#pulmonarypath kết quả tìm kiếm

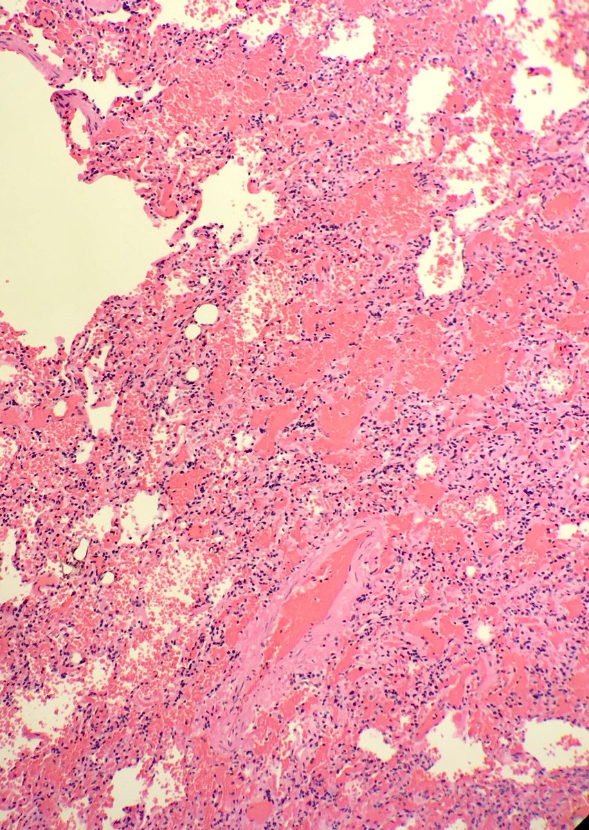
Fall from height: blunt force injuries including pulmonary contusions: interstitial and alveolar hemorrhage, damaged bronchioles and vessels with hemorrhage in the walls. Fat emboli can be seen (femoral shaft fracture x 2) #pulmonarypath #lungpath #forensics #forensicpath

seattlequinns's tweet image. Fall from height: blunt force injuries including pulmonary contusions: interstitial and alveolar hemorrhage, damaged bronchioles and vessels with hemorrhage in the walls. Fat emboli can be seen (femoral shaft fracture x 2) #pulmonarypath #lungpath #forensics #forensicpath
seattlequinns's tweet image. Fall from height: blunt force injuries including pulmonary contusions: interstitial and alveolar hemorrhage, damaged bronchioles and vessels with hemorrhage in the walls. Fat emboli can be seen (femoral shaft fracture x 2) #pulmonarypath #lungpath #forensics #forensicpath
seattlequinns's tweet image. Fall from height: blunt force injuries including pulmonary contusions: interstitial and alveolar hemorrhage, damaged bronchioles and vessels with hemorrhage in the walls. Fat emboli can be seen (femoral shaft fracture x 2) #pulmonarypath #lungpath #forensics #forensicpath
seattlequinns's tweet image. Fall from height: blunt force injuries including pulmonary contusions: interstitial and alveolar hemorrhage, damaged bronchioles and vessels with hemorrhage in the walls. Fat emboli can be seen (femoral shaft fracture x 2) #pulmonarypath #lungpath #forensics #forensicpath

A: Lung Adenocarcinoma (in situ): Images showing emphysematous, lepidic growth pattern w/ increased presence of macrophages in the alveolar spaces, and a close-up of lepidic growing tumor cells around a blood vessel. @LungAssociation @UMRogelCancer #PulmonaryPath #DailyDX


#PathQuiz 🔬🫁 #PulmonaryPath A) Large cell neuroendocrine carcinoma B) Diffuse large B-cell lymphoma C) Small cell lung carcinoma D) Squamous cell carcinoma #Pathology #Cytology #CytoPath #ThoracicPath

DrCycloPath's tweet image. #PathQuiz 🔬🫁 #PulmonaryPath

A) Large cell neuroendocrine carcinoma
B) Diffuse large B-cell lymphoma
C) Small cell lung carcinoma
D) Squamous cell carcinoma

#Pathology #Cytology #CytoPath #ThoracicPath

#PathQuiz 🔬🫁 #PulmonaryPath A) Squamous B) Adeno C) I dunno (something else) D) Both (adenosquamous) #Pathology #SurgPath #PulmPath

DrCycloPath's tweet image. #PathQuiz 🔬🫁 #PulmonaryPath

A) Squamous
B) Adeno
C) I dunno (something else)
D) Both (adenosquamous)

#Pathology #SurgPath #PulmPath

#PathQuiz 🔬🫁 #PulmonaryPath A) Pulmonary hamartoma B) Sclerosing pneumocytoma C) Typical carcinoid D) PEComa #Pathology #Cytology #CytoPath #ThoracicPath

DrCycloPath's tweet image. #PathQuiz 🔬🫁 #PulmonaryPath

A) Pulmonary hamartoma
B) Sclerosing pneumocytoma
C) Typical carcinoid
D) PEComa

#Pathology #Cytology #CytoPath #ThoracicPath
DrCycloPath's tweet image. #PathQuiz 🔬🫁 #PulmonaryPath

A) Pulmonary hamartoma
B) Sclerosing pneumocytoma
C) Typical carcinoid
D) PEComa

#Pathology #Cytology #CytoPath #ThoracicPath

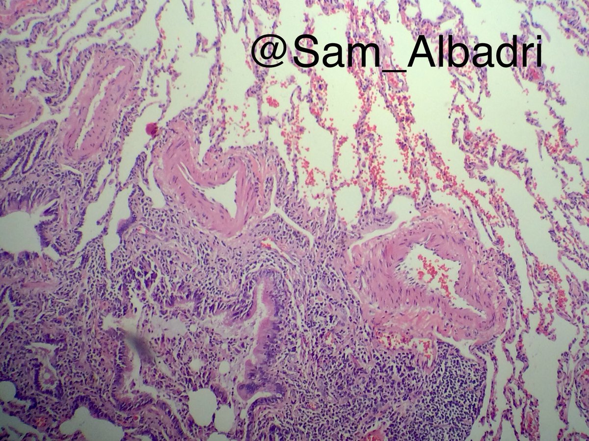
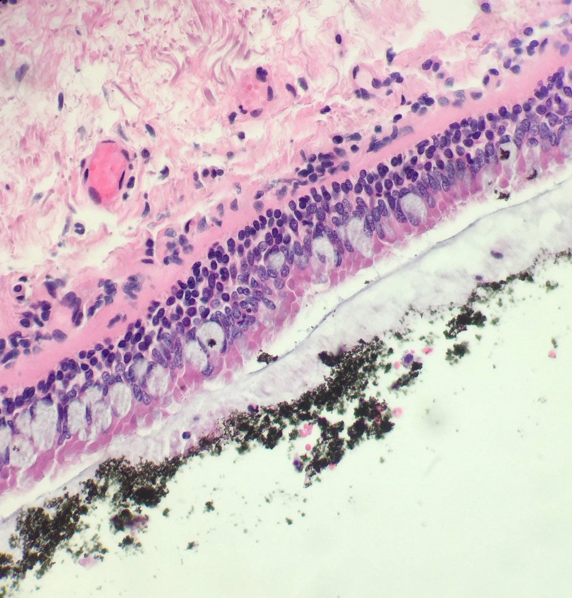
Classic picture of connective tissue disease (RA; in this case). Chronic bronchiolitis w mild scarring of small airways & OP @kabeerkshah @GeronimoJrLapac @VijayPatho @LizaMQuintana @marcoslepe @plessthanpt001 @ElshaikhMD @Sinchita_Roy @NadiaUSAMC #Pathologists #pulmonarypath

sam_albadri's tweet image. Classic picture of connective tissue disease (RA; in this case). Chronic bronchiolitis w mild scarring of small airways & OP @kabeerkshah @GeronimoJrLapac @VijayPatho @LizaMQuintana @marcoslepe @plessthanpt001 @ElshaikhMD @Sinchita_Roy @NadiaUSAMC #Pathologists #pulmonarypath
sam_albadri's tweet image. Classic picture of connective tissue disease (RA; in this case). Chronic bronchiolitis w mild scarring of small airways & OP @kabeerkshah @GeronimoJrLapac @VijayPatho @LizaMQuintana @marcoslepe @plessthanpt001 @ElshaikhMD @Sinchita_Roy @NadiaUSAMC #Pathologists #pulmonarypath
sam_albadri's tweet image. Classic picture of connective tissue disease (RA; in this case). Chronic bronchiolitis w mild scarring of small airways & OP @kabeerkshah @GeronimoJrLapac @VijayPatho @LizaMQuintana @marcoslepe @plessthanpt001 @ElshaikhMD @Sinchita_Roy @NadiaUSAMC #Pathologists #pulmonarypath

🔬#PulmonaryPath: What's Your #DailyDX? ➡️ The most frequent type of lung cancer, about 50%. ➡️ Also most prevalent in cancer types: prostate, pancreatic, esophageal, and colorectal. ➡️We’ll tweet the answers, some quick facts, and the next case tomorrow! #UMichPath

UMichPath's tweet image. 🔬#PulmonaryPath: What's Your #DailyDX?
➡️ The most frequent type of lung cancer, about 50%.

➡️ Also most prevalent in cancer types: prostate, pancreatic, esophageal, and colorectal.

➡️We’ll tweet the answers, some quick facts, and the next case tomorrow! #UMichPath
UMichPath's tweet image. 🔬#PulmonaryPath: What's Your #DailyDX?
➡️ The most frequent type of lung cancer, about 50%.

➡️ Also most prevalent in cancer types: prostate, pancreatic, esophageal, and colorectal.

➡️We’ll tweet the answers, some quick facts, and the next case tomorrow! #UMichPath
UMichPath's tweet image. 🔬#PulmonaryPath: What's Your #DailyDX?
➡️ The most frequent type of lung cancer, about 50%.

➡️ Also most prevalent in cancer types: prostate, pancreatic, esophageal, and colorectal.

➡️We’ll tweet the answers, some quick facts, and the next case tomorrow! #UMichPath

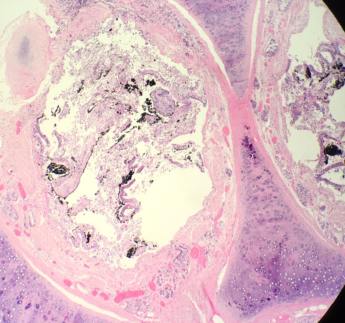
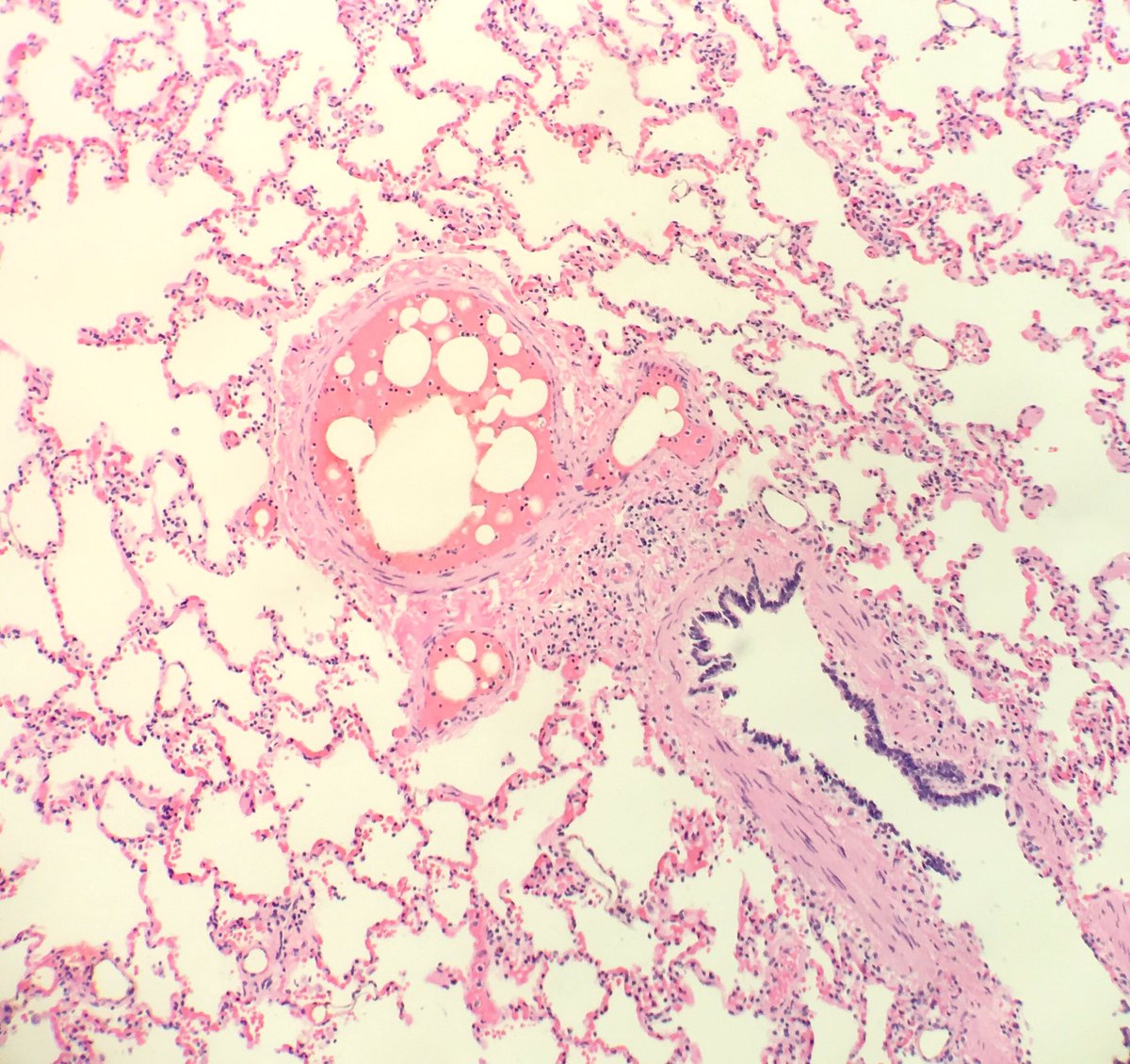
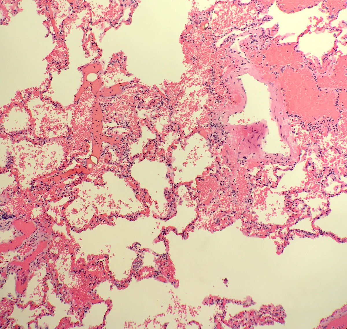
Fat emboli: ~85% of trauma patients w/ attempted resuscitation have fat emboli at autopsy. Why else? #pulmonarypath #forensicpath

seattlequinns's tweet image. Fat emboli: ~85% of trauma patients w/ attempted resuscitation have fat emboli at autopsy. Why else? #pulmonarypath #forensicpath
seattlequinns's tweet image. Fat emboli: ~85% of trauma patients w/ attempted resuscitation have fat emboli at autopsy. Why else? #pulmonarypath #forensicpath
seattlequinns's tweet image. Fat emboli: ~85% of trauma patients w/ attempted resuscitation have fat emboli at autopsy. Why else? #pulmonarypath #forensicpath

EMZL-MALT lung. Lymphangitic pattern, lymphoepithelial lesions w/ intraluminal plugs, Dutcher bodies. CD43+ t(11:18) in 40%. #pulmonarypath

seattlequinns's tweet image. EMZL-MALT lung. Lymphangitic pattern, lymphoepithelial lesions w/ intraluminal plugs, Dutcher bodies. CD43+ t(11:18) in 40%. #pulmonarypath
seattlequinns's tweet image. EMZL-MALT lung. Lymphangitic pattern, lymphoepithelial lesions w/ intraluminal plugs, Dutcher bodies. CD43+ t(11:18) in 40%. #pulmonarypath
seattlequinns's tweet image. EMZL-MALT lung. Lymphangitic pattern, lymphoepithelial lesions w/ intraluminal plugs, Dutcher bodies. CD43+ t(11:18) in 40%. #pulmonarypath
seattlequinns's tweet image. EMZL-MALT lung. Lymphangitic pattern, lymphoepithelial lesions w/ intraluminal plugs, Dutcher bodies. CD43+ t(11:18) in 40%. #pulmonarypath

Molecular alterations of neuroendocrine tumours of the lung #PulmonaryPath onlinelibrary.wiley.com/doi/10.1111/hi…


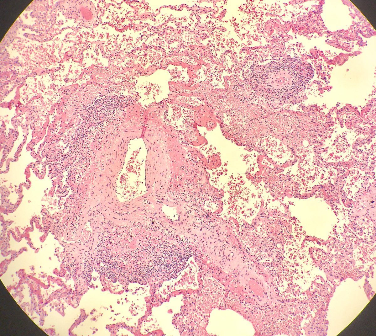
Has anyone had experience w/ vasculitis in systemic sarcoidosis? This patient was presumptively diagnosed based on hilar lymphadenopathy - sarcoidosis involving LNs but no definitive granulomas in lungs. Heart and spleen may be involved. #pulmonarypath #pulmpath #sarcoidosis

seattlequinns's tweet image. Has anyone had experience w/ vasculitis in systemic sarcoidosis? This patient was presumptively diagnosed based on hilar lymphadenopathy - sarcoidosis involving LNs but no definitive granulomas in lungs. Heart and spleen may be involved. #pulmonarypath #pulmpath #sarcoidosis
seattlequinns's tweet image. Has anyone had experience w/ vasculitis in systemic sarcoidosis? This patient was presumptively diagnosed based on hilar lymphadenopathy - sarcoidosis involving LNs but no definitive granulomas in lungs. Heart and spleen may be involved. #pulmonarypath #pulmpath #sarcoidosis

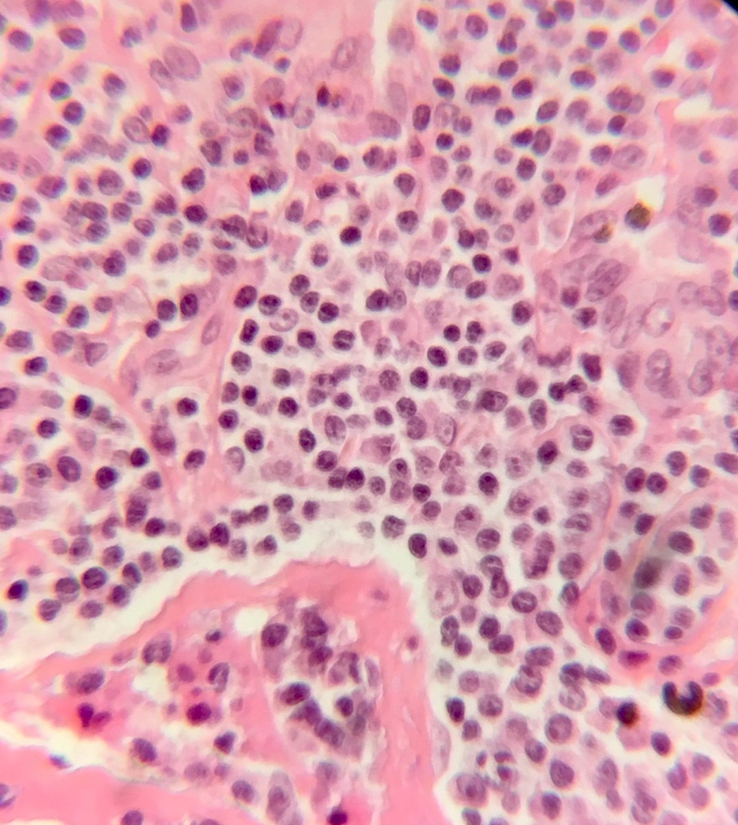
Sarcoidosis: Asteroid and Schaumnann bodies #cytopath #PulmonaryPath

gcai1978's tweet image. Sarcoidosis: Asteroid and Schaumnann bodies #cytopath #PulmonaryPath
gcai1978's tweet image. Sarcoidosis: Asteroid and Schaumnann bodies #cytopath #PulmonaryPath

Still have colleagues calling BAC 😒 #PulmonaryPath #LungPath #LungCancer

Lung Andenocarcinoma, Lepidic pattern; Neoplastic cells lining the alveolar lining with no architectural disruption

CancerCureNow's tweet image. Lung Andenocarcinoma, Lepidic pattern; 
Neoplastic cells lining the alveolar lining with no architectural disruption
CancerCureNow's tweet image. Lung Andenocarcinoma, Lepidic pattern; 
Neoplastic cells lining the alveolar lining with no architectural disruption
CancerCureNow's tweet image. Lung Andenocarcinoma, Lepidic pattern; 
Neoplastic cells lining the alveolar lining with no architectural disruption


MasterClass in Pathology 2021. Register (conferences.pathpresenter.net/#/conference-u…) and login to listen to David's brilliant talk on lung tumors. Cases can be previewed here: conferences.pathpresenter.net/#/public/prese… @Pathologists #LungPath #PulmonaryPath. @GeronimoJrLapac #pathology @smlungpathguy @DCSkipperDO

mydermpath's tweet image. MasterClass in Pathology 2021. Register (conferences.pathpresenter.net/#/conference-u…) and login to listen to David's brilliant talk on lung tumors. Cases can be previewed here:
conferences.pathpresenter.net/#/public/prese…

@Pathologists #LungPath #PulmonaryPath. @GeronimoJrLapac #pathology @smlungpathguy @DCSkipperDO

62/M with a large hilar lung mass. Aberrant expression of synaptophysin in epithelioid angiosarcoma #PulmonaryPath

gcai1978's tweet image. 62/M with a large hilar lung mass. Aberrant expression of synaptophysin in epithelioid angiosarcoma #PulmonaryPath
gcai1978's tweet image. 62/M with a large hilar lung mass. Aberrant expression of synaptophysin in epithelioid angiosarcoma #PulmonaryPath
gcai1978's tweet image. 62/M with a large hilar lung mass. Aberrant expression of synaptophysin in epithelioid angiosarcoma #PulmonaryPath

#PathQuiz 🔬🫁 #PulmonaryPath A) Pulmonary hamartoma B) Sclerosing pneumocytoma C) Typical carcinoid D) PEComa #Pathology #Cytology #CytoPath #ThoracicPath

DrCycloPath's tweet image. #PathQuiz 🔬🫁 #PulmonaryPath

A) Pulmonary hamartoma
B) Sclerosing pneumocytoma
C) Typical carcinoid
D) PEComa

#Pathology #Cytology #CytoPath #ThoracicPath
DrCycloPath's tweet image. #PathQuiz 🔬🫁 #PulmonaryPath

A) Pulmonary hamartoma
B) Sclerosing pneumocytoma
C) Typical carcinoid
D) PEComa

#Pathology #Cytology #CytoPath #ThoracicPath

#PathQuiz 🔬🫁 #PulmonaryPath A) Large cell neuroendocrine carcinoma B) Diffuse large B-cell lymphoma C) Small cell lung carcinoma D) Squamous cell carcinoma #Pathology #Cytology #CytoPath #ThoracicPath

DrCycloPath's tweet image. #PathQuiz 🔬🫁 #PulmonaryPath

A) Large cell neuroendocrine carcinoma
B) Diffuse large B-cell lymphoma
C) Small cell lung carcinoma
D) Squamous cell carcinoma

#Pathology #Cytology #CytoPath #ThoracicPath

An impressive example of this pathological process. What’s going on here? #pulmonarypath #thoracicpath #pathx #pathtwitter

PeterKobalka's tweet image. An impressive example of this pathological process. What’s going on here? #pulmonarypath #thoracicpath #pathx #pathtwitter
PeterKobalka's tweet image. An impressive example of this pathological process. What’s going on here? #pulmonarypath #thoracicpath #pathx #pathtwitter
PeterKobalka's tweet image. An impressive example of this pathological process. What’s going on here? #pulmonarypath #thoracicpath #pathx #pathtwitter
PeterKobalka's tweet image. An impressive example of this pathological process. What’s going on here? #pulmonarypath #thoracicpath #pathx #pathtwitter

#PathQuiz 🔬🫁 #PulmonaryPath A) Squamous B) Adeno C) I dunno (something else) D) Both (adenosquamous) #Pathology #SurgPath #PulmPath

DrCycloPath's tweet image. #PathQuiz 🔬🫁 #PulmonaryPath

A) Squamous
B) Adeno
C) I dunno (something else)
D) Both (adenosquamous)

#Pathology #SurgPath #PulmPath

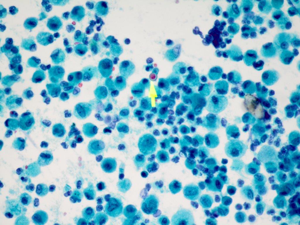
🫁 Solitary lung nodule in a middle-aged woman 🧪 Intraoperative cytology 🔬 Dx confirmed with H&E + STAT6 IHC #PathTwitter #Cytopath #PulmonaryPath #MedEd #IHC #SFT

JoanWolfBig1's tweet image. 🫁 Solitary lung nodule in a middle-aged woman
🧪 Intraoperative cytology
🔬 Dx confirmed with H&E + STAT6 IHC
#PathTwitter #Cytopath #PulmonaryPath #MedEd #IHC #SFT
JoanWolfBig1's tweet image. 🫁 Solitary lung nodule in a middle-aged woman
🧪 Intraoperative cytology
🔬 Dx confirmed with H&E + STAT6 IHC
#PathTwitter #Cytopath #PulmonaryPath #MedEd #IHC #SFT
JoanWolfBig1's tweet image. 🫁 Solitary lung nodule in a middle-aged woman
🧪 Intraoperative cytology
🔬 Dx confirmed with H&E + STAT6 IHC
#PathTwitter #Cytopath #PulmonaryPath #MedEd #IHC #SFT
JoanWolfBig1's tweet image. 🫁 Solitary lung nodule in a middle-aged woman
🧪 Intraoperative cytology
🔬 Dx confirmed with H&E + STAT6 IHC
#PathTwitter #Cytopath #PulmonaryPath #MedEd #IHC #SFT

Pulmonary-Pathology course taking lung pathology to the next level with updated depth DON’T miss every Wednesday through May at 7pm Cairo local time With our lung pathology expert A.Prof @YasmeenButtMD #PathTwitter #pulmonarypath

LFpath's tweet image. Pulmonary-Pathology course taking lung pathology to the next level with updated depth 

DON’T miss every Wednesday through May at 7pm Cairo local time With our lung pathology expert A.Prof @YasmeenButtMD #PathTwitter #pulmonarypath

From a cancer resection. Does anyone know the mechanism by which these lesions form? (It’s a male, so not b9 metastasizing leiomyoma). #pulmonarypath #lungpath #thoracicpath #pathtwitter #pathx

PeterKobalka's tweet image. From a cancer resection.  Does anyone know the mechanism by which these lesions form? (It’s a male, so not b9 metastasizing leiomyoma). #pulmonarypath #lungpath #thoracicpath #pathtwitter #pathx
PeterKobalka's tweet image. From a cancer resection.  Does anyone know the mechanism by which these lesions form? (It’s a male, so not b9 metastasizing leiomyoma). #pulmonarypath #lungpath #thoracicpath #pathtwitter #pathx
PeterKobalka's tweet image. From a cancer resection.  Does anyone know the mechanism by which these lesions form? (It’s a male, so not b9 metastasizing leiomyoma). #pulmonarypath #lungpath #thoracicpath #pathtwitter #pathx
PeterKobalka's tweet image. From a cancer resection.  Does anyone know the mechanism by which these lesions form? (It’s a male, so not b9 metastasizing leiomyoma). #pulmonarypath #lungpath #thoracicpath #pathtwitter #pathx

86 y/o with numerous bilateral nodules. #PathTwitter #pulmonarypath #surgpath

RFutoran's tweet image. 86 y/o with numerous bilateral nodules.  
#PathTwitter #pulmonarypath #surgpath
RFutoran's tweet image. 86 y/o with numerous bilateral nodules.  
#PathTwitter #pulmonarypath #surgpath
RFutoran's tweet image. 86 y/o with numerous bilateral nodules.  
#PathTwitter #pulmonarypath #surgpath
RFutoran's tweet image. 86 y/o with numerous bilateral nodules.  
#PathTwitter #pulmonarypath #surgpath

56/ M lung mass. Core biopsy from the lesion. CT and Xray findings attached . Kindly provide your valuable opinions. #pathtwitter #pulmonarypath

NafeesaPath's tweet image. 56/ M lung mass. Core biopsy from the lesion. CT and Xray  findings attached . Kindly provide your valuable opinions. #pathtwitter #pulmonarypath
NafeesaPath's tweet image. 56/ M lung mass. Core biopsy from the lesion. CT and Xray  findings attached . Kindly provide your valuable opinions. #pathtwitter #pulmonarypath
NafeesaPath's tweet image. 56/ M lung mass. Core biopsy from the lesion. CT and Xray  findings attached . Kindly provide your valuable opinions. #pathtwitter #pulmonarypath
NafeesaPath's tweet image. 56/ M lung mass. Core biopsy from the lesion. CT and Xray  findings attached . Kindly provide your valuable opinions. #pathtwitter #pulmonarypath

The 79th Association of Pulmonary Pathologists meeting at the Brompton in London. #APP #Path #Pulmonarypath

PathPOOC's tweet image. The 79th Association of Pulmonary Pathologists meeting at the Brompton in London. #APP #Path #Pulmonarypath

Unilateral pleural effusion with mets...fluid sample was processed for cell block n positive for e-cadherin, ER, PR; Negative for HER2, calretinin! @kriyer68 @smlungpathguy @VijayPatho #pulmonarypath #cytology #pleuralpath #CellBlockD #breastcancer

Komalgang's tweet image. Unilateral pleural effusion with mets...fluid sample was processed for cell block n positive for e-cadherin, ER, PR; Negative for HER2, calretinin!  @kriyer68  @smlungpathguy @VijayPatho #pulmonarypath #cytology #pleuralpath #CellBlockD #breastcancer
Komalgang's tweet image. Unilateral pleural effusion with mets...fluid sample was processed for cell block n positive for e-cadherin, ER, PR; Negative for HER2, calretinin!  @kriyer68  @smlungpathguy @VijayPatho #pulmonarypath #cytology #pleuralpath #CellBlockD #breastcancer

Classic picture of connective tissue disease (RA; in this case). Chronic bronchiolitis w mild scarring of small airways & OP @kabeerkshah @GeronimoJrLapac @VijayPatho @LizaMQuintana @marcoslepe @plessthanpt001 @ElshaikhMD @Sinchita_Roy @NadiaUSAMC #Pathologists #pulmonarypath

sam_albadri's tweet image. Classic picture of connective tissue disease (RA; in this case). Chronic bronchiolitis w mild scarring of small airways & OP @kabeerkshah @GeronimoJrLapac @VijayPatho @LizaMQuintana @marcoslepe @plessthanpt001 @ElshaikhMD @Sinchita_Roy @NadiaUSAMC #Pathologists #pulmonarypath
sam_albadri's tweet image. Classic picture of connective tissue disease (RA; in this case). Chronic bronchiolitis w mild scarring of small airways & OP @kabeerkshah @GeronimoJrLapac @VijayPatho @LizaMQuintana @marcoslepe @plessthanpt001 @ElshaikhMD @Sinchita_Roy @NadiaUSAMC #Pathologists #pulmonarypath
sam_albadri's tweet image. Classic picture of connective tissue disease (RA; in this case). Chronic bronchiolitis w mild scarring of small airways & OP @kabeerkshah @GeronimoJrLapac @VijayPatho @LizaMQuintana @marcoslepe @plessthanpt001 @ElshaikhMD @Sinchita_Roy @NadiaUSAMC #Pathologists #pulmonarypath

#PathQuiz 🔬🫁 #PulmonaryPath A) Squamous B) Adeno C) I dunno (something else) D) Both (adenosquamous) #Pathology #SurgPath #PulmPath

DrCycloPath's tweet image. #PathQuiz 🔬🫁 #PulmonaryPath

A) Squamous
B) Adeno
C) I dunno (something else)
D) Both (adenosquamous)

#Pathology #SurgPath #PulmPath

🔬#PulmonaryPath: What's Your #DailyDX? ➡️ The most frequent type of lung cancer, about 50%. ➡️ Also most prevalent in cancer types: prostate, pancreatic, esophageal, and colorectal. ➡️We’ll tweet the answers, some quick facts, and the next case tomorrow! #UMichPath

UMichPath's tweet image. 🔬#PulmonaryPath: What's Your #DailyDX?
➡️ The most frequent type of lung cancer, about 50%.

➡️ Also most prevalent in cancer types: prostate, pancreatic, esophageal, and colorectal.

➡️We’ll tweet the answers, some quick facts, and the next case tomorrow! #UMichPath
UMichPath's tweet image. 🔬#PulmonaryPath: What's Your #DailyDX?
➡️ The most frequent type of lung cancer, about 50%.

➡️ Also most prevalent in cancer types: prostate, pancreatic, esophageal, and colorectal.

➡️We’ll tweet the answers, some quick facts, and the next case tomorrow! #UMichPath
UMichPath's tweet image. 🔬#PulmonaryPath: What's Your #DailyDX?
➡️ The most frequent type of lung cancer, about 50%.

➡️ Also most prevalent in cancer types: prostate, pancreatic, esophageal, and colorectal.

➡️We’ll tweet the answers, some quick facts, and the next case tomorrow! #UMichPath

#PathQuiz 🔬🫁 #PulmonaryPath A) Large cell neuroendocrine carcinoma B) Diffuse large B-cell lymphoma C) Small cell lung carcinoma D) Squamous cell carcinoma #Pathology #Cytology #CytoPath #ThoracicPath

DrCycloPath's tweet image. #PathQuiz 🔬🫁 #PulmonaryPath

A) Large cell neuroendocrine carcinoma
B) Diffuse large B-cell lymphoma
C) Small cell lung carcinoma
D) Squamous cell carcinoma

#Pathology #Cytology #CytoPath #ThoracicPath

EMZL-MALT lung. Lymphangitic pattern, lymphoepithelial lesions w/ intraluminal plugs, Dutcher bodies. CD43+ t(11:18) in 40%. #pulmonarypath

seattlequinns's tweet image. EMZL-MALT lung. Lymphangitic pattern, lymphoepithelial lesions w/ intraluminal plugs, Dutcher bodies. CD43+ t(11:18) in 40%. #pulmonarypath
seattlequinns's tweet image. EMZL-MALT lung. Lymphangitic pattern, lymphoepithelial lesions w/ intraluminal plugs, Dutcher bodies. CD43+ t(11:18) in 40%. #pulmonarypath
seattlequinns's tweet image. EMZL-MALT lung. Lymphangitic pattern, lymphoepithelial lesions w/ intraluminal plugs, Dutcher bodies. CD43+ t(11:18) in 40%. #pulmonarypath
seattlequinns's tweet image. EMZL-MALT lung. Lymphangitic pattern, lymphoepithelial lesions w/ intraluminal plugs, Dutcher bodies. CD43+ t(11:18) in 40%. #pulmonarypath

#PathQuiz 🔬🫁 #PulmonaryPath A) Pulmonary hamartoma B) Sclerosing pneumocytoma C) Typical carcinoid D) PEComa #Pathology #Cytology #CytoPath #ThoracicPath

DrCycloPath's tweet image. #PathQuiz 🔬🫁 #PulmonaryPath

A) Pulmonary hamartoma
B) Sclerosing pneumocytoma
C) Typical carcinoid
D) PEComa

#Pathology #Cytology #CytoPath #ThoracicPath
DrCycloPath's tweet image. #PathQuiz 🔬🫁 #PulmonaryPath

A) Pulmonary hamartoma
B) Sclerosing pneumocytoma
C) Typical carcinoid
D) PEComa

#Pathology #Cytology #CytoPath #ThoracicPath

MasterClass in Pathology 2021. Register (conferences.pathpresenter.net/#/conference-u…) and login to listen to David's brilliant talk on lung tumors. Cases can be previewed here: conferences.pathpresenter.net/#/public/prese… @Pathologists #LungPath #PulmonaryPath. @GeronimoJrLapac #pathology @smlungpathguy @DCSkipperDO

mydermpath's tweet image. MasterClass in Pathology 2021. Register (conferences.pathpresenter.net/#/conference-u…) and login to listen to David's brilliant talk on lung tumors. Cases can be previewed here:
conferences.pathpresenter.net/#/public/prese…

@Pathologists #LungPath #PulmonaryPath. @GeronimoJrLapac #pathology @smlungpathguy @DCSkipperDO

Fat emboli: ~85% of trauma patients w/ attempted resuscitation have fat emboli at autopsy. Why else? #pulmonarypath #forensicpath

seattlequinns's tweet image. Fat emboli: ~85% of trauma patients w/ attempted resuscitation have fat emboli at autopsy. Why else? #pulmonarypath #forensicpath
seattlequinns's tweet image. Fat emboli: ~85% of trauma patients w/ attempted resuscitation have fat emboli at autopsy. Why else? #pulmonarypath #forensicpath
seattlequinns's tweet image. Fat emboli: ~85% of trauma patients w/ attempted resuscitation have fat emboli at autopsy. Why else? #pulmonarypath #forensicpath

#pulmonarypath #crittersontwitter BAL with blastomyces. #cytopath #cytology BBB- broad based budding yeast, Southwestern US D/D Cryptococcus- which has more variability in size

israhkhan's tweet image. #pulmonarypath #crittersontwitter BAL with blastomyces. #cytopath #cytology
BBB- broad based budding yeast, Southwestern US
D/D Cryptococcus- which has more variability in size
israhkhan's tweet image. #pulmonarypath #crittersontwitter BAL with blastomyces. #cytopath #cytology
BBB- broad based budding yeast, Southwestern US
D/D Cryptococcus- which has more variability in size
israhkhan's tweet image. #pulmonarypath #crittersontwitter BAL with blastomyces. #cytopath #cytology
BBB- broad based budding yeast, Southwestern US
D/D Cryptococcus- which has more variability in size
israhkhan's tweet image. #pulmonarypath #crittersontwitter BAL with blastomyces. #cytopath #cytology
BBB- broad based budding yeast, Southwestern US
D/D Cryptococcus- which has more variability in size

Has anyone had experience w/ vasculitis in systemic sarcoidosis? This patient was presumptively diagnosed based on hilar lymphadenopathy - sarcoidosis involving LNs but no definitive granulomas in lungs. Heart and spleen may be involved. #pulmonarypath #pulmpath #sarcoidosis

seattlequinns's tweet image. Has anyone had experience w/ vasculitis in systemic sarcoidosis? This patient was presumptively diagnosed based on hilar lymphadenopathy - sarcoidosis involving LNs but no definitive granulomas in lungs. Heart and spleen may be involved. #pulmonarypath #pulmpath #sarcoidosis
seattlequinns's tweet image. Has anyone had experience w/ vasculitis in systemic sarcoidosis? This patient was presumptively diagnosed based on hilar lymphadenopathy - sarcoidosis involving LNs but no definitive granulomas in lungs. Heart and spleen may be involved. #pulmonarypath #pulmpath #sarcoidosis

@fabiotavora: "What a great pleasure to present in the #LALCA21 school of Pathology." #pulmonarypathology #pulmonarypath @argospatologia #LALCA21

IASLC's tweet image. @fabiotavora: "What a great pleasure to present in the #LALCA21 school of Pathology." #pulmonarypathology #pulmonarypath @argospatologia #LALCA21

The 79th Association of Pulmonary Pathologists meeting at the Brompton in London. #APP #Path #Pulmonarypath

PathPOOC's tweet image. The 79th Association of Pulmonary Pathologists meeting at the Brompton in London. #APP #Path #Pulmonarypath

A enlightening talk encompassing the recent updates on histopathology, IHC and molecular pathology of the Lung.Thank you Dr Raghavendra Pillapa @raghupillappa @PaviSaaiarun #Pulmonarypath #histopath #PDL1

Divya_Madhala's tweet image. A enlightening talk encompassing the recent updates on histopathology, IHC and molecular pathology of the Lung.Thank you Dr Raghavendra Pillapa @raghupillappa @PaviSaaiarun #Pulmonarypath #histopath #PDL1
Divya_Madhala's tweet image. A enlightening talk encompassing the recent updates on histopathology, IHC and molecular pathology of the Lung.Thank you Dr Raghavendra Pillapa @raghupillappa @PaviSaaiarun #Pulmonarypath #histopath #PDL1
Divya_Madhala's tweet image. A enlightening talk encompassing the recent updates on histopathology, IHC and molecular pathology of the Lung.Thank you Dr Raghavendra Pillapa @raghupillappa @PaviSaaiarun #Pulmonarypath #histopath #PDL1
Divya_Madhala's tweet image. A enlightening talk encompassing the recent updates on histopathology, IHC and molecular pathology of the Lung.Thank you Dr Raghavendra Pillapa @raghupillappa @PaviSaaiarun #Pulmonarypath #histopath #PDL1

56/ M lung mass. Core biopsy from the lesion. CT and Xray findings attached . Kindly provide your valuable opinions. #pathtwitter #pulmonarypath

NafeesaPath's tweet image. 56/ M lung mass. Core biopsy from the lesion. CT and Xray  findings attached . Kindly provide your valuable opinions. #pathtwitter #pulmonarypath
NafeesaPath's tweet image. 56/ M lung mass. Core biopsy from the lesion. CT and Xray  findings attached . Kindly provide your valuable opinions. #pathtwitter #pulmonarypath
NafeesaPath's tweet image. 56/ M lung mass. Core biopsy from the lesion. CT and Xray  findings attached . Kindly provide your valuable opinions. #pathtwitter #pulmonarypath
NafeesaPath's tweet image. 56/ M lung mass. Core biopsy from the lesion. CT and Xray  findings attached . Kindly provide your valuable opinions. #pathtwitter #pulmonarypath

Educating clinicians and explaining path results (bronchial carcinoide, margin) #iamapathologist #pulmpath #pulmonarypath #pathology @microvisioneer

fabiotavora's tweet image. Educating clinicians and explaining path results (bronchial carcinoide, margin) #iamapathologist #pulmpath #pulmonarypath #pathology @microvisioneer
fabiotavora's tweet image. Educating clinicians and explaining path results (bronchial carcinoide, margin) #iamapathologist #pulmpath #pulmonarypath #pathology @microvisioneer

From a cancer resection. Does anyone know the mechanism by which these lesions form? (It’s a male, so not b9 metastasizing leiomyoma). #pulmonarypath #lungpath #thoracicpath #pathtwitter #pathx

PeterKobalka's tweet image. From a cancer resection.  Does anyone know the mechanism by which these lesions form? (It’s a male, so not b9 metastasizing leiomyoma). #pulmonarypath #lungpath #thoracicpath #pathtwitter #pathx
PeterKobalka's tweet image. From a cancer resection.  Does anyone know the mechanism by which these lesions form? (It’s a male, so not b9 metastasizing leiomyoma). #pulmonarypath #lungpath #thoracicpath #pathtwitter #pathx
PeterKobalka's tweet image. From a cancer resection.  Does anyone know the mechanism by which these lesions form? (It’s a male, so not b9 metastasizing leiomyoma). #pulmonarypath #lungpath #thoracicpath #pathtwitter #pathx
PeterKobalka's tweet image. From a cancer resection.  Does anyone know the mechanism by which these lesions form? (It’s a male, so not b9 metastasizing leiomyoma). #pulmonarypath #lungpath #thoracicpath #pathtwitter #pathx

Loading...

Something went wrong.


Something went wrong.