syntheslide's profile picture. Convenient, inexpensive whole slide imagers...that fit in a white coat pocket. Please PM for more information.

Syntheslide

@syntheslide

Convenient, inexpensive whole slide imagers...that fit in a white coat pocket. Please PM for more information.

Syntheslide reposted

A psammoma body by any other name... #pathArt #pathology. Psammomatous meningioma via @ms_dona

JMGardnerMD's tweet image. A psammoma body by any other name...  #pathArt #pathology. Psammomatous meningioma via @ms_dona

Syntheslide reposted

NIce 1x view of diaphragm disease in the small intestine. #pathologists

Hopkins_GI_Path's tweet image. NIce 1x view of diaphragm disease in the small intestine. #pathologists

Syntheslide reposted

Squamous cell carcinoma w beautiful intercellular bridges (desmosomes) #pathology #Dermpath

JMGardnerMD's tweet image. Squamous cell carcinoma w beautiful  intercellular bridges (desmosomes) #pathology #Dermpath

Syntheslide reposted

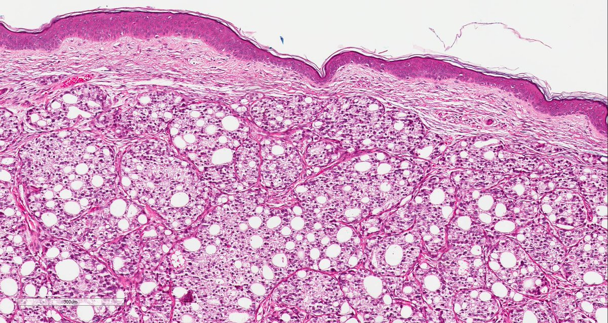
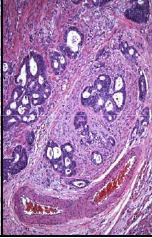
Unusual, #prostatecancer metastasis to the skin. Have only seen it once. #pathologists #pathology #gupath

Gleason4plus5's tweet image. Unusual, #prostatecancer metastasis to the skin. Have only seen it once. #pathologists #pathology #gupath
Gleason4plus5's tweet image. Unusual, #prostatecancer metastasis to the skin. Have only seen it once. #pathologists #pathology #gupath

Syntheslide reposted

MT @PathologyEponym: Cowper's gland: can mimic prostate cancer on core biopsy! Pic:Wikipedia #pathology #GUpath

TheUSCAP's tweet image. MT @PathologyEponym: Cowper's gland: can mimic prostate cancer on core biopsy! Pic:Wikipedia  #pathology #GUpath

Syntheslide reposted

#TBT: A wounded soldier receives blood plasma & oxygen by the 304th Medical Battalion Infantry Division, 1944.

MilitaryHealth's tweet image. #TBT: A wounded soldier receives blood plasma & oxygen by the 304th Medical Battalion Infantry Division, 1944.

Syntheslide reposted

ihcgame.com Meningioma smears and permanent sections @JMGardnerMD @JennyKHoang @pbaleixo @syntheslide

pathtutor_com's tweet image. ihcgame.com Meningioma smears and permanent sections @JMGardnerMD @JennyKHoang @pbaleixo @syntheslide
pathtutor_com's tweet image. ihcgame.com Meningioma smears and permanent sections @JMGardnerMD @JennyKHoang @pbaleixo @syntheslide
pathtutor_com's tweet image. ihcgame.com Meningioma smears and permanent sections @JMGardnerMD @JennyKHoang @pbaleixo @syntheslide
pathtutor_com's tweet image. ihcgame.com Meningioma smears and permanent sections @JMGardnerMD @JennyKHoang @pbaleixo @syntheslide

Syntheslide reposted

Dr Epstein: Gleason grading with Krispy Kreme donuts. Grade 5 #CAP15 #pathologists

michhebert01's tweet image. Dr Epstein: Gleason grading with Krispy Kreme donuts. Grade 5 #CAP15 #pathologists

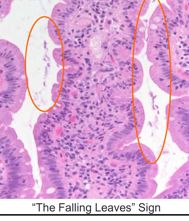
Syntheslide reposted

Falling leaf sign: Giardia! #CAP15twiteratti

RMeunierMD's tweet image. Falling leaf sign: Giardia! #CAP15twiteratti

Syntheslide reposted

Mucinous/colloid carcinoma looks the same in different locations: H&N, breast, pancreas, etc - beware of the #sneakysignets #CAP15twiteratti


Syntheslide reposted

Look for orphan artery sign to look for venous invasion in colorectal carcinoma #CAP15twiteratti

RMeunierMD's tweet image. Look for orphan artery sign to look for venous invasion in colorectal carcinoma #CAP15twiteratti

Syntheslide reposted

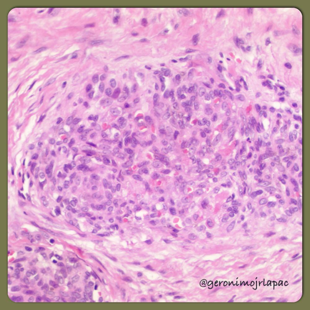
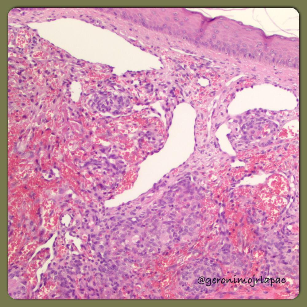
Kaposiform hemangioendothelioma.

GeronimoJrLapac's tweet image. Kaposiform hemangioendothelioma.
GeronimoJrLapac's tweet image. Kaposiform hemangioendothelioma.
GeronimoJrLapac's tweet image. Kaposiform hemangioendothelioma.
GeronimoJrLapac's tweet image. Kaposiform hemangioendothelioma.

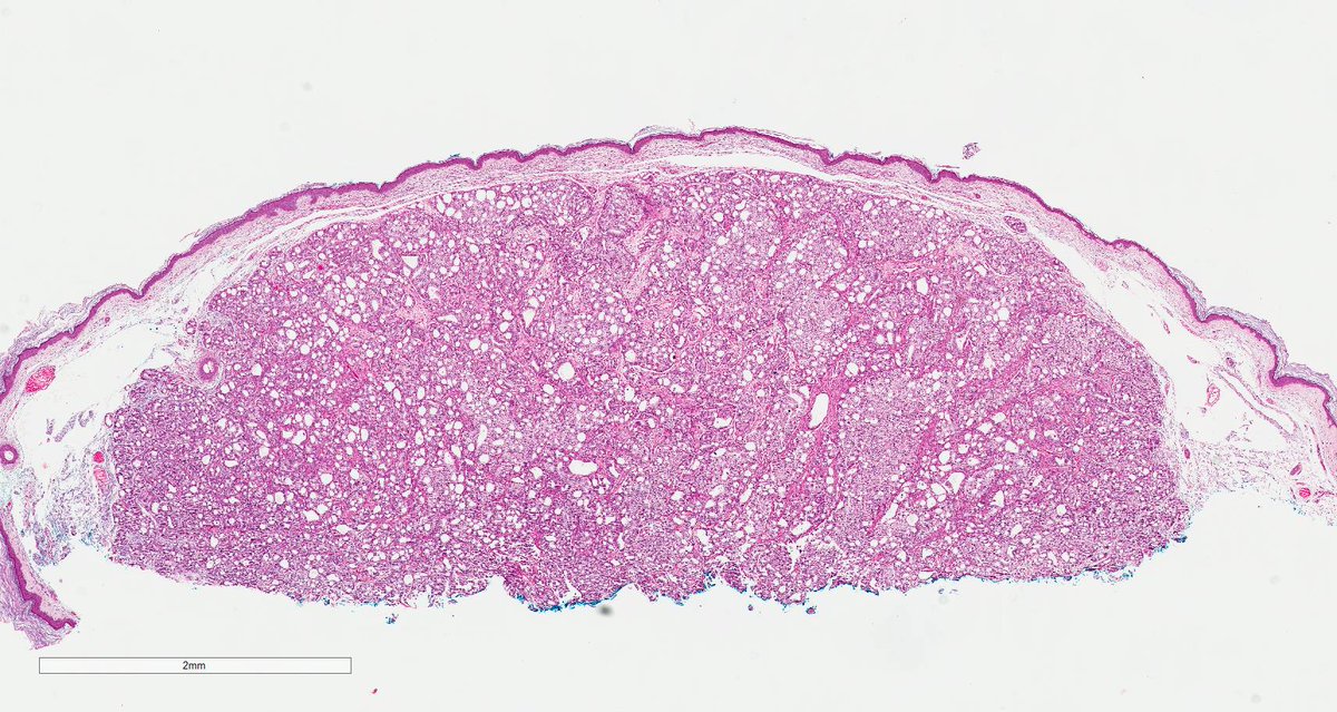
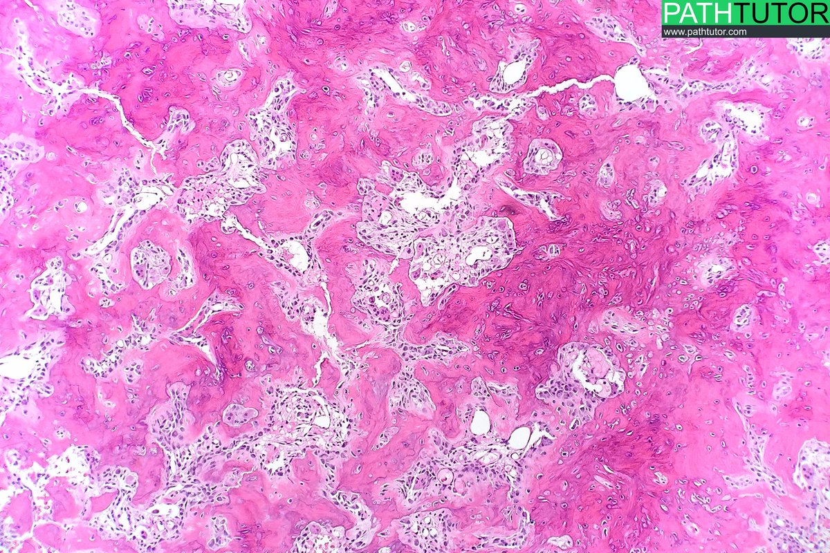
Syntheslide reposted

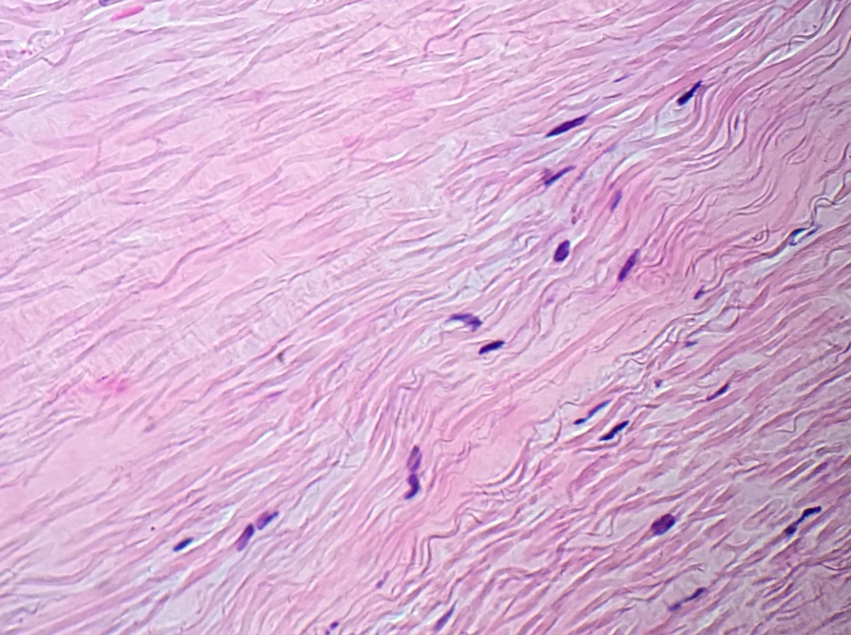
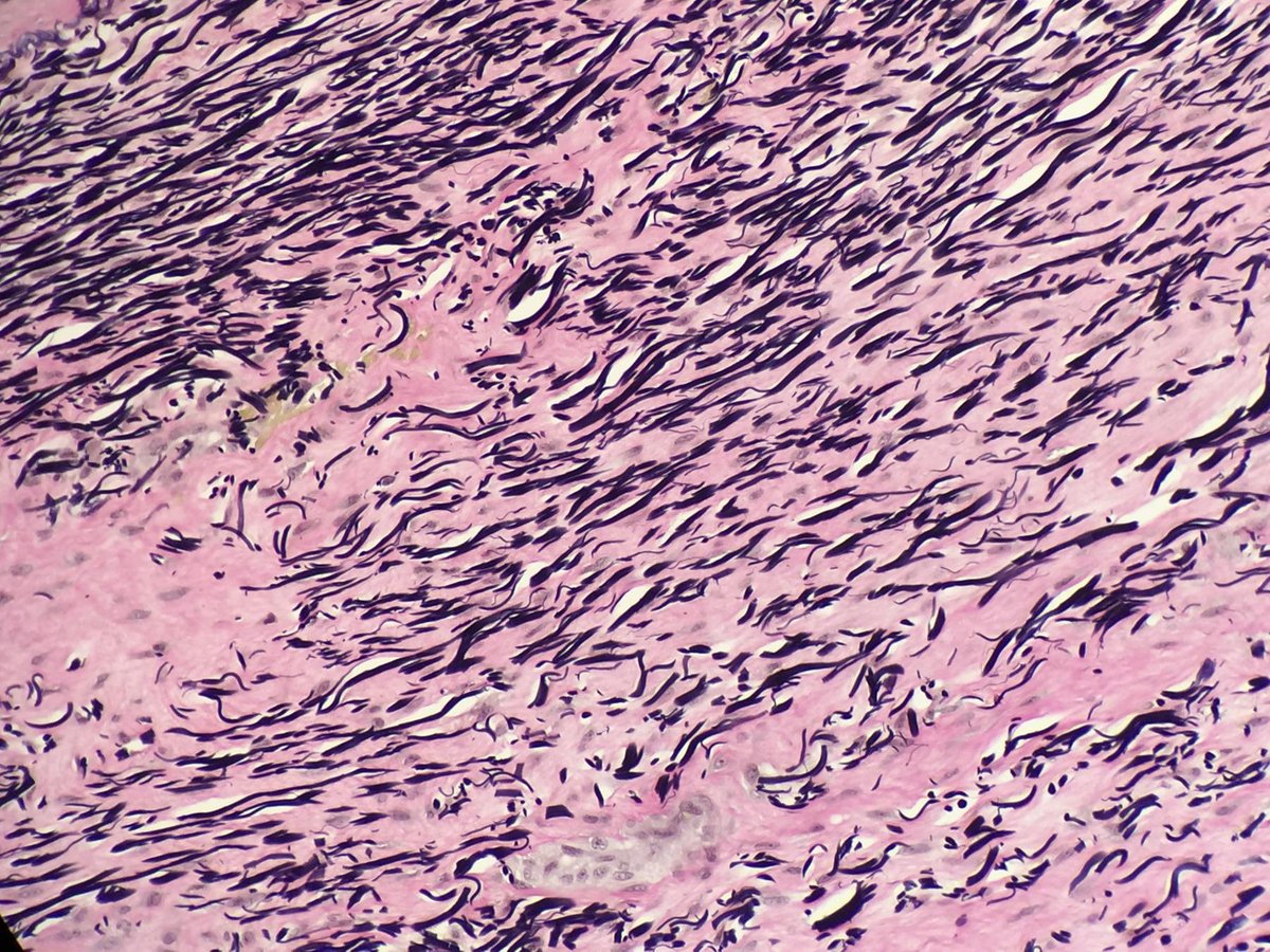
Ligamentum flavum H/E+trichrome+elastic @JMGardnerMD @syntheslide @mvmd0908 #pathology #histology #medschool

pathtutor_com's tweet image. Ligamentum flavum H/E+trichrome+elastic @JMGardnerMD @syntheslide @mvmd0908  #pathology #histology #medschool
pathtutor_com's tweet image. Ligamentum flavum H/E+trichrome+elastic @JMGardnerMD @syntheslide @mvmd0908  #pathology #histology #medschool
pathtutor_com's tweet image. Ligamentum flavum H/E+trichrome+elastic @JMGardnerMD @syntheslide @mvmd0908  #pathology #histology #medschool

Syntheslide reposted

Pathology labs need to be integrated into healthcare systems captodayonline.com/2015/Portal/Ro… @Pathologists @ahahospitals @HealthForumNews #HFSummit


Syntheslide reposted

Quantitative analysis of tumor content for quality and reliability in molecular pathology via The ... tinyurl.com/ml3zv78


United States Trends

Loading...

Something went wrong.


Something went wrong.