
Nathan McGrath
@Nate_path
Pathology resident | Interested in #CytoPath #GynPath #Microbiology | #Coffee #Swimming | 🇲🇼 🇿🇦 Doctor with a passion for #GlobalHealth
คุณอาจชื่นชอบ
Some #Cytopath #Histopath correlation. The 3 components of a Wilms tumour: Blastemal, Epithelial and Blastemal #PediPath 🔬

The American Society for Clinical Pathology urges pathologists and laboratory professionals to contact Congress in support of two bipartisan measures addressing the nation’s physician shortage: the Resident Physician Shortage Act and the Doctors in Our Borders Act. These bills…

#MentalHealth is shaped by more than just the mind. Social factors like poverty & housing also affect mental health. WHO mental health guidance provides all countries with practical tools to strengthen policies & services, ensures people with lived experience have a voice &…

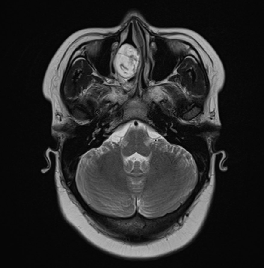
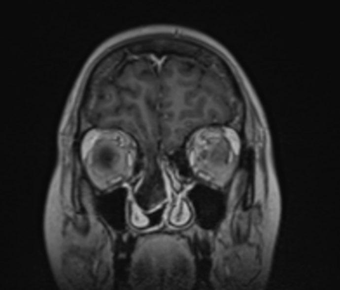
🔍 Case of the Day | The Value of MRI in Recurrent Meningitis A 29-year-old female presents with recurrent episodes of meningitis, without prior trauma or surgery. Clinical suspicion: occult anterior skull base defect. 🩻 MRI Brain: • Cribriform plate defect measuring 9.8 ×…




@smlungpathguy finally something that makes sense! Not some exotic only I can use criteria!
Now, here’s an important proposal — a must-read for anyone involved in writing guidelines, whether for the CAP or for global frameworks like those of the @WHO. jcp.bmj.com/search/jcp-202…

40 yrs old man with right foot swelling which appeared and growing rapidly after his foot penetrated by a thorn. A classic eucmycetoma, aka Madura foot with foreign body giant cell reaction. #pathology #dermpath. #Madura_foot




cap.org/member-resourc… Have you registered for @Pathologists' Engaged Leadership Academy? If not, what are you waiting for? Join us!

Immunohistochemistry in Pathology youtu.be/s5XbGh-aD9c?si… via @YouTube
youtube.com
YouTube
Immunohistochemistry in Pathology
Please consider completing this! #PathX #PathTwitter
📡📱🔬Digital Pathology & Cytology in Africa! Are you working in anatomical pathology or cytology in Africa? 📲💿🌍 Tell us what you think in 10-15 minutes using the survey here: forms.gle/hKxQSc8FDLvUvi…
CP Case of the Month: 61-year-old male with history of T2 DM, HTN, HLD, nephrolithiasis, basal cell carcinoma (s/p excision), and bilateral testicular masses (s/p recent bilateral orchiectomy at an outside hospital 2-3 months ago) presented with multiple chest wall masses.
Check out these amazing educational tweets for September 2025 #PathTweetAward @cebulka26 @smlungpathguy @GIJamesMD @adi_agnihotri @ariella8 @archibhat3 @LakshmiKoulmane @pembeoltulu @VijayPatho @VHNguyenMD @ahsanuitis @PoojaSMD @ThatGlassTho @jsamsoondar

#Parasite case 787 is up, donated by Dr. Beth Adams: a worm coughed up by a patient in Honduras. What is your diagnosis? parasitewonders.blogspot.com/2025/09/case-o… Answer later this week! #mayopath #pathology #PathBugs #CritersonTwitter
It can be easy to get discouraged about the current state global health advocacy at the moment, but knowing there are people like @KMirza at the top of our field advocating at every level is such a boost💪
Last night I had the privilege of speaking at the Michigan chapter induction of the Global Surgery Student Alliance (GSSA). 🌍@michigangssa I shared reflections on the critical role of global pathology and laboratory medicine in advancing global health, and the importance of…

Metastatic breast carcinoma in cerebrospinal fluid. Pap-stained cytospin.

Cancers aren’t always static. See our recent publication on transdifferentiation of a hairy cell leukemia to histiocytic sarcoma. Published in @HeadNeckPath @StanfordPath #PathTwitter #HemePath #MedTwitter #PathX link.springer.com/article/10.100…

#Parasite case 786 is up, donated by Dr. Richard Bradbury: found in stool in an HIV positive pt. living in Tanzania. Object measures 25-30 µm. parasitewonders.blogspot.com/2025/09/case-o… ID? Answer later this week! #mayopath #pathology #PathBugs



@UPMCPath invites all interested applicants to our last open house for the year! Learn why our residency is ranked among the top training program. Third UPMC Pathology Residency Program Virtual Open House Tuesday, September 16, 7-8:30PM EDT (Sign Up Link: surveymonkey.com/r/UPMC_Patholo…

Hey, check us out! Open houses announced for @Pathology_URMC residency program. #Pathmatch2026 #Path2Path

Women of Malawi, your vote is your power! This election, let your voice be heard. Go out and vote! #VoteForHer #MalawiElections2025

Elderly woman with a tender paraspinal mass. CT: enlarging, partially calcified nodule (2.4 cm in 2022 → 5.2 cm). Chest CT: lung mets 🫁

United States เทรนด์
- 1. Bears 81.8K posts
- 2. Jake Moody 11.4K posts
- 3. Falcons 48K posts
- 4. Bills 136K posts
- 5. Snell 20.7K posts
- 6. Josh Allen 24.5K posts
- 7. Caleb 44.5K posts
- 8. #BearDown 1,890 posts
- 9. Swift 286K posts
- 10. #Dodgers 14.2K posts
- 11. Jayden Daniels 9,972 posts
- 12. Turang 3,928 posts
- 13. Ben Johnson 3,671 posts
- 14. Bijan 30.2K posts
- 15. phil 154K posts
- 16. #NLCS 13.2K posts
- 17. #RaiseHail 8,095 posts
- 18. Roki 5,746 posts
- 19. Brewers 45.8K posts
- 20. Troy Aikman 5,056 posts
คุณอาจชื่นชอบ
-
Gary L. Keeney, M.D.
@GaryKeeneyMD -
Felipe D'Almeida
@FelipePatologia -
Immanuel Paul
@Immanuel_Paul30 -
Shweta Agarwal
@ShwetaA61079880 -
Sumeyra Kartal
@sumeyra_md -
Robert Futoran
@RFutoran -
Aswathy Menon
@dr_amenona -
Naveen kumar
@drnaveenk8 -
Fresia Wongkar
@fresia_jw -
Jackson Barbosa, MD
@jcksalex -
Anandi Lobo, MD
@LoboAnandi -
Mateen Hussain
@MateenH79781868 -
Frida Rosenblum
@FridaRosenblum -
Negin Farsi
@Neginfar1 -
Dina Zenezan,MD
@DZenezan
Something went wrong.
Something went wrong.