RioNavPath's profile picture. División territorial de la Sociedad Española de #AnatomíaPatologica @SEAP_IAP de #Navarra y #LaRioja. #160RNSEAP

SEAP|Navarra-LaRioja

@RioNavPath

División territorial de la Sociedad Española de #AnatomíaPatologica @SEAP_IAP de #Navarra y #LaRioja. #160RNSEAP

SEAP|Navarra-LaRioja reposted

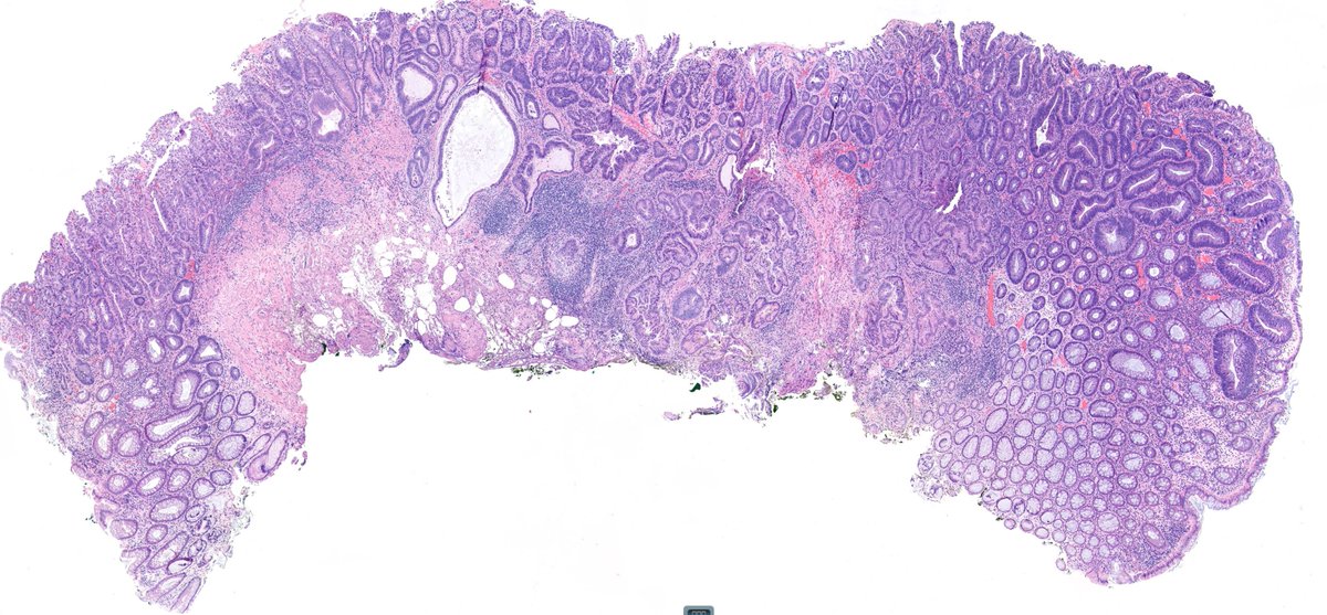
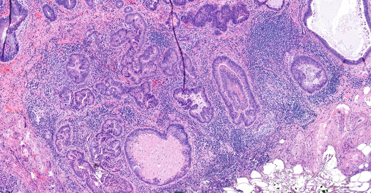
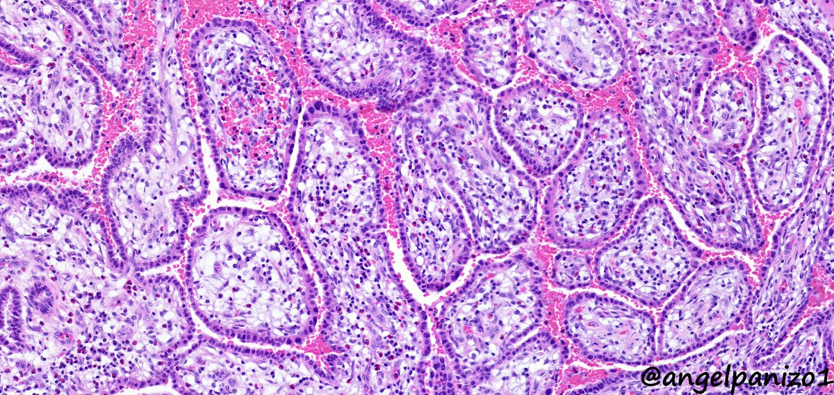
Appendiceal endometriosis. Typically incidental but can cause pain, obstruction or diarrhea. #GIpath

zucchiatti_'s tweet image. Appendiceal endometriosis. 
Typically incidental but can cause pain, obstruction or diarrhea. #GIpath
zucchiatti_'s tweet image. Appendiceal endometriosis. 
Typically incidental but can cause pain, obstruction or diarrhea. #GIpath

SEAP|Navarra-LaRioja reposted

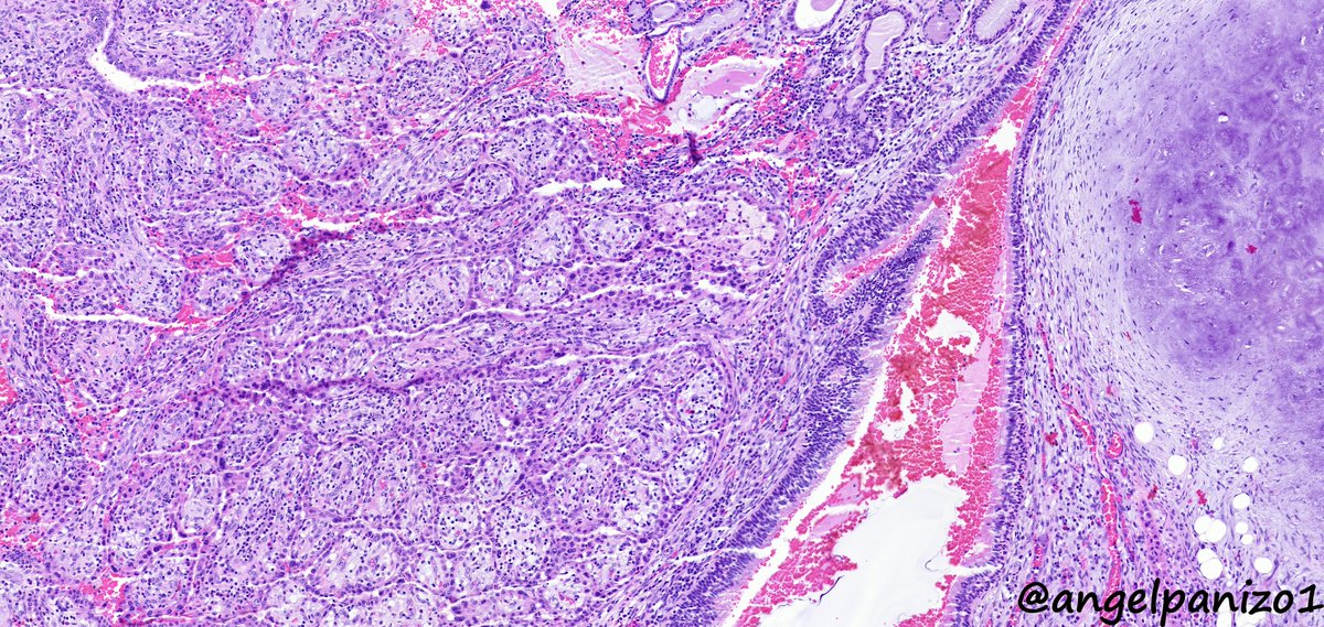
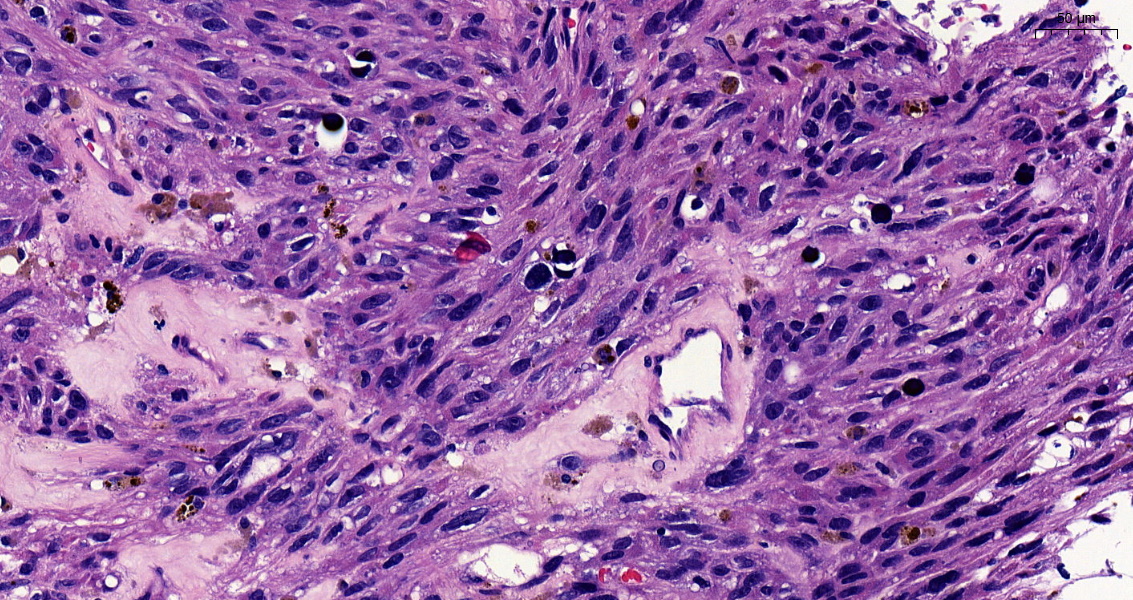
Rectal polyp. Pseudoinvasion or a pT1? A case of epithelial displacement vs pT1, before #GIpath short course at #USCAP23 What do you think?🤔

zucchiatti_'s tweet image. Rectal polyp. Pseudoinvasion or a pT1?

A case of epithelial displacement vs pT1, before #GIpath short course at #USCAP23

What do you think?🤔
zucchiatti_'s tweet image. Rectal polyp. Pseudoinvasion or a pT1?

A case of epithelial displacement vs pT1, before #GIpath short course at #USCAP23

What do you think?🤔
zucchiatti_'s tweet image. Rectal polyp. Pseudoinvasion or a pT1?

A case of epithelial displacement vs pT1, before #GIpath short course at #USCAP23

What do you think?🤔

Misplaced adenoma with high-grade dysplasia? Invasive adenocarcinoma -pT1? Wouldn't you love to know what the GI pathology gurus would call this? Do come to our short course - featuring Deepa Patil and Reet Pai #USCAP23 #GIpath



SEAP|Navarra-LaRioja reposted

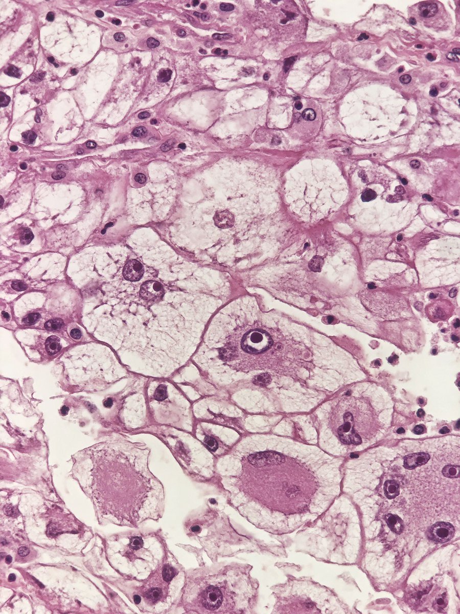
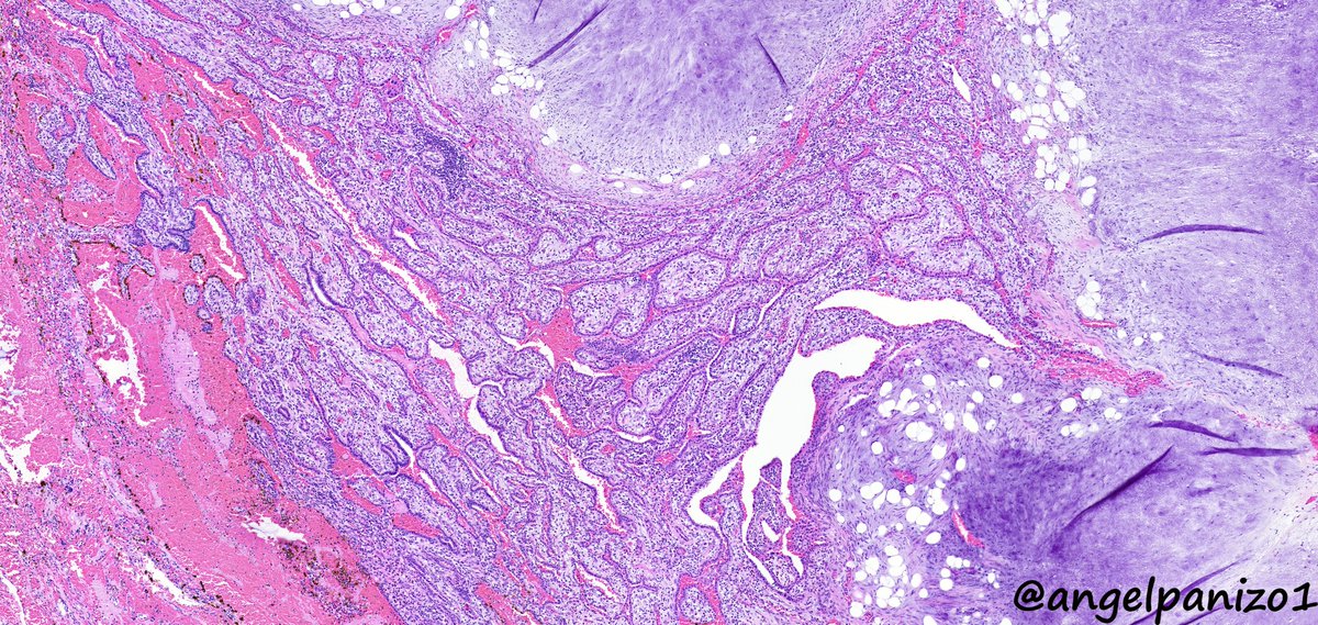
Incidental lung tumor... pulmonary hamartoma with unusual morphology?... what is your opinion? (2⃣) #PathTwitter #pulmpath @smlungpathguy @SansanoValero @yro854 @natasharekhtman @mkbaine @atman_ci @Path_Matt

angelpanizo1's tweet image. Incidental lung tumor... pulmonary hamartoma with unusual morphology?... what is your opinion? (2⃣) #PathTwitter  #pulmpath @smlungpathguy @SansanoValero @yro854 @natasharekhtman @mkbaine @atman_ci @Path_Matt
angelpanizo1's tweet image. Incidental lung tumor... pulmonary hamartoma with unusual morphology?... what is your opinion? (2⃣) #PathTwitter  #pulmpath @smlungpathguy @SansanoValero @yro854 @natasharekhtman @mkbaine @atman_ci @Path_Matt
angelpanizo1's tweet image. Incidental lung tumor... pulmonary hamartoma with unusual morphology?... what is your opinion? (2⃣) #PathTwitter  #pulmpath @smlungpathguy @SansanoValero @yro854 @natasharekhtman @mkbaine @atman_ci @Path_Matt
angelpanizo1's tweet image. Incidental lung tumor... pulmonary hamartoma with unusual morphology?... what is your opinion? (2⃣) #PathTwitter  #pulmpath @smlungpathguy @SansanoValero @yro854 @natasharekhtman @mkbaine @atman_ci @Path_Matt

SEAP|Navarra-LaRioja reposted

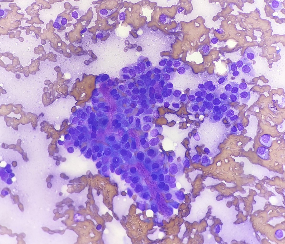
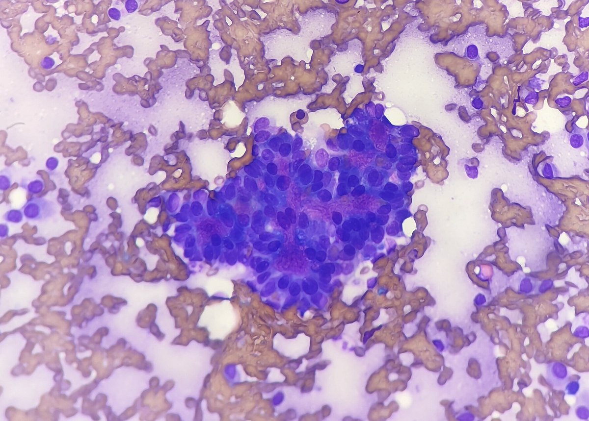
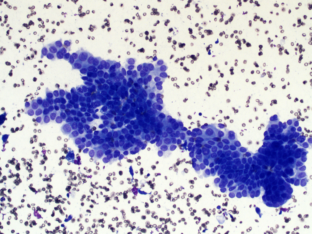
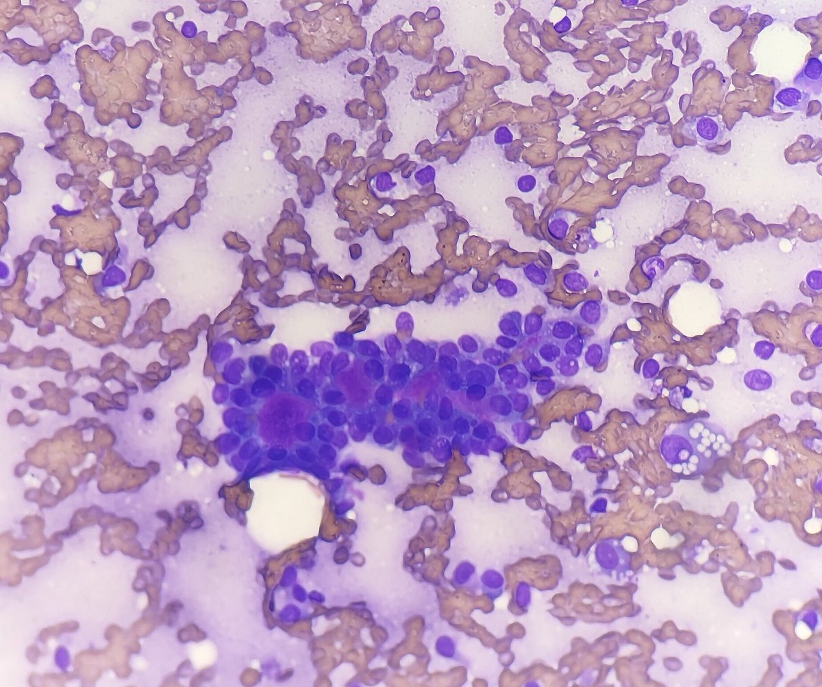
Female 75 yo with parotid gland tumor. Monotonous plasmocytoid cells with metachromatic extracellular material. Cellular pleomorphic adenoma, basal cell adenoma, myoepithelioma, SUMP? #cytopath

Quique_rs's tweet image. Female 75 yo with parotid gland tumor. Monotonous plasmocytoid cells with metachromatic extracellular material. 
Cellular pleomorphic adenoma, basal cell adenoma, myoepithelioma, SUMP?  #cytopath
Quique_rs's tweet image. Female 75 yo with parotid gland tumor. Monotonous plasmocytoid cells with metachromatic extracellular material. 
Cellular pleomorphic adenoma, basal cell adenoma, myoepithelioma, SUMP?  #cytopath
Quique_rs's tweet image. Female 75 yo with parotid gland tumor. Monotonous plasmocytoid cells with metachromatic extracellular material. 
Cellular pleomorphic adenoma, basal cell adenoma, myoepithelioma, SUMP?  #cytopath
Quique_rs's tweet image. Female 75 yo with parotid gland tumor. Monotonous plasmocytoid cells with metachromatic extracellular material. 
Cellular pleomorphic adenoma, basal cell adenoma, myoepithelioma, SUMP?  #cytopath

SEAP|Navarra-LaRioja reposted

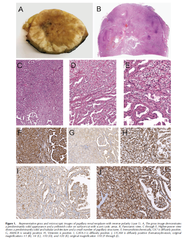
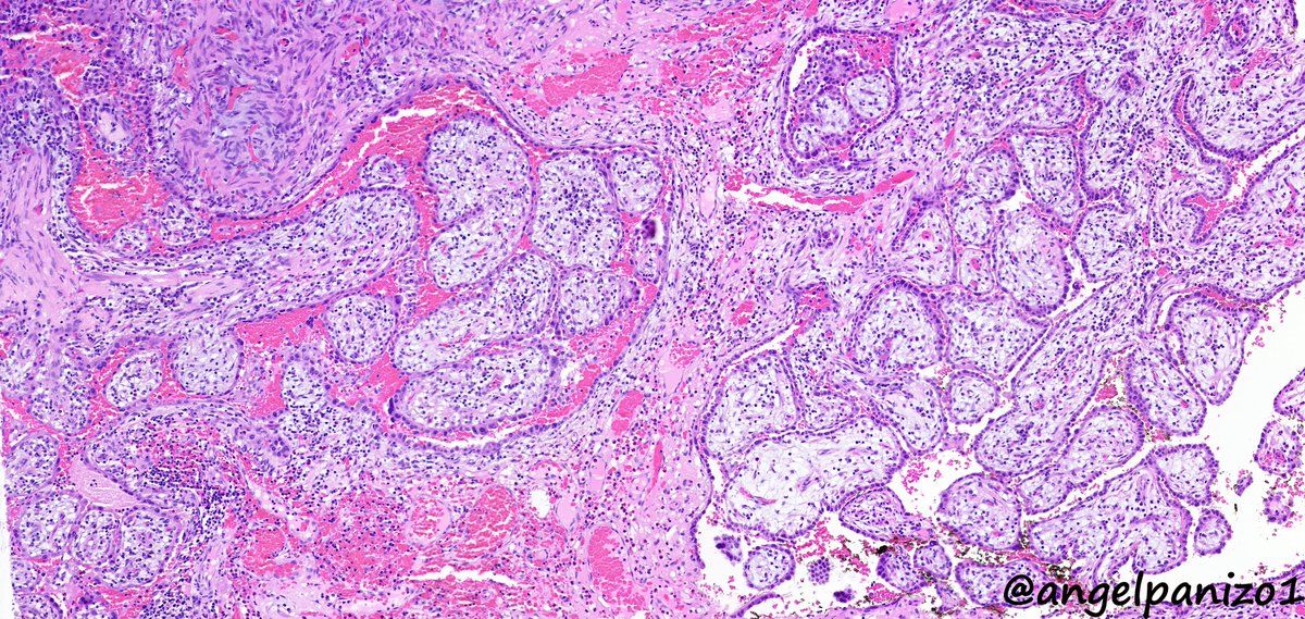
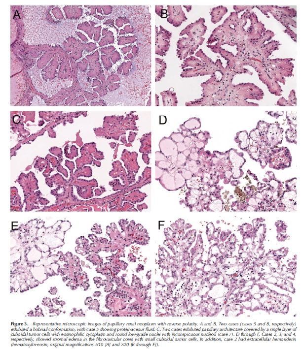
Congratulations @LuizMiguelN !!!! Our work has just been published. "Papillary Renal Neoplasm With Reverse Polarity. A Clinical, Pathologic, and Molecular Study of 8 Renal Tumors From a Single Institution" Arch Pathol Lab Med. 2022 Sep 28. #gupath pubmed.ncbi.nlm.nih.gov/36170616/

angelpanizo1's tweet image. Congratulations @LuizMiguelN  !!!! Our work has just been published. "Papillary Renal Neoplasm With Reverse Polarity. A Clinical, Pathologic, and Molecular Study of 8 Renal Tumors From a Single Institution" Arch Pathol Lab Med. 2022 Sep 28. #gupath 
pubmed.ncbi.nlm.nih.gov/36170616/
angelpanizo1's tweet image. Congratulations @LuizMiguelN  !!!! Our work has just been published. "Papillary Renal Neoplasm With Reverse Polarity. A Clinical, Pathologic, and Molecular Study of 8 Renal Tumors From a Single Institution" Arch Pathol Lab Med. 2022 Sep 28. #gupath 
pubmed.ncbi.nlm.nih.gov/36170616/
angelpanizo1's tweet image. Congratulations @LuizMiguelN  !!!! Our work has just been published. "Papillary Renal Neoplasm With Reverse Polarity. A Clinical, Pathologic, and Molecular Study of 8 Renal Tumors From a Single Institution" Arch Pathol Lab Med. 2022 Sep 28. #gupath 
pubmed.ncbi.nlm.nih.gov/36170616/
angelpanizo1's tweet image. Congratulations @LuizMiguelN  !!!! Our work has just been published. "Papillary Renal Neoplasm With Reverse Polarity. A Clinical, Pathologic, and Molecular Study of 8 Renal Tumors From a Single Institution" Arch Pathol Lab Med. 2022 Sep 28. #gupath 
pubmed.ncbi.nlm.nih.gov/36170616/

SEAP|Navarra-LaRioja reposted

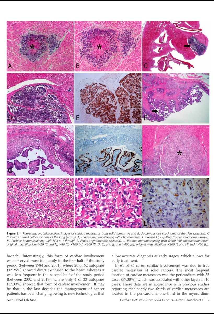
Our work presented as a poster at #USCAP2020 109th Annual Meeting is just published at @ArchivesPath Congratulations @LuizMiguelN !!! "Cardiac Metastasis From Solid Cancers: A 35-Year Single-Center Autopsy Study" meridian.allenpress.com/aplm/article/d… #pathology #autopsy #CVpath

angelpanizo1's tweet image. Our work presented as a poster at  #USCAP2020 109th Annual Meeting is just published at @ArchivesPath Congratulations @LuizMiguelN !!!
"Cardiac Metastasis From Solid Cancers: A 35-Year Single-Center Autopsy Study"
meridian.allenpress.com/aplm/article/d…
#pathology #autopsy #CVpath
angelpanizo1's tweet image. Our work presented as a poster at  #USCAP2020 109th Annual Meeting is just published at @ArchivesPath Congratulations @LuizMiguelN !!!
"Cardiac Metastasis From Solid Cancers: A 35-Year Single-Center Autopsy Study"
meridian.allenpress.com/aplm/article/d…
#pathology #autopsy #CVpath
angelpanizo1's tweet image. Our work presented as a poster at  #USCAP2020 109th Annual Meeting is just published at @ArchivesPath Congratulations @LuizMiguelN !!!
"Cardiac Metastasis From Solid Cancers: A 35-Year Single-Center Autopsy Study"
meridian.allenpress.com/aplm/article/d…
#pathology #autopsy #CVpath

SEAP|Navarra-LaRioja reposted

Enhorabuena a Cristian Benavides de la Fuente, residente de 3er año del Hospital Universitario Puerta del Mar (Cádiz) por ser el autor de nuestro #CasoDelMes de junio. seap.es/web/guest/actu…

SEAP_IAP's tweet image. Enhorabuena a Cristian Benavides de la Fuente, residente de 3er año del Hospital Universitario Puerta del Mar (Cádiz) por ser el autor de nuestro #CasoDelMes de junio. 

seap.es/web/guest/actu…
SEAP_IAP's tweet image. Enhorabuena a Cristian Benavides de la Fuente, residente de 3er año del Hospital Universitario Puerta del Mar (Cádiz) por ser el autor de nuestro #CasoDelMes de junio. 

seap.es/web/guest/actu…
SEAP_IAP's tweet image. Enhorabuena a Cristian Benavides de la Fuente, residente de 3er año del Hospital Universitario Puerta del Mar (Cádiz) por ser el autor de nuestro #CasoDelMes de junio. 

seap.es/web/guest/actu…
SEAP_IAP's tweet image. Enhorabuena a Cristian Benavides de la Fuente, residente de 3er año del Hospital Universitario Puerta del Mar (Cádiz) por ser el autor de nuestro #CasoDelMes de junio. 

seap.es/web/guest/actu…

SEAP|Navarra-LaRioja reposted

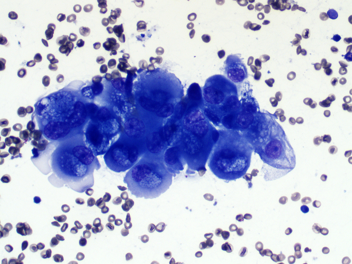
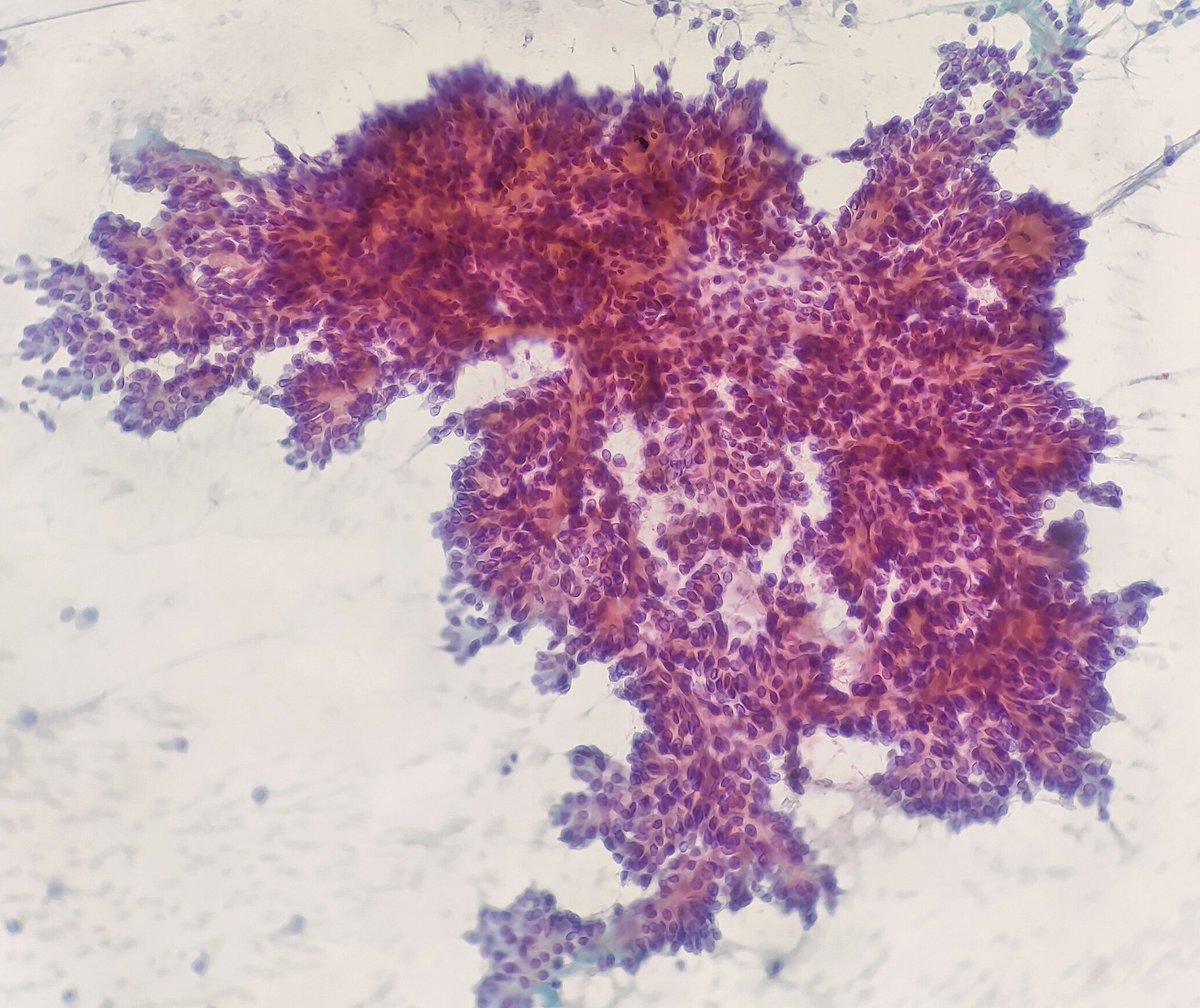
67/F with an enlarged right neck level 5 lymph node. How would you call it? #cytopath #cytology

gcai1978's tweet image. 67/F with an enlarged right neck level 5 lymph node. How would you call it? #cytopath #cytology
gcai1978's tweet image. 67/F with an enlarged right neck level 5 lymph node. How would you call it? #cytopath #cytology
gcai1978's tweet image. 67/F with an enlarged right neck level 5 lymph node. How would you call it? #cytopath #cytology

SEAP|Navarra-LaRioja reposted

Te voy a dar tres: 1. Al principio sentirás que no te enteras de nada (incluso al final de R2), confía en el proceso, las cosas harán click, esfuérzate y crea las bases que luego te harán las cosas más fáciles.


SEAP|Navarra-LaRioja reposted

Ferruginous bodies in BAL. Dumbbell-shaped, golden yellow to black with Pap, blue with Perls an golden yellow with H&E. Happy to have seen them for the first time outside of the books! 😁 #cytopath #cytology

LangerPath's tweet image. Ferruginous bodies in BAL.
Dumbbell-shaped, golden yellow to black with Pap, blue with Perls an golden yellow with H&E.
Happy to have seen them for the first time outside of the books! 😁
#cytopath #cytology
LangerPath's tweet image. Ferruginous bodies in BAL.
Dumbbell-shaped, golden yellow to black with Pap, blue with Perls an golden yellow with H&E.
Happy to have seen them for the first time outside of the books! 😁
#cytopath #cytology
LangerPath's tweet image. Ferruginous bodies in BAL.
Dumbbell-shaped, golden yellow to black with Pap, blue with Perls an golden yellow with H&E.
Happy to have seen them for the first time outside of the books! 😁
#cytopath #cytology

SEAP|Navarra-LaRioja reposted

Hoy, detectives del cáncer del @idibaps @hospitalclinic nos hemos sumado a esta bonita iniciativa de #ASEICAMujer #CONOCELAS. @NReguart @LauraMezquitaMD @elbamarinp 👩‍🔬👩‍⚕️ Si #YoPuedoTúPuedes. @ASEICAnews

teixido_c's tweet image. Hoy, detectives del cáncer del @idibaps @hospitalclinic  nos hemos sumado a esta bonita iniciativa de #ASEICAMujer #CONOCELAS.  @NReguart @LauraMezquitaMD @elbamarinp 👩‍🔬👩‍⚕️
Si #YoPuedoTúPuedes. @ASEICAnews
teixido_c's tweet image. Hoy, detectives del cáncer del @idibaps @hospitalclinic  nos hemos sumado a esta bonita iniciativa de #ASEICAMujer #CONOCELAS.  @NReguart @LauraMezquitaMD @elbamarinp 👩‍🔬👩‍⚕️
Si #YoPuedoTúPuedes. @ASEICAnews

SEAP|Navarra-LaRioja reposted

Now that’s an awesome Tee.Love it 😍

My daughter’s pretty cool 😎 👩🏼‍🔬

davidnnaumann's tweet image. My daughter’s pretty cool 😎 👩🏼‍🔬


SEAP|Navarra-LaRioja reposted

❤️‍🔥¡Todavía puedes inscribirte! No te pierdas este curso presencial de #Citopatología y menos si quieres aprender de los mejores. ↪️Información web: Programa y ponentes: jcw-un.org/wp-content/upl… Inscripción: jcw-un.org/es/inscripcion… Os esperamos🤓 #TEAP #residentpath #cytopath

SECitologia's tweet image. ❤️‍🔥¡Todavía puedes inscribirte! 
No te pierdas este curso presencial de  #Citopatología y menos si quieres aprender de los mejores.

↪️Información web:
Programa y ponentes: jcw-un.org/wp-content/upl…
Inscripción: jcw-un.org/es/inscripcion…

Os esperamos🤓 #TEAP #residentpath  #cytopath

SEAP|Navarra-LaRioja reposted

¡¡Estamos de Enhorabuena!! ¡Tenemos 1000 seguidores! 🎆🙌🏼 🔬💜🔬🙌🏼🎆 ¡1000 millones de GRACIAS!🙏🏼 🥂Lo vamos a celebrar 🥂y ¡tendremos sorpresas!📸😉🔬 #Cytopath #1K #milgracias #SECteam

SECitologia's tweet image. ¡¡Estamos de Enhorabuena!!
 ¡Tenemos 1000 seguidores! 
🎆🙌🏼 🔬💜🔬🙌🏼🎆
¡1000 millones de GRACIAS!🙏🏼
 🥂Lo vamos a celebrar 🥂y ¡tendremos sorpresas!📸😉🔬 #Cytopath #1K #milgracias #SECteam

SEAP|Navarra-LaRioja reposted

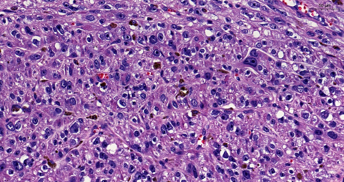
We 💜 extensions of fresh renal tumors. Its fun and sometimes is very challenging too! Right @mad_scalpel ?This is a CCRCC with multinucleated giant cells and emperipolesis! Gorgeous! #UROpath #cytopath #PathTwitter #pathology #pathresidents #cytology #pathologist @bellvitgepath

GianniIppolitii's tweet image. We 💜 extensions of fresh renal tumors. Its fun and sometimes is very challenging too! Right @mad_scalpel ?This is a CCRCC with multinucleated giant cells and emperipolesis! Gorgeous!
#UROpath #cytopath #PathTwitter #pathology #pathresidents #cytology #pathologist @bellvitgepath
GianniIppolitii's tweet image. We 💜 extensions of fresh renal tumors. Its fun and sometimes is very challenging too! Right @mad_scalpel ?This is a CCRCC with multinucleated giant cells and emperipolesis! Gorgeous!
#UROpath #cytopath #PathTwitter #pathology #pathresidents #cytology #pathologist @bellvitgepath
GianniIppolitii's tweet image. We 💜 extensions of fresh renal tumors. Its fun and sometimes is very challenging too! Right @mad_scalpel ?This is a CCRCC with multinucleated giant cells and emperipolesis! Gorgeous!
#UROpath #cytopath #PathTwitter #pathology #pathresidents #cytology #pathologist @bellvitgepath

SEAP|Navarra-LaRioja reposted

New Health Hashtag 👉 #SEAP2021B hcsm.io/2SiolWM 👏 @SEAP_IAP "XXX Congreso nacional de la SEAP-IAP"


SEAP|Navarra-LaRioja reposted

Ya tengo fecha!! El próximo MARTES 2 DE MARZO a las 8.30am hora española, daré la sesión de 🍄PÓLIPOS SERRADOS FOR DUMMIES🍄 Será vía teams, pero si no podéis uniros en directo, esta vez la grabaré ☝️ Difundan, por favor! #GIPath #Pathology

DraEosina's tweet image. Ya tengo fecha!!
El próximo MARTES 2 DE MARZO a las 8.30am hora española, daré la sesión de 
🍄PÓLIPOS SERRADOS FOR DUMMIES🍄
Será vía teams, pero si no podéis uniros en directo, esta vez la grabaré ☝️ Difundan, por favor!
#GIPath #Pathology

SEAP|Navarra-LaRioja reposted

Ya tengo fecha!! El próximo MARTES 2 DE MARZO a las 8.30am hora española, daré la sesión de 🍄PÓLIPOS SERRADOS FOR DUMMIES🍄 Será vía teams, pero si no podéis uniros en directo, esta vez la grabaré ☝️ Difundan, por favor! #GIPath #Pathology

DraEosina's tweet image. Ya tengo fecha!!
El próximo MARTES 2 DE MARZO a las 8.30am hora española, daré la sesión de 
🍄PÓLIPOS SERRADOS FOR DUMMIES🍄
Será vía teams, pero si no podéis uniros en directo, esta vez la grabaré ☝️ Difundan, por favor!
#GIPath #Pathology


SEAP|Navarra-LaRioja reposted

Dicen que si no estás cometiendo ningún error es que no estás innovando. Momentos para el recuerdo en #SEAP2021 @SEAP_IAP, con los Drs. González-Cámpora, Palacios y Prat. XLIV Reunión Anual de la Sociedad Española de Anatomía Patológica. #DiaMundialContraElCancer #WorldCancerDay

edusqo's tweet image. Dicen que si no estás cometiendo ningún error es que no estás innovando.
Momentos para el recuerdo en #SEAP2021 @SEAP_IAP, con los Drs. González-Cámpora, Palacios y Prat.
XLIV Reunión Anual de la Sociedad Española de Anatomía Patológica.
#DiaMundialContraElCancer
#WorldCancerDay
edusqo's tweet image. Dicen que si no estás cometiendo ningún error es que no estás innovando.
Momentos para el recuerdo en #SEAP2021 @SEAP_IAP, con los Drs. González-Cámpora, Palacios y Prat.
XLIV Reunión Anual de la Sociedad Española de Anatomía Patológica.
#DiaMundialContraElCancer
#WorldCancerDay
edusqo's tweet image. Dicen que si no estás cometiendo ningún error es que no estás innovando.
Momentos para el recuerdo en #SEAP2021 @SEAP_IAP, con los Drs. González-Cámpora, Palacios y Prat.
XLIV Reunión Anual de la Sociedad Española de Anatomía Patológica.
#DiaMundialContraElCancer
#WorldCancerDay
edusqo's tweet image. Dicen que si no estás cometiendo ningún error es que no estás innovando.
Momentos para el recuerdo en #SEAP2021 @SEAP_IAP, con los Drs. González-Cámpora, Palacios y Prat.
XLIV Reunión Anual de la Sociedad Española de Anatomía Patológica.
#DiaMundialContraElCancer
#WorldCancerDay

Loading...

Something went wrong.


Something went wrong.