ClinExpPathol's profile picture.

ClinExprmntlPathol

@ClinExpPathol

You might like

Management Outcome of Small Intestinal Obstruction in Mizan Aman General Hospital, Ethiopia bit.ly/2BKSwKV


ClinExprmntlPathol reposted

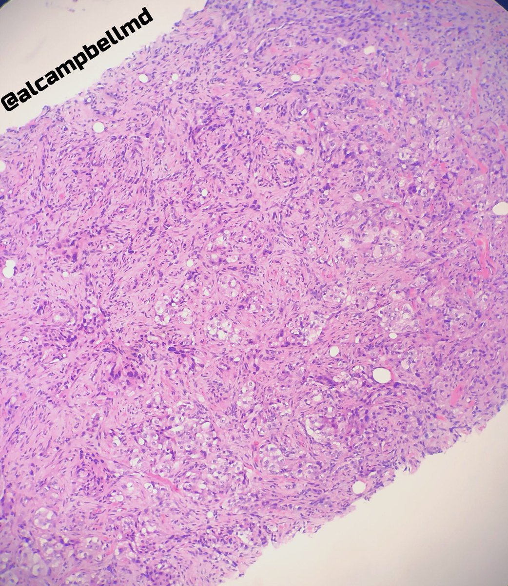
Partner showed me this 65 yo female with a left breast mass at 12 o’clock. Also axillary lymph node that is positive with same. Morphology was a little odd so I suggested IHC. Uncommon example of metastatic lung adeno presenting as a primary breast mass. #Pathology #breastpath

alcampbellmd's tweet image. Partner showed me this 65 yo female with a left breast mass at 12 o’clock. Also axillary lymph node that is positive with same. Morphology was a little odd so I suggested IHC. Uncommon example of metastatic lung adeno presenting as a primary breast mass. #Pathology #breastpath
alcampbellmd's tweet image. Partner showed me this 65 yo female with a left breast mass at 12 o’clock. Also axillary lymph node that is positive with same. Morphology was a little odd so I suggested IHC. Uncommon example of metastatic lung adeno presenting as a primary breast mass. #Pathology #breastpath
alcampbellmd's tweet image. Partner showed me this 65 yo female with a left breast mass at 12 o’clock. Also axillary lymph node that is positive with same. Morphology was a little odd so I suggested IHC. Uncommon example of metastatic lung adeno presenting as a primary breast mass. #Pathology #breastpath
alcampbellmd's tweet image. Partner showed me this 65 yo female with a left breast mass at 12 o’clock. Also axillary lymph node that is positive with same. Morphology was a little odd so I suggested IHC. Uncommon example of metastatic lung adeno presenting as a primary breast mass. #Pathology #breastpath

Digital #Pathology: Roadmap to the Future of Medical Diagnosis bit.ly/2FInA0U

ClinExpPathol's tweet image. Digital #Pathology: Roadmap to the Future of Medical Diagnosis
bit.ly/2FInA0U

Autophagy, Inflammation, Degeneration: Parsing an Unholy Trinity bit.ly/2FkjkFp

ClinExpPathol's tweet image. Autophagy, Inflammation, Degeneration: Parsing an Unholy Trinity
bit.ly/2FkjkFp

Chlamydial Infection Mimicking Rectal Neoplasia: An Uncommon Diagnosis Complicated by the Interference of Drugs Used for the Treatment of Symptoms bit.ly/2Ryq1t3

ClinExpPathol's tweet image. Chlamydial Infection Mimicking Rectal Neoplasia: An Uncommon
Diagnosis Complicated by the Interference of Drugs Used for the
Treatment of Symptoms

bit.ly/2Ryq1t3

ClinExprmntlPathol reposted

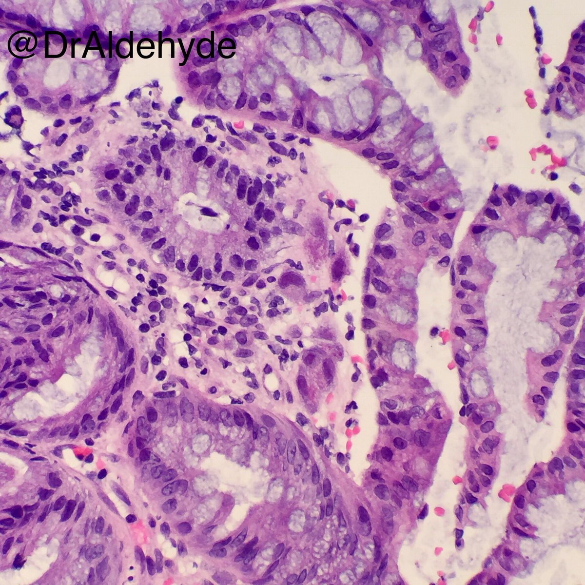
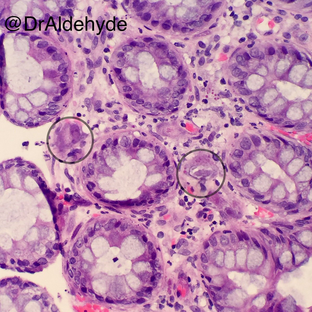
Friday special. 😆🔬 CMV colitis showing characteristic infected cytomegalic cells with basophilic intranuclear inclusions surrounded by a clear halo + smaller granular intracytoplasmic inclusions #GIPath #PathBugs #crittersontwitter #PathArt 🐛🎨

DrAldehyde's tweet image. Friday special. 😆🔬

CMV colitis showing characteristic infected cytomegalic cells with basophilic intranuclear inclusions surrounded by a clear halo + smaller granular intracytoplasmic inclusions

#GIPath #PathBugs #crittersontwitter #PathArt 🐛🎨
DrAldehyde's tweet image. Friday special. 😆🔬

CMV colitis showing characteristic infected cytomegalic cells with basophilic intranuclear inclusions surrounded by a clear halo + smaller granular intracytoplasmic inclusions

#GIPath #PathBugs #crittersontwitter #PathArt 🐛🎨
DrAldehyde's tweet image. Friday special. 😆🔬

CMV colitis showing characteristic infected cytomegalic cells with basophilic intranuclear inclusions surrounded by a clear halo + smaller granular intracytoplasmic inclusions

#GIPath #PathBugs #crittersontwitter #PathArt 🐛🎨

It may feel like collectors take a lot of blood when you have a blood test, don’t worry, 15 million blood cells are produced and destroyed in the human body every second!

ClinExpPathol's tweet image. It may feel like collectors take a lot of blood when you have a blood test, don’t worry, 15 million blood cells are produced and destroyed in the human body every second!

#Phantageusia and its Inhibition by Repetitive #Transcranial Magnetic Stimulation bit.ly/2Bfs0Z5

ClinExpPathol's tweet image. #Phantageusia and its Inhibition by Repetitive #Transcranial Magnetic Stimulation
bit.ly/2Bfs0Z5

#Hypersecretory Thyroid-like Adenosis of the #Breast: A Distinct Benign Entity Devoid of #MyoepithelialCells bit.ly/2rmU34g Submit your articles at: [email protected]

ClinExpPathol's tweet image. #Hypersecretory Thyroid-like Adenosis of the #Breast: A Distinct Benign Entity Devoid of #MyoepithelialCells
bit.ly/2rmU34g
Submit your articles at: editor.jcep@eclinicaljournals.com

Clinical Effectiveness of Routine Pathological Exam after Bariatric #Laparoscopic Sleeve #Gastrectomy bit.ly/2QwTvHj

ClinExpPathol's tweet image. Clinical Effectiveness of Routine Pathological Exam after Bariatric
#Laparoscopic Sleeve #Gastrectomy
bit.ly/2QwTvHj

Submit your research at: [email protected]

Our Tetbow paper is out @eLife. An improved multicolor labeling method for large-scale & high-resolution circuit tracing in cleared brains. elifesciences.org/articles/40350 Plasmids are available @Addgene. Here is a Tetbow + SeeDB2 image with @LeicaMicro.



Arnold Aronson, Mayo Clinic speech #pathology researcher, dies at 90 startribune.com/arnold-aronson…

ClinExpPathol's tweet image. Arnold Aronson, Mayo Clinic speech #pathology researcher, dies at 90
startribune.com/arnold-aronson…

MUC1 and C-Met Affect Proliferation, Intercellular Junctions and Invasion in Two #Head and Neck #Carcinoma Cell Lines omicsonline.org/open-access/mu…

ClinExpPathol's tweet image. MUC1 and C-Met Affect Proliferation, Intercellular Junctions and Invasion in Two #Head and Neck #Carcinoma Cell Lines
omicsonline.org/open-access/mu…

Loading...

Something went wrong.


Something went wrong.