#pathresidents search results

Cystic lung tissue from a 12-month-old. Diagnosis? A) Lymphangioleiomyomatosis B) Pleuropulmonary blastoma C) Pulmonary blastoma #pulmpath #pathresidents #pathresidents #pedipath

DrCycloPath's tweet image. Cystic lung tissue from a 12-month-old. Diagnosis?
A) Lymphangioleiomyomatosis
B) Pleuropulmonary blastoma
C) Pulmonary blastoma
#pulmpath #pathresidents #pathresidents #pedipath

Almost all ____ craniopharyngiomas demonstrate ___ a) papillary b) adamantinomatous #NeuroPath #PathTwitter #PathResidents #Pathology 🔬lmpimg.med.utoronto.ca/LMP80549.htm?u…

DrCycloPath's tweet image. Almost all ____ craniopharyngiomas demonstrate ___
a) papillary
b) adamantinomatous
#NeuroPath #PathTwitter #PathResidents #Pathology
🔬lmpimg.med.utoronto.ca/LMP80549.htm?u…

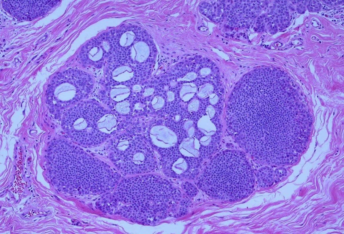
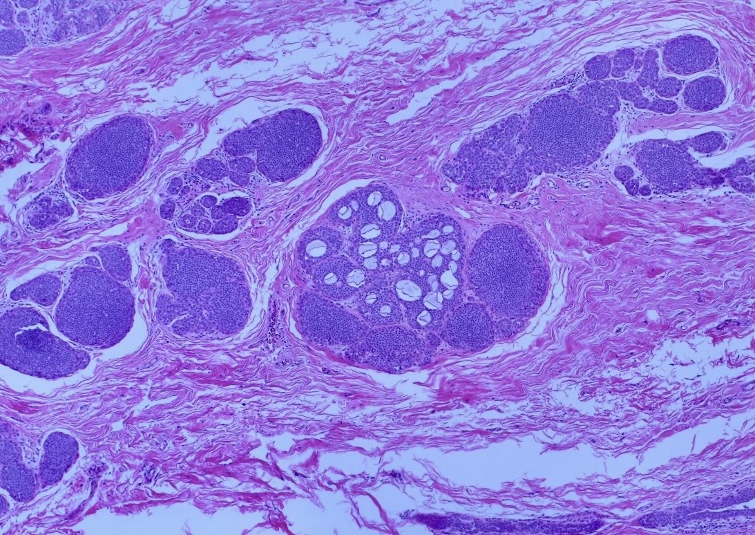
#Pathresidents #Surgpath #breastpath #pathology An incidental finding in a reduction mammoplasty in a 50 year old woman with no significant history. Read on for a poll and a quick discussion.

BrownPathology's tweet image. #Pathresidents #Surgpath #breastpath #pathology 

An incidental finding in a reduction mammoplasty in a 50 year old woman with no significant history.  

Read on for a poll and a quick discussion.
BrownPathology's tweet image. #Pathresidents #Surgpath #breastpath #pathology 

An incidental finding in a reduction mammoplasty in a 50 year old woman with no significant history.  

Read on for a poll and a quick discussion.
BrownPathology's tweet image. #Pathresidents #Surgpath #breastpath #pathology 

An incidental finding in a reduction mammoplasty in a 50 year old woman with no significant history.  

Read on for a poll and a quick discussion.
BrownPathology's tweet image. #Pathresidents #Surgpath #breastpath #pathology 

An incidental finding in a reduction mammoplasty in a 50 year old woman with no significant history.  

Read on for a poll and a quick discussion.

Deficiency in ___ repair can be associated with the __ pattern of ovarian high grade serous carcinoma. A) mismatch B) homologous recombination #gynpath #pathresidents #PathTwitter #pathology

DrCycloPath's tweet image. Deficiency in ___ repair can be associated with the __ pattern of ovarian high grade serous carcinoma.
A) mismatch
B) homologous recombination
#gynpath #pathresidents #PathTwitter  #pathology
DrCycloPath's tweet image. Deficiency in ___ repair can be associated with the __ pattern of ovarian high grade serous carcinoma.
A) mismatch
B) homologous recombination
#gynpath #pathresidents #PathTwitter  #pathology
DrCycloPath's tweet image. Deficiency in ___ repair can be associated with the __ pattern of ovarian high grade serous carcinoma.
A) mismatch
B) homologous recombination
#gynpath #pathresidents #PathTwitter  #pathology

We have an unexpected opening for a 2024-25 General Surgical Pathology fellowship with potential for focused sub-specialization. Wonderful opportunity! We are also accepting applications for 2025-26. For more info, visit: bit.ly/41legac #PathTwitter #PathResidents

NU_Pathology's tweet image. We have an unexpected opening for a 2024-25 General Surgical Pathology fellowship with potential for focused sub-specialization. Wonderful opportunity! We are also accepting applications for 2025-26. For more info, visit: bit.ly/41legac #PathTwitter #PathResidents

Fallopian tube. Diagnosis? A) Adenomyosis B) Atypical Polypoid Adenomyoma (APA) C) Adenomatoid Tumor D) Adenofibroma #GynPath #BSTPath #PathResidents #PathTwitter

DrCycloPath's tweet image. Fallopian tube. Diagnosis? 
A) Adenomyosis 
B) Atypical Polypoid Adenomyoma (APA) 
C) Adenomatoid Tumor 
D) Adenofibroma  
#GynPath #BSTPath #PathResidents #PathTwitter
DrCycloPath's tweet image. Fallopian tube. Diagnosis? 
A) Adenomyosis 
B) Atypical Polypoid Adenomyoma (APA) 
C) Adenomatoid Tumor 
D) Adenofibroma  
#GynPath #BSTPath #PathResidents #PathTwitter
DrCycloPath's tweet image. Fallopian tube. Diagnosis? 
A) Adenomyosis 
B) Atypical Polypoid Adenomyoma (APA) 
C) Adenomatoid Tumor 
D) Adenofibroma  
#GynPath #BSTPath #PathResidents #PathTwitter
DrCycloPath's tweet image. Fallopian tube. Diagnosis? 
A) Adenomyosis 
B) Atypical Polypoid Adenomyoma (APA) 
C) Adenomatoid Tumor 
D) Adenofibroma  
#GynPath #BSTPath #PathResidents #PathTwitter

#GIPath quiz for the weekend. This is a GI manifestation of a systemic disease. Q1: What's the diagnosis? Q2: What's the stain (image 3)? Q3: What's a good indirect sign of this diagnosis? #PathTwitter #pathresidents #pathfellows

MirunaPopescu13's tweet image. #GIPath quiz for the weekend. This is a GI manifestation of a systemic disease.
Q1: What's the diagnosis?
Q2: What's the stain (image 3)?
Q3: What's a good indirect sign of this diagnosis?

#PathTwitter #pathresidents #pathfellows
MirunaPopescu13's tweet image. #GIPath quiz for the weekend. This is a GI manifestation of a systemic disease.
Q1: What's the diagnosis?
Q2: What's the stain (image 3)?
Q3: What's a good indirect sign of this diagnosis?

#PathTwitter #pathresidents #pathfellows
MirunaPopescu13's tweet image. #GIPath quiz for the weekend. This is a GI manifestation of a systemic disease.
Q1: What's the diagnosis?
Q2: What's the stain (image 3)?
Q3: What's a good indirect sign of this diagnosis?

#PathTwitter #pathresidents #pathfellows

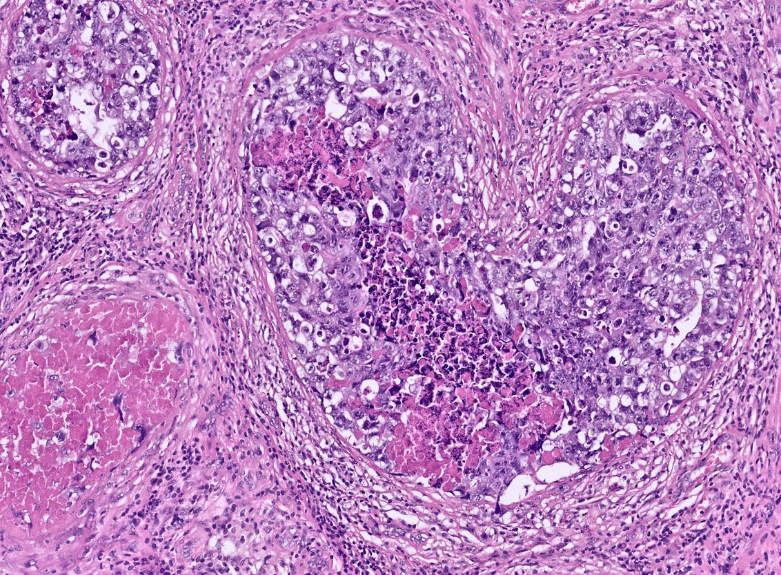
#Breastpath #Surgpath #Pathresidents #Pathtwitter Resection of a suspicious breast mass in a 60 year old woman. Take a look at some images, place your vote, and read some discussion.

BrownPathology's tweet image. #Breastpath #Surgpath #Pathresidents #Pathtwitter 

Resection of a suspicious breast mass in a 60 year old woman.  Take a look at some images, place your vote, and read some discussion.
BrownPathology's tweet image. #Breastpath #Surgpath #Pathresidents #Pathtwitter 

Resection of a suspicious breast mass in a 60 year old woman.  Take a look at some images, place your vote, and read some discussion.
BrownPathology's tweet image. #Breastpath #Surgpath #Pathresidents #Pathtwitter 

Resection of a suspicious breast mass in a 60 year old woman.  Take a look at some images, place your vote, and read some discussion.
BrownPathology's tweet image. #Breastpath #Surgpath #Pathresidents #Pathtwitter 

Resection of a suspicious breast mass in a 60 year old woman.  Take a look at some images, place your vote, and read some discussion.

A finding in a D&C specimen from a missed abortion. X4 and X10 Diagnosis? #Pathology #Pathresidents #Path2Path #Pathmatch25 #Pathmatch26 #OBGYNPath

leon_metlay's tweet image. A finding in a D&C specimen from a missed abortion. 
X4 and X10 
Diagnosis?
#Pathology #Pathresidents #Path2Path #Pathmatch25 #Pathmatch26 #OBGYNPath
leon_metlay's tweet image. A finding in a D&C specimen from a missed abortion. 
X4 and X10 
Diagnosis?
#Pathology #Pathresidents #Path2Path #Pathmatch25 #Pathmatch26 #OBGYNPath

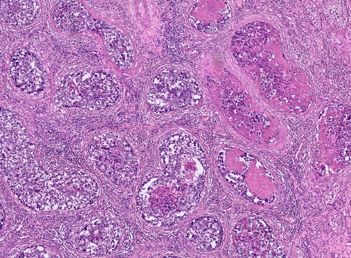
Intratubular seminoma and intratubular embryonal carcinoma in the same field (From a radical orchidectomy specimen for mixed germ cell tumour) #PathTwitter #Pathology #PathResidents #GUPath

DrLaurenceGalea's tweet image. Intratubular seminoma and intratubular embryonal carcinoma in the same field

(From a radical orchidectomy specimen for mixed germ cell tumour)

#PathTwitter #Pathology #PathResidents #GUPath
DrLaurenceGalea's tweet image. Intratubular seminoma and intratubular embryonal carcinoma in the same field

(From a radical orchidectomy specimen for mixed germ cell tumour)

#PathTwitter #Pathology #PathResidents #GUPath
DrLaurenceGalea's tweet image. Intratubular seminoma and intratubular embryonal carcinoma in the same field

(From a radical orchidectomy specimen for mixed germ cell tumour)

#PathTwitter #Pathology #PathResidents #GUPath

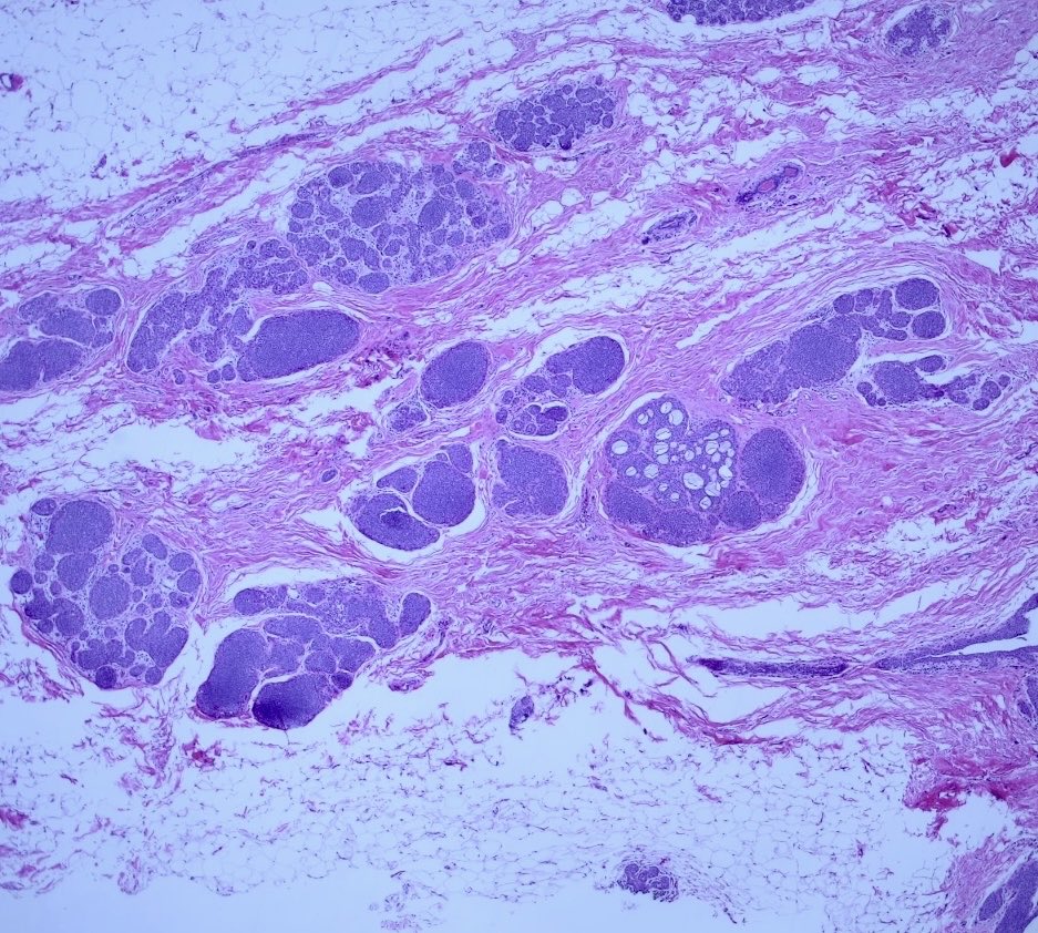
#Pathresidents #GIPath #Surgpath A resection from a 2cm pedunculated polyp found on screening colonoscopy in a 60 year old man: See the thread for a poll, and some short discussion slides.

BrownPathology's tweet image. #Pathresidents #GIPath #Surgpath 

A resection from a 2cm pedunculated polyp found on screening colonoscopy in a 60 year old man:

See the thread for a poll, and some short discussion slides.

We are currently recruiting for 1 of 2 #cytopath fellowship spots for 2024-25! For more information and to apply, please visit: bit.ly/3AVjOMT #PathTwitter #PathResidents

NU_Pathology's tweet image. We are currently recruiting for 1 of 2 #cytopath fellowship spots for 2024-25! For more information and to apply, please visit: bit.ly/3AVjOMT #PathTwitter #PathResidents

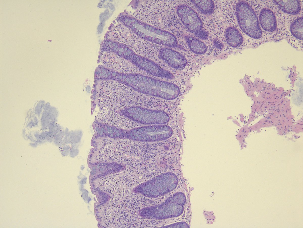
Anorectal mucosa. It cannot get more textbook-like than this! 🔬 Curious to see what #PathTwitter thinks first. Your diagnosis? #GIPath #pathresidents

MirunaPopescu13's tweet image. Anorectal mucosa. It cannot get more textbook-like than this! 🔬
Curious to see what #PathTwitter thinks first.
Your diagnosis?

#GIPath #pathresidents
MirunaPopescu13's tweet image. Anorectal mucosa. It cannot get more textbook-like than this! 🔬
Curious to see what #PathTwitter thinks first.
Your diagnosis?

#GIPath #pathresidents
MirunaPopescu13's tweet image. Anorectal mucosa. It cannot get more textbook-like than this! 🔬
Curious to see what #PathTwitter thinks first.
Your diagnosis?

#GIPath #pathresidents
MirunaPopescu13's tweet image. Anorectal mucosa. It cannot get more textbook-like than this! 🔬
Curious to see what #PathTwitter thinks first.
Your diagnosis?

#GIPath #pathresidents

#PathResidents, join our fantastic #cytopathology division as the second AY2025 fellow and learn from our vast variety of gyn, nongyn, FNA, and core biopsy cases from our expert trained faculty, right in the heart of downtown Chicago! Learn more here: pathology.northwestern.edu/education/fell…

NU_Pathology's tweet image. #PathResidents, join our fantastic #cytopathology division as the second AY2025 fellow and learn from our vast variety of gyn, nongyn, FNA, and core biopsy cases from our expert trained faculty, right in the heart of downtown Chicago! Learn more here: pathology.northwestern.edu/education/fell…

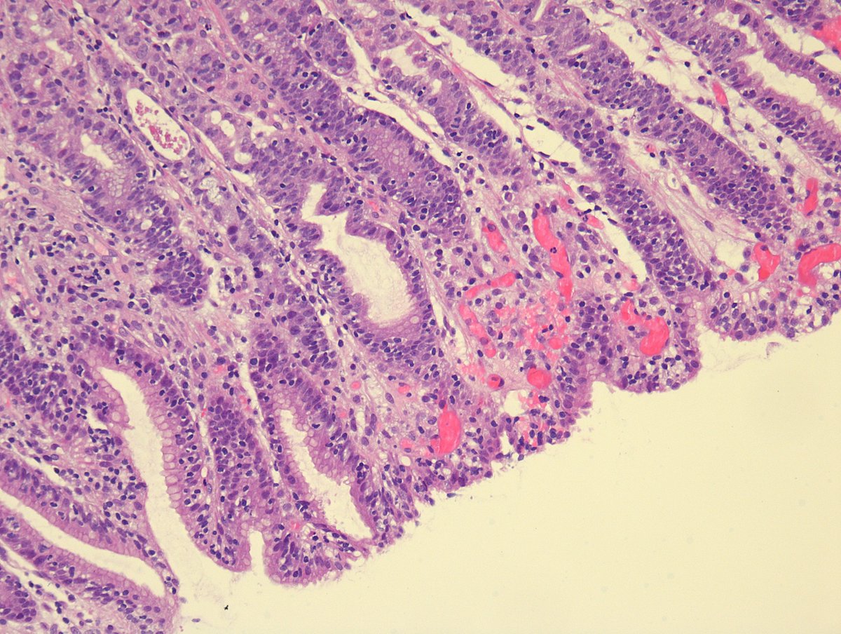
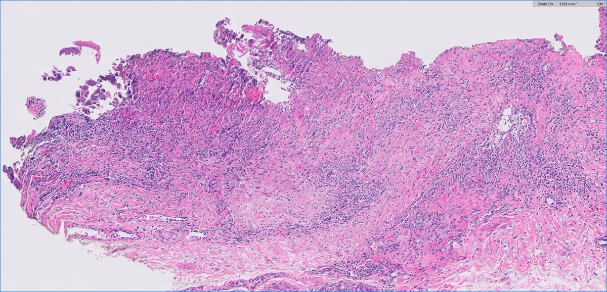
40s F, gastric erythema. 🔬What's your diagnostic impression? What are some common etiologies of this injury pattern and what would be your next step in the work-up of such a case? #GIPath #PathTwitter #pathresidents #pathfellows

MirunaPopescu13's tweet image. 40s F, gastric erythema.

🔬What's your diagnostic impression? What are some common etiologies of this injury pattern and what would be your next step in the work-up of such a case?

#GIPath #PathTwitter #pathresidents #pathfellows
MirunaPopescu13's tweet image. 40s F, gastric erythema.

🔬What's your diagnostic impression? What are some common etiologies of this injury pattern and what would be your next step in the work-up of such a case?

#GIPath #PathTwitter #pathresidents #pathfellows
MirunaPopescu13's tweet image. 40s F, gastric erythema.

🔬What's your diagnostic impression? What are some common etiologies of this injury pattern and what would be your next step in the work-up of such a case?

#GIPath #PathTwitter #pathresidents #pathfellows
MirunaPopescu13's tweet image. 40s F, gastric erythema.

🔬What's your diagnostic impression? What are some common etiologies of this injury pattern and what would be your next step in the work-up of such a case?

#GIPath #PathTwitter #pathresidents #pathfellows

A 62M presents with a 3-month history of dry cough and vague 'heaviness' in his chest. Imaging reveals a 5.2 cm, well-circumscribed, encapsulated mass in the anterior mediastinum. Let's look at the H&E from Low power 🔬 #PathResidents #SurgPath #pathtwitter #pathology

BrownPathology's tweet image. A 62M presents with a 3-month history of dry cough and vague 'heaviness' in his chest. Imaging reveals a 5.2 cm, well-circumscribed, encapsulated mass in the anterior mediastinum.

 Let's look at the H&E from Low power 🔬
#PathResidents #SurgPath #pathtwitter #pathology
BrownPathology's tweet image. A 62M presents with a 3-month history of dry cough and vague 'heaviness' in his chest. Imaging reveals a 5.2 cm, well-circumscribed, encapsulated mass in the anterior mediastinum.

 Let's look at the H&E from Low power 🔬
#PathResidents #SurgPath #pathtwitter #pathology
BrownPathology's tweet image. A 62M presents with a 3-month history of dry cough and vague 'heaviness' in his chest. Imaging reveals a 5.2 cm, well-circumscribed, encapsulated mass in the anterior mediastinum.

 Let's look at the H&E from Low power 🔬
#PathResidents #SurgPath #pathtwitter #pathology
BrownPathology's tweet image. A 62M presents with a 3-month history of dry cough and vague 'heaviness' in his chest. Imaging reveals a 5.2 cm, well-circumscribed, encapsulated mass in the anterior mediastinum.

 Let's look at the H&E from Low power 🔬
#PathResidents #SurgPath #pathtwitter #pathology

Bile: my favorite "special stain" if HCC is in the differential. Bonus points if you can tell me the predominant growth pattern here. #pathresidents

Dr_Brian_Cox's tweet image. Bile: my favorite "special stain" if HCC is in the differential. 

Bonus points if you can tell me the predominant growth pattern here.

#pathresidents

first-year path resident grosser🔪putting through tissue section WAY too big for the cassette #surgpath #pathresidents

slusagar's tweet image. first-year path resident grosser🔪putting through tissue section WAY too big for the cassette 

#surgpath #pathresidents

Skin biopsy!!! What is diagnosis??? What charecteristic finding is observed here??? #pathresidents #pathx #pathtwitter #learnpathologywithmanju #dermatopathology @MunchManju95

ManjulaNavamani's tweet image. Skin biopsy!!!
What is diagnosis???
What charecteristic finding is observed here???
#pathresidents
#pathx #pathtwitter
#learnpathologywithmanju 
#dermatopathology
@MunchManju95
ManjulaNavamani's tweet image. Skin biopsy!!!
What is diagnosis???
What charecteristic finding is observed here???
#pathresidents
#pathx #pathtwitter
#learnpathologywithmanju 
#dermatopathology
@MunchManju95

Skin biopsy!!! Comment your diagnosis... What is the charecteristic finding observed here??? #pathresidents #pathx #pathtwitter #dermatopathology #learnpathologywithmanju @MunchManju95

ManjulaNavamani's tweet image. Skin biopsy!!!
Comment your diagnosis...
What is the charecteristic finding observed here???
#pathresidents
#pathx #pathtwitter
#dermatopathology
#learnpathologywithmanju 
@MunchManju95

Dr. Kilic is representing @UofsouthAlabama at @AACR 2026. #PathX #Pathresidents #MedED @Pathway2Path

Had a chance to present our research @AACR 2026, and connected with different groups of scientists. Big thanks to @PathologyUSAH to support me to made this possible. #aacr

Pathway2Path's tweet image. Had a chance to present our research @AACR 2026, and connected with different groups of scientists. 

Big thanks to @PathologyUSAH to support me to made this possible. #aacr
Pathway2Path's tweet image. Had a chance to present our research @AACR 2026, and connected with different groups of scientists. 

Big thanks to @PathologyUSAH to support me to made this possible. #aacr
Pathway2Path's tweet image. Had a chance to present our research @AACR 2026, and connected with different groups of scientists. 

Big thanks to @PathologyUSAH to support me to made this possible. #aacr


#heamtology #pathresidents #pathtwitter #pathx #specialstains #bonemarrow #learnpathologywithmanju Learn pathology with funnn!!! as well Reticulin and grading bone marrow fibrosis... @MunchManju95

ManjulaNavamani's tweet image. #heamtology
#pathresidents
#pathtwitter #pathx 
#specialstains 
#bonemarrow 
#learnpathologywithmanju 
Learn pathology with funnn!!! as well
Reticulin and grading bone marrow fibrosis...
@MunchManju95
ManjulaNavamani's tweet image. #heamtology
#pathresidents
#pathtwitter #pathx 
#specialstains 
#bonemarrow 
#learnpathologywithmanju 
Learn pathology with funnn!!! as well
Reticulin and grading bone marrow fibrosis...
@MunchManju95

Dr. @Babker_Path representing @UofSouthAlabama at the annual meeting of the American Association of Cancer Research. #PathX #Pathresidents #FutureScholars #MedEd @AACR

Grateful to be presenting our work at #AACR2026 and reconnecting with outstanding mentors along the way. A special highlight was meeting with Dr. Singh, former USA Health Research Director. Thanks to all the mentors and colleagues for the guidance and support. @PathologyUSAH

Babker_Path's tweet image. Grateful to be presenting our work at #AACR2026 and reconnecting with outstanding mentors along the way.  

A special highlight was meeting with Dr. Singh, former USA Health Research Director. 
Thanks to all the mentors and colleagues for the guidance and support.  @PathologyUSAH
Babker_Path's tweet image. Grateful to be presenting our work at #AACR2026 and reconnecting with outstanding mentors along the way.  

A special highlight was meeting with Dr. Singh, former USA Health Research Director. 
Thanks to all the mentors and colleagues for the guidance and support.  @PathologyUSAH


This is the best board review, in my opinion #pathboards #pathology #pathresidents


Yayyy great job by all the presenters and speakers at the Pennsylvania association of Pathology meeting! @PAPathologists @PennPathLabMed 😁 #pathx #pathtwitter #pathresidents

VickeryJasmine's tweet image. Yayyy great job by all the presenters and speakers at the Pennsylvania association of Pathology meeting!  @PAPathologists @PennPathLabMed 😁 #pathx #pathtwitter #pathresidents
VickeryJasmine's tweet image. Yayyy great job by all the presenters and speakers at the Pennsylvania association of Pathology meeting!  @PAPathologists @PennPathLabMed 😁 #pathx #pathtwitter #pathresidents
VickeryJasmine's tweet image. Yayyy great job by all the presenters and speakers at the Pennsylvania association of Pathology meeting!  @PAPathologists @PennPathLabMed 😁 #pathx #pathtwitter #pathresidents
VickeryJasmine's tweet image. Yayyy great job by all the presenters and speakers at the Pennsylvania association of Pathology meeting!  @PAPathologists @PennPathLabMed 😁 #pathx #pathtwitter #pathresidents

#Pathresidents #Neuropath #Pathtwitter Exciting news: @BrownPathology has an opening for our 2-year, ACMGE-accredited neuropathology (#neuropath) Fellowship (2026-2028)! Come train in a leading, high-volume academic center with advanced, personalized instruction by

BrownPathology's tweet image. #Pathresidents #Neuropath #Pathtwitter

Exciting news: @BrownPathology has an opening for our 2-year, ACMGE-accredited neuropathology (#neuropath) Fellowship (2026-2028)!

Come train in a leading, high-volume academic center with advanced, personalized instruction by
BrownPathology's tweet image. #Pathresidents #Neuropath #Pathtwitter

Exciting news: @BrownPathology has an opening for our 2-year, ACMGE-accredited neuropathology (#neuropath) Fellowship (2026-2028)!

Come train in a leading, high-volume academic center with advanced, personalized instruction by
BrownPathology's tweet image. #Pathresidents #Neuropath #Pathtwitter

Exciting news: @BrownPathology has an opening for our 2-year, ACMGE-accredited neuropathology (#neuropath) Fellowship (2026-2028)!

Come train in a leading, high-volume academic center with advanced, personalized instruction by
BrownPathology's tweet image. #Pathresidents #Neuropath #Pathtwitter

Exciting news: @BrownPathology has an opening for our 2-year, ACMGE-accredited neuropathology (#neuropath) Fellowship (2026-2028)!

Come train in a leading, high-volume academic center with advanced, personalized instruction by

Hey #pathresidents! Come see what fellowships are offered in the Division of Pathology and Lab Medicine and learn why @MDAndersonnews is the place to take your training to the next level! #pathology #labmed #mdanderson

lindasongMD's tweet image. Hey #pathresidents! Come see what fellowships are offered in the Division of Pathology and Lab Medicine and learn why @MDAndersonnews is the place to take your training to the next level! #pathology #labmed #mdanderson

Meet Dr. Kim👋/PGY-3 Passionate about surgical pathology, clinicopathologic correlation and research. Fellowship plans; Surgical pathology at Houston Methodist. Outside of work she enjoys travel, cooking & food exploration, movies & music. #Pathology #Pathx #PathResidents

PathologyUSAH's tweet image. Meet Dr. Kim👋/PGY-3 
Passionate about surgical pathology, clinicopathologic correlation and research.
Fellowship plans;  Surgical pathology at Houston Methodist.  
Outside of work  she enjoys travel, cooking & food exploration, movies & music.

#Pathology #Pathx #PathResidents
PathologyUSAH's tweet image. Meet Dr. Kim👋/PGY-3 
Passionate about surgical pathology, clinicopathologic correlation and research.
Fellowship plans;  Surgical pathology at Houston Methodist.  
Outside of work  she enjoys travel, cooking & food exploration, movies & music.

#Pathology #Pathx #PathResidents

FNA lymph node What are findings observed here?? Your diagnosis? #pathresidents #cytology #learnpathwithmanju @ManjulaNavamani

MunchManju95's tweet image. FNA lymph node 
What are findings observed here??
Your diagnosis?
#pathresidents 
#cytology 
#learnpathwithmanju
 
@ManjulaNavamani
MunchManju95's tweet image. FNA lymph node 
What are findings observed here??
Your diagnosis?
#pathresidents 
#cytology 
#learnpathwithmanju
 
@ManjulaNavamani

Update in #HemePath - Intranodal Palisaded Myofibroblastoma; 15 images; check it out on the website under Hematopathology ➡️Lymph Node➡️Spindle & Vascular Proliferations #pathresidents #pathology

WebPathology's tweet image. Update in #HemePath - Intranodal Palisaded Myofibroblastoma; 15 images; check it out on the website under Hematopathology ➡️Lymph Node➡️Spindle & Vascular Proliferations #pathresidents #pathology

Preparing for board certification? The new ABPath Candidate Resource Guide brings together key exam prep resources, planning info, and policies in one place. 🔗Access the guide: bit.ly/4silvw0 #pathboards #pathresidents

TheABPath's tweet image. Preparing for board certification? 
The new ABPath Candidate Resource Guide brings together key exam prep resources, planning info, and policies in one place. 🔗Access the guide: bit.ly/4silvw0

#pathboards #pathresidents

#Gynpath #Surgpath #pathresidents #Pathtwitter Some images of an endometrioid-type adenocarcinoma of the ovary in a 60-year-old woman. Mismatch repair proteins MLH1 and PMS2 show loss of staining (note negatively-staining tumor cell nuclei, with positively-stained stromal

BrownPathology's tweet image. #Gynpath #Surgpath #pathresidents 
#Pathtwitter

Some images of an endometrioid-type adenocarcinoma of the ovary in a 60-year-old woman.
 
Mismatch repair proteins MLH1 and PMS2 show loss of staining (note negatively-staining tumor cell nuclei, with positively-stained stromal
BrownPathology's tweet image. #Gynpath #Surgpath #pathresidents 
#Pathtwitter

Some images of an endometrioid-type adenocarcinoma of the ovary in a 60-year-old woman.
 
Mismatch repair proteins MLH1 and PMS2 show loss of staining (note negatively-staining tumor cell nuclei, with positively-stained stromal
BrownPathology's tweet image. #Gynpath #Surgpath #pathresidents 
#Pathtwitter

Some images of an endometrioid-type adenocarcinoma of the ovary in a 60-year-old woman.
 
Mismatch repair proteins MLH1 and PMS2 show loss of staining (note negatively-staining tumor cell nuclei, with positively-stained stromal
BrownPathology's tweet image. #Gynpath #Surgpath #pathresidents 
#Pathtwitter

Some images of an endometrioid-type adenocarcinoma of the ovary in a 60-year-old woman.
 
Mismatch repair proteins MLH1 and PMS2 show loss of staining (note negatively-staining tumor cell nuclei, with positively-stained stromal

It makes me cringe to see someone using a razor blade to slice open an organ which is held in their unprotected hand. It is so easy to slip. Use a cutting board! (As a resident, I cut myself multiple times, it's a miracle I didn't get hepatitis.) #Pathresidents


No results for "#pathresidents"

Cystic lung tissue from a 12-month-old. Diagnosis? A) Lymphangioleiomyomatosis B) Pleuropulmonary blastoma C) Pulmonary blastoma #pulmpath #pathresidents #pathresidents #pedipath

DrCycloPath's tweet image. Cystic lung tissue from a 12-month-old. Diagnosis?
A) Lymphangioleiomyomatosis
B) Pleuropulmonary blastoma
C) Pulmonary blastoma
#pulmpath #pathresidents #pathresidents #pedipath

#Pathresidents #Surgpath #breastpath #pathology An incidental finding in a reduction mammoplasty in a 50 year old woman with no significant history. Read on for a poll and a quick discussion.

BrownPathology's tweet image. #Pathresidents #Surgpath #breastpath #pathology 

An incidental finding in a reduction mammoplasty in a 50 year old woman with no significant history.  

Read on for a poll and a quick discussion.
BrownPathology's tweet image. #Pathresidents #Surgpath #breastpath #pathology 

An incidental finding in a reduction mammoplasty in a 50 year old woman with no significant history.  

Read on for a poll and a quick discussion.
BrownPathology's tweet image. #Pathresidents #Surgpath #breastpath #pathology 

An incidental finding in a reduction mammoplasty in a 50 year old woman with no significant history.  

Read on for a poll and a quick discussion.
BrownPathology's tweet image. #Pathresidents #Surgpath #breastpath #pathology 

An incidental finding in a reduction mammoplasty in a 50 year old woman with no significant history.  

Read on for a poll and a quick discussion.

#pathresidents: thoughts on interpretation of this study from a #GUpath renal mass bx? positive? negative? equivocal?

slusagar's tweet image. #pathresidents:

thoughts on interpretation of this study from a #GUpath renal mass bx?

positive?  negative?  equivocal?

We have an unexpected opening for a 2024-25 General Surgical Pathology fellowship with potential for focused sub-specialization. Wonderful opportunity! We are also accepting applications for 2025-26. For more info, visit: bit.ly/41legac #PathTwitter #PathResidents

NU_Pathology's tweet image. We have an unexpected opening for a 2024-25 General Surgical Pathology fellowship with potential for focused sub-specialization. Wonderful opportunity! We are also accepting applications for 2025-26. For more info, visit: bit.ly/41legac #PathTwitter #PathResidents

#Breastpath #Surgpath #Pathresidents #Pathtwitter Resection of a suspicious breast mass in a 60 year old woman. Take a look at some images, place your vote, and read some discussion.

BrownPathology's tweet image. #Breastpath #Surgpath #Pathresidents #Pathtwitter 

Resection of a suspicious breast mass in a 60 year old woman.  Take a look at some images, place your vote, and read some discussion.
BrownPathology's tweet image. #Breastpath #Surgpath #Pathresidents #Pathtwitter 

Resection of a suspicious breast mass in a 60 year old woman.  Take a look at some images, place your vote, and read some discussion.
BrownPathology's tweet image. #Breastpath #Surgpath #Pathresidents #Pathtwitter 

Resection of a suspicious breast mass in a 60 year old woman.  Take a look at some images, place your vote, and read some discussion.
BrownPathology's tweet image. #Breastpath #Surgpath #Pathresidents #Pathtwitter 

Resection of a suspicious breast mass in a 60 year old woman.  Take a look at some images, place your vote, and read some discussion.

40s F, gastric erythema. 🔬What's your diagnostic impression? What are some common etiologies of this injury pattern and what would be your next step in the work-up of such a case? #GIPath #PathTwitter #pathresidents #pathfellows

MirunaPopescu13's tweet image. 40s F, gastric erythema.

🔬What's your diagnostic impression? What are some common etiologies of this injury pattern and what would be your next step in the work-up of such a case?

#GIPath #PathTwitter #pathresidents #pathfellows
MirunaPopescu13's tweet image. 40s F, gastric erythema.

🔬What's your diagnostic impression? What are some common etiologies of this injury pattern and what would be your next step in the work-up of such a case?

#GIPath #PathTwitter #pathresidents #pathfellows
MirunaPopescu13's tweet image. 40s F, gastric erythema.

🔬What's your diagnostic impression? What are some common etiologies of this injury pattern and what would be your next step in the work-up of such a case?

#GIPath #PathTwitter #pathresidents #pathfellows
MirunaPopescu13's tweet image. 40s F, gastric erythema.

🔬What's your diagnostic impression? What are some common etiologies of this injury pattern and what would be your next step in the work-up of such a case?

#GIPath #PathTwitter #pathresidents #pathfellows

#GUpath external re-review🔬of penile lesion in a patient with a h/o penile cancer at this site (s/p partial resection a year back) recurrent cancer? dysplasia? negative for malignancy? #pathresidents: what say you?🤔

slusagar's tweet image. #GUpath external re-review🔬of penile lesion in a patient with a h/o penile cancer at this site (s/p partial resection a year back)

recurrent cancer?  dysplasia? negative for malignancy?

#pathresidents:  what say you?🤔
slusagar's tweet image. #GUpath external re-review🔬of penile lesion in a patient with a h/o penile cancer at this site (s/p partial resection a year back)

recurrent cancer?  dysplasia? negative for malignancy?

#pathresidents:  what say you?🤔
slusagar's tweet image. #GUpath external re-review🔬of penile lesion in a patient with a h/o penile cancer at this site (s/p partial resection a year back)

recurrent cancer?  dysplasia? negative for malignancy?

#pathresidents:  what say you?🤔

#GIPath #Surgpath #Pathresidents #Pathrwitter 70 year old man with a small bowel biopsy. Take a look, cast a vote, and read for some discussion slides.

BrownPathology's tweet image. #GIPath #Surgpath #Pathresidents
#Pathrwitter

70 year old man with a small bowel biopsy.  Take a look, cast a vote, and read for some discussion slides.
BrownPathology's tweet image. #GIPath #Surgpath #Pathresidents
#Pathrwitter

70 year old man with a small bowel biopsy.  Take a look, cast a vote, and read for some discussion slides.

#GUpath for the #pathresidents: can you provide #pathstory ?

slusagar's tweet image. #GUpath for the #pathresidents:

can you provide #pathstory ?
slusagar's tweet image. #GUpath for the #pathresidents:

can you provide #pathstory ?
slusagar's tweet image. #GUpath for the #pathresidents:

can you provide #pathstory ?

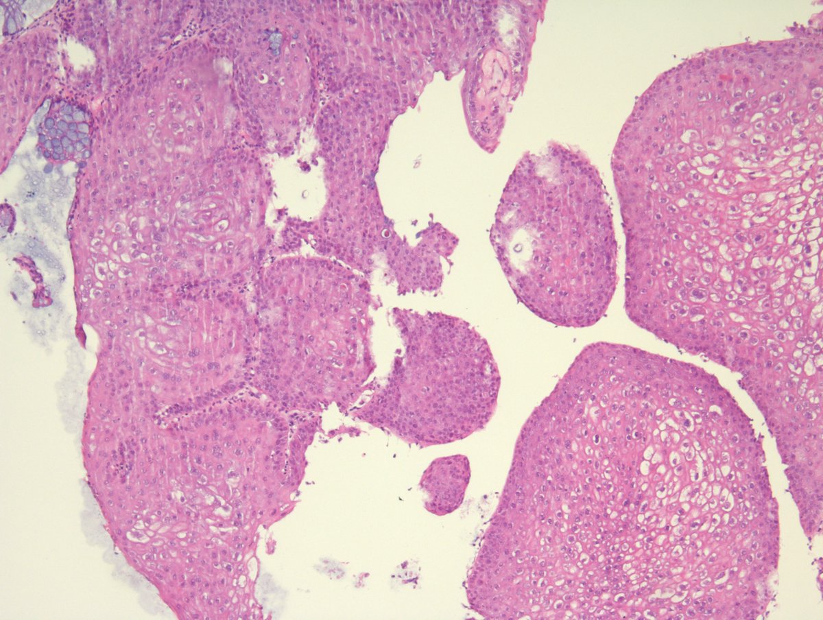
#PathResidents #PathTwitter #PathX Struggling to distinguish between lepidic adeno vs. reactive epithelium on frozens? Look at the junction between normal lung and lesion- Adenocarcinomas show an abrupt transition! I found this page kikoxp.com/posts/20157/pu… by @smlungpathguy

DrSwatiBhardwaj's tweet image. #PathResidents #PathTwitter #PathX Struggling to distinguish between lepidic adeno vs. reactive epithelium on frozens? Look at the junction between normal lung and lesion- Adenocarcinomas show an abrupt transition! I found this page kikoxp.com/posts/20157/pu… by @smlungpathguy

#Pathresidents #GIPath #Surgpath A resection from a 2cm pedunculated polyp found on screening colonoscopy in a 60 year old man: See the thread for a poll, and some short discussion slides.

BrownPathology's tweet image. #Pathresidents #GIPath #Surgpath 

A resection from a 2cm pedunculated polyp found on screening colonoscopy in a 60 year old man:

See the thread for a poll, and some short discussion slides.

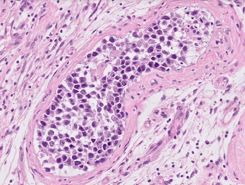
Radical orchidectomy Intratubular embryonal carcinoma with necrosis (in images) There was adjacent mixed germ cell tumour including embryonal carcinoma #PathTwitter #Pathology #PathResidents #GUPath

DrLaurenceGalea's tweet image. Radical orchidectomy

Intratubular embryonal carcinoma with necrosis (in images)

There was adjacent mixed germ cell tumour including embryonal carcinoma

#PathTwitter #Pathology #PathResidents #GUPath
DrLaurenceGalea's tweet image. Radical orchidectomy

Intratubular embryonal carcinoma with necrosis (in images)

There was adjacent mixed germ cell tumour including embryonal carcinoma

#PathTwitter #Pathology #PathResidents #GUPath

first-year path resident grosser🔪putting through tissue section WAY too big for the cassette #surgpath #pathresidents

slusagar's tweet image. first-year path resident grosser🔪putting through tissue section WAY too big for the cassette 

#surgpath #pathresidents

Deficiency in ___ repair can be associated with the __ pattern of ovarian high grade serous carcinoma. A) mismatch B) homologous recombination #gynpath #pathresidents #PathTwitter #pathology

DrCycloPath's tweet image. Deficiency in ___ repair can be associated with the __ pattern of ovarian high grade serous carcinoma.
A) mismatch
B) homologous recombination
#gynpath #pathresidents #PathTwitter  #pathology
DrCycloPath's tweet image. Deficiency in ___ repair can be associated with the __ pattern of ovarian high grade serous carcinoma.
A) mismatch
B) homologous recombination
#gynpath #pathresidents #PathTwitter  #pathology
DrCycloPath's tweet image. Deficiency in ___ repair can be associated with the __ pattern of ovarian high grade serous carcinoma.
A) mismatch
B) homologous recombination
#gynpath #pathresidents #PathTwitter  #pathology

Weekend fun. When you ask AI-Chatgpt to create an image of Chondrodermatitis nodularis helis (CNH), I guess it focused too much on the "nodularis" part!🤣 #dermpath #AI #pathresidents #dermresidents @MarcelaSaebL @et565 @tonitatirado @TristanRutland7 @mccalmo @david_terrano

HENRYY_MD's tweet image. Weekend fun. When you ask AI-Chatgpt to create an image of Chondrodermatitis nodularis helis (CNH), I guess it focused too much on the "nodularis" part!🤣
#dermpath #AI  #pathresidents #dermresidents
@MarcelaSaebL @et565 @tonitatirado @TristanRutland7 @mccalmo @david_terrano
HENRYY_MD's tweet image. Weekend fun. When you ask AI-Chatgpt to create an image of Chondrodermatitis nodularis helis (CNH), I guess it focused too much on the "nodularis" part!🤣
#dermpath #AI  #pathresidents #dermresidents
@MarcelaSaebL @et565 @tonitatirado @TristanRutland7 @mccalmo @david_terrano

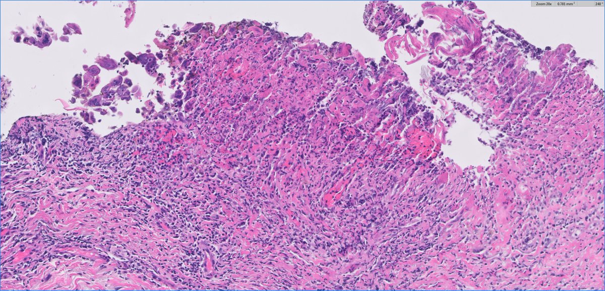
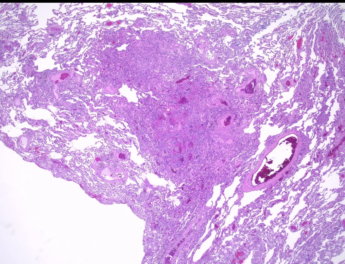
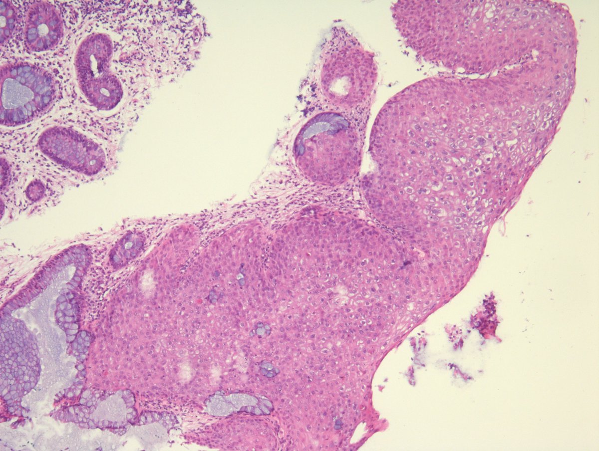
#pulmpath #lungpath #pathresidents #surgpath A 50 year old man with a lengthy smoking history and kidney transplant history presents with a lung nodule: Poll and short discussion in reply.

BrownPathology's tweet image. #pulmpath #lungpath #pathresidents #surgpath 

A 50 year old man with a lengthy smoking history and kidney transplant history presents with a lung nodule:

Poll and short discussion in reply.
BrownPathology's tweet image. #pulmpath #lungpath #pathresidents #surgpath 

A 50 year old man with a lengthy smoking history and kidney transplant history presents with a lung nodule:

Poll and short discussion in reply.
BrownPathology's tweet image. #pulmpath #lungpath #pathresidents #surgpath 

A 50 year old man with a lengthy smoking history and kidney transplant history presents with a lung nodule:

Poll and short discussion in reply.

Fallopian tube. Diagnosis? A) Adenomyosis B) Atypical Polypoid Adenomyoma (APA) C) Adenomatoid Tumor D) Adenofibroma #GynPath #BSTPath #PathResidents #PathTwitter

DrCycloPath's tweet image. Fallopian tube. Diagnosis? 
A) Adenomyosis 
B) Atypical Polypoid Adenomyoma (APA) 
C) Adenomatoid Tumor 
D) Adenofibroma  
#GynPath #BSTPath #PathResidents #PathTwitter
DrCycloPath's tweet image. Fallopian tube. Diagnosis? 
A) Adenomyosis 
B) Atypical Polypoid Adenomyoma (APA) 
C) Adenomatoid Tumor 
D) Adenofibroma  
#GynPath #BSTPath #PathResidents #PathTwitter
DrCycloPath's tweet image. Fallopian tube. Diagnosis? 
A) Adenomyosis 
B) Atypical Polypoid Adenomyoma (APA) 
C) Adenomatoid Tumor 
D) Adenofibroma  
#GynPath #BSTPath #PathResidents #PathTwitter
DrCycloPath's tweet image. Fallopian tube. Diagnosis? 
A) Adenomyosis 
B) Atypical Polypoid Adenomyoma (APA) 
C) Adenomatoid Tumor 
D) Adenofibroma  
#GynPath #BSTPath #PathResidents #PathTwitter

TURP for BPH Anyone has seen these before ? Thought about gelatin microspheres/similar but only history is prior intravesical BCG Appreciate any opinions #PathTwitter #PathResidents #GUPath #Pathology #Prostate

DrLaurenceGalea's tweet image. TURP for BPH

Anyone has seen these before ?

Thought about gelatin microspheres/similar but only history is prior intravesical BCG

Appreciate any opinions 

#PathTwitter #PathResidents #GUPath #Pathology #Prostate
DrLaurenceGalea's tweet image. TURP for BPH

Anyone has seen these before ?

Thought about gelatin microspheres/similar but only history is prior intravesical BCG

Appreciate any opinions 

#PathTwitter #PathResidents #GUPath #Pathology #Prostate
DrLaurenceGalea's tweet image. TURP for BPH

Anyone has seen these before ?

Thought about gelatin microspheres/similar but only history is prior intravesical BCG

Appreciate any opinions 

#PathTwitter #PathResidents #GUPath #Pathology #Prostate
DrLaurenceGalea's tweet image. TURP for BPH

Anyone has seen these before ?

Thought about gelatin microspheres/similar but only history is prior intravesical BCG

Appreciate any opinions 

#PathTwitter #PathResidents #GUPath #Pathology #Prostate

Timeline for applying for jobs in Pathology, shared by Dr. Bronwyn Bryant! Join the session now #pathresidents

DrSwatiBhardwaj's tweet image. Timeline for applying for jobs in Pathology, shared by Dr. Bronwyn Bryant! Join the session now #pathresidents

#GIPath quiz for the weekend. This is a GI manifestation of a systemic disease. Q1: What's the diagnosis? Q2: What's the stain (image 3)? Q3: What's a good indirect sign of this diagnosis? #PathTwitter #pathresidents #pathfellows

MirunaPopescu13's tweet image. #GIPath quiz for the weekend. This is a GI manifestation of a systemic disease.
Q1: What's the diagnosis?
Q2: What's the stain (image 3)?
Q3: What's a good indirect sign of this diagnosis?

#PathTwitter #pathresidents #pathfellows
MirunaPopescu13's tweet image. #GIPath quiz for the weekend. This is a GI manifestation of a systemic disease.
Q1: What's the diagnosis?
Q2: What's the stain (image 3)?
Q3: What's a good indirect sign of this diagnosis?

#PathTwitter #pathresidents #pathfellows
MirunaPopescu13's tweet image. #GIPath quiz for the weekend. This is a GI manifestation of a systemic disease.
Q1: What's the diagnosis?
Q2: What's the stain (image 3)?
Q3: What's a good indirect sign of this diagnosis?

#PathTwitter #pathresidents #pathfellows

Loading...

Something went wrong.


Something went wrong.