BSchmidtDpath's profile picture. Great food/healthy lifestyle, horror films, paying it forward, and kindness are my main things.

Brie Schmidt

@BSchmidtDpath

Great food/healthy lifestyle, horror films, paying it forward, and kindness are my main things.

#racist #Racism Retweet! Encountered a jerk on a FB group about restaurant experiences. He works in the restaurant industry and was happy that a poster’s food was messed up. See below and his #racist response to me.

BSchmidtDpath's tweet image. #racist #Racism Retweet!
Encountered a jerk on a FB group about restaurant experiences. He works in the restaurant industry and was happy that a poster’s food was messed up. See below and his #racist response to me.
BSchmidtDpath's tweet image. #racist #Racism Retweet!
Encountered a jerk on a FB group about restaurant experiences. He works in the restaurant industry and was happy that a poster’s food was messed up. See below and his #racist response to me.
BSchmidtDpath's tweet image. #racist #Racism Retweet!
Encountered a jerk on a FB group about restaurant experiences. He works in the restaurant industry and was happy that a poster’s food was messed up. See below and his #racist response to me.

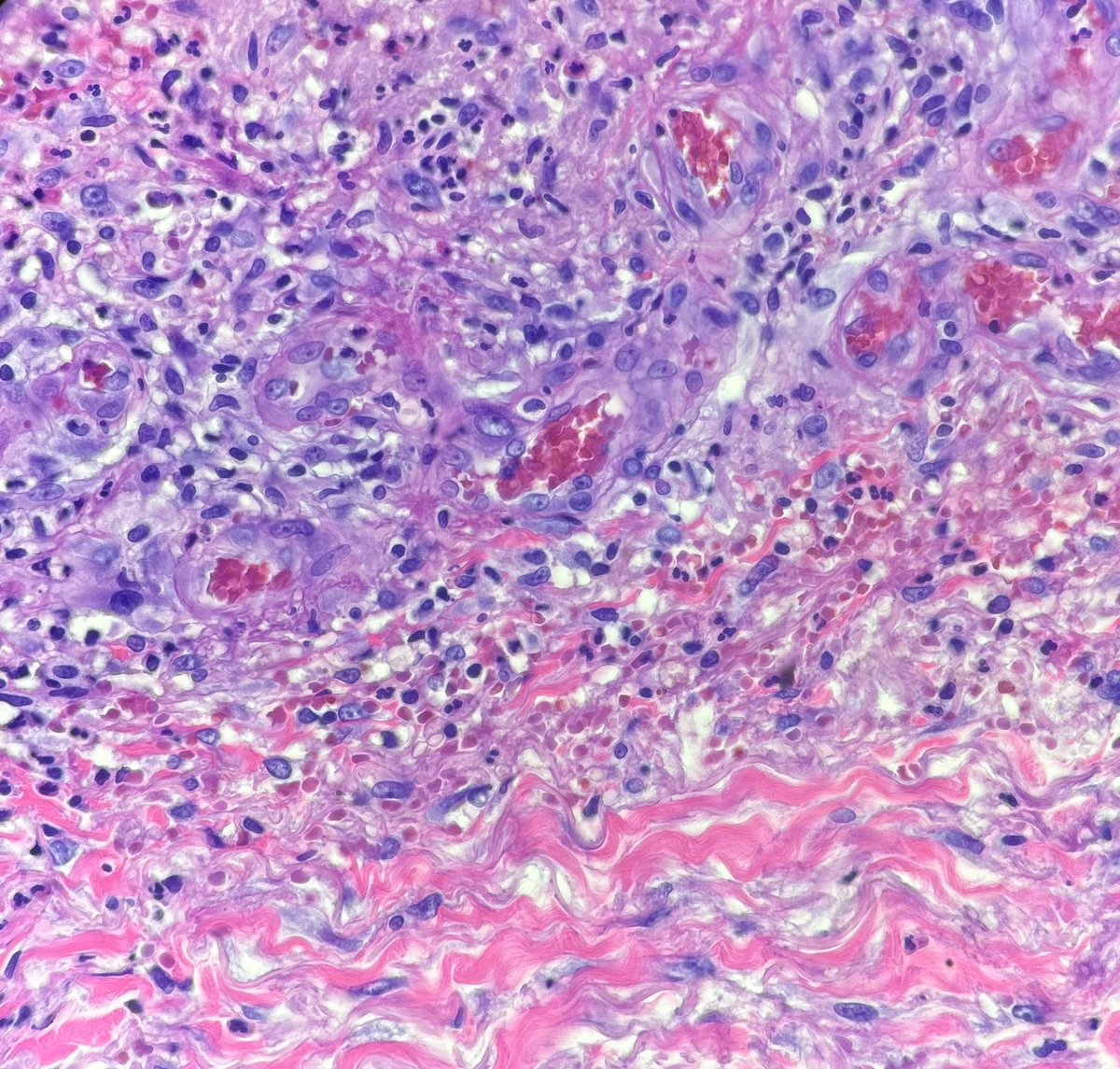
#dermpath #pathology #dermatology Recent case I had of cutaneous involvement by known granulomatosis with polyangiitis. These were photos I shared with the clinician who was concerned for infection.

BSchmidtDpath's tweet image. #dermpath #pathology #dermatology 

Recent case I had of cutaneous involvement by known granulomatosis with polyangiitis. These were photos I shared with the clinician who was concerned for infection.
BSchmidtDpath's tweet image. #dermpath #pathology #dermatology 

Recent case I had of cutaneous involvement by known granulomatosis with polyangiitis. These were photos I shared with the clinician who was concerned for infection.

More very good #dermpath learning cases to come. It’s been very busy lately and I fell off the map.


Brie Schmidt reposted

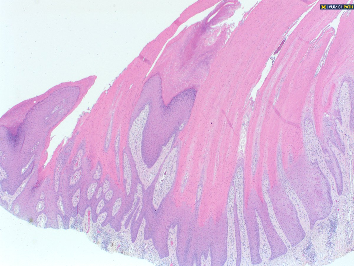
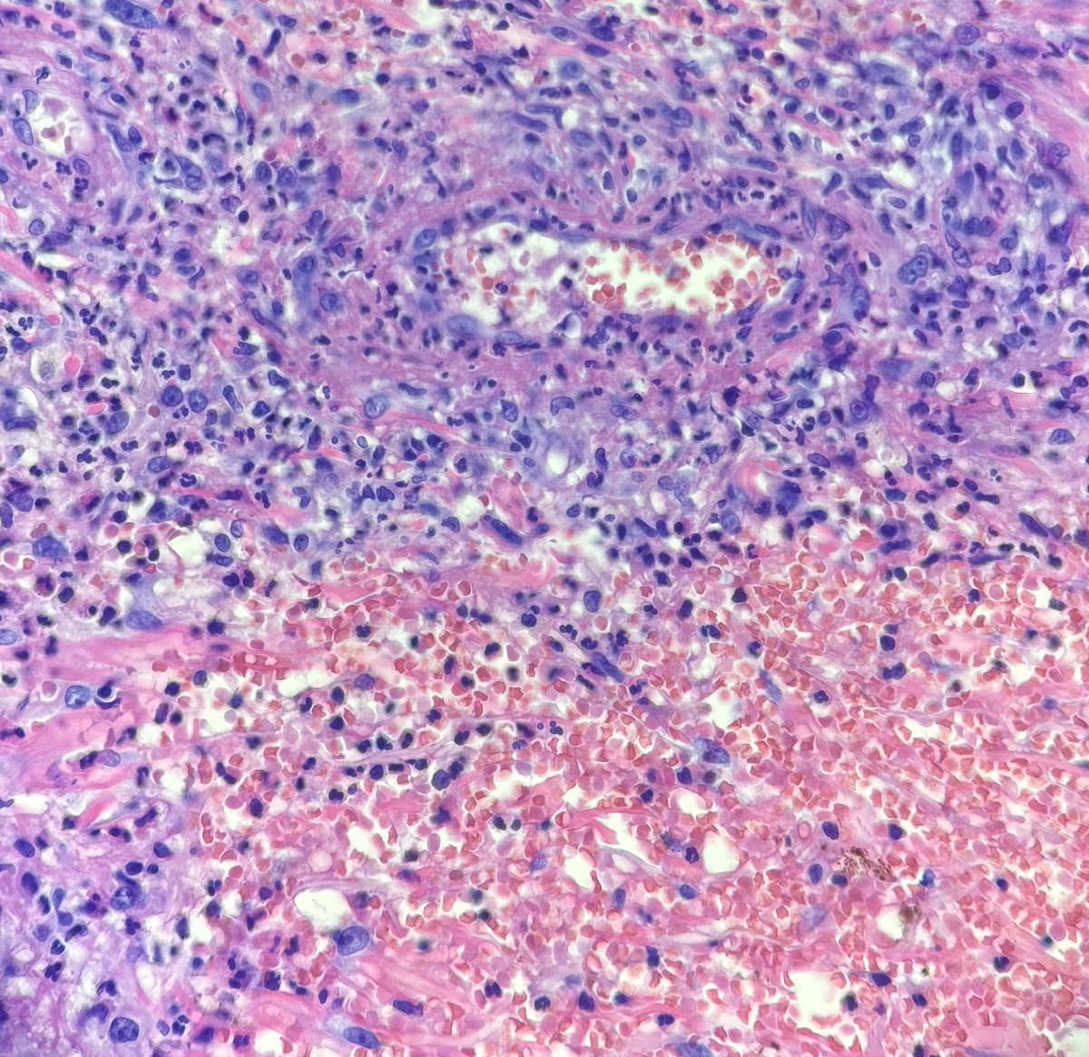
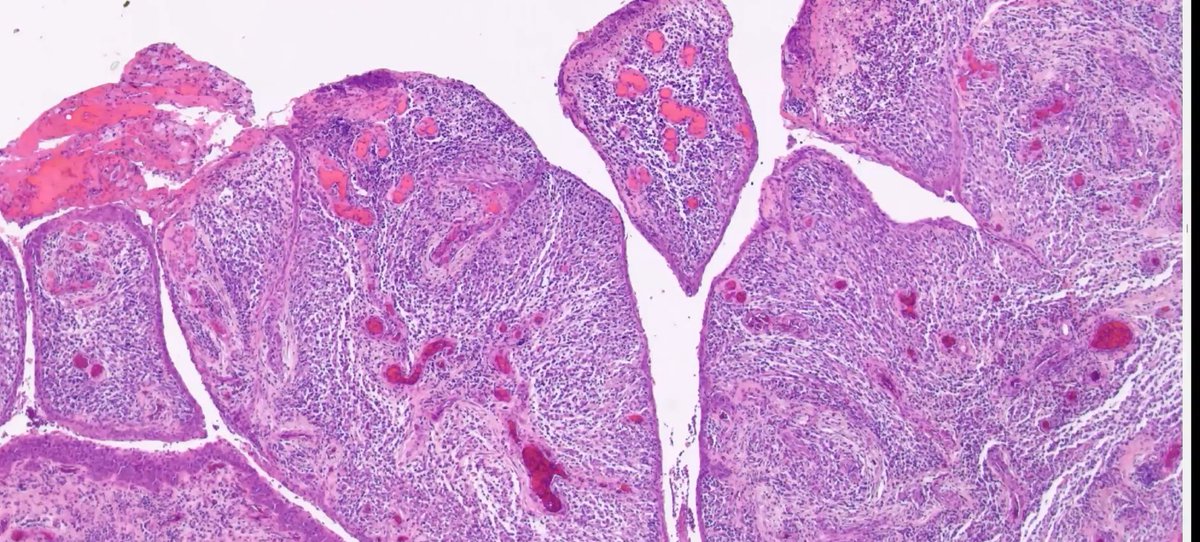
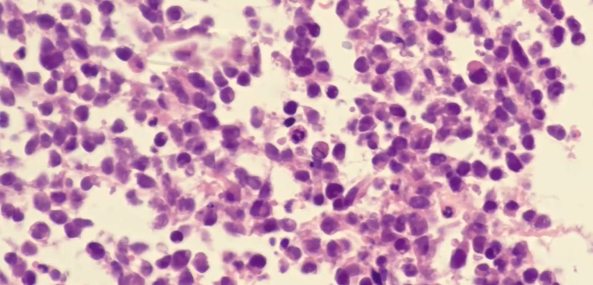
6yo with recent ptosis Pic B: Squamous papilloma with marked inflammation?? Pic C: High power shows small round atypical cells. Final diagnosis: Botryoid type embryonal rhabdomyosarcoma Dr. Stagner and Zembowicz #ophtalmicpath #dermpath #PathX #PathTwitter #pathologists

Janiranavarro's tweet image. 6yo with recent ptosis
Pic B: Squamous papilloma with marked inflammation??
Pic C: High power shows small round atypical cells.
Final diagnosis: Botryoid type embryonal rhabdomyosarcoma
Dr. Stagner and Zembowicz #ophtalmicpath #dermpath #PathX #PathTwitter #pathologists
Janiranavarro's tweet image. 6yo with recent ptosis
Pic B: Squamous papilloma with marked inflammation??
Pic C: High power shows small round atypical cells.
Final diagnosis: Botryoid type embryonal rhabdomyosarcoma
Dr. Stagner and Zembowicz #ophtalmicpath #dermpath #PathX #PathTwitter #pathologists
Janiranavarro's tweet image. 6yo with recent ptosis
Pic B: Squamous papilloma with marked inflammation??
Pic C: High power shows small round atypical cells.
Final diagnosis: Botryoid type embryonal rhabdomyosarcoma
Dr. Stagner and Zembowicz #ophtalmicpath #dermpath #PathX #PathTwitter #pathologists


Brie Schmidt reposted

40yo. Vague GI symptoms and subsequent rash of edematous and erythematous plaques, starting intertriginous, spreading to trunk and extremities. First pruritus, then tender. No response to low dose steroids. Completely cleared after higher dose. Thx @mccalmo for lighting the way.

david_terrano's tweet image. 40yo. Vague GI symptoms and subsequent rash of edematous and erythematous plaques, starting intertriginous, spreading to trunk and extremities. First pruritus, then tender. No response to low dose steroids. Completely cleared after higher dose. Thx @mccalmo for lighting the way.
david_terrano's tweet image. 40yo. Vague GI symptoms and subsequent rash of edematous and erythematous plaques, starting intertriginous, spreading to trunk and extremities. First pruritus, then tender. No response to low dose steroids. Completely cleared after higher dose. Thx @mccalmo for lighting the way.

Brie Schmidt reposted

Answer:  This is a porokeratoma! At low power you see diffuse wave-like, columnar cornoid lamella with an abrupt transition from normal. Read more about this entity here: onlinelibrary.wiley.com/doi/10.1111/cu…

#COTW with PGY1 @meredithkherman featuring a variant in #dermpath.  Shave biopsy of groin lesion. What histologic features do you see? What is your differential diagnosis?

UMichPath's tweet image. #COTW with PGY1 @meredithkherman featuring a variant in #dermpath.  Shave biopsy of groin lesion. What histologic features do you see? What is your differential diagnosis?
UMichPath's tweet image. #COTW with PGY1 @meredithkherman featuring a variant in #dermpath.  Shave biopsy of groin lesion. What histologic features do you see? What is your differential diagnosis?
UMichPath's tweet image. #COTW with PGY1 @meredithkherman featuring a variant in #dermpath.  Shave biopsy of groin lesion. What histologic features do you see? What is your differential diagnosis?


Another frightening reason to slow down and go on high-power! 😱#dermpath

1/ Basal cellanoma of the supersubtle type

mccalmo's tweet image. 1/ Basal cellanoma of the supersubtle type


The tables have turned it seems. #GeorgeFloyd


Loading...

Something went wrong.


Something went wrong.