#pathosomes Suchergebnisse

Thanks @arkanalabs for showing us how silver can effect the kidney. Associated with Dx: Argyria. #Pathosomes

What is your diagnosis in a patient with a particular “gray” appearance to their complexion? #kidneypath #pathtwitter

arkanalabs's tweet image. What is your diagnosis in a patient with a particular “gray” appearance to their complexion? #kidneypath #pathtwitter


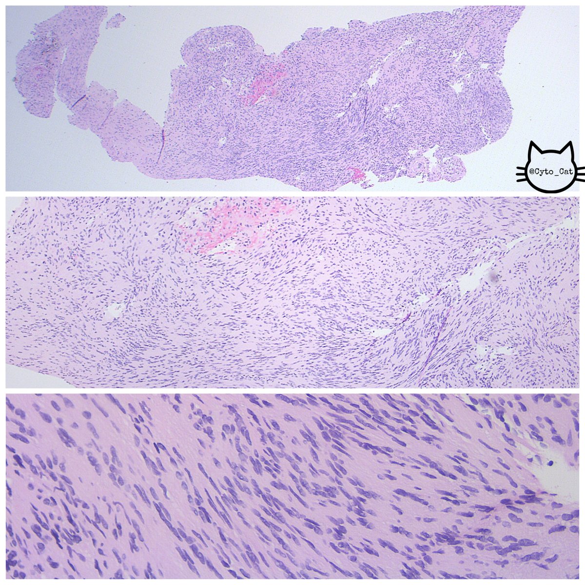
Nice cyto w/u and Dx of schwannoma from @USFpathology #Pathosomes #TwitterPath #Cytology #Neuropath

M/60s, 2.2cm well circumscribed soft tissue mass found during workup of L shoulder rotator cuff tear. Mass remained grossly stable for years. Patient is otherwise asymptomatic. #cytopath #histology #PathTwitter #pathology #MedTwitter

USFpathology's tweet image. M/60s, 2.2cm well circumscribed soft tissue mass found during workup of L shoulder rotator cuff tear. Mass remained grossly stable for years. Patient is otherwise asymptomatic. #cytopath #histology #PathTwitter #pathology #MedTwitter
USFpathology's tweet image. M/60s, 2.2cm well circumscribed soft tissue mass found during workup of L shoulder rotator cuff tear. Mass remained grossly stable for years. Patient is otherwise asymptomatic. #cytopath #histology #PathTwitter #pathology #MedTwitter
USFpathology's tweet image. M/60s, 2.2cm well circumscribed soft tissue mass found during workup of L shoulder rotator cuff tear. Mass remained grossly stable for years. Patient is otherwise asymptomatic. #cytopath #histology #PathTwitter #pathology #MedTwitter


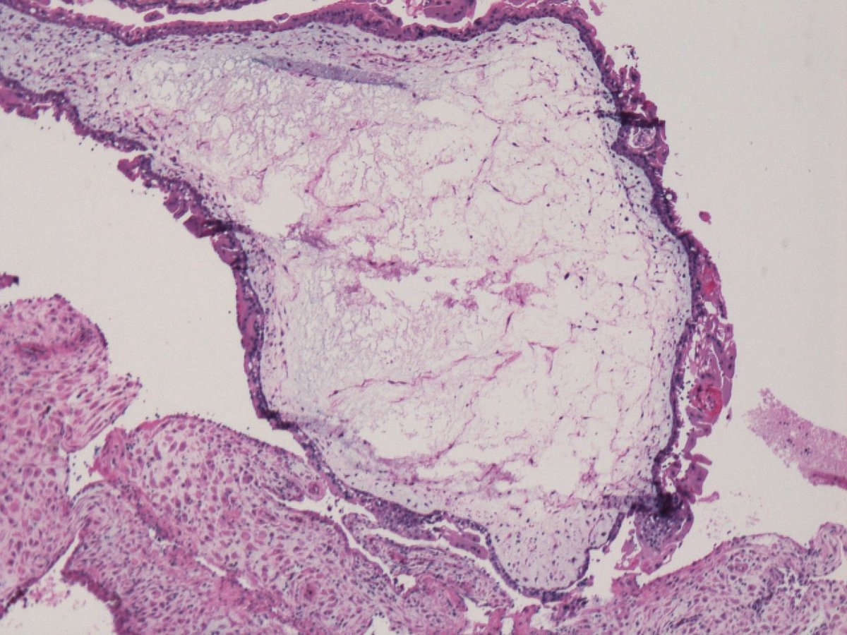
1. cistern formation 2. p57 negative in the villi, but positive in intervillous trophoblast (internal control). Complete mole is paternally derived and partial has maternal component, so p57 positive #pathtwitter #pathresidents

israhkhan's tweet image. 1. cistern formation
2. p57 negative in the villi, but positive in intervillous trophoblast (internal control).
Complete mole is paternally derived and partial has maternal component, so p57 positive #pathtwitter #pathresidents
israhkhan's tweet image. 1. cistern formation
2. p57 negative in the villi, but positive in intervillous trophoblast (internal control).
Complete mole is paternally derived and partial has maternal component, so p57 positive #pathtwitter #pathresidents
israhkhan's tweet image. 1. cistern formation
2. p57 negative in the villi, but positive in intervillous trophoblast (internal control).
Complete mole is paternally derived and partial has maternal component, so p57 positive #pathtwitter #pathresidents


Thanks @LaraHarikMD for sharing Carcinocarcinoma w/ MMMT features. #Pathosomes #SurgPath

71 year old with post menopausal bleeding. Endometrial Biopsy: what is your diagnosis? #GYNPATH #PathTwitter #PATHRes

LaraHarikMD's tweet image. 71 year old with post menopausal bleeding.

Endometrial Biopsy: what is your diagnosis?

#GYNPATH #PathTwitter #PATHRes
LaraHarikMD's tweet image. 71 year old with post menopausal bleeding.

Endometrial Biopsy: what is your diagnosis?

#GYNPATH #PathTwitter #PATHRes
LaraHarikMD's tweet image. 71 year old with post menopausal bleeding.

Endometrial Biopsy: what is your diagnosis?

#GYNPATH #PathTwitter #PATHRes


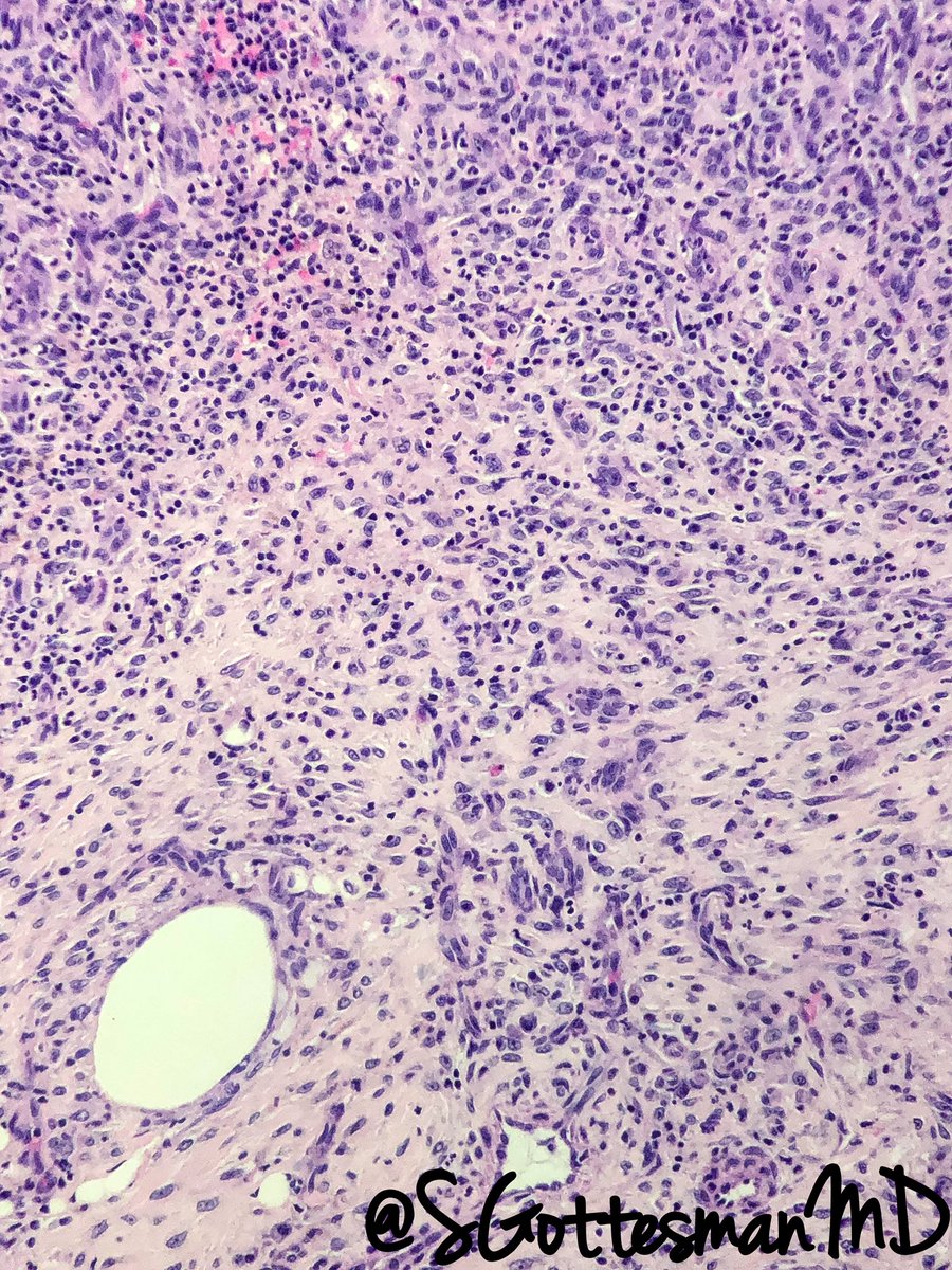
Great example of pyoderma gangrenosum (PG) from @SGottesmanMD #Dermatology #TwitterPath #Pathosomes

Pyoderma Gangrenosum -Pustules that progress to Painful ulcers -Rolled violaceous or hyperpigmented borders Pathergy -fascinating phenomenon (dermal injury, from PIV 3rd pic) Dx of exclusion: special stains, tissue cultures & deepers to exclude other causes #dermpath #SilviPearls

SGottesmanMD's tweet image. Pyoderma Gangrenosum
-Pustules that progress to Painful ulcers
-Rolled violaceous or hyperpigmented borders
Pathergy -fascinating phenomenon (dermal injury, from PIV 3rd pic)
Dx of exclusion: special stains, tissue cultures & deepers to exclude other causes
#dermpath #SilviPearls
SGottesmanMD's tweet image. Pyoderma Gangrenosum
-Pustules that progress to Painful ulcers
-Rolled violaceous or hyperpigmented borders
Pathergy -fascinating phenomenon (dermal injury, from PIV 3rd pic)
Dx of exclusion: special stains, tissue cultures & deepers to exclude other causes
#dermpath #SilviPearls
SGottesmanMD's tweet image. Pyoderma Gangrenosum
-Pustules that progress to Painful ulcers
-Rolled violaceous or hyperpigmented borders
Pathergy -fascinating phenomenon (dermal injury, from PIV 3rd pic)
Dx of exclusion: special stains, tissue cultures & deepers to exclude other causes
#dermpath #SilviPearls
SGottesmanMD's tweet image. Pyoderma Gangrenosum
-Pustules that progress to Painful ulcers
-Rolled violaceous or hyperpigmented borders
Pathergy -fascinating phenomenon (dermal injury, from PIV 3rd pic)
Dx of exclusion: special stains, tissue cultures & deepers to exclude other causes
#dermpath #SilviPearls


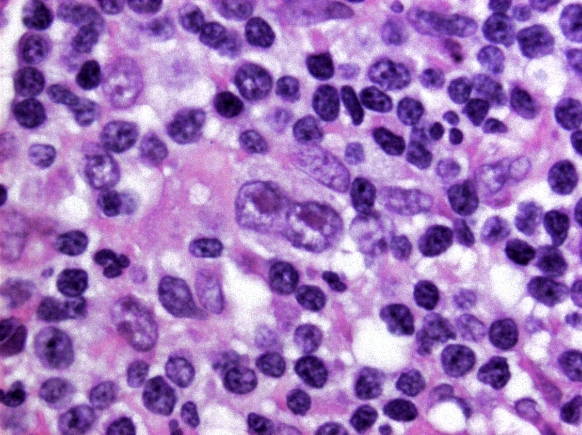
Thanks @Hemepathguy for excellent example of a case you may order CD30, CD15, CD79a, and EBV on. #pathology #oncology #pathosomes

#hemepath Hodgkin cell is looking at you!

hemepathguy's tweet image. #hemepath Hodgkin cell is looking at you!


Thanks @DrBonita16 for this "Tricky" specimen! #pathology #pathosomes #MedTwitter #infectiousdisease

Hellow #pathtwitterfamily M always thankful to you for the beautiful cases and valuable opinions...I feel bad as I can't post such cases...Here is one from whatever I get to see under my scope @atman_ci @Venkateshgilly2 @pepeheffernan @DrGeeONE @kriyer68 @pembeoltulu

DrBonita16's tweet image. Hellow #pathtwitterfamily 
M always thankful to you for the beautiful cases and valuable opinions...I feel bad as I can't  post such cases...Here is one from whatever I get to see under my scope  @atman_ci @Venkateshgilly2 @pepeheffernan @DrGeeONE @kriyer68 @pembeoltulu


Thanks @Hemepathguy for excellent example of a case you may order CD30, CD15, CD79a, and EBV on. #pathology #oncology #pathosomes

#hemepath Hodgkin cell is looking at you!

hemepathguy's tweet image. #hemepath Hodgkin cell is looking at you!


1. cistern formation 2. p57 negative in the villi, but positive in intervillous trophoblast (internal control). Complete mole is paternally derived and partial has maternal component, so p57 positive #pathtwitter #pathresidents

israhkhan's tweet image. 1. cistern formation
2. p57 negative in the villi, but positive in intervillous trophoblast (internal control).
Complete mole is paternally derived and partial has maternal component, so p57 positive #pathtwitter #pathresidents
israhkhan's tweet image. 1. cistern formation
2. p57 negative in the villi, but positive in intervillous trophoblast (internal control).
Complete mole is paternally derived and partial has maternal component, so p57 positive #pathtwitter #pathresidents
israhkhan's tweet image. 1. cistern formation
2. p57 negative in the villi, but positive in intervillous trophoblast (internal control).
Complete mole is paternally derived and partial has maternal component, so p57 positive #pathtwitter #pathresidents


Thanks @DrBonita16 for this "Tricky" specimen! #pathology #pathosomes #MedTwitter #infectiousdisease

Hellow #pathtwitterfamily M always thankful to you for the beautiful cases and valuable opinions...I feel bad as I can't post such cases...Here is one from whatever I get to see under my scope @atman_ci @Venkateshgilly2 @pepeheffernan @DrGeeONE @kriyer68 @pembeoltulu

DrBonita16's tweet image. Hellow #pathtwitterfamily 
M always thankful to you for the beautiful cases and valuable opinions...I feel bad as I can't  post such cases...Here is one from whatever I get to see under my scope  @atman_ci @Venkateshgilly2 @pepeheffernan @DrGeeONE @kriyer68 @pembeoltulu


Thanks @arkanalabs for showing us how silver can effect the kidney. Associated with Dx: Argyria. #Pathosomes

What is your diagnosis in a patient with a particular “gray” appearance to their complexion? #kidneypath #pathtwitter

arkanalabs's tweet image. What is your diagnosis in a patient with a particular “gray” appearance to their complexion? #kidneypath #pathtwitter


Great example of pyoderma gangrenosum (PG) from @SGottesmanMD #Dermatology #TwitterPath #Pathosomes

Pyoderma Gangrenosum -Pustules that progress to Painful ulcers -Rolled violaceous or hyperpigmented borders Pathergy -fascinating phenomenon (dermal injury, from PIV 3rd pic) Dx of exclusion: special stains, tissue cultures & deepers to exclude other causes #dermpath #SilviPearls

SGottesmanMD's tweet image. Pyoderma Gangrenosum
-Pustules that progress to Painful ulcers
-Rolled violaceous or hyperpigmented borders
Pathergy -fascinating phenomenon (dermal injury, from PIV 3rd pic)
Dx of exclusion: special stains, tissue cultures & deepers to exclude other causes
#dermpath #SilviPearls
SGottesmanMD's tweet image. Pyoderma Gangrenosum
-Pustules that progress to Painful ulcers
-Rolled violaceous or hyperpigmented borders
Pathergy -fascinating phenomenon (dermal injury, from PIV 3rd pic)
Dx of exclusion: special stains, tissue cultures & deepers to exclude other causes
#dermpath #SilviPearls
SGottesmanMD's tweet image. Pyoderma Gangrenosum
-Pustules that progress to Painful ulcers
-Rolled violaceous or hyperpigmented borders
Pathergy -fascinating phenomenon (dermal injury, from PIV 3rd pic)
Dx of exclusion: special stains, tissue cultures & deepers to exclude other causes
#dermpath #SilviPearls
SGottesmanMD's tweet image. Pyoderma Gangrenosum
-Pustules that progress to Painful ulcers
-Rolled violaceous or hyperpigmented borders
Pathergy -fascinating phenomenon (dermal injury, from PIV 3rd pic)
Dx of exclusion: special stains, tissue cultures & deepers to exclude other causes
#dermpath #SilviPearls


Thanks @LaraHarikMD for sharing Carcinocarcinoma w/ MMMT features. #Pathosomes #SurgPath

71 year old with post menopausal bleeding. Endometrial Biopsy: what is your diagnosis? #GYNPATH #PathTwitter #PATHRes

LaraHarikMD's tweet image. 71 year old with post menopausal bleeding.

Endometrial Biopsy: what is your diagnosis?

#GYNPATH #PathTwitter #PATHRes
LaraHarikMD's tweet image. 71 year old with post menopausal bleeding.

Endometrial Biopsy: what is your diagnosis?

#GYNPATH #PathTwitter #PATHRes
LaraHarikMD's tweet image. 71 year old with post menopausal bleeding.

Endometrial Biopsy: what is your diagnosis?

#GYNPATH #PathTwitter #PATHRes


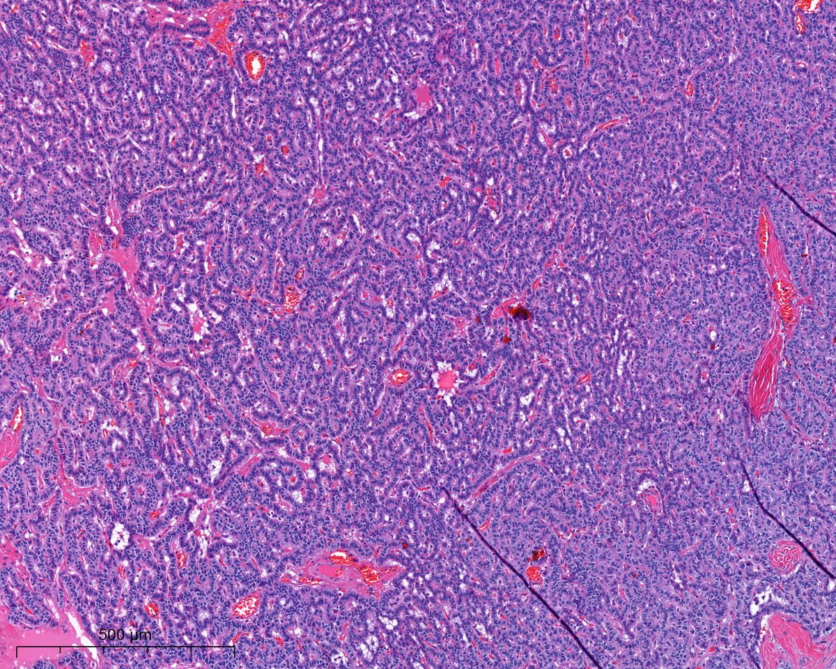
Nice cyto w/u and Dx of schwannoma from @USFpathology #Pathosomes #TwitterPath #Cytology #Neuropath

M/60s, 2.2cm well circumscribed soft tissue mass found during workup of L shoulder rotator cuff tear. Mass remained grossly stable for years. Patient is otherwise asymptomatic. #cytopath #histology #PathTwitter #pathology #MedTwitter

USFpathology's tweet image. M/60s, 2.2cm well circumscribed soft tissue mass found during workup of L shoulder rotator cuff tear. Mass remained grossly stable for years. Patient is otherwise asymptomatic. #cytopath #histology #PathTwitter #pathology #MedTwitter
USFpathology's tweet image. M/60s, 2.2cm well circumscribed soft tissue mass found during workup of L shoulder rotator cuff tear. Mass remained grossly stable for years. Patient is otherwise asymptomatic. #cytopath #histology #PathTwitter #pathology #MedTwitter
USFpathology's tweet image. M/60s, 2.2cm well circumscribed soft tissue mass found during workup of L shoulder rotator cuff tear. Mass remained grossly stable for years. Patient is otherwise asymptomatic. #cytopath #histology #PathTwitter #pathology #MedTwitter


Keine Ergebnisse für "#pathosomes"
Loading...

Something went wrong.


Something went wrong.