#endopath search results

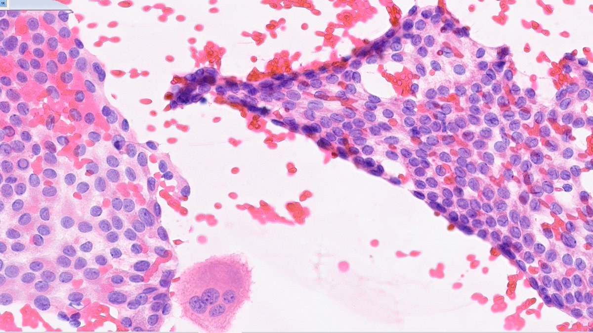
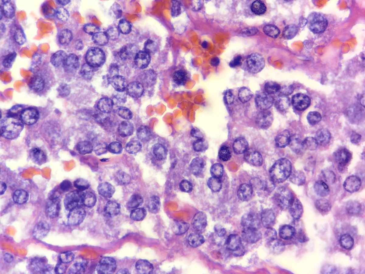
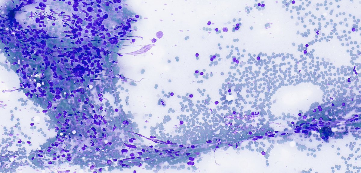
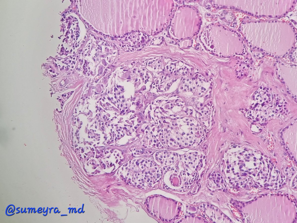
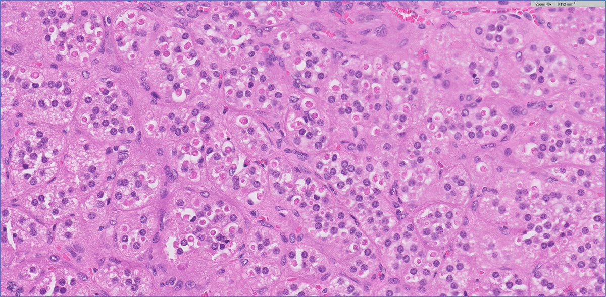
FNA from a 45yo man with a history of pheochromocytoma, what is your interpretation? A) Papillary thyroid carcinoma B) Follicular Neoplasm C) Medullary thyroid carcinoma D) Metastatic pheochromocytoma #CytoPath #EndoPath #PathTwitter #Pathology

DrCycloPath's tweet image. FNA from a 45yo man with a history of pheochromocytoma, what is your interpretation?
A) Papillary thyroid carcinoma
B) Follicular Neoplasm
C) Medullary thyroid carcinoma
D) Metastatic pheochromocytoma
#CytoPath #EndoPath #PathTwitter #Pathology

___mutation-associated pheochromocytomas follow a pseudohypoxia-related pathway A) RET B) VHL30925729 C) NF1 D) MEN1 🔬tumourclassification.iarc.who.int/Viewer/Index2?… #EndoPath #PathTwitter #Pathology

DrCycloPath's tweet image. ___mutation-associated pheochromocytomas follow a pseudohypoxia-related pathway
A) RET 
B) VHL30925729
C) NF1
D) MEN1
🔬tumourclassification.iarc.who.int/Viewer/Index2?…
#EndoPath #PathTwitter #Pathology

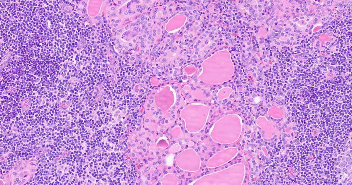
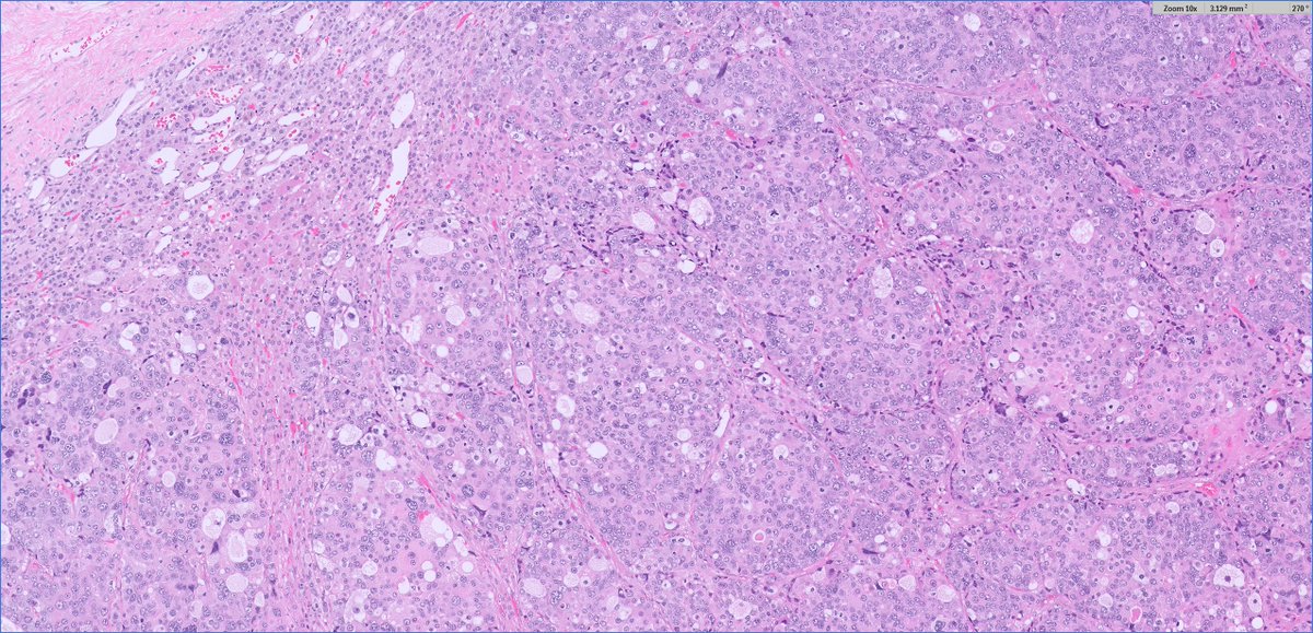
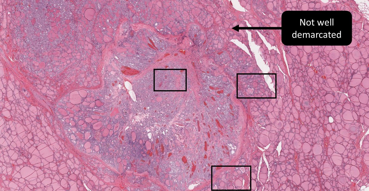
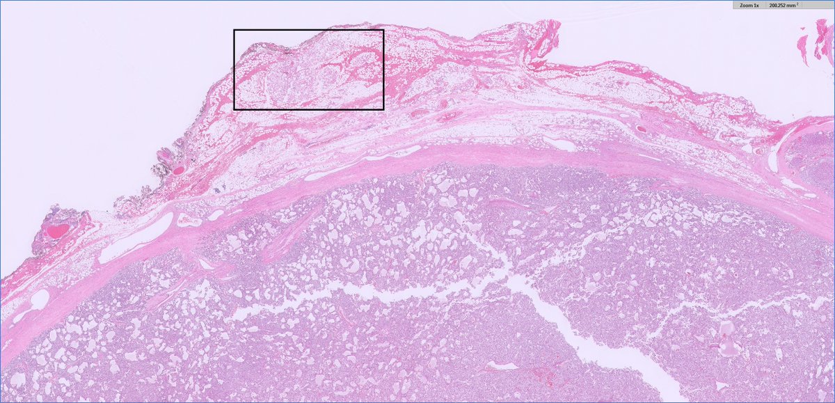
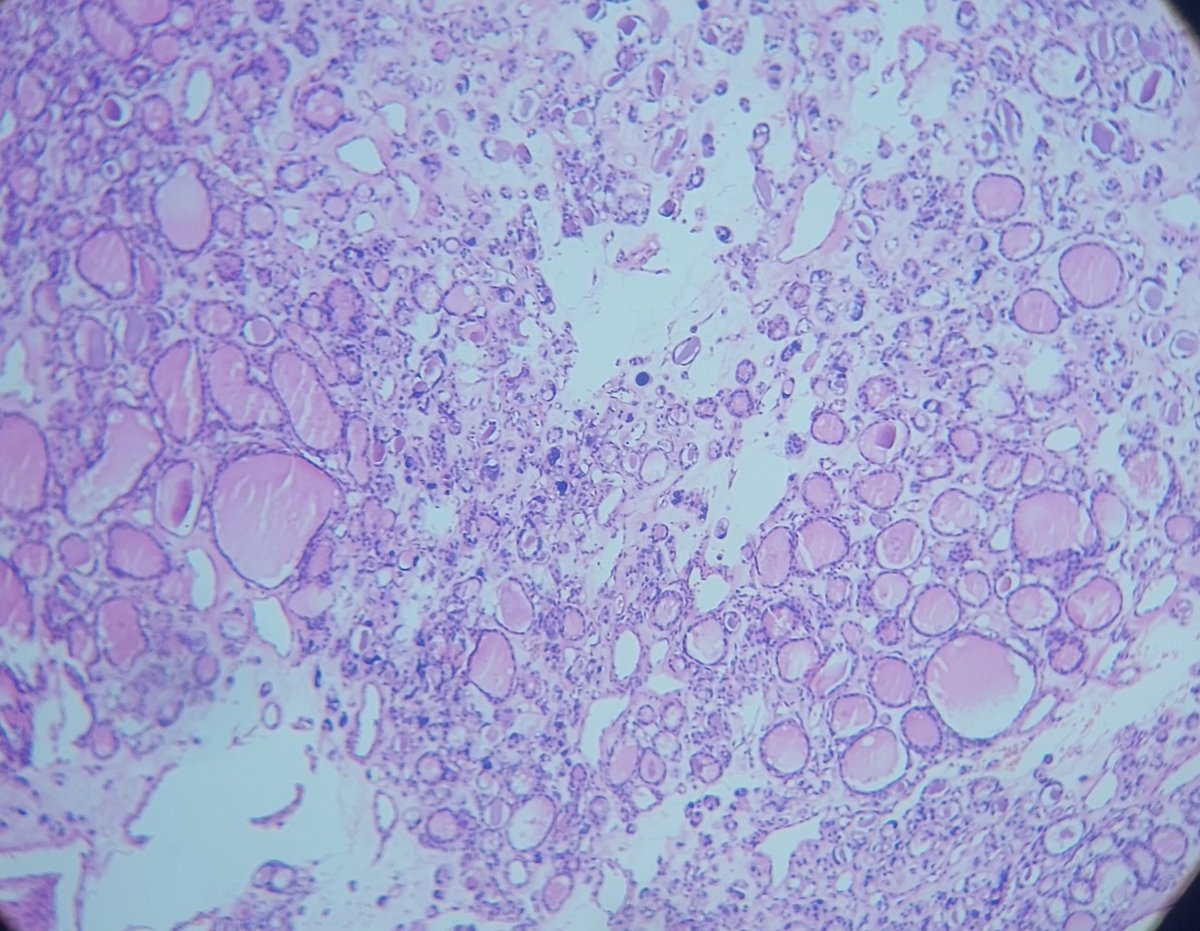
50yo ♀ thyroid, 1st impression? A) PTC, diffuse sclerosing variant B) Hashimoto thyroiditis, fibrosing variant C) Riedel thyroiditis 🔬virtualpathology.leeds.ac.uk/slides/library… #Thyroid #EndoPath #ENTPath #PathTwitter #Pathology #Pathologists

DrCycloPath's tweet image. 50yo ♀ thyroid, 1st impression?
A) PTC, diffuse sclerosing variant
B) Hashimoto thyroiditis, fibrosing variant
C) Riedel thyroiditis
🔬virtualpathology.leeds.ac.uk/slides/library…
#Thyroid #EndoPath #ENTPath #PathTwitter #Pathology #Pathologists

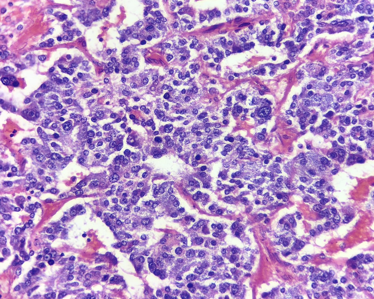
More from arppress.org/books/book/68: Medullary thyroid carcinoma is a malignant thyroid tumor composed of cells showing evidence of C-cell differentiation. 25-30% are associated with hereditary germline RET mutations. #EndoPath #HNPath #ENTPath

ARP_Press's tweet image. More from arppress.org/books/book/68:
Medullary thyroid carcinoma is a malignant thyroid tumor composed of cells showing evidence of C-cell differentiation. 25-30% are associated with hereditary germline RET mutations.
#EndoPath #HNPath #ENTPath
ARP_Press's tweet image. More from arppress.org/books/book/68:
Medullary thyroid carcinoma is a malignant thyroid tumor composed of cells showing evidence of C-cell differentiation. 25-30% are associated with hereditary germline RET mutations.
#EndoPath #HNPath #ENTPath
ARP_Press's tweet image. More from arppress.org/books/book/68:
Medullary thyroid carcinoma is a malignant thyroid tumor composed of cells showing evidence of C-cell differentiation. 25-30% are associated with hereditary germline RET mutations.
#EndoPath #HNPath #ENTPath

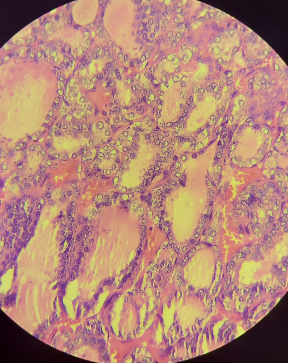
Thyroid mass, 1st impression? A) Synovial sarcoma B) Intrathyroid thymoma C) Spindle epithelial tumor with thymus-like elements 🔬tumourclassification.iarc.who.int/Viewer/Index2?… #BSTPath #EndoPath #PathTwitter #pathology

DrCycloPath's tweet image. Thyroid mass, 1st impression?
A) Synovial sarcoma
B) Intrathyroid thymoma
C) Spindle epithelial tumor with thymus-like elements
🔬tumourclassification.iarc.who.int/Viewer/Index2?…
#BSTPath #EndoPath #PathTwitter #pathology

Pheochromocytomas with ___ mutations are more frequently metastatic A) SDHB B) VHL C) RET (MEN2) D) NF1 #EndoPath #PathTwitter #Pathology #BSTPath #PediPath

DrCycloPath's tweet image. Pheochromocytomas with ___ mutations are more frequently metastatic
A) SDHB
B) VHL
C) RET (MEN2)
D) NF1
#EndoPath #PathTwitter #Pathology #BSTPath #PediPath

getting #endopath vibes from #GUpath kidney? sometimes clear cell RCC (as shown) can have luminal secretion vaguely reminiscent of thyroid follicles (and mimic thyroid-like follicular carcinoma of kidney)

slusagar's tweet image. getting #endopath vibes from #GUpath kidney?

sometimes clear cell RCC (as shown) can have luminal secretion vaguely reminiscent of thyroid follicles (and mimic thyroid-like follicular carcinoma of kidney)
slusagar's tweet image. getting #endopath vibes from #GUpath kidney?

sometimes clear cell RCC (as shown) can have luminal secretion vaguely reminiscent of thyroid follicles (and mimic thyroid-like follicular carcinoma of kidney)
slusagar's tweet image. getting #endopath vibes from #GUpath kidney?

sometimes clear cell RCC (as shown) can have luminal secretion vaguely reminiscent of thyroid follicles (and mimic thyroid-like follicular carcinoma of kidney)

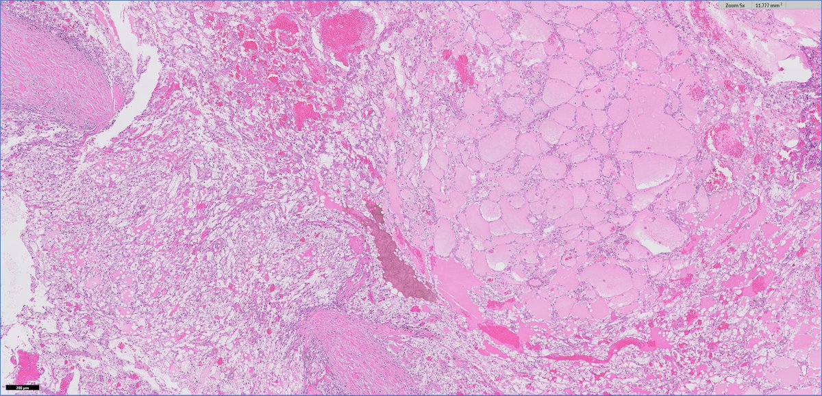
interesting #endopath/#GUpath adrenal🔬: pheochromocytoma with brown fat in surrounding adipose tissue @AMubeen_Path @DrCristinaMagi had a nice @TheUSCAP abstract on this topic a few years back

slusagar's tweet image. interesting #endopath/#GUpath adrenal🔬:

pheochromocytoma with brown fat in surrounding adipose tissue

@AMubeen_Path @DrCristinaMagi had a nice @TheUSCAP abstract on this topic a few years back
slusagar's tweet image. interesting #endopath/#GUpath adrenal🔬:

pheochromocytoma with brown fat in surrounding adipose tissue

@AMubeen_Path @DrCristinaMagi had a nice @TheUSCAP abstract on this topic a few years back
slusagar's tweet image. interesting #endopath/#GUpath adrenal🔬:

pheochromocytoma with brown fat in surrounding adipose tissue

@AMubeen_Path @DrCristinaMagi had a nice @TheUSCAP abstract on this topic a few years back

#endopath: 😍🔬aldosterone-secreting adrenal cortical adenoma (Conn syndrome), s/p prior Rx w/spironolactone add'l learning points: - number of spironolactone bodies typically peaks 4-6 week after spironolactone Rx - usually DO NOT see bodies with novel Rx agent eplerenone

slusagar's tweet image. #endopath: 
😍🔬aldosterone-secreting adrenal cortical adenoma (Conn syndrome), s/p prior Rx  w/spironolactone

add'l learning points: 
- number of spironolactone bodies typically peaks 4-6 week after spironolactone Rx 
- usually DO NOT see bodies with novel Rx agent eplerenone
slusagar's tweet image. #endopath: 
😍🔬aldosterone-secreting adrenal cortical adenoma (Conn syndrome), s/p prior Rx  w/spironolactone

add'l learning points: 
- number of spironolactone bodies typically peaks 4-6 week after spironolactone Rx 
- usually DO NOT see bodies with novel Rx agent eplerenone
slusagar's tweet image. #endopath: 
😍🔬aldosterone-secreting adrenal cortical adenoma (Conn syndrome), s/p prior Rx  w/spironolactone

add'l learning points: 
- number of spironolactone bodies typically peaks 4-6 week after spironolactone Rx 
- usually DO NOT see bodies with novel Rx agent eplerenone
slusagar's tweet image. #endopath: 
😍🔬aldosterone-secreting adrenal cortical adenoma (Conn syndrome), s/p prior Rx  w/spironolactone

add'l learning points: 
- number of spironolactone bodies typically peaks 4-6 week after spironolactone Rx 
- usually DO NOT see bodies with novel Rx agent eplerenone

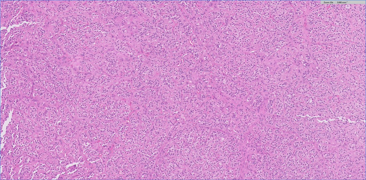
Q for the #endopath folks for this adrenal cortical adenoma (clinical: primary aldo) intratumor/adrenal fat I've seen, perhaps not all that uncommon... but intratumoral/adrenal brown fat? usually I see brown around the peripheral (within background excised fat) when it occurs

slusagar's tweet image. Q for the #endopath folks for this adrenal cortical adenoma (clinical: primary aldo)

intratumor/adrenal fat I've seen, perhaps not all that uncommon...

but intratumoral/adrenal brown fat? usually I see brown around the peripheral (within background excised fat) when it occurs
slusagar's tweet image. Q for the #endopath folks for this adrenal cortical adenoma (clinical: primary aldo)

intratumor/adrenal fat I've seen, perhaps not all that uncommon...

but intratumoral/adrenal brown fat? usually I see brown around the peripheral (within background excised fat) when it occurs
slusagar's tweet image. Q for the #endopath folks for this adrenal cortical adenoma (clinical: primary aldo)

intratumor/adrenal fat I've seen, perhaps not all that uncommon...

but intratumoral/adrenal brown fat? usually I see brown around the peripheral (within background excised fat) when it occurs
slusagar's tweet image. Q for the #endopath folks for this adrenal cortical adenoma (clinical: primary aldo)

intratumor/adrenal fat I've seen, perhaps not all that uncommon...

but intratumoral/adrenal brown fat? usually I see brown around the peripheral (within background excised fat) when it occurs

Join @GU_Path_Society Tomorrow for the February 2024 Virtual Education Series Event ADRENAL NEOPLASIA Register here: us02web.zoom.us/webinar/regist… #gupath #endopath @Shounak_Gupta @TretiakovaMaria @PathDocBoston @rajalbshah @priyaraomd @drmehrarohit @AkgulMD @ShivaniKandu

Excited to announce our 2nd lecture of our Virtual Education Series in February on Adrenal neoplasia. Register in advance for this webinar: us02web.zoom.us/webinar/regist…

GU_Path_Society's tweet image. Excited to announce our 2nd lecture of our Virtual Education Series in February on Adrenal neoplasia. 

Register in advance for this webinar:
us02web.zoom.us/webinar/regist…


Adrenal Neoplasia Pathology @GU_Path_Society Virtual Education Session HAPPENING NOW! Dr. Ozgur Mete @UofT_LMP presents: 2022 WHO Updates in Adrenal Pathology @Shounak_Gupta @TretiakovaMaria #gupath #endopath

rovingatuscap's tweet image. Adrenal Neoplasia Pathology @GU_Path_Society
Virtual Education Session HAPPENING NOW!

Dr. Ozgur Mete @UofT_LMP presents:
2022 WHO Updates in Adrenal Pathology

@Shounak_Gupta @TretiakovaMaria 
#gupath #endopath
rovingatuscap's tweet image. Adrenal Neoplasia Pathology @GU_Path_Society
Virtual Education Session HAPPENING NOW!

Dr. Ozgur Mete @UofT_LMP presents:
2022 WHO Updates in Adrenal Pathology

@Shounak_Gupta @TretiakovaMaria 
#gupath #endopath
rovingatuscap's tweet image. Adrenal Neoplasia Pathology @GU_Path_Society
Virtual Education Session HAPPENING NOW!

Dr. Ozgur Mete @UofT_LMP presents:
2022 WHO Updates in Adrenal Pathology

@Shounak_Gupta @TretiakovaMaria 
#gupath #endopath

Excited to announce our 2nd lecture of our Virtual Education Series in February on Adrenal neoplasia. Register in advance for this webinar: us02web.zoom.us/webinar/regist…

GU_Path_Society's tweet image. Excited to announce our 2nd lecture of our Virtual Education Series in February on Adrenal neoplasia. 

Register in advance for this webinar:
us02web.zoom.us/webinar/regist…


We're rounding out January with a special Case of the Month in honor of thyroid awareness month. See the images and poll below and test your knowledge! Answer and discussion out tomorrow. #EndoPath #HNPath #ThyroidAwareness

ARP_Press's tweet image. We're rounding out January with a special Case of the Month in honor of thyroid awareness month. See the images and poll below and test your knowledge! Answer and discussion out tomorrow.
#EndoPath #HNPath #ThyroidAwareness
ARP_Press's tweet image. We're rounding out January with a special Case of the Month in honor of thyroid awareness month. See the images and poll below and test your knowledge! Answer and discussion out tomorrow.
#EndoPath #HNPath #ThyroidAwareness

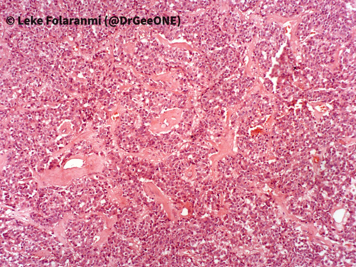
adult M with single adrenal mass, adrenalectomy: 🤔having trouble classifying this oncocytic adrenal neoplasm? 🔑that's b/c it's #endopath#GUpath‼️ 🔬Dx: metastatic prostatic adenocarcinoma (patient had h/o GG5 PCA)

slusagar's tweet image. adult M with single adrenal mass, adrenalectomy:

🤔having trouble classifying this oncocytic adrenal neoplasm?

🔑that's b/c it's #endopath⏩#GUpath‼️

🔬Dx: metastatic prostatic adenocarcinoma
(patient had h/o GG5 PCA)
slusagar's tweet image. adult M with single adrenal mass, adrenalectomy:

🤔having trouble classifying this oncocytic adrenal neoplasm?

🔑that's b/c it's #endopath⏩#GUpath‼️

🔬Dx: metastatic prostatic adenocarcinoma
(patient had h/o GG5 PCA)
slusagar's tweet image. adult M with single adrenal mass, adrenalectomy:

🤔having trouble classifying this oncocytic adrenal neoplasm?

🔑that's b/c it's #endopath⏩#GUpath‼️

🔬Dx: metastatic prostatic adenocarcinoma
(patient had h/o GG5 PCA)
slusagar's tweet image. adult M with single adrenal mass, adrenalectomy:

🤔having trouble classifying this oncocytic adrenal neoplasm?

🔑that's b/c it's #endopath⏩#GUpath‼️

🔬Dx: metastatic prostatic adenocarcinoma
(patient had h/o GG5 PCA)

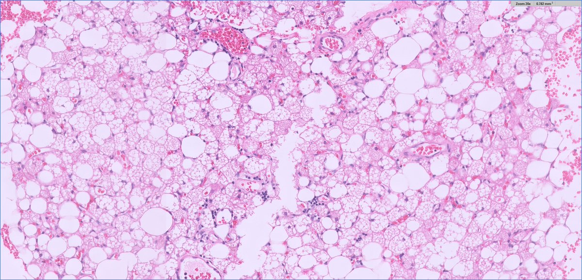
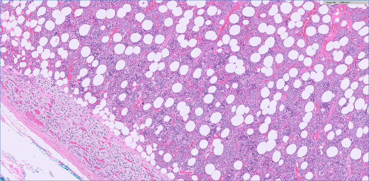
#endopath: adrenal myelolipoma

slusagar's tweet image. #endopath:

adrenal myelolipoma
slusagar's tweet image. #endopath:

adrenal myelolipoma
slusagar's tweet image. #endopath:

adrenal myelolipoma
slusagar's tweet image. #endopath:

adrenal myelolipoma

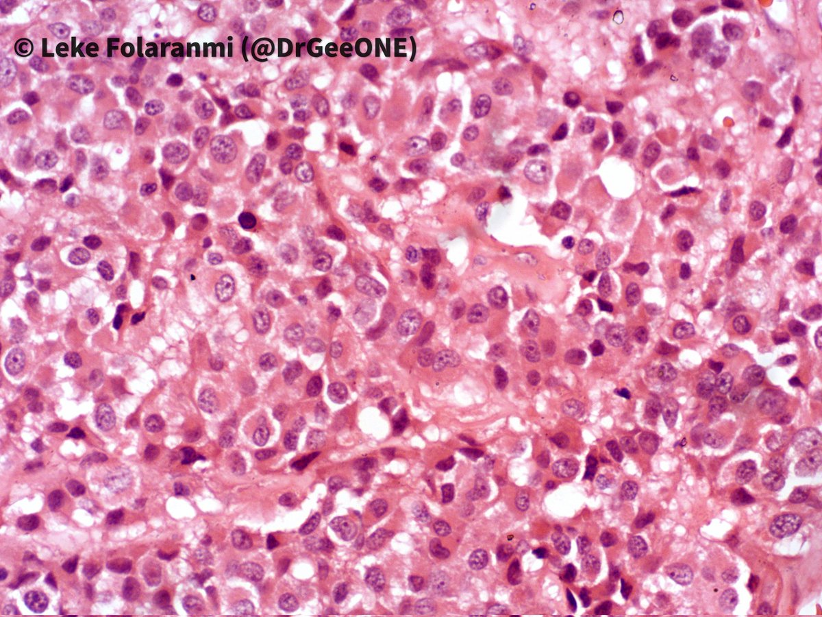
Kindly share your thoughts on this: Late 30s, About 4 years of recurring headache and worsening vision bilaterally. 👨🏾‍⚕️🔪-Well encapsulated huge suprasellar mass ?Pituitary macroadenoma No access to IHCs. #CNSPath #Neuropath #Endopath #Pathology

DrGeeONE's tweet image. Kindly share your thoughts on this:
Late 30s, About 4 years of recurring headache and worsening vision bilaterally.
👨🏾‍⚕️🔪-Well encapsulated huge suprasellar mass ?Pituitary macroadenoma 
No access to IHCs.
#CNSPath #Neuropath #Endopath
#Pathology
DrGeeONE's tweet image. Kindly share your thoughts on this:
Late 30s, About 4 years of recurring headache and worsening vision bilaterally.
👨🏾‍⚕️🔪-Well encapsulated huge suprasellar mass ?Pituitary macroadenoma 
No access to IHCs.
#CNSPath #Neuropath #Endopath
#Pathology
DrGeeONE's tweet image. Kindly share your thoughts on this:
Late 30s, About 4 years of recurring headache and worsening vision bilaterally.
👨🏾‍⚕️🔪-Well encapsulated huge suprasellar mass ?Pituitary macroadenoma 
No access to IHCs.
#CNSPath #Neuropath #Endopath
#Pathology

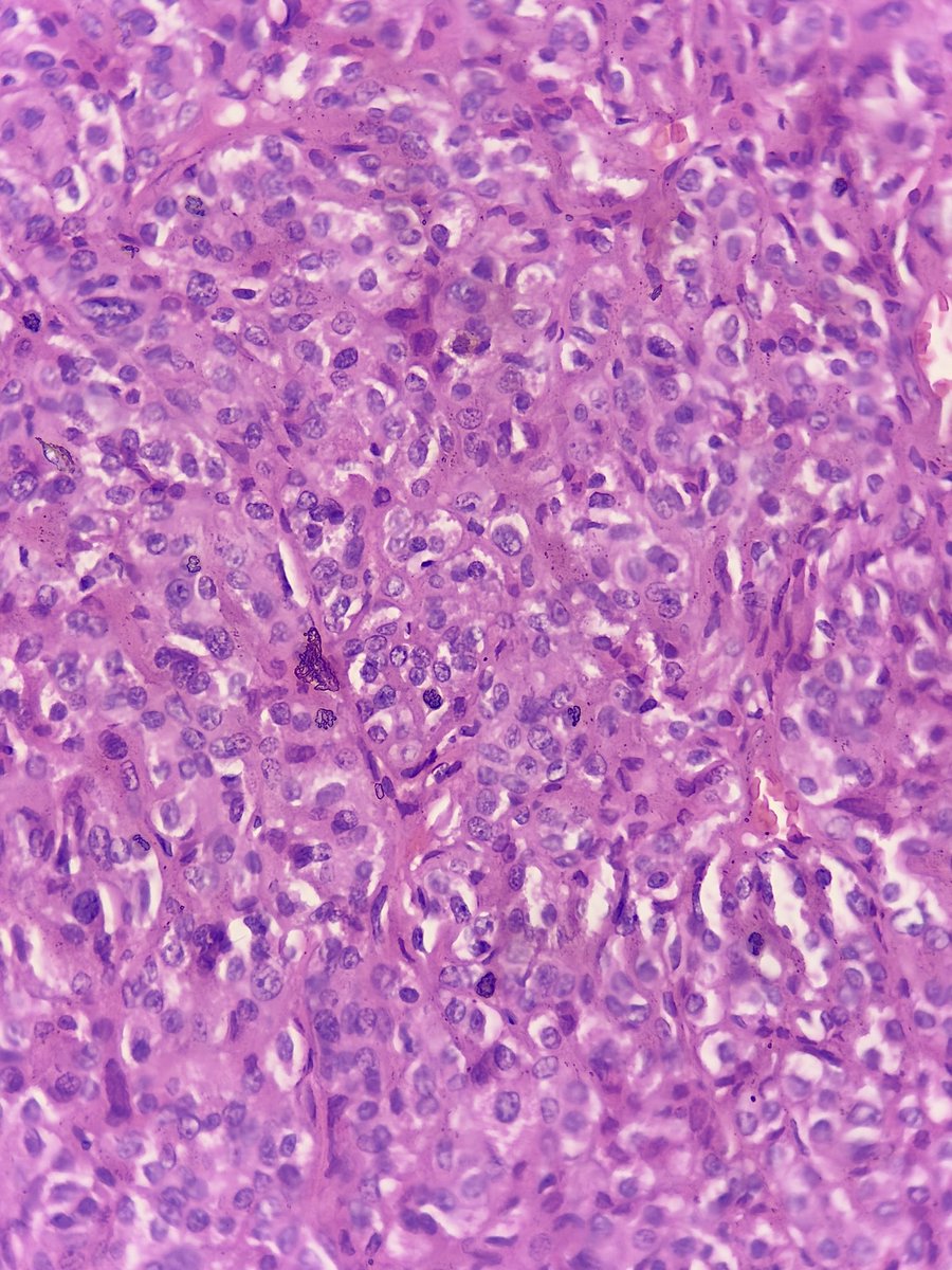
More from arppress.org/books/book/68: Papillary thyroid carcinoma has many variants including tall cell type, characterized by cell height at least 2x the width (>30%), often eosinophilic cytoplasm, and more aggressive clinical behavior. #EndoPath #ENTpath #HNPath

ARP_Press's tweet image. More from arppress.org/books/book/68:
Papillary thyroid carcinoma has many variants including  tall cell type, characterized by cell height at least 2x the width (>30%), often eosinophilic cytoplasm, and more aggressive clinical behavior.
#EndoPath #ENTpath #HNPath
ARP_Press's tweet image. More from arppress.org/books/book/68:
Papillary thyroid carcinoma has many variants including  tall cell type, characterized by cell height at least 2x the width (>30%), often eosinophilic cytoplasm, and more aggressive clinical behavior.
#EndoPath #ENTpath #HNPath

#endopath holiday🎁! adrenalectomy for small mass, limited history had to hunt🔬but found spironolactone bodies😍! digging through chart, found out patient had hyperaldosteronism & was treated with spironolactone I tend to see🔬these in oncocytic component (vs clear cells)

slusagar's tweet image. #endopath holiday🎁!

adrenalectomy for small mass, limited history

had to hunt🔬but found spironolactone bodies😍!

digging through chart, found out patient had hyperaldosteronism & was treated with spironolactone

I tend to see🔬these in oncocytic component (vs clear cells)
slusagar's tweet image. #endopath holiday🎁!

adrenalectomy for small mass, limited history

had to hunt🔬but found spironolactone bodies😍!

digging through chart, found out patient had hyperaldosteronism & was treated with spironolactone

I tend to see🔬these in oncocytic component (vs clear cells)
slusagar's tweet image. #endopath holiday🎁!

adrenalectomy for small mass, limited history

had to hunt🔬but found spironolactone bodies😍!

digging through chart, found out patient had hyperaldosteronism & was treated with spironolactone

I tend to see🔬these in oncocytic component (vs clear cells)

Do you see me ? 👀 Pseudonuclear inclusion in Papillary thyroid carcinoma #PathX #ENTPath

ShwetaA61079880's tweet image. Do you see me ? 👀

Pseudonuclear inclusion in Papillary thyroid carcinoma #PathX #ENTPath


Few more microscopic images….. suggested ihc markers? #Parotid mass #EndoPath #PathX #Pathology

megha_lalcheta's tweet image. Few more microscopic images….. 
suggested ihc markers? 

#Parotid mass #EndoPath #PathX #Pathology
megha_lalcheta's tweet image. Few more microscopic images….. 
suggested ihc markers? 

#Parotid mass #EndoPath #PathX #Pathology
megha_lalcheta's tweet image. Few more microscopic images….. 
suggested ihc markers? 

#Parotid mass #EndoPath #PathX #Pathology
megha_lalcheta's tweet image. Few more microscopic images….. 
suggested ihc markers? 

#Parotid mass #EndoPath #PathX #Pathology

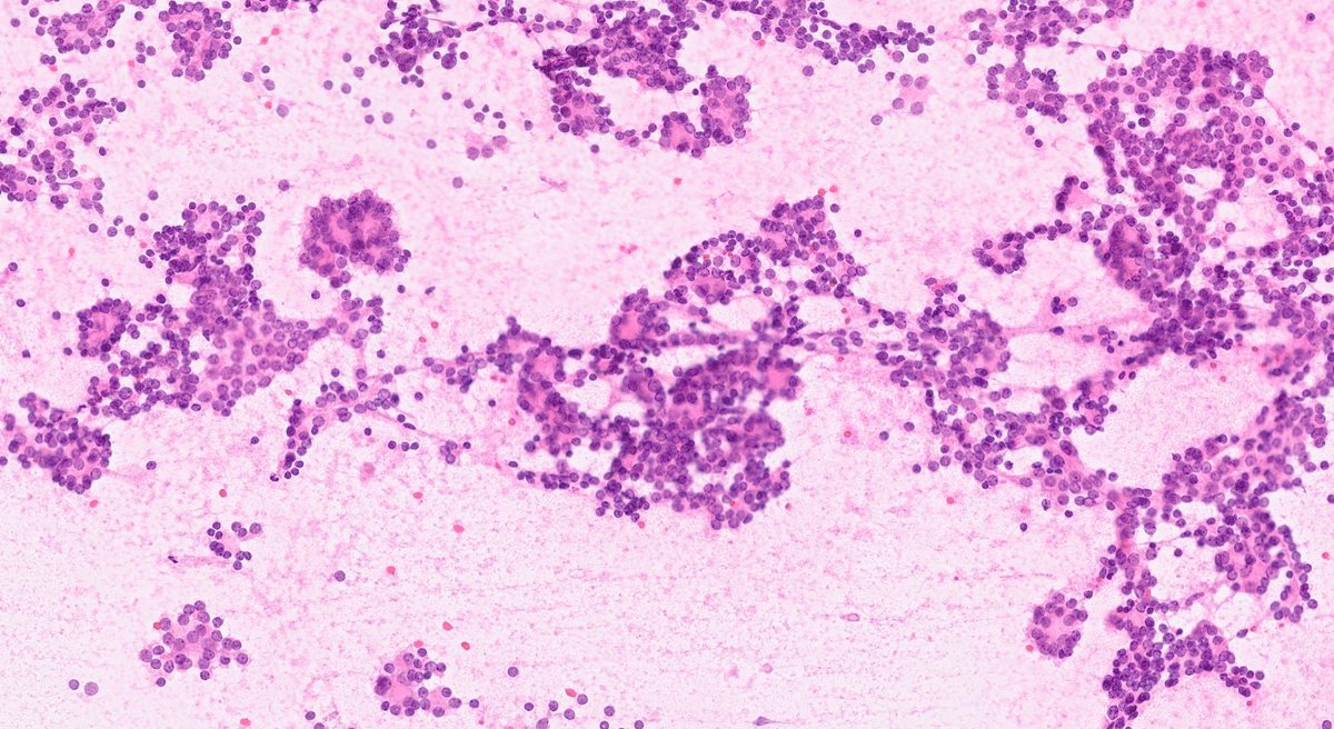
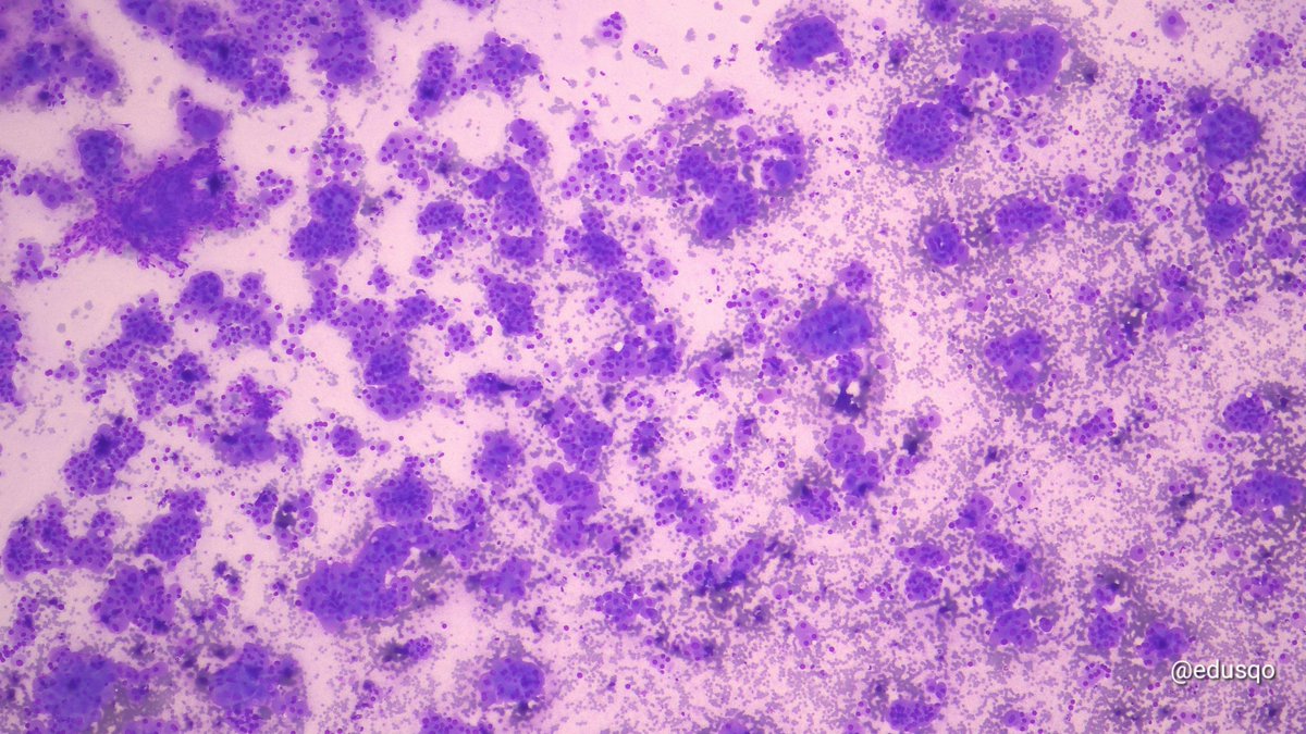
It only took 6 seconds. 25G. No anesthesia, almost imperceptible to the patient, on-site assessment 🔬, and certainty of a sufficient sample, in both quality and quantity. What more could you ask for? #FNAFriday #CytoPath #EndoPath

edusqo's tweet image. It only took 6 seconds. 25G. No anesthesia, almost imperceptible to the patient, on-site assessment 🔬, and certainty of a sufficient sample, in both quality and quantity. What more could you ask for?
#FNAFriday #CytoPath #EndoPath
edusqo's tweet image. It only took 6 seconds. 25G. No anesthesia, almost imperceptible to the patient, on-site assessment 🔬, and certainty of a sufficient sample, in both quality and quantity. What more could you ask for?
#FNAFriday #CytoPath #EndoPath
edusqo's tweet image. It only took 6 seconds. 25G. No anesthesia, almost imperceptible to the patient, on-site assessment 🔬, and certainty of a sufficient sample, in both quality and quantity. What more could you ask for?
#FNAFriday #CytoPath #EndoPath
edusqo's tweet image. It only took 6 seconds. 25G. No anesthesia, almost imperceptible to the patient, on-site assessment 🔬, and certainty of a sufficient sample, in both quality and quantity. What more could you ask for?
#FNAFriday #CytoPath #EndoPath

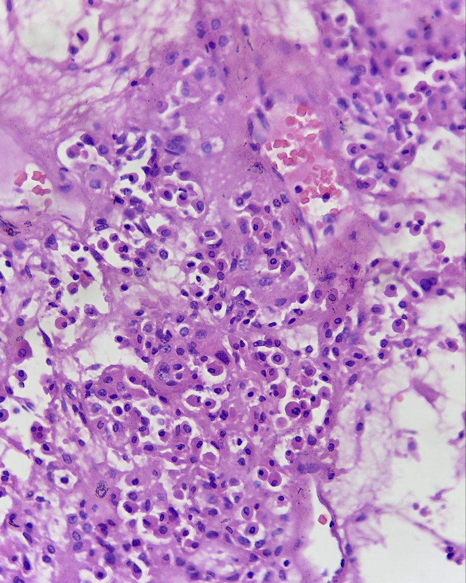
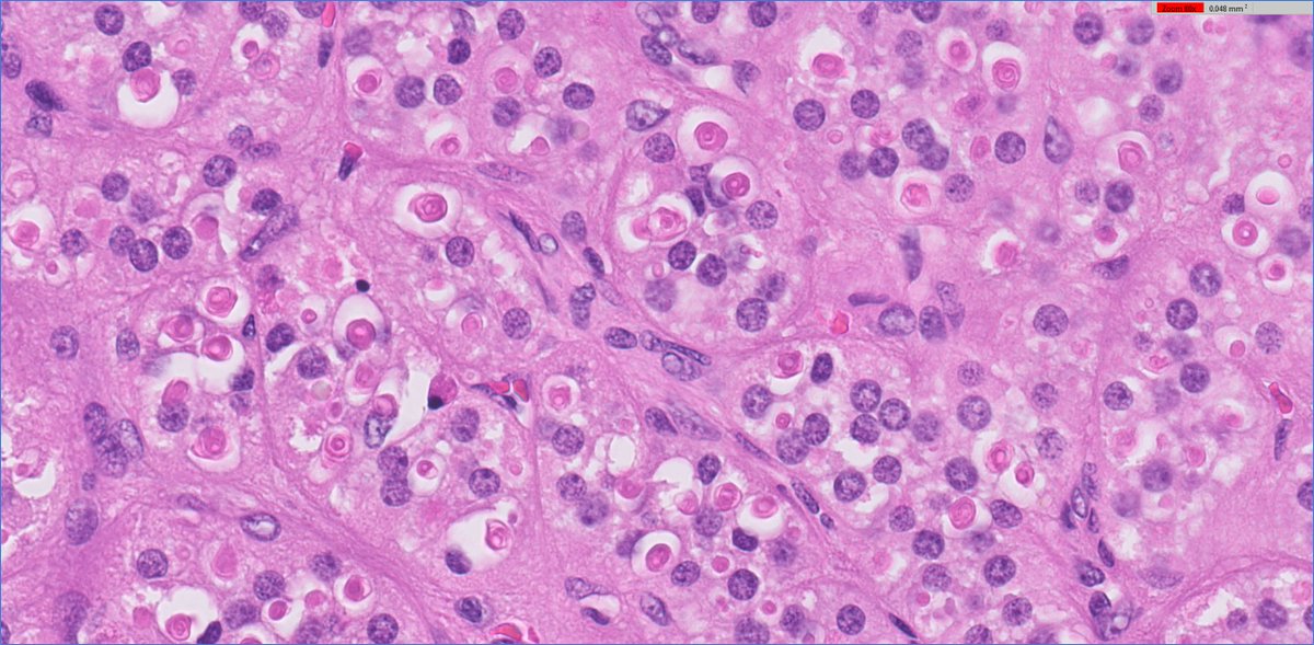
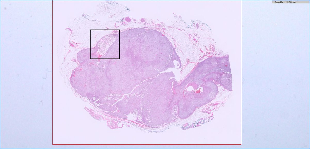
Metastatic medullary thyroid carcinoma to spine and pelvis. #ENTPath #EndoPath #ThyroidPath #HeadandNeckPath Upon detailed questioning, the patient reported a history of thyroidectomy 10 years ago; however, no medical records are available for verification.


adult M with single adrenal mass, adrenalectomy: 🤔having trouble classifying this oncocytic adrenal neoplasm? 🔑that's b/c it's #endopath#GUpath‼️ 🔬Dx: metastatic prostatic adenocarcinoma (patient had h/o GG5 PCA)

slusagar's tweet image. adult M with single adrenal mass, adrenalectomy:

🤔having trouble classifying this oncocytic adrenal neoplasm?

🔑that's b/c it's #endopath⏩#GUpath‼️

🔬Dx: metastatic prostatic adenocarcinoma
(patient had h/o GG5 PCA)
slusagar's tweet image. adult M with single adrenal mass, adrenalectomy:

🤔having trouble classifying this oncocytic adrenal neoplasm?

🔑that's b/c it's #endopath⏩#GUpath‼️

🔬Dx: metastatic prostatic adenocarcinoma
(patient had h/o GG5 PCA)
slusagar's tweet image. adult M with single adrenal mass, adrenalectomy:

🤔having trouble classifying this oncocytic adrenal neoplasm?

🔑that's b/c it's #endopath⏩#GUpath‼️

🔬Dx: metastatic prostatic adenocarcinoma
(patient had h/o GG5 PCA)
slusagar's tweet image. adult M with single adrenal mass, adrenalectomy:

🤔having trouble classifying this oncocytic adrenal neoplasm?

🔑that's b/c it's #endopath⏩#GUpath‼️

🔬Dx: metastatic prostatic adenocarcinoma
(patient had h/o GG5 PCA)

The prognostic impact of blood vessel invasion in infiltrative papillary thyroid carcinoma: a retrospective case–control study - Ghossein - Histopathology - Wiley Online Library #endopath #openaccess onlinelibrary.wiley.com/doi/10.1111/hi…


Anaplastic thyroid carcinoma with liposarcomatous foci: a novel heterologous differentiation - Piana - Histopathology - Wiley Online Library #endopath onlinelibrary.wiley.com/doi/10.1111/hi…


interesting #endopath/#GUpath adrenal🔬: pheochromocytoma with brown fat in surrounding adipose tissue @AMubeen_Path @DrCristinaMagi had a nice @TheUSCAP abstract on this topic a few years back

slusagar's tweet image. interesting #endopath/#GUpath adrenal🔬:

pheochromocytoma with brown fat in surrounding adipose tissue

@AMubeen_Path @DrCristinaMagi had a nice @TheUSCAP abstract on this topic a few years back
slusagar's tweet image. interesting #endopath/#GUpath adrenal🔬:

pheochromocytoma with brown fat in surrounding adipose tissue

@AMubeen_Path @DrCristinaMagi had a nice @TheUSCAP abstract on this topic a few years back
slusagar's tweet image. interesting #endopath/#GUpath adrenal🔬:

pheochromocytoma with brown fat in surrounding adipose tissue

@AMubeen_Path @DrCristinaMagi had a nice @TheUSCAP abstract on this topic a few years back

More from arppress.org/books/book/68: Papillary thyroid carcinoma has many variants including tall cell type, characterized by cell height at least 2x the width (>30%), often eosinophilic cytoplasm, and more aggressive clinical behavior. #EndoPath #ENTpath #HNPath

ARP_Press's tweet image. More from arppress.org/books/book/68:
Papillary thyroid carcinoma has many variants including  tall cell type, characterized by cell height at least 2x the width (>30%), often eosinophilic cytoplasm, and more aggressive clinical behavior.
#EndoPath #ENTpath #HNPath
ARP_Press's tweet image. More from arppress.org/books/book/68:
Papillary thyroid carcinoma has many variants including  tall cell type, characterized by cell height at least 2x the width (>30%), often eosinophilic cytoplasm, and more aggressive clinical behavior.
#EndoPath #ENTpath #HNPath

TRPS1 expression in neuroendocrine neoplasms of breast and other organs - Ye - Histopathology - Wiley Online Library #breastpath #endopath https://online library.wiley.com/doi/10.1111/hi…


Adrenal mass… #Endopath Microscopic images…..

megha_lalcheta's tweet image. Adrenal mass… #Endopath 
Microscopic images…..
megha_lalcheta's tweet image. Adrenal mass… #Endopath 
Microscopic images…..
megha_lalcheta's tweet image. Adrenal mass… #Endopath 
Microscopic images…..
megha_lalcheta's tweet image. Adrenal mass… #Endopath 
Microscopic images…..

Tiroiditis de Hashimoto👀 🔸️Enfermedad autoinmune con ⬆️Ac antiperoxidasa y antitiroglobulina en 🩸. 🔸️+común en ♀️edad media. 🔸️Clínica de hipotiroidismo. 🔸️Macro: ⬆️tamaño tiroides (2-3×), irregular. 🔸️🔬:infiltrado linfoplasmocitario+ folículos atróficos. #EndoPath

WillyFogPath's tweet image. Tiroiditis de Hashimoto👀
🔸️Enfermedad autoinmune con ⬆️Ac antiperoxidasa y antitiroglobulina en 🩸.
🔸️+común en ♀️edad media.
🔸️Clínica de hipotiroidismo.
🔸️Macro: ⬆️tamaño tiroides (2-3×), irregular.
🔸️🔬:infiltrado linfoplasmocitario+ folículos atróficos.
#EndoPath
WillyFogPath's tweet image. Tiroiditis de Hashimoto👀
🔸️Enfermedad autoinmune con ⬆️Ac antiperoxidasa y antitiroglobulina en 🩸.
🔸️+común en ♀️edad media.
🔸️Clínica de hipotiroidismo.
🔸️Macro: ⬆️tamaño tiroides (2-3×), irregular.
🔸️🔬:infiltrado linfoplasmocitario+ folículos atróficos.
#EndoPath
WillyFogPath's tweet image. Tiroiditis de Hashimoto👀
🔸️Enfermedad autoinmune con ⬆️Ac antiperoxidasa y antitiroglobulina en 🩸.
🔸️+común en ♀️edad media.
🔸️Clínica de hipotiroidismo.
🔸️Macro: ⬆️tamaño tiroides (2-3×), irregular.
🔸️🔬:infiltrado linfoplasmocitario+ folículos atróficos.
#EndoPath
WillyFogPath's tweet image. Tiroiditis de Hashimoto👀
🔸️Enfermedad autoinmune con ⬆️Ac antiperoxidasa y antitiroglobulina en 🩸.
🔸️+común en ♀️edad media.
🔸️Clínica de hipotiroidismo.
🔸️Macro: ⬆️tamaño tiroides (2-3×), irregular.
🔸️🔬:infiltrado linfoplasmocitario+ folículos atróficos.
#EndoPath

____ Follicular Variant Papillary Thyroid Carcinoma A) Non-invasive encapsulated B) Invasive encapsulated C) Invasive D) None of the above 🔬dpa-dapa.com/public/display… #EndoPath #ENTPath #PathTwitter #PathResidents

DrCycloPath's tweet image. ____ Follicular Variant Papillary Thyroid Carcinoma
A) Non-invasive encapsulated
B) Invasive encapsulated
C) Invasive
D) None of the above
🔬dpa-dapa.com/public/display…
#EndoPath #ENTPath #PathTwitter #PathResidents
DrCycloPath's tweet image. ____ Follicular Variant Papillary Thyroid Carcinoma
A) Non-invasive encapsulated
B) Invasive encapsulated
C) Invasive
D) None of the above
🔬dpa-dapa.com/public/display…
#EndoPath #ENTPath #PathTwitter #PathResidents
DrCycloPath's tweet image. ____ Follicular Variant Papillary Thyroid Carcinoma
A) Non-invasive encapsulated
B) Invasive encapsulated
C) Invasive
D) None of the above
🔬dpa-dapa.com/public/display…
#EndoPath #ENTPath #PathTwitter #PathResidents
DrCycloPath's tweet image. ____ Follicular Variant Papillary Thyroid Carcinoma
A) Non-invasive encapsulated
B) Invasive encapsulated
C) Invasive
D) None of the above
🔬dpa-dapa.com/public/display…
#EndoPath #ENTPath #PathTwitter #PathResidents

Q for the #endopath folks for this adrenal cortical adenoma (clinical: primary aldo) intratumor/adrenal fat I've seen, perhaps not all that uncommon... but intratumoral/adrenal brown fat? usually I see brown around the peripheral (within background excised fat) when it occurs

slusagar's tweet image. Q for the #endopath folks for this adrenal cortical adenoma (clinical: primary aldo)

intratumor/adrenal fat I've seen, perhaps not all that uncommon...

but intratumoral/adrenal brown fat? usually I see brown around the peripheral (within background excised fat) when it occurs
slusagar's tweet image. Q for the #endopath folks for this adrenal cortical adenoma (clinical: primary aldo)

intratumor/adrenal fat I've seen, perhaps not all that uncommon...

but intratumoral/adrenal brown fat? usually I see brown around the peripheral (within background excised fat) when it occurs
slusagar's tweet image. Q for the #endopath folks for this adrenal cortical adenoma (clinical: primary aldo)

intratumor/adrenal fat I've seen, perhaps not all that uncommon...

but intratumoral/adrenal brown fat? usually I see brown around the peripheral (within background excised fat) when it occurs
slusagar's tweet image. Q for the #endopath folks for this adrenal cortical adenoma (clinical: primary aldo)

intratumor/adrenal fat I've seen, perhaps not all that uncommon...

but intratumoral/adrenal brown fat? usually I see brown around the peripheral (within background excised fat) when it occurs

Columnar Cell #Thyroid Carcinoma, a subtype of #PapillaryThyroidCarcinoma or a biologically & genetically diverse, unique entity? Check it out in @HeadNeckPathol rdcu.be/dJuVZ #EndoPath #ENTPath @UChicagoPath @MGHPathology

PathDocBoston's tweet image. Columnar Cell #Thyroid Carcinoma, a subtype of #PapillaryThyroidCarcinoma or a biologically & genetically diverse, unique entity? Check it out in @HeadNeckPathol rdcu.be/dJuVZ #EndoPath #ENTPath @UChicagoPath @MGHPathology

Solid cell nests in thyroid ⭐Small (< 1 mm) interfollicular clusters of epithelial cells resembling squamous/ transitional epithelium. ⭐ Remnants of ultimobranchial body #pathtwitter #endopath #pathresidents

padmapathology1's tweet image. Solid cell nests in thyroid
⭐Small (&amp;lt; 1 mm) interfollicular clusters of epithelial cells resembling squamous/ transitional epithelium.
⭐ Remnants of ultimobranchial body
#pathtwitter
#endopath #pathresidents
padmapathology1's tweet image. Solid cell nests in thyroid
⭐Small (&amp;lt; 1 mm) interfollicular clusters of epithelial cells resembling squamous/ transitional epithelium.
⭐ Remnants of ultimobranchial body
#pathtwitter
#endopath #pathresidents

A 27 yo man with leg weakness? How does he present with this image, my #EndoPath friends? #EndoSurg friends, don't forget! #EmergencyMedicine #MedEd nejm.org/doi/full/10.10… @NEJM @NEJMCPC @MGHPathology

PathDocBoston's tweet image. A 27 yo man with leg weakness? How does he present with this image, my #EndoPath friends? #EndoSurg friends, don&apos;t forget! #EmergencyMedicine #MedEd nejm.org/doi/full/10.10… @NEJM @NEJMCPC @MGHPathology

Sabías que... los patólogos utilizan el Sistema Bethesda para el diagnóstico citológico por punción de lesiones de tiroides🦋 Nueva versión 2023. 🔹️I insuficiente 🔹️II benigno 🔹️III atípico 🔹️IV neoplasia folicular 🔹️V sospechoso 🔹️VI maligno #CytoPath #EndoPath #PAAF

WillyFogPath's tweet image. Sabías que... los patólogos utilizan el Sistema Bethesda para el diagnóstico citológico por punción de lesiones de tiroides🦋
Nueva versión 2023.
🔹️I insuficiente
🔹️II benigno
🔹️III atípico
🔹️IV neoplasia folicular
🔹️V sospechoso
🔹️VI maligno
#CytoPath #EndoPath #PAAF
WillyFogPath's tweet image. Sabías que... los patólogos utilizan el Sistema Bethesda para el diagnóstico citológico por punción de lesiones de tiroides🦋
Nueva versión 2023.
🔹️I insuficiente
🔹️II benigno
🔹️III atípico
🔹️IV neoplasia folicular
🔹️V sospechoso
🔹️VI maligno
#CytoPath #EndoPath #PAAF
WillyFogPath's tweet image. Sabías que... los patólogos utilizan el Sistema Bethesda para el diagnóstico citológico por punción de lesiones de tiroides🦋
Nueva versión 2023.
🔹️I insuficiente
🔹️II benigno
🔹️III atípico
🔹️IV neoplasia folicular
🔹️V sospechoso
🔹️VI maligno
#CytoPath #EndoPath #PAAF
WillyFogPath's tweet image. Sabías que... los patólogos utilizan el Sistema Bethesda para el diagnóstico citológico por punción de lesiones de tiroides🦋
Nueva versión 2023.
🔹️I insuficiente
🔹️II benigno
🔹️III atípico
🔹️IV neoplasia folicular
🔹️V sospechoso
🔹️VI maligno
#CytoPath #EndoPath #PAAF

The Head & Neck Pathology Service @MGHPathology welcomes new faculty member, @BAlzumaili to the team! Looking forward to mentoring his great career ahead! #ENTPath #EndoPath #BreastPath @MassGeneralMDs @MassGeneralNews #Thyroid #LesionalTie

PathDocBoston's tweet image. The Head &amp;amp; Neck Pathology Service @MGHPathology welcomes new faculty member, @BAlzumaili to the team! Looking forward to mentoring his great career ahead! #ENTPath #EndoPath #BreastPath @MassGeneralMDs @MassGeneralNews #Thyroid #LesionalTie

The coexistence of benign intranodal thyroid inclusions and metastatic papillary thyroid carcinoma is an underrecognized but not uncommon phenomenon. #EndoPath #ENTpath #HNpath #PathTwitter Check out our new study from @Histo_Journal onlinelibrary.wiley.com/doi/10.1111/hi…

jfhang's tweet image. The coexistence of benign intranodal thyroid inclusions and metastatic papillary thyroid carcinoma is an underrecognized but not uncommon phenomenon. #EndoPath #ENTpath #HNpath #PathTwitter
Check out our new study from @Histo_Journal 
onlinelibrary.wiley.com/doi/10.1111/hi…

Check out our latest “What’s New in Pathology” newsletter. June 2024 Issue: “What’s New in Adrenal Gland Pathology: WHO 5th Edition for Adrenal Cortex”: buff.ly/4ceIhgE Subscribe to this e-newsletter: buff.ly/3HzUYFK #Pathology #PathologyOutlines #EndoPath #WHO

Pathoutlines's tweet image. Check out our latest “What’s New in Pathology” newsletter.

June 2024 Issue: “What’s New in Adrenal Gland Pathology: WHO 5th Edition for Adrenal Cortex”: buff.ly/4ceIhgE

Subscribe to this e-newsletter: buff.ly/3HzUYFK

#Pathology #PathologyOutlines #EndoPath #WHO

FNA from a 45yo man with a history of pheochromocytoma, what is your interpretation? A) Papillary thyroid carcinoma B) Follicular Neoplasm C) Medullary thyroid carcinoma D) Metastatic pheochromocytoma #CytoPath #EndoPath #PathTwitter #Pathology

DrCycloPath's tweet image. FNA from a 45yo man with a history of pheochromocytoma, what is your interpretation?
A) Papillary thyroid carcinoma
B) Follicular Neoplasm
C) Medullary thyroid carcinoma
D) Metastatic pheochromocytoma
#CytoPath #EndoPath #PathTwitter #Pathology

When you crop out the wrinkles in your jacket but not your face! #ENTPath #EndoPath #CCHNEP23 @MGHPathology @harvardmed

PathDocBoston's tweet image. When you crop out the wrinkles in your jacket but not your face! #ENTPath #EndoPath #CCHNEP23 @MGHPathology @harvardmed

getting #endopath vibes from #GUpath kidney? sometimes clear cell RCC (as shown) can have luminal secretion vaguely reminiscent of thyroid follicles (and mimic thyroid-like follicular carcinoma of kidney)

slusagar's tweet image. getting #endopath vibes from #GUpath kidney?

sometimes clear cell RCC (as shown) can have luminal secretion vaguely reminiscent of thyroid follicles (and mimic thyroid-like follicular carcinoma of kidney)
slusagar's tweet image. getting #endopath vibes from #GUpath kidney?

sometimes clear cell RCC (as shown) can have luminal secretion vaguely reminiscent of thyroid follicles (and mimic thyroid-like follicular carcinoma of kidney)
slusagar's tweet image. getting #endopath vibes from #GUpath kidney?

sometimes clear cell RCC (as shown) can have luminal secretion vaguely reminiscent of thyroid follicles (and mimic thyroid-like follicular carcinoma of kidney)

🔬Diffuse thyroid lipomatosis 🔬Associated with Amyloid goiter 🔬may be related to systemic amyloidosis, CKD or chronic infections #ENTpath #HNpath #ENDOpath

NASHNPath's tweet image. 🔬Diffuse thyroid lipomatosis 
🔬Associated with Amyloid goiter
🔬may be related to systemic amyloidosis, CKD or chronic infections
#ENTpath #HNpath #ENDOpath
NASHNPath's tweet image. 🔬Diffuse thyroid lipomatosis 
🔬Associated with Amyloid goiter
🔬may be related to systemic amyloidosis, CKD or chronic infections
#ENTpath #HNpath #ENDOpath
NASHNPath's tweet image. 🔬Diffuse thyroid lipomatosis 
🔬Associated with Amyloid goiter
🔬may be related to systemic amyloidosis, CKD or chronic infections
#ENTpath #HNpath #ENDOpath
NASHNPath's tweet image. 🔬Diffuse thyroid lipomatosis 
🔬Associated with Amyloid goiter
🔬may be related to systemic amyloidosis, CKD or chronic infections
#ENTpath #HNpath #ENDOpath

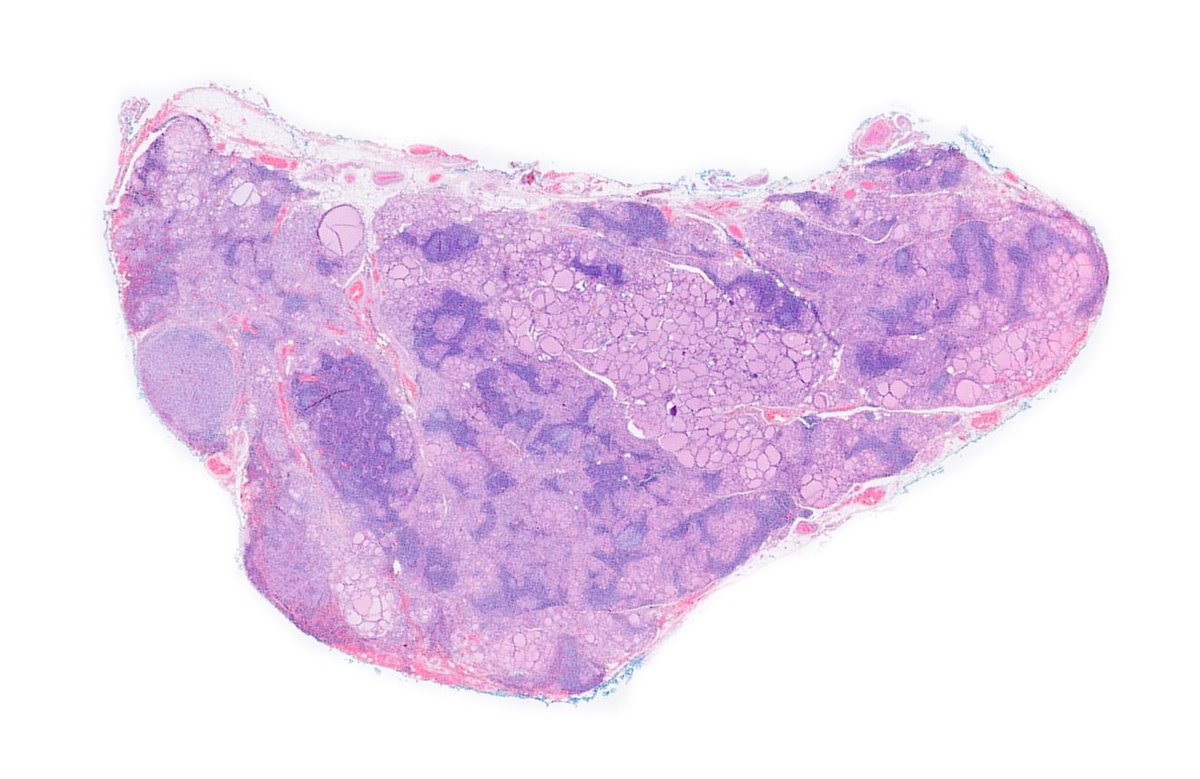
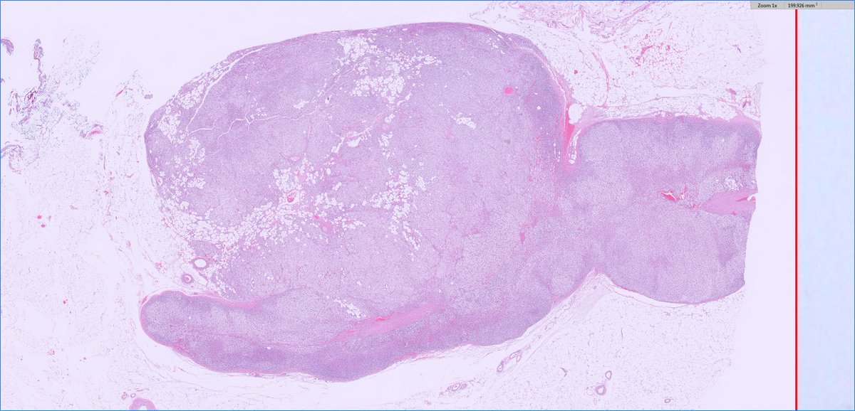
M 60s , tumor in right thyroid lobe DHGTC #pathology #Thyroid #endopath #ENTpath

shahidi_hossein's tweet image. M 60s , tumor in right thyroid lobe
DHGTC 
#pathology #Thyroid #endopath #ENTpath
shahidi_hossein's tweet image. M 60s , tumor in right thyroid lobe
DHGTC 
#pathology #Thyroid #endopath #ENTpath
shahidi_hossein's tweet image. M 60s , tumor in right thyroid lobe
DHGTC 
#pathology #Thyroid #endopath #ENTpath

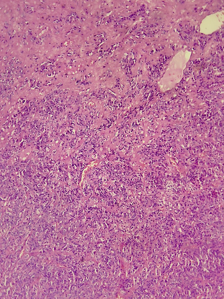
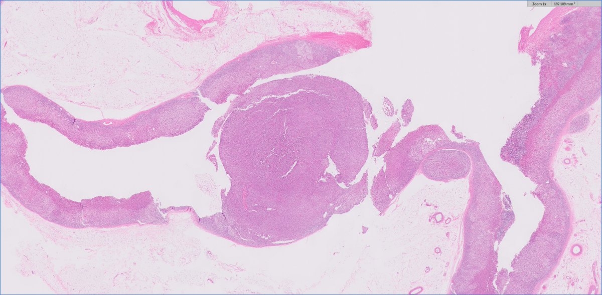
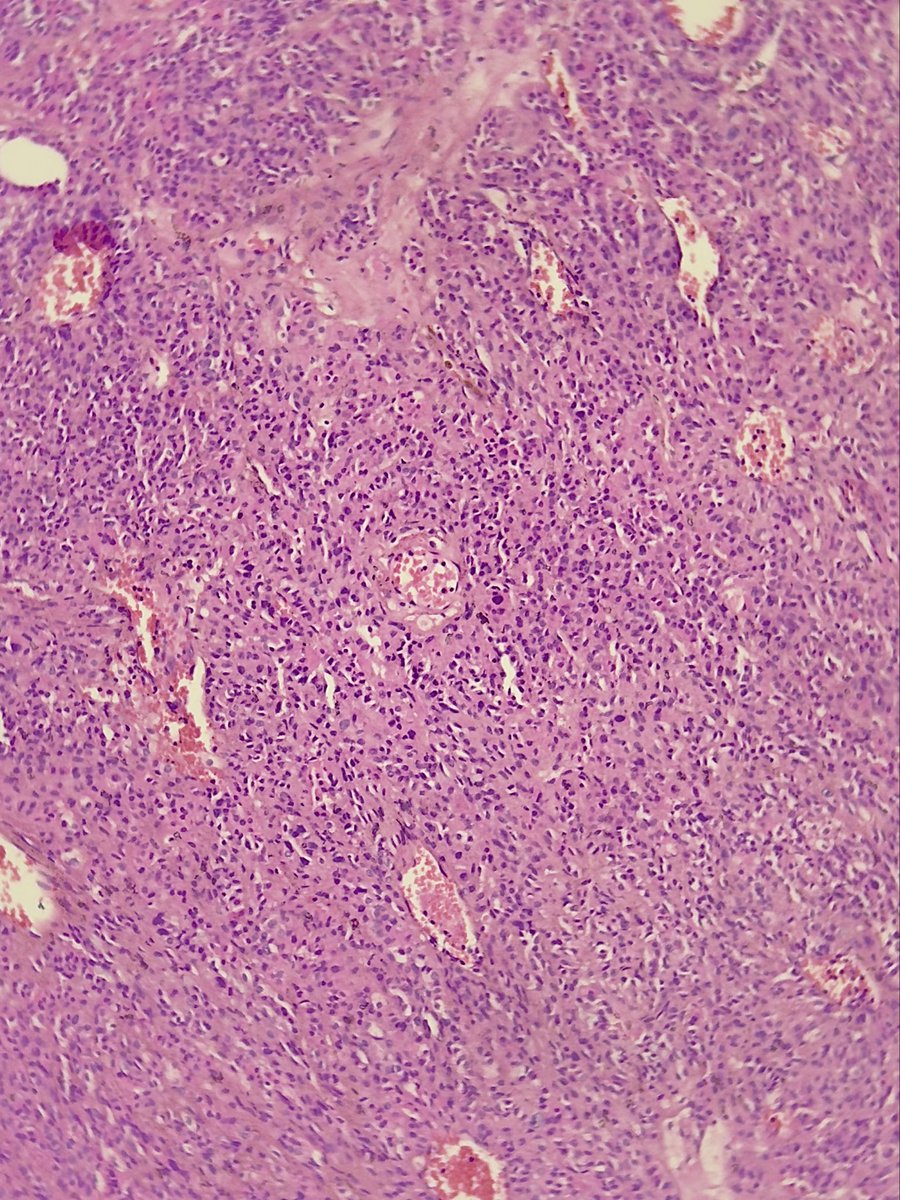
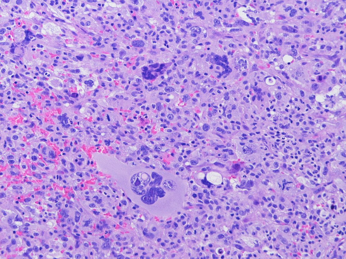
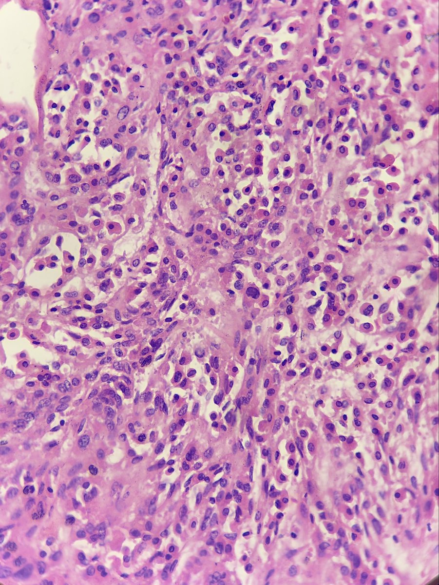
Needle bx of a large thyroid mass in a 76y/o woman after an inadequate FNA. You can appreciate both tumor and osteoblast-like giant cells at the same spot of this anaplastic thyroid carcinoma. Atypical mitosis is also noted. #thyroid #EndoPath #ENTpath #HeadandNeckPath

jfhang's tweet image. Needle bx of a large thyroid mass in a 76y/o woman after an inadequate FNA. You can appreciate both tumor and osteoblast-like giant cells at the same spot of this anaplastic thyroid carcinoma. Atypical mitosis is also noted. #thyroid #EndoPath #ENTpath #HeadandNeckPath

Loading...

Something went wrong.


Something went wrong.