RigelGar's profile picture. Gracias a Dios mamá. Mexicana orgullosa. Patóloga en formación siempre. 
Música y escritora si volviera a nacer.

RigelGar

@RigelGar

Gracias a Dios mamá. Mexicana orgullosa. Patóloga en formación siempre. Música y escritora si volviera a nacer.

RigelGar heeft deze post opnieuw geplaatst

📷 NGC 3324, Keyhole Nebula tmblr.co/ZLB4bw2XFKRk4

maiz_julio's tweet image. 📷 NGC 3324, Keyhole Nebula tmblr.co/ZLB4bw2XFKRk4

RigelGar heeft deze post opnieuw geplaatst

Algoritmo de Manejo de la Hipertensión según las Guías Europeas 2024 👇 #ESC #Cardiologia #MIR #ENARM #2MIR25

CardioNotion's tweet image. Algoritmo de Manejo de la Hipertensión según las Guías Europeas 2024 👇
#ESC #Cardiologia #MIR #ENARM #2MIR25

RigelGar heeft deze post opnieuw geplaatst

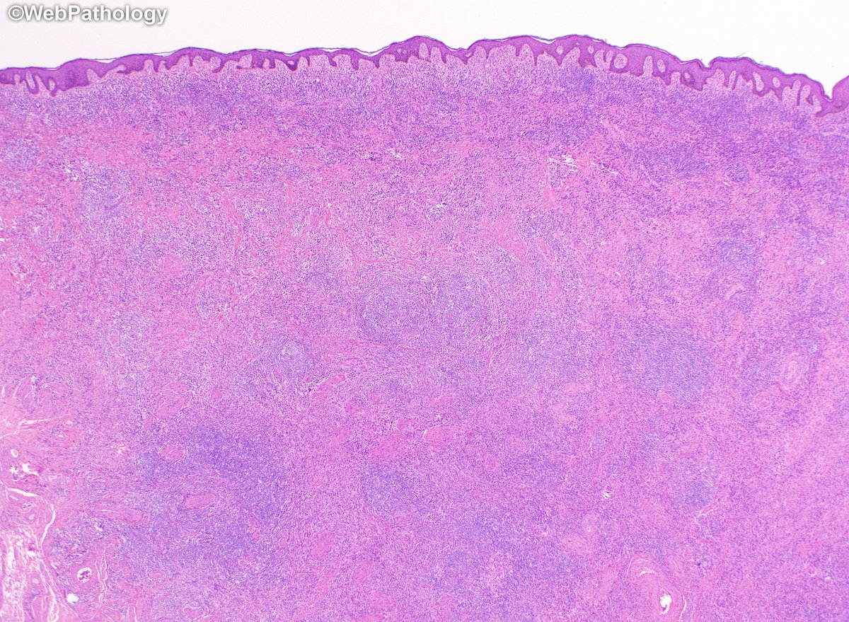
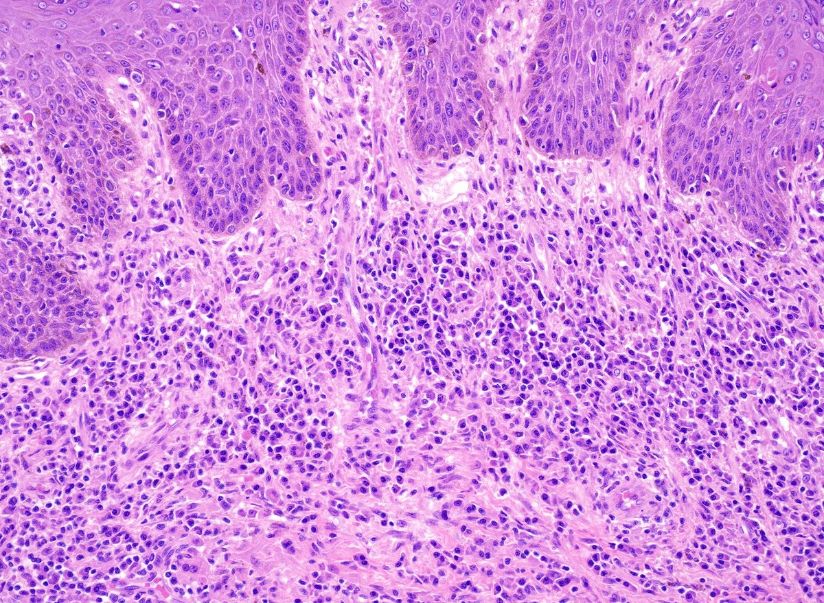
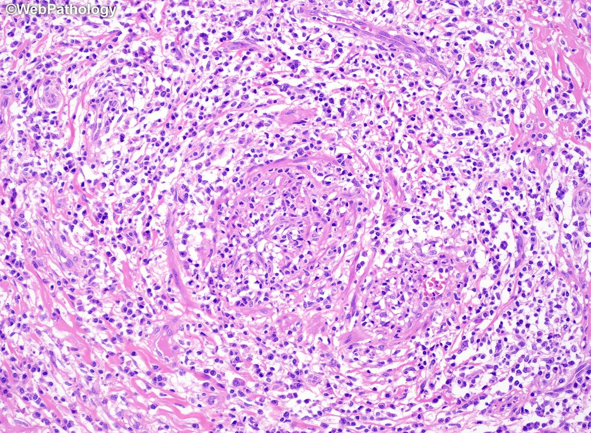
Adult male with a large ulcerated and indurated lesion on foreskin. What would you do next? Additional images and diagnosis will be posted later. #gupath

WebPathology's tweet image. Adult male with a large ulcerated and indurated lesion on foreskin. What would you do next? Additional images and diagnosis will be posted later. #gupath
WebPathology's tweet image. Adult male with a large ulcerated and indurated lesion on foreskin. What would you do next? Additional images and diagnosis will be posted later. #gupath
WebPathology's tweet image. Adult male with a large ulcerated and indurated lesion on foreskin. What would you do next? Additional images and diagnosis will be posted later. #gupath
WebPathology's tweet image. Adult male with a large ulcerated and indurated lesion on foreskin. What would you do next? Additional images and diagnosis will be posted later. #gupath

RigelGar heeft deze post opnieuw geplaatst

Join GlomCon this Sunday Evolution of the KDIGO Guidelines by Dr. Brad Rovin and Dr. Sayna Norouzi ID: 817 4374 4653 Passcode: 202122 Sign up 👉 bit.ly/signup-glomcon #GlomCon

GlomCon's tweet image. Join GlomCon this Sunday 

Evolution of the KDIGO Guidelines by Dr. Brad Rovin and Dr. Sayna Norouzi 

ID: 817 4374 4653 
Passcode: 202122  

Sign up 👉 bit.ly/signup-glomcon #GlomCon

RigelGar heeft deze post opnieuw geplaatst

La Luna tiene un lado que nunca vemos desde la Tierra. Muy pronto, la tripulación de @NASAArtemis II explorará este lado lejano durante un sobrevuelo. La información que recolecten será fundamental para futuras misiones: go.nasa.gov/49VCFK0

NASA_es's tweet image. La Luna tiene un lado que nunca vemos desde la Tierra. Muy pronto, la tripulación de @NASAArtemis II explorará este lado lejano durante un sobrevuelo. La información que recolecten será fundamental para futuras misiones: go.nasa.gov/49VCFK0

RigelGar heeft deze post opnieuw geplaatst

(11/n) @RutaGupta and colleagues provide helpful tips to navigate challenges in head and neck pathology in a special issue of @Human_Pathology.

Shounak_Gupta's tweet image. (11/n) @RutaGupta and colleagues provide helpful tips to navigate challenges in head and neck pathology in a special issue of @Human_Pathology.

RigelGar heeft deze post opnieuw geplaatst

The Southeast Asian Urological Pathology Society (SEAUPS) proudly presents: ugm-id.zoom.us/meeting/regist…

Pathology_Xever's tweet image. The Southeast Asian Urological Pathology Society (SEAUPS) proudly presents: 
ugm-id.zoom.us/meeting/regist…

RigelGar heeft deze post opnieuw geplaatst

Skeletal muscle tumors - malignant (basic facts for residents)

AbhijitSurgPath's tweet image. Skeletal muscle tumors - malignant (basic facts for residents)

RigelGar heeft deze post opnieuw geplaatst

Casi todo mi conocimiento actualizado se lo debo a una informática kazaja que consideró que la información científica era de uso público y debía estar a nuestra disposición gratuitamente:

rodrigogmarina's tweet image. Casi todo mi conocimiento actualizado se lo debo a una informática kazaja que consideró que la información científica era de uso público y debía estar a nuestra disposición gratuitamente:

RigelGar heeft deze post opnieuw geplaatst

The art of grossing. A 29 yo man with right testicular pain. Radical Orchiectomy + Partial Scrotectomy. 7.6x5.4cm tumor. Final Diagnosis. Viable Tumor: Yolk Sac Tumor (20%)+ Embryonal Carcinoma (10%) + Extensive Necrosis (70%). #pathology #pathresidents #GUpath@pathTweeter

vintage81106614's tweet image. The art of grossing. A 29 yo man with right testicular pain. Radical Orchiectomy + Partial Scrotectomy. 7.6x5.4cm tumor. Final Diagnosis. Viable Tumor: Yolk Sac Tumor (20%)+ Embryonal Carcinoma (10%) + Extensive Necrosis (70%). #pathology #pathresidents #GUpath ⁦@pathTweeter

RigelGar heeft deze post opnieuw geplaatst

📙Carta del editor #AnalesdeQuímica Benceno: la molécula que abrió la puerta a un universo de carbono aromático 🧑‍🔬Nazario Martín León. Departamento de Química Orgánica, @unicomplutense @IMDEA_Nano ➡️shre.ink/5Odz

RSEQUIMICA's tweet image. 📙Carta del editor #AnalesdeQuímica
Benceno: la molécula que abrió la puerta a un universo de carbono aromático
🧑‍🔬Nazario Martín León. Departamento de Química Orgánica, @unicomplutense  @IMDEA_Nano 
➡️shre.ink/5Odz

RigelGar heeft deze post opnieuw geplaatst

AST vs ALT

nervemed's tweet image. AST vs ALT

RigelGar heeft deze post opnieuw geplaatst

I just updated my notes on "Soft tissue tumors" for my teaching website, "Kurt's Notes" (kurtsnotes.net). 🔬🔬🔬🔬🔬🔬🔬🔬🔬🔬🔬🔬🔬🔬🔬🔬🔬🔬🔬🔬🔬🔬🔬🔬🔬🔬🔬🔬🔬🔬 Full notes available here: schaberg.faculty.ucdavis.edu/wp-content/upl…

KurtSchaberg's tweet image. I just updated my notes on "Soft tissue tumors" for my teaching website, "Kurt's Notes" (kurtsnotes.net).

🔬🔬🔬🔬🔬🔬🔬🔬🔬🔬🔬🔬🔬🔬🔬🔬🔬🔬🔬🔬🔬🔬🔬🔬🔬🔬🔬🔬🔬🔬

Full notes available here: schaberg.faculty.ucdavis.edu/wp-content/upl…
KurtSchaberg's tweet image. I just updated my notes on "Soft tissue tumors" for my teaching website, "Kurt's Notes" (kurtsnotes.net).

🔬🔬🔬🔬🔬🔬🔬🔬🔬🔬🔬🔬🔬🔬🔬🔬🔬🔬🔬🔬🔬🔬🔬🔬🔬🔬🔬🔬🔬🔬

Full notes available here: schaberg.faculty.ucdavis.edu/wp-content/upl…
KurtSchaberg's tweet image. I just updated my notes on "Soft tissue tumors" for my teaching website, "Kurt's Notes" (kurtsnotes.net).

🔬🔬🔬🔬🔬🔬🔬🔬🔬🔬🔬🔬🔬🔬🔬🔬🔬🔬🔬🔬🔬🔬🔬🔬🔬🔬🔬🔬🔬🔬

Full notes available here: schaberg.faculty.ucdavis.edu/wp-content/upl…
KurtSchaberg's tweet image. I just updated my notes on "Soft tissue tumors" for my teaching website, "Kurt's Notes" (kurtsnotes.net).

🔬🔬🔬🔬🔬🔬🔬🔬🔬🔬🔬🔬🔬🔬🔬🔬🔬🔬🔬🔬🔬🔬🔬🔬🔬🔬🔬🔬🔬🔬

Full notes available here: schaberg.faculty.ucdavis.edu/wp-content/upl…

RigelGar heeft deze post opnieuw geplaatst

New in #HumPathol: Making Routine Head and Neck Pathology Easy: From Dissection to Diagnosis. sciencedirect.com/science/articl… #pathology #PathTwitter #PathX #ENTpath

Human_Pathology's tweet image. New in #HumPathol: Making Routine Head and Neck Pathology Easy: From Dissection to Diagnosis. sciencedirect.com/science/articl… #pathology #PathTwitter #PathX #ENTpath

RigelGar heeft deze post opnieuw geplaatst

2. Autovalidación > validación social La mayoría de la gente publica para conseguir "me gusta". No lo necesitan. Su autoestima no se obtiene mediante el crowdsourcing. Dependen de la alineación interna, no de la aprobación externa. Eso es confianza silenciosa, no inseguridad.

CristianMedin4X's tweet image. 2. Autovalidación > validación social

La mayoría de la gente publica para conseguir "me gusta". No lo necesitan.

Su autoestima no se obtiene mediante el crowdsourcing.

Dependen de la alineación interna, no de la aprobación externa.

Eso es confianza silenciosa, no inseguridad.

RigelGar heeft deze post opnieuw geplaatst
DrKamleshDarji1's tweet image.

RigelGar heeft deze post opnieuw geplaatst

Histopathological featurs of CHRONICITY in colon biopsy #GIpath #PathX #Pathology

DrKamleshDarji1's tweet image. Histopathological featurs of CHRONICITY in colon biopsy #GIpath #PathX #Pathology

RigelGar heeft deze post opnieuw geplaatst

Before you go on your well-deserved holidays, pre-register for our next #IACwebinar 22nd Jan 2026 at 14:00 CET: Updates in Pediatric Thyroid Cytology by Prof. Vivian Weiss, MD cytology-iac.org/educational-re…

IACytology's tweet image. Before you go on your well-deserved holidays, pre-register for our next #IACwebinar 22nd Jan 2026 at 14:00 CET: Updates in Pediatric Thyroid Cytology by Prof. Vivian Weiss, MD
cytology-iac.org/educational-re…

RigelGar heeft deze post opnieuw geplaatst

I woul like to share with you next information:

vintage81106614's tweet image. I woul like to share with you next information:

RigelGar heeft deze post opnieuw geplaatst

Here's a little nudge for all #IACmembers. Register for this #IACwebinar on 18th Dec at 14:00 CET: Morphologic Clues & Ancillary Studies to Accurately Diagnose Lung Tumors. Our host: Prof. Peter B. Illei cytology-iac.org/educational-re…

IACytology's tweet image. Here's a little nudge for all #IACmembers. Register for this #IACwebinar on 18th Dec at 14:00 CET: Morphologic Clues & Ancillary Studies to Accurately Diagnose Lung Tumors. Our host: Prof. Peter B. Illei cytology-iac.org/educational-re…

Loading...

Something went wrong.


Something went wrong.