#rotashock search results

Don’t miss the #RotaShock @ccclivecases from last month in a tortuous calcified LAD/D1 bifur from Drs. Sharma, Kini & Mehta at @MountSinaiHeart: ccclivecases.org/rotatripsy-of-… ISI bit.ly/3rnUXue #CardioTwitter #ComplexPCI #ShockwaveIVL

ShockwaveIVL's tweet image. Don’t miss the #RotaShock @ccclivecases from last month in a tortuous calcified LAD/D1 bifur from Drs. Sharma, Kini & Mehta at @MountSinaiHeart: ccclivecases.org/rotatripsy-of-…

ISI bit.ly/3rnUXue #CardioTwitter #ComplexPCI #ShockwaveIVL

A #RotaShock-talk takes us home from the #CoronaryIVL Symposium @CCCSymposium_NY Thanks to Dr @ArthurReitman for outlining indications and reviewing cases demonstrating the synergistic effect of Rotational Atherectomy with #ShockwaveIVL. ISI bit.ly/3iEq7fC #CardioTwitter

ShockwaveIVL's tweet image. A #RotaShock-talk takes us home from the #CoronaryIVL Symposium @CCCSymposium_NY Thanks to Dr @ArthurReitman for outlining indications and reviewing cases demonstrating the synergistic effect of Rotational Atherectomy with #ShockwaveIVL.
ISI bit.ly/3iEq7fC #CardioTwitter

Drs Gautam Kumar and Rajesh Sachdeva share tips for optimizing outcomes in #RotaShock cases and explain the distinction between “Elective” and “Rescue” approaches in a highly educational Q&A discussion. Read more! ISI bit.ly/3iEq7fC #CardioTwitter blog.shockwavemedical.com/first-rotashoc…


Learn more about the #RotaShock technique from Drs Gautam Kumar & Rajesh Sachdeva! Read the Q&A where they explain the complementary relationship between #atherectomy & #ShockwaveIVL for complex calcified lesions. ISI bit.ly/3iEq7fC #CardioTwitter blog.shockwavemedical.com/first-rotashoc…


Interesting #Rotashock case in a patient with severe calcium by Dr. @AJuradoRoman.

This post is unavailable.

Another fantastic live case featuring #RotaShock in a no cross heavily calcified LAD at #SIF2022 by Dr @RizikMd with Drs Hermiller & @ziadalinyc, moderated by Drs Lasala & Parikh. #CoronaryIVL accomplished the mission with a great final result. ISI bit.ly/3iEq7fC

ShockwaveIVL's tweet image. Another fantastic live case featuring #RotaShock in a no cross heavily calcified LAD at #SIF2022 by Dr @RizikMd with Drs Hermiller & @ziadalinyc, moderated by Drs Lasala & Parikh. #CoronaryIVL accomplished the mission with a great final result.

ISI bit.ly/3iEq7fC

A TopShock-worthy #RotaShock case by Dr. Boshra Louka @Boshra3Agban using 1.5 rota & 80 pulses #ShockwaveC2 to treat a CN in the LM & LCX for a fantastic result. Make sure to submit your best nodular/eccentric case by June 15! discover.shockwavemedical.com/topshock ISI bit.ly/3iEq7fC

ShockwaveIVL's tweet image. A TopShock-worthy #RotaShock case by Dr. Boshra Louka @Boshra3Agban using 1.5 rota & 80 pulses #ShockwaveC2 to treat a CN in the LM & LCX for a fantastic result.

Make sure to submit your best nodular/eccentric case by June 15! discover.shockwavemedical.com/topshock

ISI bit.ly/3iEq7fC

Couldn’t have said it better, Dr. @RobertoSpinaMD, that calcium is next level. Outstanding results in RCA and LAD. Great use of 3.5x12 #ShockwaveC2 in congruence with atherectomy, #RotaShock at its finest. Thanks for sharing! ISI bit.ly/3rnUXue #CardioTwitter

This post is unavailable.

The house was packed and the votes are in! Wicked good debate on the approaches to nodular calcium with Drs @rwyeh @ajaykirtane @kevinjamescroce @mbmcentegart & @perc_surgeon at #TCT2022. Look at that final poll in favor of #RotaShock! ISI bit.ly/3iEq7fC #CardioTwitter

ShockwaveIVL's tweet image. The house was packed and the votes are in! Wicked good debate on the approaches to nodular calcium with Drs @rwyeh @ajaykirtane @kevinjamescroce @mbmcentegart & @perc_surgeon at #TCT2022. Look at that final poll in favor of #RotaShock!

ISI bit.ly/3iEq7fC #CardioTwitter
ShockwaveIVL's tweet image. The house was packed and the votes are in! Wicked good debate on the approaches to nodular calcium with Drs @rwyeh @ajaykirtane @kevinjamescroce @mbmcentegart & @perc_surgeon at #TCT2022. Look at that final poll in favor of #RotaShock!

ISI bit.ly/3iEq7fC #CardioTwitter
ShockwaveIVL's tweet image. The house was packed and the votes are in! Wicked good debate on the approaches to nodular calcium with Drs @rwyeh @ajaykirtane @kevinjamescroce @mbmcentegart & @perc_surgeon at #TCT2022. Look at that final poll in favor of #RotaShock!

ISI bit.ly/3iEq7fC #CardioTwitter
ShockwaveIVL's tweet image. The house was packed and the votes are in! Wicked good debate on the approaches to nodular calcium with Drs @rwyeh @ajaykirtane @kevinjamescroce @mbmcentegart & @perc_surgeon at #TCT2022. Look at that final poll in favor of #RotaShock!

ISI bit.ly/3iEq7fC #CardioTwitter

Great #RotaShock live case at #SIF2023 by Drs @AlokSharma081 @Herms2James @RizikMd & Richard Shlofmitz. Imaging with #OCT & #IVUS, @HonorHealth team used a 3.0 & 4.0 #ShockwaveC2 to treat concentric LAD Ca2+ & LM nodular Ca2+ for an excellent result! ISI bit.ly/3iEq7fc

ShockwaveIVL's tweet image. Great #RotaShock live case at #SIF2023 by Drs @AlokSharma081 @Herms2James @RizikMd & Richard Shlofmitz. Imaging with #OCT & #IVUS, @HonorHealth team used a 3.0 & 4.0 #ShockwaveC2 to treat concentric LAD Ca2+ & LM nodular Ca2+ for an excellent result!
ISI bit.ly/3iEq7fc
ShockwaveIVL's tweet image. Great #RotaShock live case at #SIF2023 by Drs @AlokSharma081 @Herms2James @RizikMd & Richard Shlofmitz. Imaging with #OCT & #IVUS, @HonorHealth team used a 3.0 & 4.0 #ShockwaveC2 to treat concentric LAD Ca2+ & LM nodular Ca2+ for an excellent result!
ISI bit.ly/3iEq7fc

Let’s Rock! Nice case at Hospital “Barone Romeo” in Patti of LAD calcified stenosis treated with #rotashock approach (burr 1.5 -> POBA 2.0 -> shockwave 3.0 -> 2 DES 3.0-3.5) and good final result!


Another great #RotaShock live case at #OPTIMALPCI2022 performed by Dr. @JoostDaemen from Thoraxcenter at Erasmus Medical Center @erasmusmcintl in Rotterdam. Excellent result! ISI bit.ly/3iEq7fC @OptimaCTO #ShockwaveIVL

ShockwaveIVL's tweet image. Another great #RotaShock live case at #OPTIMALPCI2022 performed by Dr. @JoostDaemen from Thoraxcenter at Erasmus Medical Center @erasmusmcintl in Rotterdam. Excellent result!

ISI bit.ly/3iEq7fC @OptimaCTO #ShockwaveIVL

“The complementary relationship between #rotationalatherectomy and #ShockwaveIVL seems to make intuitive sense.” Learn more from Drs Gautam Kumar & Rajesh Sachdeva about the #RotaShock technique for severe calcium. Read the Q&A! ISI bit.ly/3iEq7fC blog.shockwavemedical.com/first-rotashoc…


Congress can learn a thing or two about debate from Drs. Jennifer Tremmel @FaroucJaffer @ArasiMaran @ziadalinyc & @DrDarshanDoshi! Thoughtful, educational presentations on approaches to nodular calcium with #ShockwaveIVL and #RotaShock at #CRT2023. ISI bit.ly/3iEq7fC

ShockwaveIVL's tweet image. Congress can learn a thing or two about debate from Drs. Jennifer Tremmel @FaroucJaffer @ArasiMaran @ziadalinyc & @DrDarshanDoshi! Thoughtful, educational presentations on approaches to nodular calcium with #ShockwaveIVL and #RotaShock at #CRT2023.
ISI bit.ly/3iEq7fC
ShockwaveIVL's tweet image. Congress can learn a thing or two about debate from Drs. Jennifer Tremmel @FaroucJaffer @ArasiMaran @ziadalinyc & @DrDarshanDoshi! Thoughtful, educational presentations on approaches to nodular calcium with #ShockwaveIVL and #RotaShock at #CRT2023.
ISI bit.ly/3iEq7fC
ShockwaveIVL's tweet image. Congress can learn a thing or two about debate from Drs. Jennifer Tremmel @FaroucJaffer @ArasiMaran @ziadalinyc & @DrDarshanDoshi! Thoughtful, educational presentations on approaches to nodular calcium with #ShockwaveIVL and #RotaShock at #CRT2023.
ISI bit.ly/3iEq7fC

@ShockwaveIVL Session at #EuroPCR Amazing talk by @stefan_harb: ➡️More pulses in eccentric and nodular calcium 🔫+🔫= #RotaShock (#ShotTheCalcium)

KardiologieHH's tweet image. @ShockwaveIVL Session at #EuroPCR
Amazing talk by @stefan_harb: 
➡️More pulses in eccentric and nodular calcium

🔫+🔫= #RotaShock (#ShotTheCalcium)
KardiologieHH's tweet image. @ShockwaveIVL Session at #EuroPCR
Amazing talk by @stefan_harb: 
➡️More pulses in eccentric and nodular calcium

🔫+🔫= #RotaShock (#ShotTheCalcium)

Very nice #RotaShock live case at @SwissCTOCHIP Congress today! 85F patient with severe aortic stenosis and CAD in the LCx. Live from Cheng Hsin General Hospital in Taiwan, Drs Wei-Hsian Yin and Tien-Ping Tsao treated the LCx with rota and #ShockwaveIVL under ECMO support.

ShockwaveIVL's tweet image. Very nice #RotaShock live case at @SwissCTOCHIP Congress today! 85F patient with severe aortic stenosis and CAD in the LCx. Live from Cheng Hsin General Hospital in Taiwan, Drs Wei-Hsian Yin and Tien-Ping Tsao treated the LCx with rota and #ShockwaveIVL under ECMO support.
ShockwaveIVL's tweet image. Very nice #RotaShock live case at @SwissCTOCHIP Congress today! 85F patient with severe aortic stenosis and CAD in the LCx. Live from Cheng Hsin General Hospital in Taiwan, Drs Wei-Hsian Yin and Tien-Ping Tsao treated the LCx with rota and #ShockwaveIVL under ECMO support.
ShockwaveIVL's tweet image. Very nice #RotaShock live case at @SwissCTOCHIP Congress today! 85F patient with severe aortic stenosis and CAD in the LCx. Live from Cheng Hsin General Hospital in Taiwan, Drs Wei-Hsian Yin and Tien-Ping Tsao treated the LCx with rota and #ShockwaveIVL under ECMO support.

Combination of Rotablator and @ShockwaveIVL may be a solution to reduce the need for burr upscaling by opening the way with the first and dilating the vessel with the second.



#OPTIMALPCI2022 is off to a brilliant start with this live case by Drs @mbmcentegart @simonjwilson1 @jdinaus utilizing #ShockwaveIVL! Nice #RotaShock strategy with CT planning by Dr @ColletCarlos to evaluate Ca++ in #LAD before procedure. ISI bit.ly/3iEq7fC @OptimaCTO

ShockwaveIVL's tweet image. #OPTIMALPCI2022 is off to a brilliant start with this live case by Drs @mbmcentegart @simonjwilson1 @jdinaus utilizing #ShockwaveIVL! Nice #RotaShock strategy with CT planning by Dr @ColletCarlos to evaluate Ca++ in #LAD before procedure.

ISI bit.ly/3iEq7fC @OptimaCTO
ShockwaveIVL's tweet image. #OPTIMALPCI2022 is off to a brilliant start with this live case by Drs @mbmcentegart @simonjwilson1 @jdinaus utilizing #ShockwaveIVL! Nice #RotaShock strategy with CT planning by Dr @ColletCarlos to evaluate Ca++ in #LAD before procedure.

ISI bit.ly/3iEq7fC @OptimaCTO
ShockwaveIVL's tweet image. #OPTIMALPCI2022 is off to a brilliant start with this live case by Drs @mbmcentegart @simonjwilson1 @jdinaus utilizing #ShockwaveIVL! Nice #RotaShock strategy with CT planning by Dr @ColletCarlos to evaluate Ca++ in #LAD before procedure.

ISI bit.ly/3iEq7fC @OptimaCTO
ShockwaveIVL's tweet image. #OPTIMALPCI2022 is off to a brilliant start with this live case by Drs @mbmcentegart @simonjwilson1 @jdinaus utilizing #ShockwaveIVL! Nice #RotaShock strategy with CT planning by Dr @ColletCarlos to evaluate Ca++ in #LAD before procedure.

ISI bit.ly/3iEq7fC @OptimaCTO

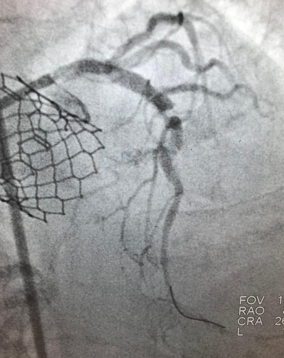
Check out the before and after images of this HD #IVUS guided #RotaShock PCI to optimize deployment of a 3.00x38mm SYNERGY XD. Congrats to @DoctorMoussa of @VirtuaHealth on successfully opening this heavily calcified LAD, making for a great #ComplexPCI case!

BSCCardiology's tweet image. Check out the before and after images of this HD #IVUS guided #RotaShock PCI to optimize deployment of a 3.00x38mm SYNERGY XD. Congrats to @DoctorMoussa of @VirtuaHealth on successfully opening this heavily calcified LAD, making for a great #ComplexPCI case!
BSCCardiology's tweet image. Check out the before and after images of this HD #IVUS guided #RotaShock PCI to optimize deployment of a 3.00x38mm SYNERGY XD. Congrats to @DoctorMoussa of @VirtuaHealth on successfully opening this heavily calcified LAD, making for a great #ComplexPCI case!
BSCCardiology's tweet image. Check out the before and after images of this HD #IVUS guided #RotaShock PCI to optimize deployment of a 3.00x38mm SYNERGY XD. Congrats to @DoctorMoussa of @VirtuaHealth on successfully opening this heavily calcified LAD, making for a great #ComplexPCI case!
BSCCardiology's tweet image. Check out the before and after images of this HD #IVUS guided #RotaShock PCI to optimize deployment of a 3.00x38mm SYNERGY XD. Congrats to @DoctorMoussa of @VirtuaHealth on successfully opening this heavily calcified LAD, making for a great #ComplexPCI case!

What do you feel #rotashock is best used for? #cardiotwitter


#LeaveNothingBehind at @ulssanta_maria Cath Lab! 🚀 CHIP PCI & DCB day: 🩺 RCA: #Rotashock + 3 DCBs for severe calcification 🩺 LAD + LCx: 4 DCBs for diffuse disease 🩺 Mid LAD: DCB-only PCI pre-surgery No metal, great result! 💪 #Rotablator #Shockwave #DCB #DEB #CHIP #PCI


I believe in the “sheet-braking at hinge points”-theory. Following that it is not only about the nodule but about neighboring vessel compliance. So I prefer #RotaShock with generous application of #IVL to the whole vessel segment and #DCB


Very nice #RotaShock live case at @SwissCTOCHIP Congress today! 85F patient with severe aortic stenosis and CAD in the LCx. Live from Cheng Hsin General Hospital in Taiwan, Drs Wei-Hsian Yin and Tien-Ping Tsao treated the LCx with rota and #ShockwaveIVL under ECMO support.

ShockwaveIVL's tweet image. Very nice #RotaShock live case at @SwissCTOCHIP Congress today! 85F patient with severe aortic stenosis and CAD in the LCx. Live from Cheng Hsin General Hospital in Taiwan, Drs Wei-Hsian Yin and Tien-Ping Tsao treated the LCx with rota and #ShockwaveIVL under ECMO support.
ShockwaveIVL's tweet image. Very nice #RotaShock live case at @SwissCTOCHIP Congress today! 85F patient with severe aortic stenosis and CAD in the LCx. Live from Cheng Hsin General Hospital in Taiwan, Drs Wei-Hsian Yin and Tien-Ping Tsao treated the LCx with rota and #ShockwaveIVL under ECMO support.
ShockwaveIVL's tweet image. Very nice #RotaShock live case at @SwissCTOCHIP Congress today! 85F patient with severe aortic stenosis and CAD in the LCx. Live from Cheng Hsin General Hospital in Taiwan, Drs Wei-Hsian Yin and Tien-Ping Tsao treated the LCx with rota and #ShockwaveIVL under ECMO support.

#RotaShock case by Dr. Shailendra Singh at Lehigh Valley Health Network (@LVHN). Patient presented with severe calcification of the RCA. After encountering a balloon uncrossable lesion, Dr. Singh used rotational atherectomy to facilitate passage of #IVUS. Encountering diffuse


🙏🏻 @ccijournal - lots of discussion re Rx of calcified ISR #EuroPCR2024 & our paper @JonathanWHinton supports #IVL as safe & effective strategy in these complex cases 🎯 Nice presentation today 👏🏻 which we hope to publish #ROTASHOCK @ShockwaveIVL @PCRonline @UHD_NHS

DrPeterOKane's tweet image. 🙏🏻 @ccijournal - lots of discussion re Rx of calcified ISR #EuroPCR2024 & our paper @JonathanWHinton supports #IVL as safe & effective strategy in these complex cases 🎯 

Nice presentation today 👏🏻 which we hope to publish #ROTASHOCK @ShockwaveIVL @PCRonline @UHD_NHS
DrPeterOKane's tweet image. 🙏🏻 @ccijournal - lots of discussion re Rx of calcified ISR #EuroPCR2024 & our paper @JonathanWHinton supports #IVL as safe & effective strategy in these complex cases 🎯 

Nice presentation today 👏🏻 which we hope to publish #ROTASHOCK @ShockwaveIVL @PCRonline @UHD_NHS
DrPeterOKane's tweet image. 🙏🏻 @ccijournal - lots of discussion re Rx of calcified ISR #EuroPCR2024 & our paper @JonathanWHinton supports #IVL as safe & effective strategy in these complex cases 🎯 

Nice presentation today 👏🏻 which we hope to publish #ROTASHOCK @ShockwaveIVL @PCRonline @UHD_NHS
DrPeterOKane's tweet image. 🙏🏻 @ccijournal - lots of discussion re Rx of calcified ISR #EuroPCR2024 & our paper @JonathanWHinton supports #IVL as safe & effective strategy in these complex cases 🎯 

Nice presentation today 👏🏻 which we hope to publish #ROTASHOCK @ShockwaveIVL @PCRonline @UHD_NHS

Are you at #EuroPCR ❓ Be sure to check out the data reported by @DrPeterOKane & colleagues on the “Novel application of intravascular lithotripsy in stent under-expansion: A single-center experience” 🔗 onlinelibrary.wiley.com/doi/10.1002/cc…

ccijournal's tweet image. Are you at #EuroPCR ❓

Be sure to check out the data reported by @DrPeterOKane & colleagues on the “Novel application of intravascular lithotripsy in stent under-expansion: A single-center experience”

🔗 onlinelibrary.wiley.com/doi/10.1002/cc…


Complex case made simpler with #RotaShock. Balloon undilatable lesion in the LAD ➡️ #Rota 1.5mm burr ➡️ 3.5mm NC balloon (🦴) ➡️ #IVL 4.0 ⚡️ balloon ➡️ 4.0 NC balloon ➡️ Stented 3.5x28 DES Great end result for the patient! #QOL


@ShockwaveIVL (#RotaShock) ➡️Concentric+Deep Calcium ➡️Minor RotaSuccess How did the lesion look before #Rota on IVUS?


A TopShock-worthy #RotaShock case by Dr. Boshra Louka @Boshra3Agban using 1.5 rota & 80 pulses #ShockwaveC2 to treat a CN in the LM & LCX for a fantastic result. Make sure to submit your best nodular/eccentric case by June 15! discover.shockwavemedical.com/topshock ISI bit.ly/3iEq7fC

ShockwaveIVL's tweet image. A TopShock-worthy #RotaShock case by Dr. Boshra Louka @Boshra3Agban using 1.5 rota & 80 pulses #ShockwaveC2 to treat a CN in the LM & LCX for a fantastic result.

Make sure to submit your best nodular/eccentric case by June 15! discover.shockwavemedical.com/topshock

ISI bit.ly/3iEq7fC

@ShockwaveIVL Session at #EuroPCR Amazing talk by @stefan_harb: ➡️More pulses in eccentric and nodular calcium 🔫+🔫= #RotaShock (#ShotTheCalcium)

KardiologieHH's tweet image. @ShockwaveIVL Session at #EuroPCR
Amazing talk by @stefan_harb: 
➡️More pulses in eccentric and nodular calcium

🔫+🔫= #RotaShock (#ShotTheCalcium)
KardiologieHH's tweet image. @ShockwaveIVL Session at #EuroPCR
Amazing talk by @stefan_harb: 
➡️More pulses in eccentric and nodular calcium

🔫+🔫= #RotaShock (#ShotTheCalcium)

Great #RotaShock live case at #SIF2023 by Drs @AlokSharma081 @Herms2James @RizikMd & Richard Shlofmitz. Imaging with #OCT & #IVUS, @HonorHealth team used a 3.0 & 4.0 #ShockwaveC2 to treat concentric LAD Ca2+ & LM nodular Ca2+ for an excellent result! ISI bit.ly/3iEq7fc

ShockwaveIVL's tweet image. Great #RotaShock live case at #SIF2023 by Drs @AlokSharma081 @Herms2James @RizikMd & Richard Shlofmitz. Imaging with #OCT & #IVUS, @HonorHealth team used a 3.0 & 4.0 #ShockwaveC2 to treat concentric LAD Ca2+ & LM nodular Ca2+ for an excellent result!
ISI bit.ly/3iEq7fc
ShockwaveIVL's tweet image. Great #RotaShock live case at #SIF2023 by Drs @AlokSharma081 @Herms2James @RizikMd & Richard Shlofmitz. Imaging with #OCT & #IVUS, @HonorHealth team used a 3.0 & 4.0 #ShockwaveC2 to treat concentric LAD Ca2+ & LM nodular Ca2+ for an excellent result!
ISI bit.ly/3iEq7fc

Congress can learn a thing or two about debate from Drs. Jennifer Tremmel @FaroucJaffer @ArasiMaran @ziadalinyc & @DrDarshanDoshi! Thoughtful, educational presentations on approaches to nodular calcium with #ShockwaveIVL and #RotaShock at #CRT2023. ISI bit.ly/3iEq7fC

ShockwaveIVL's tweet image. Congress can learn a thing or two about debate from Drs. Jennifer Tremmel @FaroucJaffer @ArasiMaran @ziadalinyc & @DrDarshanDoshi! Thoughtful, educational presentations on approaches to nodular calcium with #ShockwaveIVL and #RotaShock at #CRT2023.
ISI bit.ly/3iEq7fC
ShockwaveIVL's tweet image. Congress can learn a thing or two about debate from Drs. Jennifer Tremmel @FaroucJaffer @ArasiMaran @ziadalinyc & @DrDarshanDoshi! Thoughtful, educational presentations on approaches to nodular calcium with #ShockwaveIVL and #RotaShock at #CRT2023.
ISI bit.ly/3iEq7fC
ShockwaveIVL's tweet image. Congress can learn a thing or two about debate from Drs. Jennifer Tremmel @FaroucJaffer @ArasiMaran @ziadalinyc & @DrDarshanDoshi! Thoughtful, educational presentations on approaches to nodular calcium with #ShockwaveIVL and #RotaShock at #CRT2023.
ISI bit.ly/3iEq7fC

What a spectacular #RotaShock case from Dr @nyalborgesmd of @AtriumHealth Carolina’s Medical Center! Pretreating this nodular calcific lesion with a 1.5 rota burr, Dr Borges used 8 cycles of #ShockwaveC2 then placed a Xience stent for a strong result. ISI bit.ly/3iEq7fC


Check out the before and after images of this HD #IVUS guided #RotaShock PCI to optimize deployment of a 3.00x38mm SYNERGY XD. Congrats to @DoctorMoussa of @VirtuaHealth on successfully opening this heavily calcified LAD, making for a great #ComplexPCI case!

BSCCardiology's tweet image. Check out the before and after images of this HD #IVUS guided #RotaShock PCI to optimize deployment of a 3.00x38mm SYNERGY XD. Congrats to @DoctorMoussa of @VirtuaHealth on successfully opening this heavily calcified LAD, making for a great #ComplexPCI case!
BSCCardiology's tweet image. Check out the before and after images of this HD #IVUS guided #RotaShock PCI to optimize deployment of a 3.00x38mm SYNERGY XD. Congrats to @DoctorMoussa of @VirtuaHealth on successfully opening this heavily calcified LAD, making for a great #ComplexPCI case!
BSCCardiology's tweet image. Check out the before and after images of this HD #IVUS guided #RotaShock PCI to optimize deployment of a 3.00x38mm SYNERGY XD. Congrats to @DoctorMoussa of @VirtuaHealth on successfully opening this heavily calcified LAD, making for a great #ComplexPCI case!
BSCCardiology's tweet image. Check out the before and after images of this HD #IVUS guided #RotaShock PCI to optimize deployment of a 3.00x38mm SYNERGY XD. Congrats to @DoctorMoussa of @VirtuaHealth on successfully opening this heavily calcified LAD, making for a great #ComplexPCI case!

Dr. @KPohlel of @PiedmontHealth Athens Regional faced an unyielding LAD. Unable to cross the lesion the prior day, he switched to the #RotaShock technique, crossing the lesion with a 1.75 rota burr and then cracking the calcium with 4.0 #ShockwaveC2. ISI bit.ly/3iEq7fC

ShockwaveIVL's tweet image. Dr. @KPohlel of @PiedmontHealth Athens Regional faced an unyielding LAD. Unable to cross the lesion the prior day, he switched to the #RotaShock technique, crossing the lesion with a 1.75 rota burr and then cracking the calcium with 4.0 #ShockwaveC2.

ISI bit.ly/3iEq7fC

No results for "#rotashock"

Don’t miss the #RotaShock @ccclivecases from last month in a tortuous calcified LAD/D1 bifur from Drs. Sharma, Kini & Mehta at @MountSinaiHeart: ccclivecases.org/rotatripsy-of-… ISI bit.ly/3rnUXue #CardioTwitter #ComplexPCI #ShockwaveIVL

ShockwaveIVL's tweet image. Don’t miss the #RotaShock @ccclivecases from last month in a tortuous calcified LAD/D1 bifur from Drs. Sharma, Kini & Mehta at @MountSinaiHeart: ccclivecases.org/rotatripsy-of-…

ISI bit.ly/3rnUXue #CardioTwitter #ComplexPCI #ShockwaveIVL

A #RotaShock-talk takes us home from the #CoronaryIVL Symposium @CCCSymposium_NY Thanks to Dr @ArthurReitman for outlining indications and reviewing cases demonstrating the synergistic effect of Rotational Atherectomy with #ShockwaveIVL. ISI bit.ly/3iEq7fC #CardioTwitter

ShockwaveIVL's tweet image. A #RotaShock-talk takes us home from the #CoronaryIVL Symposium @CCCSymposium_NY Thanks to Dr @ArthurReitman for outlining indications and reviewing cases demonstrating the synergistic effect of Rotational Atherectomy with #ShockwaveIVL.
ISI bit.ly/3iEq7fC #CardioTwitter

Results from the randomized #ROTAshock trial presented during @TCT2022. #IVL is non-inferior to #RA in terms of MSA, but results in lower rate of periprocedural MI, less contrast volume and procedural time @mmamas1973 @mirvatalasnag @Steph_Achenbach

HolgerNef's tweet image. Results from the randomized #ROTAshock trial presented during @TCT2022. #IVL is non-inferior to #RA in terms of MSA, but results in lower rate of periprocedural MI, less contrast volume and procedural time @mmamas1973 @mirvatalasnag @Steph_Achenbach

Another fantastic live case featuring #RotaShock in a no cross heavily calcified LAD at #SIF2022 by Dr @RizikMd with Drs Hermiller & @ziadalinyc, moderated by Drs Lasala & Parikh. #CoronaryIVL accomplished the mission with a great final result. ISI bit.ly/3iEq7fC

ShockwaveIVL's tweet image. Another fantastic live case featuring #RotaShock in a no cross heavily calcified LAD at #SIF2022 by Dr @RizikMd with Drs Hermiller & @ziadalinyc, moderated by Drs Lasala & Parikh. #CoronaryIVL accomplished the mission with a great final result.

ISI bit.ly/3iEq7fC

Great #RotaShock #EuroPCR live case from @JEscaned & Nieves Gonzalo at #HospitalSanCarlos in dense, eccentric calcium, with @DrthierryL on the monitor! Perfect example of complementary use of #Rota & #IVL #CrossAndCrack @PCRonline ISI bit.ly/2s7zs7j #CardioTwitter

ShockwaveIVL's tweet image. Great #RotaShock #EuroPCR live case from @JEscaned & Nieves Gonzalo at #HospitalSanCarlos in dense, eccentric calcium, with @DrthierryL on the monitor! Perfect example of complementary use of #Rota & #IVL #CrossAndCrack @PCRonline  ISI bit.ly/2s7zs7j  #CardioTwitter
ShockwaveIVL's tweet image. Great #RotaShock #EuroPCR live case from @JEscaned & Nieves Gonzalo at #HospitalSanCarlos in dense, eccentric calcium, with @DrthierryL on the monitor! Perfect example of complementary use of #Rota & #IVL #CrossAndCrack @PCRonline  ISI bit.ly/2s7zs7j  #CardioTwitter
ShockwaveIVL's tweet image. Great #RotaShock #EuroPCR live case from @JEscaned & Nieves Gonzalo at #HospitalSanCarlos in dense, eccentric calcium, with @DrthierryL on the monitor! Perfect example of complementary use of #Rota & #IVL #CrossAndCrack @PCRonline  ISI bit.ly/2s7zs7j  #CardioTwitter

#OPTIMALPCI2022 is off to a brilliant start with this live case by Drs @mbmcentegart @simonjwilson1 @jdinaus utilizing #ShockwaveIVL! Nice #RotaShock strategy with CT planning by Dr @ColletCarlos to evaluate Ca++ in #LAD before procedure. ISI bit.ly/3iEq7fC @OptimaCTO

ShockwaveIVL's tweet image. #OPTIMALPCI2022 is off to a brilliant start with this live case by Drs @mbmcentegart @simonjwilson1 @jdinaus utilizing #ShockwaveIVL! Nice #RotaShock strategy with CT planning by Dr @ColletCarlos to evaluate Ca++ in #LAD before procedure.

ISI bit.ly/3iEq7fC @OptimaCTO
ShockwaveIVL's tweet image. #OPTIMALPCI2022 is off to a brilliant start with this live case by Drs @mbmcentegart @simonjwilson1 @jdinaus utilizing #ShockwaveIVL! Nice #RotaShock strategy with CT planning by Dr @ColletCarlos to evaluate Ca++ in #LAD before procedure.

ISI bit.ly/3iEq7fC @OptimaCTO
ShockwaveIVL's tweet image. #OPTIMALPCI2022 is off to a brilliant start with this live case by Drs @mbmcentegart @simonjwilson1 @jdinaus utilizing #ShockwaveIVL! Nice #RotaShock strategy with CT planning by Dr @ColletCarlos to evaluate Ca++ in #LAD before procedure.

ISI bit.ly/3iEq7fC @OptimaCTO
ShockwaveIVL's tweet image. #OPTIMALPCI2022 is off to a brilliant start with this live case by Drs @mbmcentegart @simonjwilson1 @jdinaus utilizing #ShockwaveIVL! Nice #RotaShock strategy with CT planning by Dr @ColletCarlos to evaluate Ca++ in #LAD before procedure.

ISI bit.ly/3iEq7fC @OptimaCTO

A TopShock-worthy #RotaShock case by Dr. Boshra Louka @Boshra3Agban using 1.5 rota & 80 pulses #ShockwaveC2 to treat a CN in the LM & LCX for a fantastic result. Make sure to submit your best nodular/eccentric case by June 15! discover.shockwavemedical.com/topshock ISI bit.ly/3iEq7fC

ShockwaveIVL's tweet image. A TopShock-worthy #RotaShock case by Dr. Boshra Louka @Boshra3Agban using 1.5 rota & 80 pulses #ShockwaveC2 to treat a CN in the LM & LCX for a fantastic result.

Make sure to submit your best nodular/eccentric case by June 15! discover.shockwavemedical.com/topshock

ISI bit.ly/3iEq7fC

The house was packed and the votes are in! Wicked good debate on the approaches to nodular calcium with Drs @rwyeh @ajaykirtane @kevinjamescroce @mbmcentegart & @perc_surgeon at #TCT2022. Look at that final poll in favor of #RotaShock! ISI bit.ly/3iEq7fC #CardioTwitter

ShockwaveIVL's tweet image. The house was packed and the votes are in! Wicked good debate on the approaches to nodular calcium with Drs @rwyeh @ajaykirtane @kevinjamescroce @mbmcentegart & @perc_surgeon at #TCT2022. Look at that final poll in favor of #RotaShock!

ISI bit.ly/3iEq7fC #CardioTwitter
ShockwaveIVL's tweet image. The house was packed and the votes are in! Wicked good debate on the approaches to nodular calcium with Drs @rwyeh @ajaykirtane @kevinjamescroce @mbmcentegart & @perc_surgeon at #TCT2022. Look at that final poll in favor of #RotaShock!

ISI bit.ly/3iEq7fC #CardioTwitter
ShockwaveIVL's tweet image. The house was packed and the votes are in! Wicked good debate on the approaches to nodular calcium with Drs @rwyeh @ajaykirtane @kevinjamescroce @mbmcentegart & @perc_surgeon at #TCT2022. Look at that final poll in favor of #RotaShock!

ISI bit.ly/3iEq7fC #CardioTwitter
ShockwaveIVL's tweet image. The house was packed and the votes are in! Wicked good debate on the approaches to nodular calcium with Drs @rwyeh @ajaykirtane @kevinjamescroce @mbmcentegart & @perc_surgeon at #TCT2022. Look at that final poll in favor of #RotaShock!

ISI bit.ly/3iEq7fC #CardioTwitter

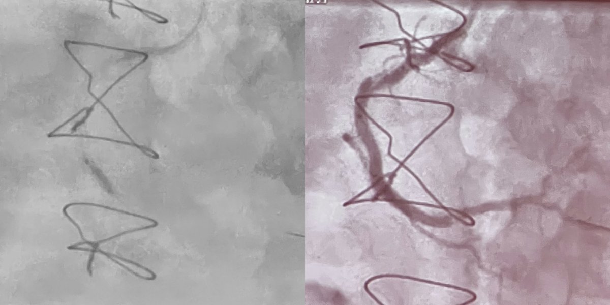
Complex Coronary Live Cases have begun at @CCCSymposium_NY! Congrats to Dr. Samin Sharma for successfully combining #RotaCut AND #RotaShock strategies in a bifurcation lesion with nodular calcium. A great example of complimentary use of Ca mod devices. ISI bit.ly/3iEq7fC

ShockwaveIVL's tweet image. Complex Coronary Live Cases have begun at @CCCSymposium_NY! Congrats to Dr. Samin Sharma for successfully combining #RotaCut AND #RotaShock strategies in a bifurcation lesion with nodular calcium. A great example of complimentary use of Ca mod devices. ISI bit.ly/3iEq7fC

Neue Ergebnisse aus der laufenden #ROTAshock Studie. #IVL. Deutlicher Trend zu mehr MSA, Lumen Gain und bessere Expansion durch #lithotripsy vs. #atherectomy...@florianblachutzik #DGKjahrestagung

HolgerNef's tweet image. Neue Ergebnisse aus der laufenden #ROTAshock Studie. #IVL. Deutlicher Trend zu mehr MSA, Lumen Gain und bessere Expansion durch #lithotripsy vs. #atherectomy...@florianblachutzik #DGKjahrestagung

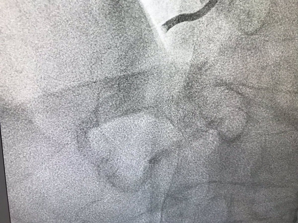
#RotaShock case 2. 82 year old male. PCI 2017 LAD and RCA in US. Complex ISR and new disease in RCA. Previous PCI attempt Nov 18 unsuccessful. NSTEMI presentation and subtotal calcified RCA @cghanratty @Almanfi_Cardio @ShockwaveIVL @BSCCardiology @jedicath

colum_owens's tweet image. #RotaShock case 2. 82 year old male. PCI 2017 LAD and RCA in US. Complex ISR and new disease in RCA. Previous PCI attempt Nov 18 unsuccessful. NSTEMI presentation and subtotal calcified RCA @cghanratty @Almanfi_Cardio @ShockwaveIVL @BSCCardiology @jedicath
colum_owens's tweet image. #RotaShock case 2. 82 year old male. PCI 2017 LAD and RCA in US. Complex ISR and new disease in RCA. Previous PCI attempt Nov 18 unsuccessful. NSTEMI presentation and subtotal calcified RCA @cghanratty @Almanfi_Cardio @ShockwaveIVL @BSCCardiology @jedicath

No Chip Shot in Pinehurst! Impressive #RotaShock case as the 1st commercial use of #CoronaryIVL at @FirstHealth Moore Regional in North Carolina! Congratulations to Dr Keith Davis, Lab Mgr Dona Baker, RN & cath lab staff. ISI bit.ly/3rnUXue #ShockwaveIVL #CardioTwitter

ShockwaveIVL's tweet image. No Chip Shot in Pinehurst! Impressive #RotaShock case as the 1st commercial use of #CoronaryIVL at @FirstHealth Moore Regional in North Carolina! Congratulations to Dr Keith Davis, Lab Mgr Dona Baker, RN & cath lab staff.

ISI bit.ly/3rnUXue #ShockwaveIVL #CardioTwitter
ShockwaveIVL's tweet image. No Chip Shot in Pinehurst! Impressive #RotaShock case as the 1st commercial use of #CoronaryIVL at @FirstHealth Moore Regional in North Carolina! Congratulations to Dr Keith Davis, Lab Mgr Dona Baker, RN & cath lab staff.

ISI bit.ly/3rnUXue #ShockwaveIVL #CardioTwitter

Very nice #RotaShock live case at @SwissCTOCHIP Congress today! 85F patient with severe aortic stenosis and CAD in the LCx. Live from Cheng Hsin General Hospital in Taiwan, Drs Wei-Hsian Yin and Tien-Ping Tsao treated the LCx with rota and #ShockwaveIVL under ECMO support.

ShockwaveIVL's tweet image. Very nice #RotaShock live case at @SwissCTOCHIP Congress today! 85F patient with severe aortic stenosis and CAD in the LCx. Live from Cheng Hsin General Hospital in Taiwan, Drs Wei-Hsian Yin and Tien-Ping Tsao treated the LCx with rota and #ShockwaveIVL under ECMO support.
ShockwaveIVL's tweet image. Very nice #RotaShock live case at @SwissCTOCHIP Congress today! 85F patient with severe aortic stenosis and CAD in the LCx. Live from Cheng Hsin General Hospital in Taiwan, Drs Wei-Hsian Yin and Tien-Ping Tsao treated the LCx with rota and #ShockwaveIVL under ECMO support.
ShockwaveIVL's tweet image. Very nice #RotaShock live case at @SwissCTOCHIP Congress today! 85F patient with severe aortic stenosis and CAD in the LCx. Live from Cheng Hsin General Hospital in Taiwan, Drs Wei-Hsian Yin and Tien-Ping Tsao treated the LCx with rota and #ShockwaveIVL under ECMO support.

Dr. @KPohlel of @PiedmontHealth Athens Regional faced an unyielding LAD. Unable to cross the lesion the prior day, he switched to the #RotaShock technique, crossing the lesion with a 1.75 rota burr and then cracking the calcium with 4.0 #ShockwaveC2. ISI bit.ly/3iEq7fC

ShockwaveIVL's tweet image. Dr. @KPohlel of @PiedmontHealth Athens Regional faced an unyielding LAD. Unable to cross the lesion the prior day, he switched to the #RotaShock technique, crossing the lesion with a 1.75 rota burr and then cracking the calcium with 4.0 #ShockwaveC2.

ISI bit.ly/3iEq7fC

Congratulations to Prof. Ge Jun-Bo on the 1st #CoronaryIVL case in China! CTO in the RCA with severe calcium treated with #RotaShock approach to an excellent outcome. Look forward to many more cases in China to come! ISI bit.ly/3iEq7fC #CardioTwitter #ComplexPCI

ShockwaveIVL's tweet image. Congratulations to Prof. Ge Jun-Bo on the 1st #CoronaryIVL case in China! CTO in the RCA with severe calcium treated with #RotaShock approach to an excellent outcome. Look forward to many more cases in China to come!

ISI bit.ly/3iEq7fC #CardioTwitter #ComplexPCI
ShockwaveIVL's tweet image. Congratulations to Prof. Ge Jun-Bo on the 1st #CoronaryIVL case in China! CTO in the RCA with severe calcium treated with #RotaShock approach to an excellent outcome. Look forward to many more cases in China to come!

ISI bit.ly/3iEq7fC #CardioTwitter #ComplexPCI

Dr. @perc_surgeon presents severely calcified #RotaShock cases, including 1st #CoronaryIVL commercial case a year after the #ShockwaveC2 US commercial launch, at #SIF2022. “Coronary IVL is a dominant factor in calcium modification.” ISI bit.ly/3iEq7fC @SIFCardiology

ShockwaveIVL's tweet image. Dr. @perc_surgeon presents severely calcified #RotaShock cases, including 1st #CoronaryIVL commercial case a year after the #ShockwaveC2 US commercial launch, at #SIF2022. “Coronary IVL is a dominant factor in calcium modification.”

ISI bit.ly/3iEq7fC @SIFCardiology
ShockwaveIVL's tweet image. Dr. @perc_surgeon presents severely calcified #RotaShock cases, including 1st #CoronaryIVL commercial case a year after the #ShockwaveC2 US commercial launch, at #SIF2022. “Coronary IVL is a dominant factor in calcium modification.”

ISI bit.ly/3iEq7fC @SIFCardiology
ShockwaveIVL's tweet image. Dr. @perc_surgeon presents severely calcified #RotaShock cases, including 1st #CoronaryIVL commercial case a year after the #ShockwaveC2 US commercial launch, at #SIF2022. “Coronary IVL is a dominant factor in calcium modification.”

ISI bit.ly/3iEq7fC @SIFCardiology

Another great #RotaShock live case at #OPTIMALPCI2022 performed by Dr. @JoostDaemen from Thoraxcenter at Erasmus Medical Center @erasmusmcintl in Rotterdam. Excellent result! ISI bit.ly/3iEq7fC @OptimaCTO #ShockwaveIVL

ShockwaveIVL's tweet image. Another great #RotaShock live case at #OPTIMALPCI2022 performed by Dr. @JoostDaemen from Thoraxcenter at Erasmus Medical Center @erasmusmcintl in Rotterdam. Excellent result!

ISI bit.ly/3iEq7fC @OptimaCTO #ShockwaveIVL

Great #RotaShock live case at #SIF2023 by Drs @AlokSharma081 @Herms2James @RizikMd & Richard Shlofmitz. Imaging with #OCT & #IVUS, @HonorHealth team used a 3.0 & 4.0 #ShockwaveC2 to treat concentric LAD Ca2+ & LM nodular Ca2+ for an excellent result! ISI bit.ly/3iEq7fc

ShockwaveIVL's tweet image. Great #RotaShock live case at #SIF2023 by Drs @AlokSharma081 @Herms2James @RizikMd & Richard Shlofmitz. Imaging with #OCT & #IVUS, @HonorHealth team used a 3.0 & 4.0 #ShockwaveC2 to treat concentric LAD Ca2+ & LM nodular Ca2+ for an excellent result!
ISI bit.ly/3iEq7fc
ShockwaveIVL's tweet image. Great #RotaShock live case at #SIF2023 by Drs @AlokSharma081 @Herms2James @RizikMd & Richard Shlofmitz. Imaging with #OCT & #IVUS, @HonorHealth team used a 3.0 & 4.0 #ShockwaveC2 to treat concentric LAD Ca2+ & LM nodular Ca2+ for an excellent result!
ISI bit.ly/3iEq7fc

Congress can learn a thing or two about debate from Drs. Jennifer Tremmel @FaroucJaffer @ArasiMaran @ziadalinyc & @DrDarshanDoshi! Thoughtful, educational presentations on approaches to nodular calcium with #ShockwaveIVL and #RotaShock at #CRT2023. ISI bit.ly/3iEq7fC

ShockwaveIVL's tweet image. Congress can learn a thing or two about debate from Drs. Jennifer Tremmel @FaroucJaffer @ArasiMaran @ziadalinyc & @DrDarshanDoshi! Thoughtful, educational presentations on approaches to nodular calcium with #ShockwaveIVL and #RotaShock at #CRT2023.
ISI bit.ly/3iEq7fC
ShockwaveIVL's tweet image. Congress can learn a thing or two about debate from Drs. Jennifer Tremmel @FaroucJaffer @ArasiMaran @ziadalinyc & @DrDarshanDoshi! Thoughtful, educational presentations on approaches to nodular calcium with #ShockwaveIVL and #RotaShock at #CRT2023.
ISI bit.ly/3iEq7fC
ShockwaveIVL's tweet image. Congress can learn a thing or two about debate from Drs. Jennifer Tremmel @FaroucJaffer @ArasiMaran @ziadalinyc & @DrDarshanDoshi! Thoughtful, educational presentations on approaches to nodular calcium with #ShockwaveIVL and #RotaShock at #CRT2023.
ISI bit.ly/3iEq7fC

Loading...

Something went wrong.


Something went wrong.