#singleaccess search results

Novel applications for #SingleAccess for bail- with @jason_wollmuth #CardioTwitter


The no-tip XT delivers again - it makes its way to a septal that was not visible on the retro images. We had difficulty making the MC follow - the #HDR channel is very tight! This a #singleaccess case, so we checked pressure thru the MC then a tip injection!


Quick femoral swan tip from @joewalshmd on a trick @aidanraneymd taught him! #CardioTwitter #SingleAccess #Impella


LAD #CTO #MHA #singleaccess #HDR Sionblue→#HDR→IP? ,#Passiveinjecton show TL→XT nonTIP→TL


➡️ #ComplexPCI ➡️ #RCA_CTO ➡️ #SingleAccess ➡️ #Bridging_Collaterals ➡️ #RadialFirst ➡️ #AW #CTOs common in #IHD. #CTO_PCI is the technical challenges Improvements in technique dedicated devices for #CTO_PCI , combined with advances in procedural strategy, have resulted in


➡️ #RCA_CTO ➡️ #SingleAccess ➡️ #RadialFirst #AntegradeWiring is the prevailing #CTO crossing technique. Most #ProximalCaps have a clear tapered stump & can be wired by intermediate penetration force wires #Cardiology #AIIMS #Raebareli


RCA double #CTO very tough case with severe calcium. #MHA #singleaccess . #HDR #TDADR #TDHDR #TDAW #KWT #Carlino. . all branch are saved. 4hrs wow. Pilot200→HDR(IP)→sionblack→KWT→#HDR (EP)→#KWT#Carlino#TDADR#TDHDR (IP)→sionblack→#Carlino→KWT


LCX #CTO #HDR #singleaccess #IVUS guided G2 punctured for PC→#HDR→EPstains→IVUS shows EP and IP stains→Corsair was pulled back → XT non TIP →TL If it was EP stains, Corsair was pulled back and Check passive injection during advancing GW, if stain was disappeared , that is


LCX #CTO #MHA #Singleaccess #HDR #TDADR #TDHDR #TDAW Pilot200→HDR(EP)→sionblack KWT→Cross branch→#TDHDR with UB3→HDR(EP)→#TDAW with G2→HDR(EP)→sionblack KWT→#TDADR and #TDAW→Crossed TL This is a representative example of utilizing #TDADR rescue in situations where #HDR


LAD #CTO #MHA #singleaccess #HDR Pilot200→HDR→EPand IP→XT nontip→HDR→EP & TL→Corsair pull back during passive injection→TL→sionblack→TL IVUS shows GW is in all IP. @realarainmd @cto_chip_japan @DaitaroK @calcbreaker @UmihikoKaneko @SKuramitsu0511 @tadano98


#CTO #singleaccess #MHA #IVUS Sionblack to DX→IVUS confirmed LAD os→POBA2.0 made LAD os cracked→Sionblack crossed to LAD Sometimes , CTO treatment is simple as this one😘 @realarainmd @cto_chip_japan @DaitaroK @calcbreaker @SKuramitsu0511 @tadano98 @rotamonster


LAD #CTO #calcification #singleaccess #MHA Referal case of failed LAD CTO PCI. #TDADR Very sever calcification. with#Boston IVUS#TDADR wi Pilot 200→#HDR→EP→sionblack #KWT#TDADR→Swap sionblack→ Stent @realarainmd @cto_chip_japan @DaitaroK @calcbreaker @UmihikoKaneko


Amazing insight from @jason_wollmuth and @brownc_12 on sheath compatibility for Single Access (if not using companion). #CardioTwitter #MCS #SingleAccess


#CTO #MHA #singleaccess #HDR #rota #CB #DCB Pilot200→HDR→Type1→XT non tip→2nd HDR→Type 2→sionblack→cross→rota1.5→CB2.75→DCB @realarainmd @cto_chip_japan @DaitaroK @calcbreaker @UmihikoKaneko @SKuramitsu0511 @tadano98 @rotamonster @OpolskiMP @jcspratt


RCA #CTO #HDR #singleaccess 7Fr G2 punctured→HDR→XTnontip→2nd HDR→XTnon tip backled→sionblack buckled→3rd HDR→Gradius advancing→4th HDR→XT non tip advancing→5th HDR→Type2A→sioblack→TL @realarainmd @cto_chip_japan @DaitaroK @calcbreaker @UmihikoKaneko


#BAV #ImpellaAssistedPci #SingleAccess 7F #CSI LM-> LAD. #Shockwave LM-> Lcx after predil to minimize perf risk. #TAP 2 stent technique


IMHO How to do safe in #singleaccess in #CTO 1. Review AG many times 2. #Carlino and #HDR: Stains indentyfing GW position and visulalize vessel 3. Do not advance GW distal except for #KWT In that sense, #singleacces is suitable for #HDR and #TDADR


LCX #CTO #MHA #Singleaccess #HDR #TDADR #TDHDR #TDAW Pilot200→HDR(EP)→sionblack KWT→Cross branch→#TDHDR with UB3→HDR(EP)→#TDAW with G2→HDR(EP)→sionblack KWT→#TDADR and #TDAW→Crossed TL This is a representative example of utilizing #TDADR rescue in situations where #HDR


RCA double #CTO very tough case with severe calcium. #MHA #singleaccess . #HDR #TDADR #TDHDR #TDAW #KWT #Carlino. . all branch are saved. 4hrs wow. Pilot200→HDR(IP)→sionblack→KWT→#HDR (EP)→#KWT#Carlino#TDADR#TDHDR (IP)→sionblack→#Carlino→KWT


#CTO #MHA #singleaccess #HDR #rota #CB #DCB Pilot200→HDR→Type1→XT non tip→2nd HDR→Type 2→sionblack→cross→rota1.5→CB2.75→DCB @realarainmd @cto_chip_japan @DaitaroK @calcbreaker @UmihikoKaneko @SKuramitsu0511 @tadano98 @rotamonster @OpolskiMP @jcspratt


LAD #CTO #calcification #singleaccess #MHA Referal case of failed LAD CTO PCI. #TDADR Very sever calcification. with#Boston IVUS#TDADR wi Pilot 200→#HDR→EP→sionblack #KWT#TDADR→Swap sionblack→ Stent @realarainmd @cto_chip_japan @DaitaroK @calcbreaker @UmihikoKaneko


➡️ #ComplexPCI ➡️ #RCA_CTO ➡️ #SingleAccess ➡️ #Bridging_Collaterals ➡️ #RadialFirst ➡️ #AW #CTOs common in #IHD. #CTO_PCI is the technical challenges Improvements in technique dedicated devices for #CTO_PCI , combined with advances in procedural strategy, have resulted in


➡️ #RCA_CTO ➡️ #SingleAccess ➡️ #RadialFirst #AntegradeWiring is the prevailing #CTO crossing technique. Most #ProximalCaps have a clear tapered stump & can be wired by intermediate penetration force wires #Cardiology #AIIMS #Raebareli


LAD #CTO #MHA #singleaccess #HDR Sionblue→#HDR→IP? ,#Passiveinjecton show TL→XT nonTIP→TL


LAD #CTO #MHA #singleaccess #HDR Pilot200→HDR→EPand IP→XT nontip→HDR→EP & TL→Corsair pull back during passive injection→TL→sionblack→TL IVUS shows GW is in all IP. @realarainmd @cto_chip_japan @DaitaroK @calcbreaker @UmihikoKaneko @SKuramitsu0511 @tadano98


RCA #CTO #HDR #singleaccess 7Fr G2 punctured→HDR→XTnontip→2nd HDR→XTnon tip backled→sionblack buckled→3rd HDR→Gradius advancing→4th HDR→XT non tip advancing→5th HDR→Type2A→sioblack→TL @realarainmd @cto_chip_japan @DaitaroK @calcbreaker @UmihikoKaneko


LCX #CTO #HDR #singleaccess #IVUS guided G2 punctured for PC→#HDR→EPstains→IVUS shows EP and IP stains→Corsair was pulled back → XT non TIP →TL If it was EP stains, Corsair was pulled back and Check passive injection during advancing GW, if stain was disappeared , that is


#CTO #HDR #singleaccess #MHA Gradius→#HDR→XT nontip→no advanced→#HDR→IP or EPlike stain?→sionblack with tip bend→crossed TL Stain guided retouting @realarainmd @cto_chip_japan @DaitaroK @calcbreaker @SKuramitsu0511 @tadano98 @rotamonster @OpolskiMP @jcspratt


#CTO #singleaccess #MHA #IVUS Sionblack to DX→IVUS confirmed LAD os→POBA2.0 made LAD os cracked→Sionblack crossed to LAD Sometimes , CTO treatment is simple as this one😘 @realarainmd @cto_chip_japan @DaitaroK @calcbreaker @SKuramitsu0511 @tadano98 @rotamonster


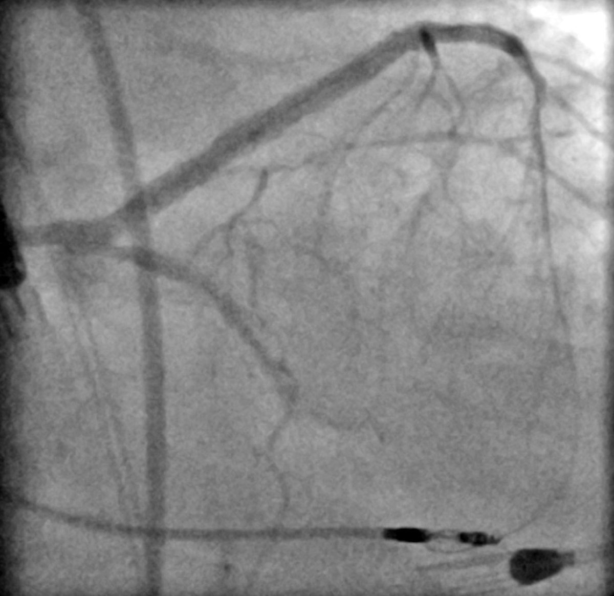
Successful #LargeBore #SingleAccess #ProtectedPCI #PennsyInterventions in a limited option ischemic cardiomyopathy patient with multivessel CAD turned down for bypass surgery and transplant. @GPAngioClub @ACVCPhila @PennCardiology @PennCVFellows @jcgeorgemd

ReVascMed's tweet image. Successful #LargeBore #SingleAccess #ProtectedPCI #PennsyInterventions in a limited option ischemic cardiomyopathy patient with multivessel CAD turned down for bypass surgery and transplant. @GPAngioClub @ACVCPhila @PennCardiology @PennCVFellows @jcgeorgemd

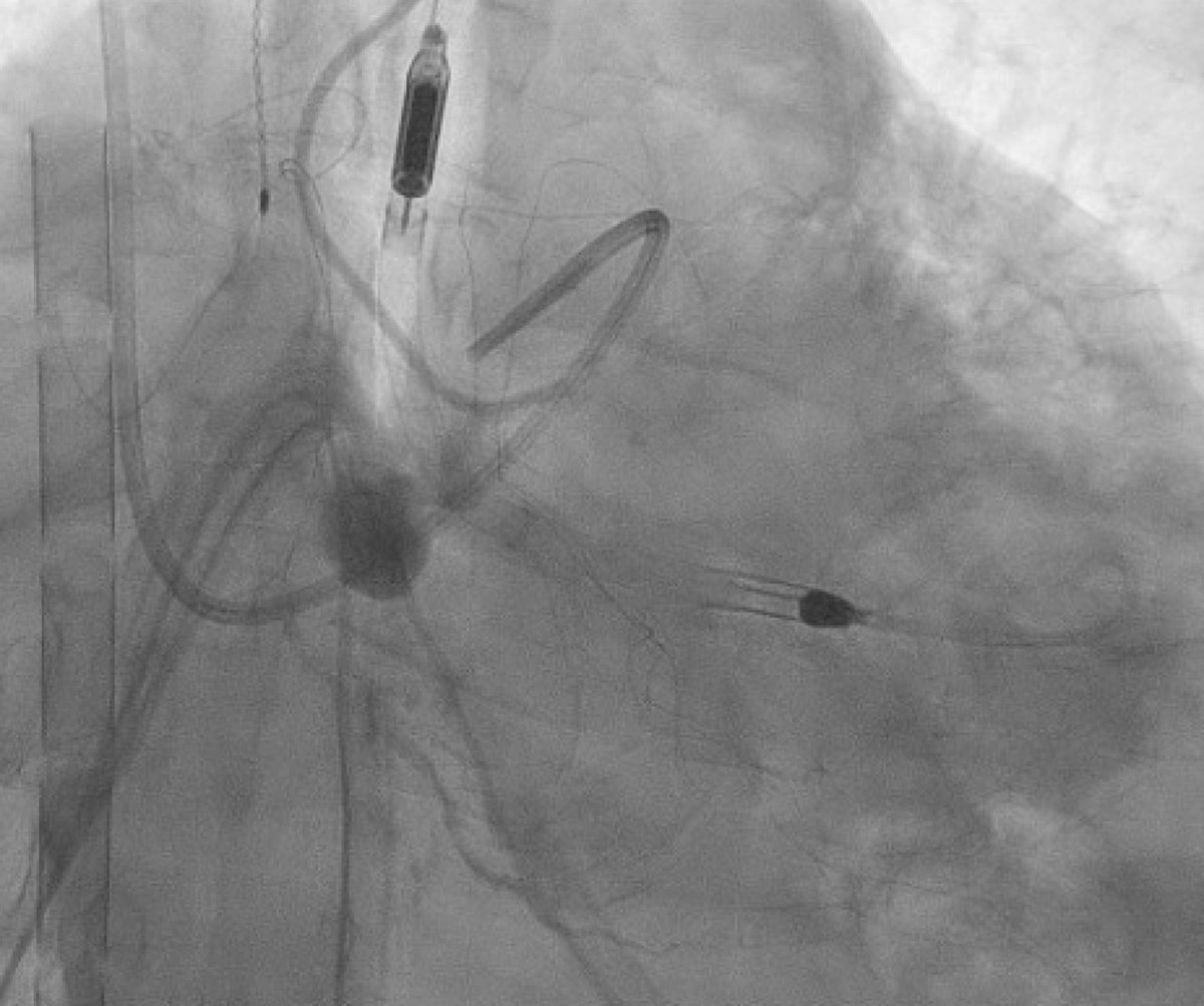
Usually I prefer #RadialFirst CHIP approach with femoral @abiomedimpella rather than #singleaccess to have site control if needed. But, chronic HD pt needing 1.75 rota burr via 7Fr does make for a nice trick up the sleeve.#CardioTwitter

TimDSmithMD's tweet image. Usually I prefer #RadialFirst CHIP approach with femoral @abiomedimpella  rather than #singleaccess to have site control if needed.  But, chronic HD pt needing 1.75 rota burr via 7Fr does make for a nice trick up the sleeve.#CardioTwitter

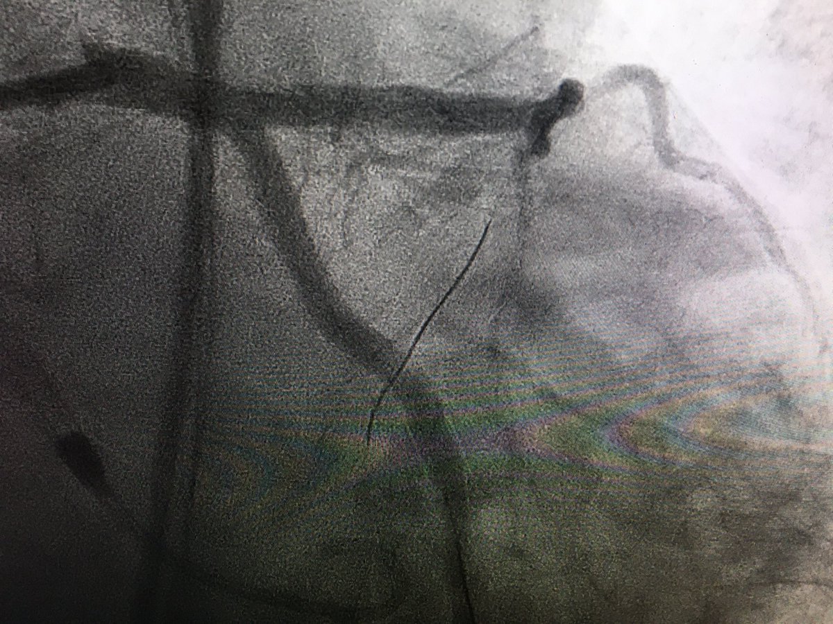
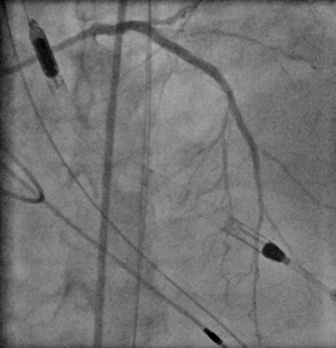
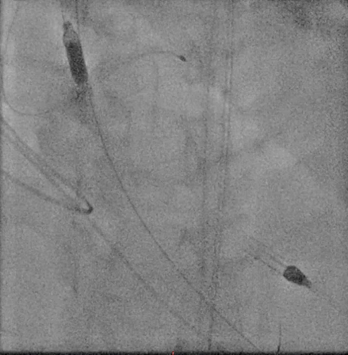
7Fr AL-1 guide, 7Fr guideliner, Rota extra support through a Corsair and still struggled with wire support. #how many catheters-inside-catheters does it take? #HRPCI #SingleAccess #balancedischemia #pimaheartandvascular #tmcstructuralheart

DrTomWaggoner's tweet image. 7Fr AL-1 guide, 7Fr guideliner, Rota extra support through a Corsair and still struggled with wire support. #how many catheters-inside-catheters does it take? #HRPCI #SingleAccess
#balancedischemia #pimaheartandvascular #tmcstructuralheart
DrTomWaggoner's tweet image. 7Fr AL-1 guide, 7Fr guideliner, Rota extra support through a Corsair and still struggled with wire support. #how many catheters-inside-catheters does it take? #HRPCI #SingleAccess
#balancedischemia #pimaheartandvascular #tmcstructuralheart
DrTomWaggoner's tweet image. 7Fr AL-1 guide, 7Fr guideliner, Rota extra support through a Corsair and still struggled with wire support. #how many catheters-inside-catheters does it take? #HRPCI #SingleAccess
#balancedischemia #pimaheartandvascular #tmcstructuralheart
DrTomWaggoner's tweet image. 7Fr AL-1 guide, 7Fr guideliner, Rota extra support through a Corsair and still struggled with wire support. #how many catheters-inside-catheters does it take? #HRPCI #SingleAccess
#balancedischemia #pimaheartandvascular #tmcstructuralheart

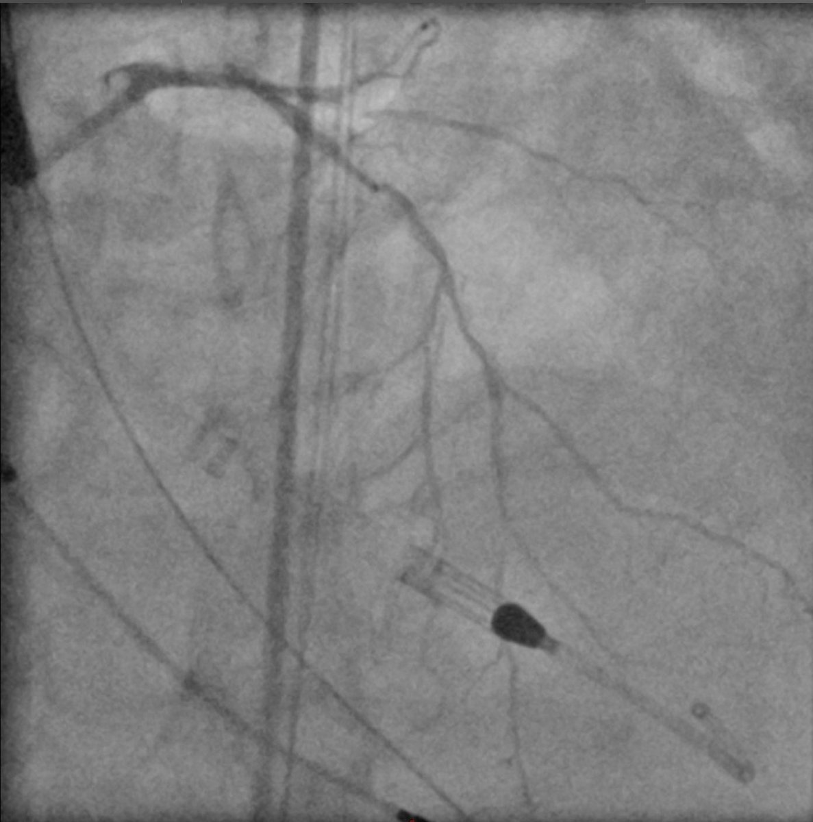
Another time #SingleAccess comes in handy: surgical cut-down axillary Impella (as part of EC-Pella) with need for same-sitting coronary angiography…

agtruesdell's tweet image. Another time #SingleAccess comes in handy: surgical cut-down axillary Impella (as part of EC-Pella) with need for same-sitting coronary angiography…

#TCT2020 #TCT2020 Live case from @HenryFordNews with @KAlaswadMD & @kjkunkelmd doing a live #SingleAccess #Transcaval #ProtectedPCI using an Impella 5.0 in a patient stabilized with profound shock. Lots of discussion with MCS options for profound AMICGS around the world.

DrSethdb's tweet image. #TCT2020 #TCT2020 Live case from @HenryFordNews with @KAlaswadMD & @kjkunkelmd doing a live #SingleAccess #Transcaval #ProtectedPCI using an Impella 5.0 in a patient stabilized with profound shock. Lots of discussion with MCS options for profound AMICGS around the world.

Loading...

Something went wrong.


Something went wrong.