derm_path's profile picture. 无

Bean

@derm_path

You might like
Bean reposted

🏐Happy Cyst Day🏐 The NINE must know cysts ☑️Epidermoid cyst ☑️Dermoid cyst ☑️Pilar cyst ☑️Branchial cleft cyst ☑️Bronchogenic cyst ☑️Vellus hair cyst ☑️Steatocystoma ☑️Thyroglossal duct cyst ☑️Median raphe cyst #dermpath #dermtwitter #pathology #derm Images:@pathpresenter

AlswiedPath's tweet image. 🏐Happy Cyst Day🏐
The NINE must know cysts
☑️Epidermoid cyst
☑️Dermoid cyst
☑️Pilar cyst
☑️Branchial cleft cyst
☑️Bronchogenic cyst
☑️Vellus hair cyst
☑️Steatocystoma
☑️Thyroglossal duct cyst
☑️Median raphe cyst
#dermpath  #dermtwitter #pathology #derm Images:@pathpresenter
AlswiedPath's tweet image. 🏐Happy Cyst Day🏐
The NINE must know cysts
☑️Epidermoid cyst
☑️Dermoid cyst
☑️Pilar cyst
☑️Branchial cleft cyst
☑️Bronchogenic cyst
☑️Vellus hair cyst
☑️Steatocystoma
☑️Thyroglossal duct cyst
☑️Median raphe cyst
#dermpath  #dermtwitter #pathology #derm Images:@pathpresenter
AlswiedPath's tweet image. 🏐Happy Cyst Day🏐
The NINE must know cysts
☑️Epidermoid cyst
☑️Dermoid cyst
☑️Pilar cyst
☑️Branchial cleft cyst
☑️Bronchogenic cyst
☑️Vellus hair cyst
☑️Steatocystoma
☑️Thyroglossal duct cyst
☑️Median raphe cyst
#dermpath  #dermtwitter #pathology #derm Images:@pathpresenter

Bean reposted

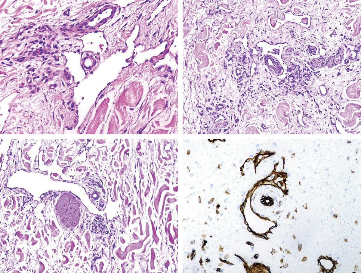
#ThrowbackThursday In 2010, @ngelFernndezFl1 described promontory sign in reactive benign vascular proliferation Initially described in Kaposi sarcoma, the sign is not considered pathognomonic anymore and has been found in angiosarcoma and benign vascular tumors.

AJDP_Journal's tweet image. #ThrowbackThursday 

In 2010, @ngelFernndezFl1 described promontory sign in reactive benign vascular proliferation

Initially described in Kaposi sarcoma, the sign is not considered pathognomonic anymore and has been found in angiosarcoma and benign vascular tumors.

Always keep an open mind and a compassionate heart. - Phil Jackson


We should not fret for what is past, nor should we be anxious about the future; men of discernment deal only with the present moment- Chanak


Plans are only good intentions unless they immediately degenerate into hard work. - Peter Drucker


Opportunities are usually disguised as hard work, so most people don't recognize them. - Ann Landers


What we do for ourselves dies with us. What we do for others and the world remains and is immortal. - Albert Pine


What lies behind us and what lies before us are small matters compared to what lies within us. - Emerson


United States Trends

You might like

Loading...

Something went wrong.


Something went wrong.