
MIT Jameel Clinic for AI & Health
@AIHealthMIT
The epicenter of AI and health at MIT | Now on BlueSky: https://bsky.app/profile/aihealthmit.bsky.social | Follow us on LinkedIn and Instagram.
你可能會喜歡
Looking forward to #MoML2025 @ MIT on Oct. 22? We're adding to the excitement w/ the list of accepted papers now up on our website! Congrats to authors of accepted papers! Who will be in the Top 4 & who will win Best Paper? Take a guess: moml.mit.edu/posters

In a recent paper published in @NatComputSci, @aihealthmit Fellow Evan Collins, along w/ MIT professors Robert Langer and Daniel Anderson, discuss how self-driving labs can be assessed and thoughtfully applied to advance scientific discovery. nature.com/articles/s4358…

MIT & McMaster researchers have developed a compound that targets gut inflammation. Called enterololin, it takes on gut bacteria tied to Crohn’s flare-ups while sparing the microbiome. The team mapped its action in months instead of years using genAI: bit.ly/4gYhr02

🔬Researchers @AIHealthMIT + @McMasterU used DiffDock-L + Boltz-2 to test new antibiotics that target bacteria causing Crohn's disease. Specifically, the antibiotic enterololin, which was discovered via high throughput. Published today in @NatureMicrobiol nature.com/articles/s4156…

⏰ REMINDER: Tomorrow is the LAST DAY to submit a paper to #MoML2025! Submit for the chance to be recognized in the "Top 4" & give a talk about your work! The audience will then have the opportunity to select one winner of the Best Paper Prize! 📄Submit: moml.mit.edu/submit

⏳ < 1 week remains to submit a paper to #MoML2025 @ MIT! 🗓️ Submit by Friday, 10/3 for the chance to be among the top 4 papers selected to give a talk @ #MoML2025! Of these 4, only one will win the Octavian-Eugen Ganea Prize for Best Paper! 🏆 moml.mit.edu/submit

🗓️ Due to a high volume of requests around the ICLR deadline, we have extended the deadline for paper submissions to #MoML2025 @ MIT to Friday, Oct. 3! 🎟️ Submitting authors of accepted short papers will be granted free admission to #MoML2025! moml.mit.edu

Strong presence at 2025 MIT-MGB AI Cures event by MIT Jameel Clinic @AIHealthMIT: 5 posters, 3 selected for oral spotlights. Proud to put @BrighamCardiac on the map in the AI and medicine community. @BrighamResearch @MGBInnovation @MassGenBrigham @MGBResearchNews #NezamiLab




So much exciting and impactful work happening at the intersection of AI and health! Congrats again to authors of the Spotlighted abstracts! #AICures2025



Thank you to @LeciaSequist for leading and organizing this fascinating panel on deploying Sybil in different hospital settings w/ Florian Fintelmann, Raymond Osarogiagbon, @MaryPasquinelli, and Bill Mayfield! #AICures2025




Next up @KhuranaBharti and her students spoke about using AI to predict signs of domestic violence years before patients seek help and develop categories of frailty in older adults. #AICures2025


#JameelClinic PI @dina_katabi talks about using AI to remotely and accurately (AUC 0.85) detect antidepressant adherence from one night of sleep by analyzing data from radio waves that bounce off the body, personalizing mental health and patient care. #AICures2025


“Can we predict your social vulnerability and measure of health in the future using past environmental status?” #JClinic PI @MarzyehGhassemi talks about training AI on environmental data, not human health metrics, to predict health outcomes w/ high accuracy. #AICures2025


#JameelClinic PI Elazer Edelman compares AI to the mythical Golem. “Its downfall was uncontrollable. Very much like AI today, it can obey literally but can often miss its intent.” #AICures2025


“You can now go from ideation to dissemination in a matter of weeks, not years.” - @jhalamka, President of Mayo Clinic Platform and member of @mit_hst’s first graduating class! #AICures2025


“There is no better time and no more important time than now to strike partnerships that will have a tangible difference.” - Anne Klibanski, CEO and President of @MassGenBrigham #AICures2025


“Please know that as you work together to build a future for clinical AI, you are also helping to secure the future of American scientific enterprise.” - @mit President Sally Kornbluth


#AICures2025 ready to begin soon! Looking forward to seeing you all at Samberg Conference Center today!



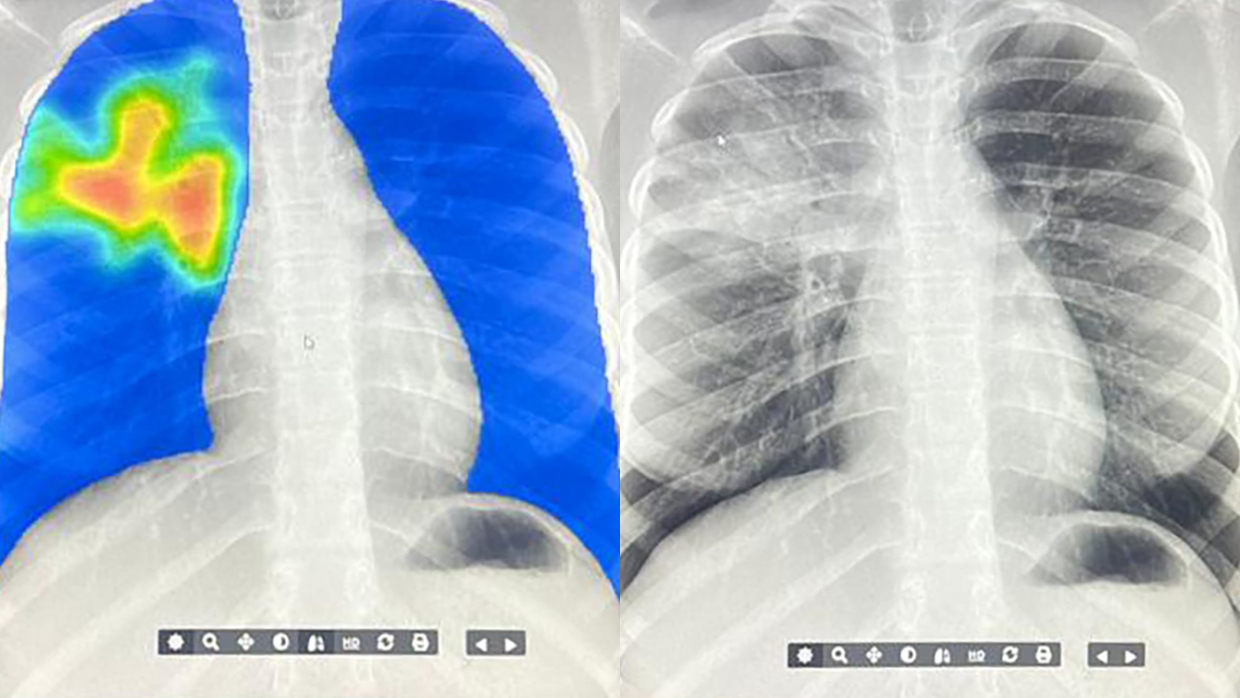
FT's AI correspondent @Melissahei recently interviewed #JameelClinic PI @MarzyehGhassemi on her work in revealing how typos & even extra white space in medical notes can cause AI to misdiagnose patients. Featured on the front page of of @FT's Tech section! ft.com/content/128ee8…

United States 趨勢
- 1. Chiefs 107K posts
- 2. Branch 32.7K posts
- 3. Mahomes 32.8K posts
- 4. #TNABoundForGlory 54.3K posts
- 5. Binance DEX 5,115 posts
- 6. #LoveCabin 1,115 posts
- 7. #LaGranjaVIP 66.4K posts
- 8. LaPorta 10.6K posts
- 9. Red Cross 35.3K posts
- 10. Bryce Miller 4,412 posts
- 11. Rod Wave 1,195 posts
- 12. Goff 13.7K posts
- 13. Dan Campbell 3,808 posts
- 14. Kelce 16.4K posts
- 15. #OnePride 6,369 posts
- 16. Butker 8,473 posts
- 17. Mariners 49.3K posts
- 18. #DETvsKC 4,958 posts
- 19. Eitan Mor 6,265 posts
- 20. Omri Miran 6,719 posts
你可能會喜歡
-
MedAI Group
@MedaiStanford -
Mihaela van der Schaar
@MihaelaVDS -
ML4H
@SymposiumML4H -
chilconference
@CHILconference -
MIT-IBM Watson AI Lab
@MITIBMLab -
Max Welling
@wellingmax -
Hannes Stärk
@HannesStaerk -
Tom Hartvigsen
@tom_hartvigsen -
Cambridge Centre for AI in Medicine
@CC4AIM -
Pranav Rajpurkar
@pranavrajpurkar -
MIT Schwarzman College of Computing
@MIT_SCC -
Gabriele Corso
@GabriCorso -
MLSB (in San Diego + Copenhagen)
@workshopmlsb -
Chaitanya K. Joshi
@chaitjo -
James Zou
@james_y_zou
Something went wrong.
Something went wrong.