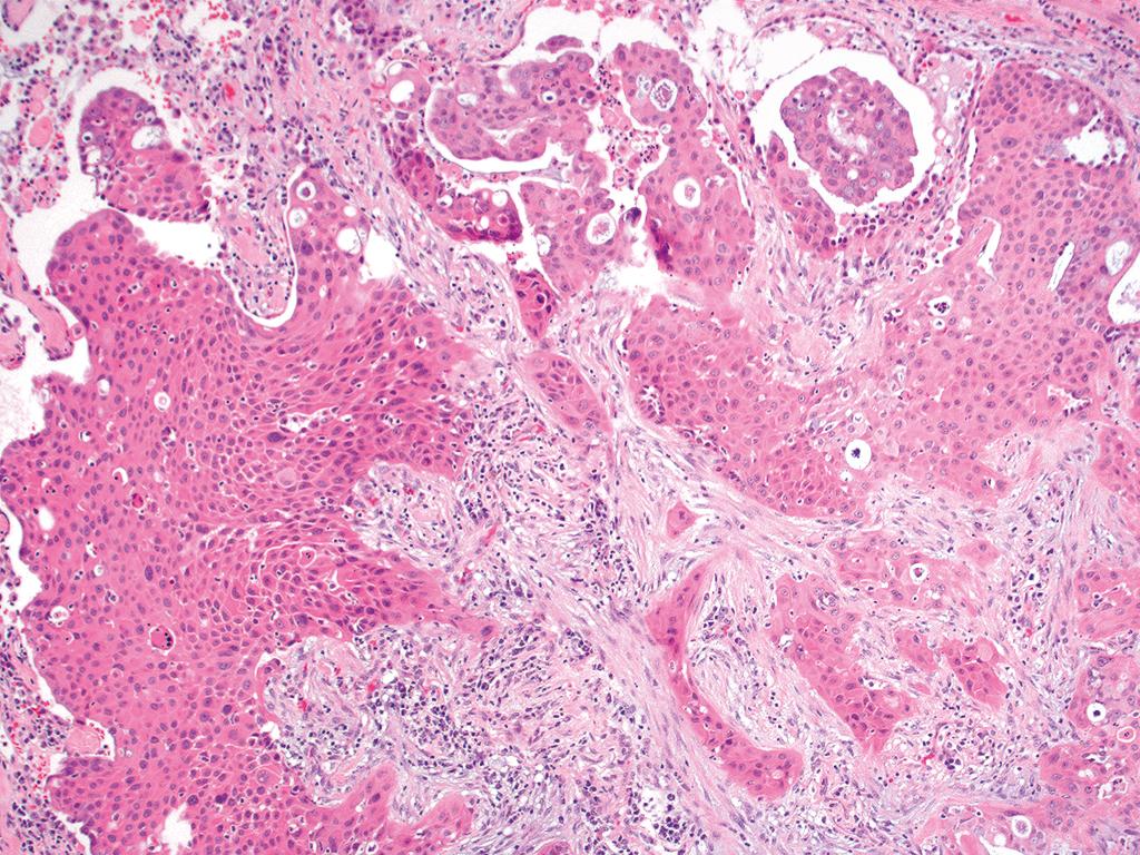
62/M with a large hilar lung mass. Aberrant expression of synaptophysin in epithelioid angiosarcoma #PulmonaryPath

gcai1978's tweet image. 62/M with a large hilar lung mass. Aberrant expression of synaptophysin in epithelioid angiosarcoma #PulmonaryPath
gcai1978's tweet image. 62/M with a large hilar lung mass. Aberrant expression of synaptophysin in epithelioid angiosarcoma #PulmonaryPath
gcai1978's tweet image. 62/M with a large hilar lung mass. Aberrant expression of synaptophysin in epithelioid angiosarcoma #PulmonaryPath

#PathQuiz 🔬🫁 #PulmonaryPath A) Squamous B) Adeno C) I dunno (something else) D) Both (adenosquamous) #Pathology #SurgPath #PulmPath

DrCycloPath's tweet image. #PathQuiz 🔬🫁 #PulmonaryPath

A) Squamous
B) Adeno
C) I dunno (something else)
D) Both (adenosquamous)

#Pathology #SurgPath #PulmPath

One of the consequences of #covid19 was an exponential increase in thoracic imaging. For #pulmonarypath, the results are more biopsies for incidental ground glass nodules. Several articles will come out from this phenomenon, I guess. 40yo patient, tough frozen. @smlungpathguy

fabiotavora's tweet image. One of the consequences of #covid19 was an exponential increase in thoracic imaging. For #pulmonarypath, the results are more biopsies for incidental ground glass nodules. Several articles will come out from this phenomenon, I guess. 40yo patient, tough frozen. @smlungpathguy
fabiotavora's tweet image. One of the consequences of #covid19 was an exponential increase in thoracic imaging. For #pulmonarypath, the results are more biopsies for incidental ground glass nodules. Several articles will come out from this phenomenon, I guess. 40yo patient, tough frozen. @smlungpathguy

#MTPathUnknown #182 #autopsy #PulmonaryPath What is finding in image? Is there anything else associated with that finding? I have not been on Twitter for a little while--the attached tweet explains why

WKemp_MT_FPDoc's tweet image. #MTPathUnknown #182
#autopsy #PulmonaryPath
What is finding in image?
Is there anything else associated with that finding?

I have not been on Twitter for a little while--the attached tweet explains why

Pulmonary/lung pathologists: In lung resections for cancer, how often do you receive AT LEAST 3, separately submitted mediastinal nodal stations (stations 2-9) as lymph node tissue biopsies? (i.e. excluding cytology/FNA/EBUS samples) #lungpath #pulmonarypath @smlungpathguy


An impressive example of this pathological process. What’s going on here? #pulmonarypath #thoracicpath #pathx #pathtwitter

PeterKobalka's tweet image. An impressive example of this pathological process. What’s going on here? #pulmonarypath #thoracicpath #pathx #pathtwitter
PeterKobalka's tweet image. An impressive example of this pathological process. What’s going on here? #pulmonarypath #thoracicpath #pathx #pathtwitter
PeterKobalka's tweet image. An impressive example of this pathological process. What’s going on here? #pulmonarypath #thoracicpath #pathx #pathtwitter
PeterKobalka's tweet image. An impressive example of this pathological process. What’s going on here? #pulmonarypath #thoracicpath #pathx #pathtwitter

The rule is clear: during afterhour frozens, the surgeons need to learn how to stain and mount the slides #PathTwitter #pulmonarypath @Chucktowndoc @ArgosPatologia

fabiotavora's tweet image. The rule is clear: during afterhour frozens, the surgeons need to learn how to stain and mount the slides #PathTwitter #pulmonarypath @Chucktowndoc @ArgosPatologia

#PathQuiz 🔬🫁 #PulmonaryPath A) Pulmonary hamartoma B) Sclerosing pneumocytoma C) Typical carcinoid D) PEComa #Pathology #Cytology #CytoPath #ThoracicPath

DrCycloPath's tweet image. #PathQuiz 🔬🫁 #PulmonaryPath

A) Pulmonary hamartoma
B) Sclerosing pneumocytoma
C) Typical carcinoid
D) PEComa

#Pathology #Cytology #CytoPath #ThoracicPath
DrCycloPath's tweet image. #PathQuiz 🔬🫁 #PulmonaryPath

A) Pulmonary hamartoma
B) Sclerosing pneumocytoma
C) Typical carcinoid
D) PEComa

#Pathology #Cytology #CytoPath #ThoracicPath

#PathQuiz 🔬🫁 #PulmonaryPath A) Large cell neuroendocrine carcinoma B) Diffuse large B-cell lymphoma C) Small cell lung carcinoma D) Squamous cell carcinoma #Pathology #Cytology #CytoPath #ThoracicPath

DrCycloPath's tweet image. #PathQuiz 🔬🫁 #PulmonaryPath

A) Large cell neuroendocrine carcinoma
B) Diffuse large B-cell lymphoma
C) Small cell lung carcinoma
D) Squamous cell carcinoma

#Pathology #Cytology #CytoPath #ThoracicPath

An impressive example of this pathological process. What’s going on here? #pulmonarypath #thoracicpath #pathx #pathtwitter

PeterKobalka's tweet image. An impressive example of this pathological process. What’s going on here? #pulmonarypath #thoracicpath #pathx #pathtwitter
PeterKobalka's tweet image. An impressive example of this pathological process. What’s going on here? #pulmonarypath #thoracicpath #pathx #pathtwitter
PeterKobalka's tweet image. An impressive example of this pathological process. What’s going on here? #pulmonarypath #thoracicpath #pathx #pathtwitter
PeterKobalka's tweet image. An impressive example of this pathological process. What’s going on here? #pulmonarypath #thoracicpath #pathx #pathtwitter

#PathQuiz 🔬🫁 #PulmonaryPath A) Squamous B) Adeno C) I dunno (something else) D) Both (adenosquamous) #Pathology #SurgPath #PulmPath

DrCycloPath's tweet image. #PathQuiz 🔬🫁 #PulmonaryPath

A) Squamous
B) Adeno
C) I dunno (something else)
D) Both (adenosquamous)

#Pathology #SurgPath #PulmPath

🫁 Solitary lung nodule in a middle-aged woman 🧪 Intraoperative cytology 🔬 Dx confirmed with H&E + STAT6 IHC #PathTwitter #Cytopath #PulmonaryPath #MedEd #IHC #SFT

JoanWolfBig1's tweet image. 🫁 Solitary lung nodule in a middle-aged woman
🧪 Intraoperative cytology
🔬 Dx confirmed with H&E + STAT6 IHC
#PathTwitter #Cytopath #PulmonaryPath #MedEd #IHC #SFT
JoanWolfBig1's tweet image. 🫁 Solitary lung nodule in a middle-aged woman
🧪 Intraoperative cytology
🔬 Dx confirmed with H&E + STAT6 IHC
#PathTwitter #Cytopath #PulmonaryPath #MedEd #IHC #SFT
JoanWolfBig1's tweet image. 🫁 Solitary lung nodule in a middle-aged woman
🧪 Intraoperative cytology
🔬 Dx confirmed with H&E + STAT6 IHC
#PathTwitter #Cytopath #PulmonaryPath #MedEd #IHC #SFT
JoanWolfBig1's tweet image. 🫁 Solitary lung nodule in a middle-aged woman
🧪 Intraoperative cytology
🔬 Dx confirmed with H&E + STAT6 IHC
#PathTwitter #Cytopath #PulmonaryPath #MedEd #IHC #SFT

Pulmonary-Pathology course taking lung pathology to the next level with updated depth DON’T miss every Wednesday through May at 7pm Cairo local time With our lung pathology expert A.Prof @YasmeenButtMD #PathTwitter #pulmonarypath

LFpath's tweet image. Pulmonary-Pathology course taking lung pathology to the next level with updated depth 

DON’T miss every Wednesday through May at 7pm Cairo local time With our lung pathology expert A.Prof @YasmeenButtMD #PathTwitter #pulmonarypath

From a cancer resection. Does anyone know the mechanism by which these lesions form? (It’s a male, so not b9 metastasizing leiomyoma). #pulmonarypath #lungpath #thoracicpath #pathtwitter #pathx

PeterKobalka's tweet image. From a cancer resection.  Does anyone know the mechanism by which these lesions form? (It’s a male, so not b9 metastasizing leiomyoma). #pulmonarypath #lungpath #thoracicpath #pathtwitter #pathx
PeterKobalka's tweet image. From a cancer resection.  Does anyone know the mechanism by which these lesions form? (It’s a male, so not b9 metastasizing leiomyoma). #pulmonarypath #lungpath #thoracicpath #pathtwitter #pathx
PeterKobalka's tweet image. From a cancer resection.  Does anyone know the mechanism by which these lesions form? (It’s a male, so not b9 metastasizing leiomyoma). #pulmonarypath #lungpath #thoracicpath #pathtwitter #pathx
PeterKobalka's tweet image. From a cancer resection.  Does anyone know the mechanism by which these lesions form? (It’s a male, so not b9 metastasizing leiomyoma). #pulmonarypath #lungpath #thoracicpath #pathtwitter #pathx

86 y/o with numerous bilateral nodules. #PathTwitter #pulmonarypath #surgpath

RFutoran's tweet image. 86 y/o with numerous bilateral nodules.  
#PathTwitter #pulmonarypath #surgpath
RFutoran's tweet image. 86 y/o with numerous bilateral nodules.  
#PathTwitter #pulmonarypath #surgpath
RFutoran's tweet image. 86 y/o with numerous bilateral nodules.  
#PathTwitter #pulmonarypath #surgpath
RFutoran's tweet image. 86 y/o with numerous bilateral nodules.  
#PathTwitter #pulmonarypath #surgpath

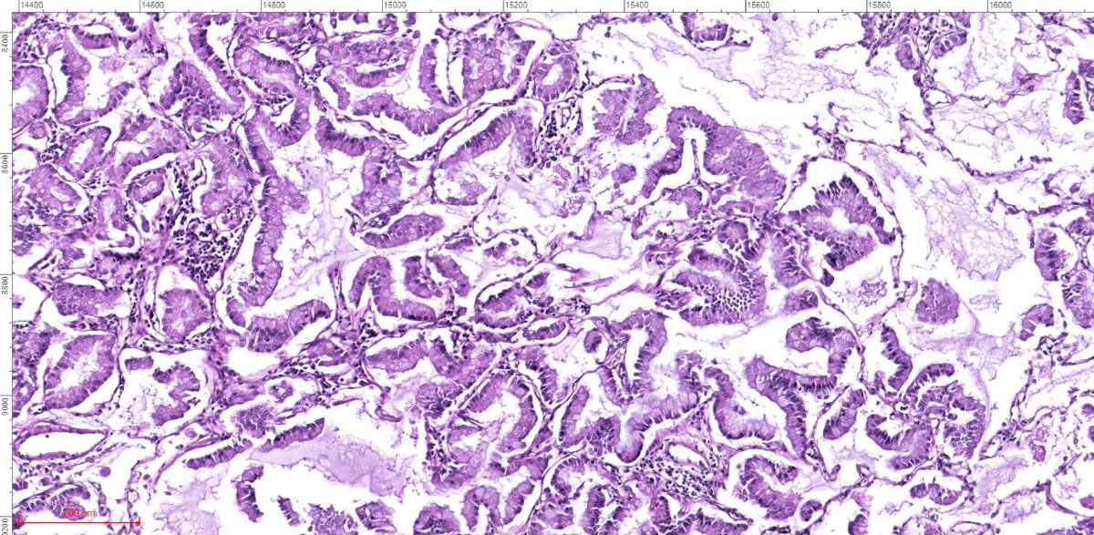
56/ M lung mass. Core biopsy from the lesion. CT and Xray findings attached . Kindly provide your valuable opinions. #pathtwitter #pulmonarypath

NafeesaPath's tweet image. 56/ M lung mass. Core biopsy from the lesion. CT and Xray  findings attached . Kindly provide your valuable opinions. #pathtwitter #pulmonarypath
NafeesaPath's tweet image. 56/ M lung mass. Core biopsy from the lesion. CT and Xray  findings attached . Kindly provide your valuable opinions. #pathtwitter #pulmonarypath
NafeesaPath's tweet image. 56/ M lung mass. Core biopsy from the lesion. CT and Xray  findings attached . Kindly provide your valuable opinions. #pathtwitter #pulmonarypath
NafeesaPath's tweet image. 56/ M lung mass. Core biopsy from the lesion. CT and Xray  findings attached . Kindly provide your valuable opinions. #pathtwitter #pulmonarypath

The 79th Association of Pulmonary Pathologists meeting at the Brompton in London. #APP #Path #Pulmonarypath

PathPOOC's tweet image. The 79th Association of Pulmonary Pathologists meeting at the Brompton in London. #APP #Path #Pulmonarypath

Unilateral pleural effusion with mets...fluid sample was processed for cell block n positive for e-cadherin, ER, PR; Negative for HER2, calretinin! @kriyer68 @smlungpathguy @VijayPatho #pulmonarypath #cytology #pleuralpath #CellBlockD #breastcancer

Komalgang's tweet image. Unilateral pleural effusion with mets...fluid sample was processed for cell block n positive for e-cadherin, ER, PR; Negative for HER2, calretinin!  @kriyer68  @smlungpathguy @VijayPatho #pulmonarypath #cytology #pleuralpath #CellBlockD #breastcancer
Komalgang's tweet image. Unilateral pleural effusion with mets...fluid sample was processed for cell block n positive for e-cadherin, ER, PR; Negative for HER2, calretinin!  @kriyer68  @smlungpathguy @VijayPatho #pulmonarypath #cytology #pleuralpath #CellBlockD #breastcancer

Just had a similar case (no cytology) on resection. Pictures below. These tumors are so mysterious to me. How come they maintain so much respect for the alveoli, and at the same time be so aggressive? #pulmonarypath

fabiotavora's tweet image. Just had a similar case (no cytology) on resection. Pictures below. These tumors are so mysterious to me. How come they maintain so much respect for the alveoli, and at the same time be so aggressive? #pulmonarypath
fabiotavora's tweet image. Just had a similar case (no cytology) on resection. Pictures below. These tumors are so mysterious to me. How come they maintain so much respect for the alveoli, and at the same time be so aggressive? #pulmonarypath
fabiotavora's tweet image. Just had a similar case (no cytology) on resection. Pictures below. These tumors are so mysterious to me. How come they maintain so much respect for the alveoli, and at the same time be so aggressive? #pulmonarypath

Congratulations Drs. Pogoriler and @NyaDNelson on this excellent publication on KRAS mutated Congenital Pulmonary Airway Malformations! Full text here: rdcu.be/cQ7RX @ModernPathology @ChildrensPhila @SocPediPath



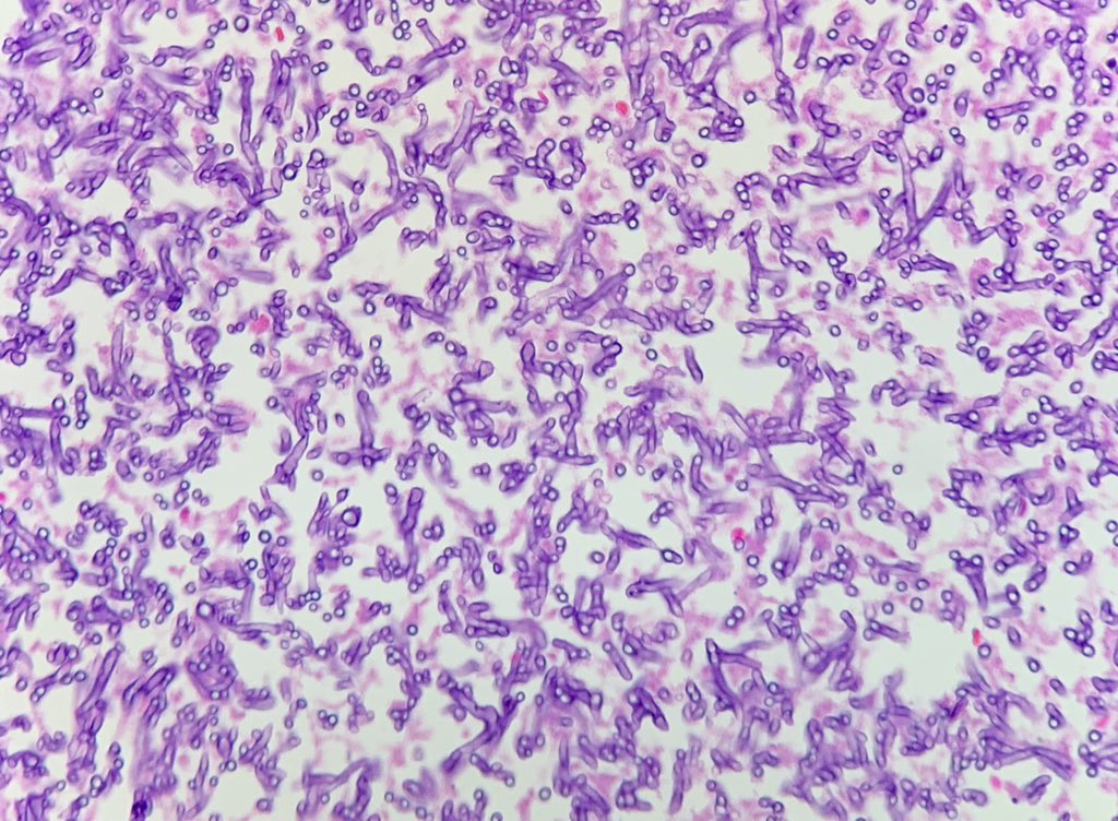
Amazing. for the first time I saw someone identifying a plant vessel. It had to be the great @yro854 as a pulmonary and cardiac pathologist, I feel kind of jealous #pulmonarypath #cardiacpath


The rule is clear: during afterhour frozens, the surgeons need to learn how to stain and mount the slides #PathTwitter #pulmonarypath @Chucktowndoc @ArgosPatologia

fabiotavora's tweet image. The rule is clear: during afterhour frozens, the surgeons need to learn how to stain and mount the slides #PathTwitter #pulmonarypath @Chucktowndoc @ArgosPatologia

One of the consequences of #covid19 was an exponential increase in thoracic imaging. For #pulmonarypath, the results are more biopsies for incidental ground glass nodules. Several articles will come out from this phenomenon, I guess. 40yo patient, tough frozen. @smlungpathguy

fabiotavora's tweet image. One of the consequences of #covid19 was an exponential increase in thoracic imaging. For #pulmonarypath, the results are more biopsies for incidental ground glass nodules. Several articles will come out from this phenomenon, I guess. 40yo patient, tough frozen. @smlungpathguy
fabiotavora's tweet image. One of the consequences of #covid19 was an exponential increase in thoracic imaging. For #pulmonarypath, the results are more biopsies for incidental ground glass nodules. Several articles will come out from this phenomenon, I guess. 40yo patient, tough frozen. @smlungpathguy

Incidental finding in lung. What are the IHC and the diagnosis? Polls in the thread #pulmonarypath

Anshehabeldin's tweet image. Incidental finding in lung. What are the IHC and the diagnosis? Polls in the thread #pulmonarypath
Anshehabeldin's tweet image. Incidental finding in lung. What are the IHC and the diagnosis? Polls in the thread #pulmonarypath
Anshehabeldin's tweet image. Incidental finding in lung. What are the IHC and the diagnosis? Polls in the thread #pulmonarypath

MasterClass in Pathology 2021. Register (conferences.pathpresenter.net/#/conference-u…) and login to listen to David's brilliant talk on lung tumors. Cases can be previewed here: conferences.pathpresenter.net/#/public/prese… @Pathologists #LungPath #PulmonaryPath. @GeronimoJrLapac #pathology @smlungpathguy @DCSkipperDO

mydermpath's tweet image. MasterClass in Pathology 2021. Register (conferences.pathpresenter.net/#/conference-u…) and login to listen to David's brilliant talk on lung tumors. Cases can be previewed here:
conferences.pathpresenter.net/#/public/prese…

@Pathologists #LungPath #PulmonaryPath. @GeronimoJrLapac #pathology @smlungpathguy @DCSkipperDO

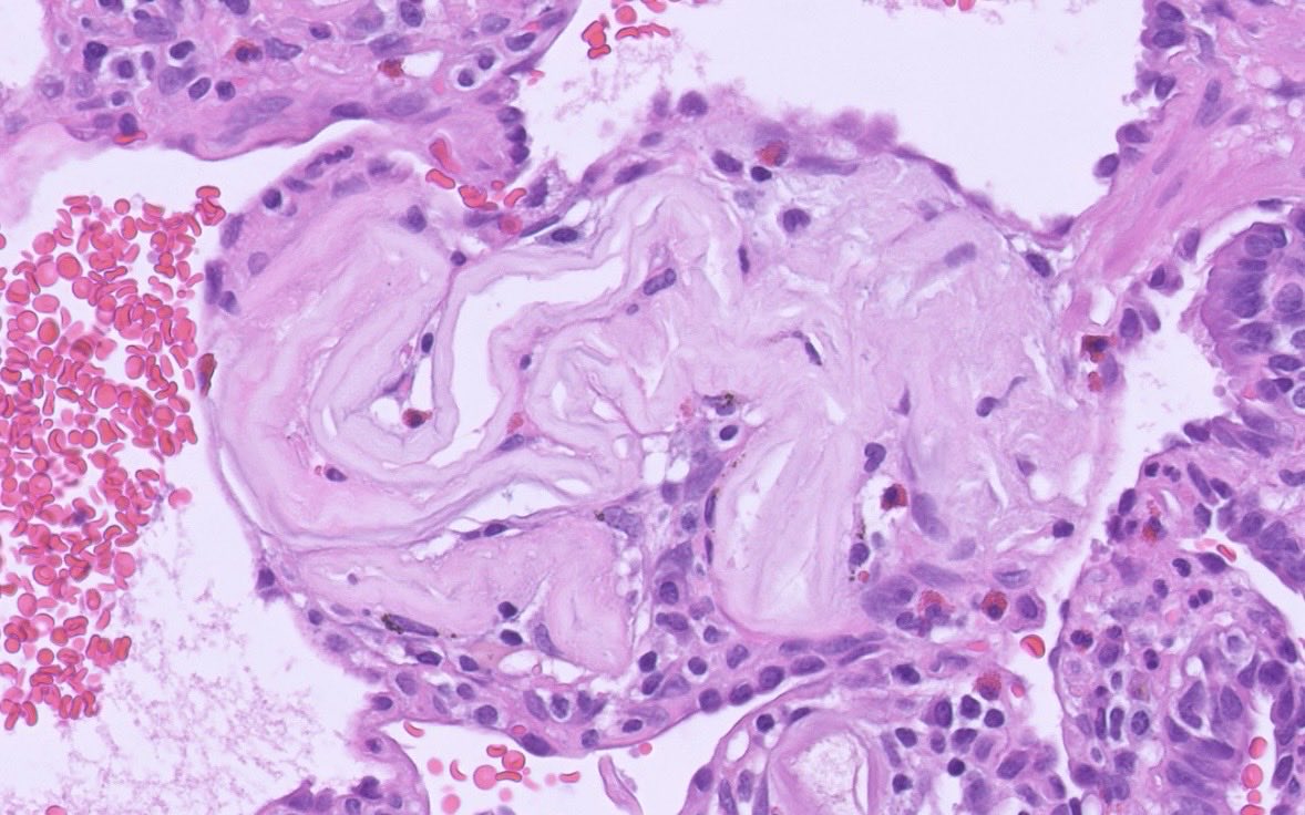
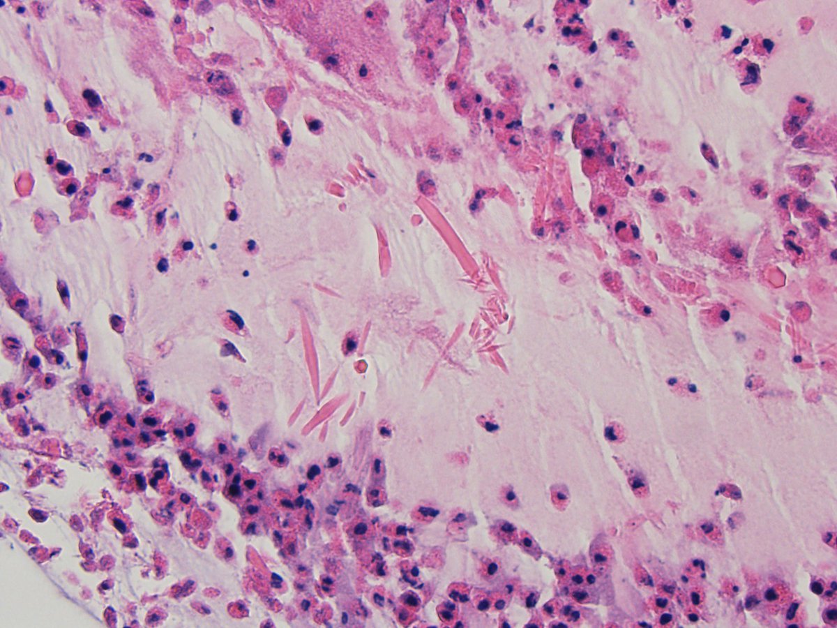
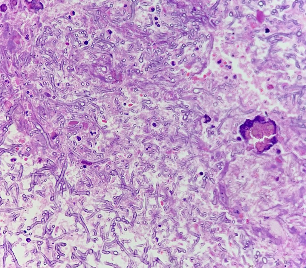
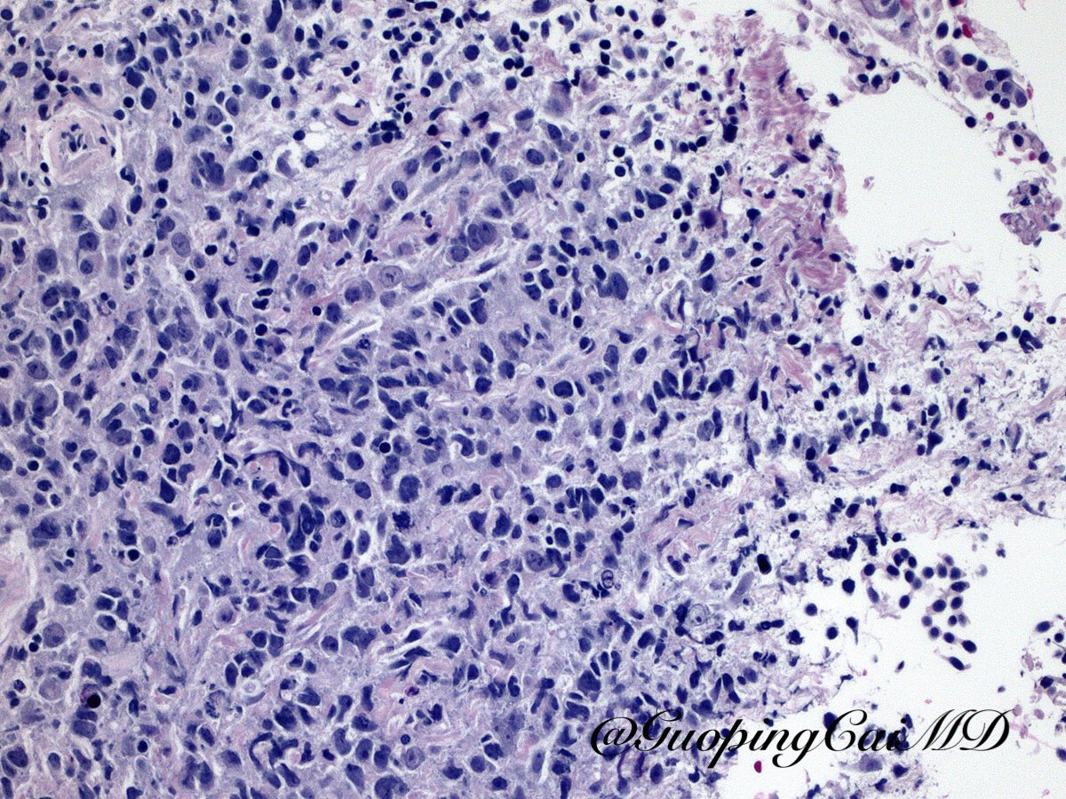
Hellow #pulmonarypath this FNA is from left lung lesion 22 y male history of trauma? There are many foreign material fragments, inflammation, histiocytes and the microorganism below. Any idea what are they ? @yro854 @smlungpathguy

MoharramDr's tweet image. Hellow #pulmonarypath this FNA is from left lung lesion 22 y male history of trauma?
There are many foreign material fragments, inflammation, histiocytes and the microorganism below. Any idea what are they ? @yro854 @smlungpathguy
MoharramDr's tweet image. Hellow #pulmonarypath this FNA is from left lung lesion 22 y male history of trauma?
There are many foreign material fragments, inflammation, histiocytes and the microorganism below. Any idea what are they ? @yro854 @smlungpathguy

#PathQuiz 🔬🫁 #PulmonaryPath A) Squamous B) Adeno C) I dunno (something else) D) Both (adenosquamous) #Pathology #SurgPath #PulmPath

DrCycloPath's tweet image. #PathQuiz 🔬🫁 #PulmonaryPath

A) Squamous
B) Adeno
C) I dunno (something else)
D) Both (adenosquamous)

#Pathology #SurgPath #PulmPath

#PathQuiz 🔬🫁 #PulmonaryPath A) Pulmonary hamartoma B) Sclerosing pneumocytoma C) Typical carcinoid D) PEComa #Pathology #Cytology #CytoPath #ThoracicPath

DrCycloPath's tweet image. #PathQuiz 🔬🫁 #PulmonaryPath

A) Pulmonary hamartoma
B) Sclerosing pneumocytoma
C) Typical carcinoid
D) PEComa

#Pathology #Cytology #CytoPath #ThoracicPath
DrCycloPath's tweet image. #PathQuiz 🔬🫁 #PulmonaryPath

A) Pulmonary hamartoma
B) Sclerosing pneumocytoma
C) Typical carcinoid
D) PEComa

#Pathology #Cytology #CytoPath #ThoracicPath

Charcot-Leyden Crystal, lung biopsy in asthmatic patient. #Pulmonarypath, #pathboards

TedFarMD's tweet image. Charcot-Leyden Crystal, lung biopsy in asthmatic patient.
#Pulmonarypath, #pathboards
TedFarMD's tweet image. Charcot-Leyden Crystal, lung biopsy in asthmatic patient.
#Pulmonarypath, #pathboards

#MTPathUnknown #182 #autopsy #PulmonaryPath What is finding in image? Is there anything else associated with that finding? I have not been on Twitter for a little while--the attached tweet explains why

WKemp_MT_FPDoc's tweet image. #MTPathUnknown #182
#autopsy #PulmonaryPath
What is finding in image?
Is there anything else associated with that finding?

I have not been on Twitter for a little while--the attached tweet explains why

Unilateral pleural effusion with mets...fluid sample was processed for cell block n positive for e-cadherin, ER, PR; Negative for HER2, calretinin! @kriyer68 @smlungpathguy @VijayPatho #pulmonarypath #cytology #pleuralpath #CellBlockD #breastcancer

Komalgang's tweet image. Unilateral pleural effusion with mets...fluid sample was processed for cell block n positive for e-cadherin, ER, PR; Negative for HER2, calretinin!  @kriyer68  @smlungpathguy @VijayPatho #pulmonarypath #cytology #pleuralpath #CellBlockD #breastcancer
Komalgang's tweet image. Unilateral pleural effusion with mets...fluid sample was processed for cell block n positive for e-cadherin, ER, PR; Negative for HER2, calretinin!  @kriyer68  @smlungpathguy @VijayPatho #pulmonarypath #cytology #pleuralpath #CellBlockD #breastcancer

The 79th Association of Pulmonary Pathologists meeting at the Brompton in London. #APP #Path #Pulmonarypath

PathPOOC's tweet image. The 79th Association of Pulmonary Pathologists meeting at the Brompton in London. #APP #Path #Pulmonarypath

The rule is clear: during afterhour frozens, the surgeons need to learn how to stain and mount the slides #PathTwitter #pulmonarypath @Chucktowndoc @ArgosPatologia

fabiotavora's tweet image. The rule is clear: during afterhour frozens, the surgeons need to learn how to stain and mount the slides #PathTwitter #pulmonarypath @Chucktowndoc @ArgosPatologia

A enlightening talk encompassing the recent updates on histopathology, IHC and molecular pathology of the Lung.Thank you Dr Raghavendra Pillapa @raghupillappa @PaviSaaiarun #Pulmonarypath #histopath #PDL1

Divya_Madhala's tweet image. A enlightening talk encompassing the recent updates on histopathology, IHC and molecular pathology of the Lung.Thank you Dr Raghavendra Pillapa @raghupillappa @PaviSaaiarun #Pulmonarypath #histopath #PDL1
Divya_Madhala's tweet image. A enlightening talk encompassing the recent updates on histopathology, IHC and molecular pathology of the Lung.Thank you Dr Raghavendra Pillapa @raghupillappa @PaviSaaiarun #Pulmonarypath #histopath #PDL1
Divya_Madhala's tweet image. A enlightening talk encompassing the recent updates on histopathology, IHC and molecular pathology of the Lung.Thank you Dr Raghavendra Pillapa @raghupillappa @PaviSaaiarun #Pulmonarypath #histopath #PDL1
Divya_Madhala's tweet image. A enlightening talk encompassing the recent updates on histopathology, IHC and molecular pathology of the Lung.Thank you Dr Raghavendra Pillapa @raghupillappa @PaviSaaiarun #Pulmonarypath #histopath #PDL1

After a 6-month sabbatical at @BrownUResearch at @weldeiry , great to be back @ArgosPatologia with a benign lung case to begin #pulmpath #pulmonarypath

fabiotavora's tweet image. After a 6-month sabbatical at @BrownUResearch at @weldeiry , great to be back @ArgosPatologia with a benign lung case to begin #pulmpath #pulmonarypath

62/M with a large hilar lung mass. Aberrant expression of synaptophysin in epithelioid angiosarcoma #PulmonaryPath

gcai1978's tweet image. 62/M with a large hilar lung mass. Aberrant expression of synaptophysin in epithelioid angiosarcoma #PulmonaryPath
gcai1978's tweet image. 62/M with a large hilar lung mass. Aberrant expression of synaptophysin in epithelioid angiosarcoma #PulmonaryPath
gcai1978's tweet image. 62/M with a large hilar lung mass. Aberrant expression of synaptophysin in epithelioid angiosarcoma #PulmonaryPath

One of the consequences of #covid19 was an exponential increase in thoracic imaging. For #pulmonarypath, the results are more biopsies for incidental ground glass nodules. Several articles will come out from this phenomenon, I guess. 40yo patient, tough frozen. @smlungpathguy

fabiotavora's tweet image. One of the consequences of #covid19 was an exponential increase in thoracic imaging. For #pulmonarypath, the results are more biopsies for incidental ground glass nodules. Several articles will come out from this phenomenon, I guess. 40yo patient, tough frozen. @smlungpathguy
fabiotavora's tweet image. One of the consequences of #covid19 was an exponential increase in thoracic imaging. For #pulmonarypath, the results are more biopsies for incidental ground glass nodules. Several articles will come out from this phenomenon, I guess. 40yo patient, tough frozen. @smlungpathguy

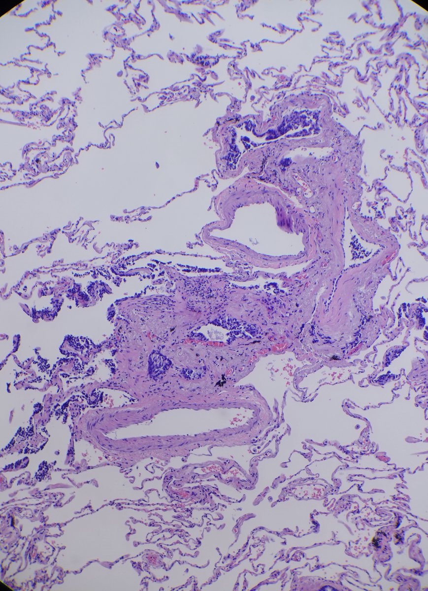
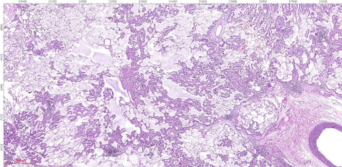
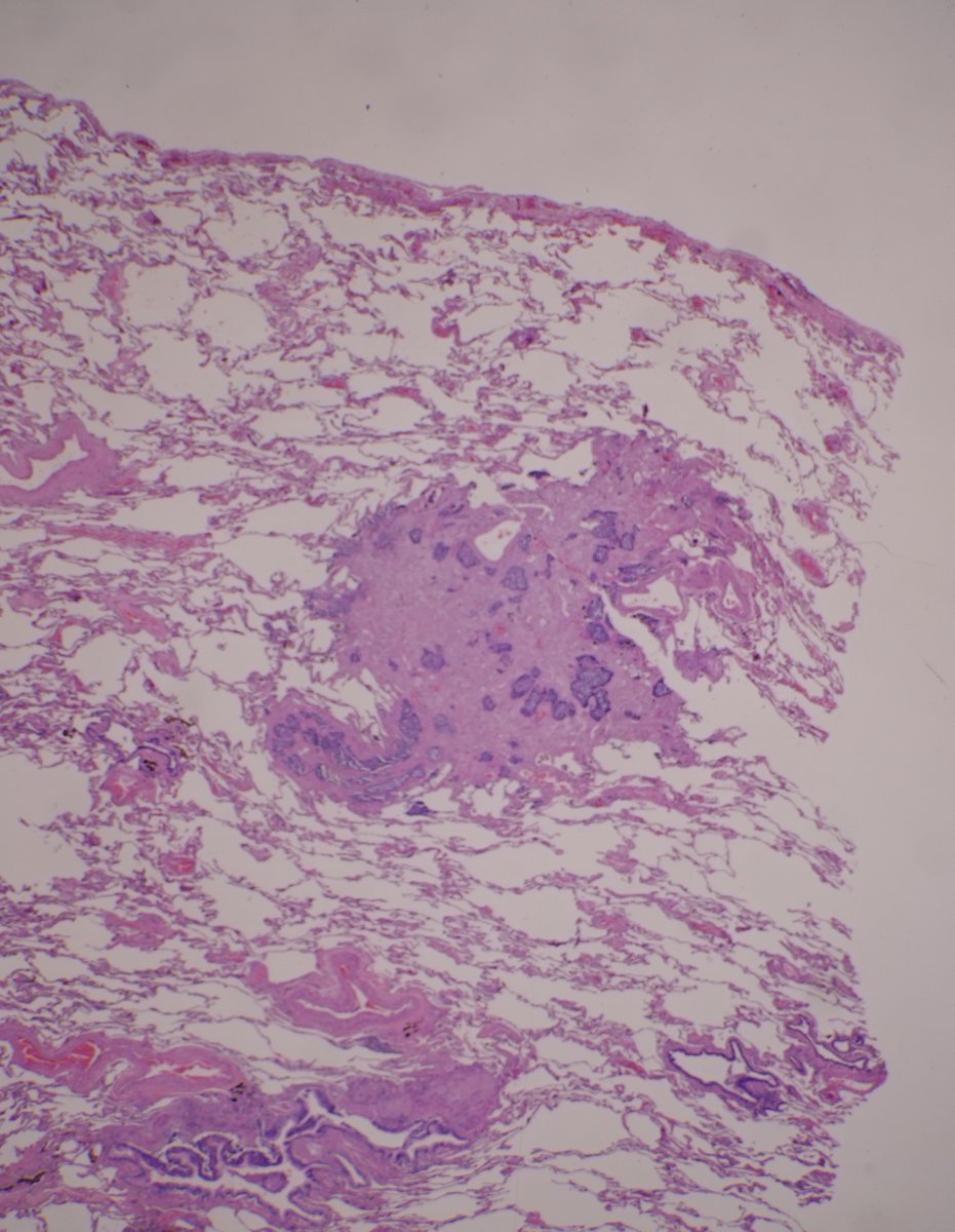
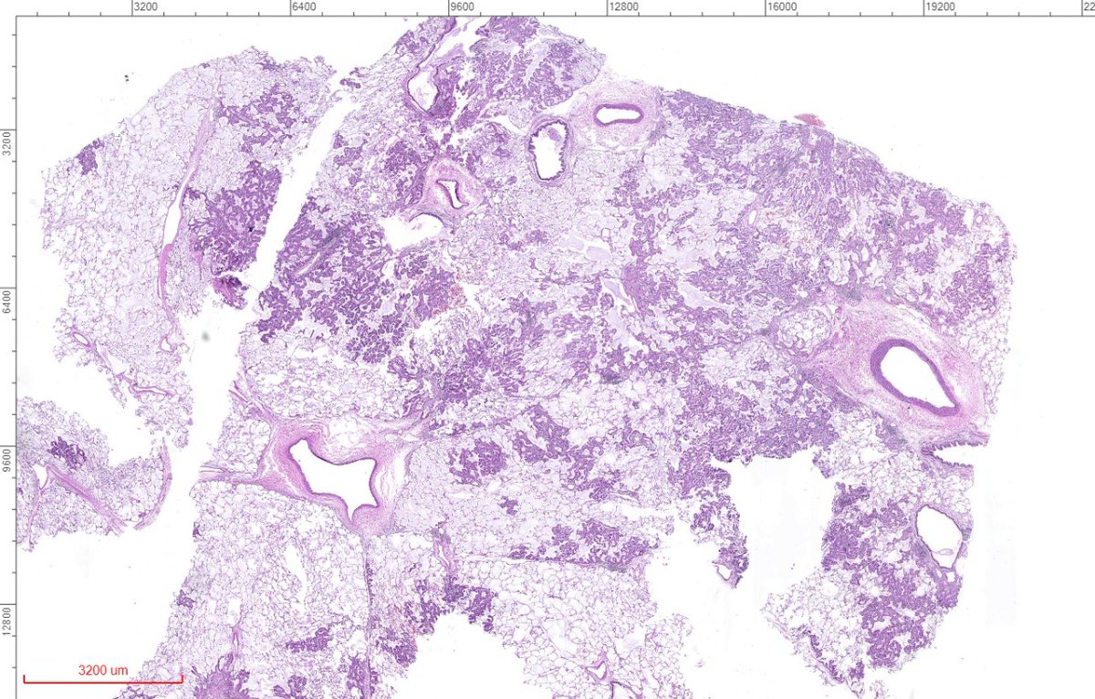
Pulmonary wedge resection for a Cavitatory lesion in Left Upper Lobe #pulmonarypath

gauriii_23's tweet image. Pulmonary wedge resection for a Cavitatory lesion in Left Upper Lobe #pulmonarypath
gauriii_23's tweet image. Pulmonary wedge resection for a Cavitatory lesion in Left Upper Lobe #pulmonarypath
gauriii_23's tweet image. Pulmonary wedge resection for a Cavitatory lesion in Left Upper Lobe #pulmonarypath
gauriii_23's tweet image. Pulmonary wedge resection for a Cavitatory lesion in Left Upper Lobe #pulmonarypath

🔬#PulmonaryPath: What's Your #DailyDX? ➡️ The most frequent type of lung cancer, about 50%. ➡️ Also most prevalent in cancer types: prostate, pancreatic, esophageal, and colorectal. ➡️We’ll tweet the answers, some quick facts, and the next case tomorrow! #UMichPath

UMichPath's tweet image. 🔬#PulmonaryPath: What's Your #DailyDX?
➡️ The most frequent type of lung cancer, about 50%.

➡️ Also most prevalent in cancer types: prostate, pancreatic, esophageal, and colorectal.

➡️We’ll tweet the answers, some quick facts, and the next case tomorrow! #UMichPath
UMichPath's tweet image. 🔬#PulmonaryPath: What's Your #DailyDX?
➡️ The most frequent type of lung cancer, about 50%.

➡️ Also most prevalent in cancer types: prostate, pancreatic, esophageal, and colorectal.

➡️We’ll tweet the answers, some quick facts, and the next case tomorrow! #UMichPath
UMichPath's tweet image. 🔬#PulmonaryPath: What's Your #DailyDX?
➡️ The most frequent type of lung cancer, about 50%.

➡️ Also most prevalent in cancer types: prostate, pancreatic, esophageal, and colorectal.

➡️We’ll tweet the answers, some quick facts, and the next case tomorrow! #UMichPath

Loading...

Something went wrong.


Something went wrong.