#pathbugs search results

Thread... 1. Every day, pathologists diagnose fungi in surgical pathology and cytology specimens from the lung. This thread = our experience (26 years) Read article in @IJSPjournal journals.sagepub.com/doi/10.1177/10… Pic: Blastomyces, case 17 of Table 1 #pulmpath #pathology #pathbugs

smlungpathguy's tweet image. Thread...
1. Every day, pathologists diagnose fungi in surgical pathology and cytology specimens from the lung. This thread = our experience (26 years)

Read article in @IJSPjournal 
journals.sagepub.com/doi/10.1177/10…

Pic: Blastomyces, case 17 of Table 1
#pulmpath #pathology #pathbugs

Colectomy performed for cancer. Colleague's case. Granulomata present away from cancer. On pictures 1 to 3, hard to be sure what they are, but picture 4 shows a viable schistosoma ovum. GI schistosomiasis is usually S. mansoni or japonicum. #GIpath #pathbugs

DrMarkOng's tweet image. Colectomy performed for cancer. Colleague's case.

Granulomata present away from cancer. On pictures 1 to 3, hard to be sure what they are, but picture 4 shows a viable schistosoma ovum.

GI schistosomiasis is usually S. mansoni or japonicum.

#GIpath #pathbugs
DrMarkOng's tweet image. Colectomy performed for cancer. Colleague's case.

Granulomata present away from cancer. On pictures 1 to 3, hard to be sure what they are, but picture 4 shows a viable schistosoma ovum.

GI schistosomiasis is usually S. mansoni or japonicum.

#GIpath #pathbugs
DrMarkOng's tweet image. Colectomy performed for cancer. Colleague's case.

Granulomata present away from cancer. On pictures 1 to 3, hard to be sure what they are, but picture 4 shows a viable schistosoma ovum.

GI schistosomiasis is usually S. mansoni or japonicum.

#GIpath #pathbugs
DrMarkOng's tweet image. Colectomy performed for cancer. Colleague's case.

Granulomata present away from cancer. On pictures 1 to 3, hard to be sure what they are, but picture 4 shows a viable schistosoma ovum.

GI schistosomiasis is usually S. mansoni or japonicum.

#GIpath #pathbugs

This BAL revealed an unusual and striking finding: ➡️Disseminated strongyloidiasis in an immunocompromised patient #CytoPath #PathTwitter #PathBugs

VandaTorousMD's tweet image. This BAL revealed an unusual and striking finding:

➡️Disseminated strongyloidiasis in an immunocompromised patient

#CytoPath #PathTwitter #PathBugs

Hundred weeds or thousand wishes! #aspergillus #pathart #pathbugs

DrRanasaleh's tweet image. Hundred weeds or thousand wishes!
#aspergillus #pathart #pathbugs

Pulmonary Coccidioidomycosis. 🔬🦠🍄 #PathTwitter #PulmPath #PathBugs

Pathowan's tweet image. Pulmonary Coccidioidomycosis. 🔬🦠🍄
#PathTwitter #PulmPath #PathBugs
Pathowan's tweet image. Pulmonary Coccidioidomycosis. 🔬🦠🍄
#PathTwitter #PulmPath #PathBugs
Pathowan's tweet image. Pulmonary Coccidioidomycosis. 🔬🦠🍄
#PathTwitter #PulmPath #PathBugs

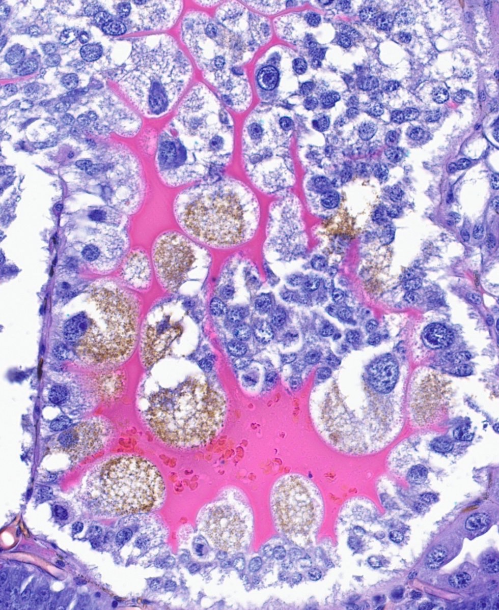
218/ Image from case 5, table 1, Toro P, et al, Int J Surg Pathol 2025 journals.sagepub.com/doi/10.1177/10… Mucicarmine is positive in pleomorphic yeasts with a halo. Hedge or diagnose as Cryptococcus? #pathbugs #crittersontwitter

smlungpathguy's tweet image. 218/
Image from case 5, table 1, Toro P, et al, Int J Surg Pathol 2025
journals.sagepub.com/doi/10.1177/10…

Mucicarmine is positive in pleomorphic yeasts with a halo. Hedge or diagnose as Cryptococcus?

#pathbugs #crittersontwitter

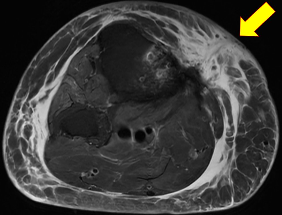
70/F with a h/o kidney transplant in 2006, on immune suppressants. Patient felt a 1cm tumor below the skin on her right knee last May, but walking became painful despite oral ABx. MRI revealed necrotizing fasciitis. GMS+, Mucicarmine+ cryptococcosis. #PathBugs #crittersontwitter

EricMadPatho's tweet image. 70/F with a h/o kidney transplant in 2006, on immune suppressants. Patient felt a 1cm tumor below the skin on her right knee last May, but walking became painful despite oral ABx. MRI revealed necrotizing fasciitis. GMS+, Mucicarmine+ cryptococcosis. #PathBugs #crittersontwitter
EricMadPatho's tweet image. 70/F with a h/o kidney transplant in 2006, on immune suppressants. Patient felt a 1cm tumor below the skin on her right knee last May, but walking became painful despite oral ABx. MRI revealed necrotizing fasciitis. GMS+, Mucicarmine+ cryptococcosis. #PathBugs #crittersontwitter
EricMadPatho's tweet image. 70/F with a h/o kidney transplant in 2006, on immune suppressants. Patient felt a 1cm tumor below the skin on her right knee last May, but walking became painful despite oral ABx. MRI revealed necrotizing fasciitis. GMS+, Mucicarmine+ cryptococcosis. #PathBugs #crittersontwitter
EricMadPatho's tweet image. 70/F with a h/o kidney transplant in 2006, on immune suppressants. Patient felt a 1cm tumor below the skin on her right knee last May, but walking became painful despite oral ABx. MRI revealed necrotizing fasciitis. GMS+, Mucicarmine+ cryptococcosis. #PathBugs #crittersontwitter

Image from case 5, table 1, Toro P, et al, Int J Sur Pathol 2025 journals.sagepub.com/doi/10.1177/10… Mucicarmine is positive in pleomorphic yeasts with a halo. Hedge or diagnose as Cryptococcus? #pathbugs #crittersontwitter

smlungpathguy's tweet image. Image from case 5, table 1, Toro P, et al, Int J Sur Pathol 2025
journals.sagepub.com/doi/10.1177/10…

Mucicarmine is positive in pleomorphic yeasts with a halo. Hedge or diagnose as Cryptococcus?

#pathbugs #crittersontwitter

#Pathbugs Yet another stellar contribution to the #Pathbugs kingdom by our guru and unmatched guide to deep #Cryptococcus knowledge @smlungpathguy . ↘️

218/ Image from case 5, table 1, Toro P, et al, Int J Surg Pathol 2025 journals.sagepub.com/doi/10.1177/10… Mucicarmine is positive in pleomorphic yeasts with a halo. Hedge or diagnose as Cryptococcus? #pathbugs #crittersontwitter

smlungpathguy's tweet image. 218/
Image from case 5, table 1, Toro P, et al, Int J Surg Pathol 2025
journals.sagepub.com/doi/10.1177/10…

Mucicarmine is positive in pleomorphic yeasts with a halo. Hedge or diagnose as Cryptococcus?

#pathbugs #crittersontwitter


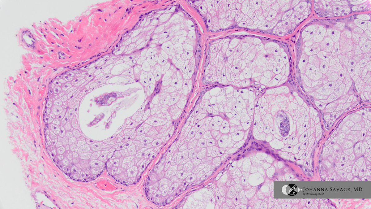
Not all "warts" are warts... I spy with my little eye... #gynpath #pathtwitter #pathbugs #vulva

JMSavageMD's tweet image. Not all "warts" are warts... I spy with my little eye...

#gynpath #pathtwitter #pathbugs #vulva
JMSavageMD's tweet image. Not all "warts" are warts... I spy with my little eye...

#gynpath #pathtwitter #pathbugs #vulva
JMSavageMD's tweet image. Not all "warts" are warts... I spy with my little eye...

#gynpath #pathtwitter #pathbugs #vulva
JMSavageMD's tweet image. Not all "warts" are warts... I spy with my little eye...

#gynpath #pathtwitter #pathbugs #vulva

Which fungus🍄 = crushed🏓⚪️? A) Pneumocystis B) Blastomyces C) Cryptococcus D) Coccidioides 🖼️🙏Dr. Carol Farver #CrittersOnTwitter #PathBugs #PathTwitter #PathResidents #PulmPath

DrCycloPath's tweet image. Which fungus🍄 = crushed🏓⚪️?
A) Pneumocystis
B) Blastomyces
C) Cryptococcus
D) Coccidioides
🖼️🙏Dr. Carol Farver
#CrittersOnTwitter #PathBugs #PathTwitter #PathResidents #PulmPath

#Parasite case 794 is up – H&E-stained section of skin from the plantar aspect of the foot. parasitewonders.blogspot.com/2025/11/case-o… Any thoughts? Answer later this week! #mayopath #pathology #PathBugs

ParasiteGal's tweet image. #Parasite case 794 is up – H&E-stained section of skin from the plantar aspect of the foot. parasitewonders.blogspot.com/2025/11/case-o… Any thoughts? Answer later this week! #mayopath #pathology #PathBugs


Disseminated histoplasmosis, cytology, BAL specimen, pap stain #pathology #pulmpath #pathbugs #crittersontwitter #cytopath In lung specimens, this morphology is a surrogate for disseminated disease pubmed.ncbi.nlm.nih.gov/24054723/

smlungpathguy's tweet image. Disseminated histoplasmosis, cytology, BAL specimen, pap stain #pathology #pulmpath #pathbugs #crittersontwitter #cytopath 

In lung specimens, this morphology is a surrogate for disseminated disease 

pubmed.ncbi.nlm.nih.gov/24054723/

4. Another image from case 5, table 1, Toro P, et al, Int J Sur Pathol 2025 Mucicarmine is positive in pleomorphic yeasts with a halo. Is there a differential diagnosis here, or should we be reasonable and diagnose this as Cryptococcus? #pathbugs #crittersontwitter

smlungpathguy's tweet image. 4. Another image from case 5, table 1, Toro P, et al, Int J Sur Pathol 2025

Mucicarmine is positive in pleomorphic yeasts with a halo. Is there a differential diagnosis here, or should we be reasonable and diagnose this as Cryptococcus?

#pathbugs #crittersontwitter

You have been surrounded from all sides. 👮📢 #pathresidents #pathbugs

drdhanetwal's tweet image. You have been surrounded from all sides. 👮📢

#pathresidents
#pathbugs

Guess the name of these bugs 🐞 Hint : Giemsa coloration🔵 #pathbugs #pathology #Gipath

FrenchPath's tweet image. Guess the name of these bugs 🐞 
Hint : Giemsa coloration🔵
#pathbugs #pathology #Gipath

Y ahora unos microorganismos de la semana 🐛🔬#pathbugs

ColegioOaxaca's tweet image. Y ahora unos microorganismos de la semana 🐛🔬#pathbugs
ColegioOaxaca's tweet image. Y ahora unos microorganismos de la semana 🐛🔬#pathbugs

#Parasite case 794 is up – H&E-stained section of skin from the plantar aspect of the foot. parasitewonders.blogspot.com/2025/11/case-o… Any thoughts? Answer later this week! #mayopath #pathology #PathBugs

ParasiteGal's tweet image. #Parasite case 794 is up – H&E-stained section of skin from the plantar aspect of the foot. parasitewonders.blogspot.com/2025/11/case-o… Any thoughts? Answer later this week! #mayopath #pathology #PathBugs


Found this in a pap smear... Bethesda doesn't say anything about mites. 🙈 AI tagged this as sarcoptes... 80 to 90 % confidence. Anybody knows what this is? @ParasiteGal (I hope you're around) @VetPathophile (I know but you might see more of them than I do) @DrGeeONE

TjLimMD's tweet image. Found this in a pap smear... Bethesda doesn't  say anything about mites. 🙈
AI tagged this as sarcoptes... 80 to 90 % confidence. 

Anybody knows what this is?
@ParasiteGal (I hope you're around)
@VetPathophile (I know but you might see more of them than I do)
@DrGeeONE
TjLimMD's tweet image. Found this in a pap smear... Bethesda doesn't  say anything about mites. 🙈
AI tagged this as sarcoptes... 80 to 90 % confidence. 

Anybody knows what this is?
@ParasiteGal (I hope you're around)
@VetPathophile (I know but you might see more of them than I do)
@DrGeeONE


The first post in this 219-post thread on cryptococcosis was on July 10, 2019 It's the longest pathology thread on X: 2019-2025 #pathbugs #crittersontwitter #pathology #pulmpath

219/ I am always amazed by the power of the H&E stain. Much reviled over the years, it remains the backbone of pathologic diagnosis all over the world. It's often all you need to identify Cryptococcus #tweetcyclopedia

smlungpathguy's tweet image. 219/
I am always amazed by the power of the H&E stain. Much reviled over the years, it remains the backbone of pathologic diagnosis all over the world. It's often all you need to identify Cryptococcus

#tweetcyclopedia


I think this is the longest thread or #tweetorial or #pathtweetorial ever created. 219 tweets/posts in a row by various experts in different fields, slowly linked together over a period of several years, all focussed a single topic: cryptococcosis #pathbugs #crittersontwitter

#Pathbugs Yet another stellar contribution to the #Pathbugs kingdom by our guru and unmatched guide to deep #Cryptococcus knowledge @smlungpathguy . ↘️



#Pathbugs Yet another stellar contribution to the #Pathbugs kingdom by our guru and unmatched guide to deep #Cryptococcus knowledge @smlungpathguy . ↘️

218/ Image from case 5, table 1, Toro P, et al, Int J Surg Pathol 2025 journals.sagepub.com/doi/10.1177/10… Mucicarmine is positive in pleomorphic yeasts with a halo. Hedge or diagnose as Cryptococcus? #pathbugs #crittersontwitter

smlungpathguy's tweet image. 218/
Image from case 5, table 1, Toro P, et al, Int J Surg Pathol 2025
journals.sagepub.com/doi/10.1177/10…

Mucicarmine is positive in pleomorphic yeasts with a halo. Hedge or diagnose as Cryptococcus?

#pathbugs #crittersontwitter


#Pathbugs Thank you dear Sanjay for sharing this and adding to your epic collection. Congratulations on the paper to you ,@erikacytogal and colleagues 👏👏👏👏👏💫


6. These questions have no easy answer. How much risk is involved in calling fungi like this Aspergillus in the lung? How often are we wrong? What are the clinical consequences? See discussion here: journals.sagepub.com/doi/10.1177/10… #pathbugs #crittersontwitter

smlungpathguy's tweet image. 6. These questions have no easy answer. How much risk is involved in calling fungi like this Aspergillus in the lung? How often are we wrong? What are the clinical consequences?

See discussion here:
journals.sagepub.com/doi/10.1177/10…

#pathbugs #crittersontwitter

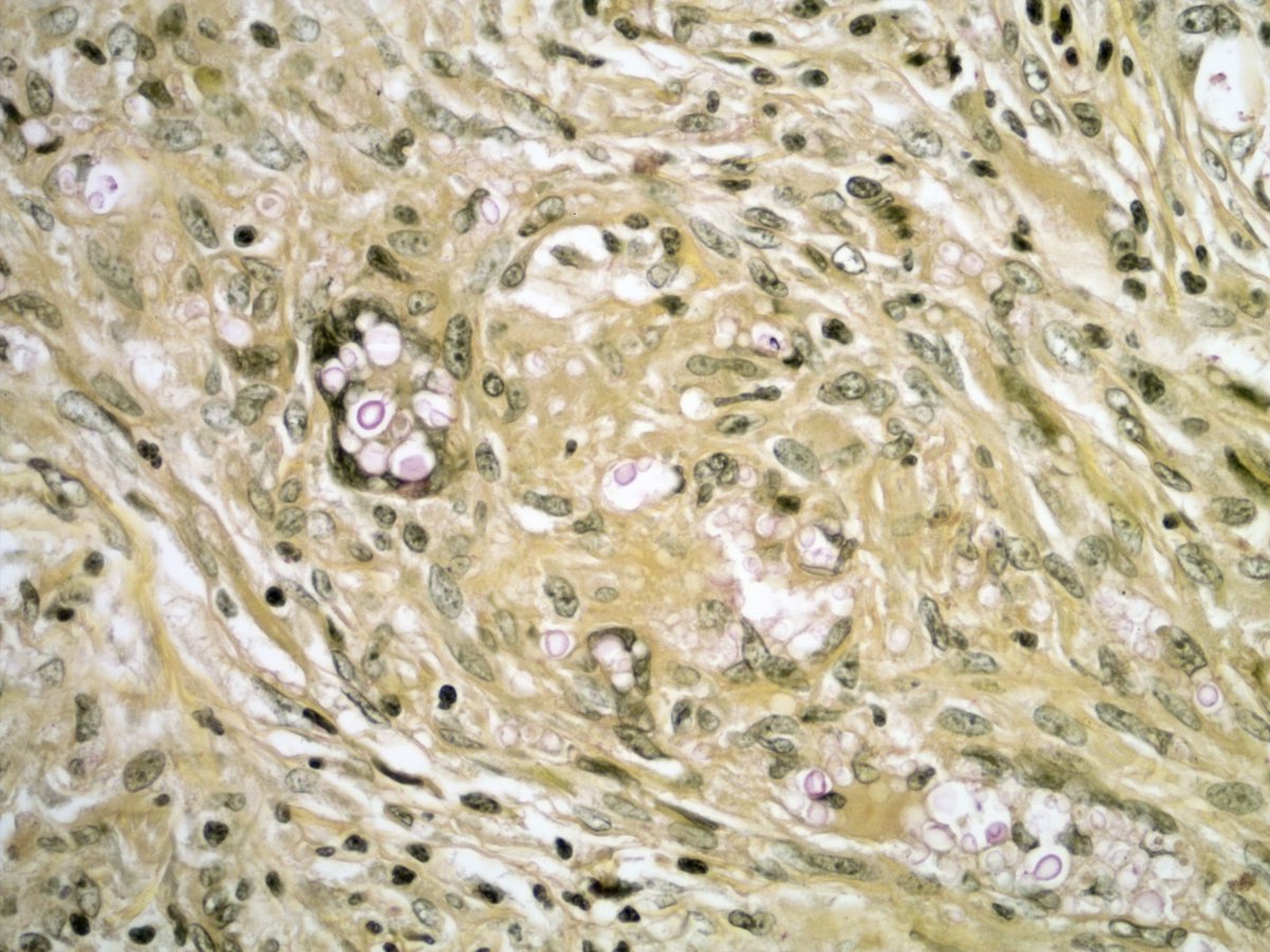
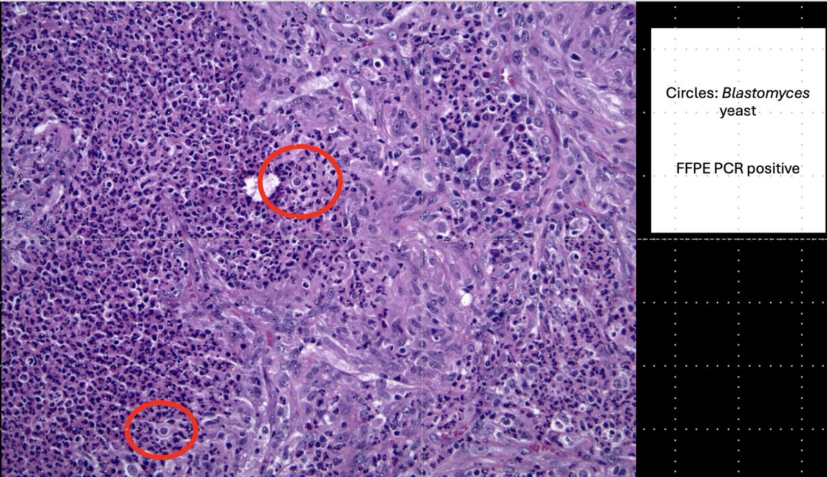
5. Now this one is tricky. Most fungi that look like this in the lung turn out to be Aspergillus. But there are a few exceptions, so ok to hedge Image from case 30, table 1, Toro P et al, Int J Surg Pathol 2025 journals.sagepub.com/doi/10.1177/10… #pathbugs #crittersontwitter

smlungpathguy's tweet image. 5. Now this one is tricky. Most fungi that look like this in the lung turn out to be Aspergillus. But there are a few exceptions, so ok to hedge 

Image from case 30, table 1, Toro P et al, Int J Surg Pathol 2025
journals.sagepub.com/doi/10.1177/10…

#pathbugs #crittersontwitter

218/ Image from case 5, table 1, Toro P, et al, Int J Surg Pathol 2025 journals.sagepub.com/doi/10.1177/10… Mucicarmine is positive in pleomorphic yeasts with a halo. Hedge or diagnose as Cryptococcus? #pathbugs #crittersontwitter

smlungpathguy's tweet image. 218/
Image from case 5, table 1, Toro P, et al, Int J Surg Pathol 2025
journals.sagepub.com/doi/10.1177/10…

Mucicarmine is positive in pleomorphic yeasts with a halo. Hedge or diagnose as Cryptococcus?

#pathbugs #crittersontwitter

Image from case 5, table 1, Toro P, et al, Int J Sur Pathol 2025 journals.sagepub.com/doi/10.1177/10… Mucicarmine is positive in pleomorphic yeasts with a halo. Hedge or diagnose as Cryptococcus? #pathbugs #crittersontwitter

smlungpathguy's tweet image. Image from case 5, table 1, Toro P, et al, Int J Sur Pathol 2025
journals.sagepub.com/doi/10.1177/10…

Mucicarmine is positive in pleomorphic yeasts with a halo. Hedge or diagnose as Cryptococcus?

#pathbugs #crittersontwitter

4. Another image from case 5, table 1, Toro P, et al, Int J Sur Pathol 2025 Mucicarmine is positive in pleomorphic yeasts with a halo. Is there a differential diagnosis here, or should we be reasonable and diagnose this as Cryptococcus? #pathbugs #crittersontwitter

smlungpathguy's tweet image. 4. Another image from case 5, table 1, Toro P, et al, Int J Sur Pathol 2025

Mucicarmine is positive in pleomorphic yeasts with a halo. Is there a differential diagnosis here, or should we be reasonable and diagnose this as Cryptococcus?

#pathbugs #crittersontwitter

Thread... 1. Every day, pathologists diagnose fungi in surgical pathology and cytology specimens from the lung. This thread = our experience (26 years) Read article in @IJSPjournal journals.sagepub.com/doi/10.1177/10… Pic: Blastomyces, case 17 of Table 1 #pulmpath #pathology #pathbugs

smlungpathguy's tweet image. Thread...
1. Every day, pathologists diagnose fungi in surgical pathology and cytology specimens from the lung. This thread = our experience (26 years)

Read article in @IJSPjournal 
journals.sagepub.com/doi/10.1177/10…

Pic: Blastomyces, case 17 of Table 1
#pulmpath #pathology #pathbugs

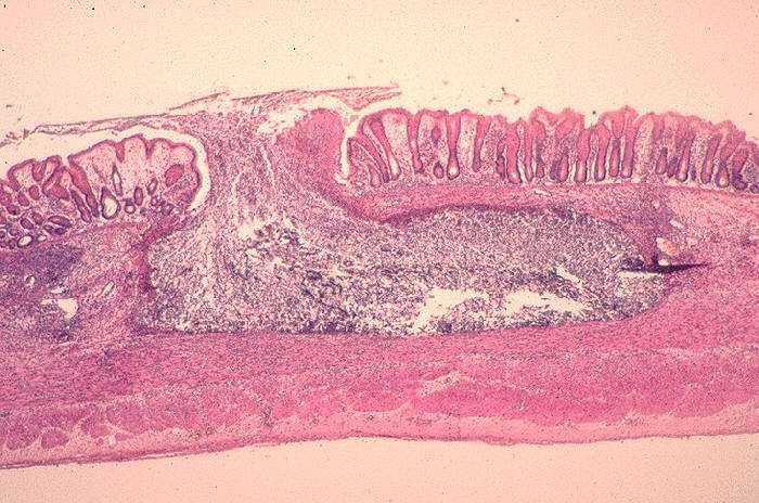
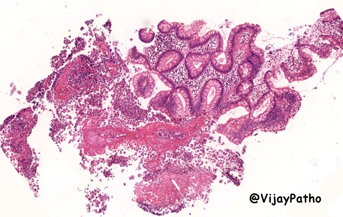
A patient with dysentery and liver abscess. Colon biopsy and abscess aspirate are shown. What is this❓️

DrAkhilX's tweet image. A patient with dysentery and liver abscess.

Colon biopsy and abscess aspirate are shown.

What is this❓️
DrAkhilX's tweet image. A patient with dysentery and liver abscess.

Colon biopsy and abscess aspirate are shown.

What is this❓️


Alright, we have this cutie 🥰 ! I now have a better idea of the potential organ identification from this entomological autopsy. #pathology #pathologists #pathTwitter #dermpath #dermatologia #dermtwitter #entomology

CakePath's tweet image. Alright, we have this cutie 🥰 ! 
I now have a better idea of the potential organ identification from this entomological autopsy. #pathology #pathologists #pathTwitter #dermpath #dermatologia #dermtwitter #entomology
CakePath's tweet image. Alright, we have this cutie 🥰 ! 
I now have a better idea of the potential organ identification from this entomological autopsy. #pathology #pathologists #pathTwitter #dermpath #dermatologia #dermtwitter #entomology
CakePath's tweet image. Alright, we have this cutie 🥰 ! 
I now have a better idea of the potential organ identification from this entomological autopsy. #pathology #pathologists #pathTwitter #dermpath #dermatologia #dermtwitter #entomology
CakePath's tweet image. Alright, we have this cutie 🥰 ! 
I now have a better idea of the potential organ identification from this entomological autopsy. #pathology #pathologists #pathTwitter #dermpath #dermatologia #dermtwitter #entomology


Hundred weeds or thousand wishes! #aspergillus #pathart #pathbugs

DrRanasaleh's tweet image. Hundred weeds or thousand wishes!
#aspergillus #pathart #pathbugs

No results for "#pathbugs"

Thread... 1. Every day, pathologists diagnose fungi in surgical pathology and cytology specimens from the lung. This thread = our experience (26 years) Read article in @IJSPjournal journals.sagepub.com/doi/10.1177/10… Pic: Blastomyces, case 17 of Table 1 #pulmpath #pathology #pathbugs

smlungpathguy's tweet image. Thread...
1. Every day, pathologists diagnose fungi in surgical pathology and cytology specimens from the lung. This thread = our experience (26 years)

Read article in @IJSPjournal 
journals.sagepub.com/doi/10.1177/10…

Pic: Blastomyces, case 17 of Table 1
#pulmpath #pathology #pathbugs

Colectomy performed for cancer. Colleague's case. Granulomata present away from cancer. On pictures 1 to 3, hard to be sure what they are, but picture 4 shows a viable schistosoma ovum. GI schistosomiasis is usually S. mansoni or japonicum. #GIpath #pathbugs

DrMarkOng's tweet image. Colectomy performed for cancer. Colleague's case.

Granulomata present away from cancer. On pictures 1 to 3, hard to be sure what they are, but picture 4 shows a viable schistosoma ovum.

GI schistosomiasis is usually S. mansoni or japonicum.

#GIpath #pathbugs
DrMarkOng's tweet image. Colectomy performed for cancer. Colleague's case.

Granulomata present away from cancer. On pictures 1 to 3, hard to be sure what they are, but picture 4 shows a viable schistosoma ovum.

GI schistosomiasis is usually S. mansoni or japonicum.

#GIpath #pathbugs
DrMarkOng's tweet image. Colectomy performed for cancer. Colleague's case.

Granulomata present away from cancer. On pictures 1 to 3, hard to be sure what they are, but picture 4 shows a viable schistosoma ovum.

GI schistosomiasis is usually S. mansoni or japonicum.

#GIpath #pathbugs
DrMarkOng's tweet image. Colectomy performed for cancer. Colleague's case.

Granulomata present away from cancer. On pictures 1 to 3, hard to be sure what they are, but picture 4 shows a viable schistosoma ovum.

GI schistosomiasis is usually S. mansoni or japonicum.

#GIpath #pathbugs

27. PGY1s: do you know what fruiting bodies are? If you see these in surgical pathology or cytology, you should strongly suspect Aspergillus! #pathbugs #crittersontwitter #sblppgy1

smlungpathguy's tweet image. 27. PGY1s: do you know what fruiting bodies are? If you see these in surgical pathology or cytology, you should strongly suspect Aspergillus!

#pathbugs #crittersontwitter #sblppgy1

Pulmonary Coccidioidomycosis. 🔬🦠🍄 #PathTwitter #PulmPath #PathBugs

Pathowan's tweet image. Pulmonary Coccidioidomycosis. 🔬🦠🍄
#PathTwitter #PulmPath #PathBugs
Pathowan's tweet image. Pulmonary Coccidioidomycosis. 🔬🦠🍄
#PathTwitter #PulmPath #PathBugs
Pathowan's tweet image. Pulmonary Coccidioidomycosis. 🔬🦠🍄
#PathTwitter #PulmPath #PathBugs

16. Most fungi are visible on routine stains like H&E or pap. As a PGY1, ask yourself: "are these fungi yeasts or hyphae". Yeasts (left) are round (ish), hyphae (right) are elongated. Warning: hyphae cut in cross section can mimic yeasts (green circles) #pathbugs

smlungpathguy's tweet image. 16. 
Most fungi are visible on routine stains like H&E or pap. As a PGY1, ask yourself: "are these fungi yeasts or hyphae". Yeasts (left) are round (ish), hyphae (right) are elongated. 

Warning: hyphae cut in cross section can mimic yeasts (green circles) #pathbugs
smlungpathguy's tweet image. 16. 
Most fungi are visible on routine stains like H&E or pap. As a PGY1, ask yourself: "are these fungi yeasts or hyphae". Yeasts (left) are round (ish), hyphae (right) are elongated. 

Warning: hyphae cut in cross section can mimic yeasts (green circles) #pathbugs

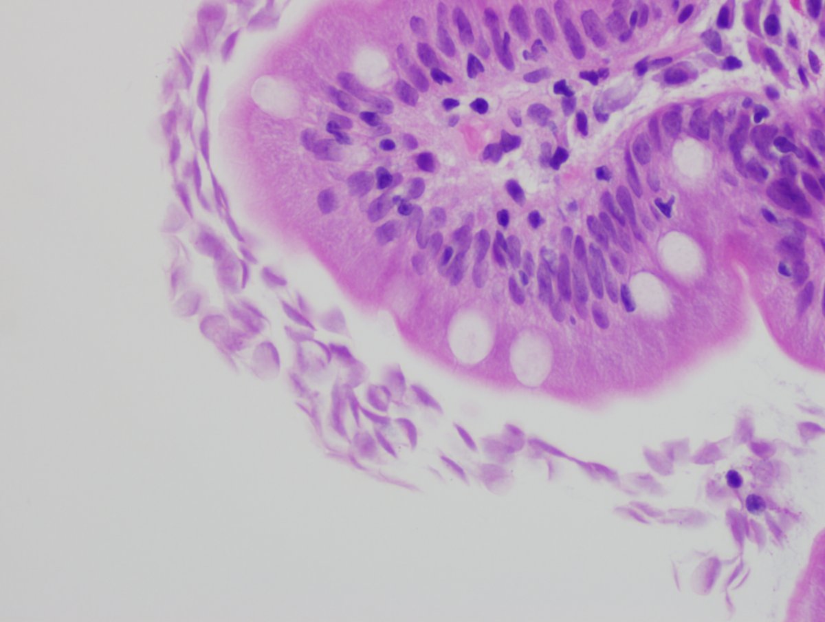
Giardia in a duodenal biopsy. What is your favorite description of these critters? Pale butts? Falling leaves? #pathbugs #crittersontwitter

smlungpathguy's tweet image. Giardia in a duodenal biopsy. What is your favorite description of these critters? Pale butts? Falling leaves? 

#pathbugs #crittersontwitter

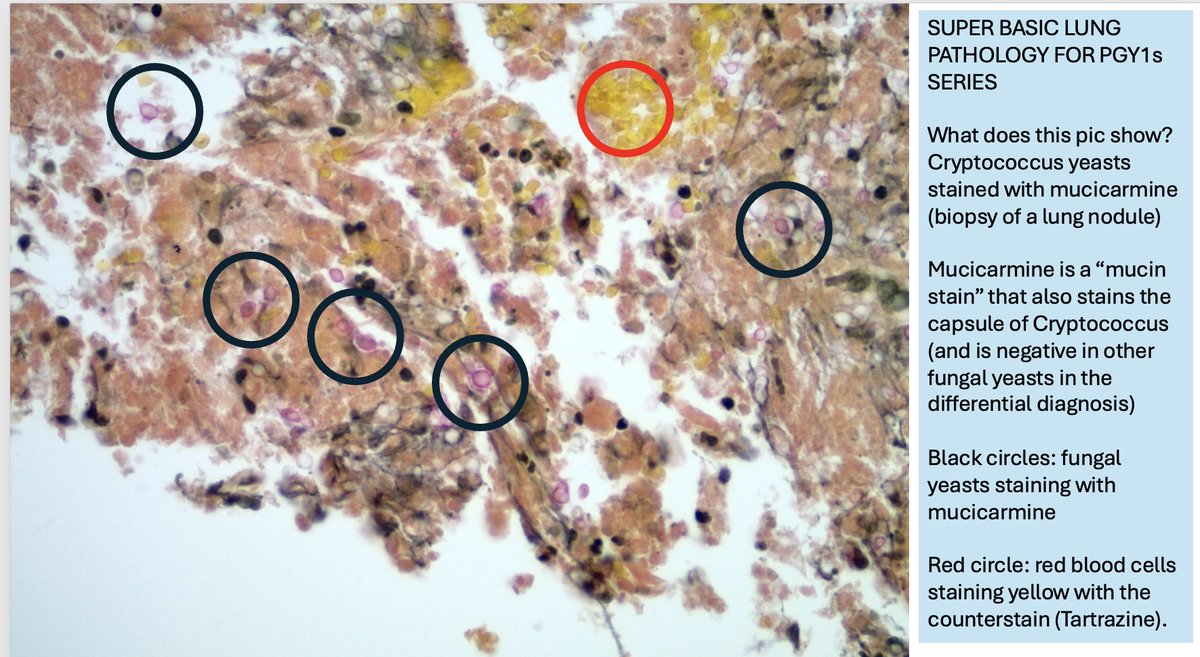
41. PGY1s: you will see mucicarmine being used as a "mucin stain" in adenocarcinomas, but it also has a cool use in the diagnosis of a fungus called Cryptococcus #pathbugs #crittersontwitter

smlungpathguy's tweet image. 41. PGY1s: you will see mucicarmine being used as a "mucin stain" in adenocarcinomas, but it also has a cool use in the diagnosis of a fungus called Cryptococcus
#pathbugs #crittersontwitter

Which fungus🍄 = crushed🏓⚪️? A) Pneumocystis B) Blastomyces C) Cryptococcus D) Coccidioides 🖼️🙏Dr. Carol Farver #CrittersOnTwitter #PathBugs #PathTwitter #PathResidents #PulmPath

DrCycloPath's tweet image. Which fungus🍄 = crushed🏓⚪️?
A) Pneumocystis
B) Blastomyces
C) Cryptococcus
D) Coccidioides
🖼️🙏Dr. Carol Farver
#CrittersOnTwitter #PathBugs #PathTwitter #PathResidents #PulmPath

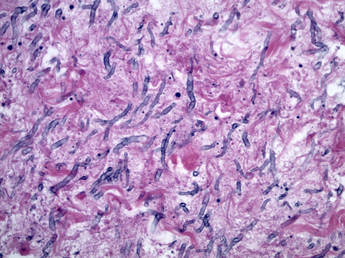
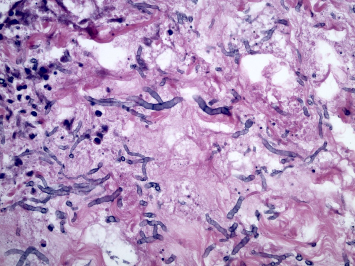
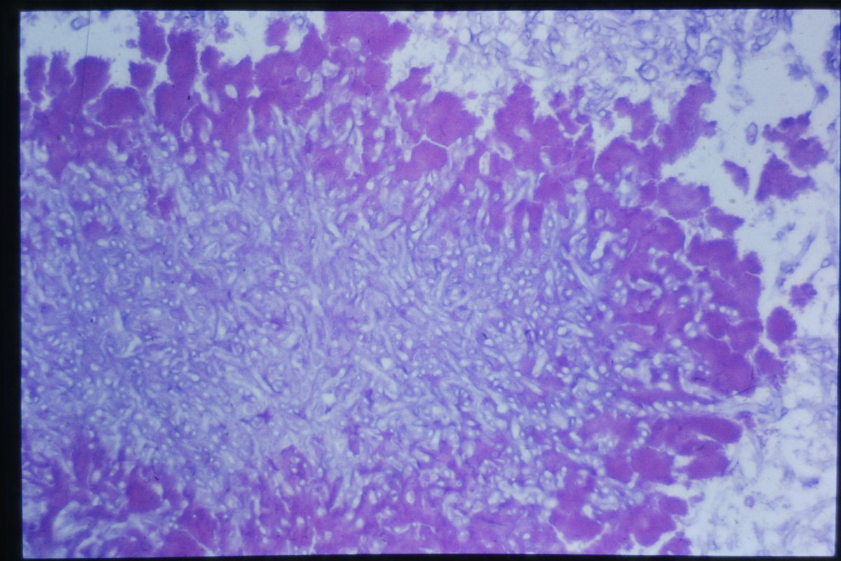
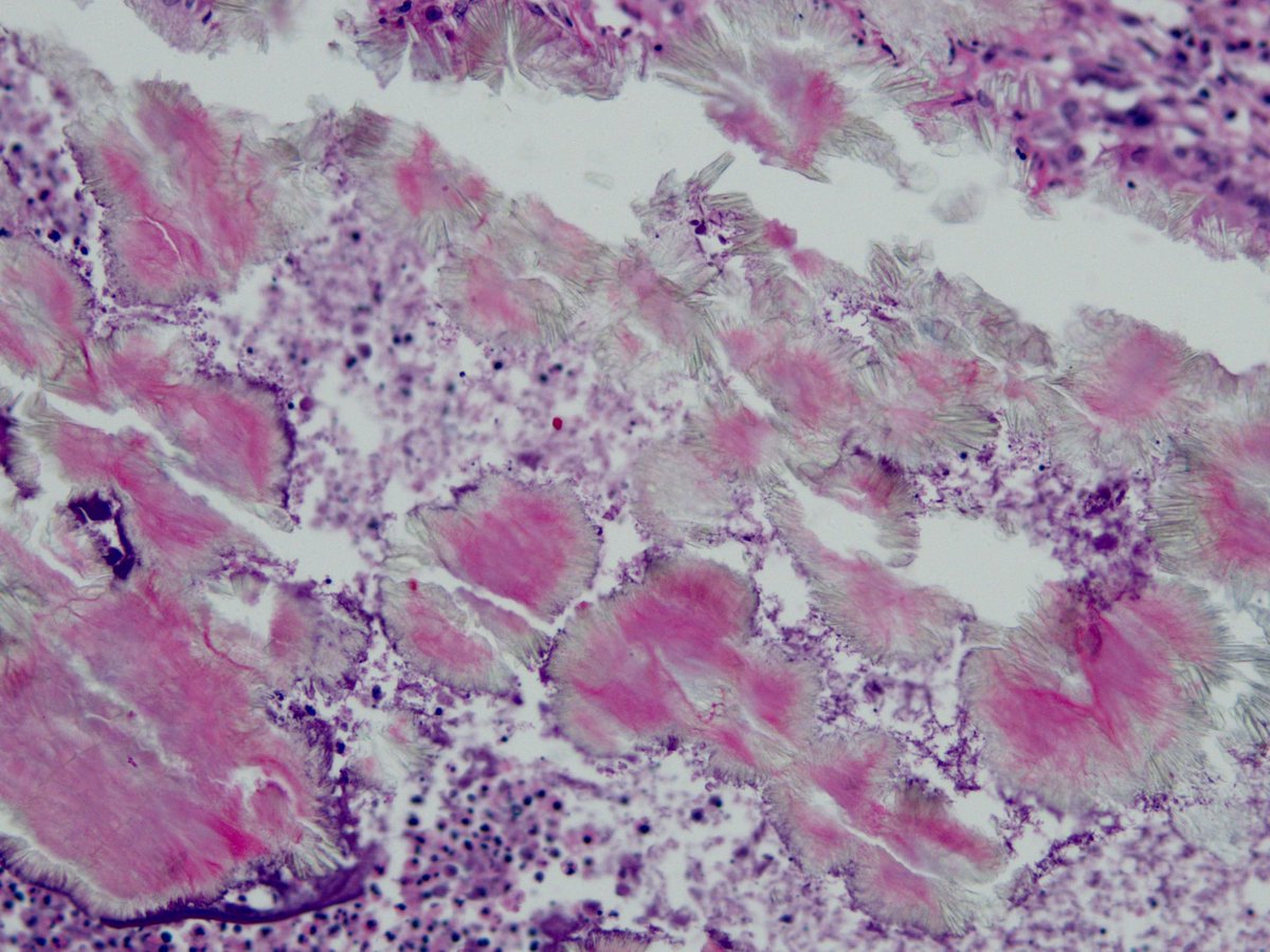
An aspergilloma is a collection of Aspergillus fungal hyphae sitting within a dilated bronchial lumen. Does not invade tissue but can erode bronchus and cause hemoptysis. Also called fungus ball or mycetoma. #Pathbugs #crittersontwitter #pathology #pulmpath

smlungpathguy's tweet image. An aspergilloma is a collection of Aspergillus fungal hyphae sitting within a dilated bronchial lumen. Does not invade tissue but can erode bronchus and cause hemoptysis. Also called fungus ball or mycetoma.

#Pathbugs #crittersontwitter #pathology #pulmpath
smlungpathguy's tweet image. An aspergilloma is a collection of Aspergillus fungal hyphae sitting within a dilated bronchial lumen. Does not invade tissue but can erode bronchus and cause hemoptysis. Also called fungus ball or mycetoma.

#Pathbugs #crittersontwitter #pathology #pulmpath
smlungpathguy's tweet image. An aspergilloma is a collection of Aspergillus fungal hyphae sitting within a dilated bronchial lumen. Does not invade tissue but can erode bronchus and cause hemoptysis. Also called fungus ball or mycetoma.

#Pathbugs #crittersontwitter #pathology #pulmpath

Hundred weeds or thousand wishes! #aspergillus #pathart #pathbugs

DrRanasaleh's tweet image. Hundred weeds or thousand wishes!
#aspergillus #pathart #pathbugs

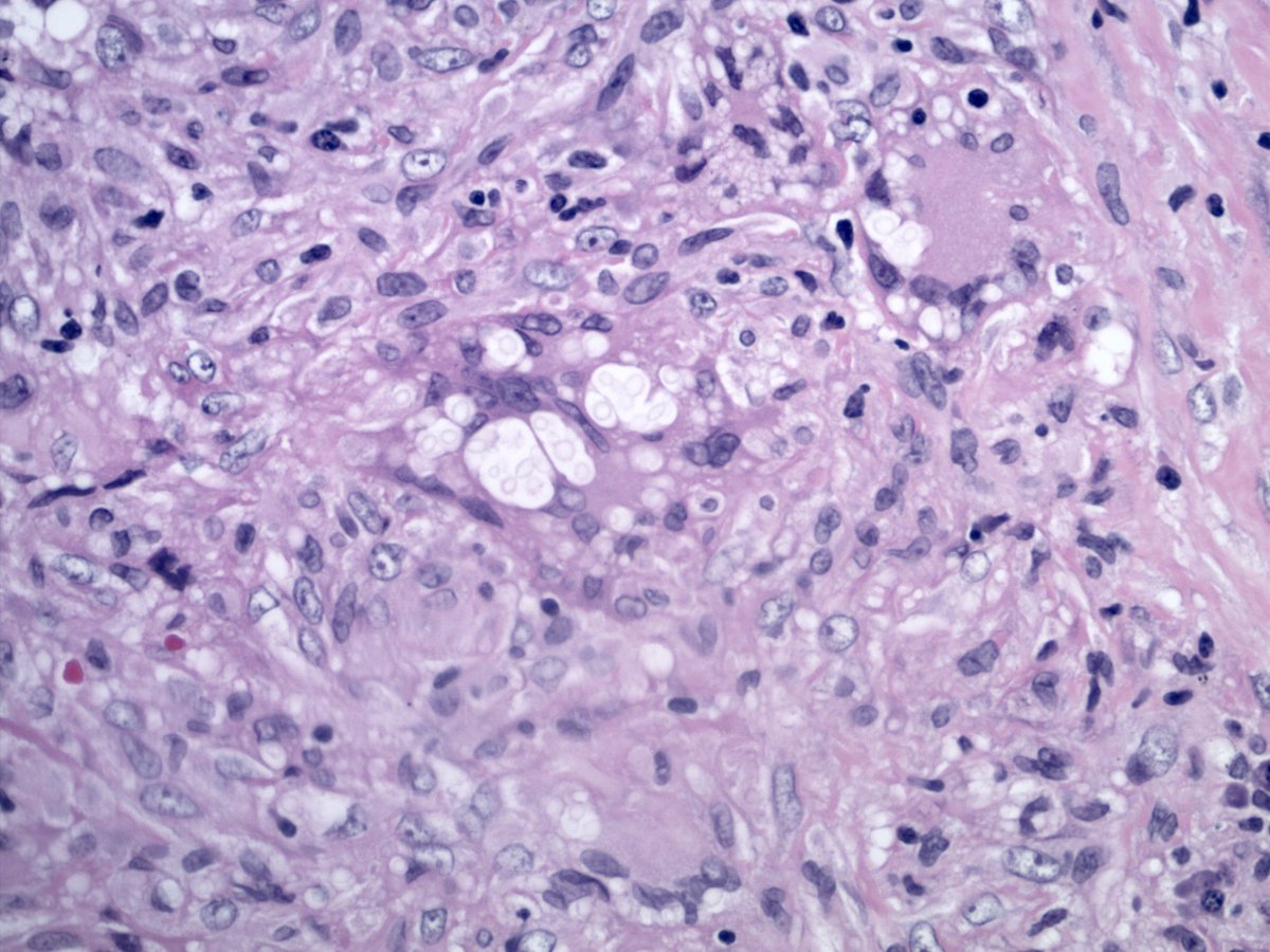
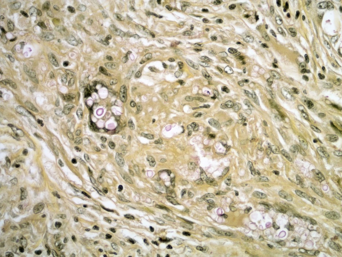
Aspergillus surrounded by Splendore-Hoeppli phenomenon (derbis + antigen/antibody complexes) #pathbugs Image courtesy: @yro854 #yalerosenslidecollecton Super interesting back story on Reinhard Hoeppli: nybooks.com/articles/1977/…

smlungpathguy's tweet image. Aspergillus surrounded by Splendore-Hoeppli phenomenon (derbis + antigen/antibody complexes) #pathbugs

Image courtesy: @yro854 #yalerosenslidecollecton

Super interesting back story on Reinhard Hoeppli:
nybooks.com/articles/1977/…

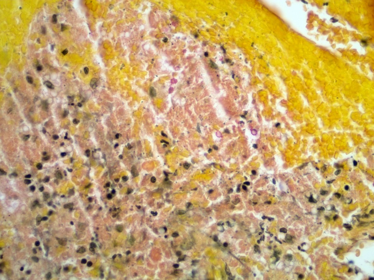
207/ On mucicarmine, Cryptococcus stains red due to binding of aluminum-carmine complexes to acid mucin. But let's take a minute to acknowledge the yellow background, which is due to the dye/counterstain Tartrazine @yro854 @MirunaPopescu13 @ariella8 #tweetcyclopedia #pathbugs

smlungpathguy's tweet image. 207/
On mucicarmine, Cryptococcus stains red due to binding of aluminum-carmine complexes to acid mucin. But let's take a minute to acknowledge the yellow background, which is due to the dye/counterstain Tartrazine
@yro854 @MirunaPopescu13 @ariella8 #tweetcyclopedia #pathbugs…

Loading...

Something went wrong.


Something went wrong.


United States Trends