irepath's profile picture. Medico Cirujano-ULA MD Anatomopatologo Hospital Vargas de Caracas Felow en Patologia Pediatrica. HJM De Los Rios. Mastologo SVM. Miembro Directivo SVAP

Irene Rodriguez O.

@irepath

Medico Cirujano-ULA MD Anatomopatologo Hospital Vargas de Caracas Felow en Patologia Pediatrica. HJM De Los Rios. Mastologo SVM. Miembro Directivo SVAP

Irene Rodriguez O. reposted

La Medicina ha perdido el respeto por los viejos maestros. El culto vulgar a la novedad, la fascinación por la tecnología irrelevante, el desprecio por la palabra como fuente de conocimiento, han hecho el trabajo sucio. El libro de Henry Marsh es un antídoto contra esos venenos.

Infomedicos's tweet image. La Medicina ha perdido el respeto por los viejos maestros. El culto vulgar a la novedad, la fascinación por la tecnología irrelevante, el desprecio por la palabra como fuente de conocimiento, han hecho el trabajo sucio. El libro de Henry Marsh es un antídoto contra esos venenos.

Irene Rodriguez O. reposted

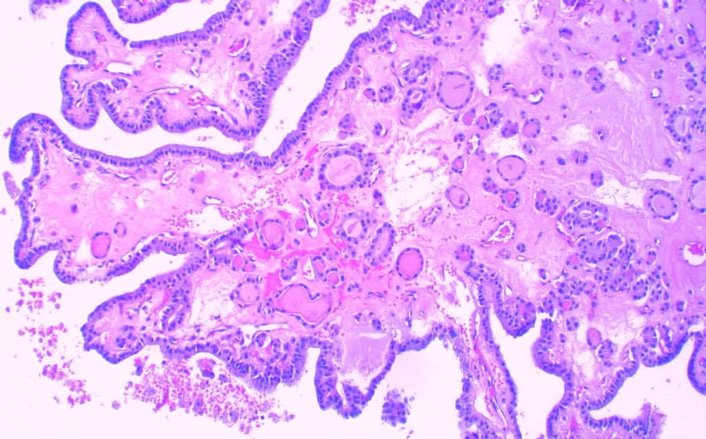
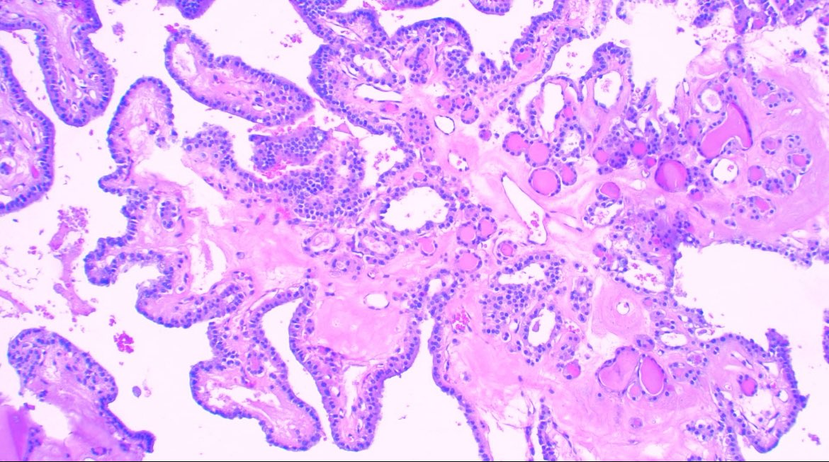
Mucocele like lesions-Breast Mucocele-like lesions without atypia on core biopsy have an upgrade rate to carcinoma of approximately 5%. The majority are referred for surgical excision, particularly if there are residual calcifications Pic below: Atypical ductal hyperplasia,…

Janiranavarro's tweet image. Mucocele like lesions-Breast

Mucocele-like lesions without atypia on core biopsy have an upgrade rate to carcinoma of approximately 5%. 
The majority are referred for surgical excision, particularly if there are residual calcifications

Pic below: Atypical ductal hyperplasia,…

Irene Rodriguez O. reposted

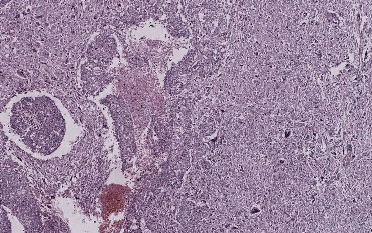
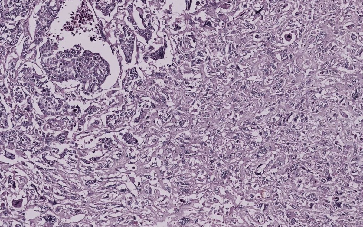
A dreadful carcinosarcoma (metaplastic carcinoma) of breast featuring poorly differentiated glands and sarcomatoid (metaplastic) component. IHC showed a triple negative carcinoma. Associated with poor prognosis. #pathology #breastpath #metaplastic_carcinoma

pathphyo's tweet image. A dreadful carcinosarcoma (metaplastic carcinoma) of breast featuring poorly differentiated glands and sarcomatoid (metaplastic) component. IHC showed a triple negative carcinoma. Associated with poor prognosis.
#pathology #breastpath #metaplastic_carcinoma
pathphyo's tweet image. A dreadful carcinosarcoma (metaplastic carcinoma) of breast featuring poorly differentiated glands and sarcomatoid (metaplastic) component. IHC showed a triple negative carcinoma. Associated with poor prognosis.
#pathology #breastpath #metaplastic_carcinoma
pathphyo's tweet image. A dreadful carcinosarcoma (metaplastic carcinoma) of breast featuring poorly differentiated glands and sarcomatoid (metaplastic) component. IHC showed a triple negative carcinoma. Associated with poor prognosis.
#pathology #breastpath #metaplastic_carcinoma
pathphyo's tweet image. A dreadful carcinosarcoma (metaplastic carcinoma) of breast featuring poorly differentiated glands and sarcomatoid (metaplastic) component. IHC showed a triple negative carcinoma. Associated with poor prognosis.
#pathology #breastpath #metaplastic_carcinoma

Irene Rodriguez O. reposted

Indeed. We are fortunate. The @IACytology could not be in better hands🔝🔝💯 @sza_jhcyto #ProudMIAC

Congratulations To Prof. Syed Ali @sza_jhcyto Who Takes Over The Mantle Of Leadership As President, IAC @IACytology

BenServiceNotes's tweet image. Congratulations To Prof. Syed Ali @sza_jhcyto Who Takes Over The Mantle  Of Leadership As President, IAC @IACytology


Irene Rodriguez O. reposted

Papilla does not mean carcinoma in #thyroid #pathology Nodules with cystic degeneration can show beautiful ones 😁 Nuclear features are mandatory. #medicine #path #endocrine

JCandidoXavier's tweet image. Papilla does not mean carcinoma in #thyroid #pathology
Nodules with cystic degeneration can show beautiful ones 😁
Nuclear features are mandatory.

#medicine #path #endocrine
JCandidoXavier's tweet image. Papilla does not mean carcinoma in #thyroid #pathology
Nodules with cystic degeneration can show beautiful ones 😁
Nuclear features are mandatory.

#medicine #path #endocrine
JCandidoXavier's tweet image. Papilla does not mean carcinoma in #thyroid #pathology
Nodules with cystic degeneration can show beautiful ones 😁
Nuclear features are mandatory.

#medicine #path #endocrine

Irene Rodriguez O. reposted

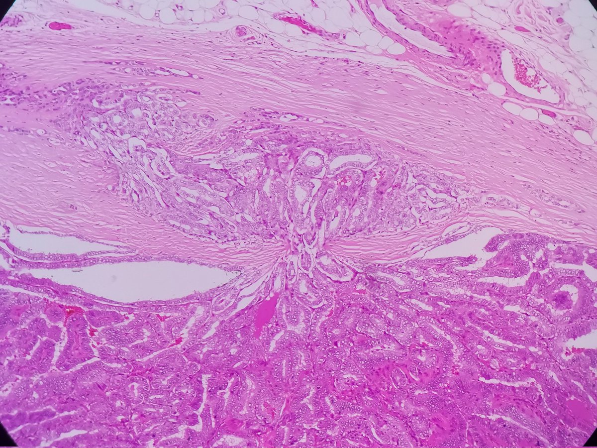
Capsular invasion -Mushrooming Thyroid carcinoma #PathTwitter #pathresidents

padmapathology1's tweet image. Capsular invasion
-Mushrooming 
Thyroid carcinoma
#PathTwitter 
#pathresidents

Irene Rodriguez O. reposted

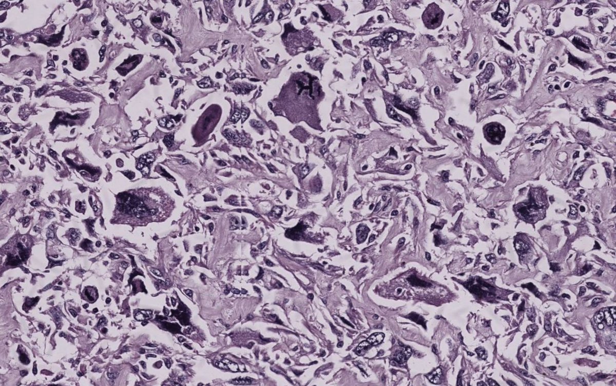
This is an example of a dermatofibrosarcoma protuberans (DFSP) arising in association with a giant cell fibroblastoma, the latter considered a forme fruste DFSP. #UMiamiPath @ModernPathology @science_press

LizMontgomeryMD's tweet image. This is an example of a dermatofibrosarcoma protuberans (DFSP) arising in association with a giant cell fibroblastoma, the latter considered a forme fruste DFSP. #UMiamiPath @ModernPathology @science_press
LizMontgomeryMD's tweet image. This is an example of a dermatofibrosarcoma protuberans (DFSP) arising in association with a giant cell fibroblastoma, the latter considered a forme fruste DFSP. #UMiamiPath @ModernPathology @science_press
LizMontgomeryMD's tweet image. This is an example of a dermatofibrosarcoma protuberans (DFSP) arising in association with a giant cell fibroblastoma, the latter considered a forme fruste DFSP. #UMiamiPath @ModernPathology @science_press
LizMontgomeryMD's tweet image. This is an example of a dermatofibrosarcoma protuberans (DFSP) arising in association with a giant cell fibroblastoma, the latter considered a forme fruste DFSP. #UMiamiPath @ModernPathology @science_press

Irene Rodriguez O. reposted

We are offering a virtual weekend GI and Liver course! Please join us. processing.miami.edu/Processed/Week…

LizMontgomeryMD's tweet image. We are offering a virtual weekend GI and Liver course!  Please join us.

processing.miami.edu/Processed/Week…

Irene Rodriguez O. reposted

¡Éxito de la Anatomía Patológica en el #2MIR25! 🔬🤩. Participación directa e indirecta en 23 preguntas (10%). Ayuda a dar visibilidad a esta especialidad tan importante y tan bonita 😍. @CTOMedicinaES @SEAP_IAP. Vamos a desglosar las preguntas 📝:


Irene Rodriguez O. reposted

#EverydayGYN Algorithm to screen uterine smooth muscle tumors for FH-deficiency and HLRCC FH-d morphology -Alveolar pattern edema -Staghorn blood vessels -Chain-like growth of tumor cells -Macronucleoli surrounded by halo -Cytoplasmic eosinophilic globules Dr. Turashvili #CCSP24

Janiranavarro's tweet image. #EverydayGYN
Algorithm to screen uterine smooth muscle tumors for FH-deficiency and HLRCC
FH-d morphology
-Alveolar pattern edema
-Staghorn blood vessels
-Chain-like growth of tumor cells
-Macronucleoli surrounded by halo
-Cytoplasmic eosinophilic globules

Dr. Turashvili #CCSP24…

Irene Rodriguez O. reposted

✨And it's a wrap! The #EScoP course for Nephropathology is now concluded! We would like to thank all participants who joined us in Basel and the Faculty for their energy to provide this course! 🗺️Next #EScoP stop is Nuremberg! #pathology #education #PathTwitter

ESP_Pathology's tweet image. ✨And it's a wrap!
The #EScoP course for Nephropathology is now concluded!

We would like to thank all participants who joined us in Basel and the Faculty for their energy to provide this course!

🗺️Next #EScoP stop is Nuremberg!

#pathology #education #PathTwitter

Irene Rodriguez O. reposted

📣 It's that time again! We're hosting a #CytoChat all about the #BethesdaSystem for Reporting Thyroid Cytopathology, led by our EIC @bfaquin & Associate Editors @DianaEstherossi @Sinchita_Roy @MichiyaNishino 🔬 Join us & other leading experts on June 18 at 11am EDT! #CytoPath

CancerCytopath's tweet image. 📣 It's that time again! We're hosting a #CytoChat all about the #BethesdaSystem for Reporting Thyroid Cytopathology, led by our EIC @bfaquin & Associate Editors @DianaEstherossi @Sinchita_Roy @MichiyaNishino 🔬 Join us & other leading experts on June 18 at 11am EDT! #CytoPath

Irene Rodriguez O. reposted

Ayer vi la película. Para quien sepa poco sobre el personaje, puede resultar interesante. A quien lo conozca, la asombrosa ausencia de rigor histórico, político y militar puede parecerle, como a mí, un disparate indigno del hombre que dirigió la obra maestra "Los duelistas".

perezreverte's tweet image. Ayer vi la película. Para quien sepa poco sobre el personaje, puede resultar interesante. A quien lo conozca, la asombrosa ausencia de rigor histórico, político y militar puede parecerle, como a mí, un disparate indigno del hombre que dirigió la obra maestra "Los duelistas".

Irene Rodriguez O. reposted

#URGENTE Piloto de Tareck El Aissami y Samark López se declara culpable en NY. Michols Orsini Quintero asumió su culpabilidad por haber violado las sanciones impuestas por el gobierno de #EEUU. Enfrenta una condena de 5 años de prisión #Venezuela maibortpetit.info/2023/09/piloto…

maibortpetit's tweet image. #URGENTE  Piloto de Tareck El Aissami y Samark López se declara culpable en NY. Michols Orsini Quintero asumió su culpabilidad por haber violado las sanciones impuestas por el gobierno de #EEUU. Enfrenta una condena de 5 años de prisión #Venezuela
maibortpetit.info/2023/09/piloto…

Irene Rodriguez O. reposted

🚨 ¡Atención! se presentó balacera en el centro comercial Unicentro ► bit.ly/42BiMll Noticia en desarrollo...

ELTIEMPO's tweet image. 🚨 ¡Atención! se presentó balacera en el centro comercial Unicentro ► bit.ly/42BiMll

Noticia en desarrollo...

Irene Rodriguez O. reposted

Sal con gente que simplifica lo complejo, no con los que complejizan lo simple.


Irene Rodriguez O. reposted

Please Share! @cytopathology is doing a survey of Pathologist-Performed USFNA! Goal is to: Gather data from cytopath US-FNA services Identify pertinent elements in US-FNA cytology reports Recommend a unified reporting format SURVEY HERE: uwmadison.co1.qualtrics.com/jfe/form/SV_6J…

Sara_Jiang's tweet image. Please Share! @cytopathology is doing a survey of Pathologist-Performed USFNA!

Goal is to:
Gather data from cytopath US-FNA services
Identify pertinent elements in US-FNA cytology reports
Recommend a unified reporting format

SURVEY HERE:
uwmadison.co1.qualtrics.com/jfe/form/SV_6J…

Irene Rodriguez O. reposted

Her Majesty Queen Elizabeth II

trussliz's tweet image. Her Majesty Queen Elizabeth II

Irene Rodriguez O. reposted

Different Sites and Angles of Injections 💉 .


Loading...

Something went wrong.


Something went wrong.