Nate_path's profile picture. Pathology resident | Interested in #CytoPath #GynPath #Microbiology | #Coffee #Swimming | 🇲🇼 🇿🇦 Doctor with a passion for #GlobalHealth

Nathan McGrath

@Nate_path

Pathology resident | Interested in #CytoPath #GynPath #Microbiology | #Coffee #Swimming | 🇲🇼 🇿🇦 Doctor with a passion for #GlobalHealth

Przypięty

Some #Cytopath #Histopath correlation. The 3 components of a Wilms tumour: Blastemal, Epithelial and Blastemal #PediPath 🔬

Nate_path's tweet image. Some #Cytopath #Histopath correlation. The 3 components of a Wilms tumour: Blastemal, Epithelial and Blastemal #PediPath 🔬

Nathan McGrath podał dalej

Thank you @IAbukhiran of @pitt_medicine for presenting on the role of #digitalpathology in biomarker discovery at #GrandRounds! #PathTwitter Dr. Abukhiran is both a former resident in our AC/PC program and gastrointestinal fellowship, completing the programs in 2021 and 2022.

UIPathology's tweet image. Thank you @IAbukhiran of @pitt_medicine for presenting on the role of #digitalpathology in biomarker discovery at #GrandRounds! #PathTwitter

Dr. Abukhiran is both a former resident in our AC/PC program and gastrointestinal fellowship, completing the programs in 2021 and 2022.

Nathan McGrath podał dalej

Final Whipple of the day ✓ On World Pancreatic Cancer Day, grateful for our pathology assistants who bring expertise and care to every case. The work that happens behind the scenes matters. #WorldPancreaticCancerDay #PancreaticCancer @UPMC @UPMCnews

PancPathologist's tweet image. Final Whipple of the day ✓ On World Pancreatic Cancer Day, grateful for our pathology assistants who bring expertise and care to every case. The work that happens behind the scenes matters. #WorldPancreaticCancerDay #PancreaticCancer @UPMC @UPMCnews

Nathan McGrath podał dalej

Looking for an antidote to the Winter blues and some high-yield CME? Join us in Palm Springs this January for the @PurdyStout @TheUSCAP Interactive Microscopy Course! It’s a great line-up and @JLHornick may share cooking tips with you during the breaks! my.uscap.org/app/program/MF…

AnneMillsMD's tweet image. Looking for an antidote to the Winter blues and some high-yield CME?  Join us in Palm Springs this January for the @PurdyStout @TheUSCAP Interactive Microscopy Course!  It’s a great line-up and @JLHornick may share cooking tips with you during the breaks! my.uscap.org/app/program/MF…

Nathan McGrath podał dalej

Very excited to see this in print. Our latest commentary highlighting the "missing piece of the puzzle" in neuroendocrine neoplasm classification, published in Med @CellPressNews . NENs are classified based on morphology, site of origin, and Ki-67 proliferation indices. These…

UGrewalMD's tweet image. Very excited to see this in print. Our latest commentary highlighting the "missing piece of the puzzle" in neuroendocrine neoplasm classification, published in Med @CellPressNews . NENs are classified based on morphology, site of origin, and Ki-67 proliferation indices. These…

I’m sure the pathologist was ‘barking’ up the wrong tree…

DOG1 negative GIST??? lemme see for myself🔬

slusagar's tweet image. DOG1 negative GIST???

lemme see for myself🔬


Don’t just rush through those ‘uninvolved tissue’ sections, there’s still a few ‘gems’ to appreciate 💎 #PathX #gupath #prostate

Nate_path's tweet image. Don’t just rush through those ‘uninvolved tissue’ sections, there’s still a few ‘gems’ to appreciate 💎 #PathX #gupath #prostate
Nate_path's tweet image. Don’t just rush through those ‘uninvolved tissue’ sections, there’s still a few ‘gems’ to appreciate 💎 #PathX #gupath #prostate
Nate_path's tweet image. Don’t just rush through those ‘uninvolved tissue’ sections, there’s still a few ‘gems’ to appreciate 💎 #PathX #gupath #prostate
Nate_path's tweet image. Don’t just rush through those ‘uninvolved tissue’ sections, there’s still a few ‘gems’ to appreciate 💎 #PathX #gupath #prostate

Nathan McGrath podał dalej

We’re delighted to hear from Dr. Petronila Ngiloi, COSECSA Country Representative for Tanzania. In her message, she shares inspiring words on strengthening surgical training and collaboration across Africa all as we look forward to #COSECSA2025 in Bujumbura.@AbucSurgery @ECSA_HC


Nathan McGrath podał dalej

The WHO has long upheld health equity as a guiding principle. Yet this principle is not fully realised in its most influential product in oncology: the WHO Classification of Tumours. @Vik_deshpandeMD @BenMazer and Sanjay Pai

BMJOncology's tweet image. The WHO has long upheld health equity as a guiding principle. Yet this principle is not fully realised in its most influential product in oncology: the WHO Classification of Tumours. 

@Vik_deshpandeMD @BenMazer and Sanjay Pai

Nathan McGrath podał dalej

Thank you Dr. Liron Pantanowitz for joining us for Grand Rounds and sharing UPMC’s digital pathology journey! #PurplePath

NU_Pathology's tweet image. Thank you Dr. Liron Pantanowitz for joining us for Grand Rounds and sharing UPMC’s digital pathology journey! #PurplePath

Nathan McGrath podał dalej

🥼📲📸 Last chance to complete survey. Let us know what you think about digital pathology and influence policy! Please complete the survey so we get a representative view of what’s happening in Africa. Only 10 min to do 💿📸✅ forms.gle/hKxQSc8FDLvUvi…


Nathan McGrath podał dalej

Can you guess the cephalosporin 🤔

simplify_drugs's tweet image. Can you guess the cephalosporin 🤔

Nathan McGrath podał dalej

70s F, partial nephrectomy. What is your diagnosis? Gross photo in the chat. #PathTwitter @MGBpathology @MGHPathology @PathDocBoston

TingZhaoPathdoc's tweet image. 70s F, partial nephrectomy. What is your diagnosis? Gross photo in the chat.
#PathTwitter
@MGBpathology @MGHPathology @PathDocBoston
TingZhaoPathdoc's tweet image. 70s F, partial nephrectomy. What is your diagnosis? Gross photo in the chat.
#PathTwitter
@MGBpathology @MGHPathology @PathDocBoston
TingZhaoPathdoc's tweet image. 70s F, partial nephrectomy. What is your diagnosis? Gross photo in the chat.
#PathTwitter
@MGBpathology @MGHPathology @PathDocBoston

Nathan McGrath podał dalej

The American Society for Clinical Pathology urges pathologists and laboratory professionals to contact Congress in support of two bipartisan measures addressing the nation’s physician shortage: the Resident Physician Shortage Act and the Doctors in Our Borders Act. These bills…

ASCP_Chicago's tweet image. The American Society for Clinical Pathology urges pathologists and laboratory professionals to contact Congress in support of two bipartisan measures addressing the nation’s physician shortage: the Resident Physician Shortage Act and the Doctors in Our Borders Act. These bills…

Nathan McGrath podał dalej

#MentalHealth is shaped by more than just the mind. Social factors like poverty & housing also affect mental health. WHO mental health guidance provides all countries with practical tools to strengthen policies & services, ensures people with lived experience have a voice &…

WHO's tweet image. #MentalHealth is shaped by more than just the mind. Social factors like poverty & housing also affect mental health. 

WHO mental health guidance provides all countries with practical tools to strengthen policies & services, ensures people with lived experience have a voice &…

Nathan McGrath podał dalej

🔍 Case of the Day | The Value of MRI in Recurrent Meningitis A 29-year-old female presents with recurrent episodes of meningitis, without prior trauma or surgery. Clinical suspicion: occult anterior skull base defect. 🩻 MRI Brain: • Cribriform plate defect measuring 9.8 ×…

Jacques_Robin's tweet image. 🔍 Case of the Day | The Value of MRI in Recurrent Meningitis

A 29-year-old female presents with recurrent episodes of meningitis, without prior trauma or surgery. Clinical suspicion: occult anterior skull base defect.

🩻 MRI Brain:
• Cribriform plate defect measuring 9.8 ×…
Jacques_Robin's tweet image. 🔍 Case of the Day | The Value of MRI in Recurrent Meningitis

A 29-year-old female presents with recurrent episodes of meningitis, without prior trauma or surgery. Clinical suspicion: occult anterior skull base defect.

🩻 MRI Brain:
• Cribriform plate defect measuring 9.8 ×…
Jacques_Robin's tweet image. 🔍 Case of the Day | The Value of MRI in Recurrent Meningitis

A 29-year-old female presents with recurrent episodes of meningitis, without prior trauma or surgery. Clinical suspicion: occult anterior skull base defect.

🩻 MRI Brain:
• Cribriform plate defect measuring 9.8 ×…
Jacques_Robin's tweet image. 🔍 Case of the Day | The Value of MRI in Recurrent Meningitis

A 29-year-old female presents with recurrent episodes of meningitis, without prior trauma or surgery. Clinical suspicion: occult anterior skull base defect.

🩻 MRI Brain:
• Cribriform plate defect measuring 9.8 ×…

Nathan McGrath podał dalej

@smlungpathguy finally something that makes sense! Not some exotic only I can use criteria!

Now, here’s an important proposal — a must-read for anyone involved in writing guidelines, whether for the CAP or for global frameworks like those of the @WHO. jcp.bmj.com/search/jcp-202…

JClinPath_BMJ's tweet image. Now, here’s an important proposal — a must-read for anyone involved in writing guidelines, whether for the CAP or for global frameworks like those of the @WHO.
jcp.bmj.com/search/jcp-202…


Nathan McGrath podał dalej

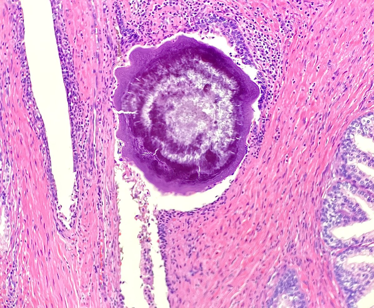
40 yrs old man with right foot swelling which appeared and growing rapidly after his foot penetrated by a thorn. A classic eucmycetoma, aka Madura foot with foreign body giant cell reaction. #pathology #dermpath. #Madura_foot

pathphyo's tweet image. 40 yrs old man with right foot swelling which appeared and growing rapidly after his foot penetrated by a thorn. 
A classic eucmycetoma, aka  Madura foot with foreign body giant cell reaction. #pathology #dermpath. #Madura_foot
pathphyo's tweet image. 40 yrs old man with right foot swelling which appeared and growing rapidly after his foot penetrated by a thorn. 
A classic eucmycetoma, aka  Madura foot with foreign body giant cell reaction. #pathology #dermpath. #Madura_foot
pathphyo's tweet image. 40 yrs old man with right foot swelling which appeared and growing rapidly after his foot penetrated by a thorn. 
A classic eucmycetoma, aka  Madura foot with foreign body giant cell reaction. #pathology #dermpath. #Madura_foot
pathphyo's tweet image. 40 yrs old man with right foot swelling which appeared and growing rapidly after his foot penetrated by a thorn. 
A classic eucmycetoma, aka  Madura foot with foreign body giant cell reaction. #pathology #dermpath. #Madura_foot


Nathan McGrath podał dalej

cap.org/member-resourc… Have you registered for @Pathologists' Engaged Leadership Academy? If not, what are you waiting for? Join us!

KMirza's tweet image. cap.org/member-resourc…

Have you registered for @Pathologists' Engaged Leadership Academy? 

If not, what are you waiting for? Join us!

Please consider completing this! #PathX #PathTwitter

📡📱🔬Digital Pathology & Cytology in Africa! Are you working in anatomical pathology or cytology in Africa? 📲💿🌍 Tell us what you think in 10-15 minutes using the survey here: forms.gle/hKxQSc8FDLvUvi…



Loading...

Something went wrong.


Something went wrong.